Sistema Respiratório
1
Constituição do Sistema
Vias Respiratórias
• Vias aéreas:
- Fossas nasais,faringe
- Laringe e traquéia
• Pulmões:
- brônquios
- bronquíolos
- alvéolos
2
NARIZ = cavidade nasal
A cavidade nasal e bucal são
os locais por onde o ar entra
e sai.
Mas é na cavidade nasal que
o ar é aquecido, umedecido e
purificado.
SISTEMA RESPIRATÓRIO
• FARINGE: canal comum para sistemas
respiratório e digestório.
LARINGE: tubo muscular que permite a
passagem do ar para a traquéia.
SISTEMA RESPIRATÓRIO
LARINGE – EPIGLOTE: lâmina(válvula) que
impede a comunicação da laringe com a glote,
impedindo a entrada dos alimentos.
SISTEMA RESPIRATÓRIO
LARINGE – PREGAS VOCAIS
TRAQUÉIA: canal constituído de arcos cartilaginosos
sobrepostos. Termina na bifurcação dos dois brônquios.
SISTEMA RESPIRATÓRIO
BRÔNQUIOS: 2 tubos que levam o ar aos
pulmões.
BRONQUÍOLOS: várias ramificações dos
brônquios.
SISTEMA RESPIRATÓRIO
BRÔNQUIOS E BRONQUÍOLOS
SISTEMA RESPIRATÓRIO
BRONQUÍOLOS E ALVÉOLOS
SISTEMA RESPIRATÓRIO
ALVÉOLOS: pequenas estruturas
arredondadas, no final dos bronquíolos,
responsáveis pelas trocas
gasosas HEMATOSE.
Alvéolos
16
17
• Pleuras
• revestimentos dos pulmões
Hematose
(troca de gases por difusão)
• Processo de oxigenação do
sangue
- local de ocorrência:
alvéolos
- captura do oxigênio após a
liberação do gás carbônico
nos alvéolos.
Obs.: a hemoglobina carrega
os gases:
- Carbo-hemoglobina
- oxi-hemoglobina
Esquema mostra hematose nos alvéolos
20
21
(
22
23
Hematose nos tecidos
24
Ventilação Pulmonar
25
Inspiração:
-Contração dos músculos
intercostais e do diafragma.
-Volume pulmonar aumenta.
-Pressão interna diminui e ar
entra.
Ventilação Respiratória
26
Expiração:
-Relaxamento da
musculatura intercostal e do
diafragma
-Volume pulmonar diminui
-Pressão interna aumenta e
o ar saí
27
Diafragma
28
29
Ritmo Respiratório
Ação indireta
• Queda na quantidade de Oxigênio no sangue
• Receptores das paredes das artérias mandam impulsos ao centro respiratório ,
localizado no bulbo do SNC ( Sistema Nervoso Central)
• O bulbo envia estímulos aos músculos intercostais e ao diafragma
• Aceleração dos movimentos respiratórios
Ação direta( devido a um esforço físico)
1. Aumento da tensão de Gás Carbônico nos vasos que irrigam o bulbo
2. O bulbo envia impulso para os músculos intercostais e ao diafragma
30
31
Capacidade Pulmonar
• Capacidade pulmonar de um adulto: 6 litros
• Troca de ar em cada movimento respiratório em repouso: 0,5
litros
• Troca de ar na respiração forçada: pode chegar a 4,5 a 5 litros
Obs1: Esse volume é a capacidade vital
Obs2: o ar residual( que fica nos pulmões) é cerca de 1,2 a 1,5 litros, mesmo
após a respiração forçada.
32
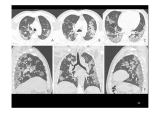
COVID-19 E O SISTEMA RESPIRATÓRIO
O vírus Sars-CoV-2 causa lesões extensas e severas em
múltiplas áreas dos pulmões, afetando principalmente os
alvéolos, as bolsas microscópicas nas quais ocorrem as trocas
de oxigênio e gás carbônico.
Tomografia mostra lesões nos dois pulmões, que aparecem como zonas esfumaçadas
35
• Sars-CoV-2 tem afinidade com as células
epiteliais que revestem a superfície interna do
sistema respiratório, devido principalmente,
pela presença de uma proteína específica, a
ACE2.
• Áreas afetadas estavam repletas de
pneumócitos (células epiteliais, que recobrem
o interior dos alvéolos), com tamanho
algumas vezes superior ao habitual, assim
como os seus núcleos, apresentam o tamanho
muito maior que o normal.
• Típicas de infecção por vírus, as alterações
levam à descamação interna dos alvéolos.
• Sem as células que os forram internamente,
os alvéolos passam a acumular o líquido que
extravasa dos capilares sanguíneos ao redor.
Esse líquido prejudica as trocas gasosas e leva
à insuficiência respiratória.
• Dados da literatura médica sugerem que a
infecção pelo Sars-CoV-2 não se restringe aos
pulmões. Os relatos, por exemplo, de perda de
paladar e olfato, um indicativo de que nervos
podem ser afetados.
37
TIPOS DE RESPIRAÇÃO:
38
Respiração Cutânea
A respiração cutânea é a respiração feita pela pele. Ela só é
possível devido ao muco que umedece a pele e permite as trocas
gasosas entre o ar e a pele (muito vascularizada). Só é possível em
animais pequenos, pois nos grandes a quantidade de oxigênio
absorvida não seria suficiente.
• Poríferos
• Cnidários
• Platelmintos
• Nematelmintos
• Anelídeos:
39
Respiração Branquial
A respiração só ocorre em meios extremamente úmidos ou
aquosos, é a troca de gases entre as brânquias e a água. Para
facilitar essa troca as brânquias são muito vascularizadas e tem uma
grande superfície de contato.
• Moluscos
• Crustáceos (Artrópodes)
• Equinodermos
• Peixes
40
Respiração Traqueal
Mais comum em insetos. Diferente das outras três, esse
tipo de respiração não tem ligação com o sistema circulatório. O
animal tem furos que permitem a entrada de gases que fazem a
troca diretamente com as células.
• Artrópodes: Insetos e Aracnídeos
41
Respiração Pulmonar
É a respiração que permitiu a existência de animais
grandes em ambiente terrestre. O ar entre por algum orifício no ser
e vai para o pulmão, um órgão extremamente vascularizado e com
uma incrível superfície de contato.
• Répteis
• Aves
• Mamíferos
IMPORTANTE: Anfíbios: Branquial (Girino), Cutânea e Pulmonar
42
43
44

SISTEMA RESPIRATÓRIO.pdf

  • 1.
  • 2.
    Constituição do Sistema ViasRespiratórias • Vias aéreas: - Fossas nasais,faringe - Laringe e traquéia • Pulmões: - brônquios - bronquíolos - alvéolos 2
  • 3.
    NARIZ = cavidadenasal A cavidade nasal e bucal são os locais por onde o ar entra e sai. Mas é na cavidade nasal que o ar é aquecido, umedecido e purificado.
  • 4.
    SISTEMA RESPIRATÓRIO • FARINGE:canal comum para sistemas respiratório e digestório.
  • 5.
    LARINGE: tubo muscularque permite a passagem do ar para a traquéia.
  • 6.
    SISTEMA RESPIRATÓRIO LARINGE –EPIGLOTE: lâmina(válvula) que impede a comunicação da laringe com a glote, impedindo a entrada dos alimentos.
  • 8.
  • 10.
    TRAQUÉIA: canal constituídode arcos cartilaginosos sobrepostos. Termina na bifurcação dos dois brônquios.
  • 11.
    SISTEMA RESPIRATÓRIO BRÔNQUIOS: 2tubos que levam o ar aos pulmões. BRONQUÍOLOS: várias ramificações dos brônquios.
  • 12.
  • 13.
  • 14.
    SISTEMA RESPIRATÓRIO ALVÉOLOS: pequenasestruturas arredondadas, no final dos bronquíolos, responsáveis pelas trocas gasosas HEMATOSE.
  • 15.
  • 16.
  • 17.
  • 18.
  • 20.
    Hematose (troca de gasespor difusão) • Processo de oxigenação do sangue - local de ocorrência: alvéolos - captura do oxigênio após a liberação do gás carbônico nos alvéolos. Obs.: a hemoglobina carrega os gases: - Carbo-hemoglobina - oxi-hemoglobina Esquema mostra hematose nos alvéolos 20
  • 21.
  • 22.
  • 23.
  • 24.
  • 25.
    Ventilação Pulmonar 25 Inspiração: -Contração dosmúsculos intercostais e do diafragma. -Volume pulmonar aumenta. -Pressão interna diminui e ar entra.
  • 26.
    Ventilação Respiratória 26 Expiração: -Relaxamento da musculaturaintercostal e do diafragma -Volume pulmonar diminui -Pressão interna aumenta e o ar saí
  • 27.
  • 28.
  • 29.
  • 30.
    Ritmo Respiratório Ação indireta •Queda na quantidade de Oxigênio no sangue • Receptores das paredes das artérias mandam impulsos ao centro respiratório , localizado no bulbo do SNC ( Sistema Nervoso Central) • O bulbo envia estímulos aos músculos intercostais e ao diafragma • Aceleração dos movimentos respiratórios Ação direta( devido a um esforço físico) 1. Aumento da tensão de Gás Carbônico nos vasos que irrigam o bulbo 2. O bulbo envia impulso para os músculos intercostais e ao diafragma 30
  • 31.
  • 32.
    Capacidade Pulmonar • Capacidadepulmonar de um adulto: 6 litros • Troca de ar em cada movimento respiratório em repouso: 0,5 litros • Troca de ar na respiração forçada: pode chegar a 4,5 a 5 litros Obs1: Esse volume é a capacidade vital Obs2: o ar residual( que fica nos pulmões) é cerca de 1,2 a 1,5 litros, mesmo após a respiração forçada. 32
  • 33.
    COVID-19 E OSISTEMA RESPIRATÓRIO
  • 34.
    O vírus Sars-CoV-2causa lesões extensas e severas em múltiplas áreas dos pulmões, afetando principalmente os alvéolos, as bolsas microscópicas nas quais ocorrem as trocas de oxigênio e gás carbônico. Tomografia mostra lesões nos dois pulmões, que aparecem como zonas esfumaçadas
  • 35.
  • 36.
    • Sars-CoV-2 temafinidade com as células epiteliais que revestem a superfície interna do sistema respiratório, devido principalmente, pela presença de uma proteína específica, a ACE2. • Áreas afetadas estavam repletas de pneumócitos (células epiteliais, que recobrem o interior dos alvéolos), com tamanho algumas vezes superior ao habitual, assim como os seus núcleos, apresentam o tamanho muito maior que o normal.
  • 37.
    • Típicas deinfecção por vírus, as alterações levam à descamação interna dos alvéolos. • Sem as células que os forram internamente, os alvéolos passam a acumular o líquido que extravasa dos capilares sanguíneos ao redor. Esse líquido prejudica as trocas gasosas e leva à insuficiência respiratória. • Dados da literatura médica sugerem que a infecção pelo Sars-CoV-2 não se restringe aos pulmões. Os relatos, por exemplo, de perda de paladar e olfato, um indicativo de que nervos podem ser afetados. 37
  • 38.
    TIPOS DE RESPIRAÇÃO: 38 RespiraçãoCutânea A respiração cutânea é a respiração feita pela pele. Ela só é possível devido ao muco que umedece a pele e permite as trocas gasosas entre o ar e a pele (muito vascularizada). Só é possível em animais pequenos, pois nos grandes a quantidade de oxigênio absorvida não seria suficiente. • Poríferos • Cnidários • Platelmintos • Nematelmintos • Anelídeos:
  • 39.
    39 Respiração Branquial A respiraçãosó ocorre em meios extremamente úmidos ou aquosos, é a troca de gases entre as brânquias e a água. Para facilitar essa troca as brânquias são muito vascularizadas e tem uma grande superfície de contato. • Moluscos • Crustáceos (Artrópodes) • Equinodermos • Peixes
  • 40.
    40 Respiração Traqueal Mais comumem insetos. Diferente das outras três, esse tipo de respiração não tem ligação com o sistema circulatório. O animal tem furos que permitem a entrada de gases que fazem a troca diretamente com as células. • Artrópodes: Insetos e Aracnídeos
  • 41.
    41 Respiração Pulmonar É arespiração que permitiu a existência de animais grandes em ambiente terrestre. O ar entre por algum orifício no ser e vai para o pulmão, um órgão extremamente vascularizado e com uma incrível superfície de contato. • Répteis • Aves • Mamíferos IMPORTANTE: Anfíbios: Branquial (Girino), Cutânea e Pulmonar
  • 42.
  • 43.
  • 44.