Núcleo celular: O centro de
comando.
Unidade 4
Pág 34
NÚCLEO
• O núcleo é o centro de coordenação das
atividades da célula.
• Em geral há um núcleo por célula; células
sem núcleo são apenas uma fase da vida; há
células binucleadas (paramécio) e
plurinucleadas (fibra muscular estriada
esquelética).
FASES DO NÚCLEO
• NÚCLEO INTERFÁSICO: é o núcleo da célula
no intervalo entre duas divisões celulares.
• É constituído de:
– Envoltório nuclear
– Cromatina
– Nucléolo
– Cariolinfa
• NÚCLEO MITÓTICO: é o núcleo durante a
divisão celular. É formado pelos cromossomos.
1. O NÚCLEO INTERFÁSICO
1. CARIOTECA
2. RIBOSSOMOS
3. POROS
4. NUCLÉOLO
5. CROMATINA
6. NÚCLEO
7. RETÍCULO ENDOPLASMÁTICO
RUGOSO OU GRANULOSO
8. NUCLEOPLASMA
Envoltório nuclear: duas
membranas. A externa com
ribossomos e ligada ao R.E. R.
Em branco a cisterna
perinuclear. A membrana do lado
nuclear com a lâmina nuclear +
heterocromatina aderida.
Observar os poros do envoltório.
Áreas claras do núcleo:
eucromatina – ativa
geneticamente.
Áreas escuras:
heterocromatina – inativa
geneticamente.
Nucléolo – no centro – produtor
de ribossomos.
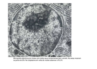
Micrografia eletrônica do núcleo com todos seus componentes bem visíveis. As setas mostram
os poros do EN. No citoplasma em volta do núcleo observar o R.E.R.
ENVOLTÓRIO NUCLEAR
• Os poros deixam passagem livre para
moléculas pequenas. Moléculas maiores
devem ter um sinal reconhecido por
proteínas do poro que aumentam sua
abertura (transporte ativo).
• Cada poro é rodeado de proteínas que
controlam sua abertura
• O número de poros é proporcional a
atividade da célula.
Cisterna perinuclear
Poros
Ribossomos Mitocôndria
Cariolinfa
• É um material com aspecto gelatinoso que
preenche o núcleo. Contendo proteínas
(DNA polimerase, RNA polimerase,
nucleotídeos, RNAt, RNAm e RNAr).
• Semelhante ao hialoplasma.
• Meio em que ocorrem reações químicas.
CROMATINA
• É um material de aspecto filamentoso,
constituído de DNA + histonas. O número
de filamentos é constante para cada
espécie (o mesmo de cromossomos). Na
mitose tornam-se condensados e visíveis
ao microscópio.
• Função: Contém as informações genéticas.
CROMATINA
• TIPOS:
– EUCROMATINA: é a cromatina com aspecto
claro ao microscópio. Menos condensada. É
geneticamente ativa (produz RNA).
– HETEROCROMATINA: é a cromatina com
aspecto escuro, é espiralizada e inativa
geneticamente. Há dois tipos: a) Constitutiva.
b) Facultativa.
Cromatina sexual ou Corpúsculo
de Barr
• Cromatina sexual, também chamado de
corpúsculo de Barr, é o nome dado ao
cromossomo X inativo e condensado das
células que constituem as fêmeas de
mamíferos.
Corpúsculo de Barr
Corpúsculo de Barr
NUCLÉOLO
• Tem aspecto de grânulo, mas não é
limitado por membrana. É o centro de
produção de ribossomos.
• São constituídos de RNAr e proteínas
vindas do citoplasma.
• Originam-se dos cromossomos
(organizadores nucleares).
Esquema do núcleo rodeado pelo envoltório nuclear. A área azul mais escura é o nucléolo onde se
observa a transcrição do DNA em RNAr e sua complexação com proteínas vindas do citoplasma para
formar as subunidades dos ribossomos que atravessam os poros do envoltório e no citoplasma unem-
se ao RNAm, iniciando o processo de Tradução.
Experiência de Balbiani: Importância
do núcleo.
CROMOSSOMOS
• Nas células que vão iniciar mitose ou
meiose, cada filamento de cromatina se
espiraliza tornando visível um
cromossomo, que atinge a condensação
máxima durante a metáfase;
(Durante essa etapa pode-se contar os cromossomos da célula)
ESTRUTURA DO CROMOSSOMO
• Todo cromossomo funcional apresenta as
seguintes estruturas durante as metáfase:
– Cromátides;
– Constrição primária ou centrômero;
– Constrição secundária;
– Telômero;
CINETÓCORO
Disco de proteínas junto ao
centrômero e forma
filamento protéicos que
deslocarão os cromossomos
para pólos opostos.
Formação de um cromossomo: Primeira figura (esquerda): filamento de cromatina com eucromatina (1)
e heterocromatina (2). Na fase S da interfase ocorre a replicação do DNA e o filamento de cromatina
aparece duplo (duas metades são cromátides). A terceira figura mostra o filamento de cromatina
espiralizado formando um cromossomo. Onde havia heterocromatina forma´-se constrições. A quarta
figura é o desenho de um cromossomo visto durante a metáfase.
TIPOS DE
CROMOSSOMOS
• METACÊNTRICO: com os braços do mesmo
comprimento
• SUBMETACÊNTRICO: um braço ligeiramente
menor.
• ACROCÊNTRICO: um braço muito maior.
• TELOCÊNTRICO: cromátide com somente uma
braço. O centrômero fica na extremidade.
CARIÓTIPO
• Consiste na ordenação dos cromossomos
homólogos em pares, segundo o tipo e o
tamanho, para verificar se há excesso ou
falta de cromossomos, ou excesso ou falta
de partes de cromossomos ou ainda
deslocamento de partes para outros
pares.
Cariótipo humano masculino. Observe as diferenças de tamanho e dos tipos de cromossomos e os
diferentes tipos. Par 1: metacêntrico. Submetacêntrico: pares 2 – 12. Acrocêntricos: pares 13, 14, 15,
21 e 22. Os cromossomos de cada par são HOMÓLOGOS.
• Todas as células do nosso corpo (exceto os
gametas) são diplóides, ou seja, possuem
dois cromossomos de cada tipo (no caso, 23
pares de cromossomos homólogos ). Quando
uma célula possui apenas um cromossomo de
cada tipo (no caso os gametas, com 23
cromossomos), dizemos que ela é haplóide.
Humanos
2n=46
n=23
Autossomos(somáticos) e
heterossomos(sexuais)
Os cromossomos autossômicos (A) são os
relacionados às características comuns aos dois
sexos, enquanto os sexuais (X e Y)são os
responsáveis pelas características próprias de
cada sexo. A formação de órgãos somáticos,
tais como fígado, baço, o estômago e outros,
deve-se a genes localizados nos autossomos,
visto que esses órgãos existem nos dois sexos.
22 PARES DE AUTOSSOMOS + XY = MASCULINO
22 PARES DE AUTOSSOMOS + XX = FEMININO
Microscopia Eletrônica do cromossomo X e Y.
Os cromossomos sexuais
O cromossomo Y é mais curto e possui menos genes que o
cromossomo X, além de conter uma porção encurtada, em que
existem genes exclusivos do sexo masculino. Observe na figura abaixo
que uma parte do cromossomo X não possui alelos em Y, isto é, entre
os dois cromossomos há uma região não-homóloga.

Núcleo celular

  • 1.
    Núcleo celular: Ocentro de comando. Unidade 4 Pág 34
  • 2.
    NÚCLEO • O núcleoé o centro de coordenação das atividades da célula. • Em geral há um núcleo por célula; células sem núcleo são apenas uma fase da vida; há células binucleadas (paramécio) e plurinucleadas (fibra muscular estriada esquelética).
  • 3.
    FASES DO NÚCLEO •NÚCLEO INTERFÁSICO: é o núcleo da célula no intervalo entre duas divisões celulares. • É constituído de: – Envoltório nuclear – Cromatina – Nucléolo – Cariolinfa • NÚCLEO MITÓTICO: é o núcleo durante a divisão celular. É formado pelos cromossomos.
  • 4.
    1. O NÚCLEOINTERFÁSICO 1. CARIOTECA 2. RIBOSSOMOS 3. POROS 4. NUCLÉOLO 5. CROMATINA 6. NÚCLEO 7. RETÍCULO ENDOPLASMÁTICO RUGOSO OU GRANULOSO 8. NUCLEOPLASMA
  • 5.
    Envoltório nuclear: duas membranas.A externa com ribossomos e ligada ao R.E. R. Em branco a cisterna perinuclear. A membrana do lado nuclear com a lâmina nuclear + heterocromatina aderida. Observar os poros do envoltório. Áreas claras do núcleo: eucromatina – ativa geneticamente. Áreas escuras: heterocromatina – inativa geneticamente. Nucléolo – no centro – produtor de ribossomos.
  • 6.
    Micrografia eletrônica donúcleo com todos seus componentes bem visíveis. As setas mostram os poros do EN. No citoplasma em volta do núcleo observar o R.E.R.
  • 7.
    ENVOLTÓRIO NUCLEAR • Osporos deixam passagem livre para moléculas pequenas. Moléculas maiores devem ter um sinal reconhecido por proteínas do poro que aumentam sua abertura (transporte ativo). • Cada poro é rodeado de proteínas que controlam sua abertura • O número de poros é proporcional a atividade da célula.
  • 8.
  • 9.
    Cariolinfa • É ummaterial com aspecto gelatinoso que preenche o núcleo. Contendo proteínas (DNA polimerase, RNA polimerase, nucleotídeos, RNAt, RNAm e RNAr). • Semelhante ao hialoplasma. • Meio em que ocorrem reações químicas.
  • 10.
    CROMATINA • É ummaterial de aspecto filamentoso, constituído de DNA + histonas. O número de filamentos é constante para cada espécie (o mesmo de cromossomos). Na mitose tornam-se condensados e visíveis ao microscópio. • Função: Contém as informações genéticas.
  • 12.
    CROMATINA • TIPOS: – EUCROMATINA:é a cromatina com aspecto claro ao microscópio. Menos condensada. É geneticamente ativa (produz RNA). – HETEROCROMATINA: é a cromatina com aspecto escuro, é espiralizada e inativa geneticamente. Há dois tipos: a) Constitutiva. b) Facultativa.
  • 13.
    Cromatina sexual ouCorpúsculo de Barr • Cromatina sexual, também chamado de corpúsculo de Barr, é o nome dado ao cromossomo X inativo e condensado das células que constituem as fêmeas de mamíferos. Corpúsculo de Barr
  • 14.
  • 15.
    NUCLÉOLO • Tem aspectode grânulo, mas não é limitado por membrana. É o centro de produção de ribossomos. • São constituídos de RNAr e proteínas vindas do citoplasma. • Originam-se dos cromossomos (organizadores nucleares).
  • 16.
    Esquema do núcleorodeado pelo envoltório nuclear. A área azul mais escura é o nucléolo onde se observa a transcrição do DNA em RNAr e sua complexação com proteínas vindas do citoplasma para formar as subunidades dos ribossomos que atravessam os poros do envoltório e no citoplasma unem- se ao RNAm, iniciando o processo de Tradução.
  • 17.
    Experiência de Balbiani:Importância do núcleo.
  • 18.
    CROMOSSOMOS • Nas célulasque vão iniciar mitose ou meiose, cada filamento de cromatina se espiraliza tornando visível um cromossomo, que atinge a condensação máxima durante a metáfase; (Durante essa etapa pode-se contar os cromossomos da célula)
  • 19.
    ESTRUTURA DO CROMOSSOMO •Todo cromossomo funcional apresenta as seguintes estruturas durante as metáfase: – Cromátides; – Constrição primária ou centrômero; – Constrição secundária; – Telômero;
  • 20.
    CINETÓCORO Disco de proteínasjunto ao centrômero e forma filamento protéicos que deslocarão os cromossomos para pólos opostos.
  • 23.
    Formação de umcromossomo: Primeira figura (esquerda): filamento de cromatina com eucromatina (1) e heterocromatina (2). Na fase S da interfase ocorre a replicação do DNA e o filamento de cromatina aparece duplo (duas metades são cromátides). A terceira figura mostra o filamento de cromatina espiralizado formando um cromossomo. Onde havia heterocromatina forma´-se constrições. A quarta figura é o desenho de um cromossomo visto durante a metáfase.
  • 24.
    TIPOS DE CROMOSSOMOS • METACÊNTRICO:com os braços do mesmo comprimento • SUBMETACÊNTRICO: um braço ligeiramente menor. • ACROCÊNTRICO: um braço muito maior. • TELOCÊNTRICO: cromátide com somente uma braço. O centrômero fica na extremidade.
  • 26.
    CARIÓTIPO • Consiste naordenação dos cromossomos homólogos em pares, segundo o tipo e o tamanho, para verificar se há excesso ou falta de cromossomos, ou excesso ou falta de partes de cromossomos ou ainda deslocamento de partes para outros pares.
  • 28.
    Cariótipo humano masculino.Observe as diferenças de tamanho e dos tipos de cromossomos e os diferentes tipos. Par 1: metacêntrico. Submetacêntrico: pares 2 – 12. Acrocêntricos: pares 13, 14, 15, 21 e 22. Os cromossomos de cada par são HOMÓLOGOS.
  • 29.
    • Todas ascélulas do nosso corpo (exceto os gametas) são diplóides, ou seja, possuem dois cromossomos de cada tipo (no caso, 23 pares de cromossomos homólogos ). Quando uma célula possui apenas um cromossomo de cada tipo (no caso os gametas, com 23 cromossomos), dizemos que ela é haplóide. Humanos 2n=46 n=23
  • 30.
    Autossomos(somáticos) e heterossomos(sexuais) Os cromossomosautossômicos (A) são os relacionados às características comuns aos dois sexos, enquanto os sexuais (X e Y)são os responsáveis pelas características próprias de cada sexo. A formação de órgãos somáticos, tais como fígado, baço, o estômago e outros, deve-se a genes localizados nos autossomos, visto que esses órgãos existem nos dois sexos. 22 PARES DE AUTOSSOMOS + XY = MASCULINO 22 PARES DE AUTOSSOMOS + XX = FEMININO
  • 31.
    Microscopia Eletrônica docromossomo X e Y.
  • 32.
    Os cromossomos sexuais Ocromossomo Y é mais curto e possui menos genes que o cromossomo X, além de conter uma porção encurtada, em que existem genes exclusivos do sexo masculino. Observe na figura abaixo que uma parte do cromossomo X não possui alelos em Y, isto é, entre os dois cromossomos há uma região não-homóloga.