Genética MolecularGenética Molecular
1 E1 E
Prof. César Milani
Determinação das característicasDeterminação das características
genéticasgenéticas
Código Genético
 AS INFORMAÇÕES PARA A FABRICAÇÃOAS INFORMAÇÕES PARA A FABRICAÇÃO
DE PROTEÍNAS ESTÃO ARMAZENADASDE PROTEÍNAS ESTÃO ARMAZENADAS
NO DNA – CROMOSSOMOS ( CÓDIGONO DNA – CROMOSSOMOS ( CÓDIGO
GENÉTICO)GENÉTICO)
GenesGenes
Genes - regiões dos cromossomos
(pedaços interligados do DNA), que
contém instruções para a produção de
proteínas.
Genes
Características dos seres
vivos
Estrutura das proteínas
Sequência de bases
nitrogenadas
Como os genesComo os genes
são escritos?são escritos?
DNA RNA
Adenina
Guanina
Citosina
Timina Uracila
Púricas
Pirimídicas
 Os nucleotídeosOs nucleotídeos
vão sendovão sendo
interligados,interligados,
formando umaformando uma
longa fita.longa fita.
CÓDON
Conjunto de 3 nucleotídeos
( 3 bases)
Pontes de HidrogênioPontes de Hidrogênio
(Unindo os filamentos)(Unindo os filamentos)
DNADNA
 Ácido Desoxirribonucléico.Ácido Desoxirribonucléico.
 Molécula deMolécula de fita duplafita dupla formando umaformando uma dupladupla
hélicehélice
 As fitas estão unidas pelasAs fitas estão unidas pelas ligações deligações de
HidrogênioHidrogênio
 A = TA = T
 C = GC = G
DNA Duplicação DNA DNA
REPLICAÇÃO OU AUTODUPLICAÇÃO DO DNA
DNA POLIMERASEDNA POLIMERASE
Enzima que une os novos nucleotídeosEnzima que une os novos nucleotídeos
HELICASE
DNA POLIMERASE
Replicação do DNAReplicação do DNA
-CRESCIMENTO - REPOSIÇÃO CELULAR
-CÉLULAS REPRODUTIVAS
RNARNA
 Ácido RibonucléicoÁcido Ribonucléico
 Molécula deMolécula de fita simplesfita simples
 É dividido em:É dividido em:
 RNA mensageiro (RNA mensageiro (RNAmRNAm))
 RNA transportador (RNA transportador (RNAtRNAt))
 RNA ribossômico (RNA ribossômico (RNArRNAr))
DNA Transcrição DNA RNA
RNA??
RNA
POLIMERASE
RNAm  O RNA mensageiro contém a “mensagem” -
o código transcrito a partir do DNA - para a síntese
das proteínas. Cada conjunto de três nucleotídeos no
RNAm é chamado de CÓDON.
RNAt  O RNA transportador está presente no
citoplasma e é responsável pelo transporte dos
aminoácidos até os ribossomos para a síntese protéica.
No RNAt existe uma seqüência de nucleotídeos
correspondente ao códon chamada de ANTICÓDON.
RNAr  O RNA ribossômico ou ribossomal faz parte
da estrutura dos ribossomos e participa do processo de
tradução dos códons para construção das proteínas.
Tipos de RNA
O FUNCIONAMENTOO FUNCIONAMENTO
DE UM GENE.DE UM GENE.
1E – AULA 21E – AULA 2
RNAm - TRANSCRIÇÃORNAm - TRANSCRIÇÃO
Leva a informaçãoLeva a informação da sequência protéica a serda sequência protéica a ser
formada, do núcleo para o citoplasma, ondeformada, do núcleo para o citoplasma, onde
ocorre a tradução. Ele contém uma sequênciaocorre a tradução. Ele contém uma sequência
de trincas correspondente a uma das fitas dode trincas correspondente a uma das fitas do
DNA.DNA.
Cada trinca (três nucleotídeos) no RNAm éCada trinca (três nucleotídeos) no RNAm é
denominadadenominada códoncódon e corresponde a ume corresponde a um
aminoácido na proteína que irá se formar.aminoácido na proteína que irá se formar.
TranscriçãoTranscrição
 Processo pelo qual uma molécula de RNA éProcesso pelo qual uma molécula de RNA é
produzida usando como molde o DNA.produzida usando como molde o DNA.
1 códon  3 nucleotídeos no RNAm
7 códons  21 nucleotídeos
RNAt - TRADUÇÃORNAt - TRADUÇÃO
Levam os aminoácidosLevam os aminoácidos para o RNAm durantepara o RNAm durante
o processo de síntese protéica. Apresentam, emo processo de síntese protéica. Apresentam, em
uma determinada região, uma trinca deuma determinada região, uma trinca de
nucleotídeos que se destaca, denominadanucleotídeos que se destaca, denominada
anticódonanticódon..
É através do anticódon que o RNAt reconhece oÉ através do anticódon que o RNAt reconhece o
local do RNAm onde deve ser colocado olocal do RNAm onde deve ser colocado o
aminoácido por ele transportado. Cada RNAtaminoácido por ele transportado. Cada RNAt
carrega umcarrega um aminoácido específicoaminoácido específico, de acordo, de acordo
com o anticódon que possui.com o anticódon que possui.
Anticódon
Sítio de
ligação ao
aminoácido
U A CU A C
A U G U U U C U U G A C C C C U G
A
U A C A A A
• Quando o RNAm chega ao
citoplasma, ele se associa ao
ribossomo.
• Nessa organela existem 2 espaços
onde entram os RNAt com
aminoácidos específicos.
• somente os RNAt que têm
seqüência do anti-códon
complementar à seqüência do
códon .
A U G U U U C U U G A C C C C U G
A
U A C A A A
• Uma enzima presente na
subunidade maior do ribossomo
realiza a ligação peptídica entre os
aminoácidos.
A U G U U U C U U G A C C C C U G
A
U A C
A A A
• O RNAt “vazio” volta para o
citoplasma para se ligar a outro
aminoácido.
A U G U U U C U U G A C C C C U G
A
U A C
A A A G A A
• O ribossomo agora se desloca a
distância de 1 códon.
• o espaço vazio é preenchido por
um outro RNAt com seqüência do
anti-códon complementar à
seqüência do códon.
A U G U U U C U U G A C C C C U G
A
U A C
A A A G A A
• Uma enzima presente na
subunidade maior do ribossomo
realiza a ligação peptídica entre os
aminoácidos.
A U G U U U C U U G A C C C C U G
A
U A C A A A
G A A
• O RNAt “vazio” volta para o
citoplasma para se ligar a outro
aminoácido.
• O assim o ribossomo vai se
deslocando ao longo do RNAm e os
aminoácidos são ligados.
A U G U U U C U U G A C C C C U G
A
G G G
Códon de
terminação
• Quando o ribossomo passa por um
códon de terminação nenhum RNAt
entra no ribossomo, porque na célula
não existem RNAt com seqüências
complementares aos códons de
terminação.
A U G U U U C U U G A C C C C U G
A
G G G
• Então o ribossomo se solta do
RNAm, a proteína recém formada é
liberada e o RNAm é degradado.
 Código genético é universalCódigo genético é universal  
O código genético é dito universal pelo fato mesmaO código genético é dito universal pelo fato mesma
trinca codificar o mesmo aminoácido em qualquertrinca codificar o mesmo aminoácido em qualquer
organismo. Em alguns casos certas trincas são maisorganismo. Em alguns casos certas trincas são mais
eficientemente utilizadas. eficientemente utilizadas. 
*As diferenças entre os seres vivos devem-se aos*As diferenças entre os seres vivos devem-se aos
diferentes genes, que fabricam proteínas diferentes.diferentes genes, que fabricam proteínas diferentes.
 Código genético éCódigo genético é
degeneradodegenerado  
O código genético é dito degenerado pelo fato deO código genético é dito degenerado pelo fato de
existir, para um determinado aminoácido, mais deexistir, para um determinado aminoácido, mais de
uma trinca de nucleotídeos para codificá-lo.uma trinca de nucleotídeos para codificá-lo.
Ex: A glicina é codificada por GGG, GGC, GGA eEx: A glicina é codificada por GGG, GGC, GGA e
GGU.GGU.
IMPORTÂNCIAIMPORTÂNCIA: Estratégia de defesa do organismo: Estratégia de defesa do organismo
contra mutações.contra mutações.
Ex: câncer.Ex: câncer.
TRANSCRIPTASE REVERSATRANSCRIPTASE REVERSA
 Enzima - RetrovírusEnzima - Retrovírus
ENGENHARIA GENÉTICAENGENHARIA GENÉTICA
(DNA RECOMBINANTE)(DNA RECOMBINANTE)
 O O plasmídioplasmídio é o material genético circular não é o material genético circular não
ligado ao cromossomo que fica espalhado peloligado ao cromossomo que fica espalhado pelo
hialoplasma das bactérias. Ele sofre o mesmohialoplasma das bactérias. Ele sofre o mesmo
processo do DNA dos cromossomos deprocesso do DNA dos cromossomos de
transcrição e tradução, além de, se multiplicar atranscrição e tradução, além de, se multiplicar a
cada divisão celular, passando uma cópia paracada divisão celular, passando uma cópia para
cada célula “filha”.cada célula “filha”.
Importância dos Microrganismos e das
Enzimas na Engenharia Genética
As células animais e vegetais usualmente não
podem ser cultivadas para produção de compostos
específicos – estas perdem a habilidade de síntese quando
são isoladas e cultivadas em laboratório. Também , o
cultivo de células de tecido em laboratório é dispendioso e
requer meios complexos altamente enriquecidos.
Uso de microrganismosUso de microrganismos – medicina: altamente
empregado, pois evita muitos dos problemas associados
com a obtenção de compostos importantes (insulina, etc.).
As bactérias que carregam os genes para os mais diversos
compostos, podem ser cultivadas indefinidamente.
Por meio da introdução de genes estranhos em
microrganismos, é possível desenvolver cepas que
oferecem novas soluções para problemas diversos, como
poluição, escassez de alimento e energia , controle de
doenças e até mesmo terapia gênica.
ENZIMASENZIMAS: fundamental para a tecnologia do DNA
recombinante.
•Endonucleases de restrição: apresentam papel
fundamental, clivando o DNA em seqüências
específicas, gerando um conjunto de fragmentos
menores.
•DNA ligase: os fragmentos separados para serem
clonados podem ser unidos a um vetor de clonagem
apropriado usando a DNA ligase.
Assim, o vetor recombinante é introduzido numaAssim, o vetor recombinante é introduzido numa
célula hospedeira que o “clona”, a medida que a célulacélula hospedeira que o “clona”, a medida que a célula
realiza muitas gerações de divisões celulares.realiza muitas gerações de divisões celulares.
OS GENES NÃO SÃOOS GENES NÃO SÃO
CONTÍNUOS!CONTÍNUOS!
HETEROGÊNEO
NUCLEAR
OS TESTES DE DNAOS TESTES DE DNA
 A molécula de DNA, pode sofrer alteraçõesA molécula de DNA, pode sofrer alterações
(mutações), com a substituição de certos nucleotídeos(mutações), com a substituição de certos nucleotídeos
por outros diferentes. As mutações são mais toleradaspor outros diferentes. As mutações são mais toleradas
quando acontecem em regiões não codificantes doquando acontecem em regiões não codificantes do
DNA. Muitas vezes, as mutações tornam-se estáveis,DNA. Muitas vezes, as mutações tornam-se estáveis,
sendo transmitidas aos descendentes. Como é muitosendo transmitidas aos descendentes. Como é muito
grande a variação no número e no tipo de mutaçõesgrande a variação no número e no tipo de mutações
estáveis do DNA (polimorfismo genético), é possívelestáveis do DNA (polimorfismo genético), é possível
identificar uma pessoa com base no seu padrão deidentificar uma pessoa com base no seu padrão de
polimorfismo.polimorfismo.
OS TESTES DE DNAOS TESTES DE DNA
MUTAÇÕES GÊNICASMUTAÇÕES GÊNICAS
 Uma alteração em qualquer ponto da sequênciaUma alteração em qualquer ponto da sequência
de nucleotídeos é uma mutação gênica.de nucleotídeos é uma mutação gênica.
 Causas:Causas:
Agentes Físicos - RadiaçõesAgentes Físicos - Radiações
Agentes Químicos – Produtos químicosAgentes Químicos – Produtos químicos
Agentes Biológicos - VírusAgentes Biológicos - Vírus
Célula ProcarionteCélula Procarionte
Célula VegetalCélula Vegetal
  
Célula AnimalCélula Animal
VirusVirus
O que é DNA?O que é DNA?
DNADNA
DeoxiriboNucleic AcidDeoxiriboNucleic Acid
ácido deoxiribonucléicoácido deoxiribonucléico
ácido desoxiribonucléicoácido desoxiribonucléico
ADNADN
DNADNA
DNA é um ácido nucléicoDNA é um ácido nucléico
composto de duas cadeiascomposto de duas cadeias
antiparalelasantiparalelas
complementares.complementares.
Os nucleotídeos sãoOs nucleotídeos são
compostos de um grupocompostos de um grupo
fosfato, uma pentose efosfato, uma pentose e
uma base nitrogenadauma base nitrogenada
DNADNA
O DNA tem quatro bases nitrogenadas.O DNA tem quatro bases nitrogenadas.
 Duas são chamadas purinasDuas são chamadas purinas
 Adenina (Adenina ( AA ), Guanina (), Guanina ( GG ))
 Duas são pirimidinasDuas são pirimidinas
 Citosina (Citosina ( CC ), Timina (), Timina ( TT ))
DNADNA
Essas quatro bases são ligadas em um padrãoEssas quatro bases são ligadas em um padrão
repetitivo por pontes de hidrogênio entre asrepetitivo por pontes de hidrogênio entre as
bases nitrogenadasbases nitrogenadas
A ligação de duas cadeias complementares éA ligação de duas cadeias complementares é
chamada de HIBRIDIZAÇÃO.chamada de HIBRIDIZAÇÃO.
A ligação entre nucleotídeos é do tipo fosfodiesterA ligação entre nucleotídeos é do tipo fosfodiester
Estrutura do DNAEstrutura do DNA
 Dupla HéliceDupla Hélice
 Watson and CrickWatson and Crick
(1953)(1953)
 AntiparalelasAntiparalelas
 PareamentoPareamento
Complementar deComplementar de
Bases Nitrogenadas:Bases Nitrogenadas:
AA TT
GG CC
Rosalind FranklinRosalind Franklin
(1920-1953)(1920-1953)
 Using X-ray techniques took pictures of DNAUsing X-ray techniques took pictures of DNA
and discovered the double helix shape of DNA.and discovered the double helix shape of DNA.
 Died of cancer due to unknown harmful affectsDied of cancer due to unknown harmful affects
of X-rayof X-ray
James Watson and Francis CrickJames Watson and Francis Crick
3’5’
3’5’
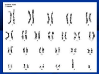
Como vemos o DNA?Como vemos o DNA?
MOMO MEME
CromossomosCromossomos
Cromossômos metafásicos
250 milhões de pares de bases
50 milhões de pares de bases
Homem 3.200.000.000 bases
Rato 3.000.000.000 bases
Drosophila 160.000.000 bases
Arabidopsis 135.000.000 bases
S. cerevisae 13.000.000 bases
X. fastidiosa 2.679.572 bases
H. influenzae 1.830.000 bases
M. pneumoniae 810.000 bases
HTLV-II 8.952 bases
TAMANHO DO GENOMA
Genoma Humano
Genoma NuclearGenoma Nuclear
3.200.000.000 nt3.200.000.000 nt
30.000 - 40.000 genes30.000 - 40.000 genes
Genoma MitocondrialGenoma Mitocondrial
16.600 nt16.600 nt
37 genes37 genes
GENE: Seqüência de DNA que codifica um RNA funcional
GenesGenes
Gene – regiões do cromossomo
– codificam proteinas
DNA -> RNA-> proteina
O que é RNA?O que é RNA?
RNARNA
RiboNucleic AcidRiboNucleic Acid
Ácido ribonucléicoÁcido ribonucléico
ARNARN
RNARNA
RNA X DNARNA X DNA
Estrutura do RNAEstrutura do RNA
 O Nucleotídeo de RNA contém:O Nucleotídeo de RNA contém:
 Base Nitrogenadas:Base Nitrogenadas:
 A,C,G e U (não contém T)A,C,G e U (não contém T)
 RiboseRibose
 FosfatoFosfato
 Fita SimplesFita Simples
DNA X RNADNA X RNA
RNAm  O RNA mensageiro é formado no núcleo e
contém a “mensagem” - o código transcrito a partir
do DNA - para a síntese das proteínas. Cada conjunto
de três nucleotídeos no RNAm é chamado de
CÓDON.
RNAt  O RNA transportador está presente no
citoplasma e é responsável pelo transporte dos
aminoácidos até os ribossomos para a síntese protéica.
No RNAt existe uma seqüência de nucleotídeos
correspondente ao códon chamada de ANTI-
CÓDON.
RNAr  O RNA ribossômico ou ribossomal faz parte
da estrutura dos ribossomos e participa do processo de
tradução dos códons para construção das proteínas.
Tipos de RNA
GenesGenes
Gene – regiões do cromossomo
– codificam proteinas
DNA -> RNA-> proteina
GenesGenes
Gene – regiões do cromossomo
– codificam proteinas
DNA -> RNA-> proteina
Genes
Características físicas ou
bioquímicas observáveis
Genes
Características físicas ou
bioquímicas observáveis
Estrutura das proteínas
Genes
Características físicas ou
bioquímicas observáveis
Estrutura das proteínas
Seqüência de bases
nitrogenadas
ConceitosConceitos
 Genótipo -Genótipo - constituição genética do indivíduo,constituição genética do indivíduo,
ou seja, aos genes que ele possuiou seja, aos genes que ele possui
 FenótipoFenótipo - características apresentadas por um- características apresentadas por um
indivíduo, sejam elas morfológicas, fisiológicas eindivíduo, sejam elas morfológicas, fisiológicas e
comportamentaiscomportamentais
 Gene e ambienteGene e ambiente
Como o gene gera proteína?Como o gene gera proteína?
DOGMA CENTRAL DA BIOLOGIA MOLECULARDOGMA CENTRAL DA BIOLOGIA MOLECULAR
DNA -> RNA-> proteinaDNA -> RNA-> proteina
Diferença em proteínas levam a diferenças entreDiferença em proteínas levam a diferenças entre
indivíduosindivíduos
ARQUIVO DE INSTRUÇÕES
CODIFICADAS
MENSAGEM
SUBSTÂNCIA ATIVA EFETOR
Replicação do DNAReplicação do DNA
DNA
RNA
TranscriçãoTranscrição
A TraduçãoA Tradução
RNA
Proteína
Replicação do DNAReplicação do DNA
 Auto-duplicação do material genéticoAuto-duplicação do material genético
 mantendo assim o padrão de herançamantendo assim o padrão de herança
 Semi- conservativaSemi- conservativa
 DescontínuaDescontínua
5’ 3’5’ 3’
 DNA polimeraseDNA polimerase
 enzima quebra asenzima quebra as
ligações de pontes deligações de pontes de
hidrogênio para replicarhidrogênio para replicar
DNADNA
 RNA polimeraseRNA polimerase
 enzima quebra asenzima quebra as
ligações de pontes deligações de pontes de
hidrogênio para formarhidrogênio para formar
RNARNA
 DNA->RNA->ProteinaDNA->RNA->Proteina
TranscriçãoTranscrição
 A mensagem genética é passada do DNA para uma fitaA mensagem genética é passada do DNA para uma fita
de mRNAde mRNA
 Fita dupla de DNA:Fita dupla de DNA:
 5’ ATCTTTAGGCTACAGGT 3’5’ ATCTTTAGGCTACAGGT 3’
3’ TAGAAATCCGATGTCCA 5’3’ TAGAAATCCGATGTCCA 5’
TranscriçãoTranscrição
 A mensagem genética é passada do DNA para uma fitaA mensagem genética é passada do DNA para uma fita
de mRNAde mRNA
5’ ATCTTTAGGCTACAGGT 3’5’ ATCTTTAGGCTACAGGT 3’
3’ TAGAAATCCGATGTCCA 5’3’ TAGAAATCCGATGTCCA 5’
TranscriçãoTranscrição
 A mensagem genética é passada do DNA para uma fitaA mensagem genética é passada do DNA para uma fita
de mRNAde mRNA
5’ ATCTTTAGGCTACAGGT 3’5’ ATCTTTAGGCTACAGGT 3’
5’ AUCUUUAGGCUACAGGU3’5’ AUCUUUAGGCUACAGGU3’
3’ TAGAAATCCGATGTCCA 5’3’ TAGAAATCCGATGTCCA 5’
RNA
 DNADNA …ATC GGC TAG CTA GCG TAG CGA⇒…ATC GGC TAG CTA GCG TAG CGA⇒
TGC AAA TTT AAA TAT ATG…TGC AAA TTT AAA TAT ATG…
 RNAmRNAm …UAG CCG AUC GAU CGC AUC GCU⇒…UAG CCG AUC GAU CGC AUC GCU⇒
ACG UUU AAA UUU AUA UAC…ACG UUU AAA UUU AUA UAC…
 CODÓNSCODÓNS …[UAG][CCG][AUC][GAU][CGC]⇒…[UAG][CCG][AUC][GAU][CGC]⇒
[AUC][GCU][ACG][UUU][AAA][UUU][AUA][UAC][AUC][GCU][ACG][UUU][AAA][UUU][AUA][UAC]
……
4 bases, combinadas 3 a 3
4x4x4 = 64 códigos
CODIFICAÇÃO
4 Bases: A T G
C 20 Aminoácidos
Sinal de término
Sinal de início
4 bases, 3 a 3
4x4x4 = 64
códigos
U C A G
Phe Ser TyrTyr CysCys U
Phe Ser TyrTyr CysCys C
U Leu Ser A
Leu Ser Trp G
Leu ProPro His Arg U
Leu ProPro His Arg C
C Leu ProPro Gln Arg A
Leu ProPro Gln Arg G
Ile ThrThr Asn Ser U
Ile ThrThr Asn Ser C
A Ile ThrThr LysLys Arg A
MetMet ThrThr Lys Arg G
Val Ala AspAsp GlyGly U
Val Ala AspAsp GlyGly C
G Val Ala Glu GlyGly A
Val Ala Glu GlyGly G
1a.
2a. 3a.
aa aa aa aa aa aa aa aa
Proteína
CTC ATT GTG CTT GAA TTT TTG GTG
DNA
GAG UAA CAC GAA CUU AAA AAC CAC
mRNA
TraduçãoTradução
 A tradução é um processo que ocorre no citoplasma daA tradução é um processo que ocorre no citoplasma da
célula, no qual a mensagem trazida pela fita de mRNA écélula, no qual a mensagem trazida pela fita de mRNA é
traduzida em uma seqüência de aminoácidos.traduzida em uma seqüência de aminoácidos.
5’ ATCTTTAGGCTACAGGT 3’5’ ATCTTTAGGCTACAGGT 3’
5’ AUCUUUAGGCUACAGGU3’5’ AUCUUUAGGCUACAGGU3’
3’ TAGAAATCCGATGTCCA 5’3’ TAGAAATCCGATGTCCA 5’
RNA
TraduçãoTradução
 CódonsCódons
 5’ AUCUUUAGGCUACAGGUC3’5’ AUCUUUAGGCUACAGGUC3’
RNA
TraduçãoTradução
Ile - Phe - Arg -Leu-Gln-Val ProteínaIle - Phe - Arg -Leu-Gln-Val Proteína
 5’ AUCUUUAGGCUACAGGUC3’5’ AUCUUUAGGCUACAGGUC3’ RNA
TraduçãoTradução
A genética molecular   1 e

A genética molecular 1 e

  • 1.
  • 2.
    Determinação das característicasDeterminaçãodas características genéticasgenéticas Código Genético
  • 3.
     AS INFORMAÇÕESPARA A FABRICAÇÃOAS INFORMAÇÕES PARA A FABRICAÇÃO DE PROTEÍNAS ESTÃO ARMAZENADASDE PROTEÍNAS ESTÃO ARMAZENADAS NO DNA – CROMOSSOMOS ( CÓDIGONO DNA – CROMOSSOMOS ( CÓDIGO GENÉTICO)GENÉTICO)
  • 4.
    GenesGenes Genes - regiõesdos cromossomos (pedaços interligados do DNA), que contém instruções para a produção de proteínas.
  • 6.
    Genes Características dos seres vivos Estruturadas proteínas Sequência de bases nitrogenadas
  • 7.
    Como os genesComoos genes são escritos?são escritos?
  • 8.
  • 9.
     Os nucleotídeosOsnucleotídeos vão sendovão sendo interligados,interligados, formando umaformando uma longa fita.longa fita. CÓDON Conjunto de 3 nucleotídeos ( 3 bases)
  • 10.
    Pontes de HidrogênioPontesde Hidrogênio (Unindo os filamentos)(Unindo os filamentos)
  • 11.
    DNADNA  Ácido Desoxirribonucléico.ÁcidoDesoxirribonucléico.  Molécula deMolécula de fita duplafita dupla formando umaformando uma dupladupla hélicehélice  As fitas estão unidas pelasAs fitas estão unidas pelas ligações deligações de HidrogênioHidrogênio  A = TA = T  C = GC = G
  • 12.
    DNA Duplicação DNADNA REPLICAÇÃO OU AUTODUPLICAÇÃO DO DNA
  • 13.
    DNA POLIMERASEDNA POLIMERASE Enzimaque une os novos nucleotídeosEnzima que une os novos nucleotídeos HELICASE DNA POLIMERASE
  • 14.
    Replicação do DNAReplicaçãodo DNA -CRESCIMENTO - REPOSIÇÃO CELULAR -CÉLULAS REPRODUTIVAS
  • 16.
    RNARNA  Ácido RibonucléicoÁcidoRibonucléico  Molécula deMolécula de fita simplesfita simples  É dividido em:É dividido em:  RNA mensageiro (RNA mensageiro (RNAmRNAm))  RNA transportador (RNA transportador (RNAtRNAt))  RNA ribossômico (RNA ribossômico (RNArRNAr))
  • 17.
    DNA Transcrição DNARNA RNA?? RNA POLIMERASE
  • 18.
    RNAm  ORNA mensageiro contém a “mensagem” - o código transcrito a partir do DNA - para a síntese das proteínas. Cada conjunto de três nucleotídeos no RNAm é chamado de CÓDON. RNAt  O RNA transportador está presente no citoplasma e é responsável pelo transporte dos aminoácidos até os ribossomos para a síntese protéica. No RNAt existe uma seqüência de nucleotídeos correspondente ao códon chamada de ANTICÓDON. RNAr  O RNA ribossômico ou ribossomal faz parte da estrutura dos ribossomos e participa do processo de tradução dos códons para construção das proteínas. Tipos de RNA
  • 19.
    O FUNCIONAMENTOO FUNCIONAMENTO DEUM GENE.DE UM GENE. 1E – AULA 21E – AULA 2
  • 20.
    RNAm - TRANSCRIÇÃORNAm- TRANSCRIÇÃO Leva a informaçãoLeva a informação da sequência protéica a serda sequência protéica a ser formada, do núcleo para o citoplasma, ondeformada, do núcleo para o citoplasma, onde ocorre a tradução. Ele contém uma sequênciaocorre a tradução. Ele contém uma sequência de trincas correspondente a uma das fitas dode trincas correspondente a uma das fitas do DNA.DNA. Cada trinca (três nucleotídeos) no RNAm éCada trinca (três nucleotídeos) no RNAm é denominadadenominada códoncódon e corresponde a ume corresponde a um aminoácido na proteína que irá se formar.aminoácido na proteína que irá se formar.
  • 21.
    TranscriçãoTranscrição  Processo peloqual uma molécula de RNA éProcesso pelo qual uma molécula de RNA é produzida usando como molde o DNA.produzida usando como molde o DNA.
  • 22.
    1 códon 3 nucleotídeos no RNAm 7 códons  21 nucleotídeos
  • 23.
    RNAt - TRADUÇÃORNAt- TRADUÇÃO Levam os aminoácidosLevam os aminoácidos para o RNAm durantepara o RNAm durante o processo de síntese protéica. Apresentam, emo processo de síntese protéica. Apresentam, em uma determinada região, uma trinca deuma determinada região, uma trinca de nucleotídeos que se destaca, denominadanucleotídeos que se destaca, denominada anticódonanticódon.. É através do anticódon que o RNAt reconhece oÉ através do anticódon que o RNAt reconhece o local do RNAm onde deve ser colocado olocal do RNAm onde deve ser colocado o aminoácido por ele transportado. Cada RNAtaminoácido por ele transportado. Cada RNAt carrega umcarrega um aminoácido específicoaminoácido específico, de acordo, de acordo com o anticódon que possui.com o anticódon que possui.
  • 24.
  • 25.
    A U GU U U C U U G A C C C C U G A U A C A A A • Quando o RNAm chega ao citoplasma, ele se associa ao ribossomo. • Nessa organela existem 2 espaços onde entram os RNAt com aminoácidos específicos. • somente os RNAt que têm seqüência do anti-códon complementar à seqüência do códon .
  • 26.
    A U GU U U C U U G A C C C C U G A U A C A A A • Uma enzima presente na subunidade maior do ribossomo realiza a ligação peptídica entre os aminoácidos.
  • 27.
    A U GU U U C U U G A C C C C U G A U A C A A A • O RNAt “vazio” volta para o citoplasma para se ligar a outro aminoácido.
  • 28.
    A U GU U U C U U G A C C C C U G A U A C A A A G A A • O ribossomo agora se desloca a distância de 1 códon. • o espaço vazio é preenchido por um outro RNAt com seqüência do anti-códon complementar à seqüência do códon.
  • 29.
    A U GU U U C U U G A C C C C U G A U A C A A A G A A • Uma enzima presente na subunidade maior do ribossomo realiza a ligação peptídica entre os aminoácidos.
  • 30.
    A U GU U U C U U G A C C C C U G A U A C A A A G A A • O RNAt “vazio” volta para o citoplasma para se ligar a outro aminoácido. • O assim o ribossomo vai se deslocando ao longo do RNAm e os aminoácidos são ligados.
  • 31.
    A U GU U U C U U G A C C C C U G A G G G Códon de terminação • Quando o ribossomo passa por um códon de terminação nenhum RNAt entra no ribossomo, porque na célula não existem RNAt com seqüências complementares aos códons de terminação.
  • 32.
    A U GU U U C U U G A C C C C U G A G G G • Então o ribossomo se solta do RNAm, a proteína recém formada é liberada e o RNAm é degradado.
  • 34.
     Código genéticoé universalCódigo genético é universal   O código genético é dito universal pelo fato mesmaO código genético é dito universal pelo fato mesma trinca codificar o mesmo aminoácido em qualquertrinca codificar o mesmo aminoácido em qualquer organismo. Em alguns casos certas trincas são maisorganismo. Em alguns casos certas trincas são mais eficientemente utilizadas. eficientemente utilizadas.  *As diferenças entre os seres vivos devem-se aos*As diferenças entre os seres vivos devem-se aos diferentes genes, que fabricam proteínas diferentes.diferentes genes, que fabricam proteínas diferentes.
  • 36.
     Código genéticoéCódigo genético é degeneradodegenerado   O código genético é dito degenerado pelo fato deO código genético é dito degenerado pelo fato de existir, para um determinado aminoácido, mais deexistir, para um determinado aminoácido, mais de uma trinca de nucleotídeos para codificá-lo.uma trinca de nucleotídeos para codificá-lo. Ex: A glicina é codificada por GGG, GGC, GGA eEx: A glicina é codificada por GGG, GGC, GGA e GGU.GGU. IMPORTÂNCIAIMPORTÂNCIA: Estratégia de defesa do organismo: Estratégia de defesa do organismo contra mutações.contra mutações. Ex: câncer.Ex: câncer.
  • 37.
    TRANSCRIPTASE REVERSATRANSCRIPTASE REVERSA Enzima - RetrovírusEnzima - Retrovírus
  • 38.
    ENGENHARIA GENÉTICAENGENHARIA GENÉTICA (DNARECOMBINANTE)(DNA RECOMBINANTE)  O O plasmídioplasmídio é o material genético circular não é o material genético circular não ligado ao cromossomo que fica espalhado peloligado ao cromossomo que fica espalhado pelo hialoplasma das bactérias. Ele sofre o mesmohialoplasma das bactérias. Ele sofre o mesmo processo do DNA dos cromossomos deprocesso do DNA dos cromossomos de transcrição e tradução, além de, se multiplicar atranscrição e tradução, além de, se multiplicar a cada divisão celular, passando uma cópia paracada divisão celular, passando uma cópia para cada célula “filha”.cada célula “filha”.
  • 41.
    Importância dos Microrganismose das Enzimas na Engenharia Genética As células animais e vegetais usualmente não podem ser cultivadas para produção de compostos específicos – estas perdem a habilidade de síntese quando são isoladas e cultivadas em laboratório. Também , o cultivo de células de tecido em laboratório é dispendioso e requer meios complexos altamente enriquecidos. Uso de microrganismosUso de microrganismos – medicina: altamente empregado, pois evita muitos dos problemas associados com a obtenção de compostos importantes (insulina, etc.). As bactérias que carregam os genes para os mais diversos compostos, podem ser cultivadas indefinidamente.
  • 42.
    Por meio daintrodução de genes estranhos em microrganismos, é possível desenvolver cepas que oferecem novas soluções para problemas diversos, como poluição, escassez de alimento e energia , controle de doenças e até mesmo terapia gênica. ENZIMASENZIMAS: fundamental para a tecnologia do DNA recombinante. •Endonucleases de restrição: apresentam papel fundamental, clivando o DNA em seqüências específicas, gerando um conjunto de fragmentos menores. •DNA ligase: os fragmentos separados para serem clonados podem ser unidos a um vetor de clonagem apropriado usando a DNA ligase. Assim, o vetor recombinante é introduzido numaAssim, o vetor recombinante é introduzido numa célula hospedeira que o “clona”, a medida que a célulacélula hospedeira que o “clona”, a medida que a célula realiza muitas gerações de divisões celulares.realiza muitas gerações de divisões celulares.
  • 43.
    OS GENES NÃOSÃOOS GENES NÃO SÃO CONTÍNUOS!CONTÍNUOS! HETEROGÊNEO NUCLEAR
  • 44.
    OS TESTES DEDNAOS TESTES DE DNA  A molécula de DNA, pode sofrer alteraçõesA molécula de DNA, pode sofrer alterações (mutações), com a substituição de certos nucleotídeos(mutações), com a substituição de certos nucleotídeos por outros diferentes. As mutações são mais toleradaspor outros diferentes. As mutações são mais toleradas quando acontecem em regiões não codificantes doquando acontecem em regiões não codificantes do DNA. Muitas vezes, as mutações tornam-se estáveis,DNA. Muitas vezes, as mutações tornam-se estáveis, sendo transmitidas aos descendentes. Como é muitosendo transmitidas aos descendentes. Como é muito grande a variação no número e no tipo de mutaçõesgrande a variação no número e no tipo de mutações estáveis do DNA (polimorfismo genético), é possívelestáveis do DNA (polimorfismo genético), é possível identificar uma pessoa com base no seu padrão deidentificar uma pessoa com base no seu padrão de polimorfismo.polimorfismo.
  • 45.
    OS TESTES DEDNAOS TESTES DE DNA
  • 46.
    MUTAÇÕES GÊNICASMUTAÇÕES GÊNICAS Uma alteração em qualquer ponto da sequênciaUma alteração em qualquer ponto da sequência de nucleotídeos é uma mutação gênica.de nucleotídeos é uma mutação gênica.  Causas:Causas: Agentes Físicos - RadiaçõesAgentes Físicos - Radiações Agentes Químicos – Produtos químicosAgentes Químicos – Produtos químicos Agentes Biológicos - VírusAgentes Biológicos - Vírus
  • 48.
  • 49.
  • 50.
  • 51.
  • 52.
    O que éDNA?O que é DNA? DNADNA DeoxiriboNucleic AcidDeoxiriboNucleic Acid ácido deoxiribonucléicoácido deoxiribonucléico ácido desoxiribonucléicoácido desoxiribonucléico ADNADN
  • 53.
    DNADNA DNA é umácido nucléicoDNA é um ácido nucléico composto de duas cadeiascomposto de duas cadeias antiparalelasantiparalelas complementares.complementares. Os nucleotídeos sãoOs nucleotídeos são compostos de um grupocompostos de um grupo fosfato, uma pentose efosfato, uma pentose e uma base nitrogenadauma base nitrogenada
  • 55.
    DNADNA O DNA temquatro bases nitrogenadas.O DNA tem quatro bases nitrogenadas.  Duas são chamadas purinasDuas são chamadas purinas  Adenina (Adenina ( AA ), Guanina (), Guanina ( GG ))  Duas são pirimidinasDuas são pirimidinas  Citosina (Citosina ( CC ), Timina (), Timina ( TT ))
  • 56.
    DNADNA Essas quatro basessão ligadas em um padrãoEssas quatro bases são ligadas em um padrão repetitivo por pontes de hidrogênio entre asrepetitivo por pontes de hidrogênio entre as bases nitrogenadasbases nitrogenadas A ligação de duas cadeias complementares éA ligação de duas cadeias complementares é chamada de HIBRIDIZAÇÃO.chamada de HIBRIDIZAÇÃO. A ligação entre nucleotídeos é do tipo fosfodiesterA ligação entre nucleotídeos é do tipo fosfodiester
  • 58.
    Estrutura do DNAEstruturado DNA  Dupla HéliceDupla Hélice  Watson and CrickWatson and Crick (1953)(1953)  AntiparalelasAntiparalelas  PareamentoPareamento Complementar deComplementar de Bases Nitrogenadas:Bases Nitrogenadas: AA TT GG CC
  • 59.
    Rosalind FranklinRosalind Franklin (1920-1953)(1920-1953) Using X-ray techniques took pictures of DNAUsing X-ray techniques took pictures of DNA and discovered the double helix shape of DNA.and discovered the double helix shape of DNA.  Died of cancer due to unknown harmful affectsDied of cancer due to unknown harmful affects of X-rayof X-ray
  • 60.
    James Watson andFrancis CrickJames Watson and Francis Crick
  • 62.
  • 63.
    Como vemos oDNA?Como vemos o DNA? MOMO MEME
  • 66.
  • 67.
  • 69.
    250 milhões depares de bases 50 milhões de pares de bases
  • 70.
    Homem 3.200.000.000 bases Rato3.000.000.000 bases Drosophila 160.000.000 bases Arabidopsis 135.000.000 bases S. cerevisae 13.000.000 bases X. fastidiosa 2.679.572 bases H. influenzae 1.830.000 bases M. pneumoniae 810.000 bases HTLV-II 8.952 bases TAMANHO DO GENOMA
  • 71.
    Genoma Humano Genoma NuclearGenomaNuclear 3.200.000.000 nt3.200.000.000 nt 30.000 - 40.000 genes30.000 - 40.000 genes Genoma MitocondrialGenoma Mitocondrial 16.600 nt16.600 nt 37 genes37 genes
  • 72.
    GENE: Seqüência deDNA que codifica um RNA funcional
  • 73.
    GenesGenes Gene – regiõesdo cromossomo – codificam proteinas DNA -> RNA-> proteina
  • 74.
    O que éRNA?O que é RNA? RNARNA RiboNucleic AcidRiboNucleic Acid Ácido ribonucléicoÁcido ribonucléico ARNARN
  • 75.
  • 76.
  • 77.
    Estrutura do RNAEstruturado RNA  O Nucleotídeo de RNA contém:O Nucleotídeo de RNA contém:  Base Nitrogenadas:Base Nitrogenadas:  A,C,G e U (não contém T)A,C,G e U (não contém T)  RiboseRibose  FosfatoFosfato  Fita SimplesFita Simples
  • 78.
  • 81.
    RNAm  ORNA mensageiro é formado no núcleo e contém a “mensagem” - o código transcrito a partir do DNA - para a síntese das proteínas. Cada conjunto de três nucleotídeos no RNAm é chamado de CÓDON. RNAt  O RNA transportador está presente no citoplasma e é responsável pelo transporte dos aminoácidos até os ribossomos para a síntese protéica. No RNAt existe uma seqüência de nucleotídeos correspondente ao códon chamada de ANTI- CÓDON. RNAr  O RNA ribossômico ou ribossomal faz parte da estrutura dos ribossomos e participa do processo de tradução dos códons para construção das proteínas. Tipos de RNA
  • 82.
    GenesGenes Gene – regiõesdo cromossomo – codificam proteinas DNA -> RNA-> proteina
  • 83.
    GenesGenes Gene – regiõesdo cromossomo – codificam proteinas DNA -> RNA-> proteina
  • 84.
  • 85.
    Genes Características físicas ou bioquímicasobserváveis Estrutura das proteínas
  • 86.
    Genes Características físicas ou bioquímicasobserváveis Estrutura das proteínas Seqüência de bases nitrogenadas
  • 87.
    ConceitosConceitos  Genótipo -Genótipo- constituição genética do indivíduo,constituição genética do indivíduo, ou seja, aos genes que ele possuiou seja, aos genes que ele possui  FenótipoFenótipo - características apresentadas por um- características apresentadas por um indivíduo, sejam elas morfológicas, fisiológicas eindivíduo, sejam elas morfológicas, fisiológicas e comportamentaiscomportamentais  Gene e ambienteGene e ambiente
  • 89.
    Como o genegera proteína?Como o gene gera proteína? DOGMA CENTRAL DA BIOLOGIA MOLECULARDOGMA CENTRAL DA BIOLOGIA MOLECULAR DNA -> RNA-> proteinaDNA -> RNA-> proteina Diferença em proteínas levam a diferenças entreDiferença em proteínas levam a diferenças entre indivíduosindivíduos
  • 90.
  • 91.
  • 92.
  • 93.
  • 95.
    Replicação do DNAReplicaçãodo DNA  Auto-duplicação do material genéticoAuto-duplicação do material genético  mantendo assim o padrão de herançamantendo assim o padrão de herança  Semi- conservativaSemi- conservativa  DescontínuaDescontínua
  • 98.
    5’ 3’5’ 3’ DNA polimeraseDNA polimerase  enzima quebra asenzima quebra as ligações de pontes deligações de pontes de hidrogênio para replicarhidrogênio para replicar DNADNA  RNA polimeraseRNA polimerase  enzima quebra asenzima quebra as ligações de pontes deligações de pontes de hidrogênio para formarhidrogênio para formar RNARNA  DNA->RNA->ProteinaDNA->RNA->Proteina
  • 99.
    TranscriçãoTranscrição  A mensagemgenética é passada do DNA para uma fitaA mensagem genética é passada do DNA para uma fita de mRNAde mRNA  Fita dupla de DNA:Fita dupla de DNA:  5’ ATCTTTAGGCTACAGGT 3’5’ ATCTTTAGGCTACAGGT 3’ 3’ TAGAAATCCGATGTCCA 5’3’ TAGAAATCCGATGTCCA 5’
  • 100.
    TranscriçãoTranscrição  A mensagemgenética é passada do DNA para uma fitaA mensagem genética é passada do DNA para uma fita de mRNAde mRNA 5’ ATCTTTAGGCTACAGGT 3’5’ ATCTTTAGGCTACAGGT 3’ 3’ TAGAAATCCGATGTCCA 5’3’ TAGAAATCCGATGTCCA 5’
  • 101.
    TranscriçãoTranscrição  A mensagemgenética é passada do DNA para uma fitaA mensagem genética é passada do DNA para uma fita de mRNAde mRNA 5’ ATCTTTAGGCTACAGGT 3’5’ ATCTTTAGGCTACAGGT 3’ 5’ AUCUUUAGGCUACAGGU3’5’ AUCUUUAGGCUACAGGU3’ 3’ TAGAAATCCGATGTCCA 5’3’ TAGAAATCCGATGTCCA 5’ RNA
  • 102.
     DNADNA …ATCGGC TAG CTA GCG TAG CGA⇒…ATC GGC TAG CTA GCG TAG CGA⇒ TGC AAA TTT AAA TAT ATG…TGC AAA TTT AAA TAT ATG…  RNAmRNAm …UAG CCG AUC GAU CGC AUC GCU⇒…UAG CCG AUC GAU CGC AUC GCU⇒ ACG UUU AAA UUU AUA UAC…ACG UUU AAA UUU AUA UAC…  CODÓNSCODÓNS …[UAG][CCG][AUC][GAU][CGC]⇒…[UAG][CCG][AUC][GAU][CGC]⇒ [AUC][GCU][ACG][UUU][AAA][UUU][AUA][UAC][AUC][GCU][ACG][UUU][AAA][UUU][AUA][UAC] ……
  • 103.
    4 bases, combinadas3 a 3 4x4x4 = 64 códigos CODIFICAÇÃO 4 Bases: A T G C 20 Aminoácidos Sinal de término Sinal de início
  • 104.
    4 bases, 3a 3 4x4x4 = 64 códigos U C A G Phe Ser TyrTyr CysCys U Phe Ser TyrTyr CysCys C U Leu Ser A Leu Ser Trp G Leu ProPro His Arg U Leu ProPro His Arg C C Leu ProPro Gln Arg A Leu ProPro Gln Arg G Ile ThrThr Asn Ser U Ile ThrThr Asn Ser C A Ile ThrThr LysLys Arg A MetMet ThrThr Lys Arg G Val Ala AspAsp GlyGly U Val Ala AspAsp GlyGly C G Val Ala Glu GlyGly A Val Ala Glu GlyGly G 1a. 2a. 3a.
  • 106.
    aa aa aaaa aa aa aa aa Proteína CTC ATT GTG CTT GAA TTT TTG GTG DNA GAG UAA CAC GAA CUU AAA AAC CAC mRNA
  • 107.
    TraduçãoTradução  A traduçãoé um processo que ocorre no citoplasma daA tradução é um processo que ocorre no citoplasma da célula, no qual a mensagem trazida pela fita de mRNA écélula, no qual a mensagem trazida pela fita de mRNA é traduzida em uma seqüência de aminoácidos.traduzida em uma seqüência de aminoácidos. 5’ ATCTTTAGGCTACAGGT 3’5’ ATCTTTAGGCTACAGGT 3’ 5’ AUCUUUAGGCUACAGGU3’5’ AUCUUUAGGCUACAGGU3’ 3’ TAGAAATCCGATGTCCA 5’3’ TAGAAATCCGATGTCCA 5’ RNA
  • 108.
    TraduçãoTradução  CódonsCódons  5’AUCUUUAGGCUACAGGUC3’5’ AUCUUUAGGCUACAGGUC3’ RNA
  • 110.
    TraduçãoTradução Ile - Phe- Arg -Leu-Gln-Val ProteínaIle - Phe - Arg -Leu-Gln-Val Proteína  5’ AUCUUUAGGCUACAGGUC3’5’ AUCUUUAGGCUACAGGUC3’ RNA
  • 111.