REVESTIMENTOS EM CÉLULAS (3A - AULA 6)
PAREDE CELULAR
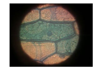
Parede Celular
Funções:
• Reforço externo;
• Sustentação celular;
• Revestimento celular;
• Proteção celular.
Parede Celular
Composição química:
• Fungos = Quitina;
• Bactérias e cianobactérias =
Polissacarídeos + Aminoácidos
• Vegetais = Celulose, Cálcio e Magnésio;
Plasmodesmos
• Durante a formação das células,
elementos tubulares do retículo
endoplasmático ficam retidos entre as
vesículas, que estão se fundindo
originando os futuros plasmodesmos;
• lamela média (LM), que une as células
vizinhas, forma uma camada delicada,
entre elas.
Estrutura da P.C. nos vegetais
• As células com paredes secundárias são,
geralmente, células mortas
Parede secundária
• Parede primária composta de
celulose e pectina;
• Parede secundária Composta de
Constituição química
• Parede secundária Composta de
celulose.
A Membrana Plasmática
• É uma “capa” dupla que envolve e protege todo
o interior da célula.
• Permeabilidade Seletiva: capacidade de
selecionar as substâncias que entram e saem
da célula.
Proteínas
periféricas
Proteínas
integrais
Glicocálix (secretado pelo Complexo de golgi)
”Malha” feita de moléculas de glicídios (carboidratos)
frouxamente entrelaçadas. Esta malha protege a
célula como uma vestimenta
FUNÇÕES:
• Proteção contra agressões físicas e químicas do
ambiente externo,
• Uma malha de retenção de nutrientes e enzimas,
• Confere às células a capacidade de se reconhecerem• Confere às células a capacidade de se reconhecerem
Membrana Plasmática:
Especializações deEspecializações de
membrana
ESPECIALIZAÇÕES DA MEMBRANA
PLASMÁTICA
SUPERFÍCIE APICAL DA
CÉLULA
1- Microvilosidades
2- Desmossomos
3- Cílios/Flagelos
SUPERFÍCIE BASO-LATERAL DA
CÉLULA
1-Junções celulares
Junções célula-célula
Junções célula-matriz
extracelular
MICROVILOSIDADES
-Projeções cilíndricas do citoplasma,
envolvidas por membrana que se
projetam da superfície apical da célula
-São imóveis
-Aumentam a área
de superfície
celular
microvilosidades glicocálice MICROVILOSIDADE
S
Placas de adesão em forma de disco
DESMOSSOMOS
JUNÇÕES CELULARES ADESÃO
Desmossomos ( filamentos de proteínas)
• FUNÇÕES:
– Coesão entre as células;
– Pontos de aderência entre as células;
– Intercâmbio de substâncias– Intercâmbio de substâncias
Interdigitações:
Aumento da superfície de contato
• Também atuam na união entre as células dos tecidos de
revestimento, garantindo maior proteção e intercâmbio de
substâncias.
CÍLIOS E FLAGELOS
Cílios: Mais curtos e numerosos, são
encontrados em protozoários, larvas
aquáticas, revestimentos de vias
respiratórias dos mamíferos.
Flagelos: Mais longos e em menor número,
são observados em protozoários,
espermatozóides, anterozóides e algas
CÍLIOS/FLAGELOS
ESPECIALIZAÇÕES DA SUPERFÍCIE APICAL DA
MEMBRANA
CÍLIOS
-Projeções cilíndricas
MÓVEIS, semelhantes a pêlos
-Função: propulsão de muco e
de outras substâncias sobre ade outras substâncias sobre a
superfície do epitélio, através
de rápidas oscilações rítmicas e
no caso dos flagelos funcionam
na locomoção
-Microtúbulos organizados (9 +
2), inseridos no corpúsculo
basal
• Estrutura dos cílios e flagelos
HASTE
CORPO
BASAL
RAIZ
Tipos de soluções
Hipertônica Hipotônica
Transporte Através da Membrana
Transporte PassivoTransporte Passivo
Difusão SimplesDifusão Simples
- Muitas substâncias penetram nas células ou delas saem
por difusão passiva, o soluto penetra na célula quando sua
concentração é menor no interior celular do que no meio
externo, e sai da célula no caso contrário.
- Neste processo não há consumo de energia.
- Ocorre a favor do gradiente de concentração.- Ocorre a favor do gradiente de concentração.
- A passagem do soluto pode ocorrer tanto através dos
poros como pela dupla camada lipídica.
DIFUSÃO SIMPLES
Difusão Facilitada - Algumas substâncias, como a
glicose, galactose e alguns aminoácidos têm tamanho
superior, o que impede a sua passagem através dos poros.
No entanto, estas substâncias passam através da matriz, por
Transporte PassivoTransporte Passivo
No entanto, estas substâncias passam através da matriz, por
transporte passivo, contando, para isto, com o trabalho de
proteínas carregadoras (proteínas transportadoras).
DIFUSÃO FACILITADA
DIFUSÃO FACILITADA
Transporte PassivoTransporte Passivo
OsmoseOsmose -- (osmos= empurrar) Duas soluções de
concentrações diferentes estão separadas por uma
membrana que é permeável ao solvente e praticamente
insolúvel ao soluto. Há, então, passagem do solvente deinsolúvel ao soluto. Há, então, passagem do solvente de
onde está em maior quantidade (solução hipotônica) para
onde está em menor quantidade (solução hipertônica).
OSMOSE
ÁGUA
SAL
Membrana semi-
permeável
POUCO SAL MUITO SAL
OsmoseOsmose
A célula vegetal é vulnerável aos ambientes hipertônicos. A saída
da água contida no seu vacúolo, provoca uma diminuição do
volume celular e, consequentemente, o afastamento da membrana
plasmática relativamente à parede celular. Este fenômeno é
conhecido por plasmólise.
PlasmólisePlasmólise
DeplasmóliseDeplasmólise
Hipotônico Hipertônico
Osmose
Transporte AtivoTransporte Ativo
• É a passagem de um soluto de um meio
menos concentrado, para um meio maismenos concentrado, para um meio mais
concentrado ( contra o gradiente), que
ocorre com gasto de energia.
Transporte AtivoTransporte Ativo
• Bomba de NA+ e K+ Este tipo de transporte se
dá, quando íons como o sódio (Na+) e o potássio (K+),
tem que atravessar a membrana contra um gradiente
de concentração.
•Encontramos concentrações diferentes, dentro e fora
da célula, para o sódio e o potássio.
•Na maioria das células dos organismos superiores a
concentração do sódio (Na+) é menor dentro da célula
do que fora desta.
•O potássio (K+), apresenta situação inversa, a sua
concentração é maior dentro da célula do que fora
desta.
Transporte AtivoTransporte Ativo
•Juntos esses dois receberam o nome de bomba de sódio
e potássio.
•Todo este mecanismo de transporte ativo que mantém
tais distribuições iônicas é de suma importância para a
transmissãotransmissão dodo impulsoimpulso nervosonervoso..
Transporte AtivoTransporte Ativo
Transporte AtivoTransporte Ativo
Transporte em massa: grandes
moléculas
a) ENDOCITOSE: Incorporação de moléculas
maiores.
Transporte em massa: grandes
moléculas
a) ENDOCITOSE: Incorporação de moléculas
maiores.
b) EXOCITOSE: Eliminação de substâncias maiores.b) EXOCITOSE: Eliminação de substâncias maiores.
Transporte em massa: grandes
moléculas
Transporte em massa: grandes
moléculas
Fagocitose - processo pelo qual a célula engloba
partículas sólidas através de pseudópodes. A
fagocitose é um processo seletivo, de paramécios
pelas amebas. Nos mamíferos, a fagocitose é feita
por células especializadas na defesa do organismo,
como os macrófagos.como os macrófagos.
Transporte em massaTransporte em massa
Pinocitose - processo pelo qual a célula engloba
gotículas de líquido, formando vacúolos contendo
líquido. Muitas células exibem esse fenômeno, como
os macrófagos e as dos capilares sanguíneos.
01)Observe a figura a seguir,
onde está representado,
esquematicamente, o vírus HIV
e analise as proposições
quanto à sua correção.
( ) A - corresponde a uma
camada lipídica do envoltório
do vírus.
( ) B - indica o núcleo.( ) B - indica o núcleo.
( ) C - assinala o DNA envolto
por proteínas.
( ) D - mostra proteínas
responsáveis pela adesão à
célula hospedeira.
( ) E - indica moléculas da
enzima transcriptase reversa.
02) Os vírus, apesar de não possuírem organização
celular, podem ser considerados seres vivos, porque:
a) são constituídos de proteínas;
b) possuem moléculas auto-reprodutíveis;
c) possuem maquinaria enzimática necessária que lhes
permite a síntese das moléculas, independentes de
outras células;
d) crescem e se reproduzem por processos análogosd) crescem e se reproduzem por processos análogos
aos das bactérias.
e) todas as afirmativas anteriores estão corretas.
03) Penso que a vida resulta da combinação de quatro processos -
metabolismo, compartimentação, memória e manipulação - e de uma lei
de correspondência entre memória e manipulação. Se tomarmos isso
como definição, os vírus não podem ser considerados seres vivos, pois
não têm nem metabolismo nem lei de correspondência.
(Antoine Danchin apud CIÊNCIA HOJE, p. 25)
A confrontação do conceito de vida expresso anteriormente com
características exibidas pelos vírus permite afirmar:
(01) Os vírus e os seres vivos compartilham uma mesma linguagem na
construção de seus genomas.
(02) Os vírus obtêm energia usando os mesmos processos(02) Os vírus obtêm energia usando os mesmos processos
bioenergéticos celulares.
(04) A organização molecular dos vírus expressa a exigência de proteção
para o material genético e de reconhecimento pela célula hospedeira.
(08) A universalidade do DNA como material genético, entre os vírus, os
aproxima da condição biológica.
(16) A condição vital está inevitavelmente associada à estrutura celular.
(32) A capacidade de evoluir é uma propriedade comum aos vírus e aos
seres vivos.
04) Característica(s) que todos os seres vivos têm, inclusive os vírus:
a) metabolismo próprio e reprodução
b) reprodução e mutação
c) organização celular
d) núcleo com DNA
e) citoplasma com ribossomos
05)(PUC-PR 2005) Observe atentamente as afirmações:
I. Os ácidos nucléicos estão presentes em todos
os seres vivos.os seres vivos.
II. A reprodução é um dos processos que
caracterizam a vida.
III. Os vírus são organismos unicelulares.
Está correta ou estão corretas:
a) Todas.
b) Apenas II e III.
c) Apenas I e II.
d) Apenas I e III.
e) Apenas a III.
06) Os itens I a VI apresentam, não necessariamente na
seqüência, os passos pelos quais um vírus é replicado.
I. síntese das proteínas do vírus.
II. adesão da capa do vírus com a membrana celular.
III. produção de proteínas.
IV. abandono da cápsula.
V. liberação do vírus da célula.
VI. replicação do RNA viral.
Assinale a alternativa que apresenta todos esses passos na
seqüência correta.
a) II - IV - I - VI - III - V.
b) VI - IV - I - III - V - II.
c) II - VI - IV - III - I - V.
d) V - II - I - IV - VI - III.
e) II - IV - VI - I - III - V.
07) Bacteriófagos são:
a) protozoários de vida livre.
b) líquenes parasitas.
c) vermes parasitas.
d) vírus.
e) vermes de vida livre.
08) (UNIRIO-1996) É característica do ciclo reprodutivo de um
bacteriófago a:bacteriófago a:
a) penetração por inteiro na célula hospedeira.
b) injeção do material genético, RNA, no interior da célula
hospedeira.
c) injeção do material genético, DNA, no interior da célula
hospedeira.
d) reprodução sexuada denominada conjugação.
e) reprodução assexuada denominada divisão binária.
09) Os bacteriófagos são constituídos por uma molécula de DNA
envolta em uma cápsula de proteína. Existem diversas espécies,
que diferem entre si quanto ao DNA e às proteínas constituintes
da cápsula. Os cientistas conseguem construir partículas virais
ativas com DNA de uma espécie e cápsula de outra. Em um
experimento, foi produzido um vírus contendo DNA do
bacteriófago T2 e cápsula do bacteriófago T4.
Pode-se prever que a descendência desse vírus terá:
a) cápsula de T4 e DNA de T2.
b) cápsula de T2 e DNA de T4.b) cápsula de T2 e DNA de T4.
c) cápsula e DNA, ambos de T2.
d) cápsula e DNA, ambos de T4.
e) mistura de cápsulas e DNA de T2 e de T4.
10) (CESGRANRIO-1992) O vírus
da AIDS é formado por uma
cápsula esférica contendo em
seu interior o material genético.
Este tipo de vírus é chamado
RETROVÍRUS porque:
a) o RNA produz um "molde" de
molécula de DNA.molécula de DNA.
b) o RNA, torna-se uma molécula
autoduplicável.
c) o DNA possui cadeia simples
sem timina.
d) o DNA possui mecanismos de
retroação.
e) o DNA e RNA não se pareiam.
11) O gráfico abaixo demonstra, no
organismo humano, a relação entre os
linfócitos T e o vírus da
imunodeficiência humana (HIV), ao
longo de dez anos de curso da
síndrome da deficiência imunológica
adquirida (AIDS).
Explique as razões das quedas das
concentrações de:
a) linfócitos T;
b) HIV.
a) Os linfócitos T são infectados pelos
vírus e destruídos após os primeiros
meses da doença.
b) Grande parte dos vírus são
destruídos pela produção e atuação de
linfócitos e outras células de defesa,
ainda em grande número durante o
primeiro ano de desenvolvimento da
doença.
Alterações da Parede Celular
1) Impregnações:
a) Suberificação = óleo – suberina
b) Cutinização = cutina
c) Lignificação = ligninac) Lignificação = lignina
d) Cerificação = cera
e) Mineralização = minerais
- Silificação = sílica ( gramíneas e algas)
- Calcificação = carbonato de cálcio
( algas ,pressão da água)
2) Modificações
a) Gomas = Solúveis em água
- Proteção e sustentação – Usado como cola
Alterações da Parede Celular
b) Mucilagens = Insolúveis em água
- Aumentar volume e dar consistência
Parede primária
• Camada intermediária;
• Consiste de microfibrilas de celulose
embebida em uma matriz amorfa e
hidratada (65% de água) dehidratada (65% de água) de
hemiceluloses, pectinas e glicoproteinas;
Parede secundária
• Sua formação ocorre principalmente após
a célula ter cessado seu crescimento e a
parede primária não aumentar mais emparede primária não aumentar mais em
superfície;
• É a camada mais espessa.

Revestimentos celulares 3 a aula 6

  • 1.
  • 2.
  • 4.
    Parede Celular Funções: • Reforçoexterno; • Sustentação celular; • Revestimento celular; • Proteção celular.
  • 5.
    Parede Celular Composição química: •Fungos = Quitina; • Bactérias e cianobactérias = Polissacarídeos + Aminoácidos • Vegetais = Celulose, Cálcio e Magnésio;
  • 8.
    Plasmodesmos • Durante aformação das células, elementos tubulares do retículo endoplasmático ficam retidos entre as vesículas, que estão se fundindo originando os futuros plasmodesmos;
  • 9.
    • lamela média(LM), que une as células vizinhas, forma uma camada delicada, entre elas. Estrutura da P.C. nos vegetais
  • 11.
    • As célulascom paredes secundárias são, geralmente, células mortas Parede secundária
  • 12.
    • Parede primáriacomposta de celulose e pectina; • Parede secundária Composta de Constituição química • Parede secundária Composta de celulose.
  • 13.
    A Membrana Plasmática •É uma “capa” dupla que envolve e protege todo o interior da célula. • Permeabilidade Seletiva: capacidade de selecionar as substâncias que entram e saem da célula. Proteínas periféricas Proteínas integrais
  • 15.
    Glicocálix (secretado peloComplexo de golgi) ”Malha” feita de moléculas de glicídios (carboidratos) frouxamente entrelaçadas. Esta malha protege a célula como uma vestimenta FUNÇÕES: • Proteção contra agressões físicas e químicas do ambiente externo, • Uma malha de retenção de nutrientes e enzimas, • Confere às células a capacidade de se reconhecerem• Confere às células a capacidade de se reconhecerem
  • 16.
  • 17.
    ESPECIALIZAÇÕES DA MEMBRANA PLASMÁTICA SUPERFÍCIEAPICAL DA CÉLULA 1- Microvilosidades 2- Desmossomos 3- Cílios/Flagelos SUPERFÍCIE BASO-LATERAL DA CÉLULA 1-Junções celulares Junções célula-célula Junções célula-matriz extracelular
  • 18.
    MICROVILOSIDADES -Projeções cilíndricas docitoplasma, envolvidas por membrana que se projetam da superfície apical da célula -São imóveis -Aumentam a área de superfície celular
  • 19.
  • 20.
    Placas de adesãoem forma de disco DESMOSSOMOS JUNÇÕES CELULARES ADESÃO
  • 21.
    Desmossomos ( filamentosde proteínas) • FUNÇÕES: – Coesão entre as células; – Pontos de aderência entre as células; – Intercâmbio de substâncias– Intercâmbio de substâncias
  • 22.
    Interdigitações: Aumento da superfíciede contato • Também atuam na união entre as células dos tecidos de revestimento, garantindo maior proteção e intercâmbio de substâncias.
  • 23.
    CÍLIOS E FLAGELOS Cílios:Mais curtos e numerosos, são encontrados em protozoários, larvas aquáticas, revestimentos de vias respiratórias dos mamíferos. Flagelos: Mais longos e em menor número, são observados em protozoários, espermatozóides, anterozóides e algas
  • 24.
  • 25.
    ESPECIALIZAÇÕES DA SUPERFÍCIEAPICAL DA MEMBRANA CÍLIOS -Projeções cilíndricas MÓVEIS, semelhantes a pêlos -Função: propulsão de muco e de outras substâncias sobre ade outras substâncias sobre a superfície do epitélio, através de rápidas oscilações rítmicas e no caso dos flagelos funcionam na locomoção -Microtúbulos organizados (9 + 2), inseridos no corpúsculo basal
  • 26.
    • Estrutura doscílios e flagelos HASTE CORPO BASAL RAIZ
  • 27.
    Tipos de soluções HipertônicaHipotônica Transporte Através da Membrana
  • 28.
    Transporte PassivoTransporte Passivo DifusãoSimplesDifusão Simples - Muitas substâncias penetram nas células ou delas saem por difusão passiva, o soluto penetra na célula quando sua concentração é menor no interior celular do que no meio externo, e sai da célula no caso contrário. - Neste processo não há consumo de energia. - Ocorre a favor do gradiente de concentração.- Ocorre a favor do gradiente de concentração. - A passagem do soluto pode ocorrer tanto através dos poros como pela dupla camada lipídica.
  • 29.
  • 30.
    Difusão Facilitada -Algumas substâncias, como a glicose, galactose e alguns aminoácidos têm tamanho superior, o que impede a sua passagem através dos poros. No entanto, estas substâncias passam através da matriz, por Transporte PassivoTransporte Passivo No entanto, estas substâncias passam através da matriz, por transporte passivo, contando, para isto, com o trabalho de proteínas carregadoras (proteínas transportadoras).
  • 31.
  • 32.
  • 33.
    Transporte PassivoTransporte Passivo OsmoseOsmose-- (osmos= empurrar) Duas soluções de concentrações diferentes estão separadas por uma membrana que é permeável ao solvente e praticamente insolúvel ao soluto. Há, então, passagem do solvente deinsolúvel ao soluto. Há, então, passagem do solvente de onde está em maior quantidade (solução hipotônica) para onde está em menor quantidade (solução hipertônica).
  • 34.
  • 35.
    OsmoseOsmose A célula vegetalé vulnerável aos ambientes hipertônicos. A saída da água contida no seu vacúolo, provoca uma diminuição do volume celular e, consequentemente, o afastamento da membrana plasmática relativamente à parede celular. Este fenômeno é conhecido por plasmólise. PlasmólisePlasmólise DeplasmóliseDeplasmólise Hipotônico Hipertônico
  • 36.
  • 38.
    Transporte AtivoTransporte Ativo •É a passagem de um soluto de um meio menos concentrado, para um meio maismenos concentrado, para um meio mais concentrado ( contra o gradiente), que ocorre com gasto de energia.
  • 39.
    Transporte AtivoTransporte Ativo •Bomba de NA+ e K+ Este tipo de transporte se dá, quando íons como o sódio (Na+) e o potássio (K+), tem que atravessar a membrana contra um gradiente de concentração. •Encontramos concentrações diferentes, dentro e fora da célula, para o sódio e o potássio. •Na maioria das células dos organismos superiores a concentração do sódio (Na+) é menor dentro da célula do que fora desta. •O potássio (K+), apresenta situação inversa, a sua concentração é maior dentro da célula do que fora desta.
  • 40.
    Transporte AtivoTransporte Ativo •Juntosesses dois receberam o nome de bomba de sódio e potássio. •Todo este mecanismo de transporte ativo que mantém tais distribuições iônicas é de suma importância para a transmissãotransmissão dodo impulsoimpulso nervosonervoso..
  • 42.
  • 43.
  • 44.
    Transporte em massa:grandes moléculas a) ENDOCITOSE: Incorporação de moléculas maiores. Transporte em massa: grandes moléculas a) ENDOCITOSE: Incorporação de moléculas maiores. b) EXOCITOSE: Eliminação de substâncias maiores.b) EXOCITOSE: Eliminação de substâncias maiores.
  • 45.
    Transporte em massa:grandes moléculas Transporte em massa: grandes moléculas Fagocitose - processo pelo qual a célula engloba partículas sólidas através de pseudópodes. A fagocitose é um processo seletivo, de paramécios pelas amebas. Nos mamíferos, a fagocitose é feita por células especializadas na defesa do organismo, como os macrófagos.como os macrófagos.
  • 48.
    Transporte em massaTransporteem massa Pinocitose - processo pelo qual a célula engloba gotículas de líquido, formando vacúolos contendo líquido. Muitas células exibem esse fenômeno, como os macrófagos e as dos capilares sanguíneos.
  • 53.
    01)Observe a figuraa seguir, onde está representado, esquematicamente, o vírus HIV e analise as proposições quanto à sua correção. ( ) A - corresponde a uma camada lipídica do envoltório do vírus. ( ) B - indica o núcleo.( ) B - indica o núcleo. ( ) C - assinala o DNA envolto por proteínas. ( ) D - mostra proteínas responsáveis pela adesão à célula hospedeira. ( ) E - indica moléculas da enzima transcriptase reversa.
  • 54.
    02) Os vírus,apesar de não possuírem organização celular, podem ser considerados seres vivos, porque: a) são constituídos de proteínas; b) possuem moléculas auto-reprodutíveis; c) possuem maquinaria enzimática necessária que lhes permite a síntese das moléculas, independentes de outras células; d) crescem e se reproduzem por processos análogosd) crescem e se reproduzem por processos análogos aos das bactérias. e) todas as afirmativas anteriores estão corretas.
  • 55.
    03) Penso quea vida resulta da combinação de quatro processos - metabolismo, compartimentação, memória e manipulação - e de uma lei de correspondência entre memória e manipulação. Se tomarmos isso como definição, os vírus não podem ser considerados seres vivos, pois não têm nem metabolismo nem lei de correspondência. (Antoine Danchin apud CIÊNCIA HOJE, p. 25) A confrontação do conceito de vida expresso anteriormente com características exibidas pelos vírus permite afirmar: (01) Os vírus e os seres vivos compartilham uma mesma linguagem na construção de seus genomas. (02) Os vírus obtêm energia usando os mesmos processos(02) Os vírus obtêm energia usando os mesmos processos bioenergéticos celulares. (04) A organização molecular dos vírus expressa a exigência de proteção para o material genético e de reconhecimento pela célula hospedeira. (08) A universalidade do DNA como material genético, entre os vírus, os aproxima da condição biológica. (16) A condição vital está inevitavelmente associada à estrutura celular. (32) A capacidade de evoluir é uma propriedade comum aos vírus e aos seres vivos.
  • 56.
    04) Característica(s) quetodos os seres vivos têm, inclusive os vírus: a) metabolismo próprio e reprodução b) reprodução e mutação c) organização celular d) núcleo com DNA e) citoplasma com ribossomos 05)(PUC-PR 2005) Observe atentamente as afirmações: I. Os ácidos nucléicos estão presentes em todos os seres vivos.os seres vivos. II. A reprodução é um dos processos que caracterizam a vida. III. Os vírus são organismos unicelulares. Está correta ou estão corretas: a) Todas. b) Apenas II e III. c) Apenas I e II. d) Apenas I e III. e) Apenas a III.
  • 57.
    06) Os itensI a VI apresentam, não necessariamente na seqüência, os passos pelos quais um vírus é replicado. I. síntese das proteínas do vírus. II. adesão da capa do vírus com a membrana celular. III. produção de proteínas. IV. abandono da cápsula. V. liberação do vírus da célula. VI. replicação do RNA viral. Assinale a alternativa que apresenta todos esses passos na seqüência correta. a) II - IV - I - VI - III - V. b) VI - IV - I - III - V - II. c) II - VI - IV - III - I - V. d) V - II - I - IV - VI - III. e) II - IV - VI - I - III - V.
  • 58.
    07) Bacteriófagos são: a)protozoários de vida livre. b) líquenes parasitas. c) vermes parasitas. d) vírus. e) vermes de vida livre. 08) (UNIRIO-1996) É característica do ciclo reprodutivo de um bacteriófago a:bacteriófago a: a) penetração por inteiro na célula hospedeira. b) injeção do material genético, RNA, no interior da célula hospedeira. c) injeção do material genético, DNA, no interior da célula hospedeira. d) reprodução sexuada denominada conjugação. e) reprodução assexuada denominada divisão binária.
  • 59.
    09) Os bacteriófagossão constituídos por uma molécula de DNA envolta em uma cápsula de proteína. Existem diversas espécies, que diferem entre si quanto ao DNA e às proteínas constituintes da cápsula. Os cientistas conseguem construir partículas virais ativas com DNA de uma espécie e cápsula de outra. Em um experimento, foi produzido um vírus contendo DNA do bacteriófago T2 e cápsula do bacteriófago T4. Pode-se prever que a descendência desse vírus terá: a) cápsula de T4 e DNA de T2. b) cápsula de T2 e DNA de T4.b) cápsula de T2 e DNA de T4. c) cápsula e DNA, ambos de T2. d) cápsula e DNA, ambos de T4. e) mistura de cápsulas e DNA de T2 e de T4.
  • 60.
    10) (CESGRANRIO-1992) Ovírus da AIDS é formado por uma cápsula esférica contendo em seu interior o material genético. Este tipo de vírus é chamado RETROVÍRUS porque: a) o RNA produz um "molde" de molécula de DNA.molécula de DNA. b) o RNA, torna-se uma molécula autoduplicável. c) o DNA possui cadeia simples sem timina. d) o DNA possui mecanismos de retroação. e) o DNA e RNA não se pareiam.
  • 61.
    11) O gráficoabaixo demonstra, no organismo humano, a relação entre os linfócitos T e o vírus da imunodeficiência humana (HIV), ao longo de dez anos de curso da síndrome da deficiência imunológica adquirida (AIDS). Explique as razões das quedas das concentrações de: a) linfócitos T; b) HIV. a) Os linfócitos T são infectados pelos vírus e destruídos após os primeiros meses da doença. b) Grande parte dos vírus são destruídos pela produção e atuação de linfócitos e outras células de defesa, ainda em grande número durante o primeiro ano de desenvolvimento da doença.
  • 62.
    Alterações da ParedeCelular 1) Impregnações: a) Suberificação = óleo – suberina b) Cutinização = cutina c) Lignificação = ligninac) Lignificação = lignina d) Cerificação = cera e) Mineralização = minerais - Silificação = sílica ( gramíneas e algas) - Calcificação = carbonato de cálcio ( algas ,pressão da água)
  • 63.
    2) Modificações a) Gomas= Solúveis em água - Proteção e sustentação – Usado como cola Alterações da Parede Celular b) Mucilagens = Insolúveis em água - Aumentar volume e dar consistência
  • 64.
    Parede primária • Camadaintermediária; • Consiste de microfibrilas de celulose embebida em uma matriz amorfa e hidratada (65% de água) dehidratada (65% de água) de hemiceluloses, pectinas e glicoproteinas;
  • 65.
    Parede secundária • Suaformação ocorre principalmente após a célula ter cessado seu crescimento e a parede primária não aumentar mais emparede primária não aumentar mais em superfície; • É a camada mais espessa.