DOENÇAS DAS
VESÍCULAS
SEMINAIS
RESIDÊNCIA MÉDICA – RADIOLOGIA HUSM
INTRODUÇÃO
 Secretam o líquido seminal contribuindo com 50-80% do volume
ejaculatório .
 Localizadas posteriormente a bexiga e aos ureteres distais e unem-
se à porção distal dos ductos deferentes, formando os ductos
ejaculatórios , que desembocam na uretra prostática através do
verumontanum
ACHADOS CLÍNICOS
 Geralmente achados nas VVSS são achados incidentais , porém ,
alguns pacientes podem apresentar dor pélvica , infertilidade ou
hematospermia
VESICULITE SUBTIPO
ALTERAÇÕES CONGÊNITAS
 AGENESIA
 CISTO CONGÊNITO
 CISTO UTRICULAR
REMANESCENTES DOS DUCTOS
 CISTO DO DUCTO DE MÜLLER DE MÜLLER
AGENESIA
 Frequentemente está associada a agenesia renal ipsilateral (80%)
ou outras anomalias renais (12%)
 A hipoplasia não possui critérios definidos na literatura.
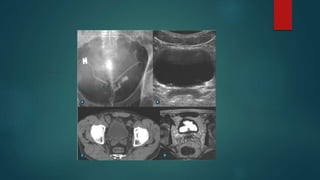
CISTO CONGÊNITO
 Geralmente um achado incidental
 Em 60% dos casos associado a agenesia renal ipsilateral
 Ocorre bilateralmente em 44-60-% dos pacientes com doença
renal policística autossômica dominante.
CISTO UTRICULAR
INFLAMAÇÃO DA VESÍCULA
SEMINAL
 VESICULITE SEMINAL AGUDA
 ABSCESSO DE VESÍCULA SEMINAL
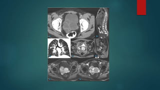
VESICULITE SEMINAL AGUDA
 Geralmente secundária a prostatite bacteriana e apresenta-se na
US, TC ou RM com espessamento parietal ,além de impregnação
parietal difusa pelo contraste na TC e RM.
 No Br , pode ocorrer vesiculite seminal crônica por esquistossomose
e TB ( ocorre calcificação difusa , mais intraluminal , que pode ser
unilateral ou focal ) x DM .
ABSCESSO
 Normalmente decorre por manipulação cirúrgica ou extensão
direta de abscesso prostático .
LESÕES NEOPLÁSICAS PRIMÁRIAS
 Benignas – cistoadenoma ** , adenoma papilar , leiomioma,
teratoma e tumor estromal epitelial .
 Malignas – adenocarcinoma* CA125, leiomiossarcoma ,
paraganglioma, cistoadenocarcinoma , seminoma e cistossarcoma
filodes (tumor filodes)
ADENOCARCINOMA
PARAGANGLIOMA
CISTOADENOCARCINOMA
INVASÃO SECUNDÁRIA TUMOR DE
PRÓSTATA
MISCELÂNIA
 (Alterãções pós cirúrgicas)
PÓS OP COM RECIDIVA/ REMANESCENTE
Pós – radio*
FIM
Doenças das vesículas seminais

Doenças das vesículas seminais