Dr.Adriano JM Freitas
 Desmistificar a Doença Falciforme – Popularizar
seu conhecimento;
 Formar uma opinião favorável ao
desenvolvimento, que possibilite a tomada de
decisões, valorizando a saúde –Transferir o
poder ao paciente;
 Favorecer o desenvolvimento de cidadania com
a participação do usuário na definição dos
cuidados prioritários para melhorar a qualidade
de vida e longevidade – Promover o
autocuidado.
É uma doença hemolítica
crônica grave resultante da
destruição prematura das
hemácias do indivíduo.
 A anemia falciforme é causada por uma
mutação na posição 6 do gene da globina
beta da hemoglobina.
 Ocorre a substituição do aminoácido valina
pelo ácido glutâmico, induzindo a produção
de uma hemoglobina anômala, deixando a
hemácia em forma de foice.
O indivíduo considerado normal, apresenta genes para
Hemoblobina A
Genótipo ‘AA’
porque recebem um gene do pai e outro da mãe.
A hemoglobina variante, na
anemia falciforme
é chamada “ S “’
Este gene tem
comportamento recessivo,
precisa estar em duplicata -
“ SS” - para expressar seu
caráter.
 1) Perfil AA –
hemoglobina normal.
 2) Perfil SS – homozigoto
para Hb S.
 3) Perfil AS –
heterozigoto para Hb S.
 4) Perfil AC –
heterozigoto para Hb C.
 5) Perfil AS –
heterozigoto para Hb S.
 Em cada 5 crianças nascidas com anemia
falciforme no Brasil, duas não alcançam os
cinco anos de idade.
 A mortalidade em crianças menores de 5
anos é secundária a infecções, sequestro
esplênico e crises aplásicas.
 Geralmente é durante a segunda metade do
primeiro ano de vida de uma criança que
aparecem os primeiros sintomas da doença.
Doença Falciforme no Brasil
Prevalência do Gene S
 Traço Falciforme Hb AS
 População geral 4% (2% a 8%)
 Entre Afrodescendentes: 6 a 10%
 Nascimento anual: 200.000
 Expectativa de indivíduos Hb AS: 7.200.000
 Anemia Falciforme Hb SS
 Casos estimados: 25.000 a 30.000
 Número de casos novos por ano: 3.500
 Fonte: Ministério da Saúde do Brasil
MORTALIDADE
SEM CUIDADOS DE
SAÚDE
COM CUIDADOS DE
SAÚDE
Crianças até 5 anos de
idade
80,0%
(vida média 8 anos)
1,8%
(vida média 45 anos)
Gestantes
Durante o parto
50,0% 2,0%
 Embora a Anemia Falciforme seja uma doença
determinada geneticamente, sua evolução depende
das condições sócioeconômicas e da qualidade de
vida dos indivíduos.
1:23 1.9%
1:17
Salvador0.2%
1.8%
1:23
MG
1:21
RJ
1:65
SUL
1:1.800 ES
1:1.400
MA
1:1.400
PE
1:650
BA
1:5.800
MS 1:4.000
SP
1:1.400
MG
1:1.200
RJ
1:13.500
RS
1:11.000
PR e SC
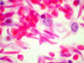
 Pesquisa de células falciformes.
 Eletroforese de Hemoglobina associado a
dosagem de Hb fetal e da Hb A2
 Triagem neonatal: especificidade e
sensibilidade acima de 90%.
 Detecta todos os vários tipos de hemoglobina: F,
A, S, C, D.
▪ Sem doença: FA
▪ Traços heterozigotos: FAS, FAC, FAD.
▪ Doença falciforme: FS, FSC, FSD.
Hemácia
•Pouco oxigênio
•Afoiçamento
Vaso-
oclusão
•Isquemia
•Trombose
Sintomas
•Dor
•Destruição tecidual
 Crises Álgicas
 Infecções
 Crises de Sequestro
Esplênico
 Crises Aplásticas
 Síndrome Torácica Aguda
 Síndrome da Embolia
Gordurosa
 Acidente Vascular Cerebral
 Complicações
Oculares
 Fígado e Vias Biliares
 Ossos e Articulações
 Complicações Renais
 Complicações
Cardíacas
 Priapismo
 Vaso-oclusão impede a chegada de oxigênio
aos tecidos, provocando a dor.
 Sintoma mais característico. Causa de 90%
das hospitalizações.
 Duração e intensidade variam: horas, dias,
semanas.
 Pode ocorrer em qualquer parte do corpo,
ossos, articulações, e principalmente, mãos,
pés, braços, pernas, tórax e abdome.
Síndrome Mão-pé
Nas crianças
pequenas crises de
dor podem ocorrer
nos pequenos vasos
das mãos e dos pés
causando inchaço,
dor e vermelhidão no
local.
 Crônica:
 Meia vida das hemácias – 20 dias.
 Hemólise
 Principalmente extra-vascular.
 Perda da elasticidade e opsonização por auto-
anticorpos e complemento.
 Hemácias são fagocitadas no baço.
 A fragilidade mecânica das células facilitam a
hemólise durante exercícios.
 Pulmonares, ósseas ou septicemias.
 As infecções constituem a principal causa de
morte em pacientes com anemia falciforme.
 Risco de septicemia ou meningite por S.
pneumoniae ou H. influenzae = 600 X maior.
 Maior predisposição a pneumonia, infecções
renais, osteomielites.
 8-10% dos pacientes, principalmente maiores de 10
anos.
 Maléolo medial ou lateral, tíbia, dorso do pé.
 Resistentes a terapia convencional.
 Tratamento:
 Repouso;
 Higiene local;
 Debridamento;
 Hidratante nas bordas;
 Antibióticos.
 Infância  Infecção Pulmonar
▪ S. pneumoneae ( ↓Vacina)
▪ Mycoplasma pneumoneae
▪ Clamídia pneumoneae
 Sepse pneumocócica é a principal causa de óbito
até os 5 anos.
 Adulto  Infarto Pulmonar
 Atinge cerca de 8% a 12% das crianças com
anemia falciforme.
 80% ocorrem antes dos 20 anos de idade.
 Recidivas são frequentes.
 Priaprismo.
 Retardo no crescimento e Insuficiência gonadal.
 Alterações renais: de glomerulonefrites à
falência renal.
 Alterações oculares: Hemorragias na retina
 Alterações cardíacas: Fibroses no miocárdio e
InsuficiênciaCardíaca.
 Alterações Ósteo-articulares: Necrose Isquêmica
da Cabeça do Fêmur e osteomielites.
 Hidratação.
 Profilaxia contra infecções.
 Imunização.
 Nutrição adequada.
 Educação (Pessoal e familiar)
 Higiene pessoal e local.
 Crises dolorosas:
 Hidratação (Não hiper-hidratar)
 Analgesia
 Oxigenioterapia
 Hidroxiuréia ( 10 – 30 mg/Kg/dia )
 Aumenta a taxa de HbF
 Diminui a falcisação
 Diminui a frequência das crises
 Pode provocar mielodepressão
Transplante de medula óssea:
 Pacientes mais jovens
 Alta frequência de complicações
 Exsanguíneo-transfusão:
 Crises vaso-oclusivas potencialmente fatais
 Hipertransfusão:
 3-5 semanas
 Hemocromatose
 Identificar desencadeante (e tratar);
 Identificar SíndromeTorácica Aguda;
 Avaliar transfusão em caso de anemia intensa
ou queda maior de 20% do valor de base. Não
usar transfusões de rotina;
 O mais importante é controlar a dor;
 Cuidar de si mesmo;
 Buscar as necessidades do corpo e da mente;
 Melhorar o estilo de vida, evitar hábitos
nocivos;
 Desenvolver uma alimentação sadia;
 Conhecer e controlar os fatores de risco
gerados pela doença através de medidas
profiláticas e preventivas;
 Melhorar a sua qualidade de vida e aumentar
sua expectativa de vida.
 Auto-estima
 Retardo no crescimento e desenvolvimento;
 Preconceito e estigmas – segregação social;
 Desconhecimento do profissional da educação;
 Infantilizados por retardo na maturação sexual.
 Auto-imagem
 Transformações no corpo mais lentas;
 Comparação com outros colegas (trabalho/escola).
 Auto-conceito
 Doença crônica com consequências para vida produtiva, escolar e
social;
 Risco da morte precoce.
 Com o diagnóstico precoce, a assistência deve
ser iniciada já nos primeiros meses de vida. À
medida em que cresce, a criança deve ser
preparada para o autocuidado;
 Promover ações educativas para a criança e a
família, sistematizadas; individuais ou em
grupo, sobre a doença, sinais e sintomas que
demandam atenção médica, vacinações,
hábitos saudáveis e adesão ao tratamento,
etc.
 O desafio é levar a pessoa adulta a manter as
medidas preventivas e os hábitos saudáveis e
identificar precocemente as intercorrências
clínicas;
 Identificar e intervir nos fatores de risco:
 Infecções
 Perfusão sanguínea alterada (renal, cutânea, etc.)
 Dor (conhecer e controlar)
 Risco para integridade da pele prejudicada
• Paternidade /maternidade alterada (herança genética)
 Desenvolver o espírito crítico no indivíduo e
na família sobre a qualidade do trabalho do
profissional de saúde;
 Permitir a incorporação do conhecimento
do profissional de saúde pelo
indivíduo/família sobre os aspectos clínicos
e terapêuticos da Doença Falciforme.
 Favorecer a qualidade de vida e
longevidade dos indivíduos;
 Estimular a prática do direito de cidadania
da população assistida;
 E assim ... SER FELIZ .
Adriano JM Freitas

Anemia falciforme ajmf

  • 1.
  • 3.
     Desmistificar aDoença Falciforme – Popularizar seu conhecimento;  Formar uma opinião favorável ao desenvolvimento, que possibilite a tomada de decisões, valorizando a saúde –Transferir o poder ao paciente;  Favorecer o desenvolvimento de cidadania com a participação do usuário na definição dos cuidados prioritários para melhorar a qualidade de vida e longevidade – Promover o autocuidado.
  • 5.
    É uma doençahemolítica crônica grave resultante da destruição prematura das hemácias do indivíduo.
  • 12.
     A anemiafalciforme é causada por uma mutação na posição 6 do gene da globina beta da hemoglobina.  Ocorre a substituição do aminoácido valina pelo ácido glutâmico, induzindo a produção de uma hemoglobina anômala, deixando a hemácia em forma de foice.
  • 15.
    O indivíduo consideradonormal, apresenta genes para Hemoblobina A Genótipo ‘AA’ porque recebem um gene do pai e outro da mãe. A hemoglobina variante, na anemia falciforme é chamada “ S “’ Este gene tem comportamento recessivo, precisa estar em duplicata - “ SS” - para expressar seu caráter.
  • 26.
     1) PerfilAA – hemoglobina normal.  2) Perfil SS – homozigoto para Hb S.  3) Perfil AS – heterozigoto para Hb S.  4) Perfil AC – heterozigoto para Hb C.  5) Perfil AS – heterozigoto para Hb S.
  • 32.
     Em cada5 crianças nascidas com anemia falciforme no Brasil, duas não alcançam os cinco anos de idade.  A mortalidade em crianças menores de 5 anos é secundária a infecções, sequestro esplênico e crises aplásicas.  Geralmente é durante a segunda metade do primeiro ano de vida de uma criança que aparecem os primeiros sintomas da doença.
  • 33.
    Doença Falciforme noBrasil Prevalência do Gene S  Traço Falciforme Hb AS  População geral 4% (2% a 8%)  Entre Afrodescendentes: 6 a 10%  Nascimento anual: 200.000  Expectativa de indivíduos Hb AS: 7.200.000  Anemia Falciforme Hb SS  Casos estimados: 25.000 a 30.000  Número de casos novos por ano: 3.500  Fonte: Ministério da Saúde do Brasil
  • 34.
    MORTALIDADE SEM CUIDADOS DE SAÚDE COMCUIDADOS DE SAÚDE Crianças até 5 anos de idade 80,0% (vida média 8 anos) 1,8% (vida média 45 anos) Gestantes Durante o parto 50,0% 2,0%  Embora a Anemia Falciforme seja uma doença determinada geneticamente, sua evolução depende das condições sócioeconômicas e da qualidade de vida dos indivíduos.
  • 35.
  • 36.
  • 38.
     Pesquisa decélulas falciformes.  Eletroforese de Hemoglobina associado a dosagem de Hb fetal e da Hb A2  Triagem neonatal: especificidade e sensibilidade acima de 90%.  Detecta todos os vários tipos de hemoglobina: F, A, S, C, D. ▪ Sem doença: FA ▪ Traços heterozigotos: FAS, FAC, FAD. ▪ Doença falciforme: FS, FSC, FSD.
  • 40.
  • 41.
     Crises Álgicas Infecções  Crises de Sequestro Esplênico  Crises Aplásticas  Síndrome Torácica Aguda  Síndrome da Embolia Gordurosa  Acidente Vascular Cerebral  Complicações Oculares  Fígado e Vias Biliares  Ossos e Articulações  Complicações Renais  Complicações Cardíacas  Priapismo
  • 42.
     Vaso-oclusão impedea chegada de oxigênio aos tecidos, provocando a dor.  Sintoma mais característico. Causa de 90% das hospitalizações.  Duração e intensidade variam: horas, dias, semanas.  Pode ocorrer em qualquer parte do corpo, ossos, articulações, e principalmente, mãos, pés, braços, pernas, tórax e abdome.
  • 43.
    Síndrome Mão-pé Nas crianças pequenascrises de dor podem ocorrer nos pequenos vasos das mãos e dos pés causando inchaço, dor e vermelhidão no local.
  • 44.
     Crônica:  Meiavida das hemácias – 20 dias.  Hemólise  Principalmente extra-vascular.  Perda da elasticidade e opsonização por auto- anticorpos e complemento.  Hemácias são fagocitadas no baço.  A fragilidade mecânica das células facilitam a hemólise durante exercícios.
  • 45.
     Pulmonares, ósseasou septicemias.  As infecções constituem a principal causa de morte em pacientes com anemia falciforme.  Risco de septicemia ou meningite por S. pneumoniae ou H. influenzae = 600 X maior.  Maior predisposição a pneumonia, infecções renais, osteomielites.
  • 48.
     8-10% dospacientes, principalmente maiores de 10 anos.  Maléolo medial ou lateral, tíbia, dorso do pé.  Resistentes a terapia convencional.  Tratamento:  Repouso;  Higiene local;  Debridamento;  Hidratante nas bordas;  Antibióticos.
  • 50.
     Infância Infecção Pulmonar ▪ S. pneumoneae ( ↓Vacina) ▪ Mycoplasma pneumoneae ▪ Clamídia pneumoneae  Sepse pneumocócica é a principal causa de óbito até os 5 anos.  Adulto  Infarto Pulmonar
  • 54.
     Atinge cercade 8% a 12% das crianças com anemia falciforme.  80% ocorrem antes dos 20 anos de idade.  Recidivas são frequentes.
  • 57.
     Priaprismo.  Retardono crescimento e Insuficiência gonadal.  Alterações renais: de glomerulonefrites à falência renal.  Alterações oculares: Hemorragias na retina  Alterações cardíacas: Fibroses no miocárdio e InsuficiênciaCardíaca.  Alterações Ósteo-articulares: Necrose Isquêmica da Cabeça do Fêmur e osteomielites.
  • 58.
     Hidratação.  Profilaxiacontra infecções.  Imunização.  Nutrição adequada.  Educação (Pessoal e familiar)  Higiene pessoal e local.
  • 59.
     Crises dolorosas: Hidratação (Não hiper-hidratar)  Analgesia  Oxigenioterapia
  • 60.
     Hidroxiuréia (10 – 30 mg/Kg/dia )  Aumenta a taxa de HbF  Diminui a falcisação  Diminui a frequência das crises  Pode provocar mielodepressão Transplante de medula óssea:  Pacientes mais jovens  Alta frequência de complicações
  • 61.
     Exsanguíneo-transfusão:  Crisesvaso-oclusivas potencialmente fatais  Hipertransfusão:  3-5 semanas  Hemocromatose
  • 62.
     Identificar desencadeante(e tratar);  Identificar SíndromeTorácica Aguda;  Avaliar transfusão em caso de anemia intensa ou queda maior de 20% do valor de base. Não usar transfusões de rotina;  O mais importante é controlar a dor;
  • 67.
     Cuidar desi mesmo;  Buscar as necessidades do corpo e da mente;  Melhorar o estilo de vida, evitar hábitos nocivos;  Desenvolver uma alimentação sadia;  Conhecer e controlar os fatores de risco gerados pela doença através de medidas profiláticas e preventivas;  Melhorar a sua qualidade de vida e aumentar sua expectativa de vida.
  • 68.
     Auto-estima  Retardono crescimento e desenvolvimento;  Preconceito e estigmas – segregação social;  Desconhecimento do profissional da educação;  Infantilizados por retardo na maturação sexual.  Auto-imagem  Transformações no corpo mais lentas;  Comparação com outros colegas (trabalho/escola).  Auto-conceito  Doença crônica com consequências para vida produtiva, escolar e social;  Risco da morte precoce.
  • 69.
     Com odiagnóstico precoce, a assistência deve ser iniciada já nos primeiros meses de vida. À medida em que cresce, a criança deve ser preparada para o autocuidado;  Promover ações educativas para a criança e a família, sistematizadas; individuais ou em grupo, sobre a doença, sinais e sintomas que demandam atenção médica, vacinações, hábitos saudáveis e adesão ao tratamento, etc.
  • 70.
     O desafioé levar a pessoa adulta a manter as medidas preventivas e os hábitos saudáveis e identificar precocemente as intercorrências clínicas;  Identificar e intervir nos fatores de risco:  Infecções  Perfusão sanguínea alterada (renal, cutânea, etc.)  Dor (conhecer e controlar)  Risco para integridade da pele prejudicada • Paternidade /maternidade alterada (herança genética)
  • 71.
     Desenvolver oespírito crítico no indivíduo e na família sobre a qualidade do trabalho do profissional de saúde;  Permitir a incorporação do conhecimento do profissional de saúde pelo indivíduo/família sobre os aspectos clínicos e terapêuticos da Doença Falciforme.
  • 72.
     Favorecer aqualidade de vida e longevidade dos indivíduos;  Estimular a prática do direito de cidadania da população assistida;  E assim ... SER FELIZ .
  • 78.