Aspectos da imagem no geriatra: Cuidados na execução e na interpretaçãoPalestra apresentada Conferencia RIOVET 2010Profa. Tilde Rodrigues FroesDepartamento de Medicina Veterinária - UFPRProfa. Tilde Rodrigues Froes
IntroduçãoAumento da expectativa de vida do nosso pacienteMaior interrelação homem x animalConvívioImportânciaPrevenção das doençasPrecisamos estar preparadosDois tipos de pacientesConvívio direito, afetivo e próximoProfa. Tilde Rodrigues Froes
Cuidados técnicosExecução dos exames imaginologicosExame radiográficoDificuldades no posicionamentoFrágeisCardiopatas Doenças respiratóriasMetástasesDoenças articulares e na coluna – degenerativasProfa. Tilde Rodrigues Froes
Como agirSala de execução do exame radiográficoTreinamento pessoal – Técnicos, residentes e estagiáriosPosicionar com calma na mesa de exameCuidado ao tracionar durante o posicionamentoSala de procedimento tranqüila – O interpretados do filme posicionar esse pacienteUtiliza calhas de espumaTécnicas de sedaçãoTécnicas de anestesiaPelve, coluna, crânio** Condições de suportar a anestesiaMonitoramento na sala de exameProfa. Tilde Rodrigues Froes
Profa. Tilde Rodrigues Froes
Profa. Tilde Rodrigues Froes
Cuidados na interpretaçãoProprietários muito preocupados – Aumenta o grau de estresse durante a execução Aumenta o grau de estresse na leitura do exameTomar cuidado – ao passar as informaçõesMúltiplos diferenciais...O que realmente está correlacionado a enfermidade do “momento ?”Profa. Tilde Rodrigues Froes
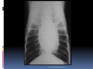
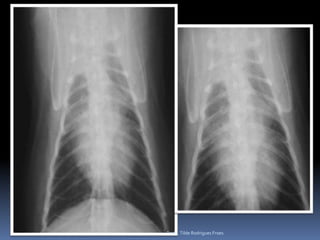
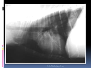
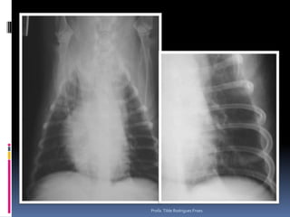
Animal: Cindy, canino, fêmea, 9 anos, Cocker, FC 929/10Suspeita: Pesquisa de metástases – Tumor retal e glândula adeanalProfa. Tilde Rodrigues Froes
Profa. Tilde Rodrigues Froes
Profa. Tilde Rodrigues Froes
Profa. Tilde Rodrigues Froes
No exame ultrassonográficoCuidados no preparo e posicionamentoCuidados na tosa – pele mais frágilDificuldades eventuais – massa em parede externa abdominal,  massas mamarias.Cuidados no posicionamento“calha de espuma”“Carinho com o paciente”Estagiários, alunos e residentes na sala....CUIDADO com comentários  ex. “ nossa que massa horrível” ou “ Isso e mesmo o rim?”Profa. Tilde Rodrigues Froes
InterpretaçãoConceitos:Determina-se os achados “anormais”Anormal x idade (o que se espera!)Anormal x realmente correlacionado aos sinais clínicos correlatos naquela consulta – “ a queixa do momento”Anormal x achados de imagem relevantes para a clínica ( provavelmente mudara a conduta clinica!)Anormal x achados de imagem incidentais ?Profa. Tilde Rodrigues Froes
ObjetivosDemonstrarO que se encontra – “normal para idade” (?)Comentar algumas características/ padrões :Usualmente detectados:No Ex. Radiográfico torácicoNo Ex. Radiográfico do sistema musculoesqueléticoNo ex. Ultrassonográfico do abdomePrincipais doenças:Casos clínicos e seus diferenciais –Profa. Tilde Rodrigues Froes
Exame radiográfico torácicoCuidados – padrões eventualmente detectados – diferenciação da sua relevânciaSilhueta cardíacaAumentos verdadeiros (posicionamento) x Gordura mediastinal – velhinhos obesosComo diferenciar (3 projeções)Gatos velhos – RX – “coração preguiçoso”Dificuldades na avaliação – escolha a Projeção VDProfa. Tilde Rodrigues Froes
Exame radiográfico torácicoCuidados – padrões eventualmente detectados – diferenciação da sua relevânciaASPECTOS RELEVANTESAumento do Átrio esquerdo (Endocardiose de mitral)Aumento generalizado (Miocardiopatia x efusão pericárdica x massa)Imagem de “D”Invertido – associado a quadros pulmonares e colapso de traquéiaProfa. Tilde Rodrigues Froes
Animal: Pretinha, canino, fêmea, 12 anos, TeckelProfa. Tilde Rodrigues Froes
Profa. Tilde Rodrigues Froes
Profa. Tilde Rodrigues Froes
Animal: Dusty, felino, macho, 18 anos, SRDPesquisa de metastasesProfa. Tilde Rodrigues Froes
Profa. Tilde Rodrigues Froes
Profa. Tilde Rodrigues Froes
Animal: NEGUER, canino, macho, 11 anosHx: Ascite, sinais de creptação e sopro na ausculta pulmonar - asciteProfa. Tilde Rodrigues Froes
Profa. Tilde Rodrigues Froes
Profa. Tilde Rodrigues Froes
Profa. Tilde Rodrigues Froes
Animal: Mithy, canino, Yorkshire, 12 anos, FC: 896/10Dispnéia severa e Tosse Profa. Tilde Rodrigues Froes
Profa. Tilde Rodrigues Froes
Profa. Tilde Rodrigues Froes
Exame radiográfico torácicoCuidados – padrões eventualmente detectados – diferenciação de sua relevância clínicaAspecto radiográfico pulmonarPadrão intersticial  reticular difuso Fibrose senil ObesidadeMetástases (?) – pesquisa-se linfonodos associados – buscar outra técnica diagnóstica por imagemPadrão intersticial nodular (focal o multifocal)Pequenos nódulos – vasos em cortes transversaisOutros diferenciais: degeneração costo-condral, massa externa – mamaria.Pequenos nódulos – 2-4mm – OSTEOMASUsualmente visualizados em animais de grande porte Diferenciar de MetástasesProfa. Tilde Rodrigues Froes
Exame radiográfico torácicoPesquisa de metástasesDiferentes padrõesIntersticial reticularIntersticial reticulonodularIntersticial nodularAlveolar (quando ?)Áreas cavitárias* Considerar sempre as limitações dessa análise* Em gatos* Efusão pleuralProfa. Tilde Rodrigues Froes
Animal: Laika, canino, fêmea, 10 anos, Pastor Alemão, FC 417/10Suspeita: Pesquisa de metástases – Nódulos em mama *Profa. Tilde Rodrigues Froes
Profa. Tilde Rodrigues Froes
Profa. Tilde Rodrigues Froes
Profa. Tilde Rodrigues Froes
Profa. Tilde Rodrigues Froes
Profa. Tilde Rodrigues Froes
Exame radiográfico torácicoNossa rotina – nossos velhinhos...Pesquisa de metástasesColapso de traquéiaInsuficiência cardíacaBronquite crônica *Análise interobservadorSempre mais de um observador analisa o filme radiográfico torácico (difícil) Profa. Tilde Rodrigues Froes
Profa. Tilde Rodrigues Froes
Ex colapsoProfa. Tilde Rodrigues Froes
Animal: Flick, canino, macho, Poodle, 10 anos - TosseProfa. Tilde Rodrigues Froes
Profa. Tilde Rodrigues Froes
Profa. Tilde Rodrigues Froes
Exame radiográfico Esqueleto apendicular e axial“Achados radiográficos”Doença articular degenerativaEscápulo umeral (Achado radiográfico)Correlacionado a Displasia coxofemoral (relevância clínica)Espondiloses - COLUNA*Instabilidade lombosacral*Espondilomielopatia cervical*Doença do disco IV*DiscoespondiliteOsteoartrose do JoelhoProfa. Tilde Rodrigues Froes
Profa. Tilde Rodrigues Froes
NINO:Canino, macho, SRD, 10 anosMPD                                             MPEProfa. Tilde Rodrigues Froes
NINO:Canino, macho, SRD, 10 anosMPDMPEProfa. Tilde Rodrigues Froes
Animal: Mike, canino Canino, macho, 11 anos, ROTTHX: Claudicação posteriores    Déficit de propriocepçãoProfa. Tilde Rodrigues Froes
Profa. Tilde Rodrigues Froes
Profa. Tilde Rodrigues Froes
Profa. Tilde Rodrigues Froes
Profa. Tilde Rodrigues Froes
Exame radiográfico Esqueleto apendicular e  axialImportanteAlta freqüência – NEOPLASIAS ÓSSEASEsqueleto apendicular e axialOSTEOSSARCOMAAspectos radiográficosDiferenciais diagnósticosNão esquecer – radiografar o tórax – metástasesCuidados nessa interpretação – falsos negativos – lesões iniciaisProfa. Tilde Rodrigues Froes
Como diferenciar lesões ósseas Esqueleto ApendicularMalignas BenignasTipo de reação periostealPouco delimitadasMais expansivasTipo de perda ósseaBordos pouco precisosPerda da integridade da corticalZona de transiçãoIndefinidaLocalPoliostica x monosticaPiora na avaliação seriadaTipo de reação periostealMais delimitadaMenos expansivasTipo de perda ósseaBordo definidoNão altera a integridade da corticalZona de transiçãoDefinidaLocal Profa. Tilde Rodrigues Froes
Profa. Tilde Rodrigues Froes
Profa. Tilde Rodrigues Froes
Animal:Rambo, canino, Rott, Macho, 10 anos, FC 901/10Profa. Tilde Rodrigues Froes
Ultrassonografia Abdominal do Cão geriatraQuais foram essas alteraçõesFígado	BaçoHiperplasia nodular Nódulos multifocais hipoecoicos – 19 (25%)Ecogenicidade aumentada difusamente 4 (10,5%)O que se sabe – a evidenciação dessas alterações são maiores em pacientes com fígado difusamente hiperecoico
Pesquisar as adrenaisHiperplasia nodular – 6 (7,9%)Nódulo focal – 2(2,6%)Aspecto massa- 1 (1,3%)HSA[   ] – O quanto não vale a pena pesquisar antes!Profa. Tilde Rodrigues Froes
Profa. Tilde Rodrigues Froes
Ultrassonografia Abdominal do Cão geriatraQuais foram essas alteraçõesBexigaRinsEspessamentos  focais e difusos (8 animais – 10,5%)Sedimentos urináriosCom cálculoHiperecogenicidade da cortical (4 animais – 5,2%)Correlação com o transdutor acima de 7,5 MHz   (Ivancic & Mai, 2008)Perda de definição corticomedular – (1 animal – 1,3%)Divertículos renais evidentes (x Doppler)CálculosSinal de medula *Profa. Tilde Rodrigues Froes
Profa. Tilde Rodrigues Froes
Ultrassonografia Abdominal do Cão geriatraQuais foram essas alteraçõesAdrenaisHiperplasia Sem perda de forma (5-6,5%)Com perda de forma (2-2,6%)Profa. Tilde Rodrigues Froes
Video de adrenal hiperplasicaProfa. Tilde Rodrigues Froes
Na nossa rotinaPrincipais doenças observadas no nosso laboratório - cãesHiperadrenocorticismoAchados da imagem US e RadiográficoMuitas vezes – pacientes vem para radiografar tórax – observa hepatomegalia – indica-se a ultrassonografiaProfa. Tilde Rodrigues Froes
Animal: Sacha, canino, fêmea, 11 anosAvaliação – suspeita de HiperadrenocorticismoProfa. Tilde Rodrigues Froes
Profa. Tilde Rodrigues Froes
Profa. Tilde Rodrigues Froes
Na nossa rotinaTrato gastrintestinal e acessóriosDoenças pancreáticasNeoplasias abdominaisProfa. Tilde Rodrigues Froes
Profa. Tilde Rodrigues Froes
Neoplasias abdominaisDiferentes regiões abdominaisBaço e fígadoEstômago e alças intestinais*BexigaAdrenaisMassas abdominais – extensivasRins *Próstata*GatosProfa. Tilde Rodrigues Froes
Afecções trato genital Fêmeas: Hemometra, mucometra e piometraPesquisar região de ováriosMachos: Hiperplasia prostática, nódulos e massas testicularesDificuldades – Hiperplasia prostática diferenciar de prostatite bacteriana associadaProfa. Tilde Rodrigues Froes
Animal: July, canino, Fêmea, Poodle, 10 anos, corrimento vaginal - sanguinolentoProfa. Tilde Rodrigues Froes
Profa. Tilde Rodrigues Froes
Trato urinárioBexigaCistites inflamatórias infecciosas (recorrentes)CálculosDiferenciar de massasSilhueta renalSinais de nefropatia crônicaPerda de definição corticomedularpieloectasiaProfa. Tilde Rodrigues Froes

Palestra geriatria slideshare

  • 1.
    Aspectos da imagemno geriatra: Cuidados na execução e na interpretaçãoPalestra apresentada Conferencia RIOVET 2010Profa. Tilde Rodrigues FroesDepartamento de Medicina Veterinária - UFPRProfa. Tilde Rodrigues Froes
  • 2.
    IntroduçãoAumento da expectativade vida do nosso pacienteMaior interrelação homem x animalConvívioImportânciaPrevenção das doençasPrecisamos estar preparadosDois tipos de pacientesConvívio direito, afetivo e próximoProfa. Tilde Rodrigues Froes
  • 3.
    Cuidados técnicosExecução dosexames imaginologicosExame radiográficoDificuldades no posicionamentoFrágeisCardiopatas Doenças respiratóriasMetástasesDoenças articulares e na coluna – degenerativasProfa. Tilde Rodrigues Froes
  • 4.
    Como agirSala deexecução do exame radiográficoTreinamento pessoal – Técnicos, residentes e estagiáriosPosicionar com calma na mesa de exameCuidado ao tracionar durante o posicionamentoSala de procedimento tranqüila – O interpretados do filme posicionar esse pacienteUtiliza calhas de espumaTécnicas de sedaçãoTécnicas de anestesiaPelve, coluna, crânio** Condições de suportar a anestesiaMonitoramento na sala de exameProfa. Tilde Rodrigues Froes
  • 5.
  • 6.
  • 7.
    Cuidados na interpretaçãoProprietáriosmuito preocupados – Aumenta o grau de estresse durante a execução Aumenta o grau de estresse na leitura do exameTomar cuidado – ao passar as informaçõesMúltiplos diferenciais...O que realmente está correlacionado a enfermidade do “momento ?”Profa. Tilde Rodrigues Froes
  • 8.
    Animal: Cindy, canino,fêmea, 9 anos, Cocker, FC 929/10Suspeita: Pesquisa de metástases – Tumor retal e glândula adeanalProfa. Tilde Rodrigues Froes
  • 9.
  • 10.
  • 11.
  • 12.
    No exame ultrassonográficoCuidadosno preparo e posicionamentoCuidados na tosa – pele mais frágilDificuldades eventuais – massa em parede externa abdominal, massas mamarias.Cuidados no posicionamento“calha de espuma”“Carinho com o paciente”Estagiários, alunos e residentes na sala....CUIDADO com comentários ex. “ nossa que massa horrível” ou “ Isso e mesmo o rim?”Profa. Tilde Rodrigues Froes
  • 13.
    InterpretaçãoConceitos:Determina-se os achados“anormais”Anormal x idade (o que se espera!)Anormal x realmente correlacionado aos sinais clínicos correlatos naquela consulta – “ a queixa do momento”Anormal x achados de imagem relevantes para a clínica ( provavelmente mudara a conduta clinica!)Anormal x achados de imagem incidentais ?Profa. Tilde Rodrigues Froes
  • 14.
    ObjetivosDemonstrarO que seencontra – “normal para idade” (?)Comentar algumas características/ padrões :Usualmente detectados:No Ex. Radiográfico torácicoNo Ex. Radiográfico do sistema musculoesqueléticoNo ex. Ultrassonográfico do abdomePrincipais doenças:Casos clínicos e seus diferenciais –Profa. Tilde Rodrigues Froes
  • 15.
    Exame radiográfico torácicoCuidados– padrões eventualmente detectados – diferenciação da sua relevânciaSilhueta cardíacaAumentos verdadeiros (posicionamento) x Gordura mediastinal – velhinhos obesosComo diferenciar (3 projeções)Gatos velhos – RX – “coração preguiçoso”Dificuldades na avaliação – escolha a Projeção VDProfa. Tilde Rodrigues Froes
  • 16.
    Exame radiográfico torácicoCuidados– padrões eventualmente detectados – diferenciação da sua relevânciaASPECTOS RELEVANTESAumento do Átrio esquerdo (Endocardiose de mitral)Aumento generalizado (Miocardiopatia x efusão pericárdica x massa)Imagem de “D”Invertido – associado a quadros pulmonares e colapso de traquéiaProfa. Tilde Rodrigues Froes
  • 17.
    Animal: Pretinha, canino,fêmea, 12 anos, TeckelProfa. Tilde Rodrigues Froes
  • 18.
  • 19.
  • 20.
    Animal: Dusty, felino,macho, 18 anos, SRDPesquisa de metastasesProfa. Tilde Rodrigues Froes
  • 21.
  • 22.
  • 23.
    Animal: NEGUER, canino,macho, 11 anosHx: Ascite, sinais de creptação e sopro na ausculta pulmonar - asciteProfa. Tilde Rodrigues Froes
  • 24.
  • 25.
  • 26.
  • 27.
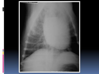
    Animal: Mithy, canino,Yorkshire, 12 anos, FC: 896/10Dispnéia severa e Tosse Profa. Tilde Rodrigues Froes
  • 28.
  • 29.
  • 30.
    Exame radiográfico torácicoCuidados– padrões eventualmente detectados – diferenciação de sua relevância clínicaAspecto radiográfico pulmonarPadrão intersticial reticular difuso Fibrose senil ObesidadeMetástases (?) – pesquisa-se linfonodos associados – buscar outra técnica diagnóstica por imagemPadrão intersticial nodular (focal o multifocal)Pequenos nódulos – vasos em cortes transversaisOutros diferenciais: degeneração costo-condral, massa externa – mamaria.Pequenos nódulos – 2-4mm – OSTEOMASUsualmente visualizados em animais de grande porte Diferenciar de MetástasesProfa. Tilde Rodrigues Froes
  • 31.
    Exame radiográfico torácicoPesquisade metástasesDiferentes padrõesIntersticial reticularIntersticial reticulonodularIntersticial nodularAlveolar (quando ?)Áreas cavitárias* Considerar sempre as limitações dessa análise* Em gatos* Efusão pleuralProfa. Tilde Rodrigues Froes
  • 32.
    Animal: Laika, canino,fêmea, 10 anos, Pastor Alemão, FC 417/10Suspeita: Pesquisa de metástases – Nódulos em mama *Profa. Tilde Rodrigues Froes
  • 33.
  • 34.
  • 35.
  • 36.
  • 37.
  • 38.
    Exame radiográfico torácicoNossarotina – nossos velhinhos...Pesquisa de metástasesColapso de traquéiaInsuficiência cardíacaBronquite crônica *Análise interobservadorSempre mais de um observador analisa o filme radiográfico torácico (difícil) Profa. Tilde Rodrigues Froes
  • 39.
  • 40.
    Ex colapsoProfa. TildeRodrigues Froes
  • 41.
    Animal: Flick, canino,macho, Poodle, 10 anos - TosseProfa. Tilde Rodrigues Froes
  • 42.
  • 43.
  • 44.
    Exame radiográfico Esqueletoapendicular e axial“Achados radiográficos”Doença articular degenerativaEscápulo umeral (Achado radiográfico)Correlacionado a Displasia coxofemoral (relevância clínica)Espondiloses - COLUNA*Instabilidade lombosacral*Espondilomielopatia cervical*Doença do disco IV*DiscoespondiliteOsteoartrose do JoelhoProfa. Tilde Rodrigues Froes
  • 45.
  • 46.
    NINO:Canino, macho, SRD,10 anosMPD MPEProfa. Tilde Rodrigues Froes
  • 47.
    NINO:Canino, macho, SRD,10 anosMPDMPEProfa. Tilde Rodrigues Froes
  • 48.
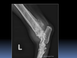
    Animal: Mike, caninoCanino, macho, 11 anos, ROTTHX: Claudicação posteriores Déficit de propriocepçãoProfa. Tilde Rodrigues Froes
  • 49.
  • 50.
  • 51.
  • 52.
  • 53.
    Exame radiográfico Esqueletoapendicular e axialImportanteAlta freqüência – NEOPLASIAS ÓSSEASEsqueleto apendicular e axialOSTEOSSARCOMAAspectos radiográficosDiferenciais diagnósticosNão esquecer – radiografar o tórax – metástasesCuidados nessa interpretação – falsos negativos – lesões iniciaisProfa. Tilde Rodrigues Froes
  • 54.
    Como diferenciar lesõesósseas Esqueleto ApendicularMalignas BenignasTipo de reação periostealPouco delimitadasMais expansivasTipo de perda ósseaBordos pouco precisosPerda da integridade da corticalZona de transiçãoIndefinidaLocalPoliostica x monosticaPiora na avaliação seriadaTipo de reação periostealMais delimitadaMenos expansivasTipo de perda ósseaBordo definidoNão altera a integridade da corticalZona de transiçãoDefinidaLocal Profa. Tilde Rodrigues Froes
  • 55.
  • 56.
  • 57.
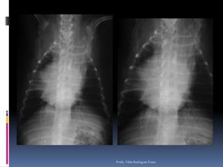
    Animal:Rambo, canino, Rott,Macho, 10 anos, FC 901/10Profa. Tilde Rodrigues Froes
  • 58.
    Ultrassonografia Abdominal doCão geriatraQuais foram essas alteraçõesFígado BaçoHiperplasia nodular Nódulos multifocais hipoecoicos – 19 (25%)Ecogenicidade aumentada difusamente 4 (10,5%)O que se sabe – a evidenciação dessas alterações são maiores em pacientes com fígado difusamente hiperecoico
  • 59.
    Pesquisar as adrenaisHiperplasianodular – 6 (7,9%)Nódulo focal – 2(2,6%)Aspecto massa- 1 (1,3%)HSA[ ] – O quanto não vale a pena pesquisar antes!Profa. Tilde Rodrigues Froes
  • 60.
  • 61.
    Ultrassonografia Abdominal doCão geriatraQuais foram essas alteraçõesBexigaRinsEspessamentos focais e difusos (8 animais – 10,5%)Sedimentos urináriosCom cálculoHiperecogenicidade da cortical (4 animais – 5,2%)Correlação com o transdutor acima de 7,5 MHz (Ivancic & Mai, 2008)Perda de definição corticomedular – (1 animal – 1,3%)Divertículos renais evidentes (x Doppler)CálculosSinal de medula *Profa. Tilde Rodrigues Froes
  • 62.
  • 63.
    Ultrassonografia Abdominal doCão geriatraQuais foram essas alteraçõesAdrenaisHiperplasia Sem perda de forma (5-6,5%)Com perda de forma (2-2,6%)Profa. Tilde Rodrigues Froes
  • 64.
    Video de adrenalhiperplasicaProfa. Tilde Rodrigues Froes
  • 65.
    Na nossa rotinaPrincipaisdoenças observadas no nosso laboratório - cãesHiperadrenocorticismoAchados da imagem US e RadiográficoMuitas vezes – pacientes vem para radiografar tórax – observa hepatomegalia – indica-se a ultrassonografiaProfa. Tilde Rodrigues Froes
  • 66.
    Animal: Sacha, canino,fêmea, 11 anosAvaliação – suspeita de HiperadrenocorticismoProfa. Tilde Rodrigues Froes
  • 67.
  • 68.
  • 69.
    Na nossa rotinaTratogastrintestinal e acessóriosDoenças pancreáticasNeoplasias abdominaisProfa. Tilde Rodrigues Froes
  • 70.
  • 71.
    Neoplasias abdominaisDiferentes regiõesabdominaisBaço e fígadoEstômago e alças intestinais*BexigaAdrenaisMassas abdominais – extensivasRins *Próstata*GatosProfa. Tilde Rodrigues Froes
  • 72.
    Afecções trato genitalFêmeas: Hemometra, mucometra e piometraPesquisar região de ováriosMachos: Hiperplasia prostática, nódulos e massas testicularesDificuldades – Hiperplasia prostática diferenciar de prostatite bacteriana associadaProfa. Tilde Rodrigues Froes
  • 73.
    Animal: July, canino,Fêmea, Poodle, 10 anos, corrimento vaginal - sanguinolentoProfa. Tilde Rodrigues Froes
  • 74.
  • 75.
    Trato urinárioBexigaCistites inflamatóriasinfecciosas (recorrentes)CálculosDiferenciar de massasSilhueta renalSinais de nefropatia crônicaPerda de definição corticomedularpieloectasiaProfa. Tilde Rodrigues Froes