Pode ser definida como: o exame realizado na cabeça, dentes, ou da face
utilizando-se filmes radiográfico localizados fora da cavidade bucal e assim
abrangendo maiores áreas da face/crânio. Permite ao cirurgião-dentista ver
áreas extensas das maxilas e mandíbula, além do crânio em uma única
imagem.
Definição: Técnica que captura uma visão lateral (perfil) do crânio e estruturas faciais.
Descrição: Comumente utilizada em ortodontia e cirurgia ortognática, ela permite a avaliação da
relação entre maxila, mandíbula e as bases ósseas.
Distinção: Ao contrário das radiografias PA, que focam na simetria frontal, a lateral se concentra em
analisar o perfil facial e as relações sagitais.
A CEFALOMÉTRICA EM NORMA LATERAL E A TELERRADIOGRAFIA EM NORMA
LATERAL SÃO FREQUENTEMENTE USADAS DE MANEIRA INTERCAMBIÁVEL, MAS
PODEM TER DIFERENÇAS SUTIS. VAMOS EXPLORAR AS PRINCIPAIS DIFERENÇAS:
Cefalométrica em Norma Lateral
•Definição: Refere-se especificamente à técnica de radiografia lateral
utilizada para analisar medidas cefalométricas das estruturas craniofaciais.
•Objetivo: Principalmente focada na avaliação e mensuração de ângulos
e distâncias que ajudam na análise do crescimento facial e nas relações
dentárias.
•Uso: Comumente utilizada na ortodontia para planejamento e
acompanhamento de tratamentos ortodônticos.
•Análise: Inclui a avaliação de pontos específicos no crânio e na face,
com a obtenção de medidas cefalométricas.
Telerradiografia em Norma Lateral
•Definição: É uma técnica de radiografia que capta uma imagem lateral
do crânio à distância, onde a fonte de radiação e o filme estão posicionados em lados opostos.
•Objetivo: Além de análises cefalométricas, a telerradiografia pode ser utilizada para avaliar
condições craniofaciais gerais, fraturas e outras patologias.
•Uso: Utilizada em várias especialidades, incluindo ortodontia, cirurgia maxilofacial e odontologia
geral.
•Análise: Pode ser usada para fins mais amplos de diagnóstico, não se limitando apenas a medidas
cefalométricas.
Posição do paciente: via de regra, como padronização o
paciente é posicionado no cefalostato com o lado
esquerdo da face mais próximo do chassi, com plano
sagital mediano paralelo ao plano horizontal (plano vertical)
e perpendicular ao filme/chassi e com o plano horizontal de
Frankfurt (pórioorbita), estando os dentes em máxima
intercuspidação. O cefalostato tem a função de fixar a
cabeça do paciente, tanto no sentido anteroposterior,
quanto no sentido lateral, através das olivas (dispositivos
cilíndricos que adentram levemente ambos os meatos
acústicos) e, através destes, faz-se incidir os raios X centrais
perpendicularmente ao conjunto chassi/filme/tela
intensificadora. Hoje muitos profissionais têm solicitado
alguma alteração no posicionamento do paciente, por
exemplo, solicitando que a cabeça seja posicionada
segundo a “vertical verdadeira”, quando utilizará a análise
Rocabado etc. O importante é a padronização do
posicionamento, e as alterações serão realizadas conforme
a requisição. A distância da fonte de raios X até o paciente
é padronizada em 1,52 m.
A LATERAL OBLÍQUA DE MANDÍBULA REFERE-SE A UMA ESTRUTURA
ANATÔMICA IMPORTANTE NA MANDÍBULA, RELACIONADA AO SEU ÂNGULO E
RAMO. O ÂNGULO DA MANDÍBULA É A PARTE EM QUE O CORPO DA
MANDÍBULA SE ENCONTRA COM O RAMO, FORMANDO UMA CURVA QUE
AJUDA A DEFINIR O CONTORNO DA MANDÍBULA. ESSA REGIÃO É ESSENCIAL
PARA A FUNÇÃO MASTIGATÓRIA E TAMBÉM SERVE COMO PONTO DE ANEXO PARA
MÚSCULOS, COMO O MASSETER E O TEMPORAL.
Posição do Paciente:
1.Plano Sagital Mediano: O paciente deve estar alinhado
de forma que o plano sagital mediano do corpo esteja
paralelo ao chassi de imagem. Isso ajuda a garantir que a
imagem seja simétrica e centrada.
2.Ramo Mandibular em Contato com o Chassi: O ramo da
mandíbula deve estar em contato direto com o chassi, o
que permite uma melhor definição da estrutura mandibular
na radiografia.
3.Ângulo de 60º em Relação ao PH: O feixe de raios X deve
ser direcionado em um ângulo de 60 graus em relação ao
plano horizontal (PH), que normalmente é o plano do chão.
Isso é importante para visualizar corretamente a lateral
oblíqua da mandíbula.
•Posição do Paciente:
•Plano Sagital Mediano Paralelo ao Chassi: O paciente deve estar
posicionado de modo que o plano sagital mediano (dividindo o corpo em
metades direita e esquerda) esteja alinhado e paralelo ao chassi. Isso
assegura que a imagem resultante seja simétrica.
•Ápice Nasal e Mento em Contato com o Chassi: A posição correta
requer que o ápice nasal (a ponta do nariz) e o mento (queixo) estejam em
contato com o chassi. Essa posição ajuda a centralizar a imagem da
mandíbula.
•Ângulo de 60º em Relação ao Plano Horizontal: O feixe de raios X deve
ser direcionado em um ângulo de 60 graus em relação ao plano horizontal.
Isso é essencial para obter uma visualização clara do corpo da mandíbula.
Posição do Paciente:
1.Plano Sagital Mediano: Deve estar perpendicular ao plano horizontal (PH), garantindo simetria na
imagem.
2.Linha Cantomeatal: Deve estar paralela ao plano horizontal (PH), ajudando a alinhar corretamente
a cabeça do paciente.
3.Apoio Frontal: O paciente deve ter a testa em contato com o receptor, garantindo estabilidade e
imobilidade durante a exposição.
4.Apoio do Ápice do Nariz: O ápice do nariz também deve estar em contato com o receptor,
contribuindo para a correta posição do crânio e evitando distorções na imagem.
•Fraturas na porção superior do pescoço do côndilo: Permite visualizar fraturas complexas
na região do côndilo mandibular.
•Investigação da qualidade das superfícies articulares do côndilo: Útil para avaliar a
integridade das superfícies articulares em casos de distúrbios da articulação
temporomandibular (ATM), como artrose ou artrite.
•Hipoplasia condilar ou hiperplasia: Ajuda a identificar alterações no desenvolvimento do
côndilo, que podem impactar a função da mandíbula e a oclusão.
Considerações Adicionais:
•Boca Aberta: O paciente deve ser instruído a abrir a boca durante a exposição para
visualizar melhor as estruturas internas da mandíbula e articulações.
•Centralização do Feixe: O feixe de raios X deve ser centralizado na região da articulação
temporomandibular, garantindo que as áreas de interesse estejam bem capturadas na
imagem.
•Instruções ao Paciente: Certifique-se de que o paciente esteja confortável e entenda a
posição que deve manter durante a exposição.
Posição do Paciente
1.Plano Sagital Mediano: Deve estar perpendicular ao plano horizontal (PH),
assegurando que o rosto esteja centralizado.
2.Mento Apoiado no Receptor: O queixo (mento) deve estar em contato com o
receptor de imagem.
3.Linha Cantomeatal: A linha que vai do canto externo do olho até o meato acústico
deve formar um ângulo de 37º com o receptor. Esse ângulo ajuda a obter a projeção
adequada dos seios paranasais e das órbitas.
POSIÇÃO DO PACIENTE
PLANO SAGITAL MEDIANO: DEVE ESTAR PERPENDICULAR AO PLANO HORIZONTAL (PH), ASSEGURANDO
QUE O ROSTO ESTEJA CENTRALIZADO.
LINHA CANTOMEATAL: DEVE FORMAR UM ÂNGULO DE 10º COM O PH, O QUE AJUDA NA CORRETA
PROJEÇÃO DAS ESTRUTURAS CRANIANAS.
ÁPICE NASAL: O ÁPICE DO NARIZ DEVE ESTAR EM CONTATO COM O CHASSI/SENSOR, GARANTINDO
QUE A IMAGEM CAPTURE A ÁREA ADEQUADA DA FACE E DO CRÂNIO.
Posição do Paciente:
•O paciente deve estar em posição sentada ou em pé.
•O pescoço deve ser hiperextendido, de forma que o plano de Frankfort (linha entre o bordo
inferior da órbita e o bordo superior do canal auditivo) fique paralelo ao solo. Isso ajuda a alinhar
corretamente a mandíbula e os maxilares.
Descrição da Técnica:
•A fonte de radiação é posicionada em um ângulo específico em relação ao paciente.
•O filme ou sensor é colocado perpendicular ao feixe de radiação, capturando uma imagem clara
das estruturas maxilares e articulações temporomandibulares.
O que é ATM?
ATM (Articulação Temporomandibular) é a articulação que conecta a mandíbula (osso
da mandíbula inferior) ao crânio, especificamente à região do osso temporal. É uma das
articulações mais complexas do corpo humano, permitindo movimentos essenciais para
funções como mastigação, fala e expressão facial.
O feixe de raios X é dirigido de posterior para anterior e
acima do meato acústico externo, passando superiormente
à parte petrosa do temporal, para atingir a cabeça da
mandíbula contralateral (de interesse)
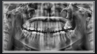
A radiografia panorâmica é uma técnica importante na odontologia que oferece uma
visão abrangente dos maxilares, dentes, articulações temporomandibulares (ATM) e
estruturas adjacentes. O método utiliza um feixe de raios X que se move em um arco
ao redor da cabeça do paciente, resultando em uma imagem bidimensional que
captura uma ampla área da arcada dentária.
Essa técnica é especialmente útil para:
•Avaliar a posição e o estado dos dentes, incluindo os dentes do siso.
•Diagnosticar problemas nas articulações da mandíbula.
•Identificar cistos, tumores e outras condições patológicas.
•Planejar tratamentos ortodônticos ou cirúrgicos.
A radiografia panorâmica é rápida, geralmente não requer preparação especial do
paciente e minimiza a exposição à radiação em comparação com radiografias
intraorais múltiplas. É uma ferramenta valiosa na prática clínica para o diagnóstico e
planejamento de tratamentos.
Quais são as principais estruturas anatômicas dentárias visualizadas em radiografias
intrabucais?
Nas radiografias intrabucais, diversas estruturas anatômicas dentárias são essenciais para uma
avaliação precisa da saúde oral. Entre as principais, destacam-se:
Esmalte
É a camada mais externa da coroa do dente, conhecida por sua alta resistência.
Nas radiografias, o esmalte apresenta-se como uma área radiopaca, devido à sua densidade,
aparecendo mais clara em comparação com outras estruturas.
Dentina
Localizada abaixo do esmalte, tanto na coroa quanto na parte da raiz, a dentina também aparece
radiopaca.
Tem um tom mais escuro que o esmalte, devido à sua menor densidade.
Câmara pulpar
Situada abaixo da dentina, contém a polpa dentária.
Embora o tecido pulpar não seja diretamente visível, os espaços que o contêm, incluindo a câmara
pulpar e os canais radiculares, são radiolúcidos.
Cemento
Esse tecido reveste a raiz do dente, proporcionando proteção e ancoragem ao osso alveolar.
Sua visualização radiográfica é mais desafiadora, mas é fundamental para a saúde periodontal.
Espaço periodontal e lâmina dura
O espaço periodontal, delimitado pela lâmina dura, é uma linha fina radiopaca que circunda a raiz do
dente. Indica a saúde do suporte ósseo alveolar ao dente.
A lâmina dura é particularmente importante para avaliar a integridade do suporte ósseo periodontal.
Quais são as principais estruturas anatômicas dentárias visualizadas em
radiografias intrabucais?

Radiografias extra buscais e anatomia intrabucal

  • 1.
    Pode ser definidacomo: o exame realizado na cabeça, dentes, ou da face utilizando-se filmes radiográfico localizados fora da cavidade bucal e assim abrangendo maiores áreas da face/crânio. Permite ao cirurgião-dentista ver áreas extensas das maxilas e mandíbula, além do crânio em uma única imagem.
  • 4.
    Definição: Técnica quecaptura uma visão lateral (perfil) do crânio e estruturas faciais. Descrição: Comumente utilizada em ortodontia e cirurgia ortognática, ela permite a avaliação da relação entre maxila, mandíbula e as bases ósseas. Distinção: Ao contrário das radiografias PA, que focam na simetria frontal, a lateral se concentra em analisar o perfil facial e as relações sagitais.
  • 5.
    A CEFALOMÉTRICA EMNORMA LATERAL E A TELERRADIOGRAFIA EM NORMA LATERAL SÃO FREQUENTEMENTE USADAS DE MANEIRA INTERCAMBIÁVEL, MAS PODEM TER DIFERENÇAS SUTIS. VAMOS EXPLORAR AS PRINCIPAIS DIFERENÇAS:
  • 6.
    Cefalométrica em NormaLateral •Definição: Refere-se especificamente à técnica de radiografia lateral utilizada para analisar medidas cefalométricas das estruturas craniofaciais. •Objetivo: Principalmente focada na avaliação e mensuração de ângulos e distâncias que ajudam na análise do crescimento facial e nas relações dentárias. •Uso: Comumente utilizada na ortodontia para planejamento e acompanhamento de tratamentos ortodônticos. •Análise: Inclui a avaliação de pontos específicos no crânio e na face, com a obtenção de medidas cefalométricas. Telerradiografia em Norma Lateral •Definição: É uma técnica de radiografia que capta uma imagem lateral do crânio à distância, onde a fonte de radiação e o filme estão posicionados em lados opostos. •Objetivo: Além de análises cefalométricas, a telerradiografia pode ser utilizada para avaliar condições craniofaciais gerais, fraturas e outras patologias. •Uso: Utilizada em várias especialidades, incluindo ortodontia, cirurgia maxilofacial e odontologia geral. •Análise: Pode ser usada para fins mais amplos de diagnóstico, não se limitando apenas a medidas cefalométricas.
  • 7.
    Posição do paciente:via de regra, como padronização o paciente é posicionado no cefalostato com o lado esquerdo da face mais próximo do chassi, com plano sagital mediano paralelo ao plano horizontal (plano vertical) e perpendicular ao filme/chassi e com o plano horizontal de Frankfurt (pórioorbita), estando os dentes em máxima intercuspidação. O cefalostato tem a função de fixar a cabeça do paciente, tanto no sentido anteroposterior, quanto no sentido lateral, através das olivas (dispositivos cilíndricos que adentram levemente ambos os meatos acústicos) e, através destes, faz-se incidir os raios X centrais perpendicularmente ao conjunto chassi/filme/tela intensificadora. Hoje muitos profissionais têm solicitado alguma alteração no posicionamento do paciente, por exemplo, solicitando que a cabeça seja posicionada segundo a “vertical verdadeira”, quando utilizará a análise Rocabado etc. O importante é a padronização do posicionamento, e as alterações serão realizadas conforme a requisição. A distância da fonte de raios X até o paciente é padronizada em 1,52 m.
  • 15.
    A LATERAL OBLÍQUADE MANDÍBULA REFERE-SE A UMA ESTRUTURA ANATÔMICA IMPORTANTE NA MANDÍBULA, RELACIONADA AO SEU ÂNGULO E RAMO. O ÂNGULO DA MANDÍBULA É A PARTE EM QUE O CORPO DA MANDÍBULA SE ENCONTRA COM O RAMO, FORMANDO UMA CURVA QUE AJUDA A DEFINIR O CONTORNO DA MANDÍBULA. ESSA REGIÃO É ESSENCIAL PARA A FUNÇÃO MASTIGATÓRIA E TAMBÉM SERVE COMO PONTO DE ANEXO PARA MÚSCULOS, COMO O MASSETER E O TEMPORAL.
  • 16.
    Posição do Paciente: 1.PlanoSagital Mediano: O paciente deve estar alinhado de forma que o plano sagital mediano do corpo esteja paralelo ao chassi de imagem. Isso ajuda a garantir que a imagem seja simétrica e centrada. 2.Ramo Mandibular em Contato com o Chassi: O ramo da mandíbula deve estar em contato direto com o chassi, o que permite uma melhor definição da estrutura mandibular na radiografia. 3.Ângulo de 60º em Relação ao PH: O feixe de raios X deve ser direcionado em um ângulo de 60 graus em relação ao plano horizontal (PH), que normalmente é o plano do chão. Isso é importante para visualizar corretamente a lateral oblíqua da mandíbula. •Posição do Paciente: •Plano Sagital Mediano Paralelo ao Chassi: O paciente deve estar posicionado de modo que o plano sagital mediano (dividindo o corpo em metades direita e esquerda) esteja alinhado e paralelo ao chassi. Isso assegura que a imagem resultante seja simétrica. •Ápice Nasal e Mento em Contato com o Chassi: A posição correta requer que o ápice nasal (a ponta do nariz) e o mento (queixo) estejam em contato com o chassi. Essa posição ajuda a centralizar a imagem da mandíbula. •Ângulo de 60º em Relação ao Plano Horizontal: O feixe de raios X deve ser direcionado em um ângulo de 60 graus em relação ao plano horizontal. Isso é essencial para obter uma visualização clara do corpo da mandíbula.
  • 23.
    Posição do Paciente: 1.PlanoSagital Mediano: Deve estar perpendicular ao plano horizontal (PH), garantindo simetria na imagem. 2.Linha Cantomeatal: Deve estar paralela ao plano horizontal (PH), ajudando a alinhar corretamente a cabeça do paciente. 3.Apoio Frontal: O paciente deve ter a testa em contato com o receptor, garantindo estabilidade e imobilidade durante a exposição. 4.Apoio do Ápice do Nariz: O ápice do nariz também deve estar em contato com o receptor, contribuindo para a correta posição do crânio e evitando distorções na imagem.
  • 24.
    •Fraturas na porçãosuperior do pescoço do côndilo: Permite visualizar fraturas complexas na região do côndilo mandibular. •Investigação da qualidade das superfícies articulares do côndilo: Útil para avaliar a integridade das superfícies articulares em casos de distúrbios da articulação temporomandibular (ATM), como artrose ou artrite. •Hipoplasia condilar ou hiperplasia: Ajuda a identificar alterações no desenvolvimento do côndilo, que podem impactar a função da mandíbula e a oclusão.
  • 25.
    Considerações Adicionais: •Boca Aberta:O paciente deve ser instruído a abrir a boca durante a exposição para visualizar melhor as estruturas internas da mandíbula e articulações. •Centralização do Feixe: O feixe de raios X deve ser centralizado na região da articulação temporomandibular, garantindo que as áreas de interesse estejam bem capturadas na imagem. •Instruções ao Paciente: Certifique-se de que o paciente esteja confortável e entenda a posição que deve manter durante a exposição.
  • 27.
    Posição do Paciente 1.PlanoSagital Mediano: Deve estar perpendicular ao plano horizontal (PH), assegurando que o rosto esteja centralizado. 2.Mento Apoiado no Receptor: O queixo (mento) deve estar em contato com o receptor de imagem. 3.Linha Cantomeatal: A linha que vai do canto externo do olho até o meato acústico deve formar um ângulo de 37º com o receptor. Esse ângulo ajuda a obter a projeção adequada dos seios paranasais e das órbitas.
  • 29.
    POSIÇÃO DO PACIENTE PLANOSAGITAL MEDIANO: DEVE ESTAR PERPENDICULAR AO PLANO HORIZONTAL (PH), ASSEGURANDO QUE O ROSTO ESTEJA CENTRALIZADO. LINHA CANTOMEATAL: DEVE FORMAR UM ÂNGULO DE 10º COM O PH, O QUE AJUDA NA CORRETA PROJEÇÃO DAS ESTRUTURAS CRANIANAS. ÁPICE NASAL: O ÁPICE DO NARIZ DEVE ESTAR EM CONTATO COM O CHASSI/SENSOR, GARANTINDO QUE A IMAGEM CAPTURE A ÁREA ADEQUADA DA FACE E DO CRÂNIO.
  • 33.
    Posição do Paciente: •Opaciente deve estar em posição sentada ou em pé. •O pescoço deve ser hiperextendido, de forma que o plano de Frankfort (linha entre o bordo inferior da órbita e o bordo superior do canal auditivo) fique paralelo ao solo. Isso ajuda a alinhar corretamente a mandíbula e os maxilares. Descrição da Técnica: •A fonte de radiação é posicionada em um ângulo específico em relação ao paciente. •O filme ou sensor é colocado perpendicular ao feixe de radiação, capturando uma imagem clara das estruturas maxilares e articulações temporomandibulares.
  • 35.
    O que éATM? ATM (Articulação Temporomandibular) é a articulação que conecta a mandíbula (osso da mandíbula inferior) ao crânio, especificamente à região do osso temporal. É uma das articulações mais complexas do corpo humano, permitindo movimentos essenciais para funções como mastigação, fala e expressão facial.
  • 36.
    O feixe deraios X é dirigido de posterior para anterior e acima do meato acústico externo, passando superiormente à parte petrosa do temporal, para atingir a cabeça da mandíbula contralateral (de interesse)
  • 40.
    A radiografia panorâmicaé uma técnica importante na odontologia que oferece uma visão abrangente dos maxilares, dentes, articulações temporomandibulares (ATM) e estruturas adjacentes. O método utiliza um feixe de raios X que se move em um arco ao redor da cabeça do paciente, resultando em uma imagem bidimensional que captura uma ampla área da arcada dentária. Essa técnica é especialmente útil para: •Avaliar a posição e o estado dos dentes, incluindo os dentes do siso. •Diagnosticar problemas nas articulações da mandíbula. •Identificar cistos, tumores e outras condições patológicas. •Planejar tratamentos ortodônticos ou cirúrgicos. A radiografia panorâmica é rápida, geralmente não requer preparação especial do paciente e minimiza a exposição à radiação em comparação com radiografias intraorais múltiplas. É uma ferramenta valiosa na prática clínica para o diagnóstico e planejamento de tratamentos.
  • 46.
    Quais são asprincipais estruturas anatômicas dentárias visualizadas em radiografias intrabucais? Nas radiografias intrabucais, diversas estruturas anatômicas dentárias são essenciais para uma avaliação precisa da saúde oral. Entre as principais, destacam-se: Esmalte É a camada mais externa da coroa do dente, conhecida por sua alta resistência. Nas radiografias, o esmalte apresenta-se como uma área radiopaca, devido à sua densidade, aparecendo mais clara em comparação com outras estruturas. Dentina Localizada abaixo do esmalte, tanto na coroa quanto na parte da raiz, a dentina também aparece radiopaca. Tem um tom mais escuro que o esmalte, devido à sua menor densidade. Câmara pulpar Situada abaixo da dentina, contém a polpa dentária. Embora o tecido pulpar não seja diretamente visível, os espaços que o contêm, incluindo a câmara pulpar e os canais radiculares, são radiolúcidos. Cemento Esse tecido reveste a raiz do dente, proporcionando proteção e ancoragem ao osso alveolar. Sua visualização radiográfica é mais desafiadora, mas é fundamental para a saúde periodontal. Espaço periodontal e lâmina dura O espaço periodontal, delimitado pela lâmina dura, é uma linha fina radiopaca que circunda a raiz do dente. Indica a saúde do suporte ósseo alveolar ao dente. A lâmina dura é particularmente importante para avaliar a integridade do suporte ósseo periodontal.
  • 47.
    Quais são asprincipais estruturas anatômicas dentárias visualizadas em radiografias intrabucais?