Posicionamento 1Membros superiores1
Incidência AP da Escápula2
3
Incidência Lateral da Escápula 4
5
6
Incidência AP e Axial de clavícula7
8
9
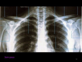
Incidência AP: Articulação acromioclavivular  bilateral (com e sem peso) 10
11
Sem peso12
Com peso13
Ombro14
Incidência AP Ombro Rotação Neutra (1)15
16
17
Incidência AP- Ombro Verdadeiro(2)18
19
20
Incidência AP- Ombro Rotação Interna e Externa (RI/RE)21
22
23
Incidência Axial ínfero-superior (Abdução do Ombro)- método Lowrence24
25
26
Incidência Axial ínfero-superior (Abdução do Ombro)- Método West Ponit (5)27
28
29
Incidência Ombro Perfil axial súpero-inferior (4)30
31
32
Incidência Tunel do Ombro- Stryker (8)33
34
35
Incidência Ombro lateral em Y escapular – Posição Oblíqua Anterior (túnel supra espinhoso)36
37
38
Incidência tangencial – túnel supraespinhal- metodo de Neer(6)39
40
41
Incidência Oblíqua apical em AP do Ombro – método Garth (7)42
43
44
Incidência Oblíqua Apical – Rockwood (3)45
46
47
Incidência Lateral transtorácica do Ombro – método Lawrence48
49
50
úmero51
Incidência AP Úmero52
53
54
Incidência lateral do úmero55
56
57
Incidência lateral transtoracica do úmero- método lawrence58
59
60
cotovelo61
Incidência AP de cotovelo62
63
64
Incidência lateral cotovelo (látero-medial)65
66
67
Incidência AP obliqua cotovelo- rotação lateral68
69
70
Incidência AP obliqua cotovelo- rotação medial71
72
73
Incidência  de flexão aguda do cotovelo (axial de olécrano) método Jones74
75
76
Incidência AP túnel do cotovelo77
78
79
antebraço80
Incidência AP/PA do antebraço81
82
83
Incidência lateral do antebraço: látero-medial84
85
86
Punho, mão e dedos87
Incidência AP e PA do Punho88
89
90
Incidência lateral (perfil) do punho (látero-medial)91
92
93
Incidência lateral do punho- extensão máxima94
95
96
Incidência túnel do carpo súpero-inferior (dorso palmar)97
98
99
Incidência túnel do carpo ínfero-superior – método Gaynor-Hart100
101
102
Incidência punho desvio (flexão) ulnar (escafóide) ou incidência  p/ escafóide103
104
105
Incidência punho desvio (flexão) radial- PA de punho106
107
108
Incidência punho oblíqua PA- rotação lateral do punho (escafoide)109
110
111
Incidência punho frente com magnificação (escafóide)112
113
114
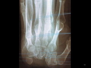
Incidência mãos e punhos para idade óssea115
116
117
Incidência PA Mão118
119
120
Incidência em extensão e flexão – látero-medial da mão121
122
123
124
Incidência oblíqua PA da mão125
126
127
Incidência AP do polegar128
129
130
131
Incidência AP lateral do polegar132
133
134
Incidência oblíqua do polegar135
136
137
Incidência PA ou AP dos dedos da mão 138
139
140
Incidência lateral (lateral-medial ou médio-lateral) dos dedos141
142
143
Incidência oblíqua PA dos dedos – rotação medial ou lateral144
145
146

Posicionamento do membros superiores