PROFESSOR ALEXANDRE
SISTEMA DIGESTÓRIO
FUNÇÃO: prover o organismo de água e
nutrientes que suprem as
necessidades energéticas
Processo
Absortivo
utilização
Ingestão de
Alimento
grandes
moléculas
Processo
Digestivo
moléculas
menores
PROFESSOR ALEXANDRE
FUNÇÃO PRINCIPAL SISTEMA DIGESTÓRIO
CARBOIDRATOS LIPÍDEOS PROTEÍNAS
MONOSSACARÍDEOS ÁCIDOS GRAXOS /GLIC AMINOÁCIDOS
PROFESSOR ALEXANDRE
PRINCIPAL FORMATO DOS ALIMENTOS
FEITO POR ENZIMAS DOS SUCOS DIGESTIVOS
SALIVA, SUCO GÁSTRICO, SUCO PANCREÁTICO, SUCO
BILIAR, SUCO INTESTINAL
PROFESSOR ALEXANDRE
ANATOMIA DO SISTEMA DIGESTÓRIO MECÂNICO
LÍNGUA
Cólon sigmóide
PROFESSOR ALEXANDRE
ANATOMIA DO SISTEMA DIGESTÓRIO QUÍMICO
INSALIVAÇÃO
QUIMIFICAÇÃO
QUILIFICAÇÃO
QUILIFICAÇÃO
ENTÉRICO
PTIALINA
BILE NÃO
TEM ENZIMAS
OS SAIS
BILIARES
QUEBRA
MOLÉCULAS
DE GORDURA
MASTIGAÇÃO
ato voluntário e reflexo
facilita a homogeinização
mistura com a saliva
capacidade trituradora (unilateral)
122 kg cão = 165 kg
PROFESSOR ALEXANDRE
MASTIGAÇÃO
DEGLUTIÇÃO
fase voluntária
fase faríngea
fase esofagiana
reflexas e dependentes de
estimulação de receptores
sem saliva não há deglutição
PROFESSOR ALEXANDRE
DEGLUTIÇÃO
MOTILIDADE GÁSTRICA
simpático deprime e
parassimpático aumenta
esvaziamento gástrico depende:
 natureza do alimento
 volume total
 osmolaridade
 pH
PROFESSOR ALEXANDRE
MOBILIDADE GÁSTRICA DEPENDÊNCIA
DIGESTÃO E ABSORÇÃO
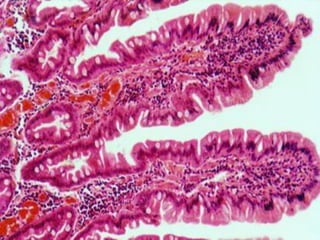
Estrutura:
• válvulas
• vilosidades
• microvilosidades (bordas em escôva)
PROFESSOR ALEXANDRE
ABSORÇÃO
É de difícil digestão, por isso pode estimular reações do sistema imune
que poderão desencadear vários sintomas no organismo.
O Glúten agride e danifica as vilosidades do intestino delgado e
prejudica a absorção dos alimentos.
PROFESSOR ALEXANDRE
TEMPO DO ALIMENTO/TRÂNSITO
BOCA - 5’’A 30’’
FARINGE E ESÔFAGO -10’’
ESTÔMAGO – 3 HORAS
INTESTINO DELGADO – 3 HORAS
INTESTINO GROSSO – 6 HORAS Á 2 DIAS
Fígado
É uma glândula localizada no lado direito do organismo. Produz
a bile, que atua na digestão de gorduras.
A Bile é produzida no fígado e armazenada na vesícula biliar e
lançada no Duodeno (intestino).
Pâncreas
É uma glândula localizada no lado esquerdo do corpo, abaixo do
estômago. Produz o suco pancreático, formado por 3 enzimas
(tripsina, lipase e amilase pancreática).
Tripsina – atua na digestão das proteínas
Lipase – atua na digestão dos lipídios (gorduras)
Amilase pancreática – atua na digestão do amido
As três enzimas atuam no intestino delgado.
A digestão é um processo físico-químico complexo que promove a
quebra de macromoléculas em moléculas menores para que as
células possam absorver os nutrientes contidos nelas e, assim,
abastecer o nosso corpo.
Órgãos da digestão
O sistema digestório, no ser humano, é formado pelos seguintes
órgãos: Boca, Faringe, Esôfago, Estômago, Intestino
delgado, Intestino grosso e Ânus. Existem ainda alguns anexos da
digestão: Glândulas salivares, fígado e pâncreas.
Boca
Na boca ocorre a trituração, insalivação e a deglutição.
Trituração ou mastigação – feita pelos dentes
Insalivação – ação da saliva nos alimentos
Deglutição – ato de engolir os alimentos
RESUMO DA DIGESTÃO
RESUMO DA DIGESTÃO
Digestão na Boca
O Amido é quebrado e transformado em maltose pela amilase
salivar ou ptialina.
Anexas à boca estão três pares de glândulas salivares (2 parótidas,
2 sublinguais, 2 submaxilares), que são órgãos produtores de
saliva. A saliva contém uma enzima do tipo amilase,
chamada ptialina, que age sobre o amido e o transforma em
maltose, uma variedade de açúcar formada pela união de duas
moléculas de glicose.
Os dentes cortam, prendem e trituram os alimentos. Em um ser
humano adulto, existem 32 dentes, dezesseis em cada arco dental.
RESUMO DA DIGESTÃO
Da boca para o estômago
Após a mastigação e a insalivação, forma-se o que chamamos
de bolo alimentar, que é deglutido. Após o ato de engolir, o bolo
alimentar passa pela faringe e chega ao esôfago.
Faringe
A faringe é um órgão cavitário alongado em forma de funil,
situado logo a pós a boca. Quando o alimento chega à faringe, os
músculos de sua parede se contraem e empurram o alimento para o
esôfago.
Esôfago
O esôfago é um órgão em forma de tubo, com paredes flexíveis e
que mede aproximadamente 25 centímetros de comprimento. Em
sua parede superior, ele se comunica com a faringe; em sua parte
inferior, comunica-se com o estômago. Por meio de movimentos
peristálticos, o esôfago empurra o alimento para o estômago.
RESUMO DA DIGESTÃO
Movimentos peristálticos
A deglutição é um movimento voluntário, isto é, executamos
conscientemente o ato de engolir. A partir daí, os movimentos
peristálticos conduzem o bolo alimentar pelo tubo digestório.
Esses movimentos são involuntários, isto é, independem da nossa
vontade. São contrações dos músculos situados no esôfago, no
estômago e nos intestinos, onde são mais intensos. Além de
empurrar o alimento ao longo do tubo digestório, promovem a
sua mistura.
Os movimentos peristálticos participam da digestão mecânica,
fazendo com que o bolo alimentar seja empurrado do esôfago
para o estômago.
RESUMO DA DIGESTÃO
Digestão no estômago
No estômago, os movimentos peristálticos misturam o bolo
alimentar ao suco gástrico, rico em pepsina (enzima) e ácido
clorídrico (HCl), produzido pelas glândulas da mucosa.
Apepsina, principal enzima do estômago, atua na
transformação das proteínas. O suco alimentar resultante
da digestão gástrica é denominado quimo; por isso, a digestão
gástrica é também denominada quimificação. No estômago
ocorre a digestão das proteínas, transformando-as em
aminoácidos.
Se ocorrer uma corrosão no estômago, ele ficará inflamado,
gerando as gastrites e se agravar e ocorrer ferimento, ocorrera
uma úlcera.
RESUMO DA DIGESTÃO
Intestino delgado
Maior órgão do sistema digestório. Possui aproximadamente 6
metros.
Rico em enzimas.
Lipase: atua nos lipídios.
Amilase pancreática: atua no amido.
Bile: atua também quebrando os lipídios.
Maltase: atua na maltose - gera glicose.
Sacarase: atua na sacarose - gera glicose e frutose
Lactase: atua na lactose - gera glicose e galactose
Peptidases: atuam nos peptídeos, transformando-os em
aminoácidos.
RESUMO DA DIGESTÃO
Digestão no intestino delgado
No intestino delgado, ocorre a maior parte da digestão dos
nutrientes, bem como a sua absorção, ou seja, a assimilação
das substâncias nutritivas.
No duodeno, são lançadas as secreções do fígado e do
pâncreas. Nessa primeira porção do intestino delgado, é
realizada principalmente, a digestão química – com a ação
conjunta da bile, do suco pancreático e do suco entérico ou
intestinal atuando sobre o quimo.
RESUMO DA DIGESTÃO
Na digestão química, há a ação dessas secreções:
Bile – secreção do fígado armazena na vesícula biliar. Ela é
lançada no duodeno através de um canal e não contém enzimas
digestivas; mas os sais biliares separam as gorduras em partículas
microscópicas, funcionando de modo semelhante a um detergente.
Isso facilita a ação das enzimas pancreáticas sobre os lipídios.
Suco pancreático – É produzido pelo pâncreas. Possui várias
enzimas que atuam n digestão das proteínas, dos carboidratos e
dos lipídios.
Suco entérico – é produzido pela mucosa intestinal. Possui
enzimas que atuam na transformação, entre outras substâncias, das
proteínas e dos carboidratos.
Ao término do processo digestório no intestino delgado, o
conjunto de substâncias resultantes forma um líquido viscoso de
cor branca, denominado quilo. A digestão continua no jejuno e no
íleo.
RESUMO DA DIGESTÃO
O destino dos alimentos
O quilo, produto da digestão, é composto pelos nutrientes
transformados em moléculas muito pequenas, mais as vitaminas
e sais minerais. As substâncias que formam o quilo podem ser
absorvidas pelo organismo, isto é, atravessam as células do
intestino, por meio das vilosidades do intestino delgado.
Com isso, ocorre a passagem das substâncias nutritivas para os
capilares sanguíneos – ocorre a absorção dos nutrientes. O que não
é absorvido, parte da água e massa alimentar, formada
principalmente pelas fibras, passa para o intestino grosso.
RESUMO DA DIGESTÃO
Intestino grosso
Após a digestão no intestino delgado, o que resta do quilo chega ao intestino
grosso. Este absorve a água e os sais minerais ainda presentes nos resíduos
alimentares, levando-os, então, para a circulação sanguínea.
Algumas bactérias intestinais fermentam e assim decompõem resíduos de
alimentos e produzem vitaminas (a vitamina K e algumas vitaminas do complexo
B), que são aproveitadas pelo organismo. Nessas atividades, as bactérias
produzem gases – parte deles é absorvida pelas paredes intestinais e outra é
eliminada pelo ânus.
O material que não foi digerido, as fibras, por exemplo, forma as fezes que são
acumuladas no reto e, posteriormente, empurradas por movimentos musculares ou
peristálticos para fora do ânus. É quando sentimos vontade de defecar, ou seja,
eliminar as fezes.
Concluídas todas as etapas da digestão, os nutrientes que chegam à circulação
sanguínea são distribuídos a todas as células, e assim são utilizados pelo
organismo.

Anatomia corpo humano parte 6

  • 1.
  • 2.
    FUNÇÃO: prover oorganismo de água e nutrientes que suprem as necessidades energéticas Processo Absortivo utilização Ingestão de Alimento grandes moléculas Processo Digestivo moléculas menores PROFESSOR ALEXANDRE FUNÇÃO PRINCIPAL SISTEMA DIGESTÓRIO
  • 3.
    CARBOIDRATOS LIPÍDEOS PROTEÍNAS MONOSSACARÍDEOSÁCIDOS GRAXOS /GLIC AMINOÁCIDOS PROFESSOR ALEXANDRE PRINCIPAL FORMATO DOS ALIMENTOS FEITO POR ENZIMAS DOS SUCOS DIGESTIVOS SALIVA, SUCO GÁSTRICO, SUCO PANCREÁTICO, SUCO BILIAR, SUCO INTESTINAL
  • 4.
    PROFESSOR ALEXANDRE ANATOMIA DOSISTEMA DIGESTÓRIO MECÂNICO LÍNGUA Cólon sigmóide
  • 5.
    PROFESSOR ALEXANDRE ANATOMIA DOSISTEMA DIGESTÓRIO QUÍMICO INSALIVAÇÃO QUIMIFICAÇÃO QUILIFICAÇÃO QUILIFICAÇÃO ENTÉRICO PTIALINA BILE NÃO TEM ENZIMAS OS SAIS BILIARES QUEBRA MOLÉCULAS DE GORDURA
  • 6.
    MASTIGAÇÃO ato voluntário ereflexo facilita a homogeinização mistura com a saliva capacidade trituradora (unilateral) 122 kg cão = 165 kg PROFESSOR ALEXANDRE MASTIGAÇÃO
  • 7.
    DEGLUTIÇÃO fase voluntária fase faríngea faseesofagiana reflexas e dependentes de estimulação de receptores sem saliva não há deglutição PROFESSOR ALEXANDRE DEGLUTIÇÃO
  • 8.
    MOTILIDADE GÁSTRICA simpático deprimee parassimpático aumenta esvaziamento gástrico depende:  natureza do alimento  volume total  osmolaridade  pH PROFESSOR ALEXANDRE MOBILIDADE GÁSTRICA DEPENDÊNCIA
  • 9.
    DIGESTÃO E ABSORÇÃO Estrutura: •válvulas • vilosidades • microvilosidades (bordas em escôva) PROFESSOR ALEXANDRE ABSORÇÃO
  • 12.
    É de difícildigestão, por isso pode estimular reações do sistema imune que poderão desencadear vários sintomas no organismo. O Glúten agride e danifica as vilosidades do intestino delgado e prejudica a absorção dos alimentos.
  • 13.
    PROFESSOR ALEXANDRE TEMPO DOALIMENTO/TRÂNSITO BOCA - 5’’A 30’’ FARINGE E ESÔFAGO -10’’ ESTÔMAGO – 3 HORAS INTESTINO DELGADO – 3 HORAS INTESTINO GROSSO – 6 HORAS Á 2 DIAS
  • 14.
    Fígado É uma glândulalocalizada no lado direito do organismo. Produz a bile, que atua na digestão de gorduras. A Bile é produzida no fígado e armazenada na vesícula biliar e lançada no Duodeno (intestino). Pâncreas É uma glândula localizada no lado esquerdo do corpo, abaixo do estômago. Produz o suco pancreático, formado por 3 enzimas (tripsina, lipase e amilase pancreática). Tripsina – atua na digestão das proteínas Lipase – atua na digestão dos lipídios (gorduras) Amilase pancreática – atua na digestão do amido As três enzimas atuam no intestino delgado.
  • 15.
    A digestão éum processo físico-químico complexo que promove a quebra de macromoléculas em moléculas menores para que as células possam absorver os nutrientes contidos nelas e, assim, abastecer o nosso corpo. Órgãos da digestão O sistema digestório, no ser humano, é formado pelos seguintes órgãos: Boca, Faringe, Esôfago, Estômago, Intestino delgado, Intestino grosso e Ânus. Existem ainda alguns anexos da digestão: Glândulas salivares, fígado e pâncreas. Boca Na boca ocorre a trituração, insalivação e a deglutição. Trituração ou mastigação – feita pelos dentes Insalivação – ação da saliva nos alimentos Deglutição – ato de engolir os alimentos RESUMO DA DIGESTÃO
  • 16.
    RESUMO DA DIGESTÃO Digestãona Boca O Amido é quebrado e transformado em maltose pela amilase salivar ou ptialina. Anexas à boca estão três pares de glândulas salivares (2 parótidas, 2 sublinguais, 2 submaxilares), que são órgãos produtores de saliva. A saliva contém uma enzima do tipo amilase, chamada ptialina, que age sobre o amido e o transforma em maltose, uma variedade de açúcar formada pela união de duas moléculas de glicose. Os dentes cortam, prendem e trituram os alimentos. Em um ser humano adulto, existem 32 dentes, dezesseis em cada arco dental.
  • 17.
    RESUMO DA DIGESTÃO Daboca para o estômago Após a mastigação e a insalivação, forma-se o que chamamos de bolo alimentar, que é deglutido. Após o ato de engolir, o bolo alimentar passa pela faringe e chega ao esôfago. Faringe A faringe é um órgão cavitário alongado em forma de funil, situado logo a pós a boca. Quando o alimento chega à faringe, os músculos de sua parede se contraem e empurram o alimento para o esôfago. Esôfago O esôfago é um órgão em forma de tubo, com paredes flexíveis e que mede aproximadamente 25 centímetros de comprimento. Em sua parede superior, ele se comunica com a faringe; em sua parte inferior, comunica-se com o estômago. Por meio de movimentos peristálticos, o esôfago empurra o alimento para o estômago.
  • 18.
    RESUMO DA DIGESTÃO Movimentosperistálticos A deglutição é um movimento voluntário, isto é, executamos conscientemente o ato de engolir. A partir daí, os movimentos peristálticos conduzem o bolo alimentar pelo tubo digestório. Esses movimentos são involuntários, isto é, independem da nossa vontade. São contrações dos músculos situados no esôfago, no estômago e nos intestinos, onde são mais intensos. Além de empurrar o alimento ao longo do tubo digestório, promovem a sua mistura. Os movimentos peristálticos participam da digestão mecânica, fazendo com que o bolo alimentar seja empurrado do esôfago para o estômago.
  • 19.
    RESUMO DA DIGESTÃO Digestãono estômago No estômago, os movimentos peristálticos misturam o bolo alimentar ao suco gástrico, rico em pepsina (enzima) e ácido clorídrico (HCl), produzido pelas glândulas da mucosa. Apepsina, principal enzima do estômago, atua na transformação das proteínas. O suco alimentar resultante da digestão gástrica é denominado quimo; por isso, a digestão gástrica é também denominada quimificação. No estômago ocorre a digestão das proteínas, transformando-as em aminoácidos. Se ocorrer uma corrosão no estômago, ele ficará inflamado, gerando as gastrites e se agravar e ocorrer ferimento, ocorrera uma úlcera.
  • 20.
    RESUMO DA DIGESTÃO Intestinodelgado Maior órgão do sistema digestório. Possui aproximadamente 6 metros. Rico em enzimas. Lipase: atua nos lipídios. Amilase pancreática: atua no amido. Bile: atua também quebrando os lipídios. Maltase: atua na maltose - gera glicose. Sacarase: atua na sacarose - gera glicose e frutose Lactase: atua na lactose - gera glicose e galactose Peptidases: atuam nos peptídeos, transformando-os em aminoácidos.
  • 21.
    RESUMO DA DIGESTÃO Digestãono intestino delgado No intestino delgado, ocorre a maior parte da digestão dos nutrientes, bem como a sua absorção, ou seja, a assimilação das substâncias nutritivas. No duodeno, são lançadas as secreções do fígado e do pâncreas. Nessa primeira porção do intestino delgado, é realizada principalmente, a digestão química – com a ação conjunta da bile, do suco pancreático e do suco entérico ou intestinal atuando sobre o quimo.
  • 22.
    RESUMO DA DIGESTÃO Nadigestão química, há a ação dessas secreções: Bile – secreção do fígado armazena na vesícula biliar. Ela é lançada no duodeno através de um canal e não contém enzimas digestivas; mas os sais biliares separam as gorduras em partículas microscópicas, funcionando de modo semelhante a um detergente. Isso facilita a ação das enzimas pancreáticas sobre os lipídios. Suco pancreático – É produzido pelo pâncreas. Possui várias enzimas que atuam n digestão das proteínas, dos carboidratos e dos lipídios. Suco entérico – é produzido pela mucosa intestinal. Possui enzimas que atuam na transformação, entre outras substâncias, das proteínas e dos carboidratos. Ao término do processo digestório no intestino delgado, o conjunto de substâncias resultantes forma um líquido viscoso de cor branca, denominado quilo. A digestão continua no jejuno e no íleo.
  • 23.
    RESUMO DA DIGESTÃO Odestino dos alimentos O quilo, produto da digestão, é composto pelos nutrientes transformados em moléculas muito pequenas, mais as vitaminas e sais minerais. As substâncias que formam o quilo podem ser absorvidas pelo organismo, isto é, atravessam as células do intestino, por meio das vilosidades do intestino delgado. Com isso, ocorre a passagem das substâncias nutritivas para os capilares sanguíneos – ocorre a absorção dos nutrientes. O que não é absorvido, parte da água e massa alimentar, formada principalmente pelas fibras, passa para o intestino grosso.
  • 24.
    RESUMO DA DIGESTÃO Intestinogrosso Após a digestão no intestino delgado, o que resta do quilo chega ao intestino grosso. Este absorve a água e os sais minerais ainda presentes nos resíduos alimentares, levando-os, então, para a circulação sanguínea. Algumas bactérias intestinais fermentam e assim decompõem resíduos de alimentos e produzem vitaminas (a vitamina K e algumas vitaminas do complexo B), que são aproveitadas pelo organismo. Nessas atividades, as bactérias produzem gases – parte deles é absorvida pelas paredes intestinais e outra é eliminada pelo ânus. O material que não foi digerido, as fibras, por exemplo, forma as fezes que são acumuladas no reto e, posteriormente, empurradas por movimentos musculares ou peristálticos para fora do ânus. É quando sentimos vontade de defecar, ou seja, eliminar as fezes. Concluídas todas as etapas da digestão, os nutrientes que chegam à circulação sanguínea são distribuídos a todas as células, e assim são utilizados pelo organismo.