PLACENTA  TROCAS MATERNO-OVULARES Humberto C. A. de Magalhães
 
 
BLASTOCISTO (Blastocyst)
 
 
 
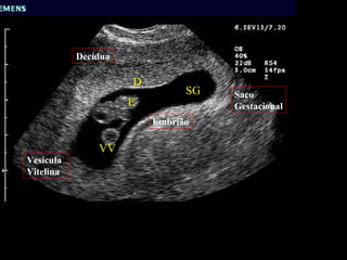
D SG E VV Saco  Gestacional Decídua Embrião Vesícula  Vitelina
Embriologia Fecundação (0 d)    Blastocisto (7 d) Nidificação completa (10 d); o ovo penetra completamente na mucosa endometrial modificada por uma reação decidual as custas da progesterona.
 
DECÍDUA OU CADUCA Funciona como uma barreira protetora a invasão não controlada do trofoblasto. Nutrição do embrião (estroma endométrio) Produz estrogênio e progesterona. A cavidade uterina é obliterada pela fusão das decíduas capsular e parietal em torno de 14 a 16 semanas.
 
 
 
Embriologia Trofoblasto ; invade e destrói o epitélio endometrial assim como os sinusóides, formando lacunas (espaços intervilosos); citotrofoblasto (porção interna), sinciciotrofoblasto (porção externa).
Embriologia CÓRIO ; Saco coriônico    vilosidades (1 °, 2° e 3° - 21d). NUTRIENTES ; glicogênio, lipídios, aminoácidos e água.
 
 
Embriologia O sangue fetal fica separado do sangue materno pela membrana placentária (barreira placentária), composta pelo endotélio capilar fetal, mesênquima, citotrofoblasto e sinciciotrofoblasto.
VILOSIDADE PRIMÁRIA, SECUNDÁRIA E TERCIÁRIA
 
 
 
Placenta A unidade histofuncional placentária é composta por  uma vilosidade corial mais o espaço interviloso  (contém sangue materno).
 
 
Embriologia Contribuição ovular; Embrionária (vesícula alantoidiana, vesícula vitelina, amnio). Extra-embrionária (cório). Contribuição materna; Decíduas (capsular, parietal e basal).
ANEXOS EMBRIONÁRIOS Saco vitelínico :  todos os vertebrados. Formado pela esplancnopleura.  Função de armazenamento de vitelo (nutrição) e formação das primeiras  células sangüíneas nos mamíferos. Âmnio :  em répteis, aves e mamíferos. Formado pela esplancnopleura.  Função de excreção e respiração. Em mamíferos, orienta a formação dos vasos umbilicais e a bolsa das águas (cório). Alantóide : em répteis, aves e mamíferos. Formado pela esplancnopleura. Função de excreção e respiração. Em mamíferos, orienta a formação dos vasos umbilicais.
 
 
 
Embriologia MEMBRANAS OVULARES: - âmnio e o cório liso.
 
 
 
Placenta Órgão misto com dois componentes;(1) cório viloso e (2) decídua basal.
Placenta Componentes: -  Decídua basal e cório viloso . - Septos placentários dividem a face materna da placenta em lobos e lóbulos = cotilédones (15 a 30)    contém duas ou mais vilosidades-tronco e seus ramos.
Placenta FUNÇÕES: Proteção, nutrição, respiração,  metabolismo, transferência e secreção endócrina  (produz hormônios protéicos – HCG, HLP e hormônios esteróides – progesterona e estradiol, do colesterol materno).
 
HCG Gonadotrofina coriônica humana (HCG) :  é um hormônio glicoproteíco, secretado desde o início da formação da placenta pelas células trofoblásticas, após nidação (implantação) do blastocisto (*). A principal função fisiológica deste hormônio é a de  manter o corpo lúteo , de modo que as taxas de progesterona e estrogênio não diminuam, garantindo, assim, a manutenção da gravidez (inibição da menstruação) e a ausência de nova ovulação. Por volta da 15ª semana de gestação, com a placenta já formada e madura produzindo estrógeno e progesterona, ocorre declínio acentuado na concentração de HCG e involução do corpo lúteo.
 
HCG O HCG também concede uma imunossupressão à mulher, para que ela não rejeite o embrião (inibe a produção de anticorpos pelos linfócitos); tem atividade tireotrófica e também estimula a produção de testosterona pelo testículo fetal (estimula as células de Leydig a produzirem maior quantidade de androgênios), importante para a diferenciação sexual do feto do sexo masculino.   (*) O blastocisto é um estágio inicial do desenvolvimento embrionário, formado por uma camada de células denominada trofoblasto ou células trofobláticas que envolve o botão embrionário. Após a nidação o trofoblasto forma projeções na mucosa uterina chamadas vilosidades coriônicas, principais responsáveis pela produção de HCG.
HLP Hormônio lactogênio placentário humana ( Somatomamotropina coriônica humana) :  é um hormônio protéico, de estrutura química semelhante à da prolactina e da somatotrofina hipofisária. É encontrado no plasma da gestante a partir da 4ª semana de gestação. Tem efeito lipolítico e anti-insulínico  (aumenta a resistência materna à ação da insulina), ajudando no crescimento fetal, pois proporciona maior quantidade de glicose e de nutrientes para o feto em desenvolvimento.
Placenta FORMA : - Face fetal; corresponde a cavidade amniótica e o cordão umbilical. - Face materna; cotilédones, sulcos intercotiledonares.
Placenta TOPOGRAFIA : - corporal (96,6%) - segmento inferior (3,4%) - inserção preferencial é fúndica (9,9%).
Placenta A nutrição placentária depende essencialmente da circulação materna. Ao final da gestação o peso estimado da placenta é de 500 a 600g.
PLACENTA PLACENTA HUMANA; DISCOIDAL DECIDUADA ALANTOCORIAL HEMOCORIAL
 
 
 
 
 
Trocas materno-ovulares Diretas ; transplacentárias Indiretas ; materno-amnióticas e amniofetais.
 
 
Trocas materno-ovulares Circulação úteroplacentária ; o débito sanguíneo placentário materno = 500ml/min. Circulação fetoplacentária ; o sangue do coração esquerdo fetal    Aorta    art. Umbilicais (baixo teor de O2)    placa corial, chegando aos troncos coriais  1 º , 2 º , 3 º  ordem até os capilares das vilosidades. O retorno do sangue, rico em O2, segue o trajeto das vênulas, troncos 3 º , 2 º  , 1 º  ordem    placa corial até chegar a veia umbilical, desembocando no coração direito.
 
Trocas materno-ovulares Mecanismos (Transferências) -  Difusão simples : (O2 e CO2). -  Difusão facilitada : (substância + molécula carreadora, pex; glicose). -  Transporte ativo : (contra um gradiente químico; há gasto de energia, pex; vitaminas). -  Pinocitose : (fagocitose, pex. Imunoglobulinas e grandes moléculas).
 
 
Líquido Amniótico No início da gestação o volume de L.A. supera o volume do concepto. No 2º e 3º trimestre a maior fonte de produção é o rim fetal. A termo, o volume corresponde a 600ml (volume máximo - 38 semanas) Deglutição fetal, vias urinárias e movimentos respiratórios. Proteção (água,eletrólitos,glicose,lipídeos, proteínas, células…)
LÍQUIDO AMNIÓTICO   (Importância) 1) Permite ao feto movimentar-se livremente ajudando-o no crescimento e  desenvolvimento. 2) Impede a aderência do amnio ao feto. 3) Proteção contra choques mecânicos. 4) Controla a temperatura corporal do feto.
SISTEMA AMNIÓTICO ORIGEM DO LÍQUIDO AMNIÓTICO NO INÍCIO É TRANSUDATO OU SECREÇÃO DO TROFOBLASTO OU DO  EMBRIÃO ÁGUA E ELETRÓLITOS TRANSITAM LIVREMENTE ATRAVÉS DA PELE  ANTES DA QUERATINIZAÇÃO (23-25 SEMANAS) URINA OS RINS SECRETAM URINA A PARTIR DE 10-11 SEMANAS NO 2º E 3º TRIMESTRES OS RINS SÃO A MAIOR FONTE DE  LÍQUIDO AMNIÓTICO ANORMALIDADES NA PRODUÇÃO DE URINA DETERMINAM  ALTERAÇÃO NO VOLUME DO LÍQUIDO AMNIÓTICO HIPOXIA FETAL POR DIMINUIÇÃO DO FLUXO RENAL  ACARRETA DIMINUIÇÃO DA PRODUÇÃO DE URINA DÉBITO URINÁRIO - 20 SEM. - 5ml/h - 120ml/dia TERMO  - 51ml/h - 1224ml/dia
SISTEMA AMNIÓTICO REABSORÇÃO DO LÍQUIDO AMNIÓTICO DEGLUTIÇÃO VIA TRANSMEMBRANOSA - DESPREZÍVEL  VIA INTRAMEMBRANOSA - SUPERFÍCIE FETAL DA  PLACENTA ENTRE O ÂMNIO PLACENTÁRIO E A REDE  CAPILAR DA PLACA CORIAL - 200ml/dia TROCAS MATERNO-AMNIÓTICAS - ÂMNIO PLACENTÁRIO, ÂMNIO MEMBRANOSO E CÓRIO LISO TROCAS AMNIO-FETAIS - TEGUMENTO, SISTEMAS  RESPIRATÓRIO, DIGESTIVO E URINÁRIO FETAIS
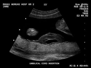
Cordão umbilical Inserção placentária. Inserção extraplacentária (velamentosa). Comprimento (40 a 60 cm). Geléia de Wharton. Artérias (2), Veia (1).
 
 
 
 
 
 
 
 
 
 
 
 
 
 
 
 
 
 
 
 
 
OBRIGADO !

3 placenta

  • 1.
    PLACENTA TROCASMATERNO-OVULARES Humberto C. A. de Magalhães
  • 2.
  • 3.
  • 4.
  • 5.
  • 6.
  • 7.
  • 8.
    D SG EVV Saco Gestacional Decídua Embrião Vesícula Vitelina
  • 9.
    Embriologia Fecundação (0d)  Blastocisto (7 d) Nidificação completa (10 d); o ovo penetra completamente na mucosa endometrial modificada por uma reação decidual as custas da progesterona.
  • 10.
  • 11.
    DECÍDUA OU CADUCAFunciona como uma barreira protetora a invasão não controlada do trofoblasto. Nutrição do embrião (estroma endométrio) Produz estrogênio e progesterona. A cavidade uterina é obliterada pela fusão das decíduas capsular e parietal em torno de 14 a 16 semanas.
  • 12.
  • 13.
  • 14.
  • 15.
    Embriologia Trofoblasto ;invade e destrói o epitélio endometrial assim como os sinusóides, formando lacunas (espaços intervilosos); citotrofoblasto (porção interna), sinciciotrofoblasto (porção externa).
  • 16.
    Embriologia CÓRIO ;Saco coriônico  vilosidades (1 °, 2° e 3° - 21d). NUTRIENTES ; glicogênio, lipídios, aminoácidos e água.
  • 17.
  • 18.
  • 19.
    Embriologia O sanguefetal fica separado do sangue materno pela membrana placentária (barreira placentária), composta pelo endotélio capilar fetal, mesênquima, citotrofoblasto e sinciciotrofoblasto.
  • 20.
  • 21.
  • 22.
  • 23.
  • 24.
    Placenta A unidadehistofuncional placentária é composta por uma vilosidade corial mais o espaço interviloso (contém sangue materno).
  • 25.
  • 26.
  • 27.
    Embriologia Contribuição ovular;Embrionária (vesícula alantoidiana, vesícula vitelina, amnio). Extra-embrionária (cório). Contribuição materna; Decíduas (capsular, parietal e basal).
  • 28.
    ANEXOS EMBRIONÁRIOS Sacovitelínico : todos os vertebrados. Formado pela esplancnopleura. Função de armazenamento de vitelo (nutrição) e formação das primeiras células sangüíneas nos mamíferos. Âmnio : em répteis, aves e mamíferos. Formado pela esplancnopleura. Função de excreção e respiração. Em mamíferos, orienta a formação dos vasos umbilicais e a bolsa das águas (cório). Alantóide : em répteis, aves e mamíferos. Formado pela esplancnopleura. Função de excreção e respiração. Em mamíferos, orienta a formação dos vasos umbilicais.
  • 29.
  • 30.
  • 31.
  • 32.
    Embriologia MEMBRANAS OVULARES:- âmnio e o cório liso.
  • 33.
  • 34.
  • 35.
  • 36.
    Placenta Órgão mistocom dois componentes;(1) cório viloso e (2) decídua basal.
  • 37.
    Placenta Componentes: - Decídua basal e cório viloso . - Septos placentários dividem a face materna da placenta em lobos e lóbulos = cotilédones (15 a 30)  contém duas ou mais vilosidades-tronco e seus ramos.
  • 38.
    Placenta FUNÇÕES: Proteção,nutrição, respiração, metabolismo, transferência e secreção endócrina (produz hormônios protéicos – HCG, HLP e hormônios esteróides – progesterona e estradiol, do colesterol materno).
  • 39.
  • 40.
    HCG Gonadotrofina coriônicahumana (HCG) : é um hormônio glicoproteíco, secretado desde o início da formação da placenta pelas células trofoblásticas, após nidação (implantação) do blastocisto (*). A principal função fisiológica deste hormônio é a de manter o corpo lúteo , de modo que as taxas de progesterona e estrogênio não diminuam, garantindo, assim, a manutenção da gravidez (inibição da menstruação) e a ausência de nova ovulação. Por volta da 15ª semana de gestação, com a placenta já formada e madura produzindo estrógeno e progesterona, ocorre declínio acentuado na concentração de HCG e involução do corpo lúteo.
  • 41.
  • 42.
    HCG O HCGtambém concede uma imunossupressão à mulher, para que ela não rejeite o embrião (inibe a produção de anticorpos pelos linfócitos); tem atividade tireotrófica e também estimula a produção de testosterona pelo testículo fetal (estimula as células de Leydig a produzirem maior quantidade de androgênios), importante para a diferenciação sexual do feto do sexo masculino.   (*) O blastocisto é um estágio inicial do desenvolvimento embrionário, formado por uma camada de células denominada trofoblasto ou células trofobláticas que envolve o botão embrionário. Após a nidação o trofoblasto forma projeções na mucosa uterina chamadas vilosidades coriônicas, principais responsáveis pela produção de HCG.
  • 43.
    HLP Hormônio lactogênioplacentário humana ( Somatomamotropina coriônica humana) : é um hormônio protéico, de estrutura química semelhante à da prolactina e da somatotrofina hipofisária. É encontrado no plasma da gestante a partir da 4ª semana de gestação. Tem efeito lipolítico e anti-insulínico (aumenta a resistência materna à ação da insulina), ajudando no crescimento fetal, pois proporciona maior quantidade de glicose e de nutrientes para o feto em desenvolvimento.
  • 44.
    Placenta FORMA :- Face fetal; corresponde a cavidade amniótica e o cordão umbilical. - Face materna; cotilédones, sulcos intercotiledonares.
  • 45.
    Placenta TOPOGRAFIA :- corporal (96,6%) - segmento inferior (3,4%) - inserção preferencial é fúndica (9,9%).
  • 46.
    Placenta A nutriçãoplacentária depende essencialmente da circulação materna. Ao final da gestação o peso estimado da placenta é de 500 a 600g.
  • 47.
    PLACENTA PLACENTA HUMANA;DISCOIDAL DECIDUADA ALANTOCORIAL HEMOCORIAL
  • 48.
  • 49.
  • 50.
  • 51.
  • 52.
  • 53.
    Trocas materno-ovulares Diretas; transplacentárias Indiretas ; materno-amnióticas e amniofetais.
  • 54.
  • 55.
  • 56.
    Trocas materno-ovulares Circulaçãoúteroplacentária ; o débito sanguíneo placentário materno = 500ml/min. Circulação fetoplacentária ; o sangue do coração esquerdo fetal  Aorta  art. Umbilicais (baixo teor de O2)  placa corial, chegando aos troncos coriais 1 º , 2 º , 3 º ordem até os capilares das vilosidades. O retorno do sangue, rico em O2, segue o trajeto das vênulas, troncos 3 º , 2 º , 1 º ordem  placa corial até chegar a veia umbilical, desembocando no coração direito.
  • 57.
  • 58.
    Trocas materno-ovulares Mecanismos(Transferências) - Difusão simples : (O2 e CO2). - Difusão facilitada : (substância + molécula carreadora, pex; glicose). - Transporte ativo : (contra um gradiente químico; há gasto de energia, pex; vitaminas). - Pinocitose : (fagocitose, pex. Imunoglobulinas e grandes moléculas).
  • 59.
  • 60.
  • 61.
    Líquido Amniótico Noinício da gestação o volume de L.A. supera o volume do concepto. No 2º e 3º trimestre a maior fonte de produção é o rim fetal. A termo, o volume corresponde a 600ml (volume máximo - 38 semanas) Deglutição fetal, vias urinárias e movimentos respiratórios. Proteção (água,eletrólitos,glicose,lipídeos, proteínas, células…)
  • 62.
    LÍQUIDO AMNIÓTICO (Importância) 1) Permite ao feto movimentar-se livremente ajudando-o no crescimento e desenvolvimento. 2) Impede a aderência do amnio ao feto. 3) Proteção contra choques mecânicos. 4) Controla a temperatura corporal do feto.
  • 63.
    SISTEMA AMNIÓTICO ORIGEMDO LÍQUIDO AMNIÓTICO NO INÍCIO É TRANSUDATO OU SECREÇÃO DO TROFOBLASTO OU DO EMBRIÃO ÁGUA E ELETRÓLITOS TRANSITAM LIVREMENTE ATRAVÉS DA PELE ANTES DA QUERATINIZAÇÃO (23-25 SEMANAS) URINA OS RINS SECRETAM URINA A PARTIR DE 10-11 SEMANAS NO 2º E 3º TRIMESTRES OS RINS SÃO A MAIOR FONTE DE LÍQUIDO AMNIÓTICO ANORMALIDADES NA PRODUÇÃO DE URINA DETERMINAM ALTERAÇÃO NO VOLUME DO LÍQUIDO AMNIÓTICO HIPOXIA FETAL POR DIMINUIÇÃO DO FLUXO RENAL ACARRETA DIMINUIÇÃO DA PRODUÇÃO DE URINA DÉBITO URINÁRIO - 20 SEM. - 5ml/h - 120ml/dia TERMO - 51ml/h - 1224ml/dia
  • 64.
    SISTEMA AMNIÓTICO REABSORÇÃODO LÍQUIDO AMNIÓTICO DEGLUTIÇÃO VIA TRANSMEMBRANOSA - DESPREZÍVEL VIA INTRAMEMBRANOSA - SUPERFÍCIE FETAL DA PLACENTA ENTRE O ÂMNIO PLACENTÁRIO E A REDE CAPILAR DA PLACA CORIAL - 200ml/dia TROCAS MATERNO-AMNIÓTICAS - ÂMNIO PLACENTÁRIO, ÂMNIO MEMBRANOSO E CÓRIO LISO TROCAS AMNIO-FETAIS - TEGUMENTO, SISTEMAS RESPIRATÓRIO, DIGESTIVO E URINÁRIO FETAIS
  • 65.
    Cordão umbilical Inserçãoplacentária. Inserção extraplacentária (velamentosa). Comprimento (40 a 60 cm). Geléia de Wharton. Artérias (2), Veia (1).
  • 66.
  • 67.
  • 68.
  • 69.
  • 70.
  • 71.
  • 72.
  • 73.
  • 74.
  • 75.
  • 76.
  • 77.
  • 78.
  • 79.
  • 80.
  • 81.
  • 82.
  • 83.
  • 84.
  • 85.
  • 86.
  • 87.

Notas do Editor