Lesões traumáticas II:
traumas, entorses,
luxações, fraturas,
distensão e estiramento
Lesões musculares
• estiramentos;
• distensões;
• cãibras;
• contraturas;
• contusões.
2
estiramentos
• Lesões que afetam o ventre
muscular com rompimento de
fibras musculares acompanhado
de inflamação e dor;
• 1º grau — Lesões por estiramentos que causam pequenas
deformações nas fibras. Sendo lesões de menor importância, não
causam extravasamento de sangue, portanto, não deixam
hematoma. Geram dor sem edema
• 2º grau — Lesões em que fibras musculares são rompidas,
havendo extravasamento do conteúdo do interior das células.
Podem deixar hematomas, têm tempo de recuperação mais
demorado e podem ser necessárias sessões de fisioterapia para
acelerar a recuperação e manter a função do músculo. São
dolorosas e acompanhadas de inflamação, dor e perda de
desempenho.
• 3º grau — Lesões que acometem completamente as fibras
musculares, rompendo totalmente o músculo. O extravasamento
de conteúdo de dentro das células é grande, causando grande
inflamação e deixando grandes hematomas. Exigem intervenções
médicas, tanto para o diagnóstico como para o tratamento
(cirúrgico). São lesões em que a recuperação é lenta e exigem
trabalho intenso na reabilitação com a fisioterapia.
3
4
TRATAMENTO
• PRICE;
• Raciocinio clinico de entre
agudização e tto;
• Você deverá estar munido de
material para primeiros socorros,
como talas flexíveis, bandagens
para fixação e gelo para
crioterapia;
5
Distensões
• As distensões são lesões que
acometem a junção músculo-
tendínea.
• 1º grau — Essa lesão atinge pequenas fibras do
tecido conjuntivo que compõem o tendão; são
lesões dolorosas, sem edema e sem hematoma;
• 2º grau — Essas lesões rompem algumas fibras
do tecido conjuntivo que compõem o tendão;
esse rompimento parcial do tendão causa grande
dor acompanhada de edema e, muitas vezes,
hematoma;
• 3º grau — São lesões que rompem
completamente as fibras do tecido conjuntivo do
tendão; são lesões incapacitantes, uma vez que
comprometem a movimentação; geram grande
edema e hematoma. Nessas lesões, existe a
necessidade de acompanhamento médico,
sendo a operação muitas vezes necessária. A
fisioterapia garantirá melhor recuperação e
manutenção da funcionalidade do membro
6
TRATAMENTO
• Uma ótima estratégia para evitar
esse tipo de lesão são treinos
proprioceptivos e de
fortalecimento, mas
principalmente o treino de
alongamento, tanto para a
musculatura agonista, pois é
utilizada na modalidade, como
na antagonista, pois, durante a
realização do movimento
articular, é esse músculo que
está sendo alongado.
• Mesmo que para as distensões;
7
Cãibras
• As cãibras são contrações
involuntárias da musculatura
esqueléticas que podem ser
extremamente dolorosas,
porém, não constituem
situações emergenciais, embora
sejam incapacitantes.
• OVER ou desequilíbrio
eletrolítico;
TTO
• O tratamento para cãibras
consiste em alongar
mecanicamente a musculatura
acometida, assim, fará com que
a contratura deixe de ocorrer.
Alongue a musculatura
acometida e a mantenha
alongada por 1 a 2 minutos
8
9
Contraturas
• As contraturas podem ser
consideradas contrações
contínuas e sustentadas de
certa porção da musculatura.
Cria nódulos que são sensíveis à
palpação, também conhecidos
como pontos gatilhos
TTO
• diminuir a dor e a inflamação
local.
• Agudamente, podem ser usadas
compressas de gelo para a
diminuição do processo
inflamatório e da dor.
• Para dores crônicas, podem ser
usadas compressas quentes
para aumentar o fluxo sanguíneo
até o local.
10
11
Contusão
• As contusões são lesões
causadas por traumas diretos.
lesão traumática aguda aos
tecidos moles em que não há
cortes.
• pode existir a presença de
edema e hematoma
• A magnitude da pancada vai
determinar o grau de gravidade
da lesão e o tempo de
recuperação;
TTO
• O tratamento das contusões,
assim como as contraturas, se
divide em agudo e crônico.
12
13
Lesões ósseas
• As fraturas podem se dar por
traumas direitos ou indiretos que
acometem nosso corpo. Uma
fratura ocorre sempre que a
capacidade de resistência do
osso é superada pela energia
imposta.
Fatores de risco e locais
afetados
• Atividade física;
• Envelhecimento;
• Patologias desmineralizadoras;
• 40% das fraturas acontecem em
ambiente doméstico;
• Produçao de colágeno;
• Fatores hormonais entre outros
14
Classificação
Quanto ao traço
• incompletas a continuidade
óssea não é alterada, mas
apresenta uma rachadura que é
visível no exame de raios X;
• Essa rachadura pode se
apresentar de forma oblíqua,
espiral ou transversa.
• completas apresentam
especificamente uma perda da
continuidade óssea, gerando
substâncias residuais (pedaços de
ossos) que podem provocar danos
internos nos tecidos adjacentes.
15
16
Quanto à exposição da fratura
• Abertas ou fechadas;
17
Quanto à presença de lesões associadas
• As fraturas complicadas caracterizam-
se principalmente pela afeção dos
outros tecidos vizinhos, podendo
causar lesão em vasos sanguíneos,
lesões musculares, lesões nervosas,
bem como lesões sistêmicas (traumas
abdominal, torácico e craniano). Esse
tipo de fratura pode apresentar
hemorragia, perda da sensibilidade do
membro e deformação
• Já as fraturas simples apresentam uma
única lesão sem evidência de lesões
associadas.
18
Quanto ao tipo de força causador do trauma
• Força direita, indireta e de
torção
19
Sinais e sintomas
• deformidade, dor, aumento da
temperatura, crepitação,
inchaço, descoloração ou
vermelhidão, ferimentos e
possível perda da sensibilidade.
20
Primeiros socorros em casos de fraturas
• Fraturas expostas exigem mais
atenção quanto a abordagem e
imobilização;
• Fraturas fechadas tendem a ser
mais comuns e menos
emergenciais;
21
Cicatrização óssea
• fratura instável é a que tende a
deslocar após a redução
(fraturas cominutivas, oblíquas e
espirais, por exemplo)
• fratura estável é aquela que não
tem tendência a deslocar após a
redução (fraturas transversas,
por exemplo)
• geralmente ocorre pela
formação de calos que unem
mecanicamente os fragmentos
ósseos; 22
23
complicações
• má união: a fratura se cura em
uma posição insatisfatória,
resultando em uma deformidade
óssea;
• união atrasada: a fratura leva
mais tempo que o normal para
curar;
• sem união: não ocorre uma
união óssea e pode haver uma
união fibrosa ou uma
pseudoartrose.
24
Processo de cicatrização
25
Biomecânica do osso intacto e do osso
fraturado
• O osso intacto tem a função de
suportar e proteger as partes
moles, além de permitir o
movimento dos membros;
• Normalmente, a deformação
sofrida pelo tecido ósseo
durante a locomoção varia de
0,04 a 0,3% e raramente excede
0,1% (efeito pizoeletrico)
• As principais características
mecânicas do osso são a sua
rigidez (o osso deforma apenas
um pouco sobre carga) e a sua
força (o osso tolera alta carga
sem falhar)
26
• Vários fatores influenciam os
padrões de fratura, tais como: a
magnitude da força, a sua
duração e direção, e a
velocidade em que ela atua
• Deformação elástica x
deformação plástica;
• Curva de tensão x deformação
• Fratura;
27
28
29
Lesões articulares
Luxação e subluxação
• Alguns traumas indiretos, geralmente
produzidos por quedas com apoio nas
extremidades, fazem com que a força
seja transferida diretamente para as
articulações, fazendo com que as
superfícies articulares saiam de sua
posição normal,
• Perda de congruência articular e
função articular (movimento), isto é,
uma “desconexão” articular
• Completa ou incompleta;
• Dor intensa;
• Deformidade articular;
30
TTO
• Imobilizaçao;
• Redução da luxação;
• Cirurgia;
• Agudo e crônico;
• fortalecimento de estabilizadores
dinâmicos
31
32
Entorses
• Entorse é a perda momentânea
da congruência ou continuidade
articular;
• Estiramento ou ruptura dos
ligamentos articulares;
Classificação
• Grau 1 — Estiramento ligamentar;
menos de 10% das fibras ligamentares
são danificadas; sua cicatrização é
rápida e natural.
• Grau 2 — Lesões ligamentares parciais;
aumenta o número de rupturas nas
fibras dos ligamentos; no entanto, não
chega a ser uma ruptura total.
• Grau 3 — Lesões ligamentares totais;
apresenta-se uma ruptura total das
fibras dos ligamentos; este quadro
geralmente é indicado para cirurgia.
33
34
TTO
• Fase aguda;
• Fase crônica;
35
Clínica traumato-ortopédica aplicada à
fisioterapia
Intervenções fisioterapêuticas
em cenários conservadores
• OMS mais de 90% das mortes
por essas lesões ocorrem em
países de baixa e média renda;
• Os acidentes de trânsito, a
violência e quedas recebem
destaque nos estudos
epidemiológicos de traumas
ortopédicos, e as fraturas são as
afecções mais comuns;
• mudanças demográficas e
aumento da expectativa de vida
podem aumentar o numero de
internação por fratura em idosos;
• outras afecções traumato-
ortopédicas são comuns na
prática fisioterapêutica, como
contusões musculares, entorses
e luxações
36
• O tratamento geralmente
envolve medidas analgésicas e
anti-inflamatórias, juntamente
com um programa de exercícios
individualizado.
• Os tratamentos cirúrgicos são
indicados para casos em que,
mesmo após um período de
tratamento conservador, o
quadro clínico se mantém
inalterado.
• casos traumato-ortopédicos
graves podem ter indicação
cirúrgica direta;
• um indivíduo pode receber
indicação cirúrgica, mas ser
submetido ao tratamento
conservador por não apresentar
condições clínicas gerais para
passar por uma cirurgia, como,
por exemplo, os
politraumatizados com
descompensações importantes. 37
FRATURAS
• Tipo;
• classificação da fratura;
• o osso acometido;
• a idade do indivíduo, entre
outros fatores clínicos.
• a intervenção fisioterapêutica em
fraturas pode ser dividida em
dois momentos: no primeiro a
fratura ainda não está
consolidada e no segundo o
paciente chega para o
atendimento após o período de
imobilização e consolidação.
38
FRATURA NÃO CONSOLIDADA
• processo inflamatório
exacerbado;
• dor intensa;
• edema;
• inibição muscular.
• controle da dor, da inflação e do
edema;
• minimização das perdas de força
e funções musculares,
manutenção da amplitude de
movimento (ADM) das
articulações próximas ao local
da fratura;
• estabilização do local e/ou
articulação da fratura, para não
correr o risco de aumentar a
lesão.
39
• Crioterapia;
• Eletroterapia;
• Laser;
• ultrassom.
• Nesse período de consolidação,
deve-se tomar cuidado com a
carga e com as mobilizações
nos exercícios;
• Imobilização da fratura;
• exercícios metabólicos de
extremidades, exercícios ativos e
ativos resistidos de regiões que
não afetem a fratura.
40
ORIENTAÇÕES
• particularidades da fratura;
• posicionamentos adequados de
talas, tipoias, gessos, entre
outros, sobre o repouso relativo
e sobre atividades cotidiana;
41
Fraturas consolidadas
• alívio de dor e edema ainda
podem ser necessários;
• cinesioterapia da região
fraturada pode ser realizada com
mais segurança;
• A recuperação da ADM por
meio de mobilização articular,
alongamentos e exercícios de
mobilidade podem ser iniciada.
• Exercícios ativos assistidos
evoluindo para ativos e ativos
resistidos;
• Constante avaliação do pcte
(consolidação, dor, edema).
42
CONTUSÕES MUSCULARES
• geralmente atingem atletas e
jovens;
• Tais contusões podem ser
divididas em leves e moderadas;
• ultrassonografia é um dos
exames de imagem mais
efetivos para essa classificação,
assim como para a definição da
conduta terapêutica a ser
adotada.
• PRICE
• sem dor, o treinamento isométrico pode ser
realizado, evoluindo para o treinamento
isotônico;
• Com a melhora gradativa, e geralmente
rápida no caso de atletas, os exercícios
isocinéticos são liberados;
• Sem melhora entre três e cinco dias após o
trauma, suspeita de síndrome
compartimental ou de hematoma
intramuscular (diagnosticado por
ultrassonografia);
43
ENTORSE
• grau I, com estiramento
ligamentar;
• grau II, com lesão ligamentar
parcial;
• grau III, com lesão ligamentar
total.
• Na fase aguda (três dias a uma
semana) controlar o processo
inflamatório e a hemorragia
(provocada pelo estiramento
ligamentar) e reduzir o edema, a
dor e os espasmos musculares.
44
• crioterapia;
• Tens e correntes analgésicas;
correntes interferenciais para
controle do edema;
• ultrassom;
• laser; Iontoforese;
• técnicas manuais como
liberação miofascial e drenagem;
• orientação sobre o uso de
imobilizadores e dispositivos
auxiliares de marcha.
45
• Na fase de reparação,
(aproximadamente três
semanas):
• controlar o edema;
• restabelecer a mobilidade
articular e a contração muscular
completa sem dor;
• estabelecer um padrão de
marcha normal sem dor e
compensações;
• mobilizações articulares,
correntes bifásicas para o
estímulo de ativação muscular,
descargas de peso gradativas do
membro inferior acometido,
treino de marcha, alongamentos
e exercícios funcionais e
aeróbicos — como a bicicleta
ergométrica, que permite
amplitude de tornozelo.
46
• a fase de remodelação (três a
quatro semanas):
• propriocepção do membro
inferior;
• exercícios mais intensos como
pular e correr;
• A independência funcional é
fundamental para a alta do
tratamento fisioterapêutico.
47
Luxações e subluxações
• As principais causas dessas
lesões envolvem quedas,
movimentações bruscas e
fraturas, sendo comuns em
atletas que praticam esportes de
contanto;
• Além de dor, edema e
deformidades locais, o paciente
pode apresentar danos
vasculares e nervosos.
• Após a redução, analgesia e
principalmente no fortalecimento
muscular.
• exercícios resistidos de
fortalecimento ativo de todo o
complexo articular e muscular
envolvido na lesão;
• o fortalecimento muscular
também pode ser considerado
uma conduta preventiva para
esse tipo de lesão.
48
Estudo de imagem na prática da fisioterapia
RADIOGRAFIA
• a imagem desse tipo exame é
formada por feixes de raios X
que são absorvidos ou não de
acordo com a estrutura do
corpo. Tais raios interagem com
a matéria por meio de seu
campo elétrico oscilante com os
elétrons atômicos no material
• As radiografias simples são
geradas quando um filme de raio
X é exposto à radiação ionizante
e desenvolvido por processo
fotoquímico;
• A principal vantagem das
radiografias é que são
produções relativamente baratas
e ainda são os estudos de
imagem mais amplamente
utilizados.
49
50
Tomografias computadorizadas
• As imagens de uma tomografia
computadorizada são formadas
por feixes de raios X produzidos
pelo equipamento, que
atravessam o corpo do paciente
e são captados por detectores.
Esses detectores enviam as
informações para o computador
e então as imagens
tomográficas são formadas
• permitem identificar trombos,
estenoses, dilatações, alterações
anatômicas e pós-operatórias,
entre outras;
• permitem a avaliação do
comportamento de órgãos
internos a partir de seu realce
durante a presença do contraste
nas fases de injeção. Doenças
inflamatórias, infecciosas e
tumores também tornam o
método indicado, pois realçam
áreas de interesse
51
• Para compreender melhor o
exame, o que aparece na
imagem como preto é chamado
de hipodenso (por exemplo, o
ar); tudo que é branco é
chamado de hiperdenso (como
os ossos); e o que aparece
como cinza é chamado de
isodenso (como músculos,
fígado, baço)
52
Ultrassonografia
• A ultrassonografia diagnóstica é
um exame que utiliza ondas
sonoras de alta frequência
(acima de 20 kHz) para gerar
imagens e permitir avaliar
estruturas internas, tecidos
moles, rede vascular e fluxos
vasculares
• lesões de tecidos moles, imagens do
abdome (fígado, vesícula biliar,
pâncreas e rins), pelve (órgãos
reprodutivos femininos);
• feto (avaliações fetais de rotina para
detecção de anomalias);
• sistema vascular (aneurismas,
comunicações arteriovenosas,
trombose venosa profunda);
• testículos (tumor, torção, infecção),
mamas;
• cérebro (hemorragia, malformações
congênitas);
• tórax (tamanho e localização de
coleções de líquido pleural) 53
• A principal vantagem da
ultrassonografia em relação à
tomografia computadorizada é a
não utilização de radiação;
• sem efeitos colaterais
importantes quando usada em
níveis de diagnósticos médicos
54
Ressonância magnética
• a ressonância magnética não utiliza
radiação.
• O aparelho é constituído por uma estrutura
contendo magneto, bobinas de gradiente e
bobinas de radiofrequência.
• Cada um desses componentes cumpre
uma função específica, o que permite a
formação de um forte campo magnético e
ondas de radiofrequência essências para a
formação da imagem.
• permitem detalhamento
anatômico e alta definição de
imagens do corpo humano em
planos axiais, coronais e
sagitais;
• Embora seja um exame de custo
elevado, permite melhores
visualizações para avaliar a
medula óssea, meniscos,
tendões, músculos, ossos entre
outros
55
56
Atuação fisioterapêutica no contexto cirúrgico
de traumas ortopédicos
Pré-cirúrgico
• Exercícios respiratórios;
• Orientações;
• os principais objetivos da fase
pré-operatória incluem evitar as
complicações pós-cirúrgicas;
• diminuir os efeitos negativos da
imobilização;
• aliviar a dor;
• estimular o paciente a ser o mais
funcional possível;
• manter a elasticidade dos
tecidos, assim como o trofismo
muscular e mobilidade articular 57
Intracirúrgico;
• Posicionamentos
• Lasers
• observação
58
PÓS CIRÚRGICO
• PO imediato (12 a 24h):
• Infecções;
• Trombose;
• Posicionamento;
• Sistema respiratório.
• PO mediato (24h até alta):
• Cicatrização adequada;
• Marcha;
• Funcionalidade;
• Orientações gerais;
59
• PO tardio:
• analgesia (se ainda houver dor);
• auxilio na cicatrização;
• funcionalidade do paciente e o
retorno às suas atividades;
• ganho de ADM, flexibilidade,
força muscular e propriocepção.
60
Fraturas da coluna cervical alta
• Cervical alta (c1-c2):
• Lesoes graves;
• Centro respiratório;
• Canal medular com mais espaço
61
Cervical Baixa (c3-t1)
• responsável por 83% da flexo-
extensão, 90% da inclinação
lateral e por cerca de 50% da
rotação da cabeça;
• As fraturas do tipo compressão
envolvem somente o corpo
vertebral, podendo ser tratadas
de forma conservadora, com
colar Philadelphia, halogesso ou
halovest na maioria dos casos.
• fraturas do tipo explosão podem
ser mais instáveis e, em geral,
são tratadas cirurgicamente por
via anterior;
• As fraturas do tipo distração
envolvem uma lesão anterior
associada a lesões posteriores,
sendo cirúrgicas na maioria dos
casos, necessitando de fixação
por dupla via (anterior e
posterior)
62
63
Fratura de coluna toracolombar
• Traumas de baixa e alta energia;
• 90% em transição toracolombar;
• Frequentemente associado a
politraumatismo;
• Exame neurológico essencial;
• avaliação do nível neurológico e
a identificação de choque
medular (alteração fisiológica do
funcionamento da medula com
ausência das funções motoras e
sensitivas caudais ao nível da
lesão) são importantes nas
primeiras 24 a 48 horas
64
• O tratamento conservador com o
uso de órtese é indicado para
as fraturas estáveis sem déficits
neurológicos
• As órteses mais utilizadas são:
colete de Jewett, Putti alto e Putti
baixo
65
Avaliação cinético-funcional das fraturas de
coluna
• Os principais mecanismos de
trauma são os acidentes
automobilísticos e motociclísticos
e as quedas de altura com alta
energia, respectivamente;
• T10 a L3;
• Lesões associadas (intra-
abdominal, pelve, mmii);
66
• Os músculos-chave das raízes cervicais
e lombares devem ser testados para
identificar déficits relacionados com o
trauma e reavaliados periodicamente.
• A avaliação da força muscular tem o
objetivo de identificar déficits de
imobilismo, dor ou compensações
adquiridas.
• O uso contínuo de imobilizadores da
coluna cervical pode levar a alterações
de força da musculatura cervical e
redução da função muscular
escapulotorácica, pelo bloqueio
mecânico;
Musculo-chave por segmento
67
• deve haver perda de funcionalidade e
descondicionamento, além do tecido
ósseo lesionado, como, por exemplo:
úlcera de pressão, edema, atrofia,
redução de força muscular, contratura
articular, diminuição da capacidade
respiratória, aumento de frequência
cardíaca, estase venosa, hipotensão
postural, estagnação urinária,
constipação, privação sensorial,
alteração da coordenação e alteração
cinestésica
68
INTERVENÇÃO NO PÓS-OPERATÓRIO DE
FRATURA DE COLUNA VERTEBRAL
CERVICAL E TORACOLOMBAR
• 1º dia de PO
• controlar reações adversas do
processo de intervenção
cirúrgica;
• mostrar ao paciente a
importância da adesão ao
tratamento.
• Posicionamento no leito;
• Controle de edema;
• Manejo da dor;
• Exercicios respiratórios e
metabólicos (tríade de
Virchow (lesão endotelial,
hipercoagulabilidade e estase
venosa); TVP
69
• 2º dia de PO
• Além dos cinco passos do dia 1,
acrescentamos os exercícios isométricos:
• especialmente de quadríceps e glúteos,
com objetivo de manutenção da
ativação e da força de músculos
estabilizadores de membros inferiores,
evitando padrões compensatórios de
marcha. Abdômen, com conjunto
superficial/reto abdominal e oblíquos
interno e externo e do conjunto
profundo/transverso do abdome por
coativação multífido é fator-chave para
a estabilização da coluna, o que
contribuirá para a estabilidade do
tronco, bem como na fase de
imobilidade pós-operatória, nas funções
de eliminação urinária e intestinal. 70
3º ao 5º dia de PO
• exercícios ativos e exercícios resistidos
MMII e MMSS- baixa intensidade;
• alongamentos de membros inferiors;
• treino de imagética motora(A sequência
é distribuída em 1 a 2 minutos de
mentalização do segmento e da
funcionalidade. Durante a explicação
ao paciente, deve-se reforçar o
princípio da imagética motora, isto é,
mentalizar, e não movimentar);
• Mobilização neural: A técnica de
aplicação ocorre com amplitude
controlada em 4 ou 5 ciclos, com
6 repetições por ciclo na mesma
sessão e intervalo de 10
segundos entre os ciclos
71
Pré-alta
• Mudança de decúbito; • Exercicios resistido de mmss
• Deambulação;
• Educaçao do pcte para
autonomia.
72
Fase ambulatorial
• O processo de reabilitação visa
ao restabelecimento da função
motora, com prioridade em
amplitude de movimento, força
muscular dos músculos-chave
envolvidos na lesão, padrão de
marcha e à prevenção de
sequelas funcionais ou dor.
73
Outros aspectos a serem considerados sobre a
dor na coluna
Estabilidade e mobilidade
• elementos passivos: complexo
ligamentar robusto e o disco
intervertebral, que mantêm um
afastamento entre os corpos
vertebrais e proporciona a
redução do impacto entre as
vértebras;
• Os elementos ativos são
compostos por diversas
camadas de músculos.
• A dor na coluna pode ser
classificada
como específica ou inespecífica,
e essa diferenciação é parte
crucial da avaliação
fisioterapêutica
74
• A dor específica na coluna pode ser
oriunda de alguma lesão grave;
• a dor inespecífica na coluna não tem
uma fonte de dor identificável com
precisão: articulações facetárias,
ligamentos, músculos, discos
intervertebrais
• pode não ter origem biofísica, podendo
ser provocada por fatores psicológicos
ou sociais
• déficits neurológicos (perda de
força, sensibilidade e/ou
reflexos) severos ou
progressivos, urgências
ortopédicas (fraturas, síndrome
da cauda equina) ou patologias
graves (câncer) devem ser
encaminhados para tratamento
cirúrgico
75
• descompressão espinal quando
não apresenta melhora na dor ou
na função com tratamentos
conservadores
• Discectomia;
• laminectomia
76
• Dor radicular: sintoma único que
provem de uma ou mais raízes
nervosas. (dermatomo, dor
irradiada, testes etc)
• Radiculopatia:conjunto de
sintomas originados de uma
patologia da raiz nervosa.
parestesia (formigamento),
hipoestesia e perda ou
diminuição de força e reflexo,
decorrentes de uma raiz nervosa
específica
• Dor lombar + dor radicular e ou
radiculopatia = pior prognostico
77
Avaliação fisioterapêutica
• Anamnese
• História da doença atual (HDA)
• Mapa corporal (body chart)
• Comportamento 24hs
• História de doença pregressa
(HPP)
• Saúde geral e comorbidades
• Fatores atenuantes e agravantes
• Fatores cognitivos
• Fatores psicossociais
• Objetivos do paciente
• Escalas e questionários
78
Exame físico
• pegar uma caneta do chão, ficar
sentado, levantamento terra com
carga alta (50-100 kg)
• Sobre os testes funcionais, a
ADM da coluna será avaliada.
Contudo, em alguns casos, a
avaliação da ADM nos planos
sagital (flexão e extensão),
frontal (inclinação lateral) e
horizontal (rotação axial) pode
ser necessária
• Encaminhamento exames;
• Mobilizações articulares;
• Testes neurológicos;
79
Fraturas em MMSS
• Correspondem a 42,8% de
todas as fraturas atendidas em
hospital;
• fraturas distais do rádio e da ulna
foram as mais comuns, seguidas
pelas fraturas dos ossos da mão
(falanges e metacarpos), pelas
fraturas proximais do úmero e
pelas fraturas de clavícula
• estavam presentes em 79,4%
dos acidentes domésticos,
69,9% dos acidentes de trabalho
e 94,1% dos acidentes de
trânsito
80
Sinais e sintomas
• a) aumento de volume devido ao
hematoma e, posteriormente, ao
processo inflamatório pós-traumático;
• b) crepitação em alguns tipos de
fratura, como, por exemplo, nas fraturas
completas;
• c) deformidade;
• d) mobilidade anormal;
• e) dor mais intensa na região da fratura;
• f) dor à palpação no foco de fratura
81
OMBRO
• Articulaçao mais móvel;
• Fratura proximal compromete
funcionalidade de todo membro;
• essas fraturas são causadas por
trauma direto, mas também, por
queda com a mão espalmada,
quedas de altura, acidentes
esportivos ou acidentes de
trânsito
82
83
84
COTOVELO
• Cabeça do radio: São as
fraturas mais comuns do
cotovelo, com maior incidência
em homens jovens (traumas de
alta energia) e mulheres mais
velhas com quedas
(DUCKWORTH et al., 2012).
Existe um alto índice de lesões
ligamentares e
osteocartilaginosas associadas,
geralmente necessitando de
exames complementares.
• quedas da própria altura ou
trauma de alta energia em
adultos jovens. A força direta na
ponta do cotovelo resulta em um
fragmento deslocado, o qual
migra proximalmente, devido à
tração da inserção do tríceps em
pacientes jovens. Em idosos,
pode haver fratura por avulsão
do olecrano ao tentarem evitar
uma queda mantendo a
contração vigorosa do tríceps
85
86
PUNHO
• Articulações radiocarpicas e
mediocárpica;
• Distal do radio: até 3 cm da
articulação radiocárpica;
• jovem masculina, em traumas de
alta energia, como quedas de
alturas, acidentes de trânsito e
atividades esportivas, mas
também idosos, população
predominantemente feminina,
em queda da própria altura;
• As fraturas distais de rádio podem ser
descritas como fraturas de Colles,
Smith, Barton ou Hutchinson,
dependendo das características da
lesão;
• O único achado característico é a
presença da deformidade em “dorso de
garfo”, comum na fratura de Colles;
• importância para a estabilidade do
punho, a destreza nos movimentos dos
dedos e a força de preensão e pinça da
mão
87
88
ESCAFOIDE
• É frequentemente a fratura mais
difícil de diagnosticar e de tratar.
Muitas fraturas não são visíveis
após o trauma, nos casos de
suspeita de fratura, os pacientes
devem ser tratados com
imobilização. Deve ser feito o
controle radiológico no período
de 2 a 4 semanas.
• Osteonecrose, pseudoartrose;
• pacientes normalmente têm dor
à palpação na tabaqueira
anatômica, nos movimentos
extremos do punho e na
compressão axial do polegar. O
edema e a equimose só estão
presentes nos casos de fratura –
luxação. A amplitude de
extensão pode estar limitada, e a
força de preensão palmar,
diminuída e dolorosa.
89
90
MÃO
• adultos jovens (faixa etária de 11
a 45 anos), as fraturas de
metacarpo e falanges são
comuns e apresentam grande
limitação funcional;
• presença de edema, equimoses,
escoriações, lacerações,
deformidades e perfusão da
mão;
91
METACARPO
• É a mais comum,
correspondendo a 45% das
fraturas na mão. O quinto
metacarpo o fraturado com mais
frequência, juntamente ao
primeiro metacarpo;
• O mecanismo de trauma da
fratura do colo do quinto
metacarpo é o trauma direto com
a mão fechada em uma
superfície rígida.
FALANGES
• falange distal são as mais comuns;
• esmagamento, estão associadas a lesões
ungueais e lacerações da polpa e têm uma
grande possibilidade de causar déficit
funcional, devido às inserções tendinosas;
• As fraturas da base da falange média
podem estar associadas às avulsões dos
ligamentos colaterais ou aos tendões que se
inserem nessa região;
• As fraturas da base da falange proximal
acometem muitas vezes os ligamentos da
articulação metacarpofalangeana. O desvio
é geralmente em extensão, devido à força
de tração do mecanismo extensor e da
musculatura intrínseca no fragmento
proximal; 92
• As fraturas na mão não ocorrem
isoladamente, as articulações
adjacentes também podem
sofrer com aderências, rigidez e
deformidades;
93
• Tratamento conservador X
tratamento cirúrgico;
• Avaliação;
• intervenção.
94
Fraturas de MMII
Fratura proximal do fêmur
• São frequentes na população idosa e,
na maioria das vezes, decorrentes de queda
de altura, sendo consideradas um dos
maiores problemas de saúde pública do
mundo, pela alta mortalidade e
incapacidade funcional;
• podem ser divididas em colo femoral,
transtrocantéricas e subtrocantéricas
95
• Fratura de diáfise do fêmur
• Geralmente são ocasionadas por
trauma de alta energia, como
acidentes, queda de altura, arma de
fogo e acidentes laborais;
• afetam a população jovem e costumam
estar associadas à politrauma e podem
ser fatais. Como a coxa possui bastante
partes moles, pode haver lesão
muscular considerável. Traumas de
baixa energia que causam essa fratura
estão relacionados à osteoporose e a
tumores ósseos;
• Fratura ao redor do joelho
• Podem estar localizadas na região distal do
fêmur, na patela ou no platô tibial;
• São causadas por traumas de baixa
energia na população geriátrica e alta
energia na população jovem;
• O fêmur distal e o platô tibial são regiões
próximas às estruturas neurovasculares e
as lesões de nervos, sobretudo do nervo
fibular;
• As fraturas por luxações também são
comuns em traumas de alto impacto. Nas
fraturas da patela, pode ocorrer lesão do
mecanismo extensor
96
97
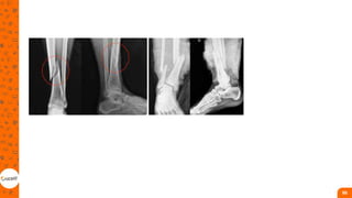
Fratura de diáfise da tíbia
• Ocorrem na maior parte dos casos, devido a
traumas de alta energia, como acidentes de
trânsito, quedas de altura e esportes de
contato;
• Como a tíbia é um osso com pouca
cobertura muscular, a maioria das suas
fraturas – fechadas e expostas – está
associada à lesão da pele e do tecido
subcutâneo.
• Um ponto importante a ser considerado é a
síndrome compartimental, que ocorre com
maior frequência e necessita de cirurgia
imediata para a liberação da fáscia
Fratura de tornozelo
• Fraturas deslocadas e/ou instáveis
geralmente requerem cirurgia para restaurar
e manter a congruência ósseo-ligamentar,
sendo utilizadas técnicas de redução aberta
e fixação interna;
• Fraturas graves de calcâneo podem causar
deslocamento de todo o osso e suas
superfícies articulares, sendo a articulação
subtalar a mais afetada;
• Nesses casos, o tratamento conservador
não é promissor. Tendo-se em vista que
pode ficar com a junção incongruente,
calcâneo deformado, perder o alinhamento
tornozelo-calcanhar, assim como ter dor
local e osteoartrite na articulação subtalar, a
função do paciente é seriamente
comprometida
98
99
Fratura de tornozelo
• Fraturas deslocadas e/ou instáveis
geralmente requerem cirurgia para restaurar
e manter a congruência ósseo-ligamentar,
sendo utilizadas técnicas de redução aberta
e fixação interna;
• Fraturas graves de calcâneo podem causar
deslocamento de todo o osso e suas
superfícies articulares, sendo a articulação
subtalar a mais afetada;
• Nesses casos, o tratamento conservador
não é promissor. Tendo-se em vista que
pode ficar com a junção incongruente,
calcâneo deformado, perder o alinhamento
tornozelo-calcanhar, assim como ter dor
local e osteoartrite na articulação subtalar, a
função do paciente é seriamente
comprometida 100
Tratamento conservador X tratamento
cirúrgico
Proximal de fêmur
• O tratamento cirúrgico é indicado
por gerar estabilidade e um
retorno funcional mais precoce.
O tratamento não cirúrgico é
normalmente reservado apenas
para pacientes críticos, instáveis
clinicamente para a cirurgia ou
pacientes não deambuladores.
101
1. hastes cefalomedulares - indicadas para as
fraturas transtrocantéricas e
subtrocantéricas;
2. placa e parafuso - indicados para as
fraturas do colo do fêmur e
transtrocantéricas;
3. parafusos - indicados para as fraturas do
colo femoral de grau I e II de Garden;
4. próteses parciais ou totais do quadril -
indicadas para idosos com fraturas do colo
de fêmur de grau III e IV de Garden.
102
103
COMPLICAÇÕES PO
• infecção, hipovolemia, consolidação
viciosa, perda da redução, necrose
avascular da cabeça do fêmur,
pneumonia, insuficiência respiratória,
estado confusional agudo, lesões por
pressão (LPP), trombose venosa
profunda (TVP), tromboembolismo
pulmonar (TEP), acidente vascular
encefálico (AVE), infecção urinária,
gastroenterocolite aguda, anemia e
desidratação e desnutrição
104
Fratura de diáfise do fêmur
• A haste intramedular (HIM) é o
tratamento mais comum em
pacientes fisiologicamente
estáveis;
• A fixação externa é indicada
para pacientes com fraturas
expostas, lesões vasculares,
politrauma e estabilização para
transferência;
• O local de inserção da HIM está
fora da zona de lesão,
preservando o fluxo sanguíneo
ao redor;
• As placas são utilizadas
excepcionalmente nas fraturas
de diáfise do fêmur;
• O tratamento com trações
esqueléticas, percutâneas,
imobilização e gesso pode ser
temporário ou definitivo. Entre as
complicações possíveis, está a 105
• Entre as complicações possíveis,
está a embolia gordurosa,
síndrome compartimental,
infecção, osteomielite, mal união,
pseudoartrose, encurtamento do
membro e dor no joelho e no
quadril.
106
Fratura ao redor do joelho
• Grande morbidade;
• Geralmente cirúrgico;
• reconstrução anatômica da
superfície articular, reparo dos
tecidos moles lesionados,
restauração do eixo, congruência
e estabilidade articular. Nas
fraturas distais do fêmur, o
tratamento padrão é a redução
aberta e a fixação interna.
• O tratamento conservador
somente em fraturas impactadas,
não desviadas e extra-
articulares, ou em pacientes
considerados inoperáveis e não
deambuladores.
107
• Na patela, é possível um
tratamento não operatório em
fraturas fechadas e sem desvio
com um mecanismo extensor
íntegro;
• a maioria das fraturas requer
redução aberta e osteossíntese;
• aramagem em banda de tensão
é a técnica mais utilizada;
• Patelectomia;
• O tratamento cirúrgico também é
o mais utilizado nas fraturas do
platô tibial;
• Em alguns tipos de fraturas, há a
necessidade do uso de
autoenxerto esponjoso ou
corticoesponjoso ou um
substituto ósseo para dar suporte
à superfície articular e preencher
o defeito ósseo.
108
COMPLICAÇÕES
• infecção, restrição ou perda do
movimento do joelho, artrite pós-
traumática e consolidação
viciosa. Nas fraturas da patela,
os pacientes podem ter queixas
de dor e desconforto em torno da
patela, o que requer remoção do
implante.
109
Fratura de diáfise da tíbia
• As fraturas estáveis e
minimamente desviadas podem
ser tratadas com gesso tipo
Sarmiento/PTB, que permite a
descarga de peso;
• As HIM são indicadas para a
maioria das fraturas médio-
diafisárias;
• Já as fraturas instáveis e
desviadas dos terços proximal e
distal são mais adequadamente
fixadas com placas.
• A fixação externa é utilizada nas
fraturas expostas mais graves,
que envolvem perda óssea.
• TEP, síndrome compartimental,
infecção, osteomielite, mal união,
pseudoartrose e encurtamento
do membro também estão entre
as complicações dessa fratura.
110
COMPLICAÇÕES
• TEP, síndrome compartimental,
infecção, osteomielite, mal união,
pseudoartrose e encurtamento
do membro também estão entre
as complicações dessa fratura.
111
Intervenção
• fraturas e traumas associados, o
estado geral do paciente e o tipo
de cirurgia realizada;
• estar atento a lesões de partes
moles e cirurgias, enxerto de
pele, retalhos miocutâneos e
reparo de lesões tendíneas,
nervosas e vasculares
• A evolução das técnicas e dos
implantes cirúrgicos;
• As mudanças de decúbitos e a
sedestação no leito e fora dele
devem ser estimulados, logo no
primeiro dia de pós-operatório,
caso não haja contraindicação e
acompanhar os sinais de
hipotensão ortostática
112
• Medidas que previnam lesões
por pressão, trombose venosa
profunda, tromboembolismo
pulmonar e minimizem o edema
são comuns a todas as fraturas
de membros inferiores.
• A elevação do membro,
movimentação ativa ou passiva
do tornozelo e a crioterapia são
recomendadas;
• Bota pneumática;
113
• Se houver diminuição do comprimento do
membro fraturado, é importante a
prescrição de palmilha ou salto
compensatório;
• Em lesão do nervo fibular, deve-se
prescrever órtese para a correção do pé
caído;
• A prescrição de dispositivo auxiliar de
marcha deve ocorrer no atendimento
hospitalar;
• Deve-se treinar o uso correto e verificar as
dimensões adequadas do dispositivo, como
altura da muleta ou do andador.
Tratamento pré-operatório
• O objetivo é a orientação do
paciente no sentido dos aspectos
cirúrgicos e de como será o pós-
operatório;
• Nessa ocasião, podem ser
realizados exercícios isométricos
do segmento afetado, exercícios
ativos dos segmentos livres, do
membro contralateral e dos
membros superiores.
114
115

traumato.pptx

  • 1.
    Lesões traumáticas II: traumas,entorses, luxações, fraturas, distensão e estiramento
  • 2.
    Lesões musculares • estiramentos; •distensões; • cãibras; • contraturas; • contusões. 2
  • 3.
    estiramentos • Lesões queafetam o ventre muscular com rompimento de fibras musculares acompanhado de inflamação e dor; • 1º grau — Lesões por estiramentos que causam pequenas deformações nas fibras. Sendo lesões de menor importância, não causam extravasamento de sangue, portanto, não deixam hematoma. Geram dor sem edema • 2º grau — Lesões em que fibras musculares são rompidas, havendo extravasamento do conteúdo do interior das células. Podem deixar hematomas, têm tempo de recuperação mais demorado e podem ser necessárias sessões de fisioterapia para acelerar a recuperação e manter a função do músculo. São dolorosas e acompanhadas de inflamação, dor e perda de desempenho. • 3º grau — Lesões que acometem completamente as fibras musculares, rompendo totalmente o músculo. O extravasamento de conteúdo de dentro das células é grande, causando grande inflamação e deixando grandes hematomas. Exigem intervenções médicas, tanto para o diagnóstico como para o tratamento (cirúrgico). São lesões em que a recuperação é lenta e exigem trabalho intenso na reabilitação com a fisioterapia. 3
  • 4.
  • 5.
    TRATAMENTO • PRICE; • Raciocinioclinico de entre agudização e tto; • Você deverá estar munido de material para primeiros socorros, como talas flexíveis, bandagens para fixação e gelo para crioterapia; 5
  • 6.
    Distensões • As distensõessão lesões que acometem a junção músculo- tendínea. • 1º grau — Essa lesão atinge pequenas fibras do tecido conjuntivo que compõem o tendão; são lesões dolorosas, sem edema e sem hematoma; • 2º grau — Essas lesões rompem algumas fibras do tecido conjuntivo que compõem o tendão; esse rompimento parcial do tendão causa grande dor acompanhada de edema e, muitas vezes, hematoma; • 3º grau — São lesões que rompem completamente as fibras do tecido conjuntivo do tendão; são lesões incapacitantes, uma vez que comprometem a movimentação; geram grande edema e hematoma. Nessas lesões, existe a necessidade de acompanhamento médico, sendo a operação muitas vezes necessária. A fisioterapia garantirá melhor recuperação e manutenção da funcionalidade do membro 6
  • 7.
    TRATAMENTO • Uma ótimaestratégia para evitar esse tipo de lesão são treinos proprioceptivos e de fortalecimento, mas principalmente o treino de alongamento, tanto para a musculatura agonista, pois é utilizada na modalidade, como na antagonista, pois, durante a realização do movimento articular, é esse músculo que está sendo alongado. • Mesmo que para as distensões; 7
  • 8.
    Cãibras • As cãibrassão contrações involuntárias da musculatura esqueléticas que podem ser extremamente dolorosas, porém, não constituem situações emergenciais, embora sejam incapacitantes. • OVER ou desequilíbrio eletrolítico; TTO • O tratamento para cãibras consiste em alongar mecanicamente a musculatura acometida, assim, fará com que a contratura deixe de ocorrer. Alongue a musculatura acometida e a mantenha alongada por 1 a 2 minutos 8
  • 9.
  • 10.
    Contraturas • As contraturaspodem ser consideradas contrações contínuas e sustentadas de certa porção da musculatura. Cria nódulos que são sensíveis à palpação, também conhecidos como pontos gatilhos TTO • diminuir a dor e a inflamação local. • Agudamente, podem ser usadas compressas de gelo para a diminuição do processo inflamatório e da dor. • Para dores crônicas, podem ser usadas compressas quentes para aumentar o fluxo sanguíneo até o local. 10
  • 11.
  • 12.
    Contusão • As contusõessão lesões causadas por traumas diretos. lesão traumática aguda aos tecidos moles em que não há cortes. • pode existir a presença de edema e hematoma • A magnitude da pancada vai determinar o grau de gravidade da lesão e o tempo de recuperação; TTO • O tratamento das contusões, assim como as contraturas, se divide em agudo e crônico. 12
  • 13.
  • 14.
    Lesões ósseas • Asfraturas podem se dar por traumas direitos ou indiretos que acometem nosso corpo. Uma fratura ocorre sempre que a capacidade de resistência do osso é superada pela energia imposta. Fatores de risco e locais afetados • Atividade física; • Envelhecimento; • Patologias desmineralizadoras; • 40% das fraturas acontecem em ambiente doméstico; • Produçao de colágeno; • Fatores hormonais entre outros 14
  • 15.
    Classificação Quanto ao traço •incompletas a continuidade óssea não é alterada, mas apresenta uma rachadura que é visível no exame de raios X; • Essa rachadura pode se apresentar de forma oblíqua, espiral ou transversa. • completas apresentam especificamente uma perda da continuidade óssea, gerando substâncias residuais (pedaços de ossos) que podem provocar danos internos nos tecidos adjacentes. 15
  • 16.
  • 17.
    Quanto à exposiçãoda fratura • Abertas ou fechadas; 17
  • 18.
    Quanto à presençade lesões associadas • As fraturas complicadas caracterizam- se principalmente pela afeção dos outros tecidos vizinhos, podendo causar lesão em vasos sanguíneos, lesões musculares, lesões nervosas, bem como lesões sistêmicas (traumas abdominal, torácico e craniano). Esse tipo de fratura pode apresentar hemorragia, perda da sensibilidade do membro e deformação • Já as fraturas simples apresentam uma única lesão sem evidência de lesões associadas. 18
  • 19.
    Quanto ao tipode força causador do trauma • Força direita, indireta e de torção 19
  • 20.
    Sinais e sintomas •deformidade, dor, aumento da temperatura, crepitação, inchaço, descoloração ou vermelhidão, ferimentos e possível perda da sensibilidade. 20
  • 21.
    Primeiros socorros emcasos de fraturas • Fraturas expostas exigem mais atenção quanto a abordagem e imobilização; • Fraturas fechadas tendem a ser mais comuns e menos emergenciais; 21
  • 22.
    Cicatrização óssea • fraturainstável é a que tende a deslocar após a redução (fraturas cominutivas, oblíquas e espirais, por exemplo) • fratura estável é aquela que não tem tendência a deslocar após a redução (fraturas transversas, por exemplo) • geralmente ocorre pela formação de calos que unem mecanicamente os fragmentos ósseos; 22
  • 23.
  • 24.
    complicações • má união:a fratura se cura em uma posição insatisfatória, resultando em uma deformidade óssea; • união atrasada: a fratura leva mais tempo que o normal para curar; • sem união: não ocorre uma união óssea e pode haver uma união fibrosa ou uma pseudoartrose. 24
  • 25.
  • 26.
    Biomecânica do ossointacto e do osso fraturado • O osso intacto tem a função de suportar e proteger as partes moles, além de permitir o movimento dos membros; • Normalmente, a deformação sofrida pelo tecido ósseo durante a locomoção varia de 0,04 a 0,3% e raramente excede 0,1% (efeito pizoeletrico) • As principais características mecânicas do osso são a sua rigidez (o osso deforma apenas um pouco sobre carga) e a sua força (o osso tolera alta carga sem falhar) 26
  • 27.
    • Vários fatoresinfluenciam os padrões de fratura, tais como: a magnitude da força, a sua duração e direção, e a velocidade em que ela atua • Deformação elástica x deformação plástica; • Curva de tensão x deformação • Fratura; 27
  • 28.
  • 29.
  • 30.
    Lesões articulares Luxação esubluxação • Alguns traumas indiretos, geralmente produzidos por quedas com apoio nas extremidades, fazem com que a força seja transferida diretamente para as articulações, fazendo com que as superfícies articulares saiam de sua posição normal, • Perda de congruência articular e função articular (movimento), isto é, uma “desconexão” articular • Completa ou incompleta; • Dor intensa; • Deformidade articular; 30
  • 31.
    TTO • Imobilizaçao; • Reduçãoda luxação; • Cirurgia; • Agudo e crônico; • fortalecimento de estabilizadores dinâmicos 31
  • 32.
  • 33.
    Entorses • Entorse éa perda momentânea da congruência ou continuidade articular; • Estiramento ou ruptura dos ligamentos articulares; Classificação • Grau 1 — Estiramento ligamentar; menos de 10% das fibras ligamentares são danificadas; sua cicatrização é rápida e natural. • Grau 2 — Lesões ligamentares parciais; aumenta o número de rupturas nas fibras dos ligamentos; no entanto, não chega a ser uma ruptura total. • Grau 3 — Lesões ligamentares totais; apresenta-se uma ruptura total das fibras dos ligamentos; este quadro geralmente é indicado para cirurgia. 33
  • 34.
  • 35.
    TTO • Fase aguda; •Fase crônica; 35
  • 36.
    Clínica traumato-ortopédica aplicadaà fisioterapia Intervenções fisioterapêuticas em cenários conservadores • OMS mais de 90% das mortes por essas lesões ocorrem em países de baixa e média renda; • Os acidentes de trânsito, a violência e quedas recebem destaque nos estudos epidemiológicos de traumas ortopédicos, e as fraturas são as afecções mais comuns; • mudanças demográficas e aumento da expectativa de vida podem aumentar o numero de internação por fratura em idosos; • outras afecções traumato- ortopédicas são comuns na prática fisioterapêutica, como contusões musculares, entorses e luxações 36
  • 37.
    • O tratamentogeralmente envolve medidas analgésicas e anti-inflamatórias, juntamente com um programa de exercícios individualizado. • Os tratamentos cirúrgicos são indicados para casos em que, mesmo após um período de tratamento conservador, o quadro clínico se mantém inalterado. • casos traumato-ortopédicos graves podem ter indicação cirúrgica direta; • um indivíduo pode receber indicação cirúrgica, mas ser submetido ao tratamento conservador por não apresentar condições clínicas gerais para passar por uma cirurgia, como, por exemplo, os politraumatizados com descompensações importantes. 37
  • 38.
    FRATURAS • Tipo; • classificaçãoda fratura; • o osso acometido; • a idade do indivíduo, entre outros fatores clínicos. • a intervenção fisioterapêutica em fraturas pode ser dividida em dois momentos: no primeiro a fratura ainda não está consolidada e no segundo o paciente chega para o atendimento após o período de imobilização e consolidação. 38
  • 39.
    FRATURA NÃO CONSOLIDADA •processo inflamatório exacerbado; • dor intensa; • edema; • inibição muscular. • controle da dor, da inflação e do edema; • minimização das perdas de força e funções musculares, manutenção da amplitude de movimento (ADM) das articulações próximas ao local da fratura; • estabilização do local e/ou articulação da fratura, para não correr o risco de aumentar a lesão. 39
  • 40.
    • Crioterapia; • Eletroterapia; •Laser; • ultrassom. • Nesse período de consolidação, deve-se tomar cuidado com a carga e com as mobilizações nos exercícios; • Imobilização da fratura; • exercícios metabólicos de extremidades, exercícios ativos e ativos resistidos de regiões que não afetem a fratura. 40
  • 41.
    ORIENTAÇÕES • particularidades dafratura; • posicionamentos adequados de talas, tipoias, gessos, entre outros, sobre o repouso relativo e sobre atividades cotidiana; 41
  • 42.
    Fraturas consolidadas • alíviode dor e edema ainda podem ser necessários; • cinesioterapia da região fraturada pode ser realizada com mais segurança; • A recuperação da ADM por meio de mobilização articular, alongamentos e exercícios de mobilidade podem ser iniciada. • Exercícios ativos assistidos evoluindo para ativos e ativos resistidos; • Constante avaliação do pcte (consolidação, dor, edema). 42
  • 43.
    CONTUSÕES MUSCULARES • geralmenteatingem atletas e jovens; • Tais contusões podem ser divididas em leves e moderadas; • ultrassonografia é um dos exames de imagem mais efetivos para essa classificação, assim como para a definição da conduta terapêutica a ser adotada. • PRICE • sem dor, o treinamento isométrico pode ser realizado, evoluindo para o treinamento isotônico; • Com a melhora gradativa, e geralmente rápida no caso de atletas, os exercícios isocinéticos são liberados; • Sem melhora entre três e cinco dias após o trauma, suspeita de síndrome compartimental ou de hematoma intramuscular (diagnosticado por ultrassonografia); 43
  • 44.
    ENTORSE • grau I,com estiramento ligamentar; • grau II, com lesão ligamentar parcial; • grau III, com lesão ligamentar total. • Na fase aguda (três dias a uma semana) controlar o processo inflamatório e a hemorragia (provocada pelo estiramento ligamentar) e reduzir o edema, a dor e os espasmos musculares. 44
  • 45.
    • crioterapia; • Tense correntes analgésicas; correntes interferenciais para controle do edema; • ultrassom; • laser; Iontoforese; • técnicas manuais como liberação miofascial e drenagem; • orientação sobre o uso de imobilizadores e dispositivos auxiliares de marcha. 45
  • 46.
    • Na fasede reparação, (aproximadamente três semanas): • controlar o edema; • restabelecer a mobilidade articular e a contração muscular completa sem dor; • estabelecer um padrão de marcha normal sem dor e compensações; • mobilizações articulares, correntes bifásicas para o estímulo de ativação muscular, descargas de peso gradativas do membro inferior acometido, treino de marcha, alongamentos e exercícios funcionais e aeróbicos — como a bicicleta ergométrica, que permite amplitude de tornozelo. 46
  • 47.
    • a fasede remodelação (três a quatro semanas): • propriocepção do membro inferior; • exercícios mais intensos como pular e correr; • A independência funcional é fundamental para a alta do tratamento fisioterapêutico. 47
  • 48.
    Luxações e subluxações •As principais causas dessas lesões envolvem quedas, movimentações bruscas e fraturas, sendo comuns em atletas que praticam esportes de contanto; • Além de dor, edema e deformidades locais, o paciente pode apresentar danos vasculares e nervosos. • Após a redução, analgesia e principalmente no fortalecimento muscular. • exercícios resistidos de fortalecimento ativo de todo o complexo articular e muscular envolvido na lesão; • o fortalecimento muscular também pode ser considerado uma conduta preventiva para esse tipo de lesão. 48
  • 49.
    Estudo de imagemna prática da fisioterapia RADIOGRAFIA • a imagem desse tipo exame é formada por feixes de raios X que são absorvidos ou não de acordo com a estrutura do corpo. Tais raios interagem com a matéria por meio de seu campo elétrico oscilante com os elétrons atômicos no material • As radiografias simples são geradas quando um filme de raio X é exposto à radiação ionizante e desenvolvido por processo fotoquímico; • A principal vantagem das radiografias é que são produções relativamente baratas e ainda são os estudos de imagem mais amplamente utilizados. 49
  • 50.
  • 51.
    Tomografias computadorizadas • Asimagens de uma tomografia computadorizada são formadas por feixes de raios X produzidos pelo equipamento, que atravessam o corpo do paciente e são captados por detectores. Esses detectores enviam as informações para o computador e então as imagens tomográficas são formadas • permitem identificar trombos, estenoses, dilatações, alterações anatômicas e pós-operatórias, entre outras; • permitem a avaliação do comportamento de órgãos internos a partir de seu realce durante a presença do contraste nas fases de injeção. Doenças inflamatórias, infecciosas e tumores também tornam o método indicado, pois realçam áreas de interesse 51
  • 52.
    • Para compreendermelhor o exame, o que aparece na imagem como preto é chamado de hipodenso (por exemplo, o ar); tudo que é branco é chamado de hiperdenso (como os ossos); e o que aparece como cinza é chamado de isodenso (como músculos, fígado, baço) 52
  • 53.
    Ultrassonografia • A ultrassonografiadiagnóstica é um exame que utiliza ondas sonoras de alta frequência (acima de 20 kHz) para gerar imagens e permitir avaliar estruturas internas, tecidos moles, rede vascular e fluxos vasculares • lesões de tecidos moles, imagens do abdome (fígado, vesícula biliar, pâncreas e rins), pelve (órgãos reprodutivos femininos); • feto (avaliações fetais de rotina para detecção de anomalias); • sistema vascular (aneurismas, comunicações arteriovenosas, trombose venosa profunda); • testículos (tumor, torção, infecção), mamas; • cérebro (hemorragia, malformações congênitas); • tórax (tamanho e localização de coleções de líquido pleural) 53
  • 54.
    • A principalvantagem da ultrassonografia em relação à tomografia computadorizada é a não utilização de radiação; • sem efeitos colaterais importantes quando usada em níveis de diagnósticos médicos 54
  • 55.
    Ressonância magnética • aressonância magnética não utiliza radiação. • O aparelho é constituído por uma estrutura contendo magneto, bobinas de gradiente e bobinas de radiofrequência. • Cada um desses componentes cumpre uma função específica, o que permite a formação de um forte campo magnético e ondas de radiofrequência essências para a formação da imagem. • permitem detalhamento anatômico e alta definição de imagens do corpo humano em planos axiais, coronais e sagitais; • Embora seja um exame de custo elevado, permite melhores visualizações para avaliar a medula óssea, meniscos, tendões, músculos, ossos entre outros 55
  • 56.
  • 57.
    Atuação fisioterapêutica nocontexto cirúrgico de traumas ortopédicos Pré-cirúrgico • Exercícios respiratórios; • Orientações; • os principais objetivos da fase pré-operatória incluem evitar as complicações pós-cirúrgicas; • diminuir os efeitos negativos da imobilização; • aliviar a dor; • estimular o paciente a ser o mais funcional possível; • manter a elasticidade dos tecidos, assim como o trofismo muscular e mobilidade articular 57
  • 58.
  • 59.
    PÓS CIRÚRGICO • POimediato (12 a 24h): • Infecções; • Trombose; • Posicionamento; • Sistema respiratório. • PO mediato (24h até alta): • Cicatrização adequada; • Marcha; • Funcionalidade; • Orientações gerais; 59
  • 60.
    • PO tardio: •analgesia (se ainda houver dor); • auxilio na cicatrização; • funcionalidade do paciente e o retorno às suas atividades; • ganho de ADM, flexibilidade, força muscular e propriocepção. 60
  • 61.
    Fraturas da colunacervical alta • Cervical alta (c1-c2): • Lesoes graves; • Centro respiratório; • Canal medular com mais espaço 61
  • 62.
    Cervical Baixa (c3-t1) •responsável por 83% da flexo- extensão, 90% da inclinação lateral e por cerca de 50% da rotação da cabeça; • As fraturas do tipo compressão envolvem somente o corpo vertebral, podendo ser tratadas de forma conservadora, com colar Philadelphia, halogesso ou halovest na maioria dos casos. • fraturas do tipo explosão podem ser mais instáveis e, em geral, são tratadas cirurgicamente por via anterior; • As fraturas do tipo distração envolvem uma lesão anterior associada a lesões posteriores, sendo cirúrgicas na maioria dos casos, necessitando de fixação por dupla via (anterior e posterior) 62
  • 63.
  • 64.
    Fratura de colunatoracolombar • Traumas de baixa e alta energia; • 90% em transição toracolombar; • Frequentemente associado a politraumatismo; • Exame neurológico essencial; • avaliação do nível neurológico e a identificação de choque medular (alteração fisiológica do funcionamento da medula com ausência das funções motoras e sensitivas caudais ao nível da lesão) são importantes nas primeiras 24 a 48 horas 64
  • 65.
    • O tratamentoconservador com o uso de órtese é indicado para as fraturas estáveis sem déficits neurológicos • As órteses mais utilizadas são: colete de Jewett, Putti alto e Putti baixo 65
  • 66.
    Avaliação cinético-funcional dasfraturas de coluna • Os principais mecanismos de trauma são os acidentes automobilísticos e motociclísticos e as quedas de altura com alta energia, respectivamente; • T10 a L3; • Lesões associadas (intra- abdominal, pelve, mmii); 66 • Os músculos-chave das raízes cervicais e lombares devem ser testados para identificar déficits relacionados com o trauma e reavaliados periodicamente. • A avaliação da força muscular tem o objetivo de identificar déficits de imobilismo, dor ou compensações adquiridas. • O uso contínuo de imobilizadores da coluna cervical pode levar a alterações de força da musculatura cervical e redução da função muscular escapulotorácica, pelo bloqueio mecânico;
  • 67.
  • 68.
    • deve haverperda de funcionalidade e descondicionamento, além do tecido ósseo lesionado, como, por exemplo: úlcera de pressão, edema, atrofia, redução de força muscular, contratura articular, diminuição da capacidade respiratória, aumento de frequência cardíaca, estase venosa, hipotensão postural, estagnação urinária, constipação, privação sensorial, alteração da coordenação e alteração cinestésica 68
  • 69.
    INTERVENÇÃO NO PÓS-OPERATÓRIODE FRATURA DE COLUNA VERTEBRAL CERVICAL E TORACOLOMBAR • 1º dia de PO • controlar reações adversas do processo de intervenção cirúrgica; • mostrar ao paciente a importância da adesão ao tratamento. • Posicionamento no leito; • Controle de edema; • Manejo da dor; • Exercicios respiratórios e metabólicos (tríade de Virchow (lesão endotelial, hipercoagulabilidade e estase venosa); TVP 69
  • 70.
    • 2º diade PO • Além dos cinco passos do dia 1, acrescentamos os exercícios isométricos: • especialmente de quadríceps e glúteos, com objetivo de manutenção da ativação e da força de músculos estabilizadores de membros inferiores, evitando padrões compensatórios de marcha. Abdômen, com conjunto superficial/reto abdominal e oblíquos interno e externo e do conjunto profundo/transverso do abdome por coativação multífido é fator-chave para a estabilização da coluna, o que contribuirá para a estabilidade do tronco, bem como na fase de imobilidade pós-operatória, nas funções de eliminação urinária e intestinal. 70
  • 71.
    3º ao 5ºdia de PO • exercícios ativos e exercícios resistidos MMII e MMSS- baixa intensidade; • alongamentos de membros inferiors; • treino de imagética motora(A sequência é distribuída em 1 a 2 minutos de mentalização do segmento e da funcionalidade. Durante a explicação ao paciente, deve-se reforçar o princípio da imagética motora, isto é, mentalizar, e não movimentar); • Mobilização neural: A técnica de aplicação ocorre com amplitude controlada em 4 ou 5 ciclos, com 6 repetições por ciclo na mesma sessão e intervalo de 10 segundos entre os ciclos 71
  • 72.
    Pré-alta • Mudança dedecúbito; • Exercicios resistido de mmss • Deambulação; • Educaçao do pcte para autonomia. 72
  • 73.
    Fase ambulatorial • Oprocesso de reabilitação visa ao restabelecimento da função motora, com prioridade em amplitude de movimento, força muscular dos músculos-chave envolvidos na lesão, padrão de marcha e à prevenção de sequelas funcionais ou dor. 73
  • 74.
    Outros aspectos aserem considerados sobre a dor na coluna Estabilidade e mobilidade • elementos passivos: complexo ligamentar robusto e o disco intervertebral, que mantêm um afastamento entre os corpos vertebrais e proporciona a redução do impacto entre as vértebras; • Os elementos ativos são compostos por diversas camadas de músculos. • A dor na coluna pode ser classificada como específica ou inespecífica, e essa diferenciação é parte crucial da avaliação fisioterapêutica 74
  • 75.
    • A dorespecífica na coluna pode ser oriunda de alguma lesão grave; • a dor inespecífica na coluna não tem uma fonte de dor identificável com precisão: articulações facetárias, ligamentos, músculos, discos intervertebrais • pode não ter origem biofísica, podendo ser provocada por fatores psicológicos ou sociais • déficits neurológicos (perda de força, sensibilidade e/ou reflexos) severos ou progressivos, urgências ortopédicas (fraturas, síndrome da cauda equina) ou patologias graves (câncer) devem ser encaminhados para tratamento cirúrgico 75
  • 76.
    • descompressão espinalquando não apresenta melhora na dor ou na função com tratamentos conservadores • Discectomia; • laminectomia 76
  • 77.
    • Dor radicular:sintoma único que provem de uma ou mais raízes nervosas. (dermatomo, dor irradiada, testes etc) • Radiculopatia:conjunto de sintomas originados de uma patologia da raiz nervosa. parestesia (formigamento), hipoestesia e perda ou diminuição de força e reflexo, decorrentes de uma raiz nervosa específica • Dor lombar + dor radicular e ou radiculopatia = pior prognostico 77
  • 78.
    Avaliação fisioterapêutica • Anamnese •História da doença atual (HDA) • Mapa corporal (body chart) • Comportamento 24hs • História de doença pregressa (HPP) • Saúde geral e comorbidades • Fatores atenuantes e agravantes • Fatores cognitivos • Fatores psicossociais • Objetivos do paciente • Escalas e questionários 78
  • 79.
    Exame físico • pegaruma caneta do chão, ficar sentado, levantamento terra com carga alta (50-100 kg) • Sobre os testes funcionais, a ADM da coluna será avaliada. Contudo, em alguns casos, a avaliação da ADM nos planos sagital (flexão e extensão), frontal (inclinação lateral) e horizontal (rotação axial) pode ser necessária • Encaminhamento exames; • Mobilizações articulares; • Testes neurológicos; 79
  • 80.
    Fraturas em MMSS •Correspondem a 42,8% de todas as fraturas atendidas em hospital; • fraturas distais do rádio e da ulna foram as mais comuns, seguidas pelas fraturas dos ossos da mão (falanges e metacarpos), pelas fraturas proximais do úmero e pelas fraturas de clavícula • estavam presentes em 79,4% dos acidentes domésticos, 69,9% dos acidentes de trabalho e 94,1% dos acidentes de trânsito 80
  • 81.
    Sinais e sintomas •a) aumento de volume devido ao hematoma e, posteriormente, ao processo inflamatório pós-traumático; • b) crepitação em alguns tipos de fratura, como, por exemplo, nas fraturas completas; • c) deformidade; • d) mobilidade anormal; • e) dor mais intensa na região da fratura; • f) dor à palpação no foco de fratura 81
  • 82.
    OMBRO • Articulaçao maismóvel; • Fratura proximal compromete funcionalidade de todo membro; • essas fraturas são causadas por trauma direto, mas também, por queda com a mão espalmada, quedas de altura, acidentes esportivos ou acidentes de trânsito 82
  • 83.
  • 84.
  • 85.
    COTOVELO • Cabeça doradio: São as fraturas mais comuns do cotovelo, com maior incidência em homens jovens (traumas de alta energia) e mulheres mais velhas com quedas (DUCKWORTH et al., 2012). Existe um alto índice de lesões ligamentares e osteocartilaginosas associadas, geralmente necessitando de exames complementares. • quedas da própria altura ou trauma de alta energia em adultos jovens. A força direta na ponta do cotovelo resulta em um fragmento deslocado, o qual migra proximalmente, devido à tração da inserção do tríceps em pacientes jovens. Em idosos, pode haver fratura por avulsão do olecrano ao tentarem evitar uma queda mantendo a contração vigorosa do tríceps 85
  • 86.
  • 87.
    PUNHO • Articulações radiocarpicase mediocárpica; • Distal do radio: até 3 cm da articulação radiocárpica; • jovem masculina, em traumas de alta energia, como quedas de alturas, acidentes de trânsito e atividades esportivas, mas também idosos, população predominantemente feminina, em queda da própria altura; • As fraturas distais de rádio podem ser descritas como fraturas de Colles, Smith, Barton ou Hutchinson, dependendo das características da lesão; • O único achado característico é a presença da deformidade em “dorso de garfo”, comum na fratura de Colles; • importância para a estabilidade do punho, a destreza nos movimentos dos dedos e a força de preensão e pinça da mão 87
  • 88.
  • 89.
    ESCAFOIDE • É frequentementea fratura mais difícil de diagnosticar e de tratar. Muitas fraturas não são visíveis após o trauma, nos casos de suspeita de fratura, os pacientes devem ser tratados com imobilização. Deve ser feito o controle radiológico no período de 2 a 4 semanas. • Osteonecrose, pseudoartrose; • pacientes normalmente têm dor à palpação na tabaqueira anatômica, nos movimentos extremos do punho e na compressão axial do polegar. O edema e a equimose só estão presentes nos casos de fratura – luxação. A amplitude de extensão pode estar limitada, e a força de preensão palmar, diminuída e dolorosa. 89
  • 90.
  • 91.
    MÃO • adultos jovens(faixa etária de 11 a 45 anos), as fraturas de metacarpo e falanges são comuns e apresentam grande limitação funcional; • presença de edema, equimoses, escoriações, lacerações, deformidades e perfusão da mão; 91
  • 92.
    METACARPO • É amais comum, correspondendo a 45% das fraturas na mão. O quinto metacarpo o fraturado com mais frequência, juntamente ao primeiro metacarpo; • O mecanismo de trauma da fratura do colo do quinto metacarpo é o trauma direto com a mão fechada em uma superfície rígida. FALANGES • falange distal são as mais comuns; • esmagamento, estão associadas a lesões ungueais e lacerações da polpa e têm uma grande possibilidade de causar déficit funcional, devido às inserções tendinosas; • As fraturas da base da falange média podem estar associadas às avulsões dos ligamentos colaterais ou aos tendões que se inserem nessa região; • As fraturas da base da falange proximal acometem muitas vezes os ligamentos da articulação metacarpofalangeana. O desvio é geralmente em extensão, devido à força de tração do mecanismo extensor e da musculatura intrínseca no fragmento proximal; 92
  • 93.
    • As fraturasna mão não ocorrem isoladamente, as articulações adjacentes também podem sofrer com aderências, rigidez e deformidades; 93
  • 94.
    • Tratamento conservadorX tratamento cirúrgico; • Avaliação; • intervenção. 94
  • 95.
    Fraturas de MMII Fraturaproximal do fêmur • São frequentes na população idosa e, na maioria das vezes, decorrentes de queda de altura, sendo consideradas um dos maiores problemas de saúde pública do mundo, pela alta mortalidade e incapacidade funcional; • podem ser divididas em colo femoral, transtrocantéricas e subtrocantéricas 95
  • 96.
    • Fratura dediáfise do fêmur • Geralmente são ocasionadas por trauma de alta energia, como acidentes, queda de altura, arma de fogo e acidentes laborais; • afetam a população jovem e costumam estar associadas à politrauma e podem ser fatais. Como a coxa possui bastante partes moles, pode haver lesão muscular considerável. Traumas de baixa energia que causam essa fratura estão relacionados à osteoporose e a tumores ósseos; • Fratura ao redor do joelho • Podem estar localizadas na região distal do fêmur, na patela ou no platô tibial; • São causadas por traumas de baixa energia na população geriátrica e alta energia na população jovem; • O fêmur distal e o platô tibial são regiões próximas às estruturas neurovasculares e as lesões de nervos, sobretudo do nervo fibular; • As fraturas por luxações também são comuns em traumas de alto impacto. Nas fraturas da patela, pode ocorrer lesão do mecanismo extensor 96
  • 97.
  • 98.
    Fratura de diáfiseda tíbia • Ocorrem na maior parte dos casos, devido a traumas de alta energia, como acidentes de trânsito, quedas de altura e esportes de contato; • Como a tíbia é um osso com pouca cobertura muscular, a maioria das suas fraturas – fechadas e expostas – está associada à lesão da pele e do tecido subcutâneo. • Um ponto importante a ser considerado é a síndrome compartimental, que ocorre com maior frequência e necessita de cirurgia imediata para a liberação da fáscia Fratura de tornozelo • Fraturas deslocadas e/ou instáveis geralmente requerem cirurgia para restaurar e manter a congruência ósseo-ligamentar, sendo utilizadas técnicas de redução aberta e fixação interna; • Fraturas graves de calcâneo podem causar deslocamento de todo o osso e suas superfícies articulares, sendo a articulação subtalar a mais afetada; • Nesses casos, o tratamento conservador não é promissor. Tendo-se em vista que pode ficar com a junção incongruente, calcâneo deformado, perder o alinhamento tornozelo-calcanhar, assim como ter dor local e osteoartrite na articulação subtalar, a função do paciente é seriamente comprometida 98
  • 99.
  • 100.
    Fratura de tornozelo •Fraturas deslocadas e/ou instáveis geralmente requerem cirurgia para restaurar e manter a congruência ósseo-ligamentar, sendo utilizadas técnicas de redução aberta e fixação interna; • Fraturas graves de calcâneo podem causar deslocamento de todo o osso e suas superfícies articulares, sendo a articulação subtalar a mais afetada; • Nesses casos, o tratamento conservador não é promissor. Tendo-se em vista que pode ficar com a junção incongruente, calcâneo deformado, perder o alinhamento tornozelo-calcanhar, assim como ter dor local e osteoartrite na articulação subtalar, a função do paciente é seriamente comprometida 100
  • 101.
    Tratamento conservador Xtratamento cirúrgico Proximal de fêmur • O tratamento cirúrgico é indicado por gerar estabilidade e um retorno funcional mais precoce. O tratamento não cirúrgico é normalmente reservado apenas para pacientes críticos, instáveis clinicamente para a cirurgia ou pacientes não deambuladores. 101
  • 102.
    1. hastes cefalomedulares- indicadas para as fraturas transtrocantéricas e subtrocantéricas; 2. placa e parafuso - indicados para as fraturas do colo do fêmur e transtrocantéricas; 3. parafusos - indicados para as fraturas do colo femoral de grau I e II de Garden; 4. próteses parciais ou totais do quadril - indicadas para idosos com fraturas do colo de fêmur de grau III e IV de Garden. 102
  • 103.
  • 104.
    COMPLICAÇÕES PO • infecção,hipovolemia, consolidação viciosa, perda da redução, necrose avascular da cabeça do fêmur, pneumonia, insuficiência respiratória, estado confusional agudo, lesões por pressão (LPP), trombose venosa profunda (TVP), tromboembolismo pulmonar (TEP), acidente vascular encefálico (AVE), infecção urinária, gastroenterocolite aguda, anemia e desidratação e desnutrição 104
  • 105.
    Fratura de diáfisedo fêmur • A haste intramedular (HIM) é o tratamento mais comum em pacientes fisiologicamente estáveis; • A fixação externa é indicada para pacientes com fraturas expostas, lesões vasculares, politrauma e estabilização para transferência; • O local de inserção da HIM está fora da zona de lesão, preservando o fluxo sanguíneo ao redor; • As placas são utilizadas excepcionalmente nas fraturas de diáfise do fêmur; • O tratamento com trações esqueléticas, percutâneas, imobilização e gesso pode ser temporário ou definitivo. Entre as complicações possíveis, está a 105
  • 106.
    • Entre ascomplicações possíveis, está a embolia gordurosa, síndrome compartimental, infecção, osteomielite, mal união, pseudoartrose, encurtamento do membro e dor no joelho e no quadril. 106
  • 107.
    Fratura ao redordo joelho • Grande morbidade; • Geralmente cirúrgico; • reconstrução anatômica da superfície articular, reparo dos tecidos moles lesionados, restauração do eixo, congruência e estabilidade articular. Nas fraturas distais do fêmur, o tratamento padrão é a redução aberta e a fixação interna. • O tratamento conservador somente em fraturas impactadas, não desviadas e extra- articulares, ou em pacientes considerados inoperáveis e não deambuladores. 107
  • 108.
    • Na patela,é possível um tratamento não operatório em fraturas fechadas e sem desvio com um mecanismo extensor íntegro; • a maioria das fraturas requer redução aberta e osteossíntese; • aramagem em banda de tensão é a técnica mais utilizada; • Patelectomia; • O tratamento cirúrgico também é o mais utilizado nas fraturas do platô tibial; • Em alguns tipos de fraturas, há a necessidade do uso de autoenxerto esponjoso ou corticoesponjoso ou um substituto ósseo para dar suporte à superfície articular e preencher o defeito ósseo. 108
  • 109.
    COMPLICAÇÕES • infecção, restriçãoou perda do movimento do joelho, artrite pós- traumática e consolidação viciosa. Nas fraturas da patela, os pacientes podem ter queixas de dor e desconforto em torno da patela, o que requer remoção do implante. 109
  • 110.
    Fratura de diáfiseda tíbia • As fraturas estáveis e minimamente desviadas podem ser tratadas com gesso tipo Sarmiento/PTB, que permite a descarga de peso; • As HIM são indicadas para a maioria das fraturas médio- diafisárias; • Já as fraturas instáveis e desviadas dos terços proximal e distal são mais adequadamente fixadas com placas. • A fixação externa é utilizada nas fraturas expostas mais graves, que envolvem perda óssea. • TEP, síndrome compartimental, infecção, osteomielite, mal união, pseudoartrose e encurtamento do membro também estão entre as complicações dessa fratura. 110
  • 111.
    COMPLICAÇÕES • TEP, síndromecompartimental, infecção, osteomielite, mal união, pseudoartrose e encurtamento do membro também estão entre as complicações dessa fratura. 111
  • 112.
    Intervenção • fraturas etraumas associados, o estado geral do paciente e o tipo de cirurgia realizada; • estar atento a lesões de partes moles e cirurgias, enxerto de pele, retalhos miocutâneos e reparo de lesões tendíneas, nervosas e vasculares • A evolução das técnicas e dos implantes cirúrgicos; • As mudanças de decúbitos e a sedestação no leito e fora dele devem ser estimulados, logo no primeiro dia de pós-operatório, caso não haja contraindicação e acompanhar os sinais de hipotensão ortostática 112
  • 113.
    • Medidas queprevinam lesões por pressão, trombose venosa profunda, tromboembolismo pulmonar e minimizem o edema são comuns a todas as fraturas de membros inferiores. • A elevação do membro, movimentação ativa ou passiva do tornozelo e a crioterapia são recomendadas; • Bota pneumática; 113
  • 114.
    • Se houverdiminuição do comprimento do membro fraturado, é importante a prescrição de palmilha ou salto compensatório; • Em lesão do nervo fibular, deve-se prescrever órtese para a correção do pé caído; • A prescrição de dispositivo auxiliar de marcha deve ocorrer no atendimento hospitalar; • Deve-se treinar o uso correto e verificar as dimensões adequadas do dispositivo, como altura da muleta ou do andador. Tratamento pré-operatório • O objetivo é a orientação do paciente no sentido dos aspectos cirúrgicos e de como será o pós- operatório; • Nessa ocasião, podem ser realizados exercícios isométricos do segmento afetado, exercícios ativos dos segmentos livres, do membro contralateral e dos membros superiores. 114
  • 115.