Sarampo 
Vinicius Monteiro e Brena Paixão
Sarampo/Caxum 
bAagente Causador 
• Família: 
Paramyxoviridae 
• Gêneros: Morbillivirus 
(Sarampo), 
Paramyxovirus 
(Caxumba) 
Estrutura e Replicação 
 Ácido Ribonucleico Fita 
Simples Sentido Negativo; 
(nucleocapsídeo helicoidal 
envolto por um envelope 
contendo as proteínas virais 
de ligação) 
 Proteínas Virais de Ligação: 
Hemaglutininaneuramnidase 
[HN], nos vírus parainfluenza e 
vírus da caxumba; 
hemaglutinina [H], no vírus do 
sarampo;
 O vírus tem sua replicação no 
citoplasma 
 A replicação inicia-se pela ligação 
da proteína HN, H ou G do envelope 
viral ao ácido siálico dos 
glicolipídeos da superfície celular. 
 O vírus do SARAMPO pode se ligar a 
CD46 e/ou CD50 SLAM. 
 Proteína F – Promove fusão do 
envelope e membrana plasmática. 
 REPLICÃÇÃO 
 NOVOS GENOMAS SE ASSOCIAM A 
PROTEÍNAS L, N E NP. + PROTEÍNA M. – 
ASSOCIADOS COM A MEMBRANA 
FORMA AS GLICOPROTEÍNAS VÍRAIS.
Sarampo
Sarampo 
•Agente Causador 
•Família: Paramyxoviridae 
•Gênero: Morbillivirus 
•Produz fusão celular, levando à 
formação de células gigantes. 
•O vírus é capaz de atravessar diretamente a célula e escapar da 
ação dos anticorpos. 
•As inclusões ocorrem geralmente no citoplasma e são compostas 
de partículas virais incompletas 
•A infecção normalmente leva à lise celular, porém as infecções 
persistentes sem a ocorrência de lise podem ser descritas em 
alguns tipos celulares (p. ex., células do cérebro humano).
Sarampo 
•A imunidade celular é responsável pela maioria dos 
sintomas, mas também é essencial no controle da infecção 
do sarampo. 
Crianças deficientes em células T que foram 
infectadas com o sarampo produzem de forma atípica 
uma pneumonia por células gigantes sem exantema.
Epidemiologia 
• Em áreas onde não existe programa de vacinação, as 
epidemias tendem a ocorrer em um ciclo de 1 a 3 anos, quando um 
número de pessoas susceptíveis é acumulado. 
• A incidência da infecção tem picos nos meses de inverno e 
primavera. 
• Países desenvolvidos 
• Principal causa de morte em crianças de 1 a 5 anos de idade em 
muitos países. 
• Pacientes imunocomprometidos e desnutridos com sarampo 
podem não conseguir superar a infecção que pode resultar em morte.
Epidemiologia 
• Em domicílio familiar, cerca de 85% das pessoas 
suscetíveis expostas são infectadas, e 95% dessas 
desenvolvem a doença clínica.
o O sarampo é altamente contagioso e é transmitido de pessoa a 
pessoa através de gotículas respiratórias 
A ampla 
disseminação do 
vírus causa 
infecção da 
conjuntiva, do 
trato respiratório, 
do trato urinário, 
de capilares 
sanguíneos, do 
sistema linfático e 
do sistema 
nervoso central.
Síndrome Clínica 
O sarampo é uma doença febril grave. O período de incubação 
dura de 7 a 13 dias, e o pródomo inicia por febre alta, tosse, 
coriza, conjuntivite e fotofobia. Essa fase da doença é a mais 
infecciosa.
Síndrome Clínica 
Após 2 dias do início da doença, lesões na membrana da 
mucosa típicas e conhecidas como manchas de Koplik 
aparecem.
Dentro de 12 a 24 horas do aparecimento das manchas de 
Koplik, o exantema do sarampo começa atrás das orelhas 
e se espalha por todo o corpo.
O característico exantema maculopapular de sarampo é causado 
pelas células T do sistema imune que foram direcionadas às células 
endoteliais infectadas pelo sarampo e que revestem os capilares 
sanguíneos.
Síndrome Clínica 
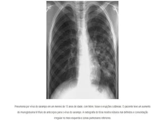
• Pneumonia 
• Encefalite 
• Sarampo Atípico 
• Panencefalite esclerosante subaguda
o O sarampo pode levar à encefalite de três 
maneiras: 
1. infecção direta dos neurônios; 
2. uma encefalite pós-infecção, na qual se acredita que seja 
mediada pelo sistema imune; 
3. uma panencefalite esclerosante subaguda (subacute 
sclerosing panencephalitis –; SSPE) 
Causada por uma variante defeituosa do sarampo que 
foi gerada na fase aguda da doença. O vírus da SSPE 
age como um vírus lento e causa sintomas e efeitos 
citopatológicos em neurônios muitos anos após a fase 
aguda da doença.
Diagnóstico 
• Diagnóstico Laboratorial 
• As manifestações clínicas do sarampo são normalmente muito características e 
raramente se faz necessário a realização de testes laboratoriais para estabelecer um 
diagnóstico. 
• As secreções do trato respiratório, urina, sangue e tecido 
cerebral são as espécimes recomendadas. 
• É melhor que sejam coletados espécimes sanguíneos e 
respiratórios durante o pródomo e até 1 a 2 dias depois do 
surgimento do exantema. 
• Os anticorpos, especialmente a imunoglobulina M (IgM), 
podem ser detectados quando o exantema está presente.
Efeitos 
Citopatológicos 
 Células gigantes 
multinucleadas 
 Sedimentos da urina corados 
com Giemsa.
O antígeno de sarampo pode ser detectado em células da faringe ou 
em sedimentos da urina utilizando imunofluorescência; o genoma do 
sarampo pode ser identificado através da reação em cadeia da 
polimerase precedida de transcrição reversa (RT-PCR) em quaisquer 
dos espécimes acima citados. 
A infecção por sarampo pode ser 
confirmada quando se observa a 
soroconversão ou pelo aumento 
de até quatro vezes do título de 
anticorpos específicos para 
sarampo obtidos do soro entre a 
fase aguda e a fase 
convalescente.
Tratamento, Prevenção e Controle 
o Vacina viva e atenuada de sarampo em uso nos Estados Unidos 
desde 1963 tem sido responsável por uma redução significativa 
na incidência de sarampo.
Tríplice Viral
Sarampo

Sarampo

  • 1.
  • 2.
    Sarampo/Caxum bAagente Causador • Família: Paramyxoviridae • Gêneros: Morbillivirus (Sarampo), Paramyxovirus (Caxumba) Estrutura e Replicação  Ácido Ribonucleico Fita Simples Sentido Negativo; (nucleocapsídeo helicoidal envolto por um envelope contendo as proteínas virais de ligação)  Proteínas Virais de Ligação: Hemaglutininaneuramnidase [HN], nos vírus parainfluenza e vírus da caxumba; hemaglutinina [H], no vírus do sarampo;
  • 3.
     O vírustem sua replicação no citoplasma  A replicação inicia-se pela ligação da proteína HN, H ou G do envelope viral ao ácido siálico dos glicolipídeos da superfície celular.  O vírus do SARAMPO pode se ligar a CD46 e/ou CD50 SLAM.  Proteína F – Promove fusão do envelope e membrana plasmática.  REPLICÃÇÃO  NOVOS GENOMAS SE ASSOCIAM A PROTEÍNAS L, N E NP. + PROTEÍNA M. – ASSOCIADOS COM A MEMBRANA FORMA AS GLICOPROTEÍNAS VÍRAIS.
  • 4.
  • 5.
    Sarampo •Agente Causador •Família: Paramyxoviridae •Gênero: Morbillivirus •Produz fusão celular, levando à formação de células gigantes. •O vírus é capaz de atravessar diretamente a célula e escapar da ação dos anticorpos. •As inclusões ocorrem geralmente no citoplasma e são compostas de partículas virais incompletas •A infecção normalmente leva à lise celular, porém as infecções persistentes sem a ocorrência de lise podem ser descritas em alguns tipos celulares (p. ex., células do cérebro humano).
  • 9.
    Sarampo •A imunidadecelular é responsável pela maioria dos sintomas, mas também é essencial no controle da infecção do sarampo. Crianças deficientes em células T que foram infectadas com o sarampo produzem de forma atípica uma pneumonia por células gigantes sem exantema.
  • 10.
    Epidemiologia • Emáreas onde não existe programa de vacinação, as epidemias tendem a ocorrer em um ciclo de 1 a 3 anos, quando um número de pessoas susceptíveis é acumulado. • A incidência da infecção tem picos nos meses de inverno e primavera. • Países desenvolvidos • Principal causa de morte em crianças de 1 a 5 anos de idade em muitos países. • Pacientes imunocomprometidos e desnutridos com sarampo podem não conseguir superar a infecção que pode resultar em morte.
  • 11.
    Epidemiologia • Emdomicílio familiar, cerca de 85% das pessoas suscetíveis expostas são infectadas, e 95% dessas desenvolvem a doença clínica.
  • 13.
    o O sarampoé altamente contagioso e é transmitido de pessoa a pessoa através de gotículas respiratórias A ampla disseminação do vírus causa infecção da conjuntiva, do trato respiratório, do trato urinário, de capilares sanguíneos, do sistema linfático e do sistema nervoso central.
  • 15.
    Síndrome Clínica Osarampo é uma doença febril grave. O período de incubação dura de 7 a 13 dias, e o pródomo inicia por febre alta, tosse, coriza, conjuntivite e fotofobia. Essa fase da doença é a mais infecciosa.
  • 16.
    Síndrome Clínica Após2 dias do início da doença, lesões na membrana da mucosa típicas e conhecidas como manchas de Koplik aparecem.
  • 17.
    Dentro de 12a 24 horas do aparecimento das manchas de Koplik, o exantema do sarampo começa atrás das orelhas e se espalha por todo o corpo.
  • 18.
    O característico exantemamaculopapular de sarampo é causado pelas células T do sistema imune que foram direcionadas às células endoteliais infectadas pelo sarampo e que revestem os capilares sanguíneos.
  • 21.
    Síndrome Clínica •Pneumonia • Encefalite • Sarampo Atípico • Panencefalite esclerosante subaguda
  • 23.
    o O sarampopode levar à encefalite de três maneiras: 1. infecção direta dos neurônios; 2. uma encefalite pós-infecção, na qual se acredita que seja mediada pelo sistema imune; 3. uma panencefalite esclerosante subaguda (subacute sclerosing panencephalitis –; SSPE) Causada por uma variante defeituosa do sarampo que foi gerada na fase aguda da doença. O vírus da SSPE age como um vírus lento e causa sintomas e efeitos citopatológicos em neurônios muitos anos após a fase aguda da doença.
  • 25.
    Diagnóstico • DiagnósticoLaboratorial • As manifestações clínicas do sarampo são normalmente muito características e raramente se faz necessário a realização de testes laboratoriais para estabelecer um diagnóstico. • As secreções do trato respiratório, urina, sangue e tecido cerebral são as espécimes recomendadas. • É melhor que sejam coletados espécimes sanguíneos e respiratórios durante o pródomo e até 1 a 2 dias depois do surgimento do exantema. • Os anticorpos, especialmente a imunoglobulina M (IgM), podem ser detectados quando o exantema está presente.
  • 26.
    Efeitos Citopatológicos Células gigantes multinucleadas  Sedimentos da urina corados com Giemsa.
  • 27.
    O antígeno desarampo pode ser detectado em células da faringe ou em sedimentos da urina utilizando imunofluorescência; o genoma do sarampo pode ser identificado através da reação em cadeia da polimerase precedida de transcrição reversa (RT-PCR) em quaisquer dos espécimes acima citados. A infecção por sarampo pode ser confirmada quando se observa a soroconversão ou pelo aumento de até quatro vezes do título de anticorpos específicos para sarampo obtidos do soro entre a fase aguda e a fase convalescente.
  • 28.
    Tratamento, Prevenção eControle o Vacina viva e atenuada de sarampo em uso nos Estados Unidos desde 1963 tem sido responsável por uma redução significativa na incidência de sarampo.
  • 29.