Tuberculose
Diagnóstico e
Tratamento
Stephany L. C. e Silva
Interno de Medicina Intensiva 2º ano
Sumário
• Introdução
• Objectivos
• Abordar a tuberculose pulmonar do ponto de
vista de diagnóstico e tratamento.
• Epidemiologia
• Etiopatogenia
• Sintomatologia
• Diagnóstico
• Terapêutica
Introdução
• A tuberculose (TB) é uma infecção bacteriana
grave, transmitida pelo ar pelo Mycobacterium
tuberculosis.
• Nos últimos anos, o aparecimento de cepas
multirresistentes colocou a tuberculose
novamente em destaque entre as doenças
infecto-contagiosas.
• Estima-se que a pessoa que apresenta esse
quadro pode infectar de 10 a 15 pessoas da
sua comunidade num período de um ano.
Introdução
Epidemiologia
• Quase um terço da população mundial, 2 biliões de pessoas,
está infectado com Mycobacterium tuberculosis
• Anualmente, mais de oito milhões desenvolvem tuberculose
activa (TB), dos quais dois milhões vêm a morrer.
• Em todo o mundo, mais de 90% dos casos de TB e das
mortes ocorrem nos países em vias de desenvolvimento,
onde 75% dos casos estão na idade de maior produtividade
económica (15-54 anos).
• Um adulto com TB perde, em média, três a quatro meses de
trabalho, o que se traduz na perda de 20 a 30% do
rendimento anual familia.
Epidemiologia
• A co-infecção com VIH aumenta significativamente o
risco de vir a desenvolver TB .
• Os países com alta prevalência de VIH, particularmente
os da Africa sub-sariana, testemunharam um profundo
aumento no número de casos de TB, particularmente
nos anos 90, levando a um aumento das taxas de
incidência da ordem das 3 a 4 vezes.
• Simultaneamente, em diversos países, a multi-
resistência, que se deve a medidas de tratamento
inadequadas, é um problema crescente e muito
preocupante.
Epidemiologia
Etiopatogenia
• MycobacteriumMycobacterium tuberculosistuberculosis (bacilo de Koch)(bacilo de Koch)
• Koch, 1882. Aeróbio estrito crescimento e duplicaçãoKoch, 1882. Aeróbio estrito crescimento e duplicação
lentos intracelular facultativo (em fagócitos).lentos intracelular facultativo (em fagócitos).
• O período de incubação é, em média, de 4 a 12 semanas
até a descoberta das primeiras lesões. Grande parte dos
novos casos de doença pulmonar ocorre por volta de 12
meses após a infecção inicial.
• A interação entre o M. tuberculosis e as células do
hospedeiro é extremamente complexa, sendo determinada
em parte pela virulência da cepa, mas também pela
resistência específica e não específica do hospedeiro.
•
Etiopatogenia
• A infecção primária inicia quando gotículas contendo
bacilos provenientes de doentes infecciosos são inaladas
pelo indivíduo sadio.
• Menos de 10% dessas gotículas atingem os alvéolos ou
bronquíolos e são englobadas inespecificamente pelos
macrófagos alveolares e se multiplicam no interior dos
mesmos (Raviglioner & O'Brien, 2005).
• O sistema imunológico de um indivíduo infectado
normalmente destrói as micobactérias ou as isola no local
da infecção.
Etiopatogenia
• No entanto, algumas vezes, as bactérias não são
destruídas, mas permanecem inativas no interior
dos macrófagos durante muitos anos. Cerca de
95% das infecções tuberculosas curam sem
serem sintomáticas.
• Já em indivíduos que apresentam baixa imunidade,
as bactérias não são eficientemente controladas e
podem provocar infecção pulmonar aguda, que
pode conduzir a uma destruição maciça do tecido
pulmonar, disseminação da bactéria para outras
partes do corpo e à morte.
Etiopatogenia
Diagnóstico
• Sintomatologia:
Tosse + de duas semanas
Emagrecimento
Sudorese nocturna
Dor no tórax
Anorexia
Febre predomínio nocturno não muito elevada.
Astenia
Diagnóstico
Métodos para o Diagnóstico
• Os primeiros exames a serem
solicitados são a radiografia de
tórax e a pesquisa de BAAR, o
padrão é a coloração por
Ziehl-Neelsen.
Métodos para o Diagnóstico
• A cultura é feita com os seguintes meios:
• Lowenstein-Jensen
• Middlebrook
• BACTEC (5 a 10 dias)
Métodos de Diagnóstico
• Indicações da realização de cultura:
• • Suspeita clínica de TB e pesquisa negativa de BAAR
• • Suspeita de TB pulmonar na radiografia de tórax
• • Casos de retratamento
• • Pacientes HIV positivos
• • Populações vulneráveis (detentos, profissionais da
área de saúde, moradores de rua e populações
institucionalizadas em albergues, hospitais psiquiátricos
e asilos)
• • Suspeitos de resistência
• • Suspeita de TB extrapulmonar
Métodos de Diagnóstico
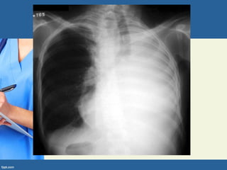
RADIOGRAFIA DO TÓRAX
• As alterações pulmonares não são demonstradas em até
15% dos casos. As principais alterações são:
• Opacidades parenquimatosas: frequentemente unifocais e
predominantemente no pulmão direito, acometendo os lobos
superiores na infância e os lobos médio e inferior em adultos.
Opacidades arredondadas persistentes, medindo até 3 cm de
diâmetro (tuberculomas) são manifestações não habituais
(descritas em até 10% dos casos).
• Linfonodomegalia: observada na maioria das crianças e em até
40% dos adultos. Habitualmente é unilateral, podendo ser bilateral
em até 30% dos casos. As regiões mais comprometidas são a
região hilar e a paratraqueal direita. Frequentemente está
associada com opacidades parenquimatosas e atelectasia
segmentar ou lobar.
Métodos de Diagnóstico
• Atelectasia: decorre da compressão
extrínseca das vias aéreas por
linfonodomegalias.
• Padrão miliar: pequenas opacidades nodulares
medindo 1-3 mm de diâmetro e distribuídas de
forma simétrica, podendo ser assimétrica em
até 15% dos casos. Pode haver associação
com opacidades parenquimatosas.
Métodos de diagnóstico
Derrame pleural: considerado uma
manifestação tardia da TB primária,
ocorre em 25% dos casos.
Métodos de diagnóstico
• ATELECTASIA VS DERRAME
Métodos de diagnóstico
Métodos sorológicos
•Não estão padronizados ou validados para o diagnóstico
de TB pulmonar ou extrapulmonar.
•Novas técnicas de avaliação de sensibilidade aos
medicamentos
•O único novo teste recomendado pela OMS para uso na
rotina é a fita GenoType®, que identifica o complexo Mtb e
sua resistência à H e R. Esse teste é baseado na detecção
das mutações mais comuns nos genes rpoB e katG.
Métodos de diagnóstico
• A alternativa para o diagnóstico de TB
infecção latente, atualmente feito pelo
TT, são os chamados IGRA.
Atualmente, há dois desses testes
disponíveis comercialmente:
• QuantiFERON®-TB Gold (Cellestis Inc.,
Valencia, CA, EUA) e T-SPOT®.TB
(Oxford Immunotec, Abdingdon, Reino
Unido
Tratamento
• Tratamento - definiçõesTratamento - definições
• Novo tratamento:Novo tratamento: primeira vezprimeira vez
• RRetratamento: tratou pelo menos 30 dias e precisa de novo
tratamento (por recidiva após cura ou por retorno após
abandono ou por falência do esquema básico)
• Recidiva: tratou e teve cura e volta a ter diagnóstico
• Abandono: tratou pelo menos 30 dias e suspendeu
medicação sem ser considerado curado
• Falência: mesmo com tratamento mantém escarro positivo
Tratamento
TRATAMENTO
Tratamento
Tratamento
Tratamento
Tratamento
Tratamento
Tratamento
ESQUEMAS PARA TB MDR
Tratamento
Referências
• Andrade CH, Pasqualoto KFM, Zaim, MH, Ferreira EI. Abordagem
racional no planejamento de novos tuberculostáticos: inibidores da InhA,
enoil-ACP redutase do M. tuberculosis. Rev. Bras. Ciênc. Farm. 44(2):
167-179, 2008.
• Boojamra CG, Lemoine RC, Blais J, Vernier NG, Stein KA, Magon A,
Chamberland S, Hecker SJ, Lee VJ.
• Synthetic dihydropacidamycin antibiotics: A modified spectrum of activity
for the pacidamycin class. Bioorg. Med. Chem. Lett. 13(19): 3305-3309,
2003.
• Brasil. Ministério da Saúde. Secretaria de Vigilância em Saúde.
Departamento de Vigilância Epidemiológica. 7. ed. Brasília, DF, 2009.
816 p.
• Brasil. Portal da Saúde. Ministério da Saúde. Tuberculose. Disponível
em: http://portal.saude.gov.br/portal/saude/profissional/area.cf m?
id_area=1527. Acesso em: agosto de 2011.
• Florez J, Mediavilla A, García-lobo JM. Farmacología de las infecciones
por micobacterias. In: Florez J.
• Farmacologia Humana 3. ed. Barcelona: Masson, 1997, p. 1159-1168.

Tuberculose pulmonar

  • 1.
    Tuberculose Diagnóstico e Tratamento Stephany L.C. e Silva Interno de Medicina Intensiva 2º ano
  • 2.
    Sumário • Introdução • Objectivos •Abordar a tuberculose pulmonar do ponto de vista de diagnóstico e tratamento. • Epidemiologia • Etiopatogenia • Sintomatologia • Diagnóstico • Terapêutica
  • 3.
    Introdução • A tuberculose(TB) é uma infecção bacteriana grave, transmitida pelo ar pelo Mycobacterium tuberculosis. • Nos últimos anos, o aparecimento de cepas multirresistentes colocou a tuberculose novamente em destaque entre as doenças infecto-contagiosas. • Estima-se que a pessoa que apresenta esse quadro pode infectar de 10 a 15 pessoas da sua comunidade num período de um ano.
  • 4.
  • 5.
    Epidemiologia • Quase umterço da população mundial, 2 biliões de pessoas, está infectado com Mycobacterium tuberculosis • Anualmente, mais de oito milhões desenvolvem tuberculose activa (TB), dos quais dois milhões vêm a morrer. • Em todo o mundo, mais de 90% dos casos de TB e das mortes ocorrem nos países em vias de desenvolvimento, onde 75% dos casos estão na idade de maior produtividade económica (15-54 anos). • Um adulto com TB perde, em média, três a quatro meses de trabalho, o que se traduz na perda de 20 a 30% do rendimento anual familia.
  • 6.
    Epidemiologia • A co-infecçãocom VIH aumenta significativamente o risco de vir a desenvolver TB . • Os países com alta prevalência de VIH, particularmente os da Africa sub-sariana, testemunharam um profundo aumento no número de casos de TB, particularmente nos anos 90, levando a um aumento das taxas de incidência da ordem das 3 a 4 vezes. • Simultaneamente, em diversos países, a multi- resistência, que se deve a medidas de tratamento inadequadas, é um problema crescente e muito preocupante.
  • 7.
  • 8.
    Etiopatogenia • MycobacteriumMycobacterium tuberculosistuberculosis(bacilo de Koch)(bacilo de Koch) • Koch, 1882. Aeróbio estrito crescimento e duplicaçãoKoch, 1882. Aeróbio estrito crescimento e duplicação lentos intracelular facultativo (em fagócitos).lentos intracelular facultativo (em fagócitos). • O período de incubação é, em média, de 4 a 12 semanas até a descoberta das primeiras lesões. Grande parte dos novos casos de doença pulmonar ocorre por volta de 12 meses após a infecção inicial. • A interação entre o M. tuberculosis e as células do hospedeiro é extremamente complexa, sendo determinada em parte pela virulência da cepa, mas também pela resistência específica e não específica do hospedeiro. •
  • 9.
    Etiopatogenia • A infecçãoprimária inicia quando gotículas contendo bacilos provenientes de doentes infecciosos são inaladas pelo indivíduo sadio. • Menos de 10% dessas gotículas atingem os alvéolos ou bronquíolos e são englobadas inespecificamente pelos macrófagos alveolares e se multiplicam no interior dos mesmos (Raviglioner & O'Brien, 2005). • O sistema imunológico de um indivíduo infectado normalmente destrói as micobactérias ou as isola no local da infecção.
  • 10.
    Etiopatogenia • No entanto,algumas vezes, as bactérias não são destruídas, mas permanecem inativas no interior dos macrófagos durante muitos anos. Cerca de 95% das infecções tuberculosas curam sem serem sintomáticas. • Já em indivíduos que apresentam baixa imunidade, as bactérias não são eficientemente controladas e podem provocar infecção pulmonar aguda, que pode conduzir a uma destruição maciça do tecido pulmonar, disseminação da bactéria para outras partes do corpo e à morte.
  • 11.
  • 12.
    Diagnóstico • Sintomatologia: Tosse +de duas semanas Emagrecimento Sudorese nocturna Dor no tórax Anorexia Febre predomínio nocturno não muito elevada. Astenia
  • 13.
  • 14.
    Métodos para oDiagnóstico • Os primeiros exames a serem solicitados são a radiografia de tórax e a pesquisa de BAAR, o padrão é a coloração por Ziehl-Neelsen.
  • 15.
    Métodos para oDiagnóstico • A cultura é feita com os seguintes meios: • Lowenstein-Jensen • Middlebrook • BACTEC (5 a 10 dias)
  • 16.
    Métodos de Diagnóstico •Indicações da realização de cultura: • • Suspeita clínica de TB e pesquisa negativa de BAAR • • Suspeita de TB pulmonar na radiografia de tórax • • Casos de retratamento • • Pacientes HIV positivos • • Populações vulneráveis (detentos, profissionais da área de saúde, moradores de rua e populações institucionalizadas em albergues, hospitais psiquiátricos e asilos) • • Suspeitos de resistência • • Suspeita de TB extrapulmonar
  • 17.
    Métodos de Diagnóstico RADIOGRAFIADO TÓRAX • As alterações pulmonares não são demonstradas em até 15% dos casos. As principais alterações são: • Opacidades parenquimatosas: frequentemente unifocais e predominantemente no pulmão direito, acometendo os lobos superiores na infância e os lobos médio e inferior em adultos. Opacidades arredondadas persistentes, medindo até 3 cm de diâmetro (tuberculomas) são manifestações não habituais (descritas em até 10% dos casos). • Linfonodomegalia: observada na maioria das crianças e em até 40% dos adultos. Habitualmente é unilateral, podendo ser bilateral em até 30% dos casos. As regiões mais comprometidas são a região hilar e a paratraqueal direita. Frequentemente está associada com opacidades parenquimatosas e atelectasia segmentar ou lobar.
  • 18.
    Métodos de Diagnóstico •Atelectasia: decorre da compressão extrínseca das vias aéreas por linfonodomegalias. • Padrão miliar: pequenas opacidades nodulares medindo 1-3 mm de diâmetro e distribuídas de forma simétrica, podendo ser assimétrica em até 15% dos casos. Pode haver associação com opacidades parenquimatosas.
  • 19.
    Métodos de diagnóstico Derramepleural: considerado uma manifestação tardia da TB primária, ocorre em 25% dos casos.
  • 20.
  • 21.
  • 23.
    Métodos de diagnóstico Métodossorológicos •Não estão padronizados ou validados para o diagnóstico de TB pulmonar ou extrapulmonar. •Novas técnicas de avaliação de sensibilidade aos medicamentos •O único novo teste recomendado pela OMS para uso na rotina é a fita GenoType®, que identifica o complexo Mtb e sua resistência à H e R. Esse teste é baseado na detecção das mutações mais comuns nos genes rpoB e katG.
  • 24.
    Métodos de diagnóstico •A alternativa para o diagnóstico de TB infecção latente, atualmente feito pelo TT, são os chamados IGRA. Atualmente, há dois desses testes disponíveis comercialmente: • QuantiFERON®-TB Gold (Cellestis Inc., Valencia, CA, EUA) e T-SPOT®.TB (Oxford Immunotec, Abdingdon, Reino Unido
  • 25.
    Tratamento • Tratamento -definiçõesTratamento - definições • Novo tratamento:Novo tratamento: primeira vezprimeira vez • RRetratamento: tratou pelo menos 30 dias e precisa de novo tratamento (por recidiva após cura ou por retorno após abandono ou por falência do esquema básico) • Recidiva: tratou e teve cura e volta a ter diagnóstico • Abandono: tratou pelo menos 30 dias e suspendeu medicação sem ser considerado curado • Falência: mesmo com tratamento mantém escarro positivo
  • 26.
  • 27.
  • 28.
  • 29.
  • 30.
  • 31.
  • 32.
  • 33.
  • 35.
  • 36.
  • 38.
    Referências • Andrade CH,Pasqualoto KFM, Zaim, MH, Ferreira EI. Abordagem racional no planejamento de novos tuberculostáticos: inibidores da InhA, enoil-ACP redutase do M. tuberculosis. Rev. Bras. Ciênc. Farm. 44(2): 167-179, 2008. • Boojamra CG, Lemoine RC, Blais J, Vernier NG, Stein KA, Magon A, Chamberland S, Hecker SJ, Lee VJ. • Synthetic dihydropacidamycin antibiotics: A modified spectrum of activity for the pacidamycin class. Bioorg. Med. Chem. Lett. 13(19): 3305-3309, 2003. • Brasil. Ministério da Saúde. Secretaria de Vigilância em Saúde. Departamento de Vigilância Epidemiológica. 7. ed. Brasília, DF, 2009. 816 p. • Brasil. Portal da Saúde. Ministério da Saúde. Tuberculose. Disponível em: http://portal.saude.gov.br/portal/saude/profissional/area.cf m? id_area=1527. Acesso em: agosto de 2011. • Florez J, Mediavilla A, García-lobo JM. Farmacología de las infecciones por micobacterias. In: Florez J. • Farmacologia Humana 3. ed. Barcelona: Masson, 1997, p. 1159-1168.