Prótese
em
Odontopediatria



       Prof.
Flávio
Salomão
Miranda
Funções
da
Odontopediatria:


 Adequar
as
funções
mas;gatória,

esté;ca,
foné;ca
,manutenção
de

espaço,
posição
correta
da
língua
e

   devolver
bem‐estar
psíquico‐
      emocional
do
paciente

Indicações
e
Planejamento
:

• Independentemente
do
recurso:
controle
da

  doença
cárie
• Exames
clínico
e
radiográfico
• Crescimento,
desenvolvimento
e
oclusão.
• Habilidade
profissional
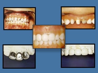
Coroas
de
aço
inoxidável
• Desde
1950
• A
evolução
dos
materiais
adesivos
propicia
o

  sucesso
clínico
das
coroas
de
aço.
• Restabelece
a
função
Coroa
de
aço
    – Vantagens:
•   Baixo
custo
•   Colocação
requer
pouco
tempo
•   Vários
tamanhos
•   Recuperam
espaço
mesio‐distal
•   Aço
não
mancha
e
resiste
a
todos
os

    fluidos
bucais
Coroa
de
aço
    – Desvantagens:


•   Ponto
de
contato
deficiente
•   Intercuspidação
•   Adptação
cervical
•   Deterioração
da
coroa
Indicações:
• Dentes
decíduos
com
ampla
destruição

• Dentes
 decíduos
 que
 sofreram
 tratamento

  pulpar
e
que
com
passar
do
tempo
tornaram‐
  se
friáveis
• Dentes
 com
 cárie
 rampante
 ou
 hipoplasia

  severas
• Casos
 de
 restaurações
 classe
 II
 aliadas
 a

  restaurações
classe
V

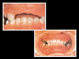
Indicações:
• Grandes
fraturas
da
coroa
por

  traumaSsmo
• Dentes
anquilosados
• Servir
de
mantenedor
de
espaço
• Apoio
de
prótese
removível
Contra‐indicação
• Dentes
permanentes
• Comprome;mento
esté;co
Materiais
e
instrumentais
uSlizados
•   Broca
diamantada
em
forma
de
roda
•   Tesoura
curva
para
ouro
•   Borrachas
abrasivas
•   Alicates
114
e
400
Seleção
da
   Preparo
do

                            Ajuste
   Cimentação
  coroa         dente
Restauração
de
dentes
anteriores

• Coroas
• Pinos
intra‐radiculares
Pinos
intra‐radiculares
Prótese
Removível
– Indicações:
  • Perda
precoce
com
posterior
erupção
maior

    que
6
meses.

  • Casos
de
Oligodon;a
Prótese
Removível

 
 Requisitos:

 
 
     Manter
espaço
para
erupção
dos

  sucessores

 
 
     Não
interferir
no
processo
de

  desenvolvimento
de
dentes
e
arcos
dentários.

 
 
     Impedir
extrusão
do
antagonista

 
 
     Devolver
função
mas;gatória

 
 
     Restaurar
contornos
labiais

 
 
     Fácil
limpeza
Prótese
Total
•   Relação
maxilo‐mandibular
•   Montagem
em
ar;culador
•   Prova
da
prótese
•   Instalação
e
controle

Prótese em odontopediatria

Notas do Editor

  • #2 \n
  • #3 \n
  • #4 Exame clinico minucioso para ter certeza das estruturas de suporte, alem de avaliar condições de higiene.\nExame radiográfico, visualiar o grau de destruição da cárie dentária, comprommetimento pulpar e equilíbrio entre rizólise e rizogêneses.\nQualquer reabilitação protetica deve favorecer as condições fisiológicas de crescimento, não interferindo na dinamica da oclusão durante o processo de transição da dentarura deciduo para a permanete.\nQualquer recurso protético deve considerar a habilidade e conhecimento tecnico do profissional.\n
  • #5 \n
  • #6 \n
  • #7 \n
  • #8 Como as coroas são pre-fabricadas, sua anatomia segue um padrão pre-formado, isso pode ocasionar impactação de alimentos nas papilas gengivais \nA intercuspidação também decorrente de sua anatomia.\nÉ dificil adapatar corretamento \nVaria do material empregado\n
  • #9 \n
  • #10 \n
  • #11 \n
  • #12 \n
  • #13 \n
  • #14 \n
  • #15 \n
  • #16 No caso de pino intrarediculares, deve avalia condição da risolise\n
  • #17 Coras de aço com faceta de acrilico .\nMoldagem, dente não sofreda desgaste\n
  • #18 \n
  • #19 \n
  • #20 \n
  • #21 \n
  • #22 \n
  • #23 \n
  • #24 \n
  • #25 \n
  • #26 \n
  • #27 \n
  • #28 \n