Perdas Dentais
Implantes Osteointegrados
HistóricoPeríodo Antigo – A.C. a 1000 A.D.Egípcios e dinastias pré-colombianas (Maias, Astecas e Incas)Dentes de animais ou de marfim esculpidoPeríodo Medieval – 1000 a 1800 A.D.EuropaDentes humanosPeríodo Fundamental – 1800 a 1910AméricaOuro, porcelana, madeira, metais (platina, prata)
Período pré-moderno – 1910 a 1930AméricaOuro, porcelanaPeríodo Moderno – 1930 a 1978 (Experiências, erros e confusões)Europa e AméricaPorcelana, vitálio, titânioImplantes endo-ósseos I (Vitálio, parafuso)Implantes sub-periostais (Dahl, Suécia)Implantes endo-[osseos II Helicoidal, em espiral, Formiggini (aço inox ou tântalo)Dupla hélice espiral, CherchéveImplante agulhado, ScialomImplante laminado, Linkow (de 67 até anos 80)Cerâmica e carbono vitrificados
Implante em cesto de Payne
Implante Endodôntico
IMPLANTES SUB-PERIOSTAIS (1947)
Implante de Cherchèvre
IMPLANTES AGULHADOS (1960)
Implante Laminado
Implante em Cerâmica
Implante em Carbono Vitrificado
Período contemporâneo (osseointegração) BrånemarkInício em 1965, mas estudos datam de 1952;Início na Suécia, depois espalhou-se rapidamente pelo mundo.Titânio, hidroxiapatita, cerâmica;
OSTEOINTEGRAÇÃOCONCEITO“É   uma   união anatômica e funcional direta entre o osso vivo remodelado e a superfície do implante.”Brånemark, 1982
OSTEOINTEGRAÇÃOSUCESSO BIOLÓGICO DO IMPLANTE:Características do material do implanteEnergia superficialRugosidade superficialCaracterísticas macroscópicas do implante
AnatomiaMaxila:Canal naso-palatino, seios maxilares, tuberosidade, cavidade nasal.Mandíbula:Canal mandibular, forame mentoniano, linha milohiodéia.
Variações AnatômicasReabsorção maxilar e mandibularModificações anatômicas induzidasMandíbula centrífuga, 4 X mais rápida;Aproximação do canal mandibular e crista;Maxila centrípeta;Relação intermaxilar modifica-se;Pneumatização do seio maxilar;Inserções musculares.
Reabsorção Extrema da Mandíbula
Integração e Fisiologia TecidualOsseointegraçãoNão é uniforme.Qualidade de osseointegração depende da porcentagem de contato direto osso-implante.Clinicamente é semelhante a anquilose.Cicatrização ósse é similar a qualquer ferida óssea.
A porcentagem de osso-implante é influenciada por:Pelo estado de superfície do implante;Pelo material do implante e sua forma;Pela qualidade óssea;Pela terapêutica cirúrgica;Pelo tempo de cicatrização.
Etapas da cicatrizaçãoPrimeira etapa:Substituição tecido ósseo periimplantarOsso trabecular imaturo.Segunda etapa:Remodelação inicial (18 semanas)Remodelação contínua
Fatores Que Determinam a OsseointegraçãoRelacionados a hospedeiro:Gerais (saúde, idade, osteoporose pós menopausa)De risco;Locais;Relacionados ao implante:Biocompatibilidade do material do implante;Forma do implante;Superfície do implante;Princípios cirúrgicos e protéticos.
Contra-indicações Para ImplantesCardiopatias de alto riscoPróteses valvulares aórticas e mitrais;Cardiopatias congênitas cianogênicos;Antecedentes de endocardite infecciosa;Em cardiopatias de risco a decisão final é do cardiologista:	valvulopatias aórticas ou mitrais;
Contra-indicações
Implantes dentários são contra-indicados durante o crescimento
Fator de Risco
SUPERFÍCIE DO IMPLANTE50x                   146x                 5.000x
Implante Cilíndrico
Implante Core Vent®
Instrumental Cirúrgico
Àrea a ser implantada
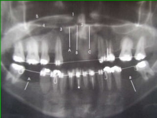
PLANEJAMENTO CIRÚRGICOEXAMES POR IMAGENS:Radiografia Panorâmica para implantes
Tomografia linear
Tomografia computadorizada
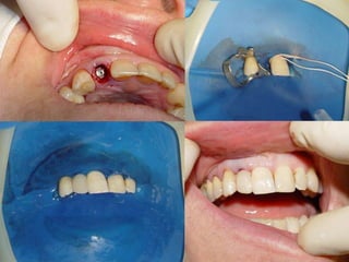
Opções de PrótesePrótese Parcial Fixa Associado a RemovívelPrótese Parcial FixaPrótese Parcial RemovívelPrótese TotalPrótese Sobre Implantes	Unitária	Vários Elementos	Overdenture
Planejamento / Guias Cirúrgicos
SISTEMAS DE IMPLANTES3iNeodentSINNobel-BiocareIntra-lockImplamedoutros
Seleção do Comprimento e Largura do ImplanteRx PeriapicalRx PanorâmicoTomografia LinearTomografia ComputadorizadaPrototipagemLargura do dente a ser substituido (largura da plataforma protética)Distância dos dentes vizinhos aos espaçosComo regra, usar o maior e mais largo possível
Seleção dos Implantes
Diâmetros de Implantes
Tipos ósseos
Tipos de implantes
SISTEMAS DE IMPLANTESIMPLANTE ROSQUEADOIMPLANTES SEM ROSCA (CILÍNDRICOS)Superfície:
Usinada
Jateada
Revestida com hidroxiapatita
Plasma Spray de titânio
Oxidada
Ataque ácido
Laser
PRIMEIRA FASE CIRÚRGICAMOTOR PARA CIRURGIAPRIMEIRA FASE CIRÚRGICAKITS CIRÚRGICOSTipos de implante e indicações
Selecionar um Implante:Cone Morse
WS Cone Morse
Hexágono Externo
Hexágono Interno
GT
Fixação Zigomática
Irrigação
Implante de acordo com a prótese
Seqüência de Brocas
Avaliação Clínica no Momento da Instalação do ImplanteAparelhos especiais Osstell (mede por freqüência e ressonância)Avaliação Clínica (estabilidade)Torquímetro (mínimo 45 Newtons)Avaliação   radiográfica   ( durante   a instalação,  mede  a  distância   entre implantes e estruturas adjacentes)
Avaliação Clínica Após Período de Osseointegração Imobilidade ClínicaAssintomáticoAusência de imagem radiolúcida peri-implantarAusência de neuropatiaPerda óssea vertical inferior a 1,0 mm após o primeiro ano em  função, e  de   0,1 mm nos anos seguintes
Porcen-tagem de Sucessos e Fracassos
Implantes Em Áreas Com Pouco Volume Ósseo
Paciente EdentadoAnálise radiográficaPanorâmicaPerfilTCAnálise de ModelosAnálise Clínica
Tomografia computadorizada
T.C.
T.C.
TC
Rebordo Zero
Mandíbula Parcialmente EdentadaQualidade do ossoPosição do feixe neurovascularComprimento dos implantesTamanho do espaço edentadoTipo de carga oclusal
Seio maxilar
Tipo ósseo
Quantidade óssea
Número de implantes
Carga oclusalMaxila Pacialmente Edentada
Onlay
Elevação do assoalho do seio maxilar 		(sinus lifting)
Local doador
Quantidade de osso necessário
Tempo de espera
Carga imediata
Carga mediataEnxertos ósseos
Avaliação da Altura e Largura óssea
Áreas Doadoras Retro-molares
Enxertos de mento
Enxertos de Ilíaco
On Lay
Sinus Liftimg
 Retirado da Tuberosidade

Implantes