Hospital Municipal de Imperatriz -
HMI
PANCREATITE AGUDA
Karoline Lima Pereira.
.
2
CONCEITOS ATUAIS
.
3
A TERMINOLOGIA UTILIZADA
ATUALMENTE NA
PANCREATITE AGUDA, SE
BASEIA NA
CLASSIFICAÇÃO DE ATLANTA
DE 1992.
DEFINIÇÕES ATUAIS.
. PANCREATITE AGUDA
LEVE (P.A.L.)
Processo inflamatorio
pancreático agudo, no
qual a caracteristica
fundamental é o edema
intersticial pancreático
com minima repercussão
sistémica.
4
PANCREATITE AGUDA
GRAVE. (P.A.G.)
Pancreatite aguda ASSOCIADA A
a) FALHAS ORGÂNICAS
SISTÉMICAS
b) OU COMPLICAÇÕES LOCALES
Como:
• NECROSE PANCREÁTICA.
• ABSCESSO OU
•PSEUDOCISTO
5
DEFINIÇÕES ATUAIS.
.
6
NECROSE:
ZONAS LOCALIZADAS OU DIFUSAS
DE TECIDO PANCREATICO NÃO
VIAVEL, QUE GENERALMENTE SE
ASSOCIA A NECROSIS
GORDUROSA PERIPANCREATICA.
COLEÇÕES LIQUIDAS
AGUDAS:
COLEÇÕES DE DENSIDADE
LIQUIDA, QUE CARECE DE
PAREDE E SE PRESENTAM
PRECOCEMENTE NO
PANCREAS OU PERTO DELE.
ABSCESSO PANCREATICO:
COLEÇÕES CIRCUNSCRITA DE PUS NO
PANCREAS OU AO SEU REDOR, QUE
APARECE COMO CONSEQUENCIA DE
UMA PANCREATITE AGUDA, COM
ESCASSO TECIDO NECROTICO EM SEU
INTERIOR.
PSEUDOCISTO:
FORMAÇÃO DE DENSIDADE
LIQUIDA, COM PAREDE DE
TECIDO DE GRANULAÇÃO OU
FIBROSA, QUE APARECE
DEPOIS DE 4 SEMANAS.
CAUSAS DE PANCREATITE AGUDA.
. MECANICAS INFECCIONES
• COLELITIASE
• CPRE
• ASCARIS
• POS - OPERATORIO
• POS – TRAUMATICO
• OBSTRUÇÃO DO
WIRSUNG
• OBSTRUÇÃO DUODENAL
• PAROTIDITE
• HEPATITE B
• CMV
• COXSACKIE
• VARICELA-ZOSTER
• HSV
• VIH
• MICOPLASMA,
• LEGIONELLA
7
CAUSAS
.
• ALCOOL
•HIPERLIPO -
PROTEINEMIA
• HEREDITARIEDADE
• HIPERCALCEMIA
•VENENO DE ESCORPIÃO
LEPTOSPIRA
SALMONELLA
ASPERGILLUS
TOXOPLASMA
ASCARIS
CRYTOSPORIDIUM
INFECCIOSAS
(CONTINUAÇÃO)
TOXICAS/
METABOLICAS
8
CAUSAS DE PANCREATITE AGUDA.
9
FISIOPATOLOGIA.
.
10
O PANCREAS NORMALMENTE
SECRETA GRANDE QUANTIDADE DE
ENZIMAS COMO:
• QUIMOTRIPSINA.
• AMILASA.
• LIPASAS.
• ELASTASAS, CARBOXIPEPTIDASAS A
E B. ETC.
A MAIORIA DESTAS ENZIMAS SÃO
SECRETADAS COMO PRECURSORES
INATIVOS, AS QUE JUNTO AOS
INIBIDORES ENZIMATICOS DO SUCO
PANCREATICO, PROTEGEN O
PANCREAS DE SUA AUTODIGESTÃO.
OS EVENTOS INICIAIS DA PATOGENIA,
NÃO ESTÃO TOTALMENTE CLAROS;
MAS TEM EVIDENCIAS QUE UM OU
VARIOS DOS SEGUINTES FATORES,
DESENCADEIAM UMA CADEIA
INFLAMATORIA, DEVIDO A ACTIVAÇÃO
ENZIMATICA INTRAPANCREATICA.
• A) AUMENTO DE PRESSÃO
INTRADUCTAL DO SISTEMA EXCRETOR
PANCREATICO. (POR LITIASIS.)
•B) REFLUXO DE BILIS AO WIRSUNG.
•C) HIPERTRIGLICERIDEMIA AGUDA
OU PRE-EXISTENTE.
•D) DANOS ISQUEMICO.
•E) INTERRUPÇÃO DE CONDUTO
EXCRETOR POR TRAUMA ,ETC.
FISIOPATOLOGIA
.
11
OS FATORES ANTERIORES
DESENCADEIAM UMA CASCATA
INFLAMATORIA LOCAL,
DESENCADEIAM PELA ATIVAÇÃO
ENZIMATICA INTRAGLANDULAR….
QUE PROVOCA:
•DANOS MICROVASCULAR,
•TROMBOSIS E NECROSE TISULAR,
•SAPONIFICAÇÃO DA GORDURA
•LIBERAÇÃO DE RADICAIS LIVRES E
EVENTUALMENTE UMA
•RESPOSTA INFLAMATORIA
SISTEMICA PROGRESSIVA , COM
FALHA ORGANICA MULTIPLA.
AS ENZIMAS ATIVADAS DIGEREM O PANCREAS EM PRIMERA INSTANCIA
E LOGO SEU ENTORNO DE TECIDOS VIZINHOS E
PELA RESPOSTA INFLAMATORIA, AS CINICNAS SE TRANSPORTAM A
DISTANCIA PROVOCANDO E MANTENDO A INFLAMAÇÃO SISTEMICA.
DIAGNOSTICO
.
12
EM QUE PACIENTES
DEVEMOS SUSPEITAR
UMA PANCREATITE
AGUDA?
Suspeitar em:
.
13
Paciente com dor abdominal
intenso, associada a vômitos,
que refere
ANTECEDENTES DE:
•ALCOOLISMO.
•LITIASE VESICULAR.
•HIPERTRIGLICERIDEM
IA.
•TRANSGRESSÃO DIETETICA.
•TRAUMA FECHADO DE
ABDOME.
•TUMOR PANCREATICO.
•PAROTIDITE
DIAGNOSTICO.
.
14
CRITERIO CLINICO CRITERIO
LABORATORIAL
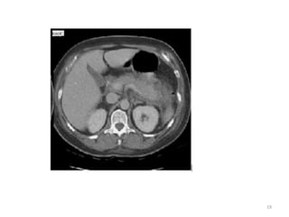
CRITERIO IMAGENOLOGICO :
TC DE ABDOME.
CRITERIO CLINICO:
15
HABITUALMENTE OS
PACIENTES SE
APRESENTAM COM:
DOR EM
HEMIABDOME
SUPERIOR
INTENSO E COM
VOMITOS.
O ESTADO DE
CHOQUE, ILEO,
DOR DORSAL
ETC. QUE
QUANDO ESTÃO
PRESENTES:
AJUDAM A AFIRMAR
ESSA SOSPEITA
DIAGNOSTICA, MAS
PELA SUA BAIXA
SENSIBILIDADE, NÃO
DEVEM SER
PARAMETRO PARA O
DIAGNOSTICO.
CRITERIO LABORATORIAL
.
16
O CRITERIO MAIS UTIL para
confirmar O DIAGNOSTICO de
pancreatite, em frente a um
quadro clínico caracteristico é
a LIPASE SERICA. V.N. 0 - 160
U.L.
A elevação de 2 vezes o valor
normal tem um 95% de
sensibilidade diagnostica.
A maior vantagem sobre a
amilasa é sua elevação mais
duradoura (8-14 dias) e que não
tem outras causas de elevação.
A amilase dura somente 3 días, tem varias causas diferentes a
pancreatite que a elevam.
Elevação de 3x de seu valor normal (40 a 140 U./L.) (>de 500 U.I.)
tem uma sensibilidade de 67% a 83% e uma especificidade de 85% a
98% .
Sua elevação ocorre a 2-12 hrs do começo e se normaliza aos 3-5
dias. Não serve como prognostico.
17
A elevação de 2 vezes o valor normal
tem um 82 a 100% de sensibilidade
e especificidade diagnostica.
A maior vantagem sobre a amilasa é
sua elevação mais duradoura (8-14
dias) e que não tem outras causas
de elevação.
LIPASE
Aumenta após 4 a 8h
do inicio do quadro.
IMAGENOLOGIA DE ABDOME
.
18
R.X.
DE ABDOMEN:
Não ajuda o diagnostico de
pancreatite, mas ajuda com
o diagnóstico diferencial.
( descartar perfuração de
vísceras e obstrução
intestinal)
TC DE ABDOME:
Entre o 3 e 10 dias de evolução,
com contraste para evidenciar:
•INFLAMAÇÃO PERIPANCREATICA.
•COLEÇÕES PERIPANCREATICAS.
•DETERMINAR EXISTENCIA,
LOCALIZAÇÃO E TAMANHO DA
NECROSE PANCREATICA
O GRAU DE INFLAMAÇÃO PERIPANCREATICA, SE EVIDENCIA NOS
CRITERIOS DE BALTHAZAR
.
19
CRITERIOS DE PANCREATITE.
20
21
Apache II
22
Muito utilizada nas UTI,
permite dentro de 48 hrs
diferenciar uma PAG de uma
PAL;
Ademais, em qualquer
momento permite uma
avaliação da melhora ou
gravidade do quadro.
Criterios de APACHE-II.
23
.
24
APACHE II
TRATAMENTO.
.
25
ALIMENTAÇÃO ENTERAL PRECOCE : RECOMENDADA
NOS PACIENTES QUE EM JEJUM MAIOR A 3 DIAS E QUE
NÃO APRESENTE ILEO PROLONGADO OU
IMPOSSIBILIDADE DE COLOCAR UMA SONDA NASO-
ENTERAL DEPOIS DO ANGULO DE TREITZ.
ANALGESIAHIDRATAÇÃO
HIPOGORDUROSA E
RICA EM
TRIGLICERIDEOS DE
CADEIA MEDIA
PANCREATITE
LEVE
26
Em casos de impossibilidade
de reintrodução por VO em 5
a 7 dias.
SONDA NASOENTERAL
(localizada pós- ligamento de
Treitz por EDA)
PANCREATITE
CASOS GRAVES DEM
SER CONDUZIDOS EM
UNIDADES DE TERAPIA
INTENSIVA
27
TRATAMENTO.
.
28
ANALGESIA:
DIPIRONA + HIOSCINA/
MEPERIDONA.
Evita-se morfina.
PROFILAXIA
ANTIBIOTICA:
CONTROVERSA .
MAS GERALMENTE INICIADO
IMIPENEM/ MEROPENEM
DURANTE 7 A 10 DIAS SE
NECROSE EM MAIS DE 30%
DO TECIDO PANCREATICO
TRATAMENTO.
29
• Em 72h se coledocolitiase .
• 24h a 48h : se colangite
concomitante , testes
hepaticos
persistentemente anormais
ou aumentando.
• NA AUSENCIA DE
ACHADOS : Deve ser
realizada antes da
colecistectomia
CPRE
TRATAMENTO.
30
PAL : Colecistectomia
em 7 dias após
recuperação.
COLECISTECTOMIA:
EM TODOS OS PACIENTES
COM PANCRETITE BILIAR.
( SE NÃO REALIZADA
ACARRETA 25% A 30% DE
RECORRÊNCIA DE
PANCREATITE AGUDA ,
COLANGITE OU COLECISTITE
EM 6 A 18 SEMANAS.)
Obrigada!!
31

Pancreatite aguda

  • 1.
    Hospital Municipal deImperatriz - HMI PANCREATITE AGUDA Karoline Lima Pereira.
  • 2.
  • 3.
    CONCEITOS ATUAIS . 3 A TERMINOLOGIAUTILIZADA ATUALMENTE NA PANCREATITE AGUDA, SE BASEIA NA CLASSIFICAÇÃO DE ATLANTA DE 1992.
  • 4.
    DEFINIÇÕES ATUAIS. . PANCREATITEAGUDA LEVE (P.A.L.) Processo inflamatorio pancreático agudo, no qual a caracteristica fundamental é o edema intersticial pancreático com minima repercussão sistémica. 4 PANCREATITE AGUDA GRAVE. (P.A.G.) Pancreatite aguda ASSOCIADA A a) FALHAS ORGÂNICAS SISTÉMICAS b) OU COMPLICAÇÕES LOCALES Como: • NECROSE PANCREÁTICA. • ABSCESSO OU •PSEUDOCISTO
  • 5.
  • 6.
    DEFINIÇÕES ATUAIS. . 6 NECROSE: ZONAS LOCALIZADASOU DIFUSAS DE TECIDO PANCREATICO NÃO VIAVEL, QUE GENERALMENTE SE ASSOCIA A NECROSIS GORDUROSA PERIPANCREATICA. COLEÇÕES LIQUIDAS AGUDAS: COLEÇÕES DE DENSIDADE LIQUIDA, QUE CARECE DE PAREDE E SE PRESENTAM PRECOCEMENTE NO PANCREAS OU PERTO DELE. ABSCESSO PANCREATICO: COLEÇÕES CIRCUNSCRITA DE PUS NO PANCREAS OU AO SEU REDOR, QUE APARECE COMO CONSEQUENCIA DE UMA PANCREATITE AGUDA, COM ESCASSO TECIDO NECROTICO EM SEU INTERIOR. PSEUDOCISTO: FORMAÇÃO DE DENSIDADE LIQUIDA, COM PAREDE DE TECIDO DE GRANULAÇÃO OU FIBROSA, QUE APARECE DEPOIS DE 4 SEMANAS.
  • 7.
    CAUSAS DE PANCREATITEAGUDA. . MECANICAS INFECCIONES • COLELITIASE • CPRE • ASCARIS • POS - OPERATORIO • POS – TRAUMATICO • OBSTRUÇÃO DO WIRSUNG • OBSTRUÇÃO DUODENAL • PAROTIDITE • HEPATITE B • CMV • COXSACKIE • VARICELA-ZOSTER • HSV • VIH • MICOPLASMA, • LEGIONELLA 7
  • 8.
    CAUSAS . • ALCOOL •HIPERLIPO - PROTEINEMIA •HEREDITARIEDADE • HIPERCALCEMIA •VENENO DE ESCORPIÃO LEPTOSPIRA SALMONELLA ASPERGILLUS TOXOPLASMA ASCARIS CRYTOSPORIDIUM INFECCIOSAS (CONTINUAÇÃO) TOXICAS/ METABOLICAS 8
  • 9.
  • 10.
    FISIOPATOLOGIA. . 10 O PANCREAS NORMALMENTE SECRETAGRANDE QUANTIDADE DE ENZIMAS COMO: • QUIMOTRIPSINA. • AMILASA. • LIPASAS. • ELASTASAS, CARBOXIPEPTIDASAS A E B. ETC. A MAIORIA DESTAS ENZIMAS SÃO SECRETADAS COMO PRECURSORES INATIVOS, AS QUE JUNTO AOS INIBIDORES ENZIMATICOS DO SUCO PANCREATICO, PROTEGEN O PANCREAS DE SUA AUTODIGESTÃO. OS EVENTOS INICIAIS DA PATOGENIA, NÃO ESTÃO TOTALMENTE CLAROS; MAS TEM EVIDENCIAS QUE UM OU VARIOS DOS SEGUINTES FATORES, DESENCADEIAM UMA CADEIA INFLAMATORIA, DEVIDO A ACTIVAÇÃO ENZIMATICA INTRAPANCREATICA. • A) AUMENTO DE PRESSÃO INTRADUCTAL DO SISTEMA EXCRETOR PANCREATICO. (POR LITIASIS.) •B) REFLUXO DE BILIS AO WIRSUNG. •C) HIPERTRIGLICERIDEMIA AGUDA OU PRE-EXISTENTE. •D) DANOS ISQUEMICO. •E) INTERRUPÇÃO DE CONDUTO EXCRETOR POR TRAUMA ,ETC.
  • 11.
    FISIOPATOLOGIA . 11 OS FATORES ANTERIORES DESENCADEIAMUMA CASCATA INFLAMATORIA LOCAL, DESENCADEIAM PELA ATIVAÇÃO ENZIMATICA INTRAGLANDULAR…. QUE PROVOCA: •DANOS MICROVASCULAR, •TROMBOSIS E NECROSE TISULAR, •SAPONIFICAÇÃO DA GORDURA •LIBERAÇÃO DE RADICAIS LIVRES E EVENTUALMENTE UMA •RESPOSTA INFLAMATORIA SISTEMICA PROGRESSIVA , COM FALHA ORGANICA MULTIPLA. AS ENZIMAS ATIVADAS DIGEREM O PANCREAS EM PRIMERA INSTANCIA E LOGO SEU ENTORNO DE TECIDOS VIZINHOS E PELA RESPOSTA INFLAMATORIA, AS CINICNAS SE TRANSPORTAM A DISTANCIA PROVOCANDO E MANTENDO A INFLAMAÇÃO SISTEMICA.
  • 12.
    DIAGNOSTICO . 12 EM QUE PACIENTES DEVEMOSSUSPEITAR UMA PANCREATITE AGUDA?
  • 13.
    Suspeitar em: . 13 Paciente comdor abdominal intenso, associada a vômitos, que refere ANTECEDENTES DE: •ALCOOLISMO. •LITIASE VESICULAR. •HIPERTRIGLICERIDEM IA. •TRANSGRESSÃO DIETETICA. •TRAUMA FECHADO DE ABDOME. •TUMOR PANCREATICO. •PAROTIDITE
  • 14.
  • 15.
    CRITERIO CLINICO: 15 HABITUALMENTE OS PACIENTESSE APRESENTAM COM: DOR EM HEMIABDOME SUPERIOR INTENSO E COM VOMITOS. O ESTADO DE CHOQUE, ILEO, DOR DORSAL ETC. QUE QUANDO ESTÃO PRESENTES: AJUDAM A AFIRMAR ESSA SOSPEITA DIAGNOSTICA, MAS PELA SUA BAIXA SENSIBILIDADE, NÃO DEVEM SER PARAMETRO PARA O DIAGNOSTICO.
  • 16.
    CRITERIO LABORATORIAL . 16 O CRITERIOMAIS UTIL para confirmar O DIAGNOSTICO de pancreatite, em frente a um quadro clínico caracteristico é a LIPASE SERICA. V.N. 0 - 160 U.L. A elevação de 2 vezes o valor normal tem um 95% de sensibilidade diagnostica. A maior vantagem sobre a amilasa é sua elevação mais duradoura (8-14 dias) e que não tem outras causas de elevação. A amilase dura somente 3 días, tem varias causas diferentes a pancreatite que a elevam. Elevação de 3x de seu valor normal (40 a 140 U./L.) (>de 500 U.I.) tem uma sensibilidade de 67% a 83% e uma especificidade de 85% a 98% . Sua elevação ocorre a 2-12 hrs do começo e se normaliza aos 3-5 dias. Não serve como prognostico.
  • 17.
    17 A elevação de2 vezes o valor normal tem um 82 a 100% de sensibilidade e especificidade diagnostica. A maior vantagem sobre a amilasa é sua elevação mais duradoura (8-14 dias) e que não tem outras causas de elevação. LIPASE Aumenta após 4 a 8h do inicio do quadro.
  • 18.
    IMAGENOLOGIA DE ABDOME . 18 R.X. DEABDOMEN: Não ajuda o diagnostico de pancreatite, mas ajuda com o diagnóstico diferencial. ( descartar perfuração de vísceras e obstrução intestinal) TC DE ABDOME: Entre o 3 e 10 dias de evolução, com contraste para evidenciar: •INFLAMAÇÃO PERIPANCREATICA. •COLEÇÕES PERIPANCREATICAS. •DETERMINAR EXISTENCIA, LOCALIZAÇÃO E TAMANHO DA NECROSE PANCREATICA O GRAU DE INFLAMAÇÃO PERIPANCREATICA, SE EVIDENCIA NOS CRITERIOS DE BALTHAZAR
  • 19.
  • 20.
  • 21.
  • 22.
    Apache II 22 Muito utilizadanas UTI, permite dentro de 48 hrs diferenciar uma PAG de uma PAL; Ademais, em qualquer momento permite uma avaliação da melhora ou gravidade do quadro.
  • 23.
  • 24.
  • 25.
    TRATAMENTO. . 25 ALIMENTAÇÃO ENTERAL PRECOCE: RECOMENDADA NOS PACIENTES QUE EM JEJUM MAIOR A 3 DIAS E QUE NÃO APRESENTE ILEO PROLONGADO OU IMPOSSIBILIDADE DE COLOCAR UMA SONDA NASO- ENTERAL DEPOIS DO ANGULO DE TREITZ. ANALGESIAHIDRATAÇÃO HIPOGORDUROSA E RICA EM TRIGLICERIDEOS DE CADEIA MEDIA PANCREATITE LEVE
  • 26.
    26 Em casos deimpossibilidade de reintrodução por VO em 5 a 7 dias. SONDA NASOENTERAL (localizada pós- ligamento de Treitz por EDA) PANCREATITE CASOS GRAVES DEM SER CONDUZIDOS EM UNIDADES DE TERAPIA INTENSIVA
  • 27.
  • 28.
    TRATAMENTO. . 28 ANALGESIA: DIPIRONA + HIOSCINA/ MEPERIDONA. Evita-semorfina. PROFILAXIA ANTIBIOTICA: CONTROVERSA . MAS GERALMENTE INICIADO IMIPENEM/ MEROPENEM DURANTE 7 A 10 DIAS SE NECROSE EM MAIS DE 30% DO TECIDO PANCREATICO
  • 29.
    TRATAMENTO. 29 • Em 72hse coledocolitiase . • 24h a 48h : se colangite concomitante , testes hepaticos persistentemente anormais ou aumentando. • NA AUSENCIA DE ACHADOS : Deve ser realizada antes da colecistectomia CPRE
  • 30.
    TRATAMENTO. 30 PAL : Colecistectomia em7 dias após recuperação. COLECISTECTOMIA: EM TODOS OS PACIENTES COM PANCRETITE BILIAR. ( SE NÃO REALIZADA ACARRETA 25% A 30% DE RECORRÊNCIA DE PANCREATITE AGUDA , COLANGITE OU COLECISTITE EM 6 A 18 SEMANAS.)
  • 31.