CÉLULAS
DO SANGUE
SANGUE
• TÉCNICA HISTOLÓGICA

    MISTURA DE ROMANOWSKY
        GIEMSA, LEISHMAN, WRIGHT...



-AZUL DE METILENO
-EOSINA
-AZURES
FUNÇÕES
• TRANSPORTE

• PAPEL REGULADOR

• DEFESA
COMPOSIÇÃO
• COMPOSTOS ORGÂNICOS:
VITAMINAS, HORMÔNIOS, FATORES DE CRESCIMENTO, ...


• SAIS MINERAIS

• ÁGUA

• PROTEÍNAS:
FIBRINOGÊNIO, ALBUMINAS,...
Plasma



HEMATÓCRITO
                 1%
               Leucócitos



              Eritrócitos
ERITRÓCITOS

•   MORFOLOGIA
•   FUNÇÃO
•   CONCENTRAÇÃO
•   CICLO VITAL
•   RETICULÓCITOS
•   HEMOGLOBINA
•   ANISOCITOSE: MICROCITOSE E MACROCITOSE
ANEMIAS
• CAUSAS:
-BAIXO TEOR DE HEMOGLOBINA
-HEMORRAGIAS
-BAIXA PRODUÇÃO
-DESTRUIÇÃO EXCESSIVA

ANEMIA FALCIFORME
(Ac. Glutâmico GAA - Valina GUA)
ANEMIA ESFEROCÍTICA
LEUCÓCITOS
• GRANULÓCITOS:
BASÓFILOS, EOSINÓFILOS E NEUTRÓFILOS


• AGRANULÓCITOS:
MONÓCITOS E LINFÓCITOS

LEUCOCITOSE

LEUCOPENIA
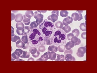
GRANULÓCITOS

            NEUTRÓFILOS
              (60-70%)

- INFECÇÕES BACTERIANAS

- GRÂNULOS:
  LISOZIMA E LACTOFERRINA
EOSINÓFILO
                          2-4%
PARASITOSES

PROCESSOS INFLAMATÓRIOS
Destruição do complexo antígeno-anticorpo em processos
alérgicos

GRÂNULOS ESPECÍFICOS COM ENZIMAS LISOSSÔMICAS

ACIDOFILIA: 50% DOS GRÂNULOS RICOS EM ARGININA
BASÓFILO
                  0,5-1%
 ALERGIAS

• RECEPTORES IgE

• GRÂNULOS:
 - HISTAMINA
 - ECF-A
- Heparina
- FATOR QUIMIOTÁTICO PARA NEUTRÓFILOS
AGRANULÓCITOS
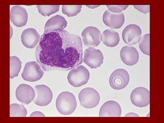
                        LINFÓCITOS

CICLO DE VIDA:     VARIÁVEL (DIAS-ANOS)


                        TIPOS: LT E LB

LTC - CITOTÓXICO                   LB         PLASMÓCITO
LTH - HELPER
LTS - SUPRESSOR
LTNK – NATURAL KILLER                     IMUNOGLOBULINAS
MONÓCITOS
SISTEMA MONONUCLEAR FAGOCITÁRIO



NÚCLEO EM FORMA DE FERRADURA
CITOPLASMA BASÓFILO
SUPERFÍCIE IRREGULA
PLAQUETAS
               400-200 MIL/MICROLITRO

• ORIGEM

• MORFOLOGIA
 GRÂNULOS CONTENDO ATP, ADP, SEROTONINA, ENZIMAS
 LISOSSÔMICAS, FIBRINOGÊNIO, FATOR DE CRESCIMENTO
 PLAQUETÁRIO,...


• CICLO DE VIDA: 10 dias

• FUNÇÃO
 COAGULAÇÃO, MITOSES NO MÚSCULO LISO, CONTRAÇÃO
 MUSCULAR, CICATRIZAÇÃO,
MEGACARIÓCITO
Sangue pdf

Sangue pdf

  • 1.
  • 2.
    SANGUE • TÉCNICA HISTOLÓGICA MISTURA DE ROMANOWSKY GIEMSA, LEISHMAN, WRIGHT... -AZUL DE METILENO -EOSINA -AZURES
  • 4.
  • 5.
    COMPOSIÇÃO • COMPOSTOS ORGÂNICOS: VITAMINAS,HORMÔNIOS, FATORES DE CRESCIMENTO, ... • SAIS MINERAIS • ÁGUA • PROTEÍNAS: FIBRINOGÊNIO, ALBUMINAS,...
  • 6.
    Plasma HEMATÓCRITO 1% Leucócitos Eritrócitos
  • 7.
    ERITRÓCITOS • MORFOLOGIA • FUNÇÃO • CONCENTRAÇÃO • CICLO VITAL • RETICULÓCITOS • HEMOGLOBINA • ANISOCITOSE: MICROCITOSE E MACROCITOSE
  • 9.
    ANEMIAS • CAUSAS: -BAIXO TEORDE HEMOGLOBINA -HEMORRAGIAS -BAIXA PRODUÇÃO -DESTRUIÇÃO EXCESSIVA ANEMIA FALCIFORME (Ac. Glutâmico GAA - Valina GUA) ANEMIA ESFEROCÍTICA
  • 11.
    LEUCÓCITOS • GRANULÓCITOS: BASÓFILOS, EOSINÓFILOSE NEUTRÓFILOS • AGRANULÓCITOS: MONÓCITOS E LINFÓCITOS LEUCOCITOSE LEUCOPENIA
  • 14.
    GRANULÓCITOS NEUTRÓFILOS (60-70%) - INFECÇÕES BACTERIANAS - GRÂNULOS: LISOZIMA E LACTOFERRINA
  • 16.
    EOSINÓFILO 2-4% PARASITOSES PROCESSOS INFLAMATÓRIOS Destruição do complexo antígeno-anticorpo em processos alérgicos GRÂNULOS ESPECÍFICOS COM ENZIMAS LISOSSÔMICAS ACIDOFILIA: 50% DOS GRÂNULOS RICOS EM ARGININA
  • 18.
    BASÓFILO 0,5-1% ALERGIAS • RECEPTORES IgE • GRÂNULOS: - HISTAMINA - ECF-A - Heparina - FATOR QUIMIOTÁTICO PARA NEUTRÓFILOS
  • 21.
    AGRANULÓCITOS LINFÓCITOS CICLO DE VIDA: VARIÁVEL (DIAS-ANOS) TIPOS: LT E LB LTC - CITOTÓXICO LB PLASMÓCITO LTH - HELPER LTS - SUPRESSOR LTNK – NATURAL KILLER IMUNOGLOBULINAS
  • 23.
    MONÓCITOS SISTEMA MONONUCLEAR FAGOCITÁRIO NÚCLEOEM FORMA DE FERRADURA CITOPLASMA BASÓFILO SUPERFÍCIE IRREGULA
  • 25.
    PLAQUETAS 400-200 MIL/MICROLITRO • ORIGEM • MORFOLOGIA GRÂNULOS CONTENDO ATP, ADP, SEROTONINA, ENZIMAS LISOSSÔMICAS, FIBRINOGÊNIO, FATOR DE CRESCIMENTO PLAQUETÁRIO,... • CICLO DE VIDA: 10 dias • FUNÇÃO COAGULAÇÃO, MITOSES NO MÚSCULO LISO, CONTRAÇÃO MUSCULAR, CICATRIZAÇÃO,
  • 27.