CAMPANHAS DE PREVENÇÃO
DO CÂNCER BUCAL
Exame Clínico
Descrição de Lesões
Faculdade de Odontologia
PPG Patologia Bucal
ORGANIZAÇÃO
São as formas como se manifestam
clinicamente os processos patológicos.
BASCONES, Tratado de Odontologia (Tomo III), 1998
TOMMASI, Diagnóstico em patologia bucal, 1982
BORAKS, Diagnóstico bucal, 2001
LESÕES FUNDAMENTAIS
Planas ou Elevadas
- Mácula/Mancha
- Placa
- Pápula
- Nódulo
 De Conteúdo Líquido
- Vesícula
- Bolha
- Pústula
 Com Perda de Substância
- Erosão
- Úlcera
BASCONES, Tratado de Odontología (Tomo III), 1998
TOMMASI, Diagnóstico em patologia bucal, 1982
BORAKS, Diagnóstico bucal, 2001
Essa classificação leva
em conta o aspecto
clínico predominante da
lesão.
* Nesta primeira parte da
apresentação será dada ênfase a
classificação das lesões com relação
à lesão fundamendal. Na segunda
parte será enfocada a descrição das
lesões de uma forma geral.
Planas ou Elevadas
- Mácula/Mancha
- Placa
- Pápula
- Nódulo
 De Conteúdo Líquido
- Vesícula
- Bolha
- Pústula
 Com Perda de Substância
- Erosão
- Úlcera
Alteração de coloração da mucosa, sem
elevação em relação aos tecidos normais.
BASCONES, Tratado de Odontología (Tomo III), 1998
TOMMASI, Diagnóstico em patologia bucal, 1982
BORAKS, Diagnóstico bucal, 2001
Tecido
Epitelial
Tecido
Conjuntivo
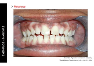
Hatch C.L. Pigmented lesions of the oral cavity.
Dental Clinics of North America, n.3, p. 185-201, 2005.
 Melanose
EXEMPLOS
–
MANCHAS
Neville et al. (2004)
 Nevus
EXEMPLOS
–
MANCHAS
Planas ou Elevadas
- Mácula/Mancha
- Placa
- Pápula
- Nódulo
 De Conteúdo Líquido
- Vesícula
- Bolha
- Pústula
 Com Perda de Substância
- Erosão
- Úlcera
Lesão elevada em relação à mucosa, bem
delimitada, podendo apresentar superfície lisa
ou rugosa. A lesão é maior em extensão do
que em altura
BASCONES, Tratado de Odontología (Tomo III), 1998
TOMMASI, Diagnóstico em patologia bucal, 1982
BORAKS, Diagnóstico bucal, 2001
Estomatologia - HCPA
Identifique as lesões antes de passar a
próxima imagem
EXEMPLOS
–
LESÕES
EM
PLACA
Estomatologia - HCPA
ATENÇÃO!
Provavelmente uma lesão traumática
devido ao molar com cúspide pontiaguda
Lesão fundamental: erosão
Grânulos de
fordyce
(dentro do círculo)
Papila
parotídea
ATENÇÃO!
Lesão branca (placa) com áreas vermelhas
(erosivas) - lesão fundamental: placa com
áreas erosivas.
Diagnóstico clínico: líquen plano (biópsia
sugerida para confirmação)
Estomatologia - HCPA
EXEMPLOS
–
LESÕES
EM
PLACA
Superfície pregueada
Planas ou Elevadas
- Mácula/Mancha
- Placa
- Pápula
- Nódulo
 De Conteúdo Líquido
- Vesícula
- Bolha
- Pústula
 Com Perda de Substância
- Erosão
- Úlcera
Pequena lesão sólida (até 5mm) elevada em
relação à mucosa, arredondada ou oval,
podendo ser achatada ou pontiaguda.
BASCONES, Tratado de Odontología (Tomo III), 1998
TOMMASI, Diagnóstico em patologia bucal, 1982
BORAKS, Diagnóstico bucal, 2001
Estomatologia - HCPA
EXEMPLOS
–
LESÕES
PAPULARES
(PÀPULAS)
Planas ou Elevadas
- Mácula/Mancha
- Placa
- Pápula
- Nódulo
 De Conteúdo Líquido
- Vesícula
- Bolha
- Pústula
 Com Perda de Substância
- Erosão
- Úlcera
Lesão sólida e circunscrita, maior tamanho
(mais do que 5mm). Localização profunda ou
superficial que pode ulcerar.
BASCONES, Tratado de Odontología (Tomo III), 1998
TOMMASI, Diagnóstico em patologia bucal, 1982
BORAKS, Diagnóstico bucal, 2001
Algumas vezes, nódulos ou pápulas só são percebidos quando se faz palpação.
Nesses casos, as lesões são descritas como submucosas, e não como sésseis ou
pediculas.
Outras vezes, percebe-se uma lesão com limites pouco definidos, provocando
expansão (lesões intra-ósseas). Nessa situação a lesão é descrita como um “aumento
de volume” ou “aumento volumétrico”.
Estomatologia - HCPA
EXEMPLOS
–
LESÕES
NODULARES
(NÓDULOS)
Estomatologia - HCPA
EXEMPLOS
–
LESÕES
NODULARES
(NÓDULOS)
Nódulo séssil
Grânulos de
fordyce
(dentro da elipse)
Estomatologia - HCPA
EXEMPLOS
–
LESÕES
VESICO-BOLHOSAS
Estomatologia - HCPA
EXEMPLOS
–
LESÕES
NODULARES
(NÓDULOS)
Áreas erosivas
(avermelhadas)
Coloração igual a
da mucosa normal
Estomatologia - HCPA
EXEMPLOS
–
LESÕES
VESICO-BOLHOSAS
Planas ou Elevadas
Mácula/Mancha
Placa
Pápula
Nódulo
 De Conteúdo Líquido
Vesícula
Bolha
Pústula
 Com Perda de Substância
Erosão
Úlcera
Pequena elevação da mucosa (2 a 5mm) que
contém líquido em seu interior. Pode ser uma
lesão única ou múltipla.
BASCONES, Tratado de Odontología (Tomo III), 1998
TOMMASI, Diagnóstico em patologia bucal, 1982
BORAKS, Diagnóstico bucal, 2001
Estomatologia - HCPA
EXEMPLOS
–
LESÕES
VESICO-BOLHOSAS
Estomatologia - HCPA
EXEMPLOS
–
LESÕES
VESICO-BOLHOSAS
As lesões são vesículas, mas em algumas áreas
está se formando crosta (“casca”) - setas
Panarício herpético
Neville et al. (2004)
EXEMPLOS
–
LESÕES
VESICO-BOLHOSAS
Planas ou Elevadas
Mácula/Mancha
Placa
Pápula
Nódulo
 De Conteúdo Líquido
Vesícula
Bolha
Pústula
 Com Perda de Substância
Erosão
Úlcera
Lesão de maior tamanho (mais do que 5mm).
Pode ser superficial ou profunda.
BASCONES, Tratado de Odontología (Tomo III), 1998
TOMMASI, Diagnóstico em patologia bucal, 1982
BORAKS, Diagnóstico bucal, 2001
Neville et al. (2004)
EXEMPLOS
–
LESÕES
BOLHOSAS
Ao toque (palpação) percebe-se que o
conteúdo é líquido.
EXEMPLOS
–
LESÕES
BOLHOSAS
Planas ou Elevadas
- Mácula/Mancha
- Placa
- Pápula
- Nódulo
 De Conteúdo Líquido
- Vesícula
- Bolha
- Pústula
 Com Perda de Substância
- Erosão
- Úlcera
Vesícula ou bolha com supuração no seu
interior.
BASCONES, Tratado de Odontología (Tomo III), 1998
TOMMASI, Diagnóstico em patologia bucal, 1982
BORAKS, Diagnóstico bucal, 2001
Planas ou Elevadas
Mácula/Mancha
Placa
Pápula
Nódulo
 De Conteúdo Líquido
Vesícula
Bolha
Pústula
 Com Perda de Substância
Erosão
Úlcera
É a perda parcial do epitélio, sem o
comprometimento da camada basal e sem
exposição do tecido conjuntivo.
BASCONES, Tratado de Odontología (Tomo III), 1998
TOMMASI, Diagnóstico em patologia bucal, 1982
BORAKS, Diagnóstico bucal, 2001
EXEMPLOS
–
LESÕES
EROSIVAS
ATENÇÃO: o halo esbranquiçado deve ser
valorizado na descrição, pois sugere o
diagnóstico clínico de língua geográfica.
EXEMPLOS
–
LESÕES
EROSIVAS
ATENÇÃO: áreas de úlcera (setas)
Planas ou Elevadas
Mácula/Mancha
Placa
Pápula
Nódulo
 De Conteúdo Líquido
Vesícula
Bolha
Pústula
 Com Perda de Substância
Erosão
Úlcera
Destruição do epitélio com a exposição do
tecido conjuntivo. Forma e tamanho variado,
bordas elevadas ou afiladas e fundo contendo
fibrina.
BASCONES, Tratado de Odontología (Tomo III), 1998
TOMMASI, Diagnóstico em patologia bucal, 1982
BORAKS, Diagnóstico bucal, 2001
EXEMPLOS
–
LESÕES
ULCERADAS
EXEMPLOS
–
LESÕES
ULCERADAS
EXEMPLOS
–
LESÕES
ULCERADAS
Forma
mancha, placa, pápula,
nódulo, vesícula, bolha,
erosão, úlcera, aumento de volume
Localização (desenhar)
assoalho, lábio, vermelhão do lábio,
lado D, lado E, rebordo alveolar
(região do dente...)
Superfície
lisa, rugosa, papilomatosa...
Cor
branca, avermelhada, vinhosa,
castanha, “igual a da mucosa
normal”
Descrição das Lesões (Exemplos na seqüência)
Tamanho (desenhar fielmente ao que se vê)
estimar em mm ou cm
Base (relevante quando se trata de nódulo ou
pápula)
séssil ou pediculada
Consistência
”igual da da mucosa normal”, fibrosa, óssea,
amolecida, flutuante...
Contorno (limites da lesão)
irregular, nítido
• Em mucosa labial inferior do lado direito nota-
se mancha enegrecida (ou negra), única, bem
delimitada, com superfície lisa e que mede
aproximadamente 10 x 8 mm em seus maiores
diâmetros.
Diagnóstico clínico:
Tatuagem por amálgama
MODELO 1 - Descrição
MODELO 2
MODELO 2
Lesão fundamental: pápula
Localização: ápice lingual
Quantidade: única
Tamanho: 5mm X 5 mm
Borda: bem delimitada
Cor: branca
Base: séssil
Aspecto superficial: papilomatosa
Diagnóstico clínico:
Papiloma
• Em ápice lingual nota-se pápula, esbranquiçada,
única, bem delimitada, com base séssil, superfície
papilomatosa e que mede aproximadamente 5 mm x
5 mm em seus maiores diâmetros.
MODELO 2 - Descrição
Descreva os próximos casos para exercitar.
Olhe a imagem, descreva e depois passe adiante.
Utilize os modelos e o roteiro abaixo:
• Lesão fundamental:
• Localização:
• Quantidade:
• Tamanho (mm):
• Borda:
• Cor:
• Base:
• Aspecto superficial:
Caso
3
• Lesão fundamental: mancha
• Localização: vermelhão de lábio
• Quantidade: única
• Tamanho: 7mm X 5 mm
• Borda: bem delimitada
• Cor: enegrecida
• Base: séssil
• Aspecto superficial: lisa
Caso
3
• Em transição entre pele e vermelhão de lábio inferior
do lado esquerdo nota-se mancha enegrecida, única,
bem delimitada, com base séssil, superfície lisa e que
mede aproximadamente 7,0 x 5,0 mm em seus
maiores diâmetros.
CASO 3 - Descrição
Caso
4
• Lesão fundamental: mancha
• Localização: dorso lingual
• Quantidade: múltiplas
• Tamanho: 3cm X 3 cm (a maior)
• Borda: mal delimitada
• Cor: predominantemente branca,
porém parte delas apresentam
halo eritematoso
• Base: séssil
• Aspecto superficial: verrucosa/estriada
Caso
4
Em dorso lingual nota-se manchas múltiplas,
predominantemente branca, porém parte delas
apresentam halo eritematoso, bem delimitada, com
base séssil, superfície heterogênea com presença de
estrias brancas e que mede a maior
aproximadamente 3,0 x 3,0 cm.
CASO 4 - Descrição
Caso
5
• Lesão fundamental: placa
• Localização: rebordo alveolar superior esquerdo
• Quantidade: única
• Tamanho: 1,5 cm x 0,8 cm
• Borda: bem delimitada
• Cor: branca
• Base: séssil
• Aspecto superficial: verrucosa
Caso
5
• Em rebordo alveolar superior esquerdo, sob área
chapeável da prótese total, nota-se placa
esbranquiçada, única, bem delimitada, com base
séssil, superfície verrucosa e que mede
aproximadamente 1,5 x 0,8 cm em seus maiores
diâmetros.
CASO 5 - Descrição
Caso
6
• Lesão fundamental: nódulo vegetante
• Localização: Mucosa jugal do lado esquerdo retro-
comissural
• Quantidade: única
• Tamanho: 5,0 x 3,0 mm
• Borda: bem delimitada
• Cor: rosa claro
• Base: séssil
• Aspecto superficial: lisa
Caso
6
• Em mucosa jugal do lado esquerdo, retro-comissural,
nota-se nódulo vegetante, único, de coloração rosa
claro, bem delimitada, com base séssil, superfície
lisa e que mede aproximadamente 5,0 x 3,0 mm em
seus maiores diâmetros.
CASO 6 - Descrição
Caso
7
• Lesão fundamental: nódulo
• Localização: mucosa gengival inferior
• Quantidade: única
• Tamanho: 2,0 cm x 1,0 cm
• Borda: bem delimitada
• Cor: rósea com áreas
• avermelhadas
• Base: Pediculada
• Aspecto superficial: lobulado
Caso
7
• Em mucosa gengival inferior, nota-se nódulo
vegetante, de base pediculada, superfície lobulada,
única, coloração rosa claro com áreas avermelhadas e
que mede aproximadamente 2,0 x 1,0 cm em seus
maiores diâmtros.
CASO 7 - Descrição
Caso
8
• Lesão fundamental: úlcera
• Localização: mucosa labial inferior
• Quantidade: múltiplas
• Tamanho da maior: 5,0 x 5,0 mm
• Borda: bem delimitada
• Cor: branca
• Base: séssil
• Aspecto superficial: lisa
Caso
8
• Em mucosa labial inferior nota-se múltiplas
ulcerações dolorosas, recobertas por pseudo-
membrana esbranquiçada, bem delimitadas, com
base séssil, superfície lisa e que medem
aproximadamente a maior 5,0 x 5,0 mm em seus
maiores diâmetros.
CASO 8 - Descrição
Caso
9
• Lesão fundamental: Nódulo ou aumento volumétrico tecidual
• Localização: Palato duro
• Quantidade: única
• Tamanho: 2,0 cm x 1,5 cm
• Borda: bem delimitada
• Cor: rosa claro com áreas avermelhadas
• Base: séssil
• Aspecto superficial: Lisa
Caso
9
• Em mucosa de palato duro nota-se aumento
volumétrico tecidual (nódulo vegetante), único, de
coloração rosa claro com áreas avermelhadas, única,
bem delimitada, com base séssil, com superfície lisa
e que mede aproximadamente 2,0cm x 1,5 cm.
CASO 9 - Descrição
Caso
10
• Lesão fundamental: vesículas
• Localização: Vermelhão de lábio e pele Labial
• Quantidade: múltiplas
• Tamanho: 1cm x 1cm
• Borda: bem delimitada
• Cor: Levemente avermalhada
• Base: séssil
• Aspecto superficial: lisa/bolhosa
Caso
10
• Em vermelhão de lábio superior (ou mucosa de
transição), no limite entre pele e mucosa, nota-se
múltiplas vesículas, de coloração empalhidecida, bem
delimitada, com base séssil, com superfície lisa que
mede a maior aproximadamente 1 cm x 1cm em seus
maiores diamêtros
CASO 10 - Descrição
Caso
11
• Lesão fundamental: erosão e placa
• Localização: dorso lingual
• Quantidade: dupla
• Tamanho:
L1=6,0 x 3,0 cm
L2=3,0 x 2,0 cm
• Borda: bem delimitada
• Cor: vermelha e branca
• Base: séssil
• Aspecto superficial:
L1=lisa, L2= papilomatosa
Caso
11
L1
L2
• L1- Em dorso lingual nota-se duas lesões, sendo uma área
erosiva do lado esquerdo, onde observa-se um apagamento da
papilas linguais, com discreta sintomatologia dolorosa, de
coloração vermelha, superfície lisa e com aproximadamente
6,0 cm x 3,0 cm em seus maiores diâmetros..
• L2- Placa esbranquiçada assintomática,
destacável a raspagem e medindo
aproximadamente 3,0 cm x 2,0 cm
em seus maiores diâmetros.
CASO 11 - Descrição
Caso
12
• Lesão fundamental: úlcera
• Localização: mucosa jugal
direita
• Quantidade: múltiplas
• Tamanho: 3 cm x 2 cm
• Borda: bem delimitada
• Cor: branca e avermelhada
Caso
12
• Em mucosa jugal direita nota-se lesão ulcerada,
esbranquiçada, única, situada em ápice lingual, bem
delimitada, com base séssil, com superfície lisa e que
mede aproximadamente 3,0 cm x 2,0 cm.
CASO 12 - Descrição
Caso
13
• Lesão fundamental: Nódulo pediculado (com
superfície ulcerada)
• Localização: Mucosa gengival inferior do lado
esquerdor
• Quantidade: única
• Tamanho (mm): 2,0 cm x 1,5 cm
• Borda: bem delimitada
• Cor: esbranquiçada
• Base: séssil
• Aspecto superficial: lobulada
Caso
13
• Em mucosa labial inferior nota-se nódulo vegetante
pediculado, esbranquiçado, único, bem delimitado,
com base de implantação na mucosa pediculada,
superfície ulcerada e que mede aprox. 2,0 cm x 1,5
cm de diâmetro.
CASO 13 - Descrição
Caso
14
• Lesão fundamental: úlcera
• Localização: soalho bucal
• Quantidade: única
• Tamanho: 5,0 cm x 3,0 cm
• Borda: bem delimitada, elevada e
• endurecida
• e elevada
• Cor: branca
• Base: séssil
• Aspecto superficial: irregular
Caso
14
• Em soalho bucal nota-se lesão úlcero-vegetante,
esbranquiçada, única, bem delimitada, com base
séssil, superfície irregular e bordas elevadas que
mede aproximadamente 5,0 x 3,0 cm em seus
maiores diâmetros.
CASO 14 - Descrição
Caso
15
• Lesão fundamental: nódulo
• Localização: dorso de língua
• Quantidade: única
• Tamanho: 1,5 cm x 1,0 cm
• Borda: bem delimitada
• Cor: avermelhada
• Base: pediculada
• Aspecto superficial: lobulada
Caso
15
• Em dorso lingual do lado direito nota-se nódulo
vegetante, único, avermelhado, bem delimitado, com
base pediculada, superfície lobulada, medindo
aproximadamente 1,5 x 1,0 cm em seus maiores
diâmetros.
CASO 15 - Descrição

LESOES FUNDAMENTAIS.pdf

  • 1.
    CAMPANHAS DE PREVENÇÃO DOCÂNCER BUCAL Exame Clínico Descrição de Lesões Faculdade de Odontologia PPG Patologia Bucal ORGANIZAÇÃO
  • 2.
    São as formascomo se manifestam clinicamente os processos patológicos. BASCONES, Tratado de Odontologia (Tomo III), 1998 TOMMASI, Diagnóstico em patologia bucal, 1982 BORAKS, Diagnóstico bucal, 2001 LESÕES FUNDAMENTAIS
  • 3.
    Planas ou Elevadas -Mácula/Mancha - Placa - Pápula - Nódulo De Conteúdo Líquido - Vesícula - Bolha - Pústula Com Perda de Substância - Erosão - Úlcera BASCONES, Tratado de Odontología (Tomo III), 1998 TOMMASI, Diagnóstico em patologia bucal, 1982 BORAKS, Diagnóstico bucal, 2001 Essa classificação leva em conta o aspecto clínico predominante da lesão. * Nesta primeira parte da apresentação será dada ênfase a classificação das lesões com relação à lesão fundamendal. Na segunda parte será enfocada a descrição das lesões de uma forma geral.
  • 4.
    Planas ou Elevadas -Mácula/Mancha - Placa - Pápula - Nódulo De Conteúdo Líquido - Vesícula - Bolha - Pústula Com Perda de Substância - Erosão - Úlcera Alteração de coloração da mucosa, sem elevação em relação aos tecidos normais. BASCONES, Tratado de Odontología (Tomo III), 1998 TOMMASI, Diagnóstico em patologia bucal, 1982 BORAKS, Diagnóstico bucal, 2001 Tecido Epitelial Tecido Conjuntivo
  • 5.
    Hatch C.L. Pigmentedlesions of the oral cavity. Dental Clinics of North America, n.3, p. 185-201, 2005. Melanose EXEMPLOS – MANCHAS
  • 6.
    Neville et al.(2004) Nevus EXEMPLOS – MANCHAS
  • 7.
    Planas ou Elevadas -Mácula/Mancha - Placa - Pápula - Nódulo De Conteúdo Líquido - Vesícula - Bolha - Pústula Com Perda de Substância - Erosão - Úlcera Lesão elevada em relação à mucosa, bem delimitada, podendo apresentar superfície lisa ou rugosa. A lesão é maior em extensão do que em altura BASCONES, Tratado de Odontología (Tomo III), 1998 TOMMASI, Diagnóstico em patologia bucal, 1982 BORAKS, Diagnóstico bucal, 2001
  • 8.
    Estomatologia - HCPA Identifiqueas lesões antes de passar a próxima imagem EXEMPLOS – LESÕES EM PLACA
  • 9.
    Estomatologia - HCPA ATENÇÃO! Provavelmenteuma lesão traumática devido ao molar com cúspide pontiaguda Lesão fundamental: erosão Grânulos de fordyce (dentro do círculo) Papila parotídea ATENÇÃO! Lesão branca (placa) com áreas vermelhas (erosivas) - lesão fundamental: placa com áreas erosivas. Diagnóstico clínico: líquen plano (biópsia sugerida para confirmação)
  • 10.
  • 11.
    Planas ou Elevadas -Mácula/Mancha - Placa - Pápula - Nódulo De Conteúdo Líquido - Vesícula - Bolha - Pústula Com Perda de Substância - Erosão - Úlcera Pequena lesão sólida (até 5mm) elevada em relação à mucosa, arredondada ou oval, podendo ser achatada ou pontiaguda. BASCONES, Tratado de Odontología (Tomo III), 1998 TOMMASI, Diagnóstico em patologia bucal, 1982 BORAKS, Diagnóstico bucal, 2001
  • 12.
  • 13.
    Planas ou Elevadas -Mácula/Mancha - Placa - Pápula - Nódulo De Conteúdo Líquido - Vesícula - Bolha - Pústula Com Perda de Substância - Erosão - Úlcera Lesão sólida e circunscrita, maior tamanho (mais do que 5mm). Localização profunda ou superficial que pode ulcerar. BASCONES, Tratado de Odontología (Tomo III), 1998 TOMMASI, Diagnóstico em patologia bucal, 1982 BORAKS, Diagnóstico bucal, 2001
  • 14.
    Algumas vezes, nódulosou pápulas só são percebidos quando se faz palpação. Nesses casos, as lesões são descritas como submucosas, e não como sésseis ou pediculas. Outras vezes, percebe-se uma lesão com limites pouco definidos, provocando expansão (lesões intra-ósseas). Nessa situação a lesão é descrita como um “aumento de volume” ou “aumento volumétrico”.
  • 15.
  • 16.
    Estomatologia - HCPA EXEMPLOS – LESÕES NODULARES (NÓDULOS) Nóduloséssil Grânulos de fordyce (dentro da elipse)
  • 17.
  • 18.
    Estomatologia - HCPA EXEMPLOS – LESÕES NODULARES (NÓDULOS) Áreaserosivas (avermelhadas) Coloração igual a da mucosa normal
  • 19.
  • 20.
    Planas ou Elevadas Mácula/Mancha Placa Pápula Nódulo De Conteúdo Líquido Vesícula Bolha Pústula Com Perda de Substância Erosão Úlcera Pequena elevação da mucosa (2 a 5mm) que contém líquido em seu interior. Pode ser uma lesão única ou múltipla. BASCONES, Tratado de Odontología (Tomo III), 1998 TOMMASI, Diagnóstico em patologia bucal, 1982 BORAKS, Diagnóstico bucal, 2001
  • 21.
  • 22.
    Estomatologia - HCPA EXEMPLOS – LESÕES VESICO-BOLHOSAS Aslesões são vesículas, mas em algumas áreas está se formando crosta (“casca”) - setas
  • 23.
    Panarício herpético Neville etal. (2004) EXEMPLOS – LESÕES VESICO-BOLHOSAS
  • 24.
    Planas ou Elevadas Mácula/Mancha Placa Pápula Nódulo De Conteúdo Líquido Vesícula Bolha Pústula Com Perda de Substância Erosão Úlcera Lesão de maior tamanho (mais do que 5mm). Pode ser superficial ou profunda. BASCONES, Tratado de Odontología (Tomo III), 1998 TOMMASI, Diagnóstico em patologia bucal, 1982 BORAKS, Diagnóstico bucal, 2001
  • 25.
    Neville et al.(2004) EXEMPLOS – LESÕES BOLHOSAS Ao toque (palpação) percebe-se que o conteúdo é líquido.
  • 26.
  • 27.
    Planas ou Elevadas -Mácula/Mancha - Placa - Pápula - Nódulo De Conteúdo Líquido - Vesícula - Bolha - Pústula Com Perda de Substância - Erosão - Úlcera Vesícula ou bolha com supuração no seu interior. BASCONES, Tratado de Odontología (Tomo III), 1998 TOMMASI, Diagnóstico em patologia bucal, 1982 BORAKS, Diagnóstico bucal, 2001
  • 28.
    Planas ou Elevadas Mácula/Mancha Placa Pápula Nódulo De Conteúdo Líquido Vesícula Bolha Pústula Com Perda de Substância Erosão Úlcera É a perda parcial do epitélio, sem o comprometimento da camada basal e sem exposição do tecido conjuntivo. BASCONES, Tratado de Odontología (Tomo III), 1998 TOMMASI, Diagnóstico em patologia bucal, 1982 BORAKS, Diagnóstico bucal, 2001
  • 29.
    EXEMPLOS – LESÕES EROSIVAS ATENÇÃO: o haloesbranquiçado deve ser valorizado na descrição, pois sugere o diagnóstico clínico de língua geográfica.
  • 30.
  • 31.
    Planas ou Elevadas Mácula/Mancha Placa Pápula Nódulo De Conteúdo Líquido Vesícula Bolha Pústula Com Perda de Substância Erosão Úlcera Destruição do epitélio com a exposição do tecido conjuntivo. Forma e tamanho variado, bordas elevadas ou afiladas e fundo contendo fibrina. BASCONES, Tratado de Odontología (Tomo III), 1998 TOMMASI, Diagnóstico em patologia bucal, 1982 BORAKS, Diagnóstico bucal, 2001
  • 32.
  • 33.
  • 34.
  • 35.
    Forma mancha, placa, pápula, nódulo,vesícula, bolha, erosão, úlcera, aumento de volume Localização (desenhar) assoalho, lábio, vermelhão do lábio, lado D, lado E, rebordo alveolar (região do dente...) Superfície lisa, rugosa, papilomatosa... Cor branca, avermelhada, vinhosa, castanha, “igual a da mucosa normal” Descrição das Lesões (Exemplos na seqüência) Tamanho (desenhar fielmente ao que se vê) estimar em mm ou cm Base (relevante quando se trata de nódulo ou pápula) séssil ou pediculada Consistência ”igual da da mucosa normal”, fibrosa, óssea, amolecida, flutuante... Contorno (limites da lesão) irregular, nítido
  • 36.
    • Em mucosalabial inferior do lado direito nota- se mancha enegrecida (ou negra), única, bem delimitada, com superfície lisa e que mede aproximadamente 10 x 8 mm em seus maiores diâmetros. Diagnóstico clínico: Tatuagem por amálgama MODELO 1 - Descrição
  • 37.
  • 38.
    MODELO 2 Lesão fundamental:pápula Localização: ápice lingual Quantidade: única Tamanho: 5mm X 5 mm Borda: bem delimitada Cor: branca Base: séssil Aspecto superficial: papilomatosa Diagnóstico clínico: Papiloma
  • 39.
    • Em ápicelingual nota-se pápula, esbranquiçada, única, bem delimitada, com base séssil, superfície papilomatosa e que mede aproximadamente 5 mm x 5 mm em seus maiores diâmetros. MODELO 2 - Descrição
  • 40.
    Descreva os próximoscasos para exercitar. Olhe a imagem, descreva e depois passe adiante. Utilize os modelos e o roteiro abaixo: • Lesão fundamental: • Localização: • Quantidade: • Tamanho (mm): • Borda: • Cor: • Base: • Aspecto superficial:
  • 41.
  • 42.
    • Lesão fundamental:mancha • Localização: vermelhão de lábio • Quantidade: única • Tamanho: 7mm X 5 mm • Borda: bem delimitada • Cor: enegrecida • Base: séssil • Aspecto superficial: lisa Caso 3
  • 43.
    • Em transiçãoentre pele e vermelhão de lábio inferior do lado esquerdo nota-se mancha enegrecida, única, bem delimitada, com base séssil, superfície lisa e que mede aproximadamente 7,0 x 5,0 mm em seus maiores diâmetros. CASO 3 - Descrição
  • 44.
  • 45.
    • Lesão fundamental:mancha • Localização: dorso lingual • Quantidade: múltiplas • Tamanho: 3cm X 3 cm (a maior) • Borda: mal delimitada • Cor: predominantemente branca, porém parte delas apresentam halo eritematoso • Base: séssil • Aspecto superficial: verrucosa/estriada Caso 4
  • 46.
    Em dorso lingualnota-se manchas múltiplas, predominantemente branca, porém parte delas apresentam halo eritematoso, bem delimitada, com base séssil, superfície heterogênea com presença de estrias brancas e que mede a maior aproximadamente 3,0 x 3,0 cm. CASO 4 - Descrição
  • 47.
  • 48.
    • Lesão fundamental:placa • Localização: rebordo alveolar superior esquerdo • Quantidade: única • Tamanho: 1,5 cm x 0,8 cm • Borda: bem delimitada • Cor: branca • Base: séssil • Aspecto superficial: verrucosa Caso 5
  • 49.
    • Em rebordoalveolar superior esquerdo, sob área chapeável da prótese total, nota-se placa esbranquiçada, única, bem delimitada, com base séssil, superfície verrucosa e que mede aproximadamente 1,5 x 0,8 cm em seus maiores diâmetros. CASO 5 - Descrição
  • 50.
  • 51.
    • Lesão fundamental:nódulo vegetante • Localização: Mucosa jugal do lado esquerdo retro- comissural • Quantidade: única • Tamanho: 5,0 x 3,0 mm • Borda: bem delimitada • Cor: rosa claro • Base: séssil • Aspecto superficial: lisa Caso 6
  • 52.
    • Em mucosajugal do lado esquerdo, retro-comissural, nota-se nódulo vegetante, único, de coloração rosa claro, bem delimitada, com base séssil, superfície lisa e que mede aproximadamente 5,0 x 3,0 mm em seus maiores diâmetros. CASO 6 - Descrição
  • 53.
  • 54.
    • Lesão fundamental:nódulo • Localização: mucosa gengival inferior • Quantidade: única • Tamanho: 2,0 cm x 1,0 cm • Borda: bem delimitada • Cor: rósea com áreas • avermelhadas • Base: Pediculada • Aspecto superficial: lobulado Caso 7
  • 55.
    • Em mucosagengival inferior, nota-se nódulo vegetante, de base pediculada, superfície lobulada, única, coloração rosa claro com áreas avermelhadas e que mede aproximadamente 2,0 x 1,0 cm em seus maiores diâmtros. CASO 7 - Descrição
  • 56.
  • 57.
    • Lesão fundamental:úlcera • Localização: mucosa labial inferior • Quantidade: múltiplas • Tamanho da maior: 5,0 x 5,0 mm • Borda: bem delimitada • Cor: branca • Base: séssil • Aspecto superficial: lisa Caso 8
  • 58.
    • Em mucosalabial inferior nota-se múltiplas ulcerações dolorosas, recobertas por pseudo- membrana esbranquiçada, bem delimitadas, com base séssil, superfície lisa e que medem aproximadamente a maior 5,0 x 5,0 mm em seus maiores diâmetros. CASO 8 - Descrição
  • 59.
  • 60.
    • Lesão fundamental:Nódulo ou aumento volumétrico tecidual • Localização: Palato duro • Quantidade: única • Tamanho: 2,0 cm x 1,5 cm • Borda: bem delimitada • Cor: rosa claro com áreas avermelhadas • Base: séssil • Aspecto superficial: Lisa Caso 9
  • 61.
    • Em mucosade palato duro nota-se aumento volumétrico tecidual (nódulo vegetante), único, de coloração rosa claro com áreas avermelhadas, única, bem delimitada, com base séssil, com superfície lisa e que mede aproximadamente 2,0cm x 1,5 cm. CASO 9 - Descrição
  • 62.
  • 63.
    • Lesão fundamental:vesículas • Localização: Vermelhão de lábio e pele Labial • Quantidade: múltiplas • Tamanho: 1cm x 1cm • Borda: bem delimitada • Cor: Levemente avermalhada • Base: séssil • Aspecto superficial: lisa/bolhosa Caso 10
  • 64.
    • Em vermelhãode lábio superior (ou mucosa de transição), no limite entre pele e mucosa, nota-se múltiplas vesículas, de coloração empalhidecida, bem delimitada, com base séssil, com superfície lisa que mede a maior aproximadamente 1 cm x 1cm em seus maiores diamêtros CASO 10 - Descrição
  • 65.
  • 66.
    • Lesão fundamental:erosão e placa • Localização: dorso lingual • Quantidade: dupla • Tamanho: L1=6,0 x 3,0 cm L2=3,0 x 2,0 cm • Borda: bem delimitada • Cor: vermelha e branca • Base: séssil • Aspecto superficial: L1=lisa, L2= papilomatosa Caso 11 L1 L2
  • 67.
    • L1- Emdorso lingual nota-se duas lesões, sendo uma área erosiva do lado esquerdo, onde observa-se um apagamento da papilas linguais, com discreta sintomatologia dolorosa, de coloração vermelha, superfície lisa e com aproximadamente 6,0 cm x 3,0 cm em seus maiores diâmetros.. • L2- Placa esbranquiçada assintomática, destacável a raspagem e medindo aproximadamente 3,0 cm x 2,0 cm em seus maiores diâmetros. CASO 11 - Descrição
  • 68.
  • 69.
    • Lesão fundamental:úlcera • Localização: mucosa jugal direita • Quantidade: múltiplas • Tamanho: 3 cm x 2 cm • Borda: bem delimitada • Cor: branca e avermelhada Caso 12
  • 70.
    • Em mucosajugal direita nota-se lesão ulcerada, esbranquiçada, única, situada em ápice lingual, bem delimitada, com base séssil, com superfície lisa e que mede aproximadamente 3,0 cm x 2,0 cm. CASO 12 - Descrição
  • 71.
  • 72.
    • Lesão fundamental:Nódulo pediculado (com superfície ulcerada) • Localização: Mucosa gengival inferior do lado esquerdor • Quantidade: única • Tamanho (mm): 2,0 cm x 1,5 cm • Borda: bem delimitada • Cor: esbranquiçada • Base: séssil • Aspecto superficial: lobulada Caso 13
  • 73.
    • Em mucosalabial inferior nota-se nódulo vegetante pediculado, esbranquiçado, único, bem delimitado, com base de implantação na mucosa pediculada, superfície ulcerada e que mede aprox. 2,0 cm x 1,5 cm de diâmetro. CASO 13 - Descrição
  • 74.
  • 75.
    • Lesão fundamental:úlcera • Localização: soalho bucal • Quantidade: única • Tamanho: 5,0 cm x 3,0 cm • Borda: bem delimitada, elevada e • endurecida • e elevada • Cor: branca • Base: séssil • Aspecto superficial: irregular Caso 14
  • 76.
    • Em soalhobucal nota-se lesão úlcero-vegetante, esbranquiçada, única, bem delimitada, com base séssil, superfície irregular e bordas elevadas que mede aproximadamente 5,0 x 3,0 cm em seus maiores diâmetros. CASO 14 - Descrição
  • 77.
  • 78.
    • Lesão fundamental:nódulo • Localização: dorso de língua • Quantidade: única • Tamanho: 1,5 cm x 1,0 cm • Borda: bem delimitada • Cor: avermelhada • Base: pediculada • Aspecto superficial: lobulada Caso 15
  • 79.
    • Em dorsolingual do lado direito nota-se nódulo vegetante, único, avermelhado, bem delimitado, com base pediculada, superfície lobulada, medindo aproximadamente 1,5 x 1,0 cm em seus maiores diâmetros. CASO 15 - Descrição