PATOLOGIA BUCAL E
PATOLOGIA BUCAL E
ESTOMATOLOGIA
ESTOMATOLOGIA
Introdução
Introdução
 Patologia
Patologia – Conceito: A palavra
– Conceito: A palavra
Patologia
Patologia significa o estudo das doenças
significa o estudo das doenças
 Objetivo do estudo desta especialidade:
Objetivo do estudo desta especialidade:
habilitar o profissional a reconhecer os
habilitar o profissional a reconhecer os
sinais de reparo local, as patologias
sinais de reparo local, as patologias
bucais e peribucais mais freqüentes e
bucais e peribucais mais freqüentes e
suas possíveis seqüelas
suas possíveis seqüelas
Introdução
Introdução
 Estomatologia
Estomatologia (Diagnóstico Bucal,
(Diagnóstico Bucal,
Diagnóstico Oral, Medicina Bucal e
Diagnóstico Oral, Medicina Bucal e
Semiologia) há que se pensar em
Semiologia) há que se pensar em
um
um novo conceito de equipe em
novo conceito de equipe em
saúde bucal
saúde bucal, com um
, com um
desenvolvimento e uma
desenvolvimento e uma
disseminação do conhecimento
disseminação do conhecimento
para todos os que a compõem.
para todos os que a compõem.
Introdução
Introdução
 Uma das habilidades a ser desenvolvida
Uma das habilidades a ser desenvolvida
pelo pessoal auxiliar em saúde bucal é:
pelo pessoal auxiliar em saúde bucal é:
“reconhecer os indivíduos com sinais
“reconhecer os indivíduos com sinais
e sintomas de doenças bucais e
e sintomas de doenças bucais e
encaminhar para o atendimento
encaminhar para o atendimento
clínico”
clínico”. Na formação do Técnico em
. Na formação do Técnico em
Higiene Dental, faz parte das suas
Higiene Dental, faz parte das suas
atribuições a identificação das
atribuições a identificação das
estruturas normais e alteradas da boca.
estruturas normais e alteradas da boca.
Introdução
Introdução
 Mesmo que o
Mesmo que o diagnóstico seja
diagnóstico seja
uma atribuição exclusiva do
uma atribuição exclusiva do
Cirurgião-Dentista
Cirurgião-Dentista, a
, a
observação
observação das alterações
das alterações
patológicas da boca pode e
patológicas da boca pode e
deve ser feita por todos os
deve ser feita por todos os
que a “examinam”
que a “examinam”
Participação do ASB/TSB na
Participação do ASB/TSB na
Estomatologia
Estomatologia
 Combate a doenças
Combate a doenças como o câncer,
como o câncer,
a AIDS, as doenças auto-imunes e
a AIDS, as doenças auto-imunes e
infecciosas de manifestação buco-
infecciosas de manifestação buco-
facial;
facial;
 Processo de educação em saúde
Processo de educação em saúde,
,
as orientações sobre os fatores de
as orientações sobre os fatores de
risco para algumas doenças devem
risco para algumas doenças devem
ser discutidos com a população;
ser discutidos com a população;
 Chamar a atenção dos pacientes para
Chamar a atenção dos pacientes para
os
os primeiros sinais de doenças
primeiros sinais de doenças dos
dos
tecidos moles da boca;
tecidos moles da boca;
 Orientar o paciente a
Orientar o paciente a procurar
procurar
imediatamente o Cirurgião- Dentista
imediatamente o Cirurgião- Dentista,
,
que é o profissional indicado para dar
que é o profissional indicado para dar
prosseguimento aos encaminhamentos
prosseguimento aos encaminhamentos
necessários.
necessários.
Participação do ASB/TSB
Participação do ASB/TSB
Nos exames de triagem, muitas
Nos exames de triagem, muitas
vezes desenvolvidos por TSB, e
vezes desenvolvidos por TSB, e
nos procedimentos clínicos
nos procedimentos clínicos
cotidianos, o reconhecimento
cotidianos, o reconhecimento
das estruturas anatômicas deve
das estruturas anatômicas deve
ser feito e, se identificada
ser feito e, se identificada
qualquer alteração
qualquer alteração
estomatológica, o
estomatológica, o
encaminhamento ao Cirurgião-
encaminhamento ao Cirurgião-
Dentista deve ser feito.
Dentista deve ser feito.
Por isso o TSB precisa
Por isso o TSB precisa
conhecer as estruturas
conhecer as estruturas
anatômicas e as chamadas
anatômicas e as chamadas
“lesões fundamentais”.
“lesões fundamentais”.
O TSB é um apoio
O TSB é um apoio
imensurável na adequada
imensurável na adequada
atenção aos cidadãos que
atenção aos cidadãos que
buscam os serviços de
buscam os serviços de
saúde bucal.
saúde bucal.
Estruturas anatômicas a
Estruturas anatômicas a
serem observadas
serem observadas
1. lábio superior
1. lábio superior
2. lábio inferior
2. lábio inferior
3. comissura labial
3. comissura labial
4. mucosa jugal
4. mucosa jugal
5. língua
5. língua
6. gengiva / rebordo alveolar
6. gengiva / rebordo alveolar
7. assoalho da boca
7. assoalho da boca
8. palato
8. palato
9. orofaringe
9. orofaringe
10. fundo de saco de
10. fundo de saco de
vestíbulo
vestíbulo
11. trígono retro-molar
11. trígono retro-molar
Estruturas anatômicas a
Estruturas anatômicas a
serem observadas
serem observadas
1.1 De frente para o espelho,
observe a pele do rosto e do
pescoço. Veja se encontra
algum sinal que não tenha
notado antes.
1.2 Toque, suavemente, com as
pontas dos dedos, todo o rosto.
2.1 Puxe com os dedos, o
lábio inferior para baixo,
expondo a sua parte interna
(mucosa).
2.2 Em seguida, palpe todo
o lábio. Puxe o lábio
superior para cima e repita
a palpação.
3.Com a ponta do dedo
indicador, afaste a bochecha
para examinar a parte interna
da mesma. Faça isso nos dois
lados.
4.Com a ponta do dedo
indicador, percorra toda a
gengiva superior e inferior.
5. Introduza o dedo
indicador por baixo da
língua e o polegar da
mesma mão por baixo
do queixo e procure
palpar todo o assoalho
da boca.
6.1 Incline a cabeça para trás e
abrindo a boca o máximo
possível, examine atentamente
o céu da boca.
6.2 Palpe com o dedo indicador
todo o céu da boca.
6.3 Em seguida diga ÁÁÁÁÁ...
e observe o fundo da garganta.
7.1 Ponha a língua para fora e
observe a parte de cima.
7.2 Repita a observação com a língua
levantada até o céu da boca.
7.3 Em seguida, puxando a língua
para esquerda, observe o lado direito
da mesma.
7.4 Repita o procedimento para o
lado esquerdo puxando a língua para
a direita.
8. Estique a língua para
fora, segurando-a com
um pedaço de gaze ou
pano, palpe em toda sua
extensão com os dedos
indicadores e polegar da
outra mão.
9.1 Examine o pescoço. Compare
os lados direito e esquerdo e veja
se há diferença entre eles.
9.2 Depois, palpe o lado esquerdo
do pescoço com a mão direita.
9.3 Repita o procedimento para o
lado direito, palpando com a mão
esquerda. Veja se existem caroços
ou áreas endurecidas.
10. Finalmente,
introduza um dos
polegares por debaixo
do queixo e palpe
suavemente todo o
seu contorno inferior.
Principais fatores de risco
Principais fatores de risco
para o Câncer da Boca
para o Câncer da Boca
• Fatores culturais e socioeconômicos;
doenças crônico-degenerativas
possuem riscos comuns, relacionados
às condições de vida e de proteção
relacionados ao “modus vivendi”, que
são presentes também nas doenças
bucais, em especial no câncer;
•Fumo: o alcatrão é um potente
agente cancerígeno, assim como
substâncias químicas utilizadas no
seu cultivo. A exposição contínua
ao calor desprendido pela
combustão do fumo é um fator de
promoção nesse processo;
ESTOMATITE NICOTÍNICA
ESTOMATITE NICOTÍNICA
•Álcool: pode causar imuno-
depressão, queda de resistência e,
também, desidratação das mucosas,
fatores que podem levar à ação dos
agentes carcinogênicos. O uso
crônico de álcool (principalmente os
destilados) e tabaco associados
potencializa drasticamente o risco de
câncer bucal;
•Exposição a radiações, como
exposição freqüente ao sol sem
uso de filtro solar;
•Agentes de irritação crônica:
traumatismos mecânicos
crônicos causados por próteses
removíveis, dentes fraturados e
com arestas cortantes,
restaurações, hábito de morder
mucosas, má-higiene bucal, entre
outros, são importantes fatores
de promoção, favorecendo o
desenvolvimento de lesões
malignas pré-existentes;
BOM INTERVALO PARA
•Fatores imunológicos: a
deficiência do sistema
imunológico está relacionada
com o aumento de incidência
das neoplasias malignas. A
imunodeficiência pode estar
relacionada a doenças
crônicas, infecções constantes,
stress, etc.
•Dietas pobres em antioxidantes,
proteínas, calorias, vitamina A,
riboflavina e cálcio, têm sido apontadas
como fator predisponente ao câncer
de boca. Estudos sobre etiopatogenia
do câncer têm revelado o papel
protetor oferecido pelo consumo
habitual de frutas cítricas e vegetais
frescos ricos em betacarotenos
(cenoura, mamão, abóbora, batata
doce, couve e espinafre);
•Fatores ocupacionais: indivíduos
expostos às radiações solares,
ventos e geadas por períodos
prolongados sem proteção (como
trabalhadores rurais, de
construção civil e pescadores)
estão sujeitos a desenvolverem
câncer de lábio. O uso de chapéus
e filtros solares reduz o efeito
nocivo das radiações solares sobre
a pele e semimucosa labial;
•Infecções por alguns
tipos de Vírus do
Papiloma Humano (HPV
16 e 18), têm sido
relacionadas ao
incremento de risco para
desenvolver o câncer
bucal;
•Síndromes: AIDS
(Sarcoma de
Kaposi), Xeroderma
Pigmentoso,
Plummer-Vinson.
SARCOMA DE KAPOSI
SARCOMA DE KAPOSI
ÁREAS ANATÔMICAS DE MAIOR
ÁREAS ANATÔMICAS DE MAIOR
PREVALÊNCIA
PREVALÊNCIA
- 40% LABIO INFERIOR;
- 20% BORDA LATERAL DE LÍNGUA;
- 16% ASSOALHO BUCAL;
- 6% REBORDO GENGIVAL.
LEUCOPLASIA
LEUCOPLASIA
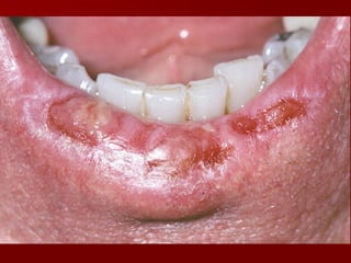
CARCINOMA DE LÁBIO INFERIOR
CARCINOMA DE LÁBIO INFERIOR
CARCINOMA DE LÍNGUA
CARCINOMA DE LÍNGUA
CARCINOMA DE PALATO
CARCINOMA DE PALATO
Inflamação e Reparo
Inflamação e Reparo
 As lesões são causadas por agentes
As lesões são causadas por agentes
biológicos, químicos ou físicos e distúrbios
biológicos, químicos ou físicos e distúrbios
metabólicos, execução de procedimentos
metabólicos, execução de procedimentos
odontológicos rotineiros (exodontias,
odontológicos rotineiros (exodontias,
gengivectomias, biópsias).
gengivectomias, biópsias).
 Inflamação é a resposta imediata e localizada
Inflamação é a resposta imediata e localizada
do corpo a uma injúria, visa destruir e
do corpo a uma injúria, visa destruir e
remover o agente irritativo e seus
remover o agente irritativo e seus
subprodutos do organismo e reparar os
subprodutos do organismo e reparar os
tecidos destruídos.
tecidos destruídos.
(...)
(...)
 A inflamação se caracteriza pela
A inflamação se caracteriza pela
seqüência de fenômenos irritativos,
seqüência de fenômenos irritativos,
vasculares, exsudativos, degenerativos e
vasculares, exsudativos, degenerativos e
reparativos.
reparativos.
 São sinais que caracterizam a
São sinais que caracterizam a
inflamação:
inflamação: DOR, CALOR, RUBOR E
DOR, CALOR, RUBOR E
TUMOR (EDEMA
TUMOR (EDEMA) e são causados pelo
) e são causados pelo
aumento da vascularização da área
aumento da vascularização da área
afetada.
afetada.
INFLAMAÇÃO
INFLAMAÇÃO
(...)
(...)
 Reparo – Cicatrização (por 1ª. Intenção ou 2ª.
Reparo – Cicatrização (por 1ª. Intenção ou 2ª.
Intenção)
Intenção)
 1ª. Intenção – bordas são aproximadas
1ª. Intenção – bordas são aproximadas
(sutura) – cicatrização rápida
(sutura) – cicatrização rápida
 2ª. Intenção – impossível unir as bordas
2ª. Intenção – impossível unir as bordas
(ferida aberta) – cicatrização mais demorada
(ferida aberta) – cicatrização mais demorada
 Cicatrização: após Biópsia, após Exodontia,
Cicatrização: após Biópsia, após Exodontia,
após Gengivectomia, etc
após Gengivectomia, etc
 Biópsia: manobra cirúrgica para remover
Biópsia: manobra cirúrgica para remover
tecido do organismo com finalidade de
tecido do organismo com finalidade de
observá-lo ao microscópio e formular um
observá-lo ao microscópio e formular um
diagnóstico
diagnóstico
VIDEO DRENAGEM DE ABSCESSO
VIDEO DRENAGEM DE ABSCESSO
LESÕES DA MUCOSA BUCAL POR
LESÕES DA MUCOSA BUCAL POR
AGENTES FÍSICOS, QUÍMICOS E
AGENTES FÍSICOS, QUÍMICOS E
BIOLÓGICOS
BIOLÓGICOS
 Físicos
Físicos
- Ulcera traumática
- Ulcera traumática
- Hiperplasia Fibrosa inflamatória
- Hiperplasia Fibrosa inflamatória
- Granuloma piogênico
- Granuloma piogênico
- Fibroma ossificante periférico
- Fibroma ossificante periférico
- Lesão periférica de células gigantes
- Lesão periférica de células gigantes
- Queilite actínica
- Queilite actínica
 Químicos
Químicos
- Ácido acetilsalicílico
- Ácido acetilsalicílico
- Hipérplasia gengival dilantínica
- Hipérplasia gengival dilantínica
- Tatuagem por amálgama
- Tatuagem por amálgama
 Biológicos
Biológicos
- Herpes simples
- Herpes simples
- Úlcera aftosa recorrente
- Úlcera aftosa recorrente
- Varicela e hérpes zóster
- Varicela e hérpes zóster
- Candidíase ou candidose
- Candidíase ou candidose
- Tuberculose
- Tuberculose
- Paracoccidiodomicose
- Paracoccidiodomicose
ÚLCERA TRAUMÁTICA
ÚLCERA TRAUMÁTICA
HIPERPLASIA FIBROSA INFLAMATÓRIA
HIPERPLASIA FIBROSA INFLAMATÓRIA
GRANULOMA PIOGÊNICO
GRANULOMA PIOGÊNICO
FIBROMA OSSIFICANTE PERIFÉRICO
FIBROMA OSSIFICANTE PERIFÉRICO
LESÃO PERIFÉRICA DE
LESÃO PERIFÉRICA DE
CÉLULAS GIGANTES
CÉLULAS GIGANTES
QUEILITE ACTÍNICA
QUEILITE ACTÍNICA
 Biológicos
Biológicos
- Herpes simples
- Herpes simples
- Úlcera aftosa recorrente
- Úlcera aftosa recorrente
- Varicela e hérpes zóster
- Varicela e hérpes zóster
- Candidíase ou candidose
- Candidíase ou candidose
- Tuberculose
- Tuberculose
- Paracoccidiodomicose
- Paracoccidiodomicose
HERPES SIMPLES
HERPES SIMPLES
HERPES SIMPLES
HERPES SIMPLES
ÚLCERA
ÚLCERA
AFTOSA
AFTOSA
RECORRENTE
RECORRENTE
HERPES
HERPES
ZÓSTER
ZÓSTER
CANDIDÍASE
CANDIDÍASE
 A Candida Albicans é o fungo
A Candida Albicans é o fungo
responsável na maioria das vezes
responsável na maioria das vezes
 O fungo vive como comensal na
O fungo vive como comensal na
mucosa de uma parte da população e
mucosa de uma parte da população e
tem afinidade por lugares úmidos,
tem afinidade por lugares úmidos,
quentes e com pouca luminosidade
quentes e com pouca luminosidade
 As lesões surgem devido a
As lesões surgem devido a
imunosupressão ou alteração local (HIV,
imunosupressão ou alteração local (HIV,
medicamentos, Próteses)
medicamentos, Próteses)
FORMAS DE MANIFESTAÇÃO DO FUNGO
FORMAS DE MANIFESTAÇÃO DO FUNGO
 Candidíase pseudomembranosa
Candidíase pseudomembranosa
 Candidíase eritematosa
Candidíase eritematosa
 Queilite angular
Queilite angular
CANDÍDIASE
CANDÍDIASE
PSEUDOMENBRANOSA
PSEUDOMENBRANOSA
CANDÍDIASE ERITEMATOSA
CANDÍDIASE ERITEMATOSA
QUEILITE ANGULAR
QUEILITE ANGULAR
TUBERCULOSE
TUBERCULOSE
paracoccidioidomicose
paracoccidioidomicose
PATOLOGIA ÓSSEA
PATOLOGIA ÓSSEA
 Osteomielite
Osteomielite
 Alveolite
Alveolite
 Osteorradionecrose
Osteorradionecrose
 Cisto Radicular
Cisto Radicular
 Cisto Dentíger
Cisto Dentíger
 Exostose e tórus
Exostose e tórus
OSTEOMIELITE
OSTEOMIELITE
ALVEOLITE
ALVEOLITE
OSTEORRADIONECROSE
OSTEORRADIONECROSE
CISTO RADICULAR
CISTO RADICULAR
Cisto dentígero
Cisto dentígero
EXOSTOSE (MANDÍBULA)
EXOSTOSE (MANDÍBULA)
TORUS PALATINO (MAXILA)
TORUS PALATINO (MAXILA)
NEOPLASIAS BENIGNAS DA
NEOPLASIAS BENIGNAS DA
MUCOSA
MUCOSA
 Papiloma
Papiloma
 Fibroma
Fibroma
 Hemangioma
Hemangioma
 Nevo Pigmentado
Nevo Pigmentado
PAPILOMA
PAPILOMA
FIBROMA
FIBROMA
HEMANGIOMA
HEMANGIOMA
LESÕES MALIGNAS E PRÉ-
LESÕES MALIGNAS E PRÉ-
MALIGNAS DA BOCA
MALIGNAS DA BOCA
 Leucoplasia
Leucoplasia
 Eritoplasia
Eritoplasia
 Carcinoma Epidermóide
Carcinoma Epidermóide
LEUCOPLASIA
LEUCOPLASIA
ERITROPLASIA
ERITROPLASIA
CARCINOMA EPIDERMÓIDE
CARCINOMA EPIDERMÓIDE
CARCINOMA EPIDERMÓIDE
CARCINOMA EPIDERMÓIDE
TUMORES ODONTOGÊNICOS
TUMORES ODONTOGÊNICOS
 Ameloblastoma
Ameloblastoma
 Cementoma – Displasia Cementossea
Cementoma – Displasia Cementossea
Focal
Focal
 Odontoma
Odontoma
AMELOBLASTOMA
AMELOBLASTOMA
CEMENTOMA
CEMENTOMA
ODONTOMA
ODONTOMA
ODONTOMA
ODONTOMA
PATOLOGIA DAS GLÂNDULAS
PATOLOGIA DAS GLÂNDULAS
SALIVARES
SALIVARES
 Mucocele
Mucocele
 Rânula
Rânula
 Adenoma Pleomórfico
Adenoma Pleomórfico
MUCOCELE
MUCOCELE
RÂNULA
RÂNULA
ADENOMA PLEOMÓRFICO
ADENOMA PLEOMÓRFICO
ESTOMATODERMATOLOGIA
ESTOMATODERMATOLOGIA
 Líquen plano
Líquen plano
 Lúpus
Lúpus
 Penfigóide Benigno da Mucosa ou
Penfigóide Benigno da Mucosa ou
Penfigóide cicatricial
Penfigóide cicatricial
 Pênfigo vulgar
Pênfigo vulgar
LÍQUEN PLANO
LÍQUEN PLANO
LÚPUS
LÚPUS
ERITEMATOSO
ERITEMATOSO
PÊNFIGO VULGAR
PÊNFIGO VULGAR
DISTÚRBIOS DO DESENVOLVIMENTO
DISTÚRBIOS DO DESENVOLVIMENTO
DOS MAXILARES
DOS MAXILARES
 Micrognatia
Micrognatia
 Macrognatia
Macrognatia
 Fenda Palatina
Fenda Palatina
MICROGNATIA
MICROGNATIA
MACROGNATIA
MACROGNATIA
FENDA PALATINA
FENDA PALATINA
BLOG DO PROF. ROGÉRIO SPÍNOLA
http://rogerioms.blogspot.com

estomatologia-.ppt- documento power point

  • 1.
    PATOLOGIA BUCAL E PATOLOGIABUCAL E ESTOMATOLOGIA ESTOMATOLOGIA
  • 2.
    Introdução Introdução  Patologia Patologia –Conceito: A palavra – Conceito: A palavra Patologia Patologia significa o estudo das doenças significa o estudo das doenças  Objetivo do estudo desta especialidade: Objetivo do estudo desta especialidade: habilitar o profissional a reconhecer os habilitar o profissional a reconhecer os sinais de reparo local, as patologias sinais de reparo local, as patologias bucais e peribucais mais freqüentes e bucais e peribucais mais freqüentes e suas possíveis seqüelas suas possíveis seqüelas
  • 3.
    Introdução Introdução  Estomatologia Estomatologia (DiagnósticoBucal, (Diagnóstico Bucal, Diagnóstico Oral, Medicina Bucal e Diagnóstico Oral, Medicina Bucal e Semiologia) há que se pensar em Semiologia) há que se pensar em um um novo conceito de equipe em novo conceito de equipe em saúde bucal saúde bucal, com um , com um desenvolvimento e uma desenvolvimento e uma disseminação do conhecimento disseminação do conhecimento para todos os que a compõem. para todos os que a compõem.
  • 4.
    Introdução Introdução  Uma dashabilidades a ser desenvolvida Uma das habilidades a ser desenvolvida pelo pessoal auxiliar em saúde bucal é: pelo pessoal auxiliar em saúde bucal é: “reconhecer os indivíduos com sinais “reconhecer os indivíduos com sinais e sintomas de doenças bucais e e sintomas de doenças bucais e encaminhar para o atendimento encaminhar para o atendimento clínico” clínico”. Na formação do Técnico em . Na formação do Técnico em Higiene Dental, faz parte das suas Higiene Dental, faz parte das suas atribuições a identificação das atribuições a identificação das estruturas normais e alteradas da boca. estruturas normais e alteradas da boca.
  • 5.
    Introdução Introdução  Mesmo queo Mesmo que o diagnóstico seja diagnóstico seja uma atribuição exclusiva do uma atribuição exclusiva do Cirurgião-Dentista Cirurgião-Dentista, a , a observação observação das alterações das alterações patológicas da boca pode e patológicas da boca pode e deve ser feita por todos os deve ser feita por todos os que a “examinam” que a “examinam”
  • 6.
    Participação do ASB/TSBna Participação do ASB/TSB na Estomatologia Estomatologia  Combate a doenças Combate a doenças como o câncer, como o câncer, a AIDS, as doenças auto-imunes e a AIDS, as doenças auto-imunes e infecciosas de manifestação buco- infecciosas de manifestação buco- facial; facial;  Processo de educação em saúde Processo de educação em saúde, , as orientações sobre os fatores de as orientações sobre os fatores de risco para algumas doenças devem risco para algumas doenças devem ser discutidos com a população; ser discutidos com a população;
  • 7.
     Chamar aatenção dos pacientes para Chamar a atenção dos pacientes para os os primeiros sinais de doenças primeiros sinais de doenças dos dos tecidos moles da boca; tecidos moles da boca;  Orientar o paciente a Orientar o paciente a procurar procurar imediatamente o Cirurgião- Dentista imediatamente o Cirurgião- Dentista, , que é o profissional indicado para dar que é o profissional indicado para dar prosseguimento aos encaminhamentos prosseguimento aos encaminhamentos necessários. necessários. Participação do ASB/TSB Participação do ASB/TSB
  • 8.
    Nos exames detriagem, muitas Nos exames de triagem, muitas vezes desenvolvidos por TSB, e vezes desenvolvidos por TSB, e nos procedimentos clínicos nos procedimentos clínicos cotidianos, o reconhecimento cotidianos, o reconhecimento das estruturas anatômicas deve das estruturas anatômicas deve ser feito e, se identificada ser feito e, se identificada qualquer alteração qualquer alteração estomatológica, o estomatológica, o encaminhamento ao Cirurgião- encaminhamento ao Cirurgião- Dentista deve ser feito. Dentista deve ser feito.
  • 9.
    Por isso oTSB precisa Por isso o TSB precisa conhecer as estruturas conhecer as estruturas anatômicas e as chamadas anatômicas e as chamadas “lesões fundamentais”. “lesões fundamentais”. O TSB é um apoio O TSB é um apoio imensurável na adequada imensurável na adequada atenção aos cidadãos que atenção aos cidadãos que buscam os serviços de buscam os serviços de saúde bucal. saúde bucal.
  • 12.
    Estruturas anatômicas a Estruturasanatômicas a serem observadas serem observadas 1. lábio superior 1. lábio superior 2. lábio inferior 2. lábio inferior 3. comissura labial 3. comissura labial 4. mucosa jugal 4. mucosa jugal 5. língua 5. língua 6. gengiva / rebordo alveolar 6. gengiva / rebordo alveolar
  • 13.
    7. assoalho daboca 7. assoalho da boca 8. palato 8. palato 9. orofaringe 9. orofaringe 10. fundo de saco de 10. fundo de saco de vestíbulo vestíbulo 11. trígono retro-molar 11. trígono retro-molar Estruturas anatômicas a Estruturas anatômicas a serem observadas serem observadas
  • 17.
    1.1 De frentepara o espelho, observe a pele do rosto e do pescoço. Veja se encontra algum sinal que não tenha notado antes. 1.2 Toque, suavemente, com as pontas dos dedos, todo o rosto.
  • 18.
    2.1 Puxe comos dedos, o lábio inferior para baixo, expondo a sua parte interna (mucosa). 2.2 Em seguida, palpe todo o lábio. Puxe o lábio superior para cima e repita a palpação.
  • 19.
    3.Com a pontado dedo indicador, afaste a bochecha para examinar a parte interna da mesma. Faça isso nos dois lados. 4.Com a ponta do dedo indicador, percorra toda a gengiva superior e inferior.
  • 20.
    5. Introduza odedo indicador por baixo da língua e o polegar da mesma mão por baixo do queixo e procure palpar todo o assoalho da boca.
  • 21.
    6.1 Incline acabeça para trás e abrindo a boca o máximo possível, examine atentamente o céu da boca. 6.2 Palpe com o dedo indicador todo o céu da boca. 6.3 Em seguida diga ÁÁÁÁÁ... e observe o fundo da garganta.
  • 22.
    7.1 Ponha alíngua para fora e observe a parte de cima. 7.2 Repita a observação com a língua levantada até o céu da boca. 7.3 Em seguida, puxando a língua para esquerda, observe o lado direito da mesma. 7.4 Repita o procedimento para o lado esquerdo puxando a língua para a direita.
  • 23.
    8. Estique alíngua para fora, segurando-a com um pedaço de gaze ou pano, palpe em toda sua extensão com os dedos indicadores e polegar da outra mão.
  • 24.
    9.1 Examine opescoço. Compare os lados direito e esquerdo e veja se há diferença entre eles. 9.2 Depois, palpe o lado esquerdo do pescoço com a mão direita. 9.3 Repita o procedimento para o lado direito, palpando com a mão esquerda. Veja se existem caroços ou áreas endurecidas.
  • 25.
    10. Finalmente, introduza umdos polegares por debaixo do queixo e palpe suavemente todo o seu contorno inferior.
  • 26.
    Principais fatores derisco Principais fatores de risco para o Câncer da Boca para o Câncer da Boca • Fatores culturais e socioeconômicos; doenças crônico-degenerativas possuem riscos comuns, relacionados às condições de vida e de proteção relacionados ao “modus vivendi”, que são presentes também nas doenças bucais, em especial no câncer;
  • 27.
    •Fumo: o alcatrãoé um potente agente cancerígeno, assim como substâncias químicas utilizadas no seu cultivo. A exposição contínua ao calor desprendido pela combustão do fumo é um fator de promoção nesse processo;
  • 28.
  • 29.
    •Álcool: pode causarimuno- depressão, queda de resistência e, também, desidratação das mucosas, fatores que podem levar à ação dos agentes carcinogênicos. O uso crônico de álcool (principalmente os destilados) e tabaco associados potencializa drasticamente o risco de câncer bucal;
  • 30.
    •Exposição a radiações,como exposição freqüente ao sol sem uso de filtro solar;
  • 31.
    •Agentes de irritaçãocrônica: traumatismos mecânicos crônicos causados por próteses removíveis, dentes fraturados e com arestas cortantes, restaurações, hábito de morder mucosas, má-higiene bucal, entre outros, são importantes fatores de promoção, favorecendo o desenvolvimento de lesões malignas pré-existentes;
  • 35.
  • 36.
    •Fatores imunológicos: a deficiênciado sistema imunológico está relacionada com o aumento de incidência das neoplasias malignas. A imunodeficiência pode estar relacionada a doenças crônicas, infecções constantes, stress, etc.
  • 37.
    •Dietas pobres emantioxidantes, proteínas, calorias, vitamina A, riboflavina e cálcio, têm sido apontadas como fator predisponente ao câncer de boca. Estudos sobre etiopatogenia do câncer têm revelado o papel protetor oferecido pelo consumo habitual de frutas cítricas e vegetais frescos ricos em betacarotenos (cenoura, mamão, abóbora, batata doce, couve e espinafre);
  • 38.
    •Fatores ocupacionais: indivíduos expostosàs radiações solares, ventos e geadas por períodos prolongados sem proteção (como trabalhadores rurais, de construção civil e pescadores) estão sujeitos a desenvolverem câncer de lábio. O uso de chapéus e filtros solares reduz o efeito nocivo das radiações solares sobre a pele e semimucosa labial;
  • 39.
    •Infecções por alguns tiposde Vírus do Papiloma Humano (HPV 16 e 18), têm sido relacionadas ao incremento de risco para desenvolver o câncer bucal;
  • 40.
    •Síndromes: AIDS (Sarcoma de Kaposi),Xeroderma Pigmentoso, Plummer-Vinson.
  • 41.
  • 42.
    ÁREAS ANATÔMICAS DEMAIOR ÁREAS ANATÔMICAS DE MAIOR PREVALÊNCIA PREVALÊNCIA - 40% LABIO INFERIOR; - 20% BORDA LATERAL DE LÍNGUA; - 16% ASSOALHO BUCAL; - 6% REBORDO GENGIVAL.
  • 45.
  • 52.
    CARCINOMA DE LÁBIOINFERIOR CARCINOMA DE LÁBIO INFERIOR
  • 53.
  • 54.
  • 55.
    Inflamação e Reparo Inflamaçãoe Reparo  As lesões são causadas por agentes As lesões são causadas por agentes biológicos, químicos ou físicos e distúrbios biológicos, químicos ou físicos e distúrbios metabólicos, execução de procedimentos metabólicos, execução de procedimentos odontológicos rotineiros (exodontias, odontológicos rotineiros (exodontias, gengivectomias, biópsias). gengivectomias, biópsias).  Inflamação é a resposta imediata e localizada Inflamação é a resposta imediata e localizada do corpo a uma injúria, visa destruir e do corpo a uma injúria, visa destruir e remover o agente irritativo e seus remover o agente irritativo e seus subprodutos do organismo e reparar os subprodutos do organismo e reparar os tecidos destruídos. tecidos destruídos.
  • 56.
    (...) (...)  A inflamaçãose caracteriza pela A inflamação se caracteriza pela seqüência de fenômenos irritativos, seqüência de fenômenos irritativos, vasculares, exsudativos, degenerativos e vasculares, exsudativos, degenerativos e reparativos. reparativos.  São sinais que caracterizam a São sinais que caracterizam a inflamação: inflamação: DOR, CALOR, RUBOR E DOR, CALOR, RUBOR E TUMOR (EDEMA TUMOR (EDEMA) e são causados pelo ) e são causados pelo aumento da vascularização da área aumento da vascularização da área afetada. afetada.
  • 58.
  • 59.
    (...) (...)  Reparo –Cicatrização (por 1ª. Intenção ou 2ª. Reparo – Cicatrização (por 1ª. Intenção ou 2ª. Intenção) Intenção)  1ª. Intenção – bordas são aproximadas 1ª. Intenção – bordas são aproximadas (sutura) – cicatrização rápida (sutura) – cicatrização rápida  2ª. Intenção – impossível unir as bordas 2ª. Intenção – impossível unir as bordas (ferida aberta) – cicatrização mais demorada (ferida aberta) – cicatrização mais demorada  Cicatrização: após Biópsia, após Exodontia, Cicatrização: após Biópsia, após Exodontia, após Gengivectomia, etc após Gengivectomia, etc  Biópsia: manobra cirúrgica para remover Biópsia: manobra cirúrgica para remover tecido do organismo com finalidade de tecido do organismo com finalidade de observá-lo ao microscópio e formular um observá-lo ao microscópio e formular um diagnóstico diagnóstico
  • 60.
    VIDEO DRENAGEM DEABSCESSO VIDEO DRENAGEM DE ABSCESSO
  • 69.
    LESÕES DA MUCOSABUCAL POR LESÕES DA MUCOSA BUCAL POR AGENTES FÍSICOS, QUÍMICOS E AGENTES FÍSICOS, QUÍMICOS E BIOLÓGICOS BIOLÓGICOS  Físicos Físicos - Ulcera traumática - Ulcera traumática - Hiperplasia Fibrosa inflamatória - Hiperplasia Fibrosa inflamatória - Granuloma piogênico - Granuloma piogênico - Fibroma ossificante periférico - Fibroma ossificante periférico - Lesão periférica de células gigantes - Lesão periférica de células gigantes - Queilite actínica - Queilite actínica
  • 70.
     Químicos Químicos - Ácidoacetilsalicílico - Ácido acetilsalicílico - Hipérplasia gengival dilantínica - Hipérplasia gengival dilantínica - Tatuagem por amálgama - Tatuagem por amálgama
  • 71.
     Biológicos Biológicos - Herpessimples - Herpes simples - Úlcera aftosa recorrente - Úlcera aftosa recorrente - Varicela e hérpes zóster - Varicela e hérpes zóster - Candidíase ou candidose - Candidíase ou candidose - Tuberculose - Tuberculose - Paracoccidiodomicose - Paracoccidiodomicose
  • 72.
  • 73.
  • 74.
  • 75.
  • 76.
    LESÃO PERIFÉRICA DE LESÃOPERIFÉRICA DE CÉLULAS GIGANTES CÉLULAS GIGANTES
  • 77.
  • 78.
     Biológicos Biológicos - Herpessimples - Herpes simples - Úlcera aftosa recorrente - Úlcera aftosa recorrente - Varicela e hérpes zóster - Varicela e hérpes zóster - Candidíase ou candidose - Candidíase ou candidose - Tuberculose - Tuberculose - Paracoccidiodomicose - Paracoccidiodomicose
  • 79.
  • 80.
  • 81.
  • 82.
  • 83.
    CANDIDÍASE CANDIDÍASE  A CandidaAlbicans é o fungo A Candida Albicans é o fungo responsável na maioria das vezes responsável na maioria das vezes  O fungo vive como comensal na O fungo vive como comensal na mucosa de uma parte da população e mucosa de uma parte da população e tem afinidade por lugares úmidos, tem afinidade por lugares úmidos, quentes e com pouca luminosidade quentes e com pouca luminosidade  As lesões surgem devido a As lesões surgem devido a imunosupressão ou alteração local (HIV, imunosupressão ou alteração local (HIV, medicamentos, Próteses) medicamentos, Próteses)
  • 84.
    FORMAS DE MANIFESTAÇÃODO FUNGO FORMAS DE MANIFESTAÇÃO DO FUNGO  Candidíase pseudomembranosa Candidíase pseudomembranosa  Candidíase eritematosa Candidíase eritematosa  Queilite angular Queilite angular
  • 85.
  • 86.
  • 87.
  • 88.
  • 89.
  • 90.
    PATOLOGIA ÓSSEA PATOLOGIA ÓSSEA Osteomielite Osteomielite  Alveolite Alveolite  Osteorradionecrose Osteorradionecrose  Cisto Radicular Cisto Radicular  Cisto Dentíger Cisto Dentíger  Exostose e tórus Exostose e tórus
  • 91.
  • 92.
  • 93.
  • 94.
  • 95.
  • 96.
  • 97.
  • 98.
    NEOPLASIAS BENIGNAS DA NEOPLASIASBENIGNAS DA MUCOSA MUCOSA  Papiloma Papiloma  Fibroma Fibroma  Hemangioma Hemangioma  Nevo Pigmentado Nevo Pigmentado
  • 99.
  • 100.
  • 101.
  • 102.
    LESÕES MALIGNAS EPRÉ- LESÕES MALIGNAS E PRÉ- MALIGNAS DA BOCA MALIGNAS DA BOCA  Leucoplasia Leucoplasia  Eritoplasia Eritoplasia  Carcinoma Epidermóide Carcinoma Epidermóide
  • 103.
  • 104.
  • 105.
  • 106.
  • 108.
    TUMORES ODONTOGÊNICOS TUMORES ODONTOGÊNICOS Ameloblastoma Ameloblastoma  Cementoma – Displasia Cementossea Cementoma – Displasia Cementossea Focal Focal  Odontoma Odontoma
  • 109.
  • 110.
  • 111.
  • 112.
  • 113.
    PATOLOGIA DAS GLÂNDULAS PATOLOGIADAS GLÂNDULAS SALIVARES SALIVARES  Mucocele Mucocele  Rânula Rânula  Adenoma Pleomórfico Adenoma Pleomórfico
  • 114.
  • 115.
  • 116.
  • 117.
    ESTOMATODERMATOLOGIA ESTOMATODERMATOLOGIA  Líquen plano Líquenplano  Lúpus Lúpus  Penfigóide Benigno da Mucosa ou Penfigóide Benigno da Mucosa ou Penfigóide cicatricial Penfigóide cicatricial  Pênfigo vulgar Pênfigo vulgar
  • 118.
  • 119.
  • 120.
  • 121.
    DISTÚRBIOS DO DESENVOLVIMENTO DISTÚRBIOSDO DESENVOLVIMENTO DOS MAXILARES DOS MAXILARES  Micrognatia Micrognatia  Macrognatia Macrognatia  Fenda Palatina Fenda Palatina
  • 122.
  • 123.
  • 124.
  • 125.
    BLOG DO PROF.ROGÉRIO SPÍNOLA http://rogerioms.blogspot.com