Abordagem de dermatopatias
crônicas em cães
• MV, MSc, PhD Guilherme De Caro Martins
• Residência I e II em Clínica Médico Veterinária UFMG
• Pós-graduado em dermatologia veterinária pela ANHEMBI
MORUMBI/SP
• Professor de dermatologia do Instituto Qualittas de pós graduação
O que significa cronicidade?
1. Tempo
1. Acima de 3 meses...
2. Características inflamatórias
1. Infiltrado macrofágico, linfocitário
Diversidade etiológica
§ Dermatopatias alérgicas
§ Dermatopatias autoimunes
§ Dermatopatias endócrinas
§ Dermatopatias seborréicas
§ Dermatopatias por ácaros
§ Dermatopatias fúngicas
§ Dermatopatias neoplásicas
• Cronicidade pode ser vista por
hiperpigmentaçao e hiperqueratose
• Geralmente cursa com prurido no
momento da abordagem
Guilherme De Caro Martins
Guilherme De Caro Martins
Pele com características de cronicidade
Cenário clínico
- Coceira há muito tempo
- Alterações crônicas na pele
- Diversas medicações
Corticoide
Antibióticos
1- Identifique e
trate as infecções
2- Elucide a causa base
3- Trate e monitore a causa de base
Infecção
torna-se
recorrente
Dermatopatias crônicas
Como atuar?
Após a exclusão de demodicidose e
dermatofitose...
1- TRATE A INFECÇÃO
ü As infecções são secundárias e por si só podem ocasionar em coceira
intensa
• As infecções ocorrem geralmente por alterações no
microambiente cutâneo ou falhas na defesa do hospedeiro
• Geralmente são por Staphylococcus pseudointermedius e
Malassezia pachydermatis
Barreira cutânea
ü Staphylococcus pseudointermedius
ü Malassezia
ü Demodex
BARREIRA CUTÂNEA
1- TRATE A INFECÇÃO
Como elucida-las?
https://giphy.com/gifs/system-immune-staphylococcus-10J03NWquceLKg
Guilherme De Caro Martins
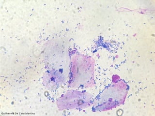
• Citologia
a. Aposição (“imprint”)
b. Fita adesiva
c. Swab seco ou úmido
Coloração com panótico rápido
1- TRATE A INFECÇÃO
Como elucida-las?
Sempre prefiram a coleta de material em
lesões primárias!!!
Guilherme De Caro Martins
• Sempre que possível realizar terapia tópica
como monoterapia
• Utilizar antibióticos na dose e tempos
corretos. Ex: cefalexina 30mg/kg/BID/21-30d
• Evitar antibióticos de longo espectro
• Evitar uso de antibióticos sistêmicos para
profilaxia
1- TRATE A INFECÇÃO
1- TRATE A INFECÇÃO
PRIMEIRA ESCOLHA SEGUNDA ESCOLHA TERCEIRA ESCOLHA
Cefalexina ou
Cefadroxil 15- 30mg/kg/p.o
BID
Doxiciclina ou Minociclina 5-
10mg/kg/p.o SID/BID
Linesolida
Amoxicilina + ácido
clavulânico 12,5-
25,0mg/kg/p.o/BID
Aminoglicosídeos (Amicacina 15-
30mg/kg/i.v, s.c, i.m/ SID)
Teicoplanina
Clindamicina 5,5-10mg/kg
p.o BID
Fluoroquinolonas (Enrofloxacino
5-20mg/kg/ p.o SID;
Ciprofloxacino
25mg/kg/p.o/SID)
Vancomicina
Lincomicina 15-25mg/kg p.o
BID
Cloranfenicol 40-50mg/kg/p.o
TID
Hiller et al. Guidelines for the diagnosis and antimicrobial therapy of canine superficial bacterial folliculitis (Antimicrobial Guidelines Working
group of the international Society for companion animal infectious diseases. Vet Dermatol, v. 25, p. 163-e45, 2014.
1- TRATE A INFECÇÃO
1- TRATE A INFECÇÃO
üAs infecções não costumam ser o principal problema do
animal, a não ser que.....
Infecções multirresistentes
• 5 pontos importantes para considerar resistência bacteriana
i. < 50% de redução das lesões após 2 semanas de terapia antimicrobiana
ii. Aparecimento de novas lesões (pápulas, pústulas, colarinhos epidérmicos)
após 2 semanas do início do antimicrobiano
iii. Presença de lesões residuais após 6 semanas de antimicrobiano e bactérias
na citologia
iv. Histórico de infecção multirresistentes no próprio animal ou em
contactantes
v. Presença de bactéria bastonete intracelular na citologia
Hiller et al. Guidelinesfor thediagnosisandantimicrobial therapyof caninesuperficial bacterial folliculitis(Antimicrobial Guidelines
Workinggroupof theinternational Societyfor companionanimal infectiousdiseases. Vet Dermatol, v. 25, p. 163-e45, 2014.
Bactérias multirresistentes
Bactérias
multirresistentes
• Resistência in vitro à pelo menos três classes de antimicrobianos.
– MRSP= Staphylococcus pseudointermedius resistente à meticilina
Mecanismo de resistência
Gene MecA
Codifica uma proteína
que tem baixa afinidade
pela penicilina (PBP2a)
Transferência de material genético entre as
bactérias
1-Transdução
2-Transformação
3-Conjugação
Bactérias
MRSP_ O que isso significa?
• Nenhum fármaco beta-lactâmico será efetivo.
– Cefalosporinas
– Penicilinas e amoxicilina (potencializada ou não)
– Carbapenêmicos
ü Comumente co-expressão de resistência à outras classes
de antibióticos, como fluoroquinolonas, macrolídeos,
tetraciclinas e aminoglicosídeos.
Bactérias
MRSP_ Como avaliar?
• A forma da avaliação de resistência in
vitro é a utilização de sua resistência
ante o antimicrobiano oxacilina.
Sempre pedir na cultura e
antibiograma para testar oxacilina
OXACILINA= METICILINA
Bactérias multirresistentes
• Como abordar atualmente os quadros de piodermite?
• Como abordar quadros em que temos bactérias
multirressistentes?
Bactérias multirresistentes
Terapia tópica
• Shampoos
– Clorexidine 3-4%ou clorexidine 2%+ miconazol 2%
• Spray
– Clorexidine 4%
– Amicacina 0,5-5%(quando sensível na cultura e antibiograma)
• Cremes/pomadas
– Mupirocina 2%, ácido fusídico
2- Elucide a causa primária
üA coceira continua ou não após acabar a infecção???
SIM
Doenças alérgicasDoenças endócrinas
Dermatite seborréica
NÃO
Provavelmente
Lembre-se de verificar sinais de inflamação
ü Exames hormonais
§ Geralmente hipotireoidismo
§ Muitas vezes os pacientes se beneficiam com shampoos desengordurantes
2- Elucide a causa primária
Endocrinopatias e seborréia
Guilherme De Caro Martins
Qual?
2- Elucide a causa primária
Dermatopatias alérgicas
DASP/DAPP
Reação adversa ao alimento
Dermatite atópica
• Hipersensibilidades coexistentes
Hipersensibilidade
alimentar
Dermatite atópica
DAPP
25%
46%
0%
Levantamento
diagnóstico de 83
animais com sinais
compatíveis com D.A
4%
3%
2%20%
2- Elucide a causa primária
Dermatopatias alérgicas
Critically appraised topic on adverse food
reactions of companion animals
1. Quanto tempo de dieta para o diagnóstico? (Olivry et al., 2015)
2. Quais são os alérgenos alimentares mais comuns? (Mueller et al.,
2016)
3. Qual a prevalência em cães e gatos? (Olivry e Mueller, 2017)
4. Há outros métodos diagnósticos? (Mueller e Olivry, 2017)
5. Há erros de rotulagem das dietas comerciais? (Olivry e Mueller, 2018)
...
60dias0
dias
Dieta
+
Fármaco rápida ação
Dieta
Suspender o
medicamento
20-
30dias
2- Elucide a causa primária
Dermatopatias alérgicas
Reexposição
3-10
dias
ü Tempo de dieta: 2 meses
ü Dieta comercial ou caseira?
ü Único método capaz de diferenciar animais com hipersensibilidade
alimentar daqueles com dermatite atópica
2- Elucide a causa primária
Dermatopatias alérgicas
ü A dieta foi realizada e não foram observados
benefícios clínicos
- Continua prurido
- Continua inflamação
- Animal com pouca qualidade de vida
Diagnóstico clínico de dermatite atópica
canina, realizado por exclusão
ATOPIA
FÁRMACOS SISTÊMICOS
IMUNOMODULADORES
• Glicocorticóides
• Inibidores de calcineurina
• Imunoterapia alérgeno-específica
• Inibidores de JAK específico
• Anticorpo monoclonal
CONTROLE DE INFECÇÕES
SECUNDÁRIAS
MEDICAMENTOS QUE
MELHORAM A QUALIDADE
CUTÂNEA
CONTROLE DE
ECTOPARASITAS
Uso crônico!!!!
• Hidratação cutânea
3- Trate e monitore a causa de base
• Quanto mais amplo o tratamento, maior
possibilidade de sucesso, porém maior
possibilidade de efeitos colaterais.
Glicocorticóide
Ciclosporina
oclacitinib
Anticorpo monoclonal
Eficácia Efeitos
colaterais
Como trabalhar com essas
medicações?
Corticoterapia oral
üPrednisona/Prednisolona
0,5-1,0mg/kg
üDeflazacort
0,3mg/kg/48-72h
Inicialmente
TERAPIA REATIVA
Até quando?
Após o controle rápido
da inflamação.... Terapias mais específicas
TERAPIA PROATIVA
Como trabalhar com essas
medicações?
1. Oclacitinib
• 0,4-0,6mg/kg/12h por 14 dias e após
0,4-0,6mg/kg/24h uso contínuo
2. Ciclosporina
• 5mg/kg/24h uso contínuo
3. Imunoterapia alérgeno-específica
4. Anticorpos monoclonais
üTratamento 2 dias consecutivos por semana
1. Grupo placebo, n= 20 cães: 33 dias de controle
2. Grupo tratado, n= 21 cães: 115 dias de controle
Aceponato de hidrocortisona
Grupo placebo
3,5x menor do
grupo tratado
Melhor prognóstico
Terapia antiinflamatória continua
Tratamento reativo
Como trabalhar com essas medicações?
Terapia reativa
Corticoides orais Ciclosporina/oclacitinib Anticorpos monoclonais
Terapia proativa
Anticorpos monoclonais
Imunoterapia
Oclacitinib
Ciclosporina/oclacitinib
Corticoides tópicos
Resgate com
corticoides orais
Inflamação
Inflamação
Guilherme De Caro Martins
Terapia reativa
Terapia proativa
Considerações finais
üControle as infecções de forma eficaz
üO controle das infecções pode ser dificultado caso
tenhamos microorganismos multirresistentes
üDefinir a causa de base
üO tratamento da causa de base é fundamental para
controle da inflamação ou das alterações cutâneas e
evita recidiva das infecções
OBRIGADO
Email: guilhermedcmartins@hotmail.com
Guilherme De Caro Martins
guilherme_de_caro_martins

Dermatopatias Crônicas em Cães

  • 2.
    Abordagem de dermatopatias crônicasem cães • MV, MSc, PhD Guilherme De Caro Martins • Residência I e II em Clínica Médico Veterinária UFMG • Pós-graduado em dermatologia veterinária pela ANHEMBI MORUMBI/SP • Professor de dermatologia do Instituto Qualittas de pós graduação
  • 3.
    O que significacronicidade? 1. Tempo 1. Acima de 3 meses... 2. Características inflamatórias 1. Infiltrado macrofágico, linfocitário Diversidade etiológica § Dermatopatias alérgicas § Dermatopatias autoimunes § Dermatopatias endócrinas § Dermatopatias seborréicas § Dermatopatias por ácaros § Dermatopatias fúngicas § Dermatopatias neoplásicas
  • 4.
    • Cronicidade podeser vista por hiperpigmentaçao e hiperqueratose • Geralmente cursa com prurido no momento da abordagem Guilherme De Caro Martins Guilherme De Caro Martins Pele com características de cronicidade
  • 5.
    Cenário clínico - Coceirahá muito tempo - Alterações crônicas na pele - Diversas medicações Corticoide Antibióticos
  • 6.
    1- Identifique e trateas infecções 2- Elucide a causa base 3- Trate e monitore a causa de base Infecção torna-se recorrente Dermatopatias crônicas Como atuar? Após a exclusão de demodicidose e dermatofitose...
  • 7.
    1- TRATE AINFECÇÃO ü As infecções são secundárias e por si só podem ocasionar em coceira intensa • As infecções ocorrem geralmente por alterações no microambiente cutâneo ou falhas na defesa do hospedeiro • Geralmente são por Staphylococcus pseudointermedius e Malassezia pachydermatis
  • 8.
    Barreira cutânea ü Staphylococcuspseudointermedius ü Malassezia ü Demodex
  • 9.
  • 10.
    1- TRATE AINFECÇÃO Como elucida-las? https://giphy.com/gifs/system-immune-staphylococcus-10J03NWquceLKg
  • 11.
    Guilherme De CaroMartins • Citologia a. Aposição (“imprint”) b. Fita adesiva c. Swab seco ou úmido Coloração com panótico rápido 1- TRATE A INFECÇÃO Como elucida-las? Sempre prefiram a coleta de material em lesões primárias!!!
  • 12.
  • 13.
    • Sempre quepossível realizar terapia tópica como monoterapia • Utilizar antibióticos na dose e tempos corretos. Ex: cefalexina 30mg/kg/BID/21-30d • Evitar antibióticos de longo espectro • Evitar uso de antibióticos sistêmicos para profilaxia 1- TRATE A INFECÇÃO
  • 14.
    1- TRATE AINFECÇÃO
  • 15.
    PRIMEIRA ESCOLHA SEGUNDAESCOLHA TERCEIRA ESCOLHA Cefalexina ou Cefadroxil 15- 30mg/kg/p.o BID Doxiciclina ou Minociclina 5- 10mg/kg/p.o SID/BID Linesolida Amoxicilina + ácido clavulânico 12,5- 25,0mg/kg/p.o/BID Aminoglicosídeos (Amicacina 15- 30mg/kg/i.v, s.c, i.m/ SID) Teicoplanina Clindamicina 5,5-10mg/kg p.o BID Fluoroquinolonas (Enrofloxacino 5-20mg/kg/ p.o SID; Ciprofloxacino 25mg/kg/p.o/SID) Vancomicina Lincomicina 15-25mg/kg p.o BID Cloranfenicol 40-50mg/kg/p.o TID Hiller et al. Guidelines for the diagnosis and antimicrobial therapy of canine superficial bacterial folliculitis (Antimicrobial Guidelines Working group of the international Society for companion animal infectious diseases. Vet Dermatol, v. 25, p. 163-e45, 2014. 1- TRATE A INFECÇÃO
  • 16.
    1- TRATE AINFECÇÃO üAs infecções não costumam ser o principal problema do animal, a não ser que..... Infecções multirresistentes
  • 17.
    • 5 pontosimportantes para considerar resistência bacteriana i. < 50% de redução das lesões após 2 semanas de terapia antimicrobiana ii. Aparecimento de novas lesões (pápulas, pústulas, colarinhos epidérmicos) após 2 semanas do início do antimicrobiano iii. Presença de lesões residuais após 6 semanas de antimicrobiano e bactérias na citologia iv. Histórico de infecção multirresistentes no próprio animal ou em contactantes v. Presença de bactéria bastonete intracelular na citologia Hiller et al. Guidelinesfor thediagnosisandantimicrobial therapyof caninesuperficial bacterial folliculitis(Antimicrobial Guidelines Workinggroupof theinternational Societyfor companionanimal infectiousdiseases. Vet Dermatol, v. 25, p. 163-e45, 2014. Bactérias multirresistentes
  • 18.
    Bactérias multirresistentes • Resistência invitro à pelo menos três classes de antimicrobianos. – MRSP= Staphylococcus pseudointermedius resistente à meticilina Mecanismo de resistência Gene MecA Codifica uma proteína que tem baixa afinidade pela penicilina (PBP2a) Transferência de material genético entre as bactérias 1-Transdução 2-Transformação 3-Conjugação
  • 19.
    Bactérias MRSP_ O queisso significa? • Nenhum fármaco beta-lactâmico será efetivo. – Cefalosporinas – Penicilinas e amoxicilina (potencializada ou não) – Carbapenêmicos ü Comumente co-expressão de resistência à outras classes de antibióticos, como fluoroquinolonas, macrolídeos, tetraciclinas e aminoglicosídeos.
  • 20.
    Bactérias MRSP_ Como avaliar? •A forma da avaliação de resistência in vitro é a utilização de sua resistência ante o antimicrobiano oxacilina. Sempre pedir na cultura e antibiograma para testar oxacilina OXACILINA= METICILINA
  • 21.
  • 22.
    • Como abordaratualmente os quadros de piodermite? • Como abordar quadros em que temos bactérias multirressistentes?
  • 23.
    Bactérias multirresistentes Terapia tópica •Shampoos – Clorexidine 3-4%ou clorexidine 2%+ miconazol 2% • Spray – Clorexidine 4% – Amicacina 0,5-5%(quando sensível na cultura e antibiograma) • Cremes/pomadas – Mupirocina 2%, ácido fusídico
  • 24.
    2- Elucide acausa primária üA coceira continua ou não após acabar a infecção??? SIM Doenças alérgicasDoenças endócrinas Dermatite seborréica NÃO Provavelmente Lembre-se de verificar sinais de inflamação
  • 25.
    ü Exames hormonais §Geralmente hipotireoidismo § Muitas vezes os pacientes se beneficiam com shampoos desengordurantes 2- Elucide a causa primária Endocrinopatias e seborréia
  • 26.
  • 27.
    Qual? 2- Elucide acausa primária Dermatopatias alérgicas DASP/DAPP Reação adversa ao alimento Dermatite atópica
  • 28.
    • Hipersensibilidades coexistentes Hipersensibilidade alimentar Dermatiteatópica DAPP 25% 46% 0% Levantamento diagnóstico de 83 animais com sinais compatíveis com D.A 4% 3% 2%20% 2- Elucide a causa primária Dermatopatias alérgicas
  • 29.
    Critically appraised topicon adverse food reactions of companion animals 1. Quanto tempo de dieta para o diagnóstico? (Olivry et al., 2015) 2. Quais são os alérgenos alimentares mais comuns? (Mueller et al., 2016) 3. Qual a prevalência em cães e gatos? (Olivry e Mueller, 2017) 4. Há outros métodos diagnósticos? (Mueller e Olivry, 2017) 5. Há erros de rotulagem das dietas comerciais? (Olivry e Mueller, 2018) ...
  • 30.
    60dias0 dias Dieta + Fármaco rápida ação Dieta Suspendero medicamento 20- 30dias 2- Elucide a causa primária Dermatopatias alérgicas Reexposição 3-10 dias ü Tempo de dieta: 2 meses ü Dieta comercial ou caseira? ü Único método capaz de diferenciar animais com hipersensibilidade alimentar daqueles com dermatite atópica
  • 31.
    2- Elucide acausa primária Dermatopatias alérgicas ü A dieta foi realizada e não foram observados benefícios clínicos - Continua prurido - Continua inflamação - Animal com pouca qualidade de vida Diagnóstico clínico de dermatite atópica canina, realizado por exclusão
  • 32.
    ATOPIA FÁRMACOS SISTÊMICOS IMUNOMODULADORES • Glicocorticóides •Inibidores de calcineurina • Imunoterapia alérgeno-específica • Inibidores de JAK específico • Anticorpo monoclonal CONTROLE DE INFECÇÕES SECUNDÁRIAS MEDICAMENTOS QUE MELHORAM A QUALIDADE CUTÂNEA CONTROLE DE ECTOPARASITAS Uso crônico!!!! • Hidratação cutânea 3- Trate e monitore a causa de base
  • 33.
    • Quanto maisamplo o tratamento, maior possibilidade de sucesso, porém maior possibilidade de efeitos colaterais. Glicocorticóide Ciclosporina oclacitinib Anticorpo monoclonal Eficácia Efeitos colaterais
  • 34.
    Como trabalhar comessas medicações? Corticoterapia oral üPrednisona/Prednisolona 0,5-1,0mg/kg üDeflazacort 0,3mg/kg/48-72h Inicialmente TERAPIA REATIVA Até quando?
  • 35.
    Após o controlerápido da inflamação.... Terapias mais específicas TERAPIA PROATIVA Como trabalhar com essas medicações? 1. Oclacitinib • 0,4-0,6mg/kg/12h por 14 dias e após 0,4-0,6mg/kg/24h uso contínuo 2. Ciclosporina • 5mg/kg/24h uso contínuo 3. Imunoterapia alérgeno-específica 4. Anticorpos monoclonais
  • 36.
    üTratamento 2 diasconsecutivos por semana 1. Grupo placebo, n= 20 cães: 33 dias de controle 2. Grupo tratado, n= 21 cães: 115 dias de controle
  • 37.
    Aceponato de hidrocortisona Grupoplacebo 3,5x menor do grupo tratado
  • 38.
  • 39.
    Como trabalhar comessas medicações? Terapia reativa Corticoides orais Ciclosporina/oclacitinib Anticorpos monoclonais Terapia proativa Anticorpos monoclonais Imunoterapia Oclacitinib Ciclosporina/oclacitinib Corticoides tópicos Resgate com corticoides orais Inflamação Inflamação
  • 40.
    Guilherme De CaroMartins Terapia reativa Terapia proativa
  • 41.
    Considerações finais üControle asinfecções de forma eficaz üO controle das infecções pode ser dificultado caso tenhamos microorganismos multirresistentes üDefinir a causa de base üO tratamento da causa de base é fundamental para controle da inflamação ou das alterações cutâneas e evita recidiva das infecções
  • 42.