PATOLOGIA ESOFÁGICA




 Ana Cristina Araújo Lemos da Silva
Anomalias Congênitas
• Restos ectópicos
  – Mucosa gástrica
• Atresia e fístulas
Esôfago - atresia
 1:1500 – 1:5000 nativivos
 90% com fístula tráqueo-esofágica
 Sufocação desde a primeira ingestão de alimento
 Evolução
 Outras anomalias (50% dos casos)
       Cardiopatia congênita
       Anus imperfurado
       Displasia renal
       Anomalias vertebrais
Lesões associadas à disfunção
              motora
ACALÁSIA
 Dificuldade de relaxamento
     primária
     congênita
 Disfagia progressiva
 Câncer esofagiano
 Divertículos
 Aspiração ( broncoaspiração – pneumonia)
HÉRNIA HIATAL
Hérnia por deslizamento
Hérnia para-esofágica
  Etiologia desconhecida

Complicações
  ulceração
  perfuração
  esofagite por refluxo
  estrangulamento
  obstrução
Esôfago, Hérnia por deslizamento
A mais freqüente (90%)
Hiato esofágico amplo e defeito na fixação do esôfago
Separação dos pilares diafragmáticos com alargamento do
espaço
Presente em 10% ou mais dos exames radiológicos
Só 50% dos casos sintomáticos
      azia
      regurgitação
      disfagia e sangramento (raros)
Tratamento
      clínico
      cirúrgico (raro)
Esôfago, Hérnia para-esofágica

    Geralmente assintomática
    Mecanismos: “precariedade do tecido
        conjuntivo de sustentação”
    Risco de infarto gástrico
    Tratamento cirúrgico
DIVERTÍCULOS
  Falsos
     Divertículo de Zenker(imediatamente
                            acima do EES)
 Verdadeiros
Esôfago, divertículos.
   Faringo-esofágico (Zenker)


 Terço superior
 Patogênese: músculo crico-faríngeo)
 Regurgitação de alimentos
 Rara associação com carcinoma
Esôfago, divertículos.
        Para-traqueal

   Terço médio
   Bifurcação traqueal
   Aderências/disfunção motora
LACERAÇÃO DE MALLORY WEISS
 vômitos excessivos
 relaxamento reflexo da musculatura ausente
 10% dos casos de HDA
Esôfago
Laceração
    (síndrome de Mallory-Weiss)


Ruptura/perfuração
    (síndrome de Boerhaave)
VARIZES ESOFAGIANAS
 hipertensão portal
    esquistossomose
    cirrose (50%)
 HDA maciça
    mortalidade de 45%
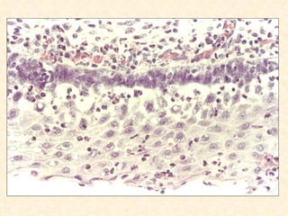
Esofagite
Refluxo

 Infecções
 Cáusticos
 Agentes físicos
 Causas diversas
Esofagite por refluxo
•   Redução do tônus do EEI
•   Hérnia hiatal por deslizamento
•   Eliminação lenta do bolo alimentar
•   Eliminação lenta do material refluído
•   Reparo da mucosa lento
•   Adultos
•   Crianças ( alergia)
•   Disfagia e azia
•   Dor retroesternal
•   Regurgitação
•   Aspiração pulmonar da secreção gástrica
•   Sangramento
•   Úlceração
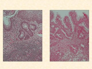
•   Esôfago de Barret (metaplasia)- 10%
Esôfago de Barret
      Refluxo GE recorrente e prolongado

                  Inflamação

                   Ulceração

      Cura por reepitelização e crescimento
        de células pluripotentes imaturas

ph no lúmem do esôfago distal causa diferenciação
        Da mucosa para epitélio intestinal
Esofagite infecciosa
         Fatores predisponentes
 Doenças mieloproliferativas
 Quimioterapia antineoplásica
 Radioterapia
 Antibióticos
 Corticosteróides
 Imunodepressão para transplantes de órgãos
 AIDS
 Cirurgia abdominal
 Diabete melito
 Debilidade física
CANDIDÍASE ESOFÁGICA
Herpes vírus
CITOMEGALOVÍRUS
Esofagite infecciosa

  Clínica
   Odinofagia
   Dor torácica
   Febre

  Complicações
   Sangramento
   Perfuração do esôfago
Esofagite cáustica
 Ácidos
 Álcalis
 Outras substâncias corrosivas

 Evolução
    Necrose e dissolução
    Inflamação
    Estenose

 (radioterapia)
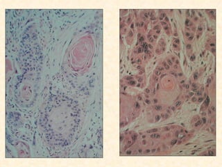
NEOPLASIAS BENIGNAS
• Pólipos escamosos /condiloma
• Mesenquimais
  – Leiomiomas
Neoplasias malignas
• 6% dos cânceres do TGI
• Assintomáticos
• Células escamosas
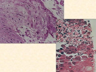
Carcinoma epidermóide
•   > 50 anos
•   100:100000 hab no BR
•   20% dos óbitos por ca
•   Álcool
•   Tabagismo
•   Nitrosamina
•   HPV
•   20% - TS
•   50% - TM
•   30% - TI
• Ausência de serosa
• Rica rede linfática
• Disseminação linfática a distância
Esôfago, carcinoma epidermóide
       Padrão de crescimento

      Polipóide          60%
      Ulcerante          25%
      Infiltrante        15%
      (misto)
Esôfago, carcinoma epidermóide
               Clínica
  Disfagia (após diminuição 70% da luz)
  Odinofagia
  Halitose
  Perda de peso
  Aspiração de alimentos
  Fístula
  Rouquidão
Prognóstico do carcinoma epidermóide
  Sobrevida 5 anos: < 10%
  [diagnóstico precoce]

Aula esôfago

  • 1.
    PATOLOGIA ESOFÁGICA AnaCristina Araújo Lemos da Silva
  • 2.
    Anomalias Congênitas • Restosectópicos – Mucosa gástrica • Atresia e fístulas
  • 3.
    Esôfago - atresia 1:1500 – 1:5000 nativivos  90% com fístula tráqueo-esofágica  Sufocação desde a primeira ingestão de alimento  Evolução  Outras anomalias (50% dos casos)  Cardiopatia congênita  Anus imperfurado  Displasia renal  Anomalias vertebrais
  • 6.
    Lesões associadas àdisfunção motora ACALÁSIA Dificuldade de relaxamento primária congênita Disfagia progressiva Câncer esofagiano Divertículos Aspiração ( broncoaspiração – pneumonia)
  • 8.
    HÉRNIA HIATAL Hérnia pordeslizamento Hérnia para-esofágica Etiologia desconhecida Complicações ulceração perfuração esofagite por refluxo estrangulamento obstrução
  • 9.
    Esôfago, Hérnia pordeslizamento A mais freqüente (90%) Hiato esofágico amplo e defeito na fixação do esôfago Separação dos pilares diafragmáticos com alargamento do espaço Presente em 10% ou mais dos exames radiológicos Só 50% dos casos sintomáticos azia regurgitação disfagia e sangramento (raros) Tratamento clínico cirúrgico (raro)
  • 10.
    Esôfago, Hérnia para-esofágica  Geralmente assintomática  Mecanismos: “precariedade do tecido conjuntivo de sustentação”  Risco de infarto gástrico  Tratamento cirúrgico
  • 12.
    DIVERTÍCULOS Falsos Divertículo de Zenker(imediatamente acima do EES) Verdadeiros
  • 13.
    Esôfago, divertículos. Faringo-esofágico (Zenker)  Terço superior  Patogênese: músculo crico-faríngeo)  Regurgitação de alimentos  Rara associação com carcinoma
  • 14.
    Esôfago, divertículos. Para-traqueal  Terço médio  Bifurcação traqueal  Aderências/disfunção motora
  • 19.
    LACERAÇÃO DE MALLORYWEISS vômitos excessivos relaxamento reflexo da musculatura ausente 10% dos casos de HDA
  • 20.
    Esôfago Laceração (síndrome de Mallory-Weiss) Ruptura/perfuração (síndrome de Boerhaave)
  • 24.
    VARIZES ESOFAGIANAS hipertensãoportal esquistossomose cirrose (50%) HDA maciça mortalidade de 45%
  • 26.
    Esofagite Refluxo  Infecções  Cáusticos Agentes físicos  Causas diversas
  • 27.
    Esofagite por refluxo • Redução do tônus do EEI • Hérnia hiatal por deslizamento • Eliminação lenta do bolo alimentar • Eliminação lenta do material refluído • Reparo da mucosa lento
  • 30.
    Adultos • Crianças ( alergia) • Disfagia e azia • Dor retroesternal • Regurgitação • Aspiração pulmonar da secreção gástrica • Sangramento • Úlceração • Esôfago de Barret (metaplasia)- 10%
  • 31.
    Esôfago de Barret Refluxo GE recorrente e prolongado Inflamação Ulceração Cura por reepitelização e crescimento de células pluripotentes imaturas ph no lúmem do esôfago distal causa diferenciação Da mucosa para epitélio intestinal
  • 35.
    Esofagite infecciosa Fatores predisponentes  Doenças mieloproliferativas  Quimioterapia antineoplásica  Radioterapia  Antibióticos  Corticosteróides  Imunodepressão para transplantes de órgãos  AIDS  Cirurgia abdominal  Diabete melito  Debilidade física
  • 36.
  • 38.
  • 40.
  • 42.
    Esofagite infecciosa Clínica  Odinofagia  Dor torácica  Febre Complicações  Sangramento  Perfuração do esôfago
  • 43.
    Esofagite cáustica  Ácidos Álcalis  Outras substâncias corrosivas  Evolução  Necrose e dissolução  Inflamação  Estenose  (radioterapia)
  • 45.
    NEOPLASIAS BENIGNAS • Póliposescamosos /condiloma • Mesenquimais – Leiomiomas
  • 47.
    Neoplasias malignas • 6%dos cânceres do TGI • Assintomáticos • Células escamosas
  • 48.
    Carcinoma epidermóide • > 50 anos • 100:100000 hab no BR • 20% dos óbitos por ca • Álcool • Tabagismo • Nitrosamina • HPV • 20% - TS • 50% - TM • 30% - TI
  • 49.
    • Ausência deserosa • Rica rede linfática • Disseminação linfática a distância
  • 50.
    Esôfago, carcinoma epidermóide Padrão de crescimento  Polipóide 60%  Ulcerante 25%  Infiltrante 15%  (misto)
  • 57.
    Esôfago, carcinoma epidermóide Clínica  Disfagia (após diminuição 70% da luz)  Odinofagia  Halitose  Perda de peso  Aspiração de alimentos  Fístula  Rouquidão
  • 58.
    Prognóstico do carcinomaepidermóide Sobrevida 5 anos: < 10% [diagnóstico precoce]