Tomografia computadorizada do tórax: aspectos normais
                                                                                                          1
                                                                     Gustavo de Souza Portes Meirelles


1 – Doutor em Radiologia pela Escola Paulista de Medicina – UNIFESP




1 – Introdução


Há três tipos de aparelhos de tomografia computadorizada (TC): convencional, helicoidal "singleslice" e
helicoidal "multislice". No aparelho convencional, para cada apnéia do paciente, uma imagem é gerada.
Para a realização das próximas imagens a mesa de exames é deslocada e novas apnéias são necessárias.
Nos aparelhos helicoidais, para cada apnéia do paciente, várias imagens são geradas, fazendo com que o
exame seja mais rápido e as imagens tenham melhor qualidade. Com isto, é possível a realização de cortes
mais finos e de técnicas como a angiotomografia. Nos aparelhos do tipo "multislice", com várias fileiras de
detectores (até 64 atualmente), o exame é ainda mais rápido, sendo possível a realização de todo o tórax
em uma única apnéia. Com este aparelho, novas técnicas podem ser realizadas, como a angiotomografia
das artérias coronárias.


Uma técnica que pode ser realizada em qualquer dos tipos de aparelho, convencional ou helicoidais, é a
tomografia computadorizada de alta resolução (TCAR). As imagens são adquiridas de modo intervalado
(geralmente intervalos de 10 mm entre cada imagem), com cortes finos de 1 mm e técnica de alta resolução
espacial. A TCAR tem indicações precisas, como análise de alterações intersticiais ou bronquiectasias. Não
deve ser utilizada rotineiramente nos demais casos (ex: nódulo solitário, pesquisa de metástases) por não
englobar todo o pulmão (lembrar que os cortes são intervalados). Portanto, para a maior parte das
indicações, o método é realizado com a técnica de rotina, com cortes contíguos. Para indicações precisas,
como doenças intersticiais, bronquiectasias, realiza-se a TCAR.


Os exames de tórax são realizados em apnéia inspiratória máxima, dos ápices pulmonares às adrenais,
com o paciente em decúbito dorsal. Excepcionalmente, podem ser adquiridas imagens em expiração
máxima, como na suspeita de aprisionamento aéreo, ou com o paciente em decúbito ventral, por exemplo,
nas doenças de predomínio posterior, como pneumonia intersticial usual.


Após a realização do exame, as imagens podem ser analisadas nos filmes ou em estações de trabalho.
Este é o método ideal atual, devido ao grande número de imagens gerado pelos aparelhos mais modernos.
Pode-se avaliar as imagens com janelas diferentes (pulmão, osso ou mediastino), dependendo do que se
quer estudar sem a necessidade de se repetir o exame.




Curso PneumoAtual de Tomografia computadorizada do tórax – aula 01                                       1
2 – Anatomia normal da TC de tórax


As imagens a seguir ilustram os principais pontos de referência para análise da TC de tórax. São imagens
contíguas, adquiridas da transição cervicotorácica ao abdome.




                  Figura 1. Imagem com janela de mediastino da transição cervicotorácica.




               Figura 2. Imagem com janela de mediastino dos ramos arteriais supra-aórticos,
               conhecidos como "Três Marias": tronco braquiocefálico, artéria carótida comum
                                   esquerda e artéria subclávia esquerda.




Curso PneumoAtual de Tomografia computadorizada do tórax – aula 01                                         2
Figura 3. Imagem com janela de mediastino no nível do arco da aorta.




           Figura 4. Imagem com janela de mediastino demonstrando a aorta ascendente e aorta
                 descendente. O espaço entre as duas corresponde à janela aortopulmonar.




Curso PneumoAtual de Tomografia computadorizada do tórax – aula 01                             3
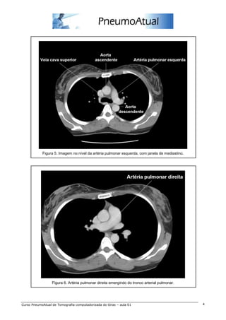
Figura 5. Imagem no nível da artéria pulmonar esquerda, com janela de mediastino.




                  Figura 6. Artéria pulmonar direita emergindo do tronco arterial pulmonar.




Curso PneumoAtual de Tomografia computadorizada do tórax – aula 01                              4
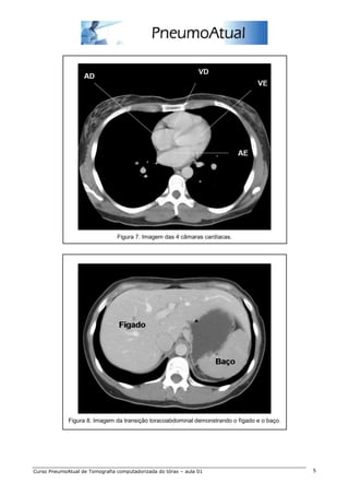
Figura 7. Imagem das 4 câmaras cardíacas.




             Figura 8. Imagem da transição toracoabdominal demonstrando o fígado e o baço.




Curso PneumoAtual de Tomografia computadorizada do tórax – aula 01                           5
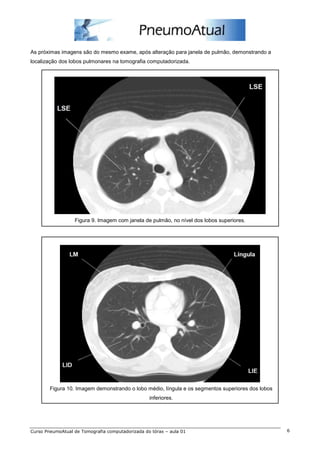
As próximas imagens são do mesmo exame, após alteração para janela de pulmão, demonstrando a
localização dos lobos pulmonares na tomografia computadorizada.




                  Figura 9. Imagem com janela de pulmão, no nível dos lobos superiores.




        Figura 10. Imagem demonstrando o lobo médio, língula e os segmentos superiores dos lobos
                                                  inferiores.




Curso PneumoAtual de Tomografia computadorizada do tórax – aula 01                                 6
Figura 11. Imagem com janela de pulmão no nível dos segmentos basais dos lobos inferiores.




A próxima imagem foi realizada com a técnica de alta resolução. Reparar na qualidade da mesma, com
demonstração das fissuras oblíquas. Lembrar que, pela espessura do corte, esta técnica é feita com
imagens intervaladas, não se prestando para a análise de todo o pulmão, a não ser nos aparelhos mais
modernos. Portanto, de modo geral, a TCAR deve ser restrita a indicações clínicas precisas, como doenças
intersticiais ou bronquiectasias.




                      Figura 12. Imagem de TCAR demonstrando as fissuras oblíquas.


Curso PneumoAtual de Tomografia computadorizada do tórax – aula 01                                     7
Em casos em que as lesões pulmonares são predominantemente posteriores, a TCAR pode ser realizada
em decúbito ventral, para evitar confusão com atelectasias passivas decorrentes do decúbito.




            Figura 13. TCAR em decúbito ventral. Paciente exposto ao asbesto com alterações
        compatíveis com fibrose pulmonar (asbestose) nas regiões posteriores dos lobos inferiores.
          Nestes casos, o ideal é realizar o exame em decúbito ventral, evitando confusões com
                              atelectasias passivas decorrentes do decúbito.


Nas doenças obstrutivas, a TCAR deve ser também realizada em expiração máxima, o que facilita a
identificação do aprisionamento aéreo.




      Figura 14. TCAR em expiração máxima em paciente asmático, demonstrando múltiplas áreas de
                            aprisionamento aéreo (áreas escuras na tomografia).



Curso PneumoAtual de Tomografia computadorizada do tórax – aula 01                                   8
Outra técnica que pode ser realizada é a angiotomografia, principalmente para pesquisa de
tromboembolismo pulmonar ou de outras alterações vasculares. O exame deve ser feito em aparelhos
helicoidais, preferencialmente do tipo "multislice", com cortes finos contíguos, após a injeção de contraste
iodado intravenoso. A figura 15 ilustra um exame de angiotomografia.




      Figura 15. Angiotomografia computadorizada com contraste iodado intravenoso, demonstrando
                           má-formação arteriovenosa no lobo inferior esquerdo.




3 – Leitura recomendada


Webb WR, Brant W, Major N. Fundamentals of body CT (3rd edition), Saunders, 2005.




Curso PneumoAtual de Tomografia computadorizada do tórax – aula 01                                             9

Anatomia tc de torax

  • 1.
    Tomografia computadorizada dotórax: aspectos normais 1 Gustavo de Souza Portes Meirelles 1 – Doutor em Radiologia pela Escola Paulista de Medicina – UNIFESP 1 – Introdução Há três tipos de aparelhos de tomografia computadorizada (TC): convencional, helicoidal "singleslice" e helicoidal "multislice". No aparelho convencional, para cada apnéia do paciente, uma imagem é gerada. Para a realização das próximas imagens a mesa de exames é deslocada e novas apnéias são necessárias. Nos aparelhos helicoidais, para cada apnéia do paciente, várias imagens são geradas, fazendo com que o exame seja mais rápido e as imagens tenham melhor qualidade. Com isto, é possível a realização de cortes mais finos e de técnicas como a angiotomografia. Nos aparelhos do tipo "multislice", com várias fileiras de detectores (até 64 atualmente), o exame é ainda mais rápido, sendo possível a realização de todo o tórax em uma única apnéia. Com este aparelho, novas técnicas podem ser realizadas, como a angiotomografia das artérias coronárias. Uma técnica que pode ser realizada em qualquer dos tipos de aparelho, convencional ou helicoidais, é a tomografia computadorizada de alta resolução (TCAR). As imagens são adquiridas de modo intervalado (geralmente intervalos de 10 mm entre cada imagem), com cortes finos de 1 mm e técnica de alta resolução espacial. A TCAR tem indicações precisas, como análise de alterações intersticiais ou bronquiectasias. Não deve ser utilizada rotineiramente nos demais casos (ex: nódulo solitário, pesquisa de metástases) por não englobar todo o pulmão (lembrar que os cortes são intervalados). Portanto, para a maior parte das indicações, o método é realizado com a técnica de rotina, com cortes contíguos. Para indicações precisas, como doenças intersticiais, bronquiectasias, realiza-se a TCAR. Os exames de tórax são realizados em apnéia inspiratória máxima, dos ápices pulmonares às adrenais, com o paciente em decúbito dorsal. Excepcionalmente, podem ser adquiridas imagens em expiração máxima, como na suspeita de aprisionamento aéreo, ou com o paciente em decúbito ventral, por exemplo, nas doenças de predomínio posterior, como pneumonia intersticial usual. Após a realização do exame, as imagens podem ser analisadas nos filmes ou em estações de trabalho. Este é o método ideal atual, devido ao grande número de imagens gerado pelos aparelhos mais modernos. Pode-se avaliar as imagens com janelas diferentes (pulmão, osso ou mediastino), dependendo do que se quer estudar sem a necessidade de se repetir o exame. Curso PneumoAtual de Tomografia computadorizada do tórax – aula 01 1
  • 2.
    2 – Anatomianormal da TC de tórax As imagens a seguir ilustram os principais pontos de referência para análise da TC de tórax. São imagens contíguas, adquiridas da transição cervicotorácica ao abdome. Figura 1. Imagem com janela de mediastino da transição cervicotorácica. Figura 2. Imagem com janela de mediastino dos ramos arteriais supra-aórticos, conhecidos como "Três Marias": tronco braquiocefálico, artéria carótida comum esquerda e artéria subclávia esquerda. Curso PneumoAtual de Tomografia computadorizada do tórax – aula 01 2
  • 3.
    Figura 3. Imagemcom janela de mediastino no nível do arco da aorta. Figura 4. Imagem com janela de mediastino demonstrando a aorta ascendente e aorta descendente. O espaço entre as duas corresponde à janela aortopulmonar. Curso PneumoAtual de Tomografia computadorizada do tórax – aula 01 3
  • 4.
    Figura 5. Imagemno nível da artéria pulmonar esquerda, com janela de mediastino. Figura 6. Artéria pulmonar direita emergindo do tronco arterial pulmonar. Curso PneumoAtual de Tomografia computadorizada do tórax – aula 01 4
  • 5.
    Figura 7. Imagemdas 4 câmaras cardíacas. Figura 8. Imagem da transição toracoabdominal demonstrando o fígado e o baço. Curso PneumoAtual de Tomografia computadorizada do tórax – aula 01 5
  • 6.
    As próximas imagenssão do mesmo exame, após alteração para janela de pulmão, demonstrando a localização dos lobos pulmonares na tomografia computadorizada. Figura 9. Imagem com janela de pulmão, no nível dos lobos superiores. Figura 10. Imagem demonstrando o lobo médio, língula e os segmentos superiores dos lobos inferiores. Curso PneumoAtual de Tomografia computadorizada do tórax – aula 01 6
  • 7.
    Figura 11. Imagemcom janela de pulmão no nível dos segmentos basais dos lobos inferiores. A próxima imagem foi realizada com a técnica de alta resolução. Reparar na qualidade da mesma, com demonstração das fissuras oblíquas. Lembrar que, pela espessura do corte, esta técnica é feita com imagens intervaladas, não se prestando para a análise de todo o pulmão, a não ser nos aparelhos mais modernos. Portanto, de modo geral, a TCAR deve ser restrita a indicações clínicas precisas, como doenças intersticiais ou bronquiectasias. Figura 12. Imagem de TCAR demonstrando as fissuras oblíquas. Curso PneumoAtual de Tomografia computadorizada do tórax – aula 01 7
  • 8.
    Em casos emque as lesões pulmonares são predominantemente posteriores, a TCAR pode ser realizada em decúbito ventral, para evitar confusão com atelectasias passivas decorrentes do decúbito. Figura 13. TCAR em decúbito ventral. Paciente exposto ao asbesto com alterações compatíveis com fibrose pulmonar (asbestose) nas regiões posteriores dos lobos inferiores. Nestes casos, o ideal é realizar o exame em decúbito ventral, evitando confusões com atelectasias passivas decorrentes do decúbito. Nas doenças obstrutivas, a TCAR deve ser também realizada em expiração máxima, o que facilita a identificação do aprisionamento aéreo. Figura 14. TCAR em expiração máxima em paciente asmático, demonstrando múltiplas áreas de aprisionamento aéreo (áreas escuras na tomografia). Curso PneumoAtual de Tomografia computadorizada do tórax – aula 01 8
  • 9.
    Outra técnica quepode ser realizada é a angiotomografia, principalmente para pesquisa de tromboembolismo pulmonar ou de outras alterações vasculares. O exame deve ser feito em aparelhos helicoidais, preferencialmente do tipo "multislice", com cortes finos contíguos, após a injeção de contraste iodado intravenoso. A figura 15 ilustra um exame de angiotomografia. Figura 15. Angiotomografia computadorizada com contraste iodado intravenoso, demonstrando má-formação arteriovenosa no lobo inferior esquerdo. 3 – Leitura recomendada Webb WR, Brant W, Major N. Fundamentals of body CT (3rd edition), Saunders, 2005. Curso PneumoAtual de Tomografia computadorizada do tórax – aula 01 9