AN02FREV001/REV 4.0
38
PROGRAMA DE EDUCAÇÃO CONTINUADA A DISTÂNCIA
Portal Educação
CURSO DE
TOMOGRAFIA COMPUTADORIZADA
Aluno:
EaD - Educação a Distância Portal Educação
AN02FREV001/REV 4.0
39
CURSO DE
TOMOGRAFIA COMPUTADORIZADA
MÓDULO II
Atenção: O material deste módulo está disponível apenas como parâmetro de estudos para este
Programa de Educação Continuada. É proibida qualquer forma de comercialização ou distribuição
do mesmo sem a autorização expressa do Portal Educação. Os créditos do conteúdo aqui contido
são dados aos seus respectivos autores descritos nas Referências Bibliográficas.
AN02FREV001/REV 4.0
40
MÓDULO II
2 COMPONENTES DOS APARELHOS DE TC
Independente da geração do aparelho de tomografia computadorizada há
componentes-padrão, que serão descritos neste módulo. O esquema de um sistema
tomográfico pode ser visto na figura 26.
FIGURA 26. COMPONENTES DE UM TOMÓGRAFO.
AN02FREV001/REV 4.0
41
FONTE: Disponível em: <http://www.acbo.org.br>. Acesso em: 11 nov. 2012.
2.1 O GANTRY
O gantry, também chamado de pórtico ou portal, é considerado o maior
componente de um aparelho de tomografia computadorizada (Figura 27). É o
aparato que permite a passagem do paciente posicionado sobre a mesa de exame.
AN02FREV001/REV 4.0
42
FIGURA 27. GANTRY DO TOMÓGRAFO
FONTE: Disponível em: <http://www.acbo.org.br>. Acesso em: 11 nov. 2012.
O gantry é constituído por um anel que representa o local onde estão os
sensores ou detectores (cristais luminescentes - NAL) e o gerador de feixes, também
chamado de ampola de feixes, por onde os feixes de raios X são emitidos (Figura
28).
AN02FREV001/REV 4.0
43
FIGURA 28. ANEL DO GANTRY DE UM TOMÓGRAFO
FONTE: Disponível em: <http://www.acbo.org.br. Acesso em: 11 nov. 2012.
Todos os comandos básicos que controlam o gantry se encontram em um
painel na parte frontal do próprio gantry (Figura 29). Esses comandos controlam
diversas opções como: altura e movimentação da mesa, angulação do gantry e a
ativação dos eixos que promovem a centralização dos feixes na área examinada no
paciente.
AN02FREV001/REV 4.0
44
FIGURA 29. COMANDOS DO GANTRY
AN02FREV001/REV 4.0
45
FONTE: Disponível em: <http://www.acbo.org.br>. Acesso em: 11 nov. 2012.
É por meio da inclinação proporcionada pelo gantry, de - 30º a + 30º (Figura
30) em relação ao eixo vertical, que ocorre o processo de escaneamento sobre o
paciente na mesa de exame, responsável pela captação dos dados do paciente
(Sistema de Aquisição de Dados - DAS), possibilitando os diferentes cortes em
diferentes planos.
AN02FREV001/REV 4.0
46
FIGURA 30. INCLINAÇÃO DO GANTRY
FONTE: Disponível em: <http://www.acbo.org.br>. Acesso em: 11 nov. 2012.
Esse escaneamento dependerá do modelo do tomógrafo utilizado e da
programação, pois está relacionado às movimentações do tubo de feixe de raios X.
O gantry possui um sistema de refrigeração próprio, responsável por
refrigerar o tubo de feixes de raios X, além de um conjunto de motores responsáveis
pelo controle do equipamento. Na figura 31 podemos ver com mais detalhes o
esquema das partes de um gantry.
AN02FREV001/REV 4.0
47
FIGURA 31. PARTES DE UM GANTRY
FONTE: Disponível em: <http://www.radioinmama.com.br>. Acesso em: 11 nov. 2012.
AN02FREV001/REV 4.0
48
No gantry encontram-se dispostos os projetores de luz, que facilitam o
posicionamento do paciente de acordo com a área a ser analisada no exame (Figura
32).
FIGURA 32. PROJETORES DISPOSTOS NO GANTRY
FONTE: Disponível em: <http://www.acbo.org.br>. Acesso em: 11 nov. 2012.
AN02FREV001/REV 4.0
49
2.2 A MESA
A mesa de exames de um tomógrafo é o local onde há o posicionamento do
paciente de maneira correta para garantir uma captação de dados eficiente em
relação à área desejada (Figura 33).
FIGURA 33. A MESA DE UM TOMOGRÁFO
AN02FREV001/REV 4.0
50
FONTE: Disponível em: <http://www.acbo.org.br>. Acesso em: 11 nov. 2012.
A mesa deve ser constituída de material resistente e rígido. A resistência
está relacionada à capacidade em suportar o peso do paciente. Os modelos mais
modernos apresentam uma tolerância de até 200kg. Esse limite deve sempre ser
respeitado a fim de evitar a ocorrência de acidentes. Já a rigidez está relacionada ao
fato da mesa apresentar a capacidade de não flexionar com a movimentação no
gantry. Outra característica que o material da mesa deve ter é a baixa capacidade
de atenuar o feixe de raios x. Dessa forma, não haverá distorção na reconstrução da
imagem.
A mesa tem a capacidade de movimentação em relação ao gantry, ou seja,
é um dispositivo regulável tanto em altura quanto em profundidade. Na figura 34
podemos ter uma noção do seu movimento. Lembrando que a movimentação da
mesa é controlada pelo comando na parte frontal do gantry.
AN02FREV001/REV 4.0
51
FIGURA 34. MOVIMENTAÇÃO DA MESA DE PACIENTE
Movimentação horizontal
AN02FREV001/REV 4.0
52
Movimentação vertical
FONTE: Disponível em: <http://www.acbo.org.br>. Acesso em: 11 nov. 2012.
A mesa não é escaneada em toda a sua extensão. Diante disso, o paciente
deve ser posicionado de forma a facilitar a análise da região do corpo desejada. Por
exemplo, caso o paciente necessita de uma tomografia nas regiões superiores do
corpo, ele deve ser posicionado com a cabeça voltada para o gantry, caso seja uma
tomografia das regiões inferiores, o posicionamento deve ser inverso.
A mesa permite a utilização de acessórios específicos e próprios para
aumentar o conforto do paciente no momento do exame. Alguns desses acessórios
podem ser visualizados na figura 35.
AN02FREV001/REV 4.0
53
FIGURA 35. ACESSÓRIOS DA MESA
FONTE: Disponível em: <http://www.acbo.org.br>. Acesso em: 11 nov. 2012.
2.3 O GERADOR DE RAIOS X
Um aparelho de raios X deve possuir os seguintes componentes:
AN02FREV001/REV 4.0
54
 Gerador de Raios X;
 Tubo de raios X;
 O filtro do feixe de raios X;
 Os detectores;
 Os colimadores.
Nesse módulo definiremos todos os componentes citados acima, com
exceção dos colimadores, que serão descritos no próximo módulo.
Os geradores de raios X dos tomógrafos mais modernos são caracterizados
por apresentar alta frequência e funcionamento contínuo muito superior aos
geradores convencionais. Os geradores de raios X de alta frequência possuem
vários componentes, como:
 Transformadores de frequência: são os responsáveis por transformar a
baixa frequência (60 Hz - Hertz) em alta frequência (500 a 25.000 Hz).
AN02FREV001/REV 4.0
55
 Transformadores de tensão: são os responsáveis por transformar a
baixa tensão em alta tensão (80 a 140 kV -kilovolts).
 Transformadores de corrente: são os responsáveis por transformar a
corrente alternada em corrente contínua, dada em mA (miliamperes).
Esses componentes garantem que haja estabilidade na emissão de fótons
do feixe em todo o processo de irradiação. Outro componente do sistema de raios X
é o tubo de raios X. O tubo de raios X dos tomógrafos modernos é capaz de
sustentar potências extremamente elevadas e um alto grau de calor, o que exige
como já foi dito, um sistema de refrigeração eficiente. A diferença em relação aos
tubos de raios X convencionais é que, no tomógrafo, ele trabalha em movimento, o
que permite a realização de exames com alto parâmetro de qualidade. O tubo de
raios X de um tomógrafo pode ser visto na figura 36.
AN02FREV001/REV 4.0
56
FIGURA 36. TUBO DE RAIOS X DE UM TOMÓGRAFO
FONTE: Disponível em: <http://www.acbo.org.br>. Acesso em: 11 nov. 2012.
O tubo de raios X de um tomógrafo é constituído dos seguintes
componentes:
a) Cápsula ou envoltório
A cápsula ou envoltório é um dispositivo composto de metal duplo, com
revestimento de chumbo, que envolve o tubo de raios X com o auxílio de um óleo de
isolamento e refrigeração.
A cápsula tem como função promover a proteção elétrica e mecânica do
tubo, além de promover também a dissipação de calor. Essa dissipação ocorre de
duas formas: pela interação do tubo com o óleo e pela interação da cápsula com o
AN02FREV001/REV 4.0
57
ar do ambiente. Na cápsula encontra-se uma abertura denominada janela, por onde
é liberado o feixe de raios X.
b) Catódio
O catódio é um aparato composto por filamentos de tunsgtênio, localizados
no interior do coletor eletrônico. A função primordial do cátodo é a liberação de
elétrons. Seus filamentos estão relacionados ao foco.
c) Anódio rotatório
Após liberados pelo catódio, os elétrons atingem o anódio, formando os raios
X, liberando, dessa forma, muito calor. O anódio rotatório permite parâmetros
técnicos superiores quando comparados com o anódio fixo. Dessa forma, as
imagens produzidas são mais fidedignas com a realidade.
Como dito anteriormente, os raios X são formados pelo contato dos elétrons
liberados do catódio com o anódio. Porém, apenas 1% da energia dos elétrons é
transformada em raios X, o restante gerado é calor. Portanto, o rendimento de
geração de raios X é extremamente baixo. Dessa forma, para aumentar esse
rendimento, deve-se aumentar a corrente de energia.
O feixe de radiação que é liberado pela janela do envoltório é denominado
de feixe útil de radiação. A qualidade do feixe útil depende da tensão aplicada ao
tubo. Quanto menor a variação da tensão, maior a qualidade do feixe formado. Os
tubos mais modernos apresentam uma durabilidade de 10.000 a 40.000 horas.
Como os raios X, que são liberados do tubo, apresentam diferentes
comprimentos de ondas, ou seja, são policromáticos ou polienergéticos, há a
necessidade de um filtro, capaz de gerar um feixe composto por raios X com
energias semelhantes (monoenergético), imprescindível para a reconstrução de uma
AN02FREV001/REV 4.0
58
imagem com qualidade. A esse filtro, damos o nome de filtro de feixe de raios
(Figura 37).
FIGURA 37. FILTRO DE FEIXE DE RAIOS X
FONTE: Disponível em: <http://www.acbo.org.br>. Acesso em: 11 nov. 2012.
2.4 OS DETECTORES
Os detectores ou sensores são dispositivos responsáveis em captar a
radiação e transformar os dados obtidos em sinais elétricos analógicos. Os
detectores podem ser de dois tipos: os detectores de estado sólido (Figura 38A) ou
as câmaras de ionização que contêm o gás xenônio (Figura 38B).
AN02FREV001/REV 4.0
59
FIGURA 38. TIPOS DE DETECTORES
FONTE: Disponível em: <http://www.acbo.org.br>. Acesso em: 11 nov. 2012.
Os detectores, para ser considerados ideais, devem apresentar as
seguintes características:
 Alta eficiência na transformação do sinal, dessa forma, será necessária
uma dose baixa de irradiação incidindo no paciente para garantir a reconstrução da
imagem desejada;
 Alta estabilidade;
 Baixa sensibilidade a variações de temperatura.
AN02FREV001/REV 4.0
60
2.5 O SISTEMA COMPUTACIONAL
Depois de transformados em sinais elétricos pelos detectores, os sinais são
digitalizados e processados pelo sistema computacional, por meio de um software
específico.
O sistema computacional (Figura 39) é composto por: monitor e CPU
(computador) e o painel de comando. A imagem obtida pelo processo de
digitalização é armazenada em um banco de dados para posterior manipulação.
Todo o sistema computacional fica localizado em uma sala específica,
separada da sala de exames, onde os profissionais mantêm contato com o paciente
durante todo o processo do exame, por meio de um sistema de microfones que são
instalados no gantry. Esse procedimento é uma forma de evitar o contato com a
radiação. Caso seja necessária a entrada do profissional na sala de exames durante
o exame, são adotadas diversas medidas de segurança. Além disso, a sala possui
revestimento protetor, tudo para garantir a segurança ocupacional.
É por meio do computador que é feita toda a programação do tomógrafo.
AN02FREV001/REV 4.0
61
FIGURA 39. SISTEMA COMPUTACIONAL
FONTE: Disponível em: <http://www.acbo.org.br>. Acesso em: 11 nov. 2012.
AN02FREV001/REV 4.0
62
2.6 O PAINEL DE COMANDO
O painel de comando é um constituinte do sistema computacional. É por
meio dele que o profissional realiza todos os procedimentos durante todo o exame.
O painel de controle é constituído dos seguintes componentes:
 Teclado alfa-numérico;
 Mouse;
 Monitor destinado ao planejamento do exame;
 Monitor destinado à visualização das imagens;
 Microfones para comunicação com o paciente.
2.7 A IMAGEM FÍSICA
Como já dito anteriormente, os detectores são responsáveis em captar a
radiação e transformar os dados obtidos em sinais elétricos. Esses sinais são
digitalizados e processados pelo sistema computacional, por meio de um software
específico.
A digitalização ocorre por meio da transformação dos sinais elétricos em
dígitos, pela natureza binária do sistema. Só assim é possível a concretização da
imagem física.
As imagens são armazenadas no computador em formato DICOM (Digital
Imaging and Communication in Medicine). Todo o processo está envolvido no
AN02FREV001/REV 4.0
63
sistema PACS (Picture Archiving and Communication System), um sistema de
geração de imagens físicas.
A interpretação das imagens com anatomicidade só é possível pelas
projeções em diferentes ângulos que são realizados pelo computador, representada
em uma matriz de imagem.
Uma matriz de imagem é composta por pixels. Pixels são as unidades
formadoras de uma imagem digital. Portanto, a matriz é considerada um arranjo de
pixels. Diante disso, quanto maior a matriz, ou seja, quanto maior o número de
pixels, melhor será a resolução da imagem.
Na atualidade, os padrões das matrizes são: 340 x 340, 512 x 512, 768 x
768 e 1024 x 1024 pixels. Na figura 40 está uma ilustração de um pixel.
AN02FREV001/REV 4.0
64
FIGURA 40. ILUSTRAÇÃO DE UM PIXEL
FONTE: Disponível em: <http://www.quenerd.com.br>. Acesso em: 13 nov. 2012.
O pixel, portanto, é uma unidade de medida bidimensional (altura x
comprimento). O voxel já é uma medida tridimensional, já que adiciona a
característica profundidade no processo (Figura 41).
AN02FREV001/REV 4.0
65
FIGURA 41. ILUSTRAÇÃO DE UM VOXEL
FONTE: Disponível em: <http://www.quenerd.com.br>. Acesso em: 13 nov. 2012.
Como citado anteriormente, todo aparelho de tomografia computadorizada
possui um sistema de geração de imagens, o PACS. Há dois sistemas de geração
de imagens: o convencional e o de impressão a laser. No convencional, as imagens
são impressas da mesma forma que nos diagnósticos de raios X, pela mesma
metodologia. Já no sistema de impressão a laser, selecionam-se as imagens de
forma organizada e essas são diretamente encaminhadas à impressora, sendo
impressas em papel próprio.
A qualidade das imagens está relacionada aos valores do coeficiente de
atenuação dos raios X (UH – Unidade de Hounsfield). Cada componente do corpo
humano apresenta uma faixa de UH característica, como pode ser observado na
tabela 1. Porém, esse valor vai depender da estrutura onde se encontra tal
AN02FREV001/REV 4.0
66
componente. O coeficiente é correlacionado com a densidade desses componentes.
Toda comparação é feita em relação à água.
TABELA 1. CORRELAÇÃO ENTRE O UH E O ASPECTO DA IMAGEM
Tecido UH Aspecto da imagem
Ar -1000 Preto
Pulmão -900 a -400 Cinza escuro a preto
Gordura -110 a -65 Cinza escuro a preto
Água 0 Escala de cinza
Rim 30 Escala de cinza
Sangue normal 35 a 55 Escala de cinza
Sangue coagulado 80 Escala de cinza
Substância cinzenta 30 a 40 Escala de cinza
Substância branca 35 a 45 Escala de cinza
Músculo 40 a 60 Escala de cinza
Fígado 50 a 85 Escala de cinza
Osso medular 130 a 250 Escala de cinza
Osso cortical 300 a 1000 Branco
FONTE: Disponível em: <http://www.radioinmama.com.br>. Acesso em: 13 nov. 2012.
As imagens de tomografia computadorizada apresentam as seguintes
características:
a) Resolução de baixo contraste ou sensibilidade de contraste.
Essa característica permite a visualização do contraste entre duas estruturas
com densidades semelhantes. Um exemplo é a possibilidade de visualização da
massa cinzenta e da massa branca do cérebro. Essa característica é influenciada
por diversos fatores como: a insciência de radiação recebida pelos detectores, à
espessura do corte, a dimensão do paciente, a qualidade dos detectores, dentre
outros.
AN02FREV001/REV 4.0
67
b) Ruído
O ruído é um efeito gerado pela flutuação dos elétrons. Quanto mais
eficiente os detectores, menores serão os ruídos gerados. Os ruídos dificultam a
interpretação das imagens de tomografia computadorizada.
c) Resolução espacial de alto contraste
É a capacidade de distinção entre dois pontos de alto contraste, levando em
consideração uma pequena distância entre eles. Muitos fatores afetam essa
capacidade como: a magnitude da matriz, a magnitude do foco, a magnitude da
abertura dos detectores, a espessura da porção analisada, os movimentos de mesa
durante o escaneamento.
d) Os artefatos de imagem
Os artefatos de imagem são quaisquer estruturas ou padrões divergentes do
objeto de estudo. Os artefatos de imagem podem ser causados por uma infinidade
de fatores, os principais são: artefatos de movimento, causados tanto por
movimentos voluntários (Figura 42 A) quanto por movimentos involuntários do corpo
humano (Figura 42 B) e os artefatos de alta atenuação (Figura 43), como obturações
dentárias e outros objetos.
AN02FREV001/REV 4.0
68
FIGURA 42. ARTEFATOS DE MOVIMENTO
FONTE: Disponível em: <http://www.radioinmama.com.br>. Acesso em: 13 nov. 2012.
FIGURA 43. ARTEFATOS DE ALTA ATENUAÇÃO
FONTE: Disponível em: <http://www.radioinmama.com.br>. Acesso em: 13 nov. 2012.
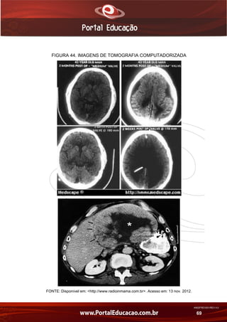
Na figura 44 temos alguns exemplos de imagens de tomografia
computadorizada.
A B
AN02FREV001/REV 4.0
69
FIGURA 44. IMAGENS DE TOMOGRAFIA COMPUTADORIZADA
FONTE: Disponível em: <http://www.radioinmama.com.br>. Acesso em: 13 nov. 2012.
AN02FREV001/REV 4.0
70
FIM DO MÓDULO II

Tomografia computadorizada 02 (1)

  • 1.
    AN02FREV001/REV 4.0 38 PROGRAMA DEEDUCAÇÃO CONTINUADA A DISTÂNCIA Portal Educação CURSO DE TOMOGRAFIA COMPUTADORIZADA Aluno: EaD - Educação a Distância Portal Educação
  • 2.
    AN02FREV001/REV 4.0 39 CURSO DE TOMOGRAFIACOMPUTADORIZADA MÓDULO II Atenção: O material deste módulo está disponível apenas como parâmetro de estudos para este Programa de Educação Continuada. É proibida qualquer forma de comercialização ou distribuição do mesmo sem a autorização expressa do Portal Educação. Os créditos do conteúdo aqui contido são dados aos seus respectivos autores descritos nas Referências Bibliográficas.
  • 3.
    AN02FREV001/REV 4.0 40 MÓDULO II 2COMPONENTES DOS APARELHOS DE TC Independente da geração do aparelho de tomografia computadorizada há componentes-padrão, que serão descritos neste módulo. O esquema de um sistema tomográfico pode ser visto na figura 26. FIGURA 26. COMPONENTES DE UM TOMÓGRAFO.
  • 4.
    AN02FREV001/REV 4.0 41 FONTE: Disponívelem: <http://www.acbo.org.br>. Acesso em: 11 nov. 2012. 2.1 O GANTRY O gantry, também chamado de pórtico ou portal, é considerado o maior componente de um aparelho de tomografia computadorizada (Figura 27). É o aparato que permite a passagem do paciente posicionado sobre a mesa de exame.
  • 5.
    AN02FREV001/REV 4.0 42 FIGURA 27.GANTRY DO TOMÓGRAFO FONTE: Disponível em: <http://www.acbo.org.br>. Acesso em: 11 nov. 2012. O gantry é constituído por um anel que representa o local onde estão os sensores ou detectores (cristais luminescentes - NAL) e o gerador de feixes, também chamado de ampola de feixes, por onde os feixes de raios X são emitidos (Figura 28).
  • 6.
    AN02FREV001/REV 4.0 43 FIGURA 28.ANEL DO GANTRY DE UM TOMÓGRAFO FONTE: Disponível em: <http://www.acbo.org.br. Acesso em: 11 nov. 2012. Todos os comandos básicos que controlam o gantry se encontram em um painel na parte frontal do próprio gantry (Figura 29). Esses comandos controlam diversas opções como: altura e movimentação da mesa, angulação do gantry e a ativação dos eixos que promovem a centralização dos feixes na área examinada no paciente.
  • 7.
  • 8.
    AN02FREV001/REV 4.0 45 FONTE: Disponívelem: <http://www.acbo.org.br>. Acesso em: 11 nov. 2012. É por meio da inclinação proporcionada pelo gantry, de - 30º a + 30º (Figura 30) em relação ao eixo vertical, que ocorre o processo de escaneamento sobre o paciente na mesa de exame, responsável pela captação dos dados do paciente (Sistema de Aquisição de Dados - DAS), possibilitando os diferentes cortes em diferentes planos.
  • 9.
    AN02FREV001/REV 4.0 46 FIGURA 30.INCLINAÇÃO DO GANTRY FONTE: Disponível em: <http://www.acbo.org.br>. Acesso em: 11 nov. 2012. Esse escaneamento dependerá do modelo do tomógrafo utilizado e da programação, pois está relacionado às movimentações do tubo de feixe de raios X. O gantry possui um sistema de refrigeração próprio, responsável por refrigerar o tubo de feixes de raios X, além de um conjunto de motores responsáveis pelo controle do equipamento. Na figura 31 podemos ver com mais detalhes o esquema das partes de um gantry.
  • 10.
    AN02FREV001/REV 4.0 47 FIGURA 31.PARTES DE UM GANTRY FONTE: Disponível em: <http://www.radioinmama.com.br>. Acesso em: 11 nov. 2012.
  • 11.
    AN02FREV001/REV 4.0 48 No gantryencontram-se dispostos os projetores de luz, que facilitam o posicionamento do paciente de acordo com a área a ser analisada no exame (Figura 32). FIGURA 32. PROJETORES DISPOSTOS NO GANTRY FONTE: Disponível em: <http://www.acbo.org.br>. Acesso em: 11 nov. 2012.
  • 12.
    AN02FREV001/REV 4.0 49 2.2 AMESA A mesa de exames de um tomógrafo é o local onde há o posicionamento do paciente de maneira correta para garantir uma captação de dados eficiente em relação à área desejada (Figura 33). FIGURA 33. A MESA DE UM TOMOGRÁFO
  • 13.
    AN02FREV001/REV 4.0 50 FONTE: Disponívelem: <http://www.acbo.org.br>. Acesso em: 11 nov. 2012. A mesa deve ser constituída de material resistente e rígido. A resistência está relacionada à capacidade em suportar o peso do paciente. Os modelos mais modernos apresentam uma tolerância de até 200kg. Esse limite deve sempre ser respeitado a fim de evitar a ocorrência de acidentes. Já a rigidez está relacionada ao fato da mesa apresentar a capacidade de não flexionar com a movimentação no gantry. Outra característica que o material da mesa deve ter é a baixa capacidade de atenuar o feixe de raios x. Dessa forma, não haverá distorção na reconstrução da imagem. A mesa tem a capacidade de movimentação em relação ao gantry, ou seja, é um dispositivo regulável tanto em altura quanto em profundidade. Na figura 34 podemos ter uma noção do seu movimento. Lembrando que a movimentação da mesa é controlada pelo comando na parte frontal do gantry.
  • 14.
    AN02FREV001/REV 4.0 51 FIGURA 34.MOVIMENTAÇÃO DA MESA DE PACIENTE Movimentação horizontal
  • 15.
    AN02FREV001/REV 4.0 52 Movimentação vertical FONTE:Disponível em: <http://www.acbo.org.br>. Acesso em: 11 nov. 2012. A mesa não é escaneada em toda a sua extensão. Diante disso, o paciente deve ser posicionado de forma a facilitar a análise da região do corpo desejada. Por exemplo, caso o paciente necessita de uma tomografia nas regiões superiores do corpo, ele deve ser posicionado com a cabeça voltada para o gantry, caso seja uma tomografia das regiões inferiores, o posicionamento deve ser inverso. A mesa permite a utilização de acessórios específicos e próprios para aumentar o conforto do paciente no momento do exame. Alguns desses acessórios podem ser visualizados na figura 35.
  • 16.
    AN02FREV001/REV 4.0 53 FIGURA 35.ACESSÓRIOS DA MESA FONTE: Disponível em: <http://www.acbo.org.br>. Acesso em: 11 nov. 2012. 2.3 O GERADOR DE RAIOS X Um aparelho de raios X deve possuir os seguintes componentes:
  • 17.
    AN02FREV001/REV 4.0 54  Geradorde Raios X;  Tubo de raios X;  O filtro do feixe de raios X;  Os detectores;  Os colimadores. Nesse módulo definiremos todos os componentes citados acima, com exceção dos colimadores, que serão descritos no próximo módulo. Os geradores de raios X dos tomógrafos mais modernos são caracterizados por apresentar alta frequência e funcionamento contínuo muito superior aos geradores convencionais. Os geradores de raios X de alta frequência possuem vários componentes, como:  Transformadores de frequência: são os responsáveis por transformar a baixa frequência (60 Hz - Hertz) em alta frequência (500 a 25.000 Hz).
  • 18.
    AN02FREV001/REV 4.0 55  Transformadoresde tensão: são os responsáveis por transformar a baixa tensão em alta tensão (80 a 140 kV -kilovolts).  Transformadores de corrente: são os responsáveis por transformar a corrente alternada em corrente contínua, dada em mA (miliamperes). Esses componentes garantem que haja estabilidade na emissão de fótons do feixe em todo o processo de irradiação. Outro componente do sistema de raios X é o tubo de raios X. O tubo de raios X dos tomógrafos modernos é capaz de sustentar potências extremamente elevadas e um alto grau de calor, o que exige como já foi dito, um sistema de refrigeração eficiente. A diferença em relação aos tubos de raios X convencionais é que, no tomógrafo, ele trabalha em movimento, o que permite a realização de exames com alto parâmetro de qualidade. O tubo de raios X de um tomógrafo pode ser visto na figura 36.
  • 19.
    AN02FREV001/REV 4.0 56 FIGURA 36.TUBO DE RAIOS X DE UM TOMÓGRAFO FONTE: Disponível em: <http://www.acbo.org.br>. Acesso em: 11 nov. 2012. O tubo de raios X de um tomógrafo é constituído dos seguintes componentes: a) Cápsula ou envoltório A cápsula ou envoltório é um dispositivo composto de metal duplo, com revestimento de chumbo, que envolve o tubo de raios X com o auxílio de um óleo de isolamento e refrigeração. A cápsula tem como função promover a proteção elétrica e mecânica do tubo, além de promover também a dissipação de calor. Essa dissipação ocorre de duas formas: pela interação do tubo com o óleo e pela interação da cápsula com o
  • 20.
    AN02FREV001/REV 4.0 57 ar doambiente. Na cápsula encontra-se uma abertura denominada janela, por onde é liberado o feixe de raios X. b) Catódio O catódio é um aparato composto por filamentos de tunsgtênio, localizados no interior do coletor eletrônico. A função primordial do cátodo é a liberação de elétrons. Seus filamentos estão relacionados ao foco. c) Anódio rotatório Após liberados pelo catódio, os elétrons atingem o anódio, formando os raios X, liberando, dessa forma, muito calor. O anódio rotatório permite parâmetros técnicos superiores quando comparados com o anódio fixo. Dessa forma, as imagens produzidas são mais fidedignas com a realidade. Como dito anteriormente, os raios X são formados pelo contato dos elétrons liberados do catódio com o anódio. Porém, apenas 1% da energia dos elétrons é transformada em raios X, o restante gerado é calor. Portanto, o rendimento de geração de raios X é extremamente baixo. Dessa forma, para aumentar esse rendimento, deve-se aumentar a corrente de energia. O feixe de radiação que é liberado pela janela do envoltório é denominado de feixe útil de radiação. A qualidade do feixe útil depende da tensão aplicada ao tubo. Quanto menor a variação da tensão, maior a qualidade do feixe formado. Os tubos mais modernos apresentam uma durabilidade de 10.000 a 40.000 horas. Como os raios X, que são liberados do tubo, apresentam diferentes comprimentos de ondas, ou seja, são policromáticos ou polienergéticos, há a necessidade de um filtro, capaz de gerar um feixe composto por raios X com energias semelhantes (monoenergético), imprescindível para a reconstrução de uma
  • 21.
    AN02FREV001/REV 4.0 58 imagem comqualidade. A esse filtro, damos o nome de filtro de feixe de raios (Figura 37). FIGURA 37. FILTRO DE FEIXE DE RAIOS X FONTE: Disponível em: <http://www.acbo.org.br>. Acesso em: 11 nov. 2012. 2.4 OS DETECTORES Os detectores ou sensores são dispositivos responsáveis em captar a radiação e transformar os dados obtidos em sinais elétricos analógicos. Os detectores podem ser de dois tipos: os detectores de estado sólido (Figura 38A) ou as câmaras de ionização que contêm o gás xenônio (Figura 38B).
  • 22.
    AN02FREV001/REV 4.0 59 FIGURA 38.TIPOS DE DETECTORES FONTE: Disponível em: <http://www.acbo.org.br>. Acesso em: 11 nov. 2012. Os detectores, para ser considerados ideais, devem apresentar as seguintes características:  Alta eficiência na transformação do sinal, dessa forma, será necessária uma dose baixa de irradiação incidindo no paciente para garantir a reconstrução da imagem desejada;  Alta estabilidade;  Baixa sensibilidade a variações de temperatura.
  • 23.
    AN02FREV001/REV 4.0 60 2.5 OSISTEMA COMPUTACIONAL Depois de transformados em sinais elétricos pelos detectores, os sinais são digitalizados e processados pelo sistema computacional, por meio de um software específico. O sistema computacional (Figura 39) é composto por: monitor e CPU (computador) e o painel de comando. A imagem obtida pelo processo de digitalização é armazenada em um banco de dados para posterior manipulação. Todo o sistema computacional fica localizado em uma sala específica, separada da sala de exames, onde os profissionais mantêm contato com o paciente durante todo o processo do exame, por meio de um sistema de microfones que são instalados no gantry. Esse procedimento é uma forma de evitar o contato com a radiação. Caso seja necessária a entrada do profissional na sala de exames durante o exame, são adotadas diversas medidas de segurança. Além disso, a sala possui revestimento protetor, tudo para garantir a segurança ocupacional. É por meio do computador que é feita toda a programação do tomógrafo.
  • 24.
    AN02FREV001/REV 4.0 61 FIGURA 39.SISTEMA COMPUTACIONAL FONTE: Disponível em: <http://www.acbo.org.br>. Acesso em: 11 nov. 2012.
  • 25.
    AN02FREV001/REV 4.0 62 2.6 OPAINEL DE COMANDO O painel de comando é um constituinte do sistema computacional. É por meio dele que o profissional realiza todos os procedimentos durante todo o exame. O painel de controle é constituído dos seguintes componentes:  Teclado alfa-numérico;  Mouse;  Monitor destinado ao planejamento do exame;  Monitor destinado à visualização das imagens;  Microfones para comunicação com o paciente. 2.7 A IMAGEM FÍSICA Como já dito anteriormente, os detectores são responsáveis em captar a radiação e transformar os dados obtidos em sinais elétricos. Esses sinais são digitalizados e processados pelo sistema computacional, por meio de um software específico. A digitalização ocorre por meio da transformação dos sinais elétricos em dígitos, pela natureza binária do sistema. Só assim é possível a concretização da imagem física. As imagens são armazenadas no computador em formato DICOM (Digital Imaging and Communication in Medicine). Todo o processo está envolvido no
  • 26.
    AN02FREV001/REV 4.0 63 sistema PACS(Picture Archiving and Communication System), um sistema de geração de imagens físicas. A interpretação das imagens com anatomicidade só é possível pelas projeções em diferentes ângulos que são realizados pelo computador, representada em uma matriz de imagem. Uma matriz de imagem é composta por pixels. Pixels são as unidades formadoras de uma imagem digital. Portanto, a matriz é considerada um arranjo de pixels. Diante disso, quanto maior a matriz, ou seja, quanto maior o número de pixels, melhor será a resolução da imagem. Na atualidade, os padrões das matrizes são: 340 x 340, 512 x 512, 768 x 768 e 1024 x 1024 pixels. Na figura 40 está uma ilustração de um pixel.
  • 27.
    AN02FREV001/REV 4.0 64 FIGURA 40.ILUSTRAÇÃO DE UM PIXEL FONTE: Disponível em: <http://www.quenerd.com.br>. Acesso em: 13 nov. 2012. O pixel, portanto, é uma unidade de medida bidimensional (altura x comprimento). O voxel já é uma medida tridimensional, já que adiciona a característica profundidade no processo (Figura 41).
  • 28.
    AN02FREV001/REV 4.0 65 FIGURA 41.ILUSTRAÇÃO DE UM VOXEL FONTE: Disponível em: <http://www.quenerd.com.br>. Acesso em: 13 nov. 2012. Como citado anteriormente, todo aparelho de tomografia computadorizada possui um sistema de geração de imagens, o PACS. Há dois sistemas de geração de imagens: o convencional e o de impressão a laser. No convencional, as imagens são impressas da mesma forma que nos diagnósticos de raios X, pela mesma metodologia. Já no sistema de impressão a laser, selecionam-se as imagens de forma organizada e essas são diretamente encaminhadas à impressora, sendo impressas em papel próprio. A qualidade das imagens está relacionada aos valores do coeficiente de atenuação dos raios X (UH – Unidade de Hounsfield). Cada componente do corpo humano apresenta uma faixa de UH característica, como pode ser observado na tabela 1. Porém, esse valor vai depender da estrutura onde se encontra tal
  • 29.
    AN02FREV001/REV 4.0 66 componente. Ocoeficiente é correlacionado com a densidade desses componentes. Toda comparação é feita em relação à água. TABELA 1. CORRELAÇÃO ENTRE O UH E O ASPECTO DA IMAGEM Tecido UH Aspecto da imagem Ar -1000 Preto Pulmão -900 a -400 Cinza escuro a preto Gordura -110 a -65 Cinza escuro a preto Água 0 Escala de cinza Rim 30 Escala de cinza Sangue normal 35 a 55 Escala de cinza Sangue coagulado 80 Escala de cinza Substância cinzenta 30 a 40 Escala de cinza Substância branca 35 a 45 Escala de cinza Músculo 40 a 60 Escala de cinza Fígado 50 a 85 Escala de cinza Osso medular 130 a 250 Escala de cinza Osso cortical 300 a 1000 Branco FONTE: Disponível em: <http://www.radioinmama.com.br>. Acesso em: 13 nov. 2012. As imagens de tomografia computadorizada apresentam as seguintes características: a) Resolução de baixo contraste ou sensibilidade de contraste. Essa característica permite a visualização do contraste entre duas estruturas com densidades semelhantes. Um exemplo é a possibilidade de visualização da massa cinzenta e da massa branca do cérebro. Essa característica é influenciada por diversos fatores como: a insciência de radiação recebida pelos detectores, à espessura do corte, a dimensão do paciente, a qualidade dos detectores, dentre outros.
  • 30.
    AN02FREV001/REV 4.0 67 b) Ruído Oruído é um efeito gerado pela flutuação dos elétrons. Quanto mais eficiente os detectores, menores serão os ruídos gerados. Os ruídos dificultam a interpretação das imagens de tomografia computadorizada. c) Resolução espacial de alto contraste É a capacidade de distinção entre dois pontos de alto contraste, levando em consideração uma pequena distância entre eles. Muitos fatores afetam essa capacidade como: a magnitude da matriz, a magnitude do foco, a magnitude da abertura dos detectores, a espessura da porção analisada, os movimentos de mesa durante o escaneamento. d) Os artefatos de imagem Os artefatos de imagem são quaisquer estruturas ou padrões divergentes do objeto de estudo. Os artefatos de imagem podem ser causados por uma infinidade de fatores, os principais são: artefatos de movimento, causados tanto por movimentos voluntários (Figura 42 A) quanto por movimentos involuntários do corpo humano (Figura 42 B) e os artefatos de alta atenuação (Figura 43), como obturações dentárias e outros objetos.
  • 31.
    AN02FREV001/REV 4.0 68 FIGURA 42.ARTEFATOS DE MOVIMENTO FONTE: Disponível em: <http://www.radioinmama.com.br>. Acesso em: 13 nov. 2012. FIGURA 43. ARTEFATOS DE ALTA ATENUAÇÃO FONTE: Disponível em: <http://www.radioinmama.com.br>. Acesso em: 13 nov. 2012. Na figura 44 temos alguns exemplos de imagens de tomografia computadorizada. A B
  • 32.
    AN02FREV001/REV 4.0 69 FIGURA 44.IMAGENS DE TOMOGRAFIA COMPUTADORIZADA FONTE: Disponível em: <http://www.radioinmama.com.br>. Acesso em: 13 nov. 2012.
  • 33.