FABIANO LADISLAU
Técnico em Radiologia
Grad. Tecnólogo em Radiologia
RD, TC, RM e Neurorradiologia
CEPro do CRTR/RJ
Vice-Presidente da APROTERJ
Diretor Administrativo do CTI
Membro da ISRRT e Sócio da SBPR
SARAH / Rio de Janeiro
• O QUE É O GADOLÍNIO;
• ESTRUTURA DO GADOLÍNIO;
• UTILIZAÇÃO DO MEIO DE CONTRASTE;
• REAÇÕES ADVERSSAS;
• CONTRA-INDICAÇÕES;
• FIBROSE SISTÊMICA NEFROGÊNICA.
A IRM tornou-se a modalidade de escolha
para o estudo por imagem das doenças do SNC,
com amplas aplicações do abdome, na pelve e
no sistema musculoesquelético.
O desenvolvimento simultâneo dos meios
de contrastes, agora com uso amplamente
difundido ajudou na rápida expansão neste
campo e no aumento da eficácia.
“RESSONÂNCIA MAGNÉTICA - David D. Stark e Willian G. Bradley, Jr. “
Os meios de contraste radiológicos são
compostos introduzidos no organismo por
diferentes vias, que permitem aumentar a
definição das imagens radiográficas, graças ao
aumento de contraste provocado por eles,
possibilitando, desse modo, maior precisão em
exames de diagnóstico por imagem.
“ACR Manual on Contrast Media – Version 7 (2010)”
• O Gadolínio é um elemento químico metálico, branco
prateado, maleável, da série dos Lantanídeos e de
estrutura cristalina hexagonal. Possui aspecto
semelhante ao aço, com propriedades
supercondutoras e é quimicamente muito ativo;
• Observado primeiro pelo químico suíço Jean Charles
Galissard de Marinac nos minerais Didimio (mistura
de várias terras raras) e Gadolimita (Silicato de Berílio,
Ferro e Ítrio) em 1880 e nomeado gadolínio em
homenagem ao cientista finlandês Johan Gadolin.
• Metal pesado altamente tóxico ao organismo;
• Associação de substâncias conhecidas como
quelantes;
• Múltiplos estudos relatam o elevado índice de
segurança desses agentes em RM;
• Reações anafilactóides são raras,
correspondendo a menos de 0,01%, 17 vezes
menos frequentes do que as reações com
contraste iodado iônico.
• Meio de contraste positivo mais utilizado em
RM. É uma substância paramagnética que
possui um momento magnético relativamente
grande;
• Existe uma transferência de energia para o
meio (lattice) circundante e há uma redução
dos tempos de relaxamento T1, assim como o
de T2.
• CONTRASTE T1: Provoca o encurtamento do tempo
de relaxação longitudinal, intensificando o sinal dos
tecidos.
GADOLÍNIO (hiperintenso)
• CONTRASTE T2: Encurtamento dos tempos de
relaxação transversal, provocando redução do sinal
dos tecidos.
ÓXIDO DE FERRO (hipointenso)
“Curso de Ressonância Magnética da UFRJ”
y
x
z
RF
B0
Bobina
Ângulo Q = freqüência do pulso de RF X duração do pulso de RF
Q = g B1 t
t = duração do pulso de RF
B1= extensão do campo magnético de RF
g = razão giromagnética
Freqüência de Larmor
Sinal de RM
y
x
z
RF
B0
Sinal de RM
Freqüência de Larmor
Bobina
CONTRASTE T1
(gadolínio)
MAGNEVISTAM
DOTAREM
CONTRASTE T2
(óxido ferroso)
LUMIREM
FERIDEX
• Magnevistan®, Omniscan ®, ProHance ® e
Dotarem®.
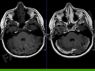
• Tumores e metástases;
• Reações inflamatórias e
processos infecciosos;
• Placas de esclerose ativas;
• Pós-operatório;
• Estudos vasculares (angio-
RM) e estudos perfusionais.
SCALP JELCO
BOMBA INJETORA
PERFUSÃO
SEQUÊNCIAS DINÂMICAS
FASE
ARTERIAL
FASE
TARDIA
FASE
VENOSA
• MEDIDAS PROFILÁTICAS:
- Hidratação e jejum;
- Sedação e anestesia;
- Anti-histamínicos e corticosteróides;
• FATORES DE RISCO INERENTES:
- Hipersensibilidade ao agente de contraste iodado;
- Alergia;
- Hipertiroidismo;
- Desidratação;
- Insuficiência cardiovascular grave;
- Insuficiência pulmonar e asma;
- Insuficiência renal;
- Nefropatia em paciente diabéticos;
- Doença autoimune;
- Idade avançada;
- Ansiedade.
• Costumam ser tolerados pela maioria dos pacientes;
• Com relação ao MC iodado, frequência
consideravelmente mais baixa;
• Após a injeção de 0,1 ou 0,2mmol/Kg varia de 0,07%
a 2,4%, sendo a vasta maioria reações leves
(calafrios, náuseas com ou sem vômitos, cefaleia,
calor ou dor no local da aplicação, parentesias,
vertigem e purido).
“Manual de Técnicas em RESSONÂNCIA MAGNÉTICA – Fernanda Meireles e Marcelo Nacif”
Efeitos colaterais Reações Leves Reações Moderadas Reações Graves
Náuseas Prurido Dispnéia
Insuficiência
respiratória grave
Vômitos Rash cutâneo Broncosparmo Perda da consciência
Alteração no paladar Urticária Edema laringeo leve Convulsão
Sudorese Tosse
Taquicardia
sintomática
Arritimia
Calor Congestão nasal
Bradicardia
sintomática
Angioedema
progressivo
Rubor Espirro Hipotensão
Parada
cardiorespiratória
Ansiedade Edema palpebral leve Hipertensão
Edema facial leve
“Manual de Técnicas em RESSONÂNCIA MAGNÉTICA – Fernanda Meireles e Marcelo Nacif”
O registro do relato do episódio da reação prévia é
fundamental na tentativa de classificação de sua gravidade!
 Reações leves
Quase sempre autolimitadas e sem necessidade de
tratamento específico.
Reações moderadas
Não ameaçadoras à vida, mas requerem tratamento com
frequência.
Reações severas (raras)
Ameaçadoras à vida e podem ocorrer sem fatores de
risco específico a qualquer tipo de contraste (podem evoluir a
partir de reações leves/moderadas).
Fibrose sistêmica nefrogênica (FSN),
também conhecida como dermopatia fibrosante
nefrogênica (DFN), é uma condição que ocorre
apenas em pacientes com disfunção renal. Além
das lesões cutâneas, esta síndrome inclui fibrose
de músculo esquelético, articulações, fígado,
pulmão e coração e pode ser fatal.
Alerta da FAD, em junho de 2006, sobre a fibrose
nefrogênica sistêmica (FNS).
• RISCO X BENEFÍCIO PONTENCIAL;
• MÉTODOS DE IMAGEM ALTERNATIVOS;
• INDICAÇÃO CLÍNICA APROPRIADA PARA O
EXAME.
O desenvolvimento dos meios de contrastes
foi rápido e sua utilização aumentará a capacidade
diagnóstica de RM no futuro. Assim é importante
que os usuários da RM se mantenham atualizados
com esses avanços para garantir o uso ótimo e
seguro desses agentes.
“O principal objetivo da educação é criar pessoas
capazes de fazer coisas novas e não simplesmente
repetir o que as outras gerações fizeram.”
Jean Piaget
FABIANO LADISLAU
www.aproterj.com.br
fladislau@gmail.com
@fladislau
fladislau@gmail.com
fabianorxtc@hotmail.com

Utilizacao do-gadolinio-em-rm-atual

  • 1.
    FABIANO LADISLAU Técnico emRadiologia Grad. Tecnólogo em Radiologia RD, TC, RM e Neurorradiologia CEPro do CRTR/RJ Vice-Presidente da APROTERJ Diretor Administrativo do CTI Membro da ISRRT e Sócio da SBPR SARAH / Rio de Janeiro
  • 2.
    • O QUEÉ O GADOLÍNIO; • ESTRUTURA DO GADOLÍNIO; • UTILIZAÇÃO DO MEIO DE CONTRASTE; • REAÇÕES ADVERSSAS; • CONTRA-INDICAÇÕES; • FIBROSE SISTÊMICA NEFROGÊNICA.
  • 3.
    A IRM tornou-sea modalidade de escolha para o estudo por imagem das doenças do SNC, com amplas aplicações do abdome, na pelve e no sistema musculoesquelético. O desenvolvimento simultâneo dos meios de contrastes, agora com uso amplamente difundido ajudou na rápida expansão neste campo e no aumento da eficácia. “RESSONÂNCIA MAGNÉTICA - David D. Stark e Willian G. Bradley, Jr. “
  • 4.
    Os meios decontraste radiológicos são compostos introduzidos no organismo por diferentes vias, que permitem aumentar a definição das imagens radiográficas, graças ao aumento de contraste provocado por eles, possibilitando, desse modo, maior precisão em exames de diagnóstico por imagem. “ACR Manual on Contrast Media – Version 7 (2010)”
  • 6.
    • O Gadolínioé um elemento químico metálico, branco prateado, maleável, da série dos Lantanídeos e de estrutura cristalina hexagonal. Possui aspecto semelhante ao aço, com propriedades supercondutoras e é quimicamente muito ativo; • Observado primeiro pelo químico suíço Jean Charles Galissard de Marinac nos minerais Didimio (mistura de várias terras raras) e Gadolimita (Silicato de Berílio, Ferro e Ítrio) em 1880 e nomeado gadolínio em homenagem ao cientista finlandês Johan Gadolin.
  • 7.
    • Metal pesadoaltamente tóxico ao organismo; • Associação de substâncias conhecidas como quelantes; • Múltiplos estudos relatam o elevado índice de segurança desses agentes em RM; • Reações anafilactóides são raras, correspondendo a menos de 0,01%, 17 vezes menos frequentes do que as reações com contraste iodado iônico.
  • 8.
    • Meio decontraste positivo mais utilizado em RM. É uma substância paramagnética que possui um momento magnético relativamente grande; • Existe uma transferência de energia para o meio (lattice) circundante e há uma redução dos tempos de relaxamento T1, assim como o de T2.
  • 9.
    • CONTRASTE T1:Provoca o encurtamento do tempo de relaxação longitudinal, intensificando o sinal dos tecidos. GADOLÍNIO (hiperintenso) • CONTRASTE T2: Encurtamento dos tempos de relaxação transversal, provocando redução do sinal dos tecidos. ÓXIDO DE FERRO (hipointenso) “Curso de Ressonância Magnética da UFRJ”
  • 10.
    y x z RF B0 Bobina Ângulo Q =freqüência do pulso de RF X duração do pulso de RF Q = g B1 t t = duração do pulso de RF B1= extensão do campo magnético de RF g = razão giromagnética Freqüência de Larmor Sinal de RM
  • 11.
  • 12.
  • 13.
    • Magnevistan®, Omniscan®, ProHance ® e Dotarem®.
  • 16.
    • Tumores emetástases; • Reações inflamatórias e processos infecciosos; • Placas de esclerose ativas; • Pós-operatório; • Estudos vasculares (angio- RM) e estudos perfusionais.
  • 17.
  • 18.
  • 22.
  • 23.
  • 27.
    • MEDIDAS PROFILÁTICAS: -Hidratação e jejum; - Sedação e anestesia; - Anti-histamínicos e corticosteróides;
  • 28.
    • FATORES DERISCO INERENTES: - Hipersensibilidade ao agente de contraste iodado; - Alergia; - Hipertiroidismo; - Desidratação; - Insuficiência cardiovascular grave; - Insuficiência pulmonar e asma; - Insuficiência renal; - Nefropatia em paciente diabéticos; - Doença autoimune; - Idade avançada; - Ansiedade.
  • 30.
    • Costumam sertolerados pela maioria dos pacientes; • Com relação ao MC iodado, frequência consideravelmente mais baixa; • Após a injeção de 0,1 ou 0,2mmol/Kg varia de 0,07% a 2,4%, sendo a vasta maioria reações leves (calafrios, náuseas com ou sem vômitos, cefaleia, calor ou dor no local da aplicação, parentesias, vertigem e purido). “Manual de Técnicas em RESSONÂNCIA MAGNÉTICA – Fernanda Meireles e Marcelo Nacif”
  • 31.
    Efeitos colaterais ReaçõesLeves Reações Moderadas Reações Graves Náuseas Prurido Dispnéia Insuficiência respiratória grave Vômitos Rash cutâneo Broncosparmo Perda da consciência Alteração no paladar Urticária Edema laringeo leve Convulsão Sudorese Tosse Taquicardia sintomática Arritimia Calor Congestão nasal Bradicardia sintomática Angioedema progressivo Rubor Espirro Hipotensão Parada cardiorespiratória Ansiedade Edema palpebral leve Hipertensão Edema facial leve “Manual de Técnicas em RESSONÂNCIA MAGNÉTICA – Fernanda Meireles e Marcelo Nacif”
  • 32.
    O registro dorelato do episódio da reação prévia é fundamental na tentativa de classificação de sua gravidade!  Reações leves Quase sempre autolimitadas e sem necessidade de tratamento específico. Reações moderadas Não ameaçadoras à vida, mas requerem tratamento com frequência. Reações severas (raras) Ameaçadoras à vida e podem ocorrer sem fatores de risco específico a qualquer tipo de contraste (podem evoluir a partir de reações leves/moderadas).
  • 34.
    Fibrose sistêmica nefrogênica(FSN), também conhecida como dermopatia fibrosante nefrogênica (DFN), é uma condição que ocorre apenas em pacientes com disfunção renal. Além das lesões cutâneas, esta síndrome inclui fibrose de músculo esquelético, articulações, fígado, pulmão e coração e pode ser fatal.
  • 35.
    Alerta da FAD,em junho de 2006, sobre a fibrose nefrogênica sistêmica (FNS).
  • 38.
    • RISCO XBENEFÍCIO PONTENCIAL; • MÉTODOS DE IMAGEM ALTERNATIVOS; • INDICAÇÃO CLÍNICA APROPRIADA PARA O EXAME.
  • 39.
    O desenvolvimento dosmeios de contrastes foi rápido e sua utilização aumentará a capacidade diagnóstica de RM no futuro. Assim é importante que os usuários da RM se mantenham atualizados com esses avanços para garantir o uso ótimo e seguro desses agentes. “O principal objetivo da educação é criar pessoas capazes de fazer coisas novas e não simplesmente repetir o que as outras gerações fizeram.” Jean Piaget
  • 40.