LMF insuficiência
respiratória aguda
Prof. Francisco Maciel
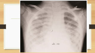
Avaliação da radiografia de tórax
Sequência para avaliação
A: Airways (traqueia, brônquios, pulmões e
pleura)
B: Bones (costelas, clavículas e coluna)
C: Circulation ( coração, vasos e mediastino)
D: Diafragma
E: Exterior (tubos, cateteres e sondas)
Avaliação dos Cortes em tomografia
Corte axial
Corte sagital
Corte coronal
Avaliação dos Cortes em tomografia
Corte axial
Corte sagital
Avaliação dos Cortes em tomografia
Corte axial
Corte sagital
Corte coronal
Avaliação dos Cortes em tomografia
• A caixa torácica tem um tônus basal que mantém sua
conformação e atua diretamente no processo ventilatório, tanto
na inspiração (processo ativo, com gasto de energia) como no
retorno, através das forças de recolhimento, para seu ponto de
repouso.
FUNÇAO RESPIRATÓRIA
O diafragma é um músculo
de atuação inspiratória
Zona Respiratória de Weibel
Divisões brônquicas em gerações, sendo que até a 17 a
Geração em média composição das vias aéreas
exclusivamente por cartilagens e epitélio respiratório,
pseudo-estratificado cilíndrico ciliado.
Volume corrente(VC) Pode-se
definir como o ar que entra e sai
das vias aéreas num ciclo
ventilatório habitual
Volume de Reserva Expiratório
(VRE) é todo ar que se consegue
expirar forçadamente após uma
expiração normal
Volumes e capacidades respiratórias
• Volume Residual (VR): O ar
que não se consegue expirar
• Capacidade Funcional Total:
VR+VRE e representa na prática
c l í n i c a o P O N T O D E
R E P O U S O DA C A I X A
TORÁCICA.
Volumes e capacidades respiratórias
VENTILAÇÃO
• VENTILAR TROCA GASOSA
• O VENTILADOR tem por meta manter a RENOVAÇÃO DO AR
ALVEOLAR de maneira adequada, permitindo níveis adequados de PaO2
PaCO2 na corrente sanguínea.
• PaCO2 na quase totalidade dos casos podem ser atribuídos a uma Sd. de
hipoventilação
• PaO2 é a pressão parcial do gás Oxigênio. Ou seja, representa o gás oxigênio
dissolvido no plasma. pode ser usada como marcador de problemas de troca
Esquema
representando o
transporte
do O2 no sangue
(hematose).
CAUSAS DA HIPOXEMIA: CIRCULAÇÃO E VENTILAÇÃO
• VENTILAÇÃO/PERFUSÃO (V/P).
• As áreas de tecido submetidas somente a ventilação - sem
perfusão - são denominadas áreas de espaço morto
• Já áreas que apresentem somente perfusão, sem ventilação estão
sob o denominado “Shunt”
• O shunt aumenta em situações de colapso pulmonar.
• Quanto maior o shunt num caso de Insuficiência
Respiratória Aguda, maior a gravidade do quadro
• a diminuição da circulação sanguínea em determinada
área proporciona maior ventilação que perfusão,
caracterizando o efeito ESPAÇO-MORTO
• As áreas de tecido submetidas somente a ventilação - sem perfusão - são
denominadas áreas de espaço morto
• Áreas que apresentem somente perfusão, sem ventilação estão sob o
denominado “Shunt” e aquelas áreas sob PREDOMÍNIO de perfusão sobre
a ventilação estão sob Efeito “Shunt”.
• a base pulmonar recebe maior volume de ar e de sangue que os ápices
pulmonares. No entanto, a base tem predomínio de perfusão sobre
ventilação (efeito shunt) e o ápice predomínio de ventilação sobre perfusão
(efeito espaço morto)
IRPA
• Insuficiência respiratória aguda (irpa) pode ser definida como uma
incapacidade do sistema respiratório em captar oxigênio (PO2) e/
ou remover o gás carbônico (PCO2) do sangue e dos tecidos do
organismo.
• Podemos classificar a IRpA em três tipos principais:
•Hipoxêmica
•hipercápnica,
•mista.
IRPA
• A IRpA hipoxêmica é definida por uma PaO2 < 55 a 60mmHg, em ar
ambiente, ou mais caracteristicamente, na vigência de oxigenoterapia com
Fração Inspirada de O2 elevada, maior que 50%.
• A IRpA hipercápnica se caracteriza por uma elevação da PaCO2 acima de 45
a 50mmHg com acidemia resultante, pH<7,34.
• O tipo misto está presente quando ocorre hipoxemia grave associada à
retenção de CO2 com acidose respiratória.
Insuficiência Respiratória
D(A-a)O2: diferença alveolo arterial de oxigênio
VA: ventilação alveolar
Síndrome do desconforto respiratório agudo
(SDRA)
É um tipo de insuficiência respiratória de instalação aguda e se
caracteriza por edema pulmonar agudo de origem inflamatoria, cujas
causas podem ser agressões direta ao pulmão ou indiretas, havendo
lesão tissular em orgãos que afeta os pulmões, inflamando-os a
distância
Síndrome da angústia respiratória aguda
Síndrome da angustia respiratória aguda
• Edema
• Espessamento do interstício alvéolo-capilar
• Aumento da permeabilidade vascular
• Preenchimento da luz alveolar com líquido, proteínas e células
• Diluição da surfactante
• Colapsamento alveolar com perda de sua função.
Esquema da estrutura
normal do parênquima
pulmonar
A agressão ao pulmão ocasiona
FISIOPATOLOGIA
• Existem 2 barreiras que compõem a membrana
alvéolo-capilar:
• Endotelio vascular
• Epitélio alveolar
• Taquidispnéia progressiva: Este é um fenômeno compensatório à
redução da PaO2, da SpO2 e da complacência pulmonar.
• Quando se instala o processo inflamatório, a fração da circulação
pulmonar com shunt se acentua rapidamente.
Clinicamente se instala:
• A resposta a oxigenoterapia não pressurizada é pobre, o paciente
necessitará de intubação endotraqueal e VMI com pressão
positiva, com elevadas FIO2 e estratégias ventilatórias.
• Quanto maior for a agressão epitelial, maior a destruição da
arquitetura alveolar e maior a chance de inadequado processo de
reparação e evolução para fibrose pulmonar
Clinicamente se instala:
• a exsudativa: instalação súbita da insuficiência respiratória
refratária a suplementação O2
• Radiograficamente observa-se infiltrado alveolar difuso,
incaracterístico e muitas vezes compatível com edema pulmonar de
origem cardiogênica. Pode haver derrame pleural.
A sindrome evolui em 2 formas:
• Histologicamente: dano alveolar difuso, destruição arquitetura
alveolar, presença de liquido e alta celularidade no intra alveolar
• Quando a primeira fase evolui favoravelmente, geralmente em 3-4
dias inicia-se melhora clínica e da hipoxemia, com elevação da
relação PaO2/FIO2
A sindrome evolui em 2 formas:
• A fibro-proliferativa: A outra possibilidade é a evolução menos
favorável, quando a hipoxemia se mantém ou piora, indicando avanço
para uma fase proliferativa, com aumento de espaço morto e piora
gradativa da complacência pulmonar.
• Aumento da resistência vascular pulmonar.
• Insuficiência de ventrículo direito
•
A sindrome evolui em 2 formas:
• A fibro-proliferativa: A outra possibilidade é a evolução menos
favorável, quando a hipoxemia se mantém ou piora, indicando avanço
para uma fase proliferativa, com aumento de espaço morto e piora
gradativa da complacência pulmonar.
• Aumento da resistência vascular pulmonar.
• Insuficiência de ventrículo direito
•
A sindrome evolui em 2 formas:
DIAGNÓSTICO
• Critérios de Berlim:
• Tempo: dentro de uma semana de um insulto clínico;
• Imagem de tórax (Rx ou TC): opacidades bilaterais não explicadas por derrames, colapso
lobar/pulmonar ou nódulos;
• Origem do edema: IR não completamente explicada por insuficiência cardíaca ou sobrecarga
de fluidos;
• Hipoxemia: PaO2/ FiO2 ≤ 300; Leve: entre 200 e 300; Moderada:
entre 100 e 200; Grave: menor que 100.
Tratamento
• Seriar gasometria arterial
• Aumentar oferta de oxigênio
• Intubação Traqueal
• Ventilação mecânica invasiva protetora
• Antibióticos (se indicado)
• Corticóide
• Suporte nutricional
• A utilização da prótese endotraqueal Acarretará:
• Perda de proteção dos PÊLOS que ajudam na filtração
• Perda da TORTUOSIDADE DAS Vias Aéreas: aumento da área de
contato, umidificação e aquecimento do ar.
• Perda dos REFLEXOS (TOSSE/ESPIRRO);
• Perda da ação da ESTEIRA MUCOCILIAR
Quais são as modificações na capacidade residual final em um
paciente que encontra-se intubado?
• Modifica-se o equilíbrio de pressões ao final da expiração
• Queda da Capacidade residual funcional(CRF) ocasionando a formação de
micro-atelectasias
• Preconiza-se idéia de se manter um volume extra ao final da expiração
• Visando a manutenção da CRF no valor mais próximo da normalidade
• Porém, pode-se medir a pressão gerada pela presença desse volume, que será denominada então
Pressão Positiva ao Final da Expiração (PEEP 3-5 cm H2O ).
REFERÊNCIA BIBLIOGRÁFICA
• Guyton, AC; Hall, JE. Human Physiology and Mechanisms of Disease, 6th
ed. Philadelphia, W.B. Saunders Company, 1997, 324-336.
• VENUTI; Curso de Ventilação Mecânica em UTI, 2016.

SDRA .pdf

  • 1.
  • 2.
    Avaliação da radiografiade tórax Sequência para avaliação A: Airways (traqueia, brônquios, pulmões e pleura) B: Bones (costelas, clavículas e coluna) C: Circulation ( coração, vasos e mediastino) D: Diafragma E: Exterior (tubos, cateteres e sondas)
  • 3.
    Avaliação dos Cortesem tomografia Corte axial Corte sagital Corte coronal
  • 4.
    Avaliação dos Cortesem tomografia Corte axial Corte sagital
  • 5.
    Avaliação dos Cortesem tomografia Corte axial Corte sagital Corte coronal
  • 6.
  • 7.
    • A caixatorácica tem um tônus basal que mantém sua conformação e atua diretamente no processo ventilatório, tanto na inspiração (processo ativo, com gasto de energia) como no retorno, através das forças de recolhimento, para seu ponto de repouso. FUNÇAO RESPIRATÓRIA
  • 9.
    O diafragma éum músculo de atuação inspiratória Zona Respiratória de Weibel Divisões brônquicas em gerações, sendo que até a 17 a Geração em média composição das vias aéreas exclusivamente por cartilagens e epitélio respiratório, pseudo-estratificado cilíndrico ciliado.
  • 10.
    Volume corrente(VC) Pode-se definircomo o ar que entra e sai das vias aéreas num ciclo ventilatório habitual Volume de Reserva Expiratório (VRE) é todo ar que se consegue expirar forçadamente após uma expiração normal Volumes e capacidades respiratórias
  • 11.
    • Volume Residual(VR): O ar que não se consegue expirar • Capacidade Funcional Total: VR+VRE e representa na prática c l í n i c a o P O N T O D E R E P O U S O DA C A I X A TORÁCICA. Volumes e capacidades respiratórias
  • 12.
    VENTILAÇÃO • VENTILAR TROCAGASOSA • O VENTILADOR tem por meta manter a RENOVAÇÃO DO AR ALVEOLAR de maneira adequada, permitindo níveis adequados de PaO2 PaCO2 na corrente sanguínea. • PaCO2 na quase totalidade dos casos podem ser atribuídos a uma Sd. de hipoventilação • PaO2 é a pressão parcial do gás Oxigênio. Ou seja, representa o gás oxigênio dissolvido no plasma. pode ser usada como marcador de problemas de troca
  • 14.
  • 15.
    CAUSAS DA HIPOXEMIA:CIRCULAÇÃO E VENTILAÇÃO • VENTILAÇÃO/PERFUSÃO (V/P). • As áreas de tecido submetidas somente a ventilação - sem perfusão - são denominadas áreas de espaço morto • Já áreas que apresentem somente perfusão, sem ventilação estão sob o denominado “Shunt”
  • 16.
    • O shuntaumenta em situações de colapso pulmonar. • Quanto maior o shunt num caso de Insuficiência Respiratória Aguda, maior a gravidade do quadro • a diminuição da circulação sanguínea em determinada área proporciona maior ventilação que perfusão, caracterizando o efeito ESPAÇO-MORTO
  • 17.
    • As áreasde tecido submetidas somente a ventilação - sem perfusão - são denominadas áreas de espaço morto • Áreas que apresentem somente perfusão, sem ventilação estão sob o denominado “Shunt” e aquelas áreas sob PREDOMÍNIO de perfusão sobre a ventilação estão sob Efeito “Shunt”. • a base pulmonar recebe maior volume de ar e de sangue que os ápices pulmonares. No entanto, a base tem predomínio de perfusão sobre ventilação (efeito shunt) e o ápice predomínio de ventilação sobre perfusão (efeito espaço morto)
  • 19.
    IRPA • Insuficiência respiratóriaaguda (irpa) pode ser definida como uma incapacidade do sistema respiratório em captar oxigênio (PO2) e/ ou remover o gás carbônico (PCO2) do sangue e dos tecidos do organismo. • Podemos classificar a IRpA em três tipos principais: •Hipoxêmica •hipercápnica, •mista.
  • 20.
    IRPA • A IRpAhipoxêmica é definida por uma PaO2 < 55 a 60mmHg, em ar ambiente, ou mais caracteristicamente, na vigência de oxigenoterapia com Fração Inspirada de O2 elevada, maior que 50%. • A IRpA hipercápnica se caracteriza por uma elevação da PaCO2 acima de 45 a 50mmHg com acidemia resultante, pH<7,34. • O tipo misto está presente quando ocorre hipoxemia grave associada à retenção de CO2 com acidose respiratória.
  • 21.
    Insuficiência Respiratória D(A-a)O2: diferençaalveolo arterial de oxigênio VA: ventilação alveolar
  • 22.
    Síndrome do desconfortorespiratório agudo (SDRA) É um tipo de insuficiência respiratória de instalação aguda e se caracteriza por edema pulmonar agudo de origem inflamatoria, cujas causas podem ser agressões direta ao pulmão ou indiretas, havendo lesão tissular em orgãos que afeta os pulmões, inflamando-os a distância
  • 23.
    Síndrome da angústiarespiratória aguda
  • 24.
    Síndrome da angustiarespiratória aguda
  • 25.
    • Edema • Espessamentodo interstício alvéolo-capilar • Aumento da permeabilidade vascular • Preenchimento da luz alveolar com líquido, proteínas e células • Diluição da surfactante • Colapsamento alveolar com perda de sua função. Esquema da estrutura normal do parênquima pulmonar A agressão ao pulmão ocasiona
  • 26.
    FISIOPATOLOGIA • Existem 2barreiras que compõem a membrana alvéolo-capilar: • Endotelio vascular • Epitélio alveolar
  • 27.
    • Taquidispnéia progressiva:Este é um fenômeno compensatório à redução da PaO2, da SpO2 e da complacência pulmonar. • Quando se instala o processo inflamatório, a fração da circulação pulmonar com shunt se acentua rapidamente. Clinicamente se instala:
  • 28.
    • A respostaa oxigenoterapia não pressurizada é pobre, o paciente necessitará de intubação endotraqueal e VMI com pressão positiva, com elevadas FIO2 e estratégias ventilatórias. • Quanto maior for a agressão epitelial, maior a destruição da arquitetura alveolar e maior a chance de inadequado processo de reparação e evolução para fibrose pulmonar Clinicamente se instala:
  • 29.
    • a exsudativa:instalação súbita da insuficiência respiratória refratária a suplementação O2 • Radiograficamente observa-se infiltrado alveolar difuso, incaracterístico e muitas vezes compatível com edema pulmonar de origem cardiogênica. Pode haver derrame pleural. A sindrome evolui em 2 formas:
  • 30.
    • Histologicamente: danoalveolar difuso, destruição arquitetura alveolar, presença de liquido e alta celularidade no intra alveolar • Quando a primeira fase evolui favoravelmente, geralmente em 3-4 dias inicia-se melhora clínica e da hipoxemia, com elevação da relação PaO2/FIO2 A sindrome evolui em 2 formas:
  • 32.
    • A fibro-proliferativa:A outra possibilidade é a evolução menos favorável, quando a hipoxemia se mantém ou piora, indicando avanço para uma fase proliferativa, com aumento de espaço morto e piora gradativa da complacência pulmonar. • Aumento da resistência vascular pulmonar. • Insuficiência de ventrículo direito • A sindrome evolui em 2 formas:
  • 33.
    • A fibro-proliferativa:A outra possibilidade é a evolução menos favorável, quando a hipoxemia se mantém ou piora, indicando avanço para uma fase proliferativa, com aumento de espaço morto e piora gradativa da complacência pulmonar. • Aumento da resistência vascular pulmonar. • Insuficiência de ventrículo direito • A sindrome evolui em 2 formas:
  • 34.
    DIAGNÓSTICO • Critérios deBerlim: • Tempo: dentro de uma semana de um insulto clínico; • Imagem de tórax (Rx ou TC): opacidades bilaterais não explicadas por derrames, colapso lobar/pulmonar ou nódulos; • Origem do edema: IR não completamente explicada por insuficiência cardíaca ou sobrecarga de fluidos; • Hipoxemia: PaO2/ FiO2 ≤ 300; Leve: entre 200 e 300; Moderada: entre 100 e 200; Grave: menor que 100.
  • 35.
    Tratamento • Seriar gasometriaarterial • Aumentar oferta de oxigênio • Intubação Traqueal • Ventilação mecânica invasiva protetora • Antibióticos (se indicado) • Corticóide • Suporte nutricional
  • 36.
    • A utilizaçãoda prótese endotraqueal Acarretará: • Perda de proteção dos PÊLOS que ajudam na filtração • Perda da TORTUOSIDADE DAS Vias Aéreas: aumento da área de contato, umidificação e aquecimento do ar. • Perda dos REFLEXOS (TOSSE/ESPIRRO); • Perda da ação da ESTEIRA MUCOCILIAR
  • 37.
    Quais são asmodificações na capacidade residual final em um paciente que encontra-se intubado? • Modifica-se o equilíbrio de pressões ao final da expiração • Queda da Capacidade residual funcional(CRF) ocasionando a formação de micro-atelectasias • Preconiza-se idéia de se manter um volume extra ao final da expiração • Visando a manutenção da CRF no valor mais próximo da normalidade • Porém, pode-se medir a pressão gerada pela presença desse volume, que será denominada então Pressão Positiva ao Final da Expiração (PEEP 3-5 cm H2O ).
  • 38.
    REFERÊNCIA BIBLIOGRÁFICA • Guyton,AC; Hall, JE. Human Physiology and Mechanisms of Disease, 6th ed. Philadelphia, W.B. Saunders Company, 1997, 324-336. • VENUTI; Curso de Ventilação Mecânica em UTI, 2016.