TETRALOGIA DE FALLOT
Universidade Federal de Campina Grande
Medicina
Aluno: Neuzelito Cavalcanti Sobral Filho
Professor: Klauber Marques de França
 Introdução
 Epidemiologia
 Causas
 Características clínicas
 História natural
 Diagnóstico
 Crise cianótica
 Tratamento
 Prognóstico
OBJETIVOS
 Malformação cardíaca congênita associada
com shunt da direita para esquerda.
 4 características cardinais: defeito do septo
interventricular, hipertrofia do ventrículo
direito, dextroposição da aorta e estenose
pulmonar.
TETRALOGIA DE FALLOT
 A Tetralogia de Fallot é a causa mais comum
de cardiopatia congênita cianótica.
 5% de todas as malformações cardíacas
congênitas.
 4/10.000 nascidos vivos.
 Equivalência entre os sexos.
EPIDEMIOLOGIA
 Fatores ambientais e genéticos.
 Embriologia: desalinhamento anterior do
septo aorticopulmonar
CAUSAS
 Genes associados: JAG1, NKX2-5, ZFPM2,
VEGF
 Associada a Síndrome de Down e Síndrome
de DiGeorge.
CAUSAS
 Hipertrofia do ventrículo direito = coração
em forma de bota.
 Aorta proximal está dilatada.
 Tronco pulmonar hipoplásico.
 Câmara cardíaca esquerda com tamanho
normal.
MORFOLOGIA CARDÍACA
 Diminuição do fluxo sanguíneo pulmonar e
aumento dos volumes aórticos.
 Gravidade clínica: grau de obstrução do fluxo
da saída pulmonar.
 Policitemia
 Aumenta o risco de endocardite infecciosa e
de embolia sistêmica
 Artérias colaterais aortopulmonares
CARACTERÍSTICAS CLÍNICAS
 Baqueteamento digital.
 Segunda bulha hiperfonética.
 Estalido protossistólico.
CARACTERÍSTICAS CLÍNICAS
 Hipoxemia progressiva nos primeiros anos
de vida.
 A sobrevida até a vida adulta é rara sem
tratamento paliativo ou corretivo.
HISTÓRIA NATURAL
ECG
 Desvio do eixo para direita
DIAGNÓSTICO
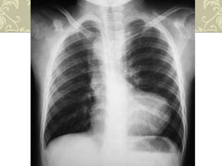
Radiografia de tórax
 Coração em forma de bota( couer em sabot);
 Circulação pulmonar diminuída;
 Arco aórtico do lado direito(25%);
 Aorta ascendente é proeminente.
DIAGNÓSTICO
Ecocardiografia
 CIV
 Obstrução do trato de saída ventricular direita
DIAGNÓSTICO
ECOCARDIOGRAFIA
 Piora súbita da hipóxia = intensificação da
cianose.
 Casos graves podem levar a óbito.
 Quadro clínico: taquipneia, sudorese,
convulsões, acocoramento etc.
 Fatores precipitantes: esforços físicos, febre,
anemia, desjejum etc.
CRISE CIANÓTICA
CRISE CIANÓTICA
Manejo
 Posição de cócoras
 Morfina
 Bicarbonato de sódio
 Noradrenalina
 BB
 Oxigênio terapia
CRISE CIANÓTICA
Shunt de
Blalock-
Taussig
Clássico
TRATAMENTO PALIATIVO
Blalock-
Taussig
modificado
REPARO TOTAL
Sobrevida de quem recebe reparo total é
excelente.
94% de sobrevida de 25 anos.
Risco de morte súbita (5%).
Todos os pacientes devem ser acompanhados por
um cardiologista anualmente
PROGNÓSTICO
• SERRANO JR., C.V. Tratado de cardiologia SOCESP. 2. ed. São Paulo: Manole,
2009.
• BRAUNWALD, E. Tratado de medicina cardiovascular. 6. ed. São Paulo: Roca,
2003.
• ROBBINS, S. L. Fundamentos de Robbins: patologia estrutural e funcional. 7. ed.
• PFEIFFER, Maria Eulália Thebit et al . Avaliação clínica e funcional tardia de
arritmias em crianças operadas de Tetralogia de Fallot. Arq. Bras. Cardiol., São
Paulo , v. 95, n. 3, p. 295-302, Sept. 2010 . Available from
<http://www.scielo.br/scielo.php?script=sci_arttext&pid=S0066-
782X2010001300004&lng=en&nrm=iso>. access on 02 Oct. 2016. Epub July 16,
2010. http://dx.doi.org/10.1590/S0066-782X2010005000092.
• DORIGO, Ana Helena. Crise cianótica: como diagnosticar e tratar . Rev. SOCERJ;
13(1): 34-36, jan.-mar. 2000. ilus. Available from <
http://www.rbconline.org.br/artigo/crise-cianotica-como-diagnosticar-e-tratar/>
access on 02 Oct. 2016
REFERÊNCIAS

Tetralogia de Fallot Resumo

  • 1.
    TETRALOGIA DE FALLOT UniversidadeFederal de Campina Grande Medicina Aluno: Neuzelito Cavalcanti Sobral Filho Professor: Klauber Marques de França
  • 2.
     Introdução  Epidemiologia Causas  Características clínicas  História natural  Diagnóstico  Crise cianótica  Tratamento  Prognóstico OBJETIVOS
  • 3.
     Malformação cardíacacongênita associada com shunt da direita para esquerda.  4 características cardinais: defeito do septo interventricular, hipertrofia do ventrículo direito, dextroposição da aorta e estenose pulmonar. TETRALOGIA DE FALLOT
  • 6.
     A Tetralogiade Fallot é a causa mais comum de cardiopatia congênita cianótica.  5% de todas as malformações cardíacas congênitas.  4/10.000 nascidos vivos.  Equivalência entre os sexos. EPIDEMIOLOGIA
  • 7.
     Fatores ambientaise genéticos.  Embriologia: desalinhamento anterior do septo aorticopulmonar CAUSAS
  • 9.
     Genes associados:JAG1, NKX2-5, ZFPM2, VEGF  Associada a Síndrome de Down e Síndrome de DiGeorge. CAUSAS
  • 10.
     Hipertrofia doventrículo direito = coração em forma de bota.  Aorta proximal está dilatada.  Tronco pulmonar hipoplásico.  Câmara cardíaca esquerda com tamanho normal. MORFOLOGIA CARDÍACA
  • 13.
     Diminuição dofluxo sanguíneo pulmonar e aumento dos volumes aórticos.  Gravidade clínica: grau de obstrução do fluxo da saída pulmonar.  Policitemia  Aumenta o risco de endocardite infecciosa e de embolia sistêmica  Artérias colaterais aortopulmonares CARACTERÍSTICAS CLÍNICAS
  • 14.
     Baqueteamento digital. Segunda bulha hiperfonética.  Estalido protossistólico. CARACTERÍSTICAS CLÍNICAS
  • 16.
     Hipoxemia progressivanos primeiros anos de vida.  A sobrevida até a vida adulta é rara sem tratamento paliativo ou corretivo. HISTÓRIA NATURAL
  • 17.
    ECG  Desvio doeixo para direita DIAGNÓSTICO
  • 18.
    Radiografia de tórax Coração em forma de bota( couer em sabot);  Circulação pulmonar diminuída;  Arco aórtico do lado direito(25%);  Aorta ascendente é proeminente. DIAGNÓSTICO
  • 19.
    Ecocardiografia  CIV  Obstruçãodo trato de saída ventricular direita DIAGNÓSTICO
  • 24.
  • 25.
     Piora súbitada hipóxia = intensificação da cianose.  Casos graves podem levar a óbito.  Quadro clínico: taquipneia, sudorese, convulsões, acocoramento etc.  Fatores precipitantes: esforços físicos, febre, anemia, desjejum etc. CRISE CIANÓTICA
  • 26.
  • 27.
    Manejo  Posição decócoras  Morfina  Bicarbonato de sódio  Noradrenalina  BB  Oxigênio terapia CRISE CIANÓTICA
  • 30.
  • 31.
  • 33.
  • 34.
    Sobrevida de quemrecebe reparo total é excelente. 94% de sobrevida de 25 anos. Risco de morte súbita (5%). Todos os pacientes devem ser acompanhados por um cardiologista anualmente PROGNÓSTICO
  • 36.
    • SERRANO JR.,C.V. Tratado de cardiologia SOCESP. 2. ed. São Paulo: Manole, 2009. • BRAUNWALD, E. Tratado de medicina cardiovascular. 6. ed. São Paulo: Roca, 2003. • ROBBINS, S. L. Fundamentos de Robbins: patologia estrutural e funcional. 7. ed. • PFEIFFER, Maria Eulália Thebit et al . Avaliação clínica e funcional tardia de arritmias em crianças operadas de Tetralogia de Fallot. Arq. Bras. Cardiol., São Paulo , v. 95, n. 3, p. 295-302, Sept. 2010 . Available from <http://www.scielo.br/scielo.php?script=sci_arttext&pid=S0066- 782X2010001300004&lng=en&nrm=iso>. access on 02 Oct. 2016. Epub July 16, 2010. http://dx.doi.org/10.1590/S0066-782X2010005000092. • DORIGO, Ana Helena. Crise cianótica: como diagnosticar e tratar . Rev. SOCERJ; 13(1): 34-36, jan.-mar. 2000. ilus. Available from < http://www.rbconline.org.br/artigo/crise-cianotica-como-diagnosticar-e-tratar/> access on 02 Oct. 2016 REFERÊNCIAS

Notas do Editor

  • #6 Dextroposição da aorta(cavalgamento): O arco aórtico é voltado para a direita, cavalgando o septo em até 50%, dessa forma a válvula aórtica tem conexão biventricular, localizada no defeito do septo ventricular. Estenose pulmonar (EP): Pode ser infundibular, valvar, infudibulo-valvar. Infundibular é a estenose abaixo da válvula, causada por supercrescimento da parede muscular cardíaca (hipertrofia). Estenose valvar é o estreitamento da válvula. Ambas as estenoses impossibilitam a passagem do sangue para as artérias pulmonares, consequentemente para o pulmão, diminuindo a quantidade sangue a ser oxigenada. Defeito do septo inter-ventricular (DSV): uma comunicação (buraco) entre ventrículo esquerdo e direito (CIV). Centralizado na região superior do septo ventricular. Geralmente a CIV é única e ampla. A obstrução da via de saída do ventrículo direito e o tamanho da CIV determinam as manifestações clinicas e a gravidade de cada caso. With tetralogy of Fallot, not enough blood is able to reach the lungs to get oxygen, and oxygen-poor blood flows to the body alem de misturar sangue da direita com a esquerda Pacientes conseguem ter um melhor prognóstico às custas de vasos colaterais da aorta descendente que vão em direção a arvore pulmonar
  • #8 5ª semana. resulting in the clinical combination of a VSD, pulmonary stenosis, and an overriding aorta. Right ventricular hypertrophy develops progressively from resistance to blood flow through the right ventricular outflow tract.
  • #10 Genes associados à título de curiosidade. Down:  trissomia 21 Síndrome de DiGeorge = deleção de parte do cromossomo 22.
  • #11 pequenas e pouco desenvolvidas (hipoplasia)
  • #14 Portanto, se a obstrução pulmonar for leve, a condição se assemelhará a um DSV isolado porque as pressões elevadas do lado esquerdo causam apenas um shunt da esquerda para a direita sem cianose. Em geral, graus maiores de estenose pulmonar causam cianose precoce. Além disso, à medida que a criança cresce e seu coração aumenta de tamanho, o orifício pulmonar não se amplia de modo proporcional, o que leva a uma piora progressiva da estenose funcional Policitemia(hipoxia): With tetralogy of Fallot, not enough blood is able to reach the lungs to get oxygen, and oxygen-poor blood flows to the body alem de misturar sangue da direita com o da esquerda Artérias colaterais aortopulmonares: Devido ao baixo fluxo pulmonar, as artérias brônquicas dilatam-se para compensar o fluxo pulmonar diminuído.
  • #15 Baqueteamento digital osteogênese e por inturmescimento capilar = devido a hipoxia Segunda bulha = dextroposição da aorta
  • #17 Hipoxemia= baixa concentração de oxigenio no sangue arterial
  • #18 Devido a hipertrofia do ventriculo direito
  • #23 Observar o defeito do septo e o cavalgamento da aorta
  • #26 Esforço físico( chorar) = aumenta a resistencia vascular pulmonar. Desjejum( manha tem menor resistencia vascular sistemica)
  • #27 O espasmo do infundíbulo do Ventrículo Direito (VD), levando a um aumento da obstrução pulmonar, aparece como a principal causa descrita para o desencadeamento do evento. Fatores que favorecem o shunt D>E como o aumento da resistência vascular pulmonar, a diminuição da resistência vascular periférica, ou mesmo aumento do retorno venoso podem, também, desencadear uma crise.
  • #28 Posição de cócoras: aumenta resistencia vascular periférica Morfina: sedação = com depressão do centro respiratório, alem da dor Bicarbo = corrigir a acidose metabólica Noradrenalina = aumenta a resistencia vascular periférica = diminui o shunt D-E Bb = propanalol = relaxamento do espasmo infundibular e alivia a dor
  • #31 <6 meses anastomose da artéria subclávia com a artéria pulmonar
  • #32  é usado em larga escala e consiste na interposição de um enxerto de Gore-Tex
  • #34 Após 6 meses
  • #35 Risco de morte súbita (QRS alargado e dilatação ventricular direita).
  • #36 Ainda sobre o prognóstico... Arritmias cardíacas em crianças e adolescentes operados de TF, apesar de ser um achado comum, são benignas em sua maioria. Entretanto, nos pacientes com maior sobrecarga e maior pressão sistólica ventricular direita, os eventos arrítmicos são mais frequentes ou potencialmente de maior gravidade, Avaliação clínica e funcional tardia de arritmias em crianças operadas de Tetralogia de Fallot