Centro Federal de Educação Tecnológica de Química - URJ
SSAANNGGUUEE
EE
HHEEMMAATTOOPPOOIIEESSEE
Disciplina: Biologia Profª.: Andréa
Componentes: Carlos Henrique da Rosa Mendes
Rafaela Tannuri Campos Cavalcanti
Turma: BM 131
Sangue
O sangue é classificado como um tipo de tecido conjuntivo por conter células separadas
por grande quantidade de matriz extracelular. Em um adulto normal, o volume sangüíneo
corresponde a cerca de 5 a 6L.
Todos os componentes do sangue podem ser separados por meio de centrifugação. A
parte sedimentada apresenta os eritrócitos (hemácias), compondo cerca de 45% do volume do
sangue. Uma fina camada se encontra acima dos eritrócitos, a camada leucocitária (leucócitos
e plaquetas) corresponde a 1% do sangue. O restante, aproximadamente 55%, diz respeito ao
plasma.
Componentes do sangue humano
Plasma
É o nome dado a matriz extracelular do sangue. Em sua composição encontra-se água,
sais, aminoácidos, vitaminas, proteínas (albumina, fibrogênio, imunoglobulina), glicose,
hormônios.
A função do plasma é transportar as substâncias que o compõem a todas as partes do
corpo e eliminar possíveis resíduos provenientes do metabolismo.
Eritrócitos
Também chamados de glóbulos vermelhos, tem forma bicôncava, são anucleados e não
possuem organelas.
Apresentam a hemoglobina, proteína responsável pela captura de moléculas de oxigênio e
pelo seu transporte para todos os tecidos. Tal transporte é propiciado pela forma característica
das hemácias. O achatamento dessa célula faz com que a hemoglobina fique próxima da
membrana plasmática por onde o gás é difundido.
Os eritrócitos vivem aproximadamente 120 dias. Após esse tempo são fagocitados pelo
baço.
Leucócitos
Denominados também glóbulos brancos, são esféricos e têm núcleo, geralmente são maiores
que os eritrócitos. Classificam-se em granulócitos: contém grânulos em seu citoplasma e
agranulócitos: não possuem grânulos.
Granulócitos
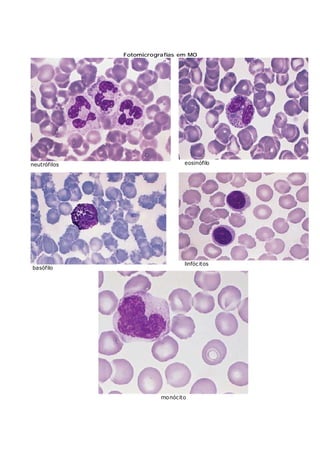
Neutrófilos
Apresentam o núcleo lobulado. Representam cerca de 60% a 70% dos leucócitos do
sangue humano. Nas colorações de rotina apresentam-se rosa pálido.
Sua principal função é a fagocitose de bactérias e outros microrganismos que invadem o
corpo. Outro fator contribuinte para tal função é sua mobilidade que o deixa sair dos vasos
sangüíneos, espremer-se pelos espaços intercelulares e chegar ao tecido infeccionado.
Eosinófilos
Os eosinófilos ou acidófilos apresentam um núcleo bilobado. Constituem de 2% a 4% dos
leucócitos, podem sair da circulação sangüínea e entrar no tecido conjuntivo. Isso tem a ver
com a função deles que é combater parasitas. Ao receberem estímulo liberam as proteínas
tóxicas contidas em seus grânulos. Provocam a liberação da histamina dos basófilos.
Anemia
Causada pela deficiência no transporte de oxigênio devido à
diminuição da taxa de hemoglobina no sangue. Ocorre como
conseqüência de uma hemorragia, carência de ferro no
organismo, doenças que afetam a produção de hemácias.
Defeitos genéticos da hemoglobina originam a anemia
falciforme. Há uma substituição do ácido glutâmico pela valina
na cadeia da hemoglobina, conseqüência disso "é a alteração na
forma do eritrócito que adquire aparência de “foice”. Sendo
assim, elas não passam de maneira eficiente nos capilares
sangüíneos, acarretando danos aos tecidos.
eritrócito falciforme
Basófilos
Encontram-se presentes em apenas 0,5% a 1% na composição do sangue. São células de
núcleo irregular e com muitos grânulos citoplasmáticos. Liberam histamina quando há reações
alérgicas, acarretando edema (inchaço) e vermelhidão no local afetado.
Agranulócitos
Monócitos
Em geral, apresentam núcleo oval, fazem parte de 3% a 8% dos leucócitos. Sua
permanência na circulação é pequena pois logo entram no tecido conjuntivo onde se
diferenciam em macrófagos, ativos na fagocitose de bactérias.
Linfócitos
Têm um núcleo redondo ou com uma pequena reentrância, com pouca ou nenhuma
granulação no citoplasma. Participam das defesas do corpo e são subdivididos em dois grupos:
Linfócitos B – são produzidos na medula óssea. Sua especialização é a produção de proteínas
denominadas anticorpos. Reconhecem e combatem os invasores que entram no corpo.
Linfócitos T – Originam-se também na medula óssea, porém migram para o timo, onde
amadurecem. Os linfócitos B e T são as principais células responsáveis pela imunidade do
organismo.
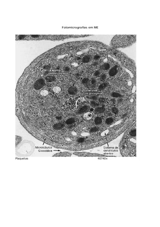
Plaquetas
São fragmentos citoplasmáticos surgidos a partir dos megacariócitos; são importantes
agentes na coagulação do sangue.
Certas enzimas que participam do processo de coagulação necessitam associar-se à íons
Ca2+
para funcionar. Essa associação só ocorre com a participação da vitamina K, o que a
torna indispensável à dieta humana.
Hemofilia
Causada por uma variação genética que incapacita o organismo
da pessoa de fabricar o fator VIII, importante no processo de
coagulação do sangue. Sendo assim, está associado a
sangramentos prolongados mesmo quando há ferimentos leves, há
maior probabilidade de ocorrer hemorragias internas.
Fotomicrografias em MO
neutrófilos eosinófilo
basófilo
linfócitos
monócito
Fotomicrografias em ME
Plaquetas 40740x
Linfócito M = mitocôndria Nu= nucléolo N= núcleo 22000x
Neutrófilo 27000x
Eosinófilo M= mitocôndria N= núcleo EG= grânulo eosinófilo
Hematopoiese
É a renovação das células sangüíneas a partir da divisão mitótica das células localizadas
nos órgãos adequados a essa função.
A hematopoiese se inicia bem cedo na vida fetal, no mesoderma do saco vitelino. Após um
certo tempo com o avanço da ossificação a medula óssea passa a ser o principal local de
hematopoiese, onde permanece até a vida adulta.
Células-tronco e fatores de crescimento
As células-tronco dão origem a células-filhas onde algumas permanecem como célula-
tronco para garantir a população dessas células, enquanto outras se diferenciam.
A partir daí elas se proliferam e formam a linhagem de células linfóides (formção dos
linfócitos) e mielóides (formação de eritrócitos, plaquetas, monócitos e granulócitos).
A hematopoiese ocorre quando o microambiente adequado e os fatores de crescimento que
são substâncias que estimulam e controlam a proliferação e maturação das células.
Medula óssea
Encontrada no canal medular dos ossos longos e em cavidades de ossos esponjosos é uma
mistura de células adiposas, fibroblastos, células do estroma, células endoteliais vasculares,
macrófagos e vasos sangüíneos.
A medula óssea vermelha é assim chamada devido a presença de numerosos eritrócitos
que estão amadurecidos e a amarela recebe essa denominação porque contém muitas células
adiposas e não produz células do sangue. A medula hematógena (vermelha) é formada por
células reticulares que estão associadas a colágeno tipo III, formando uma espécie de esponja
com inumeros capilares. Além disso também armazena ferro e destrói hemácias antigas.
Com o envelhecimento grande parte da medula óssea de se torna amarela, porém há
casos de hemorragia em que a medula amarela se transforma em vermelha e recomece a
produzir células do sangue.
Eritropoiese
A síntese de hemoglobina é o processo básico para a maturação da linhagem eritróide. Ocorre
uma diminuição no volume da célula e do seu núcleo até que o mesmo seja expulso da célula,
a quantidade de polirribossomos e organelas diminuem consideravelmente; há aumento de
hemoglobina.
Nomenclatura das células de acordo com a maturação:
Pró-eritroblasto – célula grande especializada em sintetizar proteínas que serão usadas para
reconstituir o tamanho da célula que sofre várias divisões; síntese de hemoglobina.
Eritroblasto basófilo – menor que o pró-eritroblasto, apresenta cromatina condensada em
grânulos.
Eritroblasto policromático – menor ainda que a anterior e com a cromatina ainda mais
condensada no seu núcleo; começa apresentar quantidade de hemoglobina característica de
citoplasma acidófilo.
Eristroblasto ortocromático – acidofilia acentuada no citoplasma.
Reticulócito – apresenta saliências provocadas pela expulsão do núcleo, restos de citoplasma
são fagocitados pela medula óssea; estágio maduro: eritrócito.
Granulocitopoiese
Ocorre a formação dos grânulos azurófilos (grânulos primários) e os específicos (grânulos
secundários).
Etapas da transformação:
Meioblasto – núcleo grande, célula esférica; contém grânulos azurófilos.
Promielócito – menor que o meioblasto; citoplasma mais basófilo em comparação a sua célula
precursora.
Mielócito – esférico; ausência da basofilia.
Metamielócito – começa-se a formar os lóbulos.
Célula em bastão ou bastonete – fase intermediária antes da maturação definitiva.
Maturação dos neutrófilos
Ocorre uma divisão em vários compartimentos.
Compartimento medular de formação, compartimento medular de reserva, compartimento
circulante e de marginação. Estes dois últimos apresentam o mesmo número de neutrófilos.
Linfocitopoiese
Linfoblasto – esférica; apresenta basofilia.
Prolinfócito – menor que a anterior; cromatina condensada, dificuldade em se ver os nucléolos.
Monocitopoiese
Promonócito – morfologia semelhante ao mieloblasto; citoplasma basófilo; após duas divisões
transformam-se em monócitos.
Maturação das plaquetas
Megacarioblastos – núcleo grande, célula oval, apresenta muitos nucléolos.
Megacariócito – núcleo irregularmente lobado; demarcações formadas por invaginações na
membrana.
Passagem de euritrócitos, plaquetas e leucócitos através da parede de um sinusóide da medula
Referências Bibliográficas:
JUNQUEIRA, Luiz de Carlos e CARNEIRO, José. Histologia Básica, Rio de Janeiro, Guanabara
Koogan, 2005.
KIERSZENBAUM, Abraham L., Histologia e Biologia Celular, Rio de Janeiro, Elsevier, 2004.

Sangue e hematopoiese

  • 1.
    Centro Federal deEducação Tecnológica de Química - URJ SSAANNGGUUEE EE HHEEMMAATTOOPPOOIIEESSEE Disciplina: Biologia Profª.: Andréa Componentes: Carlos Henrique da Rosa Mendes Rafaela Tannuri Campos Cavalcanti Turma: BM 131
  • 2.
    Sangue O sangue éclassificado como um tipo de tecido conjuntivo por conter células separadas por grande quantidade de matriz extracelular. Em um adulto normal, o volume sangüíneo corresponde a cerca de 5 a 6L. Todos os componentes do sangue podem ser separados por meio de centrifugação. A parte sedimentada apresenta os eritrócitos (hemácias), compondo cerca de 45% do volume do sangue. Uma fina camada se encontra acima dos eritrócitos, a camada leucocitária (leucócitos e plaquetas) corresponde a 1% do sangue. O restante, aproximadamente 55%, diz respeito ao plasma. Componentes do sangue humano Plasma É o nome dado a matriz extracelular do sangue. Em sua composição encontra-se água, sais, aminoácidos, vitaminas, proteínas (albumina, fibrogênio, imunoglobulina), glicose, hormônios. A função do plasma é transportar as substâncias que o compõem a todas as partes do corpo e eliminar possíveis resíduos provenientes do metabolismo. Eritrócitos Também chamados de glóbulos vermelhos, tem forma bicôncava, são anucleados e não possuem organelas. Apresentam a hemoglobina, proteína responsável pela captura de moléculas de oxigênio e pelo seu transporte para todos os tecidos. Tal transporte é propiciado pela forma característica das hemácias. O achatamento dessa célula faz com que a hemoglobina fique próxima da membrana plasmática por onde o gás é difundido.
  • 3.
    Os eritrócitos vivemaproximadamente 120 dias. Após esse tempo são fagocitados pelo baço. Leucócitos Denominados também glóbulos brancos, são esféricos e têm núcleo, geralmente são maiores que os eritrócitos. Classificam-se em granulócitos: contém grânulos em seu citoplasma e agranulócitos: não possuem grânulos. Granulócitos Neutrófilos Apresentam o núcleo lobulado. Representam cerca de 60% a 70% dos leucócitos do sangue humano. Nas colorações de rotina apresentam-se rosa pálido. Sua principal função é a fagocitose de bactérias e outros microrganismos que invadem o corpo. Outro fator contribuinte para tal função é sua mobilidade que o deixa sair dos vasos sangüíneos, espremer-se pelos espaços intercelulares e chegar ao tecido infeccionado. Eosinófilos Os eosinófilos ou acidófilos apresentam um núcleo bilobado. Constituem de 2% a 4% dos leucócitos, podem sair da circulação sangüínea e entrar no tecido conjuntivo. Isso tem a ver com a função deles que é combater parasitas. Ao receberem estímulo liberam as proteínas tóxicas contidas em seus grânulos. Provocam a liberação da histamina dos basófilos. Anemia Causada pela deficiência no transporte de oxigênio devido à diminuição da taxa de hemoglobina no sangue. Ocorre como conseqüência de uma hemorragia, carência de ferro no organismo, doenças que afetam a produção de hemácias. Defeitos genéticos da hemoglobina originam a anemia falciforme. Há uma substituição do ácido glutâmico pela valina na cadeia da hemoglobina, conseqüência disso "é a alteração na forma do eritrócito que adquire aparência de “foice”. Sendo assim, elas não passam de maneira eficiente nos capilares sangüíneos, acarretando danos aos tecidos. eritrócito falciforme
  • 4.
    Basófilos Encontram-se presentes emapenas 0,5% a 1% na composição do sangue. São células de núcleo irregular e com muitos grânulos citoplasmáticos. Liberam histamina quando há reações alérgicas, acarretando edema (inchaço) e vermelhidão no local afetado. Agranulócitos Monócitos Em geral, apresentam núcleo oval, fazem parte de 3% a 8% dos leucócitos. Sua permanência na circulação é pequena pois logo entram no tecido conjuntivo onde se diferenciam em macrófagos, ativos na fagocitose de bactérias. Linfócitos Têm um núcleo redondo ou com uma pequena reentrância, com pouca ou nenhuma granulação no citoplasma. Participam das defesas do corpo e são subdivididos em dois grupos: Linfócitos B – são produzidos na medula óssea. Sua especialização é a produção de proteínas denominadas anticorpos. Reconhecem e combatem os invasores que entram no corpo. Linfócitos T – Originam-se também na medula óssea, porém migram para o timo, onde amadurecem. Os linfócitos B e T são as principais células responsáveis pela imunidade do organismo. Plaquetas São fragmentos citoplasmáticos surgidos a partir dos megacariócitos; são importantes agentes na coagulação do sangue. Certas enzimas que participam do processo de coagulação necessitam associar-se à íons Ca2+ para funcionar. Essa associação só ocorre com a participação da vitamina K, o que a torna indispensável à dieta humana. Hemofilia Causada por uma variação genética que incapacita o organismo da pessoa de fabricar o fator VIII, importante no processo de coagulação do sangue. Sendo assim, está associado a sangramentos prolongados mesmo quando há ferimentos leves, há maior probabilidade de ocorrer hemorragias internas.
  • 5.
    Fotomicrografias em MO neutrófiloseosinófilo basófilo linfócitos monócito
  • 6.
  • 7.
    Linfócito M =mitocôndria Nu= nucléolo N= núcleo 22000x Neutrófilo 27000x
  • 8.
    Eosinófilo M= mitocôndriaN= núcleo EG= grânulo eosinófilo Hematopoiese É a renovação das células sangüíneas a partir da divisão mitótica das células localizadas nos órgãos adequados a essa função. A hematopoiese se inicia bem cedo na vida fetal, no mesoderma do saco vitelino. Após um certo tempo com o avanço da ossificação a medula óssea passa a ser o principal local de hematopoiese, onde permanece até a vida adulta. Células-tronco e fatores de crescimento As células-tronco dão origem a células-filhas onde algumas permanecem como célula- tronco para garantir a população dessas células, enquanto outras se diferenciam. A partir daí elas se proliferam e formam a linhagem de células linfóides (formção dos linfócitos) e mielóides (formação de eritrócitos, plaquetas, monócitos e granulócitos).
  • 9.
    A hematopoiese ocorrequando o microambiente adequado e os fatores de crescimento que são substâncias que estimulam e controlam a proliferação e maturação das células. Medula óssea Encontrada no canal medular dos ossos longos e em cavidades de ossos esponjosos é uma mistura de células adiposas, fibroblastos, células do estroma, células endoteliais vasculares, macrófagos e vasos sangüíneos. A medula óssea vermelha é assim chamada devido a presença de numerosos eritrócitos que estão amadurecidos e a amarela recebe essa denominação porque contém muitas células adiposas e não produz células do sangue. A medula hematógena (vermelha) é formada por células reticulares que estão associadas a colágeno tipo III, formando uma espécie de esponja com inumeros capilares. Além disso também armazena ferro e destrói hemácias antigas. Com o envelhecimento grande parte da medula óssea de se torna amarela, porém há casos de hemorragia em que a medula amarela se transforma em vermelha e recomece a produzir células do sangue.
  • 10.
    Eritropoiese A síntese dehemoglobina é o processo básico para a maturação da linhagem eritróide. Ocorre uma diminuição no volume da célula e do seu núcleo até que o mesmo seja expulso da célula, a quantidade de polirribossomos e organelas diminuem consideravelmente; há aumento de hemoglobina. Nomenclatura das células de acordo com a maturação: Pró-eritroblasto – célula grande especializada em sintetizar proteínas que serão usadas para reconstituir o tamanho da célula que sofre várias divisões; síntese de hemoglobina. Eritroblasto basófilo – menor que o pró-eritroblasto, apresenta cromatina condensada em grânulos. Eritroblasto policromático – menor ainda que a anterior e com a cromatina ainda mais condensada no seu núcleo; começa apresentar quantidade de hemoglobina característica de citoplasma acidófilo. Eristroblasto ortocromático – acidofilia acentuada no citoplasma. Reticulócito – apresenta saliências provocadas pela expulsão do núcleo, restos de citoplasma são fagocitados pela medula óssea; estágio maduro: eritrócito. Granulocitopoiese Ocorre a formação dos grânulos azurófilos (grânulos primários) e os específicos (grânulos secundários). Etapas da transformação: Meioblasto – núcleo grande, célula esférica; contém grânulos azurófilos. Promielócito – menor que o meioblasto; citoplasma mais basófilo em comparação a sua célula precursora. Mielócito – esférico; ausência da basofilia. Metamielócito – começa-se a formar os lóbulos. Célula em bastão ou bastonete – fase intermediária antes da maturação definitiva. Maturação dos neutrófilos Ocorre uma divisão em vários compartimentos. Compartimento medular de formação, compartimento medular de reserva, compartimento circulante e de marginação. Estes dois últimos apresentam o mesmo número de neutrófilos. Linfocitopoiese Linfoblasto – esférica; apresenta basofilia. Prolinfócito – menor que a anterior; cromatina condensada, dificuldade em se ver os nucléolos.
  • 11.
    Monocitopoiese Promonócito – morfologiasemelhante ao mieloblasto; citoplasma basófilo; após duas divisões transformam-se em monócitos. Maturação das plaquetas Megacarioblastos – núcleo grande, célula oval, apresenta muitos nucléolos. Megacariócito – núcleo irregularmente lobado; demarcações formadas por invaginações na membrana.
  • 12.
    Passagem de euritrócitos,plaquetas e leucócitos através da parede de um sinusóide da medula Referências Bibliográficas: JUNQUEIRA, Luiz de Carlos e CARNEIRO, José. Histologia Básica, Rio de Janeiro, Guanabara Koogan, 2005. KIERSZENBAUM, Abraham L., Histologia e Biologia Celular, Rio de Janeiro, Elsevier, 2004.