Ana Caroline Ribeiro 
Bárbara Nazly 
Gisleine Freitas 
Hemilly Rayanne 
Patricia Soares 
Profª Dra. Mônica Florêncio
 São incolores, de forma esférica quando em 
suspensão no sangue e têm função de 
proteger o organismo contra infecções; 
 São produzidos na medula óssea ou em 
tecidos linfóides; 
 Migram entre as células por “diapedese”, 
penetram nos espaços do tecido conjuntivo 
e realizam suas funções.
Imagem de Microscópio eletrônico de varredura de uma hemácia(E), 
plaqueta(centro), e leucócito(D).
 Granulócitos: têm grânulos 
citoplasmáticos específicos. 
Ex-Neutrófilos, Eosinófilos, Basófilos. 
 Agranulócitos: não possuem grânulos 
específicos. 
Ex- Linfócitos, Monócitos.
 Também chamados de Leucócitos 
Polimorfonucleares, são os mais 
numerosos dos glóbulos brancos (60- 
70%); 
 Núcleo multilobulado – os lóbulos, 
ligados por finas pontes de cromatina, 
aumentam de número com a idade da 
célula.
Neutrófilo, coloração pelo giemsa esfregaço de sangue 
periférico © Dr Peter Darben, Queensland University of 
Technology clinical parasitology collection
 No sexo feminino, o núcleo apresenta um 
pequeno apêndice que contém o 
segundo X condensado e inativo: 
corpúsculo de Barr; 
 Estão entre as primeiras células a 
aparecer nas infecções bacterianas 
agudas.
 Grânulos pequenos (0,1 μm de 
diâmetro): específicos; 
 Grânulos maiores (0,5 μm de diâmetro): 
azurófilos; 
 Recém descobertos: os Grânulos 
terciários.
 Contém várias enzimas e agentes 
farmacológicos que auxiliam o neutrófilo 
a exercer suas funções antimicrobianas; 
 Na microscopia eletrônica tem forma 
oblonga.
 São lisossomos contém proteínas e 
peptídeos destinados à digestão e morte 
de microorganismos; 
 Ao microscópio eletrônico, são maiores e 
mais eletro densos.
 Contêm gelatinase e catepsinas assim 
como glicoprotéinas inseridas no 
plasmalema.
 Interagem com agentes quimiotáticos e 
migram para locais invadidos por 
microorganismos; 
 A interação entre receptores de selectina 
dos neutrófilos e as selectinas das células 
endoteliais levam os neutrófilos a 
girarem lentamente ao longo do 
revestimento endotelial.
 O neutrófilo é uma célula em estágio 
final de diferenciação, realizando uma 
síntese protéica muito limitada; 
 Apresenta poucos perfis do retículo 
endoplasmático rugoso, raros 
ribossomos livres, poucas mitocôndrias e 
aparelho de Golgi rudimentar.
Neutrófilo e Eosinófilo (1000x) 
Neutrófilo
 Constituem menos de 4% da população do 
total de glóbulos brancos; 
 Em esfregaços são células redondas, mas 
podem ser pleomorfos durante sua 
migração através do tecido conjuntivo; 
 Têm um núcleo em forma de salsicha, 
bilobulado, cujos lóbulos estão ligados por 
um filamento de cromatina e um envoltório 
nuclear.
Eosinófilo, coloração pelo giemsa esfregaço de sangue periférico 
© Dr Peter Darben, Queensland University of Technology clinical 
parasitology collection.
 Em micrografias eletrônicas apresentam 
um pequeno aparelho de Golgi; 
 São produzidos na medula óssea e é a 
interleucina-5 (IL-5) que causa a 
proliferação e diferenciação de seus 
precursores em células maduras.
Eosinófilo em esfregaço sanguíneo © Bristol Biomedical Image 
Archive
 Grânulos específicos são oblongos e se 
coram em rosa-escuro com os corantes 
Giemsa e Wright; 
 Grânulos azurófilos inespecíficos são 
lisossomos contendo enzimas 
hidrolíticas.
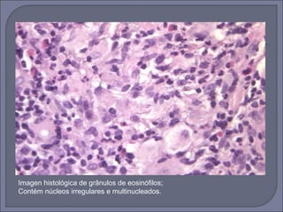
Imagen histológica de grânulos de eosinófilos; 
Contém núcleos irregulares e multinucleados.
 Participam de atividades antiviral; 
 Fagocitam complexos antígeno-anticorpo 
e matam parasitos invasores; 
 Destroem vermes parasitos;
 http://minerva.ufpel.edu.br/mgrheing/cd_histologia/g 
eral/sangue.htm 
 http://www.redoe.com/ver.php?id=39 
 http://www.google.com.br/search?rlz=1C1CHMK_pt-brBR475BR475& 
ix=aca&sourceid=chrome&ie=UTF- 
8&q=granulos 
 Histologia 11 edição;Autor: Junqueira, L. C.; Carneiro, 
JoséEditora: Guanabara KooganCategoria: Medicina / 
Medicina
Tecido Sanguíneo

Tecido Sanguíneo

  • 1.
    Ana Caroline Ribeiro Bárbara Nazly Gisleine Freitas Hemilly Rayanne Patricia Soares Profª Dra. Mônica Florêncio
  • 2.
     São incolores,de forma esférica quando em suspensão no sangue e têm função de proteger o organismo contra infecções;  São produzidos na medula óssea ou em tecidos linfóides;  Migram entre as células por “diapedese”, penetram nos espaços do tecido conjuntivo e realizam suas funções.
  • 3.
    Imagem de Microscópioeletrônico de varredura de uma hemácia(E), plaqueta(centro), e leucócito(D).
  • 4.
     Granulócitos: têmgrânulos citoplasmáticos específicos. Ex-Neutrófilos, Eosinófilos, Basófilos.  Agranulócitos: não possuem grânulos específicos. Ex- Linfócitos, Monócitos.
  • 6.
     Também chamadosde Leucócitos Polimorfonucleares, são os mais numerosos dos glóbulos brancos (60- 70%);  Núcleo multilobulado – os lóbulos, ligados por finas pontes de cromatina, aumentam de número com a idade da célula.
  • 7.
    Neutrófilo, coloração pelogiemsa esfregaço de sangue periférico © Dr Peter Darben, Queensland University of Technology clinical parasitology collection
  • 8.
     No sexofeminino, o núcleo apresenta um pequeno apêndice que contém o segundo X condensado e inativo: corpúsculo de Barr;  Estão entre as primeiras células a aparecer nas infecções bacterianas agudas.
  • 10.
     Grânulos pequenos(0,1 μm de diâmetro): específicos;  Grânulos maiores (0,5 μm de diâmetro): azurófilos;  Recém descobertos: os Grânulos terciários.
  • 11.
     Contém váriasenzimas e agentes farmacológicos que auxiliam o neutrófilo a exercer suas funções antimicrobianas;  Na microscopia eletrônica tem forma oblonga.
  • 12.
     São lisossomoscontém proteínas e peptídeos destinados à digestão e morte de microorganismos;  Ao microscópio eletrônico, são maiores e mais eletro densos.
  • 13.
     Contêm gelatinasee catepsinas assim como glicoprotéinas inseridas no plasmalema.
  • 14.
     Interagem comagentes quimiotáticos e migram para locais invadidos por microorganismos;  A interação entre receptores de selectina dos neutrófilos e as selectinas das células endoteliais levam os neutrófilos a girarem lentamente ao longo do revestimento endotelial.
  • 15.
     O neutrófiloé uma célula em estágio final de diferenciação, realizando uma síntese protéica muito limitada;  Apresenta poucos perfis do retículo endoplasmático rugoso, raros ribossomos livres, poucas mitocôndrias e aparelho de Golgi rudimentar.
  • 16.
    Neutrófilo e Eosinófilo(1000x) Neutrófilo
  • 17.
     Constituem menosde 4% da população do total de glóbulos brancos;  Em esfregaços são células redondas, mas podem ser pleomorfos durante sua migração através do tecido conjuntivo;  Têm um núcleo em forma de salsicha, bilobulado, cujos lóbulos estão ligados por um filamento de cromatina e um envoltório nuclear.
  • 18.
    Eosinófilo, coloração pelogiemsa esfregaço de sangue periférico © Dr Peter Darben, Queensland University of Technology clinical parasitology collection.
  • 19.
     Em micrografiaseletrônicas apresentam um pequeno aparelho de Golgi;  São produzidos na medula óssea e é a interleucina-5 (IL-5) que causa a proliferação e diferenciação de seus precursores em células maduras.
  • 20.
    Eosinófilo em esfregaçosanguíneo © Bristol Biomedical Image Archive
  • 21.
     Grânulos específicossão oblongos e se coram em rosa-escuro com os corantes Giemsa e Wright;  Grânulos azurófilos inespecíficos são lisossomos contendo enzimas hidrolíticas.
  • 22.
    Imagen histológica degrânulos de eosinófilos; Contém núcleos irregulares e multinucleados.
  • 23.
     Participam deatividades antiviral;  Fagocitam complexos antígeno-anticorpo e matam parasitos invasores;  Destroem vermes parasitos;
  • 24.
     http://minerva.ufpel.edu.br/mgrheing/cd_histologia/g eral/sangue.htm  http://www.redoe.com/ver.php?id=39  http://www.google.com.br/search?rlz=1C1CHMK_pt-brBR475BR475& ix=aca&sourceid=chrome&ie=UTF- 8&q=granulos  Histologia 11 edição;Autor: Junqueira, L. C.; Carneiro, JoséEditora: Guanabara KooganCategoria: Medicina / Medicina