CASO CLÍNICO ESTÁGIO
SUPERVISIONADA EM CLÍNICA
INTEGRADA – II
RESTAURAÇÃO CLASSE III
Nomes:
Ana Maria Nadolny Leitoles
Janayna Chaves Pilatti
CÁRIE DENTAL:
Pode ser descrita como uma doença multifatorial,
dinâmica, crônica, localizada, que ocorre a partir do
biofilme dental presente na superfície dentária,
resultante de uma alteração do equilíbrio entre a
superfície dentária e o fluido do biofilme, que com o
passar do tempo, leva a perda mineral.
Portal universitário (aula do dia 03/3/09)
Prof Dr Eduardo Pizzatto
Disciplina de Odontologia em Saúde Coletiva e
Cariologia
Especialista, Mestre e Doutor em Odontologia em Saúde
Coletiva
BIOFILME DENTAL:
É definido como sendo uma massa bacteriana aderente
e amolecida, que se deposita sobre a superfície dental
e não pode ser facilmente removida. Em equilíbrio não
apresenta risco patogênico.
Portal universitário (aula do dia 17/02/09)
Prof. Antonio Carlos Nasciemento
Disciplina de Odontologia em Saúde Coletiva e
Cariologia
Mestre e Doutorando em Saúde Coletiva
Preparo Classe III
Segundo a classificação de Black na Classe III as
cavidades são preparadas nas faces proximais de
incisivos e caninos, sem remoção do ângulo
incisal.
Resina Composta
A resina composta é um material usado na odontologia com a
finalidade de restaurar (estética e funcionalmente) os dentes. Sua
aplicação é ampla, podendo ser utilizada para mudar a forma dos
dentes, restaurar dentes fraturados, e preencher cavidades
provocadas pela cárie.
De acordo com Chain & Baratieri 20 em 1998, as resinas compostas,
basicamente, possuem 4 componentes: matriz resinosa, iniciadores
de polimerização, fase dispersa de cargas inorgânicas e corantes, e
agentes de cobertura das partículas de carga conhecido como
silano.
HISTÓRIA MÉDICA ATUAL E PREGRESSA
• Paciente não apresenta problemas de saúde
• Não está realizando nenhum tipo de tratamento médico
• Não está tomando nenhum tipo de medicamento
• Não apresenta alergia à medicamentos ou alimentos
HISTÓRIA ODONTOLÓGICA
• Paciente C.B. 14 anos de idade, sexo masculino, com
alto índice de cárie, sendo o motivo da consulta a
restauração dos dentes cariados.
PLANO DE TRATAMENTO
1ª Exame clínico, IHO, profilaxia
2ª Restauração oclusal no dente 17
3ª Restauração ocluso-palatina no dente 27
4 ª Restauração na lingual do dente 47 e troca da restauração
da oclusal
5ª Trocar restauração do dente 46 (ocluso - lingual) e selante
nos dentes 44 e 45
6ª Restauração na mesial do dente 42 e na distal do 41
7ª Restauração na mesial do dente 12 e na distal do 11
8ª Polimento das restaurações de amálgama já presentes
e selante nos dentes 34 e 35
ESCOLHA DA COR
Para a escolha da cor, analisamos a cor dos dentes do
paciente e comparamos com a escala vita. Dessa forma,
observamos que a cor mais próxima era a A1. Para uma
melhor exatidão, aplicamos um pequeno incremento da
resina A1 ao dente do paciente, polimerizamos e então,
foi concluído que esta cor era a melhor opção.
CASO CLÍNICO:
RESTAURAÇÃO CLASSE III NOS DENTES 42 (MESIAL)
E 41 (DISTAL)
1° Passo: Aplicação do anestésico tópico
2° Passo: Anestesia mentual do lado direito e
esquerdo
3° PASSO: ISOLAMENTO ABSOLUTO
4° PASSO: PREPARO CLASSE III NOS DENTES 41(D)
E 42 (M)
5º PASSO: CONFECÇÃO DO BISEL
6° PASSO: APLICAÇÃO DO ÁCIDO, PRIMER E
ADESIVO
7° PASSO: RESTAURAÇÃO COM RESINA
COMPOSTA COR A1 E APLICAÇÃO DE RESINA
DURAFIL A2
Fotopolimerização
8° PASSO: ACABAMENTO E POLIMENTO
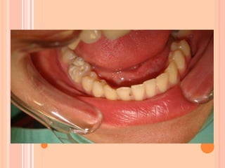
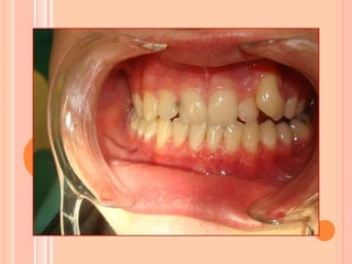
DEPOIS DE RESTAURADO:
COMPARANDO...
REFERÊNCIAS BIBLIOGRÁFICAS
http://www.forp.usp.br/restauradora/dentistica/temas/res_est_ant
/res_est_ant.html
Dentística – saúde e estética: Ewerton Nocchi Conceição e
colaboradores
OBRIGADA!

Restauração classe iii em rc

  • 1.
    CASO CLÍNICO ESTÁGIO SUPERVISIONADAEM CLÍNICA INTEGRADA – II RESTAURAÇÃO CLASSE III Nomes: Ana Maria Nadolny Leitoles Janayna Chaves Pilatti
  • 2.
    CÁRIE DENTAL: Pode serdescrita como uma doença multifatorial, dinâmica, crônica, localizada, que ocorre a partir do biofilme dental presente na superfície dentária, resultante de uma alteração do equilíbrio entre a superfície dentária e o fluido do biofilme, que com o passar do tempo, leva a perda mineral. Portal universitário (aula do dia 03/3/09) Prof Dr Eduardo Pizzatto Disciplina de Odontologia em Saúde Coletiva e Cariologia Especialista, Mestre e Doutor em Odontologia em Saúde Coletiva
  • 3.
    BIOFILME DENTAL: É definidocomo sendo uma massa bacteriana aderente e amolecida, que se deposita sobre a superfície dental e não pode ser facilmente removida. Em equilíbrio não apresenta risco patogênico. Portal universitário (aula do dia 17/02/09) Prof. Antonio Carlos Nasciemento Disciplina de Odontologia em Saúde Coletiva e Cariologia Mestre e Doutorando em Saúde Coletiva
  • 4.
    Preparo Classe III Segundoa classificação de Black na Classe III as cavidades são preparadas nas faces proximais de incisivos e caninos, sem remoção do ângulo incisal.
  • 5.
    Resina Composta A resinacomposta é um material usado na odontologia com a finalidade de restaurar (estética e funcionalmente) os dentes. Sua aplicação é ampla, podendo ser utilizada para mudar a forma dos dentes, restaurar dentes fraturados, e preencher cavidades provocadas pela cárie. De acordo com Chain & Baratieri 20 em 1998, as resinas compostas, basicamente, possuem 4 componentes: matriz resinosa, iniciadores de polimerização, fase dispersa de cargas inorgânicas e corantes, e agentes de cobertura das partículas de carga conhecido como silano.
  • 6.
    HISTÓRIA MÉDICA ATUALE PREGRESSA • Paciente não apresenta problemas de saúde • Não está realizando nenhum tipo de tratamento médico • Não está tomando nenhum tipo de medicamento • Não apresenta alergia à medicamentos ou alimentos
  • 7.
    HISTÓRIA ODONTOLÓGICA • PacienteC.B. 14 anos de idade, sexo masculino, com alto índice de cárie, sendo o motivo da consulta a restauração dos dentes cariados.
  • 10.
    PLANO DE TRATAMENTO 1ªExame clínico, IHO, profilaxia 2ª Restauração oclusal no dente 17 3ª Restauração ocluso-palatina no dente 27 4 ª Restauração na lingual do dente 47 e troca da restauração da oclusal 5ª Trocar restauração do dente 46 (ocluso - lingual) e selante nos dentes 44 e 45 6ª Restauração na mesial do dente 42 e na distal do 41 7ª Restauração na mesial do dente 12 e na distal do 11 8ª Polimento das restaurações de amálgama já presentes e selante nos dentes 34 e 35
  • 11.
    ESCOLHA DA COR Paraa escolha da cor, analisamos a cor dos dentes do paciente e comparamos com a escala vita. Dessa forma, observamos que a cor mais próxima era a A1. Para uma melhor exatidão, aplicamos um pequeno incremento da resina A1 ao dente do paciente, polimerizamos e então, foi concluído que esta cor era a melhor opção.
  • 12.
    CASO CLÍNICO: RESTAURAÇÃO CLASSEIII NOS DENTES 42 (MESIAL) E 41 (DISTAL) 1° Passo: Aplicação do anestésico tópico
  • 14.
    2° Passo: Anestesiamentual do lado direito e esquerdo
  • 16.
  • 20.
    4° PASSO: PREPAROCLASSE III NOS DENTES 41(D) E 42 (M)
  • 23.
  • 24.
    6° PASSO: APLICAÇÃODO ÁCIDO, PRIMER E ADESIVO
  • 26.
    7° PASSO: RESTAURAÇÃOCOM RESINA COMPOSTA COR A1 E APLICAÇÃO DE RESINA DURAFIL A2
  • 27.
  • 28.
  • 30.
  • 32.
  • 33.
  • 34.