PRODUÇÃO DE ENZIMAS DE ORIGEM ANIMAL
   Tropical fish alkaline proteases as a laundry
                 detergent additive

                  ESPÓSITO, T. S., 2006
                     Recife-Brasil




                    Apresentação:
         Gleiciane Pinheiro e Mauren Silveira
ENZIMAS
ENZIMAS DE ORIGEM ANIMAL

                  Produção de enzimas de origem animal
       Enzima          Origem        Extração             Uso
      Pancreatina Pâncreas de porco  Adição de     Auxiliar digestivo
                                       etanol
        Renina     Suco gástrico do  Adição de      Elaboração de
                   quarto estômago     ácido       queijos italianos;
                     do bezerro                     Preparação de
                                                        pudins.
       Pepsina        Mucosa do          Ácido      Auxiliar digestivo;
                     estômago de       clorídrico    _ Produção de
                         porco                        hidrolisados
                                                       protéicos.
       Catalase    Fígado e sangue     Adição de      Degradação do
                   de (boi e porco).    acetona        peróxido de
                                                       hidrogênio
PROCESSO GERAL DE EXTRAÇÃO
         ENZIMÁTICA
 • Extraídas em solução aquosa antes de serem processadas.

• Tecidos são secos e triturados em partículas pequenas e finas


 • Tecidos ainda úmidos são desintegrados (moinhos ou
                     homogeneizadores)

• Materiais são então, extraídos com água ou solução tampão
                            adequada

• Resíduos insolúveis removidos por filtração ou centrifugação
    (terra diatomácea é adicionada como auxiliar de filtração
            do extrato ou da solução de enzima bruta).
PRINCIPAIS INDÚSTRIAS
  CONSUMIDORAS DE
       ENZIMAS
CLASSIFICAÇÃO DAS ENZIMAS
PROTEASES
SUBCLASSIFICAÇÃO DAS
  ENDOPEPTIDASES
MODO DE AÇÃO DAS PROTEASES
DETERGENTES EM PÓ
                              Proteases:
        pH 9.0-12.0           - Mais utilizadas em detergentes
                              - Removem manchas de ovo,
                              sangue, suor, extratos vegetais,...
                              - Detergentes sem enzimas:
                              ineficiente para remover manchas
                              de proteínas.
Aplicação enzimática em       - Proteases Alcalinas:
detergentes no Brasil:        Possuem pH ótimo alcalino e
-Organon (1968)               atuam em temperatura elevada
- Biopresto (Unilever)
- Henkel – Viva (1978-1984)
- Gessy lever: Omo (1989) –
líder de mercado
VANTAGEM DA PROTEASE ALCALINA
          ANIMAL
  • MANTÉM ESTÁVEL MESMO COM ALTAS
    CONCENTRAÇÕES DE H2O2 (10%)

  • A ESTABILIDADE DAS OUTRAS REQUER
    ENGENHARIA GENÉTICA QUE AUMENTA
    CUSTOS

  • H2O2 É O BRANQUEADOR
PROCESSO DE EXTRAÇÃO DA
      PROTEASE ALCALINA DE TAMBAQUI
20 mg/ mL de                        EXTRATO          CENTRÍFUGA
                     Centrífuga
  vísceras                           BRUTO            10 MIN 4°C
                    10 min 10°C
 +0,9% NaCl                        45°C-30 min



                                                 SOBRENADANTE
           + 0,05 M tris HCl                         300 mL
               pH 8.0 2hr                         + ETANOL 4°C
                  2X


                                                     CENTRÍFUGA
FRAÇÃO 1: + 75 mL de                                  15 min 4°C
      tris HCl
        0,1 M                        ETANOL:
    pH 8.0 25°C                   FRAÇÃO 1: 0-30%
  FRAÇÃO 2: IDEM                  FRAÇÃO 2: 30-70%
PURIFICAÇÃO



• Purificações baseadas no tamanho da
  molécula (centrifugação)
• Purificações fundamentadas nas diferenças
  de solubilidade (sal e/ou solventes)
• Purificações baseadas na carga elétrica
                                       ponto isoeletrico-
 não reage e precipita



• Purificações fundamentadas na separação
  por adsorção seletiva (cromatografia de
  afinidade)
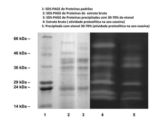
1: SDS-PAGE de Proteínas padrões
           2: SDS-PAGE de Proteínas do extrato bruto
           3: SDS-PAGE de Proteínas precipitadas com 30-70% de etanol
           4: Extrato bruto ( atividade proteolítica na azo-caseína)
           5: Precipitado com etanol 30-70% (atividade proteolítica na azo-caseína)


66 kDa –


46 kDa –


36 kDa –


29 kDa –
24 kDa –



14 kDa –

            1               2        3            4                    5
ATIVIDADE PROTEOLÍTICA
                  Atividade    Proteína       Atividade                Rendimento
    TESTES                                                 Purificação
                    Total     Total (mg)   Específica U/mg                 (%)

 Extrato Bruto     46,875        834            56.2          1.0       100.0
 Extrato Bruto
                   44,574        623            71.6          1.3        95.1
   aquecido
F1(0-30% etanol    6,971         448            15.6          0.3        14.9
F2 (30-70%)etanol 35,114         481            73.0          1.3        74.9
  Sobrenadante
                   1,921         97             19.8          0.4        4.1
       final



       AZOCASEÍNA 1% +                     ESPECTROFOTOMETRIA
          PROTEASE
                                                280-260 nm
         SULFOAMIDA
         ALARANJADA
MODO DE AÇÃO DAS PROTEASES
EFEITO DE INIBIDORES
             Atividade Enzimática
 Sustrato                         Benzamidina TLCK PMSF TPCK
                    mU/mL

 BapNA             1.59            100%     98%   54%

Suc-Phe-p-
                   0.04                           96% 100%
   Nam
EFEITO DA TEMPERATURA




                             Em pH 8.0
Temperatura (a)

Estabilidade Térmica (b)incubado 30 min 25°C e depois testada sua
atividade proteolítica de 25°C-80°C
EFEITO DE pH
Protease precipitada com Etanol




                          Atividade Residual


0.1 M Fosfato

Tris-HCl

NaOH/Glicina
EFEITO DE SURFACTANTES
      E OXIDANTES

                            Atividade Residual %
Surfactantes (1%)
                    Depois 30 min   Depois 60 min
    Saponina            117.5            118.4
 Colato de Sódio        94.2            107.3
   Tween 20             117.3           108.2
   Tween 40             112.0           107.8
      SDS                15.1            7.3
COMPATIBILIDADE
   Incubação
 0,2 mg/mL de
 Protease 40°C
                 Atividade Residual

 + 7 mg/mL de:

Surf®

Ala®

Bem-te-vi®

Omo
Multi-Ação®


                                             Tempo/hr
INATIVAÇÃO EM H2O2
Curva de Inativação em H2O2

Enzima incubada a
40°C com H2O2 em:
                    Atividade Residual




5%

10%

15%



                                         Tempo (min)
CONCLUSÕES
 Protocolos de extração de Proteases Alcalinas de Tambaqui com
  etanol são econômicos quando em escala industrial;
 São estáveis em surfactantes, com exceção do SDS;
 São estáveis na presença de altas concentrações de H2O2 sem
  gastos com manipulação genética ou preparações enzimáticas
  prévias;
 São compatíveis com vários tipos de detergentes em pó;
 Suportam altas temperaturas como as encontradas em máquinas
  de lavar com ciclo programado;
 São extraídos de resíduos da indústria alimentícia, não requerendo
  cuidados com meios e crescimento de biomassa;
 Retira da natureza um problema da indústria alimentícia.
OBRIGADA!

Protease alcalina

  • 1.
    PRODUÇÃO DE ENZIMASDE ORIGEM ANIMAL Tropical fish alkaline proteases as a laundry detergent additive ESPÓSITO, T. S., 2006 Recife-Brasil Apresentação: Gleiciane Pinheiro e Mauren Silveira
  • 2.
  • 3.
    ENZIMAS DE ORIGEMANIMAL Produção de enzimas de origem animal Enzima Origem Extração Uso Pancreatina Pâncreas de porco Adição de Auxiliar digestivo etanol Renina Suco gástrico do Adição de Elaboração de quarto estômago ácido queijos italianos; do bezerro Preparação de pudins. Pepsina Mucosa do Ácido Auxiliar digestivo; estômago de clorídrico _ Produção de porco hidrolisados protéicos. Catalase Fígado e sangue Adição de Degradação do de (boi e porco). acetona peróxido de hidrogênio
  • 4.
    PROCESSO GERAL DEEXTRAÇÃO ENZIMÁTICA • Extraídas em solução aquosa antes de serem processadas. • Tecidos são secos e triturados em partículas pequenas e finas • Tecidos ainda úmidos são desintegrados (moinhos ou homogeneizadores) • Materiais são então, extraídos com água ou solução tampão adequada • Resíduos insolúveis removidos por filtração ou centrifugação (terra diatomácea é adicionada como auxiliar de filtração do extrato ou da solução de enzima bruta).
  • 5.
    PRINCIPAIS INDÚSTRIAS CONSUMIDORAS DE ENZIMAS
  • 6.
  • 7.
  • 8.
  • 9.
    MODO DE AÇÃODAS PROTEASES
  • 10.
    DETERGENTES EM PÓ Proteases: pH 9.0-12.0 - Mais utilizadas em detergentes - Removem manchas de ovo, sangue, suor, extratos vegetais,... - Detergentes sem enzimas: ineficiente para remover manchas de proteínas. Aplicação enzimática em - Proteases Alcalinas: detergentes no Brasil: Possuem pH ótimo alcalino e -Organon (1968) atuam em temperatura elevada - Biopresto (Unilever) - Henkel – Viva (1978-1984) - Gessy lever: Omo (1989) – líder de mercado
  • 11.
    VANTAGEM DA PROTEASEALCALINA ANIMAL • MANTÉM ESTÁVEL MESMO COM ALTAS CONCENTRAÇÕES DE H2O2 (10%) • A ESTABILIDADE DAS OUTRAS REQUER ENGENHARIA GENÉTICA QUE AUMENTA CUSTOS • H2O2 É O BRANQUEADOR
  • 12.
    PROCESSO DE EXTRAÇÃODA PROTEASE ALCALINA DE TAMBAQUI 20 mg/ mL de EXTRATO CENTRÍFUGA Centrífuga vísceras BRUTO 10 MIN 4°C 10 min 10°C +0,9% NaCl 45°C-30 min SOBRENADANTE + 0,05 M tris HCl 300 mL pH 8.0 2hr + ETANOL 4°C 2X CENTRÍFUGA FRAÇÃO 1: + 75 mL de 15 min 4°C tris HCl 0,1 M ETANOL: pH 8.0 25°C FRAÇÃO 1: 0-30% FRAÇÃO 2: IDEM FRAÇÃO 2: 30-70%
  • 13.
    PURIFICAÇÃO • Purificações baseadasno tamanho da molécula (centrifugação) • Purificações fundamentadas nas diferenças de solubilidade (sal e/ou solventes) • Purificações baseadas na carga elétrica ponto isoeletrico- não reage e precipita • Purificações fundamentadas na separação por adsorção seletiva (cromatografia de afinidade)
  • 14.
    1: SDS-PAGE deProteínas padrões 2: SDS-PAGE de Proteínas do extrato bruto 3: SDS-PAGE de Proteínas precipitadas com 30-70% de etanol 4: Extrato bruto ( atividade proteolítica na azo-caseína) 5: Precipitado com etanol 30-70% (atividade proteolítica na azo-caseína) 66 kDa – 46 kDa – 36 kDa – 29 kDa – 24 kDa – 14 kDa – 1 2 3 4 5
  • 15.
    ATIVIDADE PROTEOLÍTICA Atividade Proteína Atividade Rendimento TESTES Purificação Total Total (mg) Específica U/mg (%) Extrato Bruto 46,875 834 56.2 1.0 100.0 Extrato Bruto 44,574 623 71.6 1.3 95.1 aquecido F1(0-30% etanol 6,971 448 15.6 0.3 14.9 F2 (30-70%)etanol 35,114 481 73.0 1.3 74.9 Sobrenadante 1,921 97 19.8 0.4 4.1 final AZOCASEÍNA 1% + ESPECTROFOTOMETRIA PROTEASE 280-260 nm SULFOAMIDA ALARANJADA
  • 16.
    MODO DE AÇÃODAS PROTEASES
  • 17.
    EFEITO DE INIBIDORES Atividade Enzimática Sustrato Benzamidina TLCK PMSF TPCK mU/mL BapNA 1.59 100% 98% 54% Suc-Phe-p- 0.04 96% 100% Nam
  • 18.
    EFEITO DA TEMPERATURA Em pH 8.0 Temperatura (a) Estabilidade Térmica (b)incubado 30 min 25°C e depois testada sua atividade proteolítica de 25°C-80°C
  • 19.
    EFEITO DE pH Proteaseprecipitada com Etanol Atividade Residual 0.1 M Fosfato Tris-HCl NaOH/Glicina
  • 20.
    EFEITO DE SURFACTANTES E OXIDANTES Atividade Residual % Surfactantes (1%) Depois 30 min Depois 60 min Saponina 117.5 118.4 Colato de Sódio 94.2 107.3 Tween 20 117.3 108.2 Tween 40 112.0 107.8 SDS 15.1 7.3
  • 21.
    COMPATIBILIDADE Incubação 0,2 mg/mL de Protease 40°C Atividade Residual + 7 mg/mL de: Surf® Ala® Bem-te-vi® Omo Multi-Ação® Tempo/hr
  • 22.
    INATIVAÇÃO EM H2O2 Curvade Inativação em H2O2 Enzima incubada a 40°C com H2O2 em: Atividade Residual 5% 10% 15% Tempo (min)
  • 23.
    CONCLUSÕES  Protocolos deextração de Proteases Alcalinas de Tambaqui com etanol são econômicos quando em escala industrial;  São estáveis em surfactantes, com exceção do SDS;  São estáveis na presença de altas concentrações de H2O2 sem gastos com manipulação genética ou preparações enzimáticas prévias;  São compatíveis com vários tipos de detergentes em pó;  Suportam altas temperaturas como as encontradas em máquinas de lavar com ciclo programado;  São extraídos de resíduos da indústria alimentícia, não requerendo cuidados com meios e crescimento de biomassa;  Retira da natureza um problema da indústria alimentícia.
  • 24.