BienVienidos
Turma 10
Especialização em Implantodontia
Profª. Karina Bergamo Cardoso
Planejamento e Fluxo Digital
Reabilitação Oral
Em
Profª. Karina Bergamo Cardoso
- Cirurgiã-dentista pela USC
- Especialista em Dentística Restauradora e Estética
pelo HRAC/Centrinho - USP
- Especialista em Reabilitação Oral pela APCD -
Bauru
- Mestre em Reabilitação Oral pela FOB - USP
kbergamocardoso@gmail.com
Profª. Ma. Karina Bergamo Cardoso
L a r e h a b i l i t a c i ó n
d e u n o o
t o d o s l o s
d i e n t e s c o m i e n z a
c o n
l a p l a n i f i c a c i ó n
El director de orquestra....
Es el planificador!
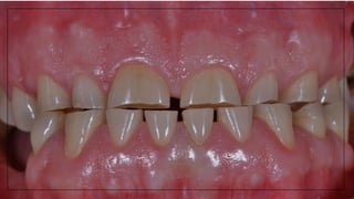
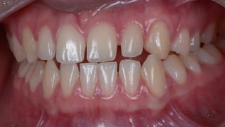
Exame do Paciente
em Reabilitação
Prontuario
´
Identificação do Paciente
Prontuario
´
Aspectos Legai
Tribunal de Justiça de São Paulo (TJ-SP)
Em 2018, foram condenadas 80 apelações sobre
erro odontológico no Tribunal de Justiça de São
Paulo (TJ-SP). No ano passado, o número subiu
para 150.
Insatisfação com a execução do
tratamento, paciente considera o serviço
mal realizado;
Falta de esclarecimentos sobre eventuais
alternativas de tratamento;
Problemas com Próteses e Implantes:
40% resultam de problemas surgidos na
fase cirúrgica ou protética.
As principais causas de
processos contra dentistas
Orientação
x
Justificativa
Anamnese
- Histórico odontológico
e evolução da doença atual
-Necessidades e Expectativas
ANAMNESE
Histórico Médico
ANAMNESE
Anamnese
- Medicação contínua
- Osteoporose
- Cigarro
- Refluxo gastresofágico
- Alergias a medicamentos ou
materiais
- Diabetes
- Anemia
- Problemas cardiovasculares
- Histórico de Hemorragia
Exames Complementares
- Hemograma Completo
- Uréia
- Glicose
- Creatina
- Coagulograma e plaquetas
- Eletrocardiograma com laudo do
Cardiologista
Estado Psíquico do Paciente
Depressão
Medo
Ansiedade
Síndrome do Pânico
Retardo Neuropsicomotor
Alzheimer
Hábitos Parafuncionais
Parafunção significa tudo o que
se pratica com os componentes
estomatognático sem o
objetivo de falar, mastigar ou
deglutir. Pegoraro et al 2013
- Bruxismo da Vigília
- Bruxismo do Sono
Bruxismo
Novo Consenso Sobre Bruxismo
Bruxismo do Sono e do Despertar: A$vidades dos
músculos da mas$gação que ocorrem durante o sono
(Rítmicas ou não- rítmicas)
Bruxismo da Vigília: A$vidades dos músculos da
mas$gação caracterizado pelo contato repe$$vo ou
sustentado dos dentes e/ou pelo travamento ou
empurrão da mandíbula
Em indivíduos saudáveis, o bruxismo não deve ser
considerado como um distúrbio, mas como um
comportamento que pode ser um fator de risco (e / ou
proteção) para certas consequências clínicas de
desgaste com bruxismo
LESÕES CERVICAIS
NÃO-CARIOSAS
AB - Afastado
FRACT - Fratura
Abfração do La,m – Fratura á
distância
LCNC - Lesoes Cervicais Nao Cariosas
~ ~
Não
Interferência
Oclusal
Mul$fatorial
Interferência
Oclusal
Análise de Elementos Finitos
Grippo et al 2005
Não há evidência credível para apoiar o trauma
oclusal a existência de abfração ou implicá-lo
como uma causa de recessão gengival.
- Erosão/
Biocorrosão
- Abrasão
- Atrição/ Stress
Oclusal
B
i
o
c
o
r
r
o
s
a
o
~
-
Extrínseca
-
Intrínseca
EROSAO
~
ABRASAO
~
Abrasão é a perda de substância por
um processo mecânico repeFFvo que
envolve objetos ou substâncias,
podendo ser difusa ou localizada
Litonjua et al 2003
ar#go
Estudos recentes tem mostrado
que essas lesões são formadas
pela ação de vários fatores e por
este fato deixaram de ser
chamadas apenas lesões de
abfração. A etiologia é
multifatorial, envolvendo
mecanismos como: acumulo de
tensão, fricção e biocorrosão.
ANAMNESE
Exame
Extra Oral
Avaliacao da musculatura E das
articulacoes temporomandibulares
A evidência de dor ou disfunção nas ar$culações
temporomandibulares ou nos músculos nas regiões da
cabeça e do pescoço cons$tui indicação para uma
avaliação mais detalhada antes de iniciar qualquer
procedimento restaurador
~
~
Pegoraro et al 2013
Simetria e Formato Facial
Simetria e formato facial
Suporte de lábio
Sulcos e linhas faciais
Proporções entre os terços
Dimensão VerFcal
Perda da Dimensao VerBcal
~
C
O
L
A
P
S
O
F
A
C
I
A
L
Avaliação Intra
Oral
Exame IntraOral
Número e disposição dos dentes remanescentes
Presença de cárie, restaurações insa$sfatórias e LCNC
Avaliação da vitalidade pulpar
Avaliação de próteses e implantes existentes
Inclinação dos dentes pilares e
Avaliação dos espaços edêntulos
Exames
Radiográficos
Radiografia
Panorâmica
Radiografias Periapicais
Radiografias Interproximais
Exame Radiográfico
Proporção coroa/raiz em relação de inserção óssea
Configuração e inclinação das raízes
Presença de lesões periapicais
Qualidade do tratamento endodôntico e dimensão de núcleos
Reabsorções internas e externas
Trincas e fraturas
Espessamento do lig. Periodontal
Bolsa óssea
Presença de raízes residuais e corpos estranhos
Quantidade e Qualidade Óssea
Tomografia Computadorizada de Feixe Cônico
Protocolo
Fotográfico
Sequência Fotográfica
Protocolo Fotográfico Completo
Para avaliação em Prótese Fixa
18 fotos de Diagnóstico
+
Fotos complementares
Sugestão de Equipamento
Fotográfico
FLASH CIRCULAR CANON
MR - 14EX II LENTE MACRO 100mm
CANON F2.8 USM
DSLR CANON T6i
Posicionamento para Fotos Odontológicas de
Diagnóstico
Posição da Câmera Fotográfica
Plano de Entrada das Fotos Frontais
- Plano de Frankfurt paralelo ao solo
- Câmera Levemente Inclinada de cima
para Baixo
Avaliação
Facial
Terços Faciais
Linha Média
Linha Interpupilar
Plano Oclusal
2mm
0mm
1,5mm
1,5mm
1,5mm 1mm
0,9mm
1,5mm
2mm
Balanço de branco:
Flash (Nikon)
Luz do dia (Canon)
ou Kelvin (K) 5.600
White balance WB
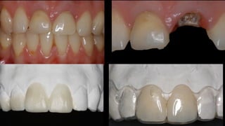
-Ferramenta de planejamento
-Comunicação com o laboratório
-Marketing e venda
Digital Smile Design
DSD -
Proporção dentária de 80%
Orientações para o enceramento:
- encerar do 13 ao 25
- os dentes 12, 11, 21, 22, 23, 24 e 25 tem aumento na incisal conforme medidas
- os dentes 22 e 23 tem aumento na distal- os dentes 24 e 25 tem aumento na vestibular para preencher
corredor bucal
- o dente 22 acrescentar a cera na distal sobre o 23
- o dente 12 encerar sobre a gengiva conforme desenho e medidas
- o dente 13 está bem adequado encerar apenas para corrigir forma (o mais fino possível)
10,5mm
10,5mm
10,5mm
10,5mm
10,5mm
9mm
8mm
1mm
1mm
1mm
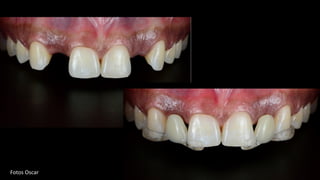
Colaboração Lucas, Oscar,
Jefferson e Ana Clara
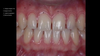
EXAME PERIODONTAL
1- Gengiva marginal livre
4- Mucosa Alveolar
2- Gengiva Inserida
1
2
3
4
3 - Junção mucogengival
Risco a Cárie
X
Risco a
Doença Periodontal
Há um risco aumentado de desenvolvimento e peri-implan4te em pacientes com história de periodon4te
crônica, fracas habilidades de controle de placa e ausência de cuidados regulares de manutenção após a
terapia reabilitadora.
O paciente portador de doenças sistêmicas podem representar um fator de risco ao início ou a
progressão da doença periodontal, que possam provocar alterações gengivais.
Mobilidade Dentária
Grau 1: 0,2 - 1 mm no sen1do horizontal
Grau 2: > 1 mm no sen1do horizontal
Grau 3: sen1do horizontal e ver1cal
classificação de Lindhe modificada - Fleszar et al 1980
Furca
• Classe I caracterizada pela perda
horizontal do tecido de suporte menor
que 3mm
• Classe II caracterizada pela perda
horizontal do tecido de suporte maior
ou igual a 3mm
• Classe III caracterizada pela perda
horizontal dos tecidos de um lado a
outro da furca
Sonda Nabers
Exame
de
Sondagem
Sangramento a Sondagem ( SS )
Medida em 0 -> Ausente
Medida em 1 -> Presente
Profundidade de Sondagem
Sondagem Dente x Implante
Misch, CE 2009
PS normal
~ 3mm
PS normal
~ 5 mm
Nível Gengival ( NG)
+ Hiperplasia
- Recessão Gengival
Miller PD Jr, 1985
Í ndice de Placa
Placa Ausente
Nível Baixo
Nível Médio
Nível Alto
Tratamento
Planejamento
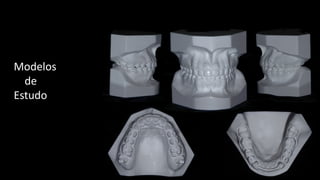
Moldagem para Estudo
Modelos de gesso
Modelos
de
Estudo
Tomada do Arco Facial
Transferência da
posição da maxila
colhida através do arco
facial para o ar$cular
RC
ou
MIH
Quando usar RC?
Modelos de estudo
Pacientes sem estabilidade oclusal
Sinais e sintomas de trauma oclusal
Oclusão Ideal
Contatos posteriores bilaterais e simultâneos
Transmissão das cargas oclusais em direção ao longo eixo dos dentes
Possui guias laterais e anterior sem interferência
DVO adequada
Registro
Montagem em Articulador
Enceramento Diagnós$co
Avaliar os contatos em RC
Novas Tecnologias
na
Odontologia
Fluxo Digital
Moldagem Digital
Escaneamento
Chairside
In LAB
Moldagem Digital
Arquivo em STL ( Standard Template Library)
Scanner Intra oral
- Maior conforto e comodidade ao paciente
- Velocidade no planejamento
- Armazenamento de dados
- Agilidade de processamento
- Dispensa a utilização de moldeiras, materiais de
moldagem e confecção de modelos de gesso
- Permite tomada de cor
Vantagens
Moldagem Digital
Scanner Intra oral
- Alto custo
- Necessita de capacitação técnica e conhecimento da
tecnologia
- Workflow completo
Desvantagem
Moldagem Digital
Scanner Intra oral
Análise da Cor
Moldagem Digital
Escaneamento intra oral
Scanner de Bancada
Modelos Digitalizados
CAD/CAM
CAD - Computer-Aided Design
(Desenho Auxiliado por Computador)
CAM - Computer Aided Manufacture
(Manufatura Assistida por Computador)
CAD/CAM
Computer Aided Design
(Desenho Auxiliado por Computador)
CAD/CAM
Computer Aided Manufactuing
(Manufatura Auxiliado por Computador)
Prototipagem em odontologia
Impressão 3D em Odontologia
Impressoras 3D FDMs
(Fused deposi2on modeling)
Impressoras 3D - FDM
(Modelagem de Deposição Fundida)
Sinterização Seletiva a laser
Impressão 3D - SLA
Impressão 3D - SLA
Os modelos digitais oferecem um alto
grau de fidelidade quando comparados
com a confecção tradicional em modelos
de gesso, e as diferenças entre as
abordagens tendem a ser aceitáveis.
Arco Facial e ArBculador
Digital
Articulador Digital
Estereofotogra
metria
ria Estereofotogrametri
a
- 44 pacientes (homens e mulheres) pacientes
com idade média de 38 anos, com desgaste
dentário severo foram tratados usando
restaurações diretas de resina composta,
aumentando a DVO 1,6 ± 0,9 mm.
- Antes e um mês após o tratamento, foram
realizadas estereofotografias tridimensionais
3D e as alterações faciais foram medidas com o
uso de referências cefalométricas 3D .
- Modelos de gesso foram usados para
determinar o índice de desgaste dentário (TWI) e
o aumento de DVO
- O quesmonário Orofacial Esthemc Scale (OES)
foi umlizado para avaliar a felicidade subjemva
com a aparência, testes T de Student e
alterações faciais pelo teste TWI-score
múlmpla(p<0,05)
Conclusão: Uma reabilitação
completa com um aumento
na dimensão vertical de oclusão
resultou em mudanças objetivas na
altura facial inferior, medida com
estereofotogrametria 3D. Esta
reabilitação total levou a um
aumento da felicidade com a
aparência orofacial, medida com o
questionário OES.
Estereofotogrametria
Escaneamento Facial Análise por Colorimetria
Escaneamento Facial
Arquivos .STL
Comunicação com o
laboratório;
Análise individualizada baseada
nas proporções faciais;
Escaneamento Facial Análise por Colorimetria
Tentativas de alterar a altura da
face aumentando DVO dentro da
faixa de 2 a 6 mm por razões
estéticas podem não ser
visualmente indistinguível.
Laser Er:YAG
laser érbio: granada de ítrio alumínio (Er:YAG)
Tratamento e prevenção de Cáries;
Tratamento de hipersensibilidade dentinaria
Tratamento de Hipomineralização de Incisivos Molares HIM;
Cavitação e desinfecção Endodôntica;
Desbridamento para Implantodontia;
Pulpotomias; Pulpectomias;
Frenectomia Labial;
Periodontite Crônica;
Mucosite;
Tratamento de Osteonecrose Mandibular;
Procedimentos Cirúrgicos de Hiperplásicas e no tratamento de Leucoplasias;
Efeito Analgésico
Abbaszadeh, H. A. et al., 2017; Fornaini, Carlo et al., 2019
Remoção de Laminados Cerâmicos (e-max) com Laser de Er: YAG
Remoção de tecido cáriado com Laser de Er: YAG
Delineamento Digital
Fluxo Digital
Ou
Analógico
Planejamento
=
Controle de Resultados
El director de orquestra....
Es el planificador!
Obrigada!
kbergamocardoso@gmail.com
Gracias!
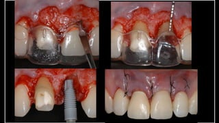
Guia Cirúrgico
Planejamento Reverso
Guias em Implantodon$a
- Guias de Orientação
Para exames radiográficos e tomográficos
- Guias cirúrgicos e mulBfuncionais
- Guia para Cirurgia Guiada
Guia Tomográfico
Guia Cirúrgico
Multifuncional
Guia Cirúrgico
Multifuncional
Imagens Abbas
Confecção do guia mulBfuncional
Imagens Abbas
Imagens Abbas
Fotos Oscar
Guia Cirúrgico para Cirurgia Guiada
Planejamento
=
Maior Controle de Resultados
Perfil do Paciente
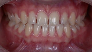
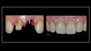
Conclusão
Independente do $po da prótese ela deverá sempre
ter como obje$vo principal o restabelecimento das
funções mas$gatórias, a foné$ca e esté$ca, sempre
levando em consideração os princípios de oclusão e o
bem estar do paciente.
Pegoraro et al 2013
Obrigada! !
!

Exames do Paciente final - implante t.10.pdf