Drª. Márcia Ribeiro Guimarães, CD.
USF – Parque Sol Nascente.
Luziânia – GO.
Câncer Bucal
O que é o câncer de boca?
 é uma denominação que inclui os cânceres de lábio
e de cavidade oral (mucosa bucal, gengivas, palato
duro, língua e assoalho da boca).
 O câncer de lábio é mais freqüente em pessoas
brancas, e registra maior ocorrência no lábio
inferior em relação ao superior.
 O câncer em outras regiões da boca acomete
principalmente tabagistas (fumantes)e os riscos
aumentam quando o tabagista é também
alcoólatra.
Quais os fatores de risco para o
câncer de boca?
idade superior a 40 anos,
vício de fumar cachimbos e cigarros,
 consumo de álcool,
 má higiene bucal
 uso de próteses dentárias mal-
ajustadas.
Restos de dentes
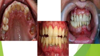
Quais são os sintomas do câncer de
boca?
 feridas na boca que não cicatrizam em uma semana.
 lesões superficiais, com menos de 2 cm de diâmetro,
 indolores (podendo sangrar ou não),
 manchas esbranquiçadas ou avermelhadas nos lábios ou na mucosa
bucal,
 Dificuldade para falar, mastigar e engolir,
 Perda de peso acentuado, dor e presença de caroço no pescoço
(são sinais de câncer de boca em estágio avançado). Mau hálito
persistente
 Irritação e dor na garganta, sensação de entalada. Mudanças na voz
e respiração ruidosa.
DIAGNÓSTICO
 Pessoas com mais de 40 anos de idade,
 dentes fraturados, restaurações quebradas,
fumantes e portadores de próteses mal-ajustadas
devem evitar o fumo e o álcool,
PREVENÇÃO
 promover a higiene bucal correta,
 ter os dentes tratados e fazer uma consulta
odontológica de controle a cada ano,
 manutenção de uma dieta saudável, rica em
vegetais e frutas.
Atenção!!!!
Para prevenir o câncer de lábio,
deve-se evitar a exposição ao sol
sem proteção ( usar o filtro solar e
chapéu de aba longa).
O combate ao tabagismo é
igualmente importante na
prevenção deste tipo de câncer.
Como saber se tenho o câncer de boca
 O exame CLÍNICO rotineiro da boca feito
por um profissional de saúde(DENTISTA)
pode diagnosticar lesões no início, antes de
se transformarem em lesões graves.
 Pessoas com mais de 40 anos que fumam e
bebem devem estar mais atentas.
Como tratar o câncer de boca?
• A cirurgia e/ou a radioterapia – (cura em 80% dos
casos).
A quimioterapia associada à radioterapia é
empregada nos casos mais avançados, quando a
cirurgia não é possível.
• O prognóstico, nestes casos, é extremamente grave,
tendo em vista a impossibilidade de se controlar
totalmente as lesões extensas, a despeito dos
tratamentos aplicados.
Referência: Instituto Nacional do Câncer – INCA
Imagens: Google Images

cancer_bucal

  • 1.
    Drª. Márcia RibeiroGuimarães, CD. USF – Parque Sol Nascente. Luziânia – GO. Câncer Bucal
  • 3.
    O que éo câncer de boca?  é uma denominação que inclui os cânceres de lábio e de cavidade oral (mucosa bucal, gengivas, palato duro, língua e assoalho da boca).  O câncer de lábio é mais freqüente em pessoas brancas, e registra maior ocorrência no lábio inferior em relação ao superior.  O câncer em outras regiões da boca acomete principalmente tabagistas (fumantes)e os riscos aumentam quando o tabagista é também alcoólatra.
  • 5.
    Quais os fatoresde risco para o câncer de boca? idade superior a 40 anos, vício de fumar cachimbos e cigarros,  consumo de álcool,  má higiene bucal  uso de próteses dentárias mal- ajustadas. Restos de dentes
  • 8.
    Quais são ossintomas do câncer de boca?  feridas na boca que não cicatrizam em uma semana.  lesões superficiais, com menos de 2 cm de diâmetro,  indolores (podendo sangrar ou não),  manchas esbranquiçadas ou avermelhadas nos lábios ou na mucosa bucal,  Dificuldade para falar, mastigar e engolir,  Perda de peso acentuado, dor e presença de caroço no pescoço (são sinais de câncer de boca em estágio avançado). Mau hálito persistente  Irritação e dor na garganta, sensação de entalada. Mudanças na voz e respiração ruidosa.
  • 13.
    DIAGNÓSTICO  Pessoas commais de 40 anos de idade,  dentes fraturados, restaurações quebradas, fumantes e portadores de próteses mal-ajustadas devem evitar o fumo e o álcool, PREVENÇÃO  promover a higiene bucal correta,  ter os dentes tratados e fazer uma consulta odontológica de controle a cada ano,  manutenção de uma dieta saudável, rica em vegetais e frutas.
  • 16.
    Atenção!!!! Para prevenir ocâncer de lábio, deve-se evitar a exposição ao sol sem proteção ( usar o filtro solar e chapéu de aba longa). O combate ao tabagismo é igualmente importante na prevenção deste tipo de câncer.
  • 17.
    Como saber setenho o câncer de boca  O exame CLÍNICO rotineiro da boca feito por um profissional de saúde(DENTISTA) pode diagnosticar lesões no início, antes de se transformarem em lesões graves.  Pessoas com mais de 40 anos que fumam e bebem devem estar mais atentas.
  • 18.
    Como tratar ocâncer de boca? • A cirurgia e/ou a radioterapia – (cura em 80% dos casos). A quimioterapia associada à radioterapia é empregada nos casos mais avançados, quando a cirurgia não é possível. • O prognóstico, nestes casos, é extremamente grave, tendo em vista a impossibilidade de se controlar totalmente as lesões extensas, a despeito dos tratamentos aplicados.
  • 23.
    Referência: Instituto Nacionaldo Câncer – INCA Imagens: Google Images