Patologias da Tireóide
Prof. Msc. José Abreu Jr
Introdução
A tireóide é uma glândula localiza na porção
anterior do pescoço e responde pela
produção de hormônios como
Triiodotironina (T3) e Tiroxina (T4) que
atuam na digestão, crescimento e
metabolismo.
Alterações na produção de tais hormônios
levam à manifestações clínicas de
hipotireodismo ou hipertireoidismo.
Tireóide
Anatomicamente a
glândula tireóidea é
dividida em dois lobos
ligados por um istmo.
Recebe vascularização
superior e inferiormente.
Tem relação topográfica
com os nervos laríngeos
recorrentes, artérias
carótidas e veias
jugulares lateralmente a
ela e traquéia
posteriormente à
mesma.
Características da glândula tireóide

http://www.healthopedia.com/pictures/site-of-thyroid-scan.html

A practical guide to clinical medicine, UCSD School of Medicine :
http://medicine.ucsd.edu/clinicalmed/head.htm
Willians, 2004
HISTOLOGIA DA
TIREÓIDE
Os Hormônios foliculares tireoideanos
Tiroxina (t4)

Triiodotironina (t3)
Síntese de Hormônios Tireoideanos
(HT)
IODO

TIREOGLOBULINA
(TG)

Principal elemento para a
síntese de HT.
O iodo ingerido é reduzido a
iodeto no trato digestivo e
absorvido pelo intestino delgado.

Glicoproteína (660 KDa) que
apresenta 2 subunidades.
Expressa apenas na tireóide.
Representa 70 a 80% do
conteúdo protéico glandular.
TIREÓIDE


A formação de quantidades normais de hormônios
tireoideanos, depende da quantidade de iodo exógeno



O balanço de iodo é mantido por fontes dietéticas ou
através de medicamentos e alimentação suplementar



O iodeto penetra na glândula tireóide por transporte ativo –
mecanismo de captação de iodeto ou bomba de iodeto



Formação dos hormônios tireoideanos –
Tetraiodotirosina (Tireoxina) T4 e Triiodotirosina T3
TIREÓIDE – Ação dos Hormônios T3 e T4 nos
Diferentes Sistemas
A. Sistema Cardiovascular

a) Circulação da pele – vasodilatação com perda
de calor
b) Coração – taquicardia; aumento do débito
cardíaco
c) Pressão arterial – aumenta a pressão sistólica,
diminui a pressão diastólica
TIREÓIDE – Ação dos Hormônios T3 e T4 nos
Diferentes Sistemas

B. Sistema Respiratório
a) Aumenta o metabolismo
b) Aumenta o consumo de oxigênio e a
eliminação de gás carbônico pelas células
c) Aumenta o teor de gás carbônico no
sangue, que leva a uma estimulação dos
centros respiratórios
TIREÓIDE – Ação dos Hormônios T3 e T4 nos
Diferentes Sistemas

C. Sistema Digestório
a) Aumenta o apetite
b) Aumenta a secreção digestiva

c) Aumenta a mobilidade do tubo digestivo,
podendo produzir diarréia
TIREÓIDE – Ação dos Hormônios T3 e T4 nos
Diferentes Sistemas

C. Sistema Ósseo
a) Aumento de T3 e T4, causa saída de
cálcio dos ossos, o qual é lançado no
sangue e eliminado pela urina (rarefação
óssea)
TIREÓIDE – Ação dos Hormônios T3 e T4 nos
Diferentes Sistemas

C. Sistema Nervoso
a) Aumento de T3 e T4:
* Insônia
* Nervosismo
* Ansiedade
* Tremor Muscular
Doenças Tireoidianas
Distúrbios Funcionais
 Hipotireoidismo
 Hipertireoidismo
Distúrbios Inflamatórios
 Tireoidites
Nódulos de tireóide
Bócio
Câncer de tireóide
Distúrbios Funcionais

Hipotireoidismo
E
Hipertireoidismo
(Doença de Graves e Adenoma Tóxico)
Hipotireoidismo
Origem primária: - ↑ TSH
- ↓ T3 e T4





Ausência congênita de tireóide, remoção cirúrgica, destruição
(autoimune, radiação ou infiltrativa).
Deficiência de iodo, defeitos enzimáticos e inibição por drogas
(amiodarona, lítio e tionamidas).
5% dos indivíduos, mais comum em mulheres com idade
avançada
Causa - Países subdesenvolvidos ausência de Iodo, pode
levar a bócio endêmico e cretinismo
- Países desenvolvidos  tireoidite de Hashimoto.
Hipotireoidismo
Origem secundária: - ↓TSH
- ↓ T3 e T4






Diminuição de TRH e TSH por tumores, irradiação e
inflamação hipotalâmicas ou massas, radiação, cirurgia ou
infecção hipofisárias.
Resistência ao hormônio tireoidiano
Menos de 1% dos casos
Metástases hipofisárias de neoplasias malignas primárias e
nas mulheres infarto provocado por hemorragias no momento
do parto (Sd. Sheehan).
Hipotireoidismo
Quadro Clínico













Ganho de peso
Letargia
Fadiga
Rouquidão
Constipação
Fraqueza
Mialgias
Parestesias
Pele seca e perda de
cabelos
Unhas quebradiças
Edema difuso

• Mulheres podem desenvolver

puberdade precoce, monorréia,
amenorréia e galactorréia
•Bradicardia

• Hipotensão diastólica
• Hipotermia moderada
• Bulhas cardíacas distantes

• Déficits cognitivos
• Reflexos tendinosos
profundos lentificados
Hipotireoidismo
Diagnóstico




Confirma-se com níveis de TSH elevados (nl de 0,5 a
4,5 mUI/L), níveis de T4 confirmam origem primária e
caracteriza a gravidade
Avaliação de anticorpos antitireoidianos
(antiperoxidase – antiTPO) para causa autoimune

Diagnósticos diferenciais




Níveis elevados de TSH podem indicar recuperação
de doença sistêmica grave, insuficiência renal e
insuficiência adrenal
Artrites, doenças musculares inflamatórias
Hipotireodismo
Tratamento


Reposição hormonal tireoidiana evitando
tireotoxicose por iatrogenia



Levotiroxina sódica (tiroxina) é a droga de escolha
independente da origem do hipotireoidismo
(1,8μg/kg/dia para adultos)



Tratar complicações
Hipertireoidismo
Etiologia


Doença de Graves



Adenoma Tóxico (Doença de Plummer)/Bócio Multinodular



Hipertireoidismo induzido por Iodo (amiodarona)



Adenoma hipofisário secretor de TSH / Gestacional (hCG)



Produção Ectópica de Hormônio (raro)



Tireoidites (viral /bacteriana /autoimune)



Hormônio Tireoidiano Exógeno (drogas / alimentos)
Hipertireoidismo
Quadro Clínico
Hipertireoidismo
Diagnóstico


É baseado na anamnese, exame físico e avaliação
laboratorial

Exame Físico








Aferição do peso, pressão arterial e frequência cardíaca
Inspeção da parte anterior do pescoço
Palpação da tireóide (determinação do tamanho,
consistência e presença de nodularidade)
Exame neuromuscular
Exame ocular (na busca de exoftalmia ou outros sinais de
oftalmopatia)
Exame dermatológico
Exame cardiovascular
Hipertireoidismo
Exames Laboratoriais







Dosagem de TSH (< 0,1 mIU/L)
T4 livre
T3 livre
Dosagem do anticorpo anti-receptor do TSH (TRAb) –
diagnóstico etiológico
Captação de iodo radioativo (I131) – diagnóstico e cálculo
da dose terapêutica

Importante para estabelecer o diagnóstico diferencial!
Doença de Graves
Epidemiologia





Causa mais comum de hipertireoidismo
Maior incidência entre 30 e 60 anos
Afeta aproximadamente 2% das mulheres e 0,2%
dos homens
Doença de Graves
Fisiopatologia






O receptor do TSH (TSHR) constitui o auto-antígeno
primário da doença de Graves, pois sofre estimulação
por anticorpos específicos;
Caracterizada pela presença de bócio difuso,
tireotoxicose, oftalmopatia infiltrativa e dermopatia
infiltrativa (mixedema pré-tibial).
O hipertireoidismo e o fenômeno infiltrativo podem
ocorrer juntos ou isoladamente.
Doença de Graves
Tratamento


Medicamentoso (DAT – drogas antitireoidianas)



Cirúrgico (tireoidectomia)



Iodo Radioativo (I 131)
Adenoma Tóxico
Fisiopatologia:


Geralmente, inicia como um nódulo ou múltiplos, já
existentes, que aumenta de tamanho, adquirindo
autonomia e passa a produzir hormônio fora do
controle normal do organismo.

Epidemiologia:




Maior incidência aos 60 anos;
Mais comum em mulheres;
Ocorre em 20% dos pacientes portadores de
nódulos antigos.
Adenoma Tóxico
Exames Laboratoriais
Diminuição de TSH e aumento da T3/T4

Tratamento




Propiltiouracil
Metimazol
Iodo radioativo
Distúrbios Inflamatórios
Tireoidite
 Sub-aguda (de Quervain)
 Sub-aguda pós-parto
 Aguda
 Induzida por Drogas
 Crônica
Tireoidite
Tireoidite Sub-aguda (de Quervain)


Causa mais comum de dor tireoidiana e mais
prevalente em mulheres (média de 40 a 50 anos)



Caracterizada por tireoidite de células gigantes,
tem etiologia viral (caxumba, adenovírus, influenzae,
entre outros), apresenta-se com tireóide edemaciada
e dor com irradiação para garganta, ouvidos e
mandíbula.
Apresenta diagnóstico diferencial com outras
tireoidites. Quase sempre o paciente tem
recuperação completa.
Trata-se com AINH e corticosteróides.




Tireoidite
Tireoidite Sub-aguda pós-parto






Por inflamação indolor e auto-imune da tireóide no
primeiro ano pós-parto levando a tireotoxicose
transitória seguida de hipotireoidismo.
Diagnóstico por vezes são erroneamente
interpretados pois consideram-se as queixas comuns
no pós-parto, mas pode ser detectado observandose a flutuação dos níveis de TSH nas diversas fases
e tem diagnóstico diferencial com Graves.
Trata-se com β-bloqueadores e, se necessário,
reposição de tiroxina.
Tireoidite
Tireoidite Aguda (Supurativa)






Condição rara e desencadeada por infecção
bacteriana, fúngica, micobactérias. Não bacterianas
acometem geralmente imunodeprimidos.
Cursam com febre, dor tireoidiana, calor e eritema
locais, disfagia e abscesso.
Diagnóstico é feito com achados clínicos, exames de
imagem (US), punção aspirativa e cultura. O
tratamento se dá por drenagem e antibiótico terapia.
Tireoidite
Tireoidite induzida por drogas
Amiodarona
 Rica em iodo e usada para tratamento de arritmias.
 Em uso crônico causa distúrbios de auto-regulação
tireoidiana em resposta ao excesso de iodo e promoção
de resposta autoimune induzindo tireotoxicose. A droga
diminui a ação de enzima da síntese de hormônios
tireoidianos.
 O tratamento é feito com levotiroxina, monitorização de
anticorpos e níveis de TSH, T3 e T4
Lítio
Causa em alguns casos aumento de anticorpos anti-tireóide
proporcionando hipotireoidismo.
IFN-α
Induz aumento de anticorpos
Tireoidite
Tireoidite Crônica (Hashimoto)






Apresenta aumento da glândula e cursa com
hipotireodismo.
O Diagnóstico é feito através de achados clínicos,
presença de anticorpos específicos (anti-peroxidase
e anti-tireoglobulina) e exames de imagem que
mostrem destruição glandular.
Trata-se com levotiroxina.
Tireodite
Tireoidite Crônica (Hashimoto)
Predisposição Genética
Fatores Ambientais
(stress, infecção, drogas)

↑ Resposta Imune
(Linf. T, linf. B, Th2 e citocinas IL4 e IL5)

Anticorpos-Ativação
de complemento,
Cels. NK, Th1

Dano Celular

Macroscopia

Citologia

Histologia
Nódulo de tireóide


Os nódulos são áreas de crescimento exagerado,
formando “caroços”, que se diferenciam do restante da
tireóide e podem ser de vários tamanhos , uni ou
multinodulares e benignos ou malignos.



É geralmente assintomático



Sintomas locais: disfagia, dispnéia, rouquidão,
compressão da artéria carótida e dos vasos da base e
dor.



Associados ao hipo ou ao hipertireoidismo.
Nódulo de tireóide


Benignos: múltiplos e estão associados a disfunções da
tireóide.



Malignos: sexo masculino; idade <20 ou > 70 anos;
presença de sintomas locais; história de radioterapia
externa no pescoço; presença de linfadenopatia
cervical.



Objetiva classificação do nódulo.



Usa-se: anamnese, exame físico, exame laboratorial
(TSH, T4 livre e total, anticorpos específico), exames
complementares (USG + Doppler, PAAF, RX, TC, RM)
Nódulo de tireóide


Tireoidectomia total ou parcial (Padrão Ouro).



Iodoterapia (iodo-131)



Radioterapia
Bócio


É o termo que designa o aumento do volume da glândula
tireóide.



Atóxico ou simples (82% dos casos);



Mergulhante;



Intratorácico (tireóide ectópica);
Bócio


O diagnóstico e o tratamento devem ser orientados
assim como foi descrito anteriormente em nódulos da
tireóide.
Câncer de Tireóide


Embora a grande prevalência de nódulos de tireóide, o
carcinoma de tireóide representa 1% de todas as neoplasias
malignas



É a neoplasia endócrina mais comum



É 3 – 4 vezes mais comum em mulheres



A mortalidade é baixa e a sobrevida é grande



Nos carcinomas diferenciados o crescimento é lento



O carcinoma anaplásico é um dos tumores de mais alta
malignidade
Câncer de Tireóide
Classificação


Papilífero



Folicular



Medular



Anaplásico
Câncer de Tireóide
Carcinoma Papilífero










70 – 80% dos casos
2 – 3 vezes mais em mulheres
O achado é um nódulo com crescimento muito lento
Em 20 – 80 % é multicêntrico com disseminação
linfática intra glandular
Em 30 % é bilateral
Disseminação linfática para linfonodos cervicais
Raramente dão metástases à distância
Câncer de Tireóide
Carcinoma Folicular











15 – 20 % dos casos
É mais freqüente em regiões com carência de Iodo
Maior incidência na quinta década
Se apresentam como um nódulo
15 – 20 % o diagnóstico é feito a partir do encontro de uma
metástase
Raramente dão metástase cervical
Podem ser minimamente ou amplamente invasivos
Têm disseminação hematogênica para pulmões, ossos,
fígado e cérebro
Câncer de Tireóide
Carcinoma Medular










5 – 8 % dos casos
Originado das células para foliculares secretoras de
calcitonina
É bastante agressivo e a sobrevida em 10 anos ocorre em
menos de 50% dos casos
Podem ter extensão local para linfonodos, músculos
adjacentes e traquéia
Disseminação à distância por via linfática ou hematogênica
Tem a calcitonina como marcador e podem cursar com
diarréia
80 % forma esporádica
20 % forma familiar associada a neoplasia de outras
glândulas (MEN)
Câncer de Tireóide
Neoplasias Endócrinas Múltiplas





MEN I : Pituitária-Paratireóide-Pâncreas
MEN IIa: Carcinoma Medular
Feocromocitoma
Adenoma de Paratireóide
MEN IIb: Carcinoma Medular
Feocromocitoma
Neuromas Múltiplos
Câncer de Tireóide
Carcinoma Medular


QUANDO SE ESTABELECE O DIAGNÓSTICO DE
CARCINOMA MEDULAR DE TIREÓIDE TEMOS QUE
BUSCAR OUTRAS ANORMALIDADES ENDÓCRINAS E
PESQUISAR FAMILIARES



INVESTIGAR COM DOSAGEM DE CALCITONINA BASAL
Câncer de Tireóide
Carcinoma Anaplásico


1 – 3 % dos casos



Geralmente acima dos 60 anos



Muito agressivo e de crescimento muito rápido levando à
disfagia e disfonia



Metástases regionais e à distância



Sobrevida de 6 -12 meses



Péssimo prognóstico
Câncer de Tireóide
Diagnóstico Clínico








Disfagia
Dificuldade respiratória
Rouquidão
Dilatação das veias do pescoço
Dor
Além dos sintomas locais, podem ocorrer sinais e
sintomas de Hipotireoidismo ou de Hipertireoidismo
Nódulos palpáveis durante exame físico de tireóide
Câncer de Tireóide
Exames Laboratoriais
-TSH; T3/T4 livre; globulina ligadora da tiroxina

Exames Complementares
-US; TC; RNM; Cintilografia e Biópsia
Câncer de Tireóide
Tratamento do Carcinoma Diferenciado
Fatores Prognósticos
 IDADE: Alto risco < 16 e > 45 anos
 TAMANHO: > 3,5 cm pior
< 1,5 cm melhor
 METÁSTASE: - Ganglionar não piora
- À distância piora
 Tratamento cirúrgico
 Tireoidectomia total
 Após 30 dias cintilografia cervical
 Dose terapêutica de 131 I
 Levotiroxina em dose supressiva
Câncer de Tireóide
Seguimento







Seguimento com dosagens de TSH e Tireoglobulina
Manter TSH suprimido
Tireoglobulina suprimida
Se tireoglobulina > 5 ng/ml fazer pesquisa de corpo inteiro
Em casos de metástases: Dose terapêutica de 131I
Uso de TSH recombinante

Tratamento de Outras Formas


CARCINOMA MEDULAR: Cirurgia com esvaziamento
ganglionar cervical



CARCINOMA ANAPLÁSICO: Tratamento paliativo;
traqueostomia
Sistema Bethesda










I)AMOSTRA NÃO DIAGNÓSTICA
II) BENIGNO
III) ATIPIAS DE SIGNIFICADO
INDETERMINADO / LESÃO FOLICULAR
DE SIGNIFICADO INDETERMINADO
IV) SUSPEITO DE NEOPLASIA
FOLICULAR
V)SUSPEITO DE MALIGNIDADE
VI) MALIGNO
Patologias da tireóide

Patologias da tireóide

  • 2.
    Patologias da Tireóide Prof.Msc. José Abreu Jr
  • 3.
    Introdução A tireóide éuma glândula localiza na porção anterior do pescoço e responde pela produção de hormônios como Triiodotironina (T3) e Tiroxina (T4) que atuam na digestão, crescimento e metabolismo. Alterações na produção de tais hormônios levam à manifestações clínicas de hipotireodismo ou hipertireoidismo.
  • 4.
    Tireóide Anatomicamente a glândula tireóideaé dividida em dois lobos ligados por um istmo. Recebe vascularização superior e inferiormente. Tem relação topográfica com os nervos laríngeos recorrentes, artérias carótidas e veias jugulares lateralmente a ela e traquéia posteriormente à mesma.
  • 7.
    Características da glândulatireóide http://www.healthopedia.com/pictures/site-of-thyroid-scan.html A practical guide to clinical medicine, UCSD School of Medicine : http://medicine.ucsd.edu/clinicalmed/head.htm Willians, 2004
  • 8.
  • 13.
    Os Hormônios folicularestireoideanos Tiroxina (t4) Triiodotironina (t3)
  • 14.
    Síntese de HormôniosTireoideanos (HT) IODO TIREOGLOBULINA (TG) Principal elemento para a síntese de HT. O iodo ingerido é reduzido a iodeto no trato digestivo e absorvido pelo intestino delgado. Glicoproteína (660 KDa) que apresenta 2 subunidades. Expressa apenas na tireóide. Representa 70 a 80% do conteúdo protéico glandular.
  • 15.
    TIREÓIDE  A formação dequantidades normais de hormônios tireoideanos, depende da quantidade de iodo exógeno  O balanço de iodo é mantido por fontes dietéticas ou através de medicamentos e alimentação suplementar  O iodeto penetra na glândula tireóide por transporte ativo – mecanismo de captação de iodeto ou bomba de iodeto  Formação dos hormônios tireoideanos – Tetraiodotirosina (Tireoxina) T4 e Triiodotirosina T3
  • 16.
    TIREÓIDE – Açãodos Hormônios T3 e T4 nos Diferentes Sistemas A. Sistema Cardiovascular a) Circulação da pele – vasodilatação com perda de calor b) Coração – taquicardia; aumento do débito cardíaco c) Pressão arterial – aumenta a pressão sistólica, diminui a pressão diastólica
  • 17.
    TIREÓIDE – Açãodos Hormônios T3 e T4 nos Diferentes Sistemas B. Sistema Respiratório a) Aumenta o metabolismo b) Aumenta o consumo de oxigênio e a eliminação de gás carbônico pelas células c) Aumenta o teor de gás carbônico no sangue, que leva a uma estimulação dos centros respiratórios
  • 18.
    TIREÓIDE – Açãodos Hormônios T3 e T4 nos Diferentes Sistemas C. Sistema Digestório a) Aumenta o apetite b) Aumenta a secreção digestiva c) Aumenta a mobilidade do tubo digestivo, podendo produzir diarréia
  • 19.
    TIREÓIDE – Açãodos Hormônios T3 e T4 nos Diferentes Sistemas C. Sistema Ósseo a) Aumento de T3 e T4, causa saída de cálcio dos ossos, o qual é lançado no sangue e eliminado pela urina (rarefação óssea)
  • 20.
    TIREÓIDE – Açãodos Hormônios T3 e T4 nos Diferentes Sistemas C. Sistema Nervoso a) Aumento de T3 e T4: * Insônia * Nervosismo * Ansiedade * Tremor Muscular
  • 21.
    Doenças Tireoidianas Distúrbios Funcionais Hipotireoidismo  Hipertireoidismo Distúrbios Inflamatórios  Tireoidites Nódulos de tireóide Bócio Câncer de tireóide
  • 22.
  • 23.
    Hipotireoidismo Origem primária: -↑ TSH - ↓ T3 e T4     Ausência congênita de tireóide, remoção cirúrgica, destruição (autoimune, radiação ou infiltrativa). Deficiência de iodo, defeitos enzimáticos e inibição por drogas (amiodarona, lítio e tionamidas). 5% dos indivíduos, mais comum em mulheres com idade avançada Causa - Países subdesenvolvidos ausência de Iodo, pode levar a bócio endêmico e cretinismo - Países desenvolvidos  tireoidite de Hashimoto.
  • 24.
    Hipotireoidismo Origem secundária: -↓TSH - ↓ T3 e T4     Diminuição de TRH e TSH por tumores, irradiação e inflamação hipotalâmicas ou massas, radiação, cirurgia ou infecção hipofisárias. Resistência ao hormônio tireoidiano Menos de 1% dos casos Metástases hipofisárias de neoplasias malignas primárias e nas mulheres infarto provocado por hemorragias no momento do parto (Sd. Sheehan).
  • 25.
    Hipotireoidismo Quadro Clínico            Ganho depeso Letargia Fadiga Rouquidão Constipação Fraqueza Mialgias Parestesias Pele seca e perda de cabelos Unhas quebradiças Edema difuso • Mulheres podem desenvolver puberdade precoce, monorréia, amenorréia e galactorréia •Bradicardia • Hipotensão diastólica • Hipotermia moderada • Bulhas cardíacas distantes • Déficits cognitivos • Reflexos tendinosos profundos lentificados
  • 26.
    Hipotireoidismo Diagnóstico   Confirma-se com níveisde TSH elevados (nl de 0,5 a 4,5 mUI/L), níveis de T4 confirmam origem primária e caracteriza a gravidade Avaliação de anticorpos antitireoidianos (antiperoxidase – antiTPO) para causa autoimune Diagnósticos diferenciais   Níveis elevados de TSH podem indicar recuperação de doença sistêmica grave, insuficiência renal e insuficiência adrenal Artrites, doenças musculares inflamatórias
  • 27.
    Hipotireodismo Tratamento  Reposição hormonal tireoidianaevitando tireotoxicose por iatrogenia  Levotiroxina sódica (tiroxina) é a droga de escolha independente da origem do hipotireoidismo (1,8μg/kg/dia para adultos)  Tratar complicações
  • 29.
    Hipertireoidismo Etiologia  Doença de Graves  AdenomaTóxico (Doença de Plummer)/Bócio Multinodular  Hipertireoidismo induzido por Iodo (amiodarona)  Adenoma hipofisário secretor de TSH / Gestacional (hCG)  Produção Ectópica de Hormônio (raro)  Tireoidites (viral /bacteriana /autoimune)  Hormônio Tireoidiano Exógeno (drogas / alimentos)
  • 30.
  • 31.
    Hipertireoidismo Diagnóstico  É baseado naanamnese, exame físico e avaliação laboratorial Exame Físico        Aferição do peso, pressão arterial e frequência cardíaca Inspeção da parte anterior do pescoço Palpação da tireóide (determinação do tamanho, consistência e presença de nodularidade) Exame neuromuscular Exame ocular (na busca de exoftalmia ou outros sinais de oftalmopatia) Exame dermatológico Exame cardiovascular
  • 32.
    Hipertireoidismo Exames Laboratoriais      Dosagem deTSH (< 0,1 mIU/L) T4 livre T3 livre Dosagem do anticorpo anti-receptor do TSH (TRAb) – diagnóstico etiológico Captação de iodo radioativo (I131) – diagnóstico e cálculo da dose terapêutica Importante para estabelecer o diagnóstico diferencial!
  • 33.
    Doença de Graves Epidemiologia    Causamais comum de hipertireoidismo Maior incidência entre 30 e 60 anos Afeta aproximadamente 2% das mulheres e 0,2% dos homens
  • 34.
    Doença de Graves Fisiopatologia    Oreceptor do TSH (TSHR) constitui o auto-antígeno primário da doença de Graves, pois sofre estimulação por anticorpos específicos; Caracterizada pela presença de bócio difuso, tireotoxicose, oftalmopatia infiltrativa e dermopatia infiltrativa (mixedema pré-tibial). O hipertireoidismo e o fenômeno infiltrativo podem ocorrer juntos ou isoladamente.
  • 35.
    Doença de Graves Tratamento  Medicamentoso(DAT – drogas antitireoidianas)  Cirúrgico (tireoidectomia)  Iodo Radioativo (I 131)
  • 38.
    Adenoma Tóxico Fisiopatologia:  Geralmente, iniciacomo um nódulo ou múltiplos, já existentes, que aumenta de tamanho, adquirindo autonomia e passa a produzir hormônio fora do controle normal do organismo. Epidemiologia:    Maior incidência aos 60 anos; Mais comum em mulheres; Ocorre em 20% dos pacientes portadores de nódulos antigos.
  • 39.
    Adenoma Tóxico Exames Laboratoriais Diminuiçãode TSH e aumento da T3/T4 Tratamento    Propiltiouracil Metimazol Iodo radioativo
  • 40.
    Distúrbios Inflamatórios Tireoidite  Sub-aguda(de Quervain)  Sub-aguda pós-parto  Aguda  Induzida por Drogas  Crônica
  • 41.
    Tireoidite Tireoidite Sub-aguda (deQuervain)  Causa mais comum de dor tireoidiana e mais prevalente em mulheres (média de 40 a 50 anos)  Caracterizada por tireoidite de células gigantes, tem etiologia viral (caxumba, adenovírus, influenzae, entre outros), apresenta-se com tireóide edemaciada e dor com irradiação para garganta, ouvidos e mandíbula. Apresenta diagnóstico diferencial com outras tireoidites. Quase sempre o paciente tem recuperação completa. Trata-se com AINH e corticosteróides.  
  • 43.
    Tireoidite Tireoidite Sub-aguda pós-parto    Porinflamação indolor e auto-imune da tireóide no primeiro ano pós-parto levando a tireotoxicose transitória seguida de hipotireoidismo. Diagnóstico por vezes são erroneamente interpretados pois consideram-se as queixas comuns no pós-parto, mas pode ser detectado observandose a flutuação dos níveis de TSH nas diversas fases e tem diagnóstico diferencial com Graves. Trata-se com β-bloqueadores e, se necessário, reposição de tiroxina.
  • 44.
    Tireoidite Tireoidite Aguda (Supurativa)    Condiçãorara e desencadeada por infecção bacteriana, fúngica, micobactérias. Não bacterianas acometem geralmente imunodeprimidos. Cursam com febre, dor tireoidiana, calor e eritema locais, disfagia e abscesso. Diagnóstico é feito com achados clínicos, exames de imagem (US), punção aspirativa e cultura. O tratamento se dá por drenagem e antibiótico terapia.
  • 45.
    Tireoidite Tireoidite induzida pordrogas Amiodarona  Rica em iodo e usada para tratamento de arritmias.  Em uso crônico causa distúrbios de auto-regulação tireoidiana em resposta ao excesso de iodo e promoção de resposta autoimune induzindo tireotoxicose. A droga diminui a ação de enzima da síntese de hormônios tireoidianos.  O tratamento é feito com levotiroxina, monitorização de anticorpos e níveis de TSH, T3 e T4 Lítio Causa em alguns casos aumento de anticorpos anti-tireóide proporcionando hipotireoidismo. IFN-α Induz aumento de anticorpos
  • 46.
    Tireoidite Tireoidite Crônica (Hashimoto)    Apresentaaumento da glândula e cursa com hipotireodismo. O Diagnóstico é feito através de achados clínicos, presença de anticorpos específicos (anti-peroxidase e anti-tireoglobulina) e exames de imagem que mostrem destruição glandular. Trata-se com levotiroxina.
  • 49.
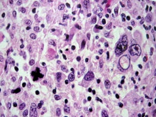
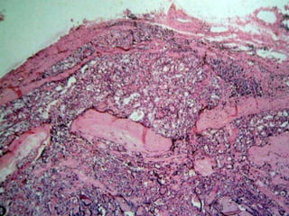
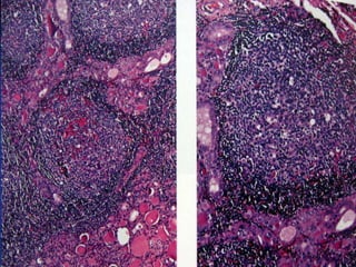
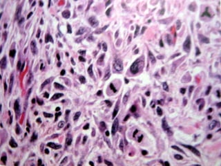
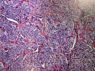
    Tireodite Tireoidite Crônica (Hashimoto) PredisposiçãoGenética Fatores Ambientais (stress, infecção, drogas) ↑ Resposta Imune (Linf. T, linf. B, Th2 e citocinas IL4 e IL5) Anticorpos-Ativação de complemento, Cels. NK, Th1 Dano Celular Macroscopia Citologia Histologia
  • 50.
    Nódulo de tireóide  Osnódulos são áreas de crescimento exagerado, formando “caroços”, que se diferenciam do restante da tireóide e podem ser de vários tamanhos , uni ou multinodulares e benignos ou malignos.  É geralmente assintomático  Sintomas locais: disfagia, dispnéia, rouquidão, compressão da artéria carótida e dos vasos da base e dor.  Associados ao hipo ou ao hipertireoidismo.
  • 51.
    Nódulo de tireóide  Benignos:múltiplos e estão associados a disfunções da tireóide.  Malignos: sexo masculino; idade <20 ou > 70 anos; presença de sintomas locais; história de radioterapia externa no pescoço; presença de linfadenopatia cervical.  Objetiva classificação do nódulo.  Usa-se: anamnese, exame físico, exame laboratorial (TSH, T4 livre e total, anticorpos específico), exames complementares (USG + Doppler, PAAF, RX, TC, RM)
  • 52.
    Nódulo de tireóide  Tireoidectomiatotal ou parcial (Padrão Ouro).  Iodoterapia (iodo-131)  Radioterapia
  • 58.
    Bócio  É o termoque designa o aumento do volume da glândula tireóide.  Atóxico ou simples (82% dos casos);  Mergulhante;  Intratorácico (tireóide ectópica);
  • 59.
    Bócio  O diagnóstico eo tratamento devem ser orientados assim como foi descrito anteriormente em nódulos da tireóide.
  • 65.
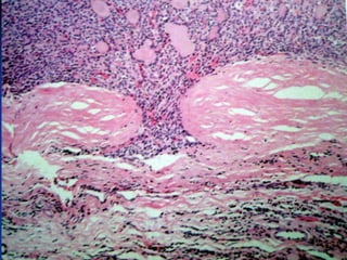
    Câncer de Tireóide  Emboraa grande prevalência de nódulos de tireóide, o carcinoma de tireóide representa 1% de todas as neoplasias malignas  É a neoplasia endócrina mais comum  É 3 – 4 vezes mais comum em mulheres  A mortalidade é baixa e a sobrevida é grande  Nos carcinomas diferenciados o crescimento é lento  O carcinoma anaplásico é um dos tumores de mais alta malignidade
  • 66.
  • 67.
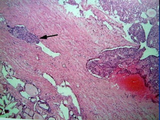
    Câncer de Tireóide CarcinomaPapilífero        70 – 80% dos casos 2 – 3 vezes mais em mulheres O achado é um nódulo com crescimento muito lento Em 20 – 80 % é multicêntrico com disseminação linfática intra glandular Em 30 % é bilateral Disseminação linfática para linfonodos cervicais Raramente dão metástases à distância
  • 76.
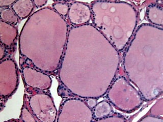
    Câncer de Tireóide CarcinomaFolicular         15 – 20 % dos casos É mais freqüente em regiões com carência de Iodo Maior incidência na quinta década Se apresentam como um nódulo 15 – 20 % o diagnóstico é feito a partir do encontro de uma metástase Raramente dão metástase cervical Podem ser minimamente ou amplamente invasivos Têm disseminação hematogênica para pulmões, ossos, fígado e cérebro
  • 81.
    Câncer de Tireóide CarcinomaMedular         5 – 8 % dos casos Originado das células para foliculares secretoras de calcitonina É bastante agressivo e a sobrevida em 10 anos ocorre em menos de 50% dos casos Podem ter extensão local para linfonodos, músculos adjacentes e traquéia Disseminação à distância por via linfática ou hematogênica Tem a calcitonina como marcador e podem cursar com diarréia 80 % forma esporádica 20 % forma familiar associada a neoplasia de outras glândulas (MEN)
  • 82.
    Câncer de Tireóide NeoplasiasEndócrinas Múltiplas    MEN I : Pituitária-Paratireóide-Pâncreas MEN IIa: Carcinoma Medular Feocromocitoma Adenoma de Paratireóide MEN IIb: Carcinoma Medular Feocromocitoma Neuromas Múltiplos
  • 83.
    Câncer de Tireóide CarcinomaMedular  QUANDO SE ESTABELECE O DIAGNÓSTICO DE CARCINOMA MEDULAR DE TIREÓIDE TEMOS QUE BUSCAR OUTRAS ANORMALIDADES ENDÓCRINAS E PESQUISAR FAMILIARES  INVESTIGAR COM DOSAGEM DE CALCITONINA BASAL
  • 88.
    Câncer de Tireóide CarcinomaAnaplásico  1 – 3 % dos casos  Geralmente acima dos 60 anos  Muito agressivo e de crescimento muito rápido levando à disfagia e disfonia  Metástases regionais e à distância  Sobrevida de 6 -12 meses  Péssimo prognóstico
  • 92.
    Câncer de Tireóide DiagnósticoClínico        Disfagia Dificuldade respiratória Rouquidão Dilatação das veias do pescoço Dor Além dos sintomas locais, podem ocorrer sinais e sintomas de Hipotireoidismo ou de Hipertireoidismo Nódulos palpáveis durante exame físico de tireóide
  • 93.
    Câncer de Tireóide ExamesLaboratoriais -TSH; T3/T4 livre; globulina ligadora da tiroxina Exames Complementares -US; TC; RNM; Cintilografia e Biópsia
  • 94.
    Câncer de Tireóide Tratamentodo Carcinoma Diferenciado Fatores Prognósticos  IDADE: Alto risco < 16 e > 45 anos  TAMANHO: > 3,5 cm pior < 1,5 cm melhor  METÁSTASE: - Ganglionar não piora - À distância piora  Tratamento cirúrgico  Tireoidectomia total  Após 30 dias cintilografia cervical  Dose terapêutica de 131 I  Levotiroxina em dose supressiva
  • 95.
    Câncer de Tireóide Seguimento       Seguimentocom dosagens de TSH e Tireoglobulina Manter TSH suprimido Tireoglobulina suprimida Se tireoglobulina > 5 ng/ml fazer pesquisa de corpo inteiro Em casos de metástases: Dose terapêutica de 131I Uso de TSH recombinante Tratamento de Outras Formas  CARCINOMA MEDULAR: Cirurgia com esvaziamento ganglionar cervical  CARCINOMA ANAPLÁSICO: Tratamento paliativo; traqueostomia
  • 96.
    Sistema Bethesda       I)AMOSTRA NÃODIAGNÓSTICA II) BENIGNO III) ATIPIAS DE SIGNIFICADO INDETERMINADO / LESÃO FOLICULAR DE SIGNIFICADO INDETERMINADO IV) SUSPEITO DE NEOPLASIA FOLICULAR V)SUSPEITO DE MALIGNIDADE VI) MALIGNO