Abordagem de Massas Cervicais
Dr. Leonardo Guimarães Rangel
Cirurgião de Cabeça e Pescoço
Staff do HUPE-UERJ
Doutorando em Cirurgia
Abordagem Inicial
3 Perguntas
Quando ?
Aonde ?
De Onde ?
Abordagem Inicial
Abordagem Inicial
Abordagem Inicial
tipos de massas
cervicais
Congênitas Inflamatórias
Neoplásicas
Quando De Onde
Aonde
DX
Inflamatórias
Linha Média ∆ anterior ∆ posterior
Adenites Adenites Adenites
1ª Viral
2ª Bacteriana
3ª granulomatosa
1ª Viral
2ª Bacteriana
3ª granulomatosa
1ª Viral
2ª Bacteriana
3ª granulomatosaSialoadenites
Parotidea
Submandibular
Congênitas
Linha Média ∆ anterior ∆ posterior
Cisto Tireoglosso
Cisto Dermóide
Cisto Tímico
Cistos Branquiais
Laringocele
Linfangioma
Lipoma
Neoplásicas
Linha Média ∆ anterior ∆ posterior
Linfomas
Ca Tireóide
Linfomas
Linfangiomas
Lipomas
Met rinofaringe
Linfoma
Metástases
Trato aerodigestivo
Face
Glomus
Tumor Corpo Carotídeo
Hemangiomas
Neurogênicos
Anamnese
Infecções Respiratórias
Viagens Recentes
Contato com animais
Tratamentos dentários e saúde bucal
Passado de Neoplasias
Exame Físico
Tamanho
Posição
Consistência
Aderência
Pulsátil
Ulcerada
Dor
Carácterísticas da Lesão
Exame ORL
Exame da Cavidade Oral
Exame da Faringe e Laringe
Exame da Rinofaringe
Exame ORL
Exame da Cavidade Oral
Exame da Faringe e Laringe
Exame da Rinofaringe
Exame ORL
Exame da Cavidade Oral
Exame da Faringe e Laringe
Exame da Rinofaringe
Exame ORL
Exame da Cavidade Oral
Exame da Faringe e Laringe
Exame da Rinofaringe
Exame ORL
Exame da Cavidade Oral
Exame da Faringe e Laringe
Exame da Rinofaringe
Avaliação Laboratorial
Hemograma Completo
Pesquisa de HIV 1 e 2
VDRL
Teste de Mantoux (PPD)
sorologia para CMV
sorologia para EBV
sorologia para Toxoplasmose
sorologia para Histoplasmose
sorologia para Bartonella
Henselae
sorologia para Tularemia
Exames de Imagem
Rx de tórax
Exames de Imagem
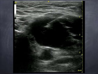
Ultrassom
Custo x Benefício
Sólido x Líquido
Pús
Exames de Imagens
TC
RNM
Exames de Imagem
PET-CT
Exames de Imagem
PET-CT
CUIDADO
Linfonodomegalia
http://histology.medicine.umich.edu/resources/lymphatic-system
Junqueira, 12ªed
Anatomia
Ultrassonográfica
Características
Ultrassonográficas
Tamanho
referência : menor eixo
Níveis IB e II =8mm , IA, III, IV e V = 5mm
limite da detecção de metástases 3mm - para
qualquer método
Características
Ultrassonográficas
Formato
Solbati Index : maior/menor eixo
normal (1,5-2,0)
LFN inflamados aumentam mas mantém a forma
linfonodos metastáticos são redondos
Características
Ultrassonográficas
Sinal Do Hilo
Benignidade
Características
Ultrassonográficas
Bordas
Bem demarcadas
Movimento livre
Características
Ultrassonográficas
Homogeniedade
Hilo hiperecóico
cortex Hipoecóico
Características
Ultrassonográficas
Homogeniedade
Hilo hiperecóico
cortex Hipoecóico
Características
Ultrassonográficas
Distribuição
número
distruição de acordo com a
queixas
Características
Ultrassonográficas
Características
Ultrassonográficas
Lembrar
Tamanho e proporções
Hilo
formato
Borda
Homogeniedade
Distribuição
Tipos de Amostras
Excisional
indicações:
dç linfoproliferativas
Metástases
Tipos de Amostras
Incisional
Infecções
dç Infiltratival
Fragmento
O Procedimento
Punção Aspirativa
Escolher o local
isolar o linfonodo
Proceder Punção
Punção Aspirativa
6 lâminas
Frascos com álcool
97%
ou fixador
rapidez no processo
Aspectos do Linfonodo
Se Biópsia Excisional:
preservar a estrutura
Se Linf Muito grande:
cortar ao longo e formol tamponado
Se cultura:
Frascos estéreis
Melhor semear na hora (Sf0,9% + geladeira 12h)
líquido separado, se possível em frasco específico
Casos Clínicos
Lipoma
Cisto Branquial
Cisto tireoglosso
Linfangioma
Rânula
Tumor de Bulbo
Carotídeo
Schwanoma
Perguntas ??
OBRIGADO
Dr. Leonardo Rangel
leonardo.g.rangel@gmail.com

Massa cervical uerj 2017