Seios da Face
Sinusite
• É a inflamação de uma ou de todas as
cavidades para-nasais.
• Quando ocorre uma infecção viral ou
bacteriana, as mucosas podem inflamar e
tornar-se edemaciadas o que dificulta a saida
das secreções e leva a proliferação bacteriana
e ao enchimento dos seios faciais e sensação
de dor/pressão sobre a área afetada.
Etiologia
• Os microorganismos encontrados com maior
freqüência são as bactérias: pneumococos
(30% - 40%), Haemophilus influenza e
Moraxella catarrhalis.
• Quanto aos vírus, são responsáveis por
aproximadamente 15% das sinusites, sendo
mais freqüentes os rinovírus, influenza A,
adenovírus e parainfluenza.
Sinusite
• Outras causas ou fatores possíveis:
–
–
–
–
–
–
–
–
–

Abscesso dentário
Alergias
Poluição atmosférica
Pólipos nasais
Desvio do septo nasal
Tabagismo
Deficiência Imunitária
Fibrose cística
Anomalia anatômica: Anormalidades dos ossos
nasais, traumatismos que provoca obstrução dos
seios nasais
I Consenso Brasileiro Sobre Rino-sinusite
Sociedade Brasileira de Otorrinolaringologia

• Classificação:
– Aguda (sintomas até 4 semanas)
– Subaguda (sintomas de 4 a 12 semanas)
– Crônica (sintomas por mais de 12 semanas)
– Recorrente (mais de 4 episódios por ano)
– Complicada (complicação local ou sistêmica
em qualquer fase).
Nível hidro-aéreo e
Espessamento da mucosa
Sarcoma granulocítico (SG) ou cloroma é
uma rara manifestação extramedular da
leucemia mielóide aguda (LMA). Sua
ocorrência no seio maxilar é extremamente
rara.

Sarcoma granulocítico é um raro tumor composto
por células mielóides precursoras. O acometimento
extramedular ocorre como resultado de infiltração
de qualquer órgão durante o curso da leucemia
mielóide e pode formar grandes massas chamadas
"cloroma".
Pan-Sinusite Anterior Direita
Espessamento mucoso a direita e
Cisto sub-mucoso à esquerda
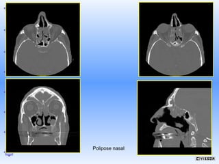
Polipose naso-sinusal
Polipose nasal
Cisto peri-apical com extensão intra-sinusal
Conchas nasais poliposas
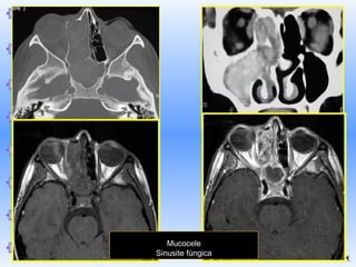
Mucocele
Sinusite fúngica
Sinusite Crônica

Visão endoscópica de uma sinusite maxilar esquerda
com drenagem de secreção purulenta
Sinusite

• Complicações
– Meningite
– Abscesso
– Tromboflebite
– Osteomielite dos ossos regionais

Aula de Seios da face

  • 1.
  • 7.
    Sinusite • É ainflamação de uma ou de todas as cavidades para-nasais. • Quando ocorre uma infecção viral ou bacteriana, as mucosas podem inflamar e tornar-se edemaciadas o que dificulta a saida das secreções e leva a proliferação bacteriana e ao enchimento dos seios faciais e sensação de dor/pressão sobre a área afetada.
  • 8.
    Etiologia • Os microorganismosencontrados com maior freqüência são as bactérias: pneumococos (30% - 40%), Haemophilus influenza e Moraxella catarrhalis. • Quanto aos vírus, são responsáveis por aproximadamente 15% das sinusites, sendo mais freqüentes os rinovírus, influenza A, adenovírus e parainfluenza.
  • 9.
    Sinusite • Outras causasou fatores possíveis: – – – – – – – – – Abscesso dentário Alergias Poluição atmosférica Pólipos nasais Desvio do septo nasal Tabagismo Deficiência Imunitária Fibrose cística Anomalia anatômica: Anormalidades dos ossos nasais, traumatismos que provoca obstrução dos seios nasais
  • 10.
    I Consenso BrasileiroSobre Rino-sinusite Sociedade Brasileira de Otorrinolaringologia • Classificação: – Aguda (sintomas até 4 semanas) – Subaguda (sintomas de 4 a 12 semanas) – Crônica (sintomas por mais de 12 semanas) – Recorrente (mais de 4 episódios por ano) – Complicada (complicação local ou sistêmica em qualquer fase).
  • 14.
  • 15.
    Sarcoma granulocítico (SG)ou cloroma é uma rara manifestação extramedular da leucemia mielóide aguda (LMA). Sua ocorrência no seio maxilar é extremamente rara. Sarcoma granulocítico é um raro tumor composto por células mielóides precursoras. O acometimento extramedular ocorre como resultado de infiltração de qualquer órgão durante o curso da leucemia mielóide e pode formar grandes massas chamadas "cloroma".
  • 16.
  • 17.
    Espessamento mucoso adireita e Cisto sub-mucoso à esquerda
  • 18.
  • 19.
  • 20.
    Cisto peri-apical comextensão intra-sinusal
  • 21.
  • 22.
  • 23.
    Sinusite Crônica Visão endoscópicade uma sinusite maxilar esquerda com drenagem de secreção purulenta
  • 24.
    Sinusite • Complicações – Meningite –Abscesso – Tromboflebite – Osteomielite dos ossos regionais