Introdução:   O feocromocitoma é uma doença rara, potencialmente fatal , porem facilmente controlável, com mínima morbidade quando diagnosticada precocemente. Sua incidência e de 0,1% nos hipertensos diastolicos, sendo mais freqüente entre a 3ª e 5ª décadas de vida, sem predominância sexual. Feocromocitomas são tumores derivados das células cromafins da medula adrenal e provocam excesso de produção de catecolaminas. Quando este tumor se desenvolve fora da adrenal é denominado paraganglioma, estas lesões originam-se do paragânglio, células derivadas da crista neural que estão próximas ao plexo simpático. Os sítios mais comuns dos paragangliomas são: órgãos de Zuckerkandl, ao longo da cadeia simpática na porção infrarrenal, e mais raramente na parede da bexiga, pescoço e mediastino.
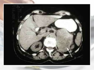
O feocromocitoma é , geralmente, um tumor benigno unilateral e tópico, em mais de 90% dos casos. É relatado que 10% dos casos podem ser malignos.  A maioria dos pacientes são hipertensos e, apesar de crises de paroxismo serem consideradas clássicas, 15% apresentam hipertensão sustentada sem paroxismo.  O feocromocitoma mede em torno de 3,0 cm por ocasião do seu diagnóstico, e sua identificação na TC não apresenta dificuldades técnicas para o seu reconhecimento. São tumores sólidos da adrenal, hipervascularizados com crescimento rápido, tendendo a áreas de hemorragia e necrose. Quando pequenos são arredondados e homogêneos. Em 10% dos casos podem calcificar.
Fisiopatologia:   O feocromocitoma origina-se dos tecidos cromafins do sistema nervoso simpático, sendo classificado segundo sua origem em:  1). Familiar - incluindo feocromocitoma familiar simples, neoplasia endócrina múltipla (NEM) IIA e IIB e as facomatoses ( neurofibromatose, von Hippel-Lindau, esclerose tuberosa e Sturge-Weber);  2) Esporádica. Quanto a localização: mais de 90% das vezes os feocromocitomas estão abaixo do diafragma, preferencialmente do lado direito na razão de 2:1. Aproximadamente 85% a 95%, localizados na medula adrenal, com igual freqüência de lados. Ocorre bilateralmente em cerca de 10% dos tumores adrenais esporádicos e 50% dos familiares. Aproximadamente 10% são multifocais no momento do diagnostico. Tem localização extra-adrenal em 10% dos casos (paragangliomas), desenvolvendo-se na bexiga ou no órgão de Zuckerkandl e, menos frequentemente, no coração, próstata, corpo carotídeo e pescoço.
Morfologicamente   É um tumor encapsulado e altamente vascularizado com peso médio de 100g e de coloração cinza-palido ao corte, de padrão histológico lobular, com células formando grandes trabéculas ou pequenos alvéolos, pontilhados por sinusoides de paredes finas, não existindo definição citológica de malignidade. Na microscopia eletrônica, apresenta-se como vesículas repletas de epinefrina e norepinefrina.  O feocromocitoma produz predominantemente catecolaminas, podendo produzir ainda ACTH (hormônio adenocorticotrofico), fator natriuretico atrial e VIP (polipeptídico vasoativo intestinal). A secreção de hormônio liberador de corticotrofina, fator liberador de hormônio de crescimento, somatostatina e peptídeo histidina-metionina e indicativo da origem adrenal do tumor.
O caráter maligno da doença depende da presença de metástases e ocorre em 10% dos casos. Estas acometem linfonodos, ossos, pulmão, fígado, cérebro, epiplon e cordão espinhal. Fatores prognósticos de malignidade são: grande volume tumoral, extensão local da doença no momento da cirurgia, padrão aneuploide ou tetraploide do DNA e invasão vascular. A hiperplasia medular adrenal difusa ou nodular precede e acompanha o desenvolvimento do feocromocitoma e não e detectada por "screening" bioquímico de dosagem de catecolaminas na urina de 24 horas.
Manifestações Clinicas:   A tríade clinica clássica inclui: cefaléia, taquicardia e diaforese, existindo um grande numero de sintomas não específicos relacionados com a liberação de catecolaminas, variando em freqüência e intensidade. Entre 2% e 15% dos pacientes com feocromocitoma são normotensos. Hipotensão ortostatica , presente em 40% dos casos, e decorrente da redução do volume plasmático e dos reflexos posturais.  Os pacientes que devem ser avaliados para presença de feocromocitoma são: jovens com crises de hipertensão; com hipertensão e inicio ou piora de diabetes mellitus; e que apresentam crises hipertensivas apos anestesia, manipulação cirúrgica ou medicação; familiares de pacientes com feocromocitoma familiar ou com NEM. A hipertensão pode ser sustentada em 50% das vezes, ou paroxística.
Os níveis plasmáticos elevados de norepinefrina ( 10 vezes o normal ) são relacionados a hipertensão sustentada e níveis elevados de epinefrina (5 vezes o normal) tem associação com paroxismos. A resistência insulínica, com hiperglicemia e mediada por dessensibilizacao b adrenergica Diagnostico Diferencial Os principais são: hipertensão associada a ansiedade, estado tensional, síndrome do pânico, enxaqueca severa, hipertireoidismo, menopausa e uso de medicações ( anfetamina, fenilefrina, isoproterenol, cocaína, efedrina, pseudoefedrina, auto-ingestao de agentes pressores).
Diagnostico:   "Screening"  A dosagem bioquímica de catecolaminas plasmáticas e de metanefrinas, normetanefrinas e do acido vanil mandelico na urina de 24 horas são usados para evidenciar a hipersecreção de epinefrina e norepinefrina. Esses valores tem maior sensibilidade quando dosados por cromatografia ou radioimunoensaio. Não ha método bioquímico isolado ou produto dosado do feocromocitoma com 100% de diagnostico na detecção do tumor, apesar das catecolaminas plasmáticas acima de 2.000 pg./ml, praticamente fecharem o diagnostico.
Localização:   A localização do feocromocitoma e feita com a utilização dos seguintes procedimentos radiológicos: tomografia computadorizada: com 85% a 95% de acuracia na localização de massas adrenais de ate 1 cm, não possibilitando a diferenciação entre feocromocitoma e metástases; ressonância nuclear magnética: que possui a capacidade de diferenciar feocromocitoma de adenoma ou carcinoma; mapeamento adrenal com I131 meta-iodobenzilguanidina (MIBG), de estrutura molecular semelhante a norepinefrina e que se concentra nas vesículas de estocagem de catecolaminas, possui 88% de sensibilidade, 100% de especificidade e 94% de acuracia na localização do feocromocitoma de ate 0,2 g de peso, de localização adrenal ou extra adrenal.
A cintilografia com metaiodobenzylguanidina (MIBG) pode ser útil no diagnóstico do paraganglioma. O paraganglioma , ao contrário de outros tumores , apresenta captação deste fármaco.  O feocromocitoma tem características específicas ao estudo com Ressonância Magnética ( RM) , quando pequenos são homogêneos e isointensos à musculatura , nas seqüências ponderadas em T1 e, fortemente e hiperintensos em T2, quase que a semelhança do líquido. Esta característica é encontrada em aproximadamente 75% dos casos. O comportamento do tumor na RM é influenciado pelo seu crescimento. À medida que o tumor aumenta , desenvolvem-se áreas de necrose central e hemorragia, que vão determinar áreas de hiperintensidade de sinal em T1 e T2. O feocromocitoma apresenta, ainda , realce exuberante e persistente após administração endovenosa de contraste para-magnético ( gadolínio) .
Figura No. 1 Tac: masa gavabertebral  izquierda que aumenta la amplitud del  fovamen de conjugación del cuerpo  vertebral adyacente ,erosión osea del  cuerpo vertebral y del pediculo. Feocromocitoma Extra-drenal.  Figura No. 2 Feocromocitoma  extra-advenal. Corte axial a nivel de T2 con masa  paraespinalizquierda de  borde bien definido y que entra en el foramen de conjugación.
 
 
 
 
 
Gracias...

Feocromocitoma Prando

  • 1.
  • 2.
    Introdução: O feocromocitoma é uma doença rara, potencialmente fatal , porem facilmente controlável, com mínima morbidade quando diagnosticada precocemente. Sua incidência e de 0,1% nos hipertensos diastolicos, sendo mais freqüente entre a 3ª e 5ª décadas de vida, sem predominância sexual. Feocromocitomas são tumores derivados das células cromafins da medula adrenal e provocam excesso de produção de catecolaminas. Quando este tumor se desenvolve fora da adrenal é denominado paraganglioma, estas lesões originam-se do paragânglio, células derivadas da crista neural que estão próximas ao plexo simpático. Os sítios mais comuns dos paragangliomas são: órgãos de Zuckerkandl, ao longo da cadeia simpática na porção infrarrenal, e mais raramente na parede da bexiga, pescoço e mediastino.
  • 3.
    O feocromocitoma é, geralmente, um tumor benigno unilateral e tópico, em mais de 90% dos casos. É relatado que 10% dos casos podem ser malignos. A maioria dos pacientes são hipertensos e, apesar de crises de paroxismo serem consideradas clássicas, 15% apresentam hipertensão sustentada sem paroxismo. O feocromocitoma mede em torno de 3,0 cm por ocasião do seu diagnóstico, e sua identificação na TC não apresenta dificuldades técnicas para o seu reconhecimento. São tumores sólidos da adrenal, hipervascularizados com crescimento rápido, tendendo a áreas de hemorragia e necrose. Quando pequenos são arredondados e homogêneos. Em 10% dos casos podem calcificar.
  • 4.
    Fisiopatologia: O feocromocitoma origina-se dos tecidos cromafins do sistema nervoso simpático, sendo classificado segundo sua origem em: 1). Familiar - incluindo feocromocitoma familiar simples, neoplasia endócrina múltipla (NEM) IIA e IIB e as facomatoses ( neurofibromatose, von Hippel-Lindau, esclerose tuberosa e Sturge-Weber); 2) Esporádica. Quanto a localização: mais de 90% das vezes os feocromocitomas estão abaixo do diafragma, preferencialmente do lado direito na razão de 2:1. Aproximadamente 85% a 95%, localizados na medula adrenal, com igual freqüência de lados. Ocorre bilateralmente em cerca de 10% dos tumores adrenais esporádicos e 50% dos familiares. Aproximadamente 10% são multifocais no momento do diagnostico. Tem localização extra-adrenal em 10% dos casos (paragangliomas), desenvolvendo-se na bexiga ou no órgão de Zuckerkandl e, menos frequentemente, no coração, próstata, corpo carotídeo e pescoço.
  • 5.
    Morfologicamente É um tumor encapsulado e altamente vascularizado com peso médio de 100g e de coloração cinza-palido ao corte, de padrão histológico lobular, com células formando grandes trabéculas ou pequenos alvéolos, pontilhados por sinusoides de paredes finas, não existindo definição citológica de malignidade. Na microscopia eletrônica, apresenta-se como vesículas repletas de epinefrina e norepinefrina. O feocromocitoma produz predominantemente catecolaminas, podendo produzir ainda ACTH (hormônio adenocorticotrofico), fator natriuretico atrial e VIP (polipeptídico vasoativo intestinal). A secreção de hormônio liberador de corticotrofina, fator liberador de hormônio de crescimento, somatostatina e peptídeo histidina-metionina e indicativo da origem adrenal do tumor.
  • 6.
    O caráter malignoda doença depende da presença de metástases e ocorre em 10% dos casos. Estas acometem linfonodos, ossos, pulmão, fígado, cérebro, epiplon e cordão espinhal. Fatores prognósticos de malignidade são: grande volume tumoral, extensão local da doença no momento da cirurgia, padrão aneuploide ou tetraploide do DNA e invasão vascular. A hiperplasia medular adrenal difusa ou nodular precede e acompanha o desenvolvimento do feocromocitoma e não e detectada por "screening" bioquímico de dosagem de catecolaminas na urina de 24 horas.
  • 7.
    Manifestações Clinicas: A tríade clinica clássica inclui: cefaléia, taquicardia e diaforese, existindo um grande numero de sintomas não específicos relacionados com a liberação de catecolaminas, variando em freqüência e intensidade. Entre 2% e 15% dos pacientes com feocromocitoma são normotensos. Hipotensão ortostatica , presente em 40% dos casos, e decorrente da redução do volume plasmático e dos reflexos posturais. Os pacientes que devem ser avaliados para presença de feocromocitoma são: jovens com crises de hipertensão; com hipertensão e inicio ou piora de diabetes mellitus; e que apresentam crises hipertensivas apos anestesia, manipulação cirúrgica ou medicação; familiares de pacientes com feocromocitoma familiar ou com NEM. A hipertensão pode ser sustentada em 50% das vezes, ou paroxística.
  • 8.
    Os níveis plasmáticoselevados de norepinefrina ( 10 vezes o normal ) são relacionados a hipertensão sustentada e níveis elevados de epinefrina (5 vezes o normal) tem associação com paroxismos. A resistência insulínica, com hiperglicemia e mediada por dessensibilizacao b adrenergica Diagnostico Diferencial Os principais são: hipertensão associada a ansiedade, estado tensional, síndrome do pânico, enxaqueca severa, hipertireoidismo, menopausa e uso de medicações ( anfetamina, fenilefrina, isoproterenol, cocaína, efedrina, pseudoefedrina, auto-ingestao de agentes pressores).
  • 9.
    Diagnostico: "Screening" A dosagem bioquímica de catecolaminas plasmáticas e de metanefrinas, normetanefrinas e do acido vanil mandelico na urina de 24 horas são usados para evidenciar a hipersecreção de epinefrina e norepinefrina. Esses valores tem maior sensibilidade quando dosados por cromatografia ou radioimunoensaio. Não ha método bioquímico isolado ou produto dosado do feocromocitoma com 100% de diagnostico na detecção do tumor, apesar das catecolaminas plasmáticas acima de 2.000 pg./ml, praticamente fecharem o diagnostico.
  • 10.
    Localização: A localização do feocromocitoma e feita com a utilização dos seguintes procedimentos radiológicos: tomografia computadorizada: com 85% a 95% de acuracia na localização de massas adrenais de ate 1 cm, não possibilitando a diferenciação entre feocromocitoma e metástases; ressonância nuclear magnética: que possui a capacidade de diferenciar feocromocitoma de adenoma ou carcinoma; mapeamento adrenal com I131 meta-iodobenzilguanidina (MIBG), de estrutura molecular semelhante a norepinefrina e que se concentra nas vesículas de estocagem de catecolaminas, possui 88% de sensibilidade, 100% de especificidade e 94% de acuracia na localização do feocromocitoma de ate 0,2 g de peso, de localização adrenal ou extra adrenal.
  • 11.
    A cintilografia commetaiodobenzylguanidina (MIBG) pode ser útil no diagnóstico do paraganglioma. O paraganglioma , ao contrário de outros tumores , apresenta captação deste fármaco. O feocromocitoma tem características específicas ao estudo com Ressonância Magnética ( RM) , quando pequenos são homogêneos e isointensos à musculatura , nas seqüências ponderadas em T1 e, fortemente e hiperintensos em T2, quase que a semelhança do líquido. Esta característica é encontrada em aproximadamente 75% dos casos. O comportamento do tumor na RM é influenciado pelo seu crescimento. À medida que o tumor aumenta , desenvolvem-se áreas de necrose central e hemorragia, que vão determinar áreas de hiperintensidade de sinal em T1 e T2. O feocromocitoma apresenta, ainda , realce exuberante e persistente após administração endovenosa de contraste para-magnético ( gadolínio) .
  • 12.
    Figura No. 1Tac: masa gavabertebral izquierda que aumenta la amplitud del fovamen de conjugación del cuerpo vertebral adyacente ,erosión osea del cuerpo vertebral y del pediculo. Feocromocitoma Extra-drenal. Figura No. 2 Feocromocitoma extra-advenal. Corte axial a nivel de T2 con masa paraespinalizquierda de borde bien definido y que entra en el foramen de conjugación.
  • 13.
  • 14.
  • 15.
  • 16.
  • 17.
  • 18.