TECIDO CONJUNTIVO
Origem MESODERMA MESÊNQUIMA (Céls. Mesenquimais) TECIDO CONJUNTIVO
Células dispersas e imersas em gel altamente hidratado Abundante substância intercelular (material extracelular) Altamente vascularizado Variedade celular Presença de fibras CARACTERÍSTICAS
Diversos tipos celulares Abundante material extracelular Fibras do conjuntivo Colágenas, reticulares e elásticas Substância fundamental Gel viscoso (proteoglicanas e glicoproteinas) COMPONENTES
- Preenchimento e suporte para outros tecidos e orgãos (Estroma X Parênquima) - Transporte de nutrientes, metabólitos e produtos de excreção entre os tecidos e o sistema circulatório Sustentação Armazenamento de gordura e íons Defesa (inflamação) - Processo de reparo (cicatrizes) FUNÇÕES
 
Origem das Células Conjuntivas
 
 
Fibroblastos   Sintetiza os componentes fibrilares (colágeno e elastina) e não-fibrilares da matriz extracelular do tecido conjuntivo
Fibroblastos
Tecido Conjuntivo Embrionário CLASSIFICAÇÃO GERAL DO  TECIDO CONJUNTIVO Tecido Conjuntivo Adulto
Células Mesenquimais Indiferenciadas
Mastócitos
Mastócitos
Macrófagos
Macrófagos
Plasmócito
Plasmócito
CLASSIFICAÇÃO GERAL Tecido Conjuntivo Frouxo
CLASSIFICAÇÃO GERAL Tecido Conjuntivo Denso Não Modelado
CLASSIFICAÇÃO GERAL Tecido Conjuntivo Denso Modelado
Tecido Conjuntivo Mucoide (Geléia de Wharton – Cordão Umbilical) CLASSIFICAÇÃO GERAL
Tecido Reticular CLASSIFICAÇÃO GERAL
Tecido Elástico CLASSIFICAÇÃO GERAL
Matriz Extracelular
Matriz Extracelular Componentes GAG’s e proteoglicanos proteínas fibrilares (colágenos, fibronectina, elastina e  laminina) Funções estrutural adesiva co-receptor reservatório e proteção Adesão Migração Forma Sobrevivência Atividade e Diferenciação
Sistema Colágeno  Corresponde a 30% das proteínas do organismo Fornece resistência às trações Produzido por diversos tipos celulares Unidade proteica: Tropocolágeno (3 cadeias alfa) Existem cerca de 19 tipos de colágeno -Colágenos que formam fibrilas: I, II, III -Colágenos associados a fibrilas: IX e XII - Colágeno que forma rede: IV (lâminas basais) - Colágeno de ancoragem: VII (fibrilas de ancoragem)
Colágeno  São brancas no estado fresco Fibrilas Fibras Feixes Presença de estriação transversal ao ME Acidofilia Fibrila colágena HE
Colágeno
Colágeno  Duas cadeias peptídicas tipo  α 1 e uma tipo  α 2
 
Síndrome de Ehlers-Danlos:  mutação nos genes codificantes das cadeia alfa 1 e 2 do COL I  envolvendo a região N-terminal, interferindo na conversão do procolágeno para colágeno. Defeito na formação das ligações  cruzadas com conseqüente redução da força tênsil dos tendões e pele. Doenças Genéticas do Colágeno
Doenças Genéticas do Colágeno Síndrome de Ehler-Danlos Mutação na enzima LISIL-HIDROXILASE – modificação pós-translacional da lisina em hidroxilisina necessária para a formação das ligações cruzadas entre fibrilas xxxxxxxxxx
Fibras Reticulares  Colágeno III associado à glicoproteinas e proteoglicanas Apresentam estriação transversal em ME Fibras argirófilas Fibrilas delgadas que se dispõem em rede Órgãos linfóides, órgãos epiteliais e células musculares
Fibra Elástica Fibras delgadas que cedem às trações, mas retornam a sua forma inicial Demonstradas por métodos seletivos (Ex.: orceína) Elastina + Fibrilina (Material amorfo + Microfibrilas)
Fibra Elástica A elastina é produzida principalmente pelos fibroblastos e células musculares lisas dos vasos sanguíneos As fibras elásticas são encontradas na pele, pulmão, bexiga As membranas elásticas fenestradas são encontradas nos vasos sanguíneos
 
Doença Genética: Síndrome de Marfan
SUBSTÂNCIA FUNDAMENTAL Gel transparente e muito hidratado Funções •  Preencher os espaços e promover a união entre as células e as fibras •  Facilitar a passagem de moléculas, células e íons •  Barreira à penetração de microrganismos CONSTITUINTES Glicosaminoglicanas Proteoglicanas Glicoproteínas adesivas
- GAGs:polímeros lineares de dissacarídeos (ácido hexurônico + hexosamina), distribuídos de forma alternada na cadeia, apresentando resíduos de sulfato (Condroitim, Dermatam, Queratam e Heparam sulfato e Heparina) GLICOSAMINOGLICANOS (GAGs) As GAGs atraem grande quantidade de água •  Fornece resistência à compressão •  Facilita a difusão de nutrientes e gases
PROTEOGLICANOS são formados por moléculas de GAGs associadas a um core protéico PROTEOGLICANOS Fixam diversas moléculas sinalizadoras
AGREGADOS DE PROTEOGLICANOS se associam, através de uma proteína de ligação, ao ácido hialurônico (único GAG não sulfatado) Gli GLICOSAMINOGLICANOS (GAGs) E PROTEOGLICANOS
Polianions (alta densidade de carga) Resistentes à compressão (alta pressão osmótica)   Restringem o fluxo de água (água se liga as moléculas de gags) Limitam a difusão de solutos Microorganismos, parasitas podem interagir com moléculas de gags FUNÇÕES DE PROTEOGLICANOS:
-  PODEM ESTIMULAR OU INIBIR A MOTILIDADE  E A ADESÃO CELULAR -  REGULAM A ASSOCIAÇÃO DE FIBRILAS COLÁGENAS (DECORINA E FIBROMODULINA)   - PODEM MODULAR A ORGANIZAÇÃO DAS FIBRAS E DAS CÉLULAS DO TECIDO CONJUNTIVO   - PROTEOGLICANOS DE MEMBRANA (SINDECAN) LIGAM AS CÉLULAS À FIBRONECTINA E AO COLÁGENO   -   PARTICIPAM DO ARMAZENAMENTO E DA LIBERAÇÃO DE FATORES DE CRESCIMENTO NA MATRIZ EXTRACELULAR   - TÊM PROPRIEDADE ANTI-COAGULANTE (HEPARINA, HEPARAN SULFATO) FUNÇÕES DE PROTEOGLICANOS :
GLICOPROTEÍNAS ADESIVAS Porção protéica associada a glicídios Aderem a receptores celulares, fibras e glicosaminoglicanas promovendo a ligação entre esses elementos - Laminina - Fibronectina
MEMBRANA BASAL
MEMBRANA BASAL
GLICOPROTEÍNAS DE ADESÃO SUPERFÍCIE CELULAR PROTEOGLICANO COLÁGENO GLICOPROTEÍNA SEQUÊNCIA RGD: - ARGININA - GLICINA - ÁCIDO ASPÁRTICO Fibronectina Laminina Entactina Tenascina Trombospondina Osteopontina Osteonectina
METALOPROTEASES (MMPS): COLAGENASES 1, 2 e 3 ESTROMELISINAS 1, 2 e metaloelastase GELATINASES A e B METALOPROTEINASES DE MEMBRANA  (MT-MMP) DEGRADAÇÃO DA MATRIZ EXTRACELULAR
CLASSIFICAÇÃO GERAL Tecido Conjuntivo Frouxo
CLASSIFICAÇÃO GERAL Tecido Conjuntivo Denso Não Modelado
CLASSIFICAÇÃO GERAL Tecido Conjuntivo Denso Modelado
Tecido Conjuntivo Mucoide (Geléia de Wharton – Cordão Umbilical) CLASSIFICAÇÃO GERAL
Tecido Reticular CLASSIFICAÇÃO GERAL
Tecido Elástico CLASSIFICAÇÃO GERAL
TECIDO ADIPOSO Tipo de tecido conjuntivo constituído por adipócitos É o maior depósito de corporal de energia sob a forma de triglicerídeos (fornecem 9,3 kcal/g – glicogenio – 4,1 kcal/g) Triglicerídeos não são depósitos estáveis pois se renovam continuamente e influenciado por estímulos nervosos e hormonais
Tecido Adiposo
TECIDO ADIPOSO Duas variedades de tecido adiposo: Tecido adiposo amarelo (unilocular) Tecido adiposo pardo,  multilocular
Tecido Adiposo Unilocular
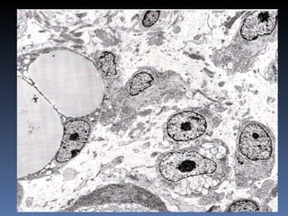
Tecido Adiposo Multilocular
TECIDO ADIPOSO
 
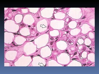
TECIDO ADIPOSO Tecido adiposo amarelo ou unilocular Cor devida a presença de carotenos dissolvidos nas gotículas de gordura Praticamente todo o tec, adiposo em adultos é do tipo unilocular Acúmulo do tc. Adiposo unilocular em certas regiões é influenciado pelo sexo e idade
TECIDO ADIPOSO Tecido adiposo amarelo ou unilocular Forma o panículo adiposo (camada sob a pele), de espessura uniforme Deposição seletiva com a idade é regulada por hormonios esteroides (adrenal) Células adiposas grandes 50 – 150 micrometros Demonstração dos lipídeos por corantes específicos em cortes congelados
 
 
 
TECIDO ADIPOSO TECIDO ADIPOSO MULTILOCULAR (PARDO) Tem papel de dissipação de energia na forma de calor (termogenese) ao invés de armazenamento de energia Necessidade de biogênese de mitocondria Necessidade da proteína UCP-1 ( uncoupling protein 1)  –dissipa o gradiente de proton criado ao longo da membrana interna da mitocondria quando os eletrons passam ao longo da cadeia respiratória
 
 

Tec Conjuntivo

  • 1.
  • 2.
    Origem MESODERMA MESÊNQUIMA(Céls. Mesenquimais) TECIDO CONJUNTIVO
  • 3.
    Células dispersas eimersas em gel altamente hidratado Abundante substância intercelular (material extracelular) Altamente vascularizado Variedade celular Presença de fibras CARACTERÍSTICAS
  • 4.
    Diversos tipos celularesAbundante material extracelular Fibras do conjuntivo Colágenas, reticulares e elásticas Substância fundamental Gel viscoso (proteoglicanas e glicoproteinas) COMPONENTES
  • 5.
    - Preenchimento esuporte para outros tecidos e orgãos (Estroma X Parênquima) - Transporte de nutrientes, metabólitos e produtos de excreção entre os tecidos e o sistema circulatório Sustentação Armazenamento de gordura e íons Defesa (inflamação) - Processo de reparo (cicatrizes) FUNÇÕES
  • 6.
  • 7.
  • 8.
  • 9.
  • 10.
    Fibroblastos Sintetiza os componentes fibrilares (colágeno e elastina) e não-fibrilares da matriz extracelular do tecido conjuntivo
  • 11.
  • 12.
    Tecido Conjuntivo EmbrionárioCLASSIFICAÇÃO GERAL DO TECIDO CONJUNTIVO Tecido Conjuntivo Adulto
  • 13.
  • 14.
  • 15.
  • 16.
  • 17.
  • 18.
  • 19.
  • 20.
  • 21.
    CLASSIFICAÇÃO GERAL TecidoConjuntivo Denso Não Modelado
  • 22.
    CLASSIFICAÇÃO GERAL TecidoConjuntivo Denso Modelado
  • 23.
    Tecido Conjuntivo Mucoide(Geléia de Wharton – Cordão Umbilical) CLASSIFICAÇÃO GERAL
  • 24.
  • 25.
  • 26.
  • 27.
    Matriz Extracelular ComponentesGAG’s e proteoglicanos proteínas fibrilares (colágenos, fibronectina, elastina e laminina) Funções estrutural adesiva co-receptor reservatório e proteção Adesão Migração Forma Sobrevivência Atividade e Diferenciação
  • 28.
    Sistema Colágeno Corresponde a 30% das proteínas do organismo Fornece resistência às trações Produzido por diversos tipos celulares Unidade proteica: Tropocolágeno (3 cadeias alfa) Existem cerca de 19 tipos de colágeno -Colágenos que formam fibrilas: I, II, III -Colágenos associados a fibrilas: IX e XII - Colágeno que forma rede: IV (lâminas basais) - Colágeno de ancoragem: VII (fibrilas de ancoragem)
  • 29.
    Colágeno Sãobrancas no estado fresco Fibrilas Fibras Feixes Presença de estriação transversal ao ME Acidofilia Fibrila colágena HE
  • 30.
  • 31.
    Colágeno Duascadeias peptídicas tipo α 1 e uma tipo α 2
  • 32.
  • 33.
    Síndrome de Ehlers-Danlos: mutação nos genes codificantes das cadeia alfa 1 e 2 do COL I envolvendo a região N-terminal, interferindo na conversão do procolágeno para colágeno. Defeito na formação das ligações cruzadas com conseqüente redução da força tênsil dos tendões e pele. Doenças Genéticas do Colágeno
  • 34.
    Doenças Genéticas doColágeno Síndrome de Ehler-Danlos Mutação na enzima LISIL-HIDROXILASE – modificação pós-translacional da lisina em hidroxilisina necessária para a formação das ligações cruzadas entre fibrilas xxxxxxxxxx
  • 35.
    Fibras Reticulares Colágeno III associado à glicoproteinas e proteoglicanas Apresentam estriação transversal em ME Fibras argirófilas Fibrilas delgadas que se dispõem em rede Órgãos linfóides, órgãos epiteliais e células musculares
  • 36.
    Fibra Elástica Fibrasdelgadas que cedem às trações, mas retornam a sua forma inicial Demonstradas por métodos seletivos (Ex.: orceína) Elastina + Fibrilina (Material amorfo + Microfibrilas)
  • 37.
    Fibra Elástica Aelastina é produzida principalmente pelos fibroblastos e células musculares lisas dos vasos sanguíneos As fibras elásticas são encontradas na pele, pulmão, bexiga As membranas elásticas fenestradas são encontradas nos vasos sanguíneos
  • 38.
  • 39.
  • 40.
    SUBSTÂNCIA FUNDAMENTAL Geltransparente e muito hidratado Funções • Preencher os espaços e promover a união entre as células e as fibras • Facilitar a passagem de moléculas, células e íons • Barreira à penetração de microrganismos CONSTITUINTES Glicosaminoglicanas Proteoglicanas Glicoproteínas adesivas
  • 41.
    - GAGs:polímeros linearesde dissacarídeos (ácido hexurônico + hexosamina), distribuídos de forma alternada na cadeia, apresentando resíduos de sulfato (Condroitim, Dermatam, Queratam e Heparam sulfato e Heparina) GLICOSAMINOGLICANOS (GAGs) As GAGs atraem grande quantidade de água • Fornece resistência à compressão • Facilita a difusão de nutrientes e gases
  • 42.
    PROTEOGLICANOS são formadospor moléculas de GAGs associadas a um core protéico PROTEOGLICANOS Fixam diversas moléculas sinalizadoras
  • 43.
    AGREGADOS DE PROTEOGLICANOSse associam, através de uma proteína de ligação, ao ácido hialurônico (único GAG não sulfatado) Gli GLICOSAMINOGLICANOS (GAGs) E PROTEOGLICANOS
  • 44.
    Polianions (alta densidadede carga) Resistentes à compressão (alta pressão osmótica) Restringem o fluxo de água (água se liga as moléculas de gags) Limitam a difusão de solutos Microorganismos, parasitas podem interagir com moléculas de gags FUNÇÕES DE PROTEOGLICANOS:
  • 45.
    - PODEMESTIMULAR OU INIBIR A MOTILIDADE E A ADESÃO CELULAR -  REGULAM A ASSOCIAÇÃO DE FIBRILAS COLÁGENAS (DECORINA E FIBROMODULINA)   - PODEM MODULAR A ORGANIZAÇÃO DAS FIBRAS E DAS CÉLULAS DO TECIDO CONJUNTIVO   - PROTEOGLICANOS DE MEMBRANA (SINDECAN) LIGAM AS CÉLULAS À FIBRONECTINA E AO COLÁGENO   - PARTICIPAM DO ARMAZENAMENTO E DA LIBERAÇÃO DE FATORES DE CRESCIMENTO NA MATRIZ EXTRACELULAR   - TÊM PROPRIEDADE ANTI-COAGULANTE (HEPARINA, HEPARAN SULFATO) FUNÇÕES DE PROTEOGLICANOS :
  • 46.
    GLICOPROTEÍNAS ADESIVAS Porçãoprotéica associada a glicídios Aderem a receptores celulares, fibras e glicosaminoglicanas promovendo a ligação entre esses elementos - Laminina - Fibronectina
  • 47.
  • 48.
  • 49.
    GLICOPROTEÍNAS DE ADESÃOSUPERFÍCIE CELULAR PROTEOGLICANO COLÁGENO GLICOPROTEÍNA SEQUÊNCIA RGD: - ARGININA - GLICINA - ÁCIDO ASPÁRTICO Fibronectina Laminina Entactina Tenascina Trombospondina Osteopontina Osteonectina
  • 50.
    METALOPROTEASES (MMPS): COLAGENASES1, 2 e 3 ESTROMELISINAS 1, 2 e metaloelastase GELATINASES A e B METALOPROTEINASES DE MEMBRANA (MT-MMP) DEGRADAÇÃO DA MATRIZ EXTRACELULAR
  • 51.
  • 52.
    CLASSIFICAÇÃO GERAL TecidoConjuntivo Denso Não Modelado
  • 53.
    CLASSIFICAÇÃO GERAL TecidoConjuntivo Denso Modelado
  • 54.
    Tecido Conjuntivo Mucoide(Geléia de Wharton – Cordão Umbilical) CLASSIFICAÇÃO GERAL
  • 55.
  • 56.
  • 57.
    TECIDO ADIPOSO Tipode tecido conjuntivo constituído por adipócitos É o maior depósito de corporal de energia sob a forma de triglicerídeos (fornecem 9,3 kcal/g – glicogenio – 4,1 kcal/g) Triglicerídeos não são depósitos estáveis pois se renovam continuamente e influenciado por estímulos nervosos e hormonais
  • 58.
  • 59.
    TECIDO ADIPOSO Duasvariedades de tecido adiposo: Tecido adiposo amarelo (unilocular) Tecido adiposo pardo, multilocular
  • 60.
  • 61.
  • 62.
  • 63.
  • 64.
    TECIDO ADIPOSO Tecidoadiposo amarelo ou unilocular Cor devida a presença de carotenos dissolvidos nas gotículas de gordura Praticamente todo o tec, adiposo em adultos é do tipo unilocular Acúmulo do tc. Adiposo unilocular em certas regiões é influenciado pelo sexo e idade
  • 65.
    TECIDO ADIPOSO Tecidoadiposo amarelo ou unilocular Forma o panículo adiposo (camada sob a pele), de espessura uniforme Deposição seletiva com a idade é regulada por hormonios esteroides (adrenal) Células adiposas grandes 50 – 150 micrometros Demonstração dos lipídeos por corantes específicos em cortes congelados
  • 66.
  • 67.
  • 68.
  • 69.
    TECIDO ADIPOSO TECIDOADIPOSO MULTILOCULAR (PARDO) Tem papel de dissipação de energia na forma de calor (termogenese) ao invés de armazenamento de energia Necessidade de biogênese de mitocondria Necessidade da proteína UCP-1 ( uncoupling protein 1) –dissipa o gradiente de proton criado ao longo da membrana interna da mitocondria quando os eletrons passam ao longo da cadeia respiratória
  • 70.
  • 71.