MAMA
Histologia
Manifestações clínicas
usuais
Distúrbios do
desenvolvimento
Processos inflamatórios
Alteração fibrocística
Neoplasias
Benignas
Malignas
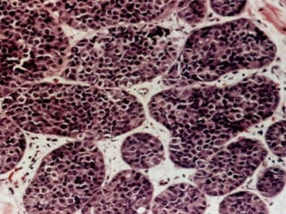
MAMA Histologia
UNIDADE DUCTO-LOBULAR TERMINAL -
MENACME
UNIDADE DUCTO-LOBULAR TERMINAL -
LACTAÇÃO
UNIDADE DUCTO-LOBULAR TERMINAL – PÓS
MENOPAUSA
MENACME
PÓS MENOPAUSA
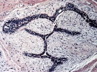
MAMA Distúrbios do desenvolvimento
Remanescentes das linhas mamárias (“linha do
leite”)
Mamas (polimastia) e mamilos supranumerários
(politelia)
Amastia, hipoplasia
Macromastia ou hipertrofia mamária
Hipoplasia (à esquerda), que
também pode ser bilateral
MAMA Manifestações Clínicas Usuais
MAMA Manifestações
clínicas em 372 mulheres
durante 539
atendimentos, ao longo
de 10 anos em
ambulatório. Algumas,
mais de um sintoma ao
atendimento. Biópsias em
10%. [Kumar. Pathologic
Basis of Disease, 7ed,
Elsevier, 2005]
MAMA Problemas Clínicos Usuais
DOR
Constante ou Cíclica
MASSA PALPÁVEL
Tamanho (> 2cm)
Idade <40a: 10% malig.; >50a: 60%
malig.
Localização
Ultra-som X Mamografia
SECREÇÃO PAPILAR
Láctea (geralmente bilateral, causa
hormonal)
Límpida (geralmente um ducto,
papiloma)
Sanguinolenta (idem; raramente,
carcinoma)
QSE:
50%
QIE:
10%
QII:
10%
QSI:
10%
20
%
MAMA Inflamação
Mastite aguda (mastite
puerperal)
Mastite recidivante retro-
areolar
Necrose do tecido
adiposo
MAMA Mastite aguda
MAMA Mastite aguda
Até 4 sem. pós-parto
Staphylococcus
aureus
Streptococcus sp
Evolução
Cura (antibióticos)
Abscesso
Fístula
MAMA Mastite recidivante retro-areolar
MAMA Mastite Recidivante Retro-
Areolar
Sem relação com gestação,
amamentação ou idade
90% fumantes
Microscopia
Ductos
Ceratinização
Obstrução
Ceratina no interstício
(granuloma)
Evolução
Desconforto e dor
Fístulas com secreção
purulenta crônica
Invasão bacteriana
secundária
Tratamento: exérese ampla
MAMA Mastite Recidivante
Retro-Areolar
Mastite Recidivante Retro-Areolar. Cicatrização com
endurecimento e retração na aréola e vizinhança,
simulando carcinoma.
MAMA Necrose do tecido
adiposo
MAMA Necrose do Tecido Adiposo
Causa
Trauma (nem sempre é lembrado
pela paciente)
Evolução
Necrose de liquefação
Hemorragia
Fibrose
Calcificação
Diagnóstico diferencial
Carcinoma
Necrose do tecido
adiposo. O tecido
necrótico se liquefaz
e cria espaços e
sofre alteração da
cor, ficando mais
claro que o normal
À esq., um ano depois do trauma (simulando o aspecto espiculado de
carcinoma).
À direita: dois anos após o trauma, calcificação
MAMA
Necrose do Tecido Adiposo
(mamografias)
MAMA
Alteração fibrocística
MAMA
Alteração Fibrocística
Mamas densas à mamografia
Espessamento difuso, consistência
aumentada
60% das mulheres; cistos macroscópicos
em 20% das mulheres
30 - 45 anos
Mecanismo
Excesso de estrógeno
Deficiência de progesterona
Metabolização anormal dos hormônios
na mama
Não associada a risco aumentado de
carcinoma mamário
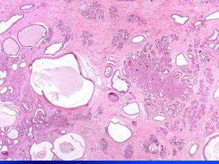
MAMA
Alteração Fibrocística
Microscopia
Cistos (cistos de cúpula azul) com metaplasia
apócrina
Fibrose
Adenose
Biópsia, em caso de dúvida com carcinoma
Cistos mamários sem
hiperplasia do epitélio (à
esq.) e metaplasia apócrina
(abaixo) são alterações não
proliferativas encontradas
em alteração fibrocística
mamária. Por não serem
proliferativas, não
aumentam o risco de
carcinoma de mama
PATOLOGIA MAMÁRIA
- Lesões proliferativas
- Neoplasias benignas
- Neoplasias malignas
RISCO DE DESENVOLVIMENTO DE
CÂNCER DE MAMA
• Sem aumento do risco: alteração fibrocística
(cistos, adenose, metaplasia apócrina, fibrose);
• Leve aumento do risco (1,5 a 2 vezes): adenose
esclerosante, hiperplasias sem atipias; papilomas
de pequenos ductos;
• Moderado aumento do risco (4 a 5 vezes):
hiperplasia com atipias ductal ou lobular.
• Alto aumento do risco (8 a 10 vezes): carcinoma
intraductal ou lobular in situ
• História familiar de câncer de mama aumenta o
risco em todas as categorias
DOENÇA PROLIFERATIVA MAMÁRIA
• Conceito
• Densidades mamográficas,
calcificações
• Principais alterações :
hiperplasia epitelial
adenose esclerosante
papilomas de pequenos ductos
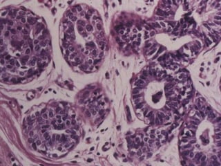
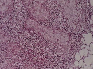
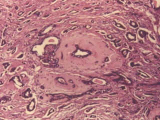
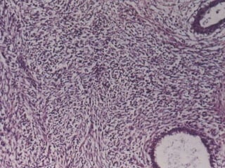
PAPILOMA DE PEQUENOS DUCTOS
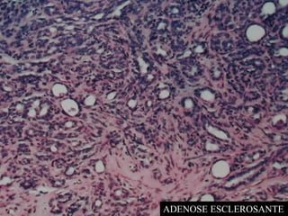
ADENOSE ESCLEROSANTE
ADENOSE ESCLEROSANTE
NEOPLASIAS MAMÁRIAS
Neoplasias estromais
(estroma intra-lobular)
• Fibroadenoma
• Tumor Filóide
Neoplasias epiteliais
• Papilomas intra-ductais
• Carcinomas
PUNÇÃO-BIÓPSIA ASPIRATIVA POR
AGULHA FINA (PBAAF, PAAF)
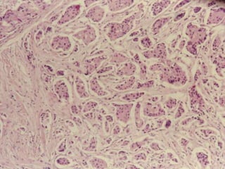
FIBROADENOMA
• Definição
• Epidemiologia
• Manifestações clínicas
• Morfologia
TUMOR FILÓIDE
• Definição: Benigno,
maligno
• Epidemiologia
• Manifestações clínicas
• Morfologia
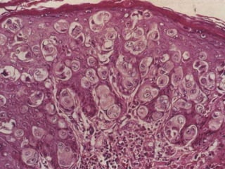
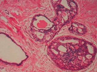
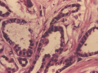
PAPILOMA DE GRANDE DUCTO
• Definição
• Manifestações clínicas
• Morfologia
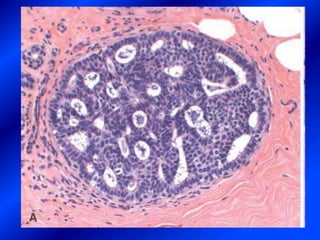
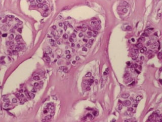
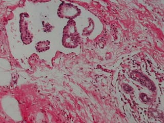
Papilomas
mamários
centrais,
macroscopia
(setas) e
microscopia
CARCINOMAS DE MAMA
Epidemiologia
1. Predisposição genética (BRCA 1 e BRCA2)
2. Aumento da idade
3. Doença proliferativa mamária
4. Carcinoma mamário contra-lateral ou de
endométrio
5. Radiação
6. Duração do período reprodutivo
7. Amamentação
8. Idade ao ter o primeiro filho
9. Obesidade
10. Exposição aos estrogênios
11. História familiar (mãe, irmã, filha)
CARCINOMAS DE MAMA
1. Carcinoma intraductal ou ductal “in
situ”
2. Carcinoma intralobular ou lobular “in
situ”
3. Carcinoma ductal invasivo
4. Carcinoma lobular invasivo
CARCINOMAS DE MAMA
Distribuição dos tipos histológicos
Carcinomas in situ 15-30%
Carcinoma Ductal in situ 80%
Carcinoma Lobular in situ 20%
Carcinomas invasivos 70-85%
Carcinoma Ductal 79%
Carcinoma Lobular 10%
Carcinoma Tubular 6%
Carcinoma Colóide/Mucinoso 2%
Carcinoma medular 2%
CARCINOMA DUCTAL
• Ductal “in situ”
80% de todos os carcinomas in situ
Apresentação clínica: Microcalcificações
Bilateralidade: 10-20%
• Doença de Paget do mamilo:
Disseminação intraepitelial do DCIS
Carcinoma ductal in situ com calcificação
distrófica do epitélio necrótico (setas). Esta
calcificação é o que mais evidencia esta
lesão à mamografia.
CARCINOMA DUCTAL
Carcinoma Ductal Invasivo – 79%
• Massa palpável: >50% com metástases
em linfonodos axilares
• Densidade mamográfica, calcificações
Intenso aumento do tecido conjuntivo
(“desmoplasia”)
• Fatores prognósticos
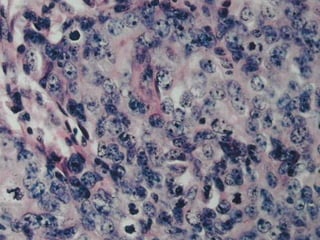
PBAAF: carcinoma ductal invasivo
CARCINOMA LOBULAR
1. Carcinoma lobular in situ
20% dos carcinomas in situ;
Bilateralidade: 50-70% (maioria incidental)
2. Carcinoma Lobular Invasivo
5-10% dos invasivos
Bilateralidade 20%
Padrão invasivo difuso
Densidade mamográfica ou alterações
arquiteturais sutis
Metástases: LCR, superfícies serosas, ovário,
útero e medula óssea
COMPARAÇÃO ENTRE OS CARCINOMAS MAMÁRIOS INVASORES
CARACTERÍSTICA DUCTAL LOBULAR
Freqüência relativa 8 1
Idade ao diagnóstico 60 65
Tamanho ao
diagnóstico
10% > 5 cm 15% > 5 cm
Preferência de
metástases
Pulmões, pleura,
sistema nervoso central
Serosas, ovário, útero,
estômago
Bilateralidade 10 25
Nódulo Bem definido Mal definido, difuso
E-caderina Presente Ausente
Prognóstico Igual Igual
CARCINOMA MEDULAR
Carcinoma Medular – 1-5%
Massa bem definida
Mulheres mais jovens; relação com
gene BRCA 1 (13% dos tumores)
Prognóstico melhor
CARCINOMA MUCINOSO OU COLÓIDE
Variante não usual (1-6%)
Pacientes mais velhas
Crescimento lento
Menos de 20% com metástase
axilar
Melhor prognóstico
CARCINOMA TUBULAR
Carcinoma tubular – 2-6%
Lesão espiculada
Mulheres mais jovens (40 anos)
Metástase axilar - <10%
Excelente prognóstico
OUTRAS DENOMINAÇÕES
“CARCINOMA INFLAMATÓRIO”: extensa
embolização linfática dérmica edema e
avermelhamento cutâneo
“PELE EM CASCA DE LARANJA”:
embolização linfática - bloqueio da
drenagem linfática, linfedema e
espessamento da pele
MAMA MASCULINA
Ginecomastia
Uni ou bilateral
Proliferação de tecido conjuntivo
denso e hiperplasia epitelial
Carcinoma
Raro
Fatores de risco e prognósticos
semelhantes
Forte associação com gene BRCA 2
FIM
PATOLOGIA MAMÁRIA.ppt
PATOLOGIA MAMÁRIA.ppt

PATOLOGIA MAMÁRIA.ppt

  • 1.
    MAMA Histologia Manifestações clínicas usuais Distúrbios do desenvolvimento Processosinflamatórios Alteração fibrocística Neoplasias Benignas Malignas
  • 2.
  • 4.
  • 6.
  • 7.
  • 8.
  • 9.
  • 10.
    MAMA Distúrbios dodesenvolvimento
  • 11.
    Remanescentes das linhasmamárias (“linha do leite”) Mamas (polimastia) e mamilos supranumerários (politelia) Amastia, hipoplasia Macromastia ou hipertrofia mamária
  • 12.
    Hipoplasia (à esquerda),que também pode ser bilateral
  • 13.
  • 14.
    MAMA Manifestações clínicas em372 mulheres durante 539 atendimentos, ao longo de 10 anos em ambulatório. Algumas, mais de um sintoma ao atendimento. Biópsias em 10%. [Kumar. Pathologic Basis of Disease, 7ed, Elsevier, 2005]
  • 15.
    MAMA Problemas ClínicosUsuais DOR Constante ou Cíclica MASSA PALPÁVEL Tamanho (> 2cm) Idade <40a: 10% malig.; >50a: 60% malig. Localização Ultra-som X Mamografia SECREÇÃO PAPILAR Láctea (geralmente bilateral, causa hormonal) Límpida (geralmente um ducto, papiloma) Sanguinolenta (idem; raramente, carcinoma) QSE: 50% QIE: 10% QII: 10% QSI: 10% 20 %
  • 16.
    MAMA Inflamação Mastite aguda(mastite puerperal) Mastite recidivante retro- areolar Necrose do tecido adiposo
  • 17.
  • 18.
    MAMA Mastite aguda Até4 sem. pós-parto Staphylococcus aureus Streptococcus sp Evolução Cura (antibióticos) Abscesso Fístula
  • 19.
  • 20.
    MAMA Mastite RecidivanteRetro- Areolar Sem relação com gestação, amamentação ou idade 90% fumantes Microscopia Ductos Ceratinização Obstrução Ceratina no interstício (granuloma)
  • 22.
    Evolução Desconforto e dor Fístulascom secreção purulenta crônica Invasão bacteriana secundária Tratamento: exérese ampla MAMA Mastite Recidivante Retro-Areolar
  • 23.
    Mastite Recidivante Retro-Areolar.Cicatrização com endurecimento e retração na aréola e vizinhança, simulando carcinoma.
  • 24.
    MAMA Necrose dotecido adiposo
  • 25.
    MAMA Necrose doTecido Adiposo Causa Trauma (nem sempre é lembrado pela paciente) Evolução Necrose de liquefação Hemorragia Fibrose Calcificação Diagnóstico diferencial Carcinoma
  • 26.
    Necrose do tecido adiposo.O tecido necrótico se liquefaz e cria espaços e sofre alteração da cor, ficando mais claro que o normal
  • 27.
    À esq., umano depois do trauma (simulando o aspecto espiculado de carcinoma). À direita: dois anos após o trauma, calcificação MAMA Necrose do Tecido Adiposo (mamografias)
  • 28.
  • 29.
    MAMA Alteração Fibrocística Mamas densasà mamografia Espessamento difuso, consistência aumentada 60% das mulheres; cistos macroscópicos em 20% das mulheres 30 - 45 anos Mecanismo Excesso de estrógeno Deficiência de progesterona Metabolização anormal dos hormônios na mama Não associada a risco aumentado de carcinoma mamário
  • 30.
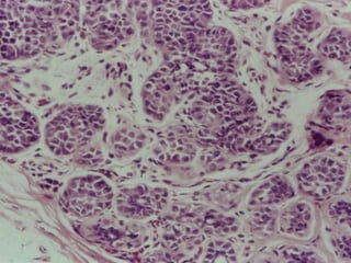
    MAMA Alteração Fibrocística Microscopia Cistos (cistosde cúpula azul) com metaplasia apócrina Fibrose Adenose Biópsia, em caso de dúvida com carcinoma
  • 33.
    Cistos mamários sem hiperplasiado epitélio (à esq.) e metaplasia apócrina (abaixo) são alterações não proliferativas encontradas em alteração fibrocística mamária. Por não serem proliferativas, não aumentam o risco de carcinoma de mama
  • 35.
    PATOLOGIA MAMÁRIA - Lesõesproliferativas - Neoplasias benignas - Neoplasias malignas
  • 36.
    RISCO DE DESENVOLVIMENTODE CÂNCER DE MAMA • Sem aumento do risco: alteração fibrocística (cistos, adenose, metaplasia apócrina, fibrose); • Leve aumento do risco (1,5 a 2 vezes): adenose esclerosante, hiperplasias sem atipias; papilomas de pequenos ductos; • Moderado aumento do risco (4 a 5 vezes): hiperplasia com atipias ductal ou lobular. • Alto aumento do risco (8 a 10 vezes): carcinoma intraductal ou lobular in situ • História familiar de câncer de mama aumenta o risco em todas as categorias
  • 37.
    DOENÇA PROLIFERATIVA MAMÁRIA •Conceito • Densidades mamográficas, calcificações • Principais alterações : hiperplasia epitelial adenose esclerosante papilomas de pequenos ductos
  • 47.
  • 48.
  • 49.
  • 50.
    NEOPLASIAS MAMÁRIAS Neoplasias estromais (estromaintra-lobular) • Fibroadenoma • Tumor Filóide Neoplasias epiteliais • Papilomas intra-ductais • Carcinomas
  • 51.
  • 52.
    FIBROADENOMA • Definição • Epidemiologia •Manifestações clínicas • Morfologia
  • 61.
    TUMOR FILÓIDE • Definição:Benigno, maligno • Epidemiologia • Manifestações clínicas • Morfologia
  • 72.
    PAPILOMA DE GRANDEDUCTO • Definição • Manifestações clínicas • Morfologia
  • 76.
  • 77.
    CARCINOMAS DE MAMA Epidemiologia 1.Predisposição genética (BRCA 1 e BRCA2) 2. Aumento da idade 3. Doença proliferativa mamária 4. Carcinoma mamário contra-lateral ou de endométrio 5. Radiação 6. Duração do período reprodutivo 7. Amamentação 8. Idade ao ter o primeiro filho 9. Obesidade 10. Exposição aos estrogênios 11. História familiar (mãe, irmã, filha)
  • 78.
    CARCINOMAS DE MAMA 1.Carcinoma intraductal ou ductal “in situ” 2. Carcinoma intralobular ou lobular “in situ” 3. Carcinoma ductal invasivo 4. Carcinoma lobular invasivo
  • 79.
    CARCINOMAS DE MAMA Distribuiçãodos tipos histológicos Carcinomas in situ 15-30% Carcinoma Ductal in situ 80% Carcinoma Lobular in situ 20% Carcinomas invasivos 70-85% Carcinoma Ductal 79% Carcinoma Lobular 10% Carcinoma Tubular 6% Carcinoma Colóide/Mucinoso 2% Carcinoma medular 2%
  • 80.
    CARCINOMA DUCTAL • Ductal“in situ” 80% de todos os carcinomas in situ Apresentação clínica: Microcalcificações Bilateralidade: 10-20% • Doença de Paget do mamilo: Disseminação intraepitelial do DCIS
  • 82.
    Carcinoma ductal insitu com calcificação distrófica do epitélio necrótico (setas). Esta calcificação é o que mais evidencia esta lesão à mamografia.
  • 86.
    CARCINOMA DUCTAL Carcinoma DuctalInvasivo – 79% • Massa palpável: >50% com metástases em linfonodos axilares • Densidade mamográfica, calcificações Intenso aumento do tecido conjuntivo (“desmoplasia”) • Fatores prognósticos
  • 91.
  • 94.
    CARCINOMA LOBULAR 1. Carcinomalobular in situ 20% dos carcinomas in situ; Bilateralidade: 50-70% (maioria incidental) 2. Carcinoma Lobular Invasivo 5-10% dos invasivos Bilateralidade 20% Padrão invasivo difuso Densidade mamográfica ou alterações arquiteturais sutis Metástases: LCR, superfícies serosas, ovário, útero e medula óssea
  • 101.
    COMPARAÇÃO ENTRE OSCARCINOMAS MAMÁRIOS INVASORES CARACTERÍSTICA DUCTAL LOBULAR Freqüência relativa 8 1 Idade ao diagnóstico 60 65 Tamanho ao diagnóstico 10% > 5 cm 15% > 5 cm Preferência de metástases Pulmões, pleura, sistema nervoso central Serosas, ovário, útero, estômago Bilateralidade 10 25 Nódulo Bem definido Mal definido, difuso E-caderina Presente Ausente Prognóstico Igual Igual
  • 102.
    CARCINOMA MEDULAR Carcinoma Medular– 1-5% Massa bem definida Mulheres mais jovens; relação com gene BRCA 1 (13% dos tumores) Prognóstico melhor
  • 105.
    CARCINOMA MUCINOSO OUCOLÓIDE Variante não usual (1-6%) Pacientes mais velhas Crescimento lento Menos de 20% com metástase axilar Melhor prognóstico
  • 110.
    CARCINOMA TUBULAR Carcinoma tubular– 2-6% Lesão espiculada Mulheres mais jovens (40 anos) Metástase axilar - <10% Excelente prognóstico
  • 115.
    OUTRAS DENOMINAÇÕES “CARCINOMA INFLAMATÓRIO”:extensa embolização linfática dérmica edema e avermelhamento cutâneo “PELE EM CASCA DE LARANJA”: embolização linfática - bloqueio da drenagem linfática, linfedema e espessamento da pele
  • 118.
    MAMA MASCULINA Ginecomastia Uni oubilateral Proliferação de tecido conjuntivo denso e hiperplasia epitelial Carcinoma Raro Fatores de risco e prognósticos semelhantes Forte associação com gene BRCA 2
  • 120.