Glomerulopatias

Luiz Fernando Kunii

Docente do Departamento de
Clínica Médica
Disciplina de Nefrologia
Caso Clínico
Um rapaz de 23 anos, branco,1,82 cm de altura/83 Kg,
previamente hígido, é encaminhado ao nefrologista porque
num check-up de rotina evidenciou-se creatinina de 3,26
mg/dL (repetição: 3,22 mg/dL). Nada havia de antecedentes
mórbidos relevantes e o exame físico do paciente, exceto
pela pressão arterial de 142/94 mmHg era normal. A
investigação diagnóstica mostrou urina I com densidade de
1020, hematúria (20.000; 275.000/mL) e ++/+++ de
proteinúria. Proteinúria de 24 horas: 3,97 g/dia, Albumina
de 3,0 g/dL, Colesterol total de 350 mg/dL (LDL:292 mg/dL),
Ht:39%/Hb:13,2 g/dL, frações do Complemento normais,
Ultra-som com Rim D de 10 cm e Rim E de 11 cm, com
afilamento do parênquima e diferenciação cortico-medular
prejudicada. Sorologias para HIV, HCV e HBV negativas.
Caso Clínico
Uma garota de 21 anos reclama que vem edemaciando
muito nos últimos 3-4 meses (edema facial matutino; de
mmii vespertino) e que sua urina anda muito espumosa.
Além disto, na semana passada foi visto na Unidade Básica
de Saúde (UBS) que a sua Pressão Arterial, que sempre fora
baixa, estava em 160/100 mmHg. Naquela ocasião feito
exame de urina, que documentou 95.000 hemácia/mL e +++
de proteína, e de creatinina cujo resultado foi 1,65 mg/dL.
Na consulta com nefrologista, a paciente referia que neste
mesmo período vinha tendo febre baixa quase todos os dias
e a se alimentando muito mal por falta de apetite e por
aftas na boca (caiu de 67 para 61 Kg). Além disto, seus
cabelos estavam caindo muito e as juntas das mãos e seus
cotovelos viviam inchando, doendo e ficando vermelhas.
Hipócrates – 460 a 370 a.C.
“Pai da Nefrologia”

Aforismos :
“Urina incolor é ruim”
“Bolhas na superfície da urina indicam
doenças dos rins e sofrimento
prolongado”
“Doenças dos rins e da bexiga são de
difícil cura em idosos”
• História
– Aristóteles (384 – 322 a.C)  rins eram
“adjuvantes” na formação de urina
– Galeno (121 – 201 d.C.)  Rins formavam urina
através da “coagem”
– Arataeus  descreveu a litíase renal, as cólicas, e
as “Glomerulonefrites” (urina contendo sangue,
periodicamente, em indivíduos pálidos, sem
apetite com olhar lento e edemaciado, alguns
afetados por melancolia e paralisia”)
• Marco histórico – invenção do
microscópico por Galileu Galilei
• 1666  Malpighi descreveu o
Glomérulo

“o rim é formado por pequenos corpúsculos
arredondados como ninhos de pequenos
vermes, ligados aos túbulos proximais.
Esses corpúsculos são unidos como maçãs
aos vasos sanguíneos, formando uma
estrutura semelhante à de uma árvore”
• 1937 – Original Papers of Richard Bright on
Renal Disease, Londres  primeira descrição
de associação entre albuminuria, edema e
doença renal.
• Glomerulopatia
Doença
decorrente
de
dano
glomerular,
que
acarreta
perdas/alterações
variáveis
na
seletividade da filtração e também, no
ritmo de filtração glomerular
• Em condições normais:

URINA I
•

≤ 10.000 CÉLS EPITELIAIS/mL

• ≤ 5.000 LEUCÓCITOS/mL
• ≤ 7.000 HEMÁCIAS/mL
• PROTEÍNA AUSENTE
• HEMOGLOBINA AUSENTE
• CILINDROS AUSENTES
• Barreiras à filtração
• Classificação
– Etiológica
– Forma de Apresentação
– Complemento
– Histopatológica

Primárias
Lesões mínimas
GESF
Membranosa
MembranoProliferativa
Nefropatia por IgA
Secundárias
Doenças metabólicas
Doenças auto-imunes
Infecçoes
Vasculites
Doenças neoplásicas
Drogas
• Classificação
– Etiológica
– Forma de Apresentação
– Complemento
– Histopatológica
•ANORMALIDADE URINÁRIA ASSINTOMÁTICA:
•PROTEINÚRIA NÃO NEFRÓTICA E/OU
HEMATÚRIA MICROSCÓPICA
•SÍNDROME NEFRÍTICA
•SÍNDROME NEFRÓTICA
•SÍNDROME NEFRÍTICA/NEFRÓTICA
•GLOMERULONEFRITE RAPIDAMENTE
PROGRESSIVA
•GLOMERULONEFRITE CRÔNICA
• Classificação

• Normal

– Etiológica
– Forma de Apresentação
– Complemento
– Histopatológica

•
•
•
•
•
•
•

PAN
WEGENER
PÚRPURA HS
GOODPASTURE
BERGER
GNRP PAUCI-IMUNE
GNRP ANTI-GBM

• Baixo
•
•
•
•
•
•

LES
CRIOGLOBULINEMIA
NEFRITE DO SHUNT
GNDAPS
GNMP
ENDOCARDITES BACTERIANA
• GLOMERULONEFRITE
DOENÇA CARACTERIZADA POR
INFLAMAÇÃO INTRA-GLOMERULAR E
PROLIFERAÇÃO CELULAR ASSOCIADAS
À HEMATÚRIA
Hemácias dismórficas : sedimento urinário de paciente com
síndrome nefrítica
• Síndrome nefrítico
– PÓS-INFECCIOSA
– GLOMERULONEFRITE POR
IGA
– VASCULITE RENAL

• Síndrome Nefrótico
– NEFROPATIA DIABÉTICA
– LESÕES MÍNIMAS
– GLOMERULOSCLEROSE
FOCAL
– NEFROPATIA MEMBRANOSA

• Síndrome
nefrítico/nefrótico
•GLOMERULOESCLEROSE FOCAL
•MEMBRANOPROLIFERATIVA
•GLOMERULONEFRITE POR IGA
Distribuição de GN Primárias na FMUSP
(1979 – 1999; n = 943 pacientes)
300
250
200
150
100
50
0

GESF

G Memb

GNMP I

N IgA

Bahiense-Oliveira M, Saldanha LB, Mota EL, Penna DO, Barros RT, RomãoJúnior JE. Clin Nephrol 61:90-7, 2004
Síndrome Nefrítico
Síndrome Nefrítico
• Definição
Hematúria
Hipertensão arterial
Oligúria
Déficit de função renal
Edema

• Etiologia
– Primária
– Secundária

Nefrologia Janeiro/10

–
–
–
–
–
Síndrome Nefrítico

Nefrologia Janeiro/10
SÍNDROME NEFRÍTICO
•

Nefrologia Janeiro/10

GNDA pós streptocóccica
– Causa mais comum de Nefrite Aguda
– Ocorre mais em crianças
• Pico – entre 5 e 12 anos
• Raramente ocorre em menores 3 anos
– Adultos < 10% dos casos
– Após infecçoes por Streptococcus Beta Hemoliticos do grupo A
– Doença clinicamente detectável
• I.V.A.S – 5 a 10% dos casos
• Infecções cutâneas – 25% dos casos
– História Natural da doença
• Tempo entre infecção e início dos sintomas
Síndrome Nefrítico

Nefrologia Janeiro/10

Estreptococos B-Hemolítico ( Grupos A e C)
Staphylococcus aureus
Staphyloccus epidermidis
Streptococcus viridans
Streptococcus fecalis
Streptococcus mutans
Streptococcus pneumoniae
Neisseria meningitidis
Klebsiella pneumoniae
Mycoplasma pneumoniae
Pseudomonas aureuginosa
Escherichia coli
Salmonella typhi
Mycobacterium leprae
Treponema pallidum
Yersinia enterocolitica
Legionella pneumophila
Propionibacteriu acnes
Síndrome Nefrítico
– Cepas nefritogênicas:
• Proteína M da parede celular
Nefrologia Janeiro/10

– Mais de 80 s
– Sorotipos: 12, 4, 1, 3, 25, 49. - IVAS.
– Sorotipos: 57, 60. - Impetigo.
Síndrome Nefrítico

Nefrologia Janeiro/10
Síndrome Nefrítico
• Laboratório
– Hematúria
– Complementos

– Sorologias
•
•
•
•
•

Anti-streptolysin (ASO)
Anti-hyaluronidase (AHase) **
Anti-streptokinase (ASKase)
Anti-nicotinamide-adenine dinucleotidase (anti-NAD)
Anti-DNAse B antibodies **

Nefrologia Janeiro/10

• C3 e CH 50  diminuídos com retorno ao normal em 4 a 8
semanas
• C4  pode estar normal
Síndrome Nefrítico

Nefrologia Janeiro/10
Síndrome Nefrítico

Nefrologia Janeiro/10
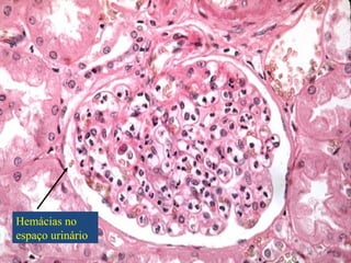
Hemácias no
espaço urinário
Síndrome Nefrítico

Nefrologia Janeiro/10
Síndrome Nefrítico
• Tratamento

Nefrologia Janeiro/10

– Controle do edema
– Controle de Pressão Arterial
– Antibióticoterapia
– Corticóides ???
Síndrome Nefrítico
• Diagnóstico Diferencial

Nefrologia Janeiro/10
Nefrologia Janeiro/10
Síndrome Nefrítico
• Lupus
– Entre 16 e 39% dos pacientes tem nefropatia
– Fisiopatologia

– Classificação – Classes:
•
•
•
•

I – Mesangial mínima
II – Mesangial proliferativa
III – Focal
IV – Difusa

Nefrologia Janeiro/10

• Deposição de imunocomplexo
• AntiDNAds x DNA
• Outros fatores
Síndrome Nefrítico
• Lupus
– Diagnóstico Diferencial
História
Exames Laboratoriais
Sorologias
Histopatologia

• GN Anticorpo Anti-MBG
– Diagnóstico Diferencial
• História

Nefrologia Janeiro/10

•
•
•
•
Síndrome Nefrítico
• Nefropatia por IgA
– Diagnóstico Diferencial
História
Exames Laboratoriais
Sorologias
Histopatologia

• GN MembranoProliferativa
– Diagnóstico Diferencial
• História

Nefrologia Janeiro/10

•
•
•
•
Síndrome Nefrítico
• GN associada a Endocardite
– Diagnóstico Diferencial
História
Exames Laboratoriais
Sorologias
Histopatologia

• GN associada a vasculites
– Diagnóstico Diferencial
• História

Nefrologia Janeiro/10

•
•
•
•
Síndrome Nefrítico

Nefrologia Janeiro/10
Sindrome Nefrótico
Sindrome Nefrótico
Sindrome Nefrótico
• Definição
– Proteinuria > 3,0 g /24h (albuminuria)
– Hipoalbuminemia < 3,0g/dl
– Edema Periférico

• Tipos de proteinuria
– Glomerular  albumina
– Tubular  proteinas de baixo peso (Bence Jones,
p.ex)
– Overflow  proteinas baixo peso ( MM, rabdomiolise,
...)
Sindrome Nefrótico

Como medir a proteinuria ?
Sindrome Nefrótico
Sindrome Nefrótico
• Etiologia
– Em crianças
 90% nos menores que 10 anos é por Doença
de Lesões Mínimas,
 50% nos maiores que 10 anos.

– Adultos
 30% são secundários a doenças como DM,
amiloidose, LES.
 70% são devido a glomerulopatias :
- 33% GESF (em pacientes negros > 50%)
- 33% Membranosa
- 15% Lesões mínimas
Sindrome Nefrótico
• Fisiopatologia
– Proteinuria
– Hipoalbuminemia
– Edema
– Hiperlipidemia
– Lipiduria

• Complicações
– Desnutrição
– Hipovolemia
Sindrome Nefrótico
• Fisiopatologia

–Proteinuria
– Hipoalbuminemia
– Edema
– Hiperlipidemia
– Lipiduria

• Complicações
– Desnutrição
– Hipovolemia
Sindrome Nefrótico
• Fisiopatologia
– Proteinuria

–Hipoalbuminemia
–Edema
– Hiperlipidemia
– Lipiduria

• Complicações
– Desnutrição
– Hipovolemia
Sindrome Nefrótico
• Hipoalbuminemia
– Perdas - > 3g /24h
– Produção hepática ???
– Porque não fica equilibrado o valor da albumina
sérica??

• Edema
Sindrome Nefrótico
• Fisiopatologia
– Proteinuria
– Hipoalbuminemia
– Edema

–Hiperlipidemia
–Lipiduria
• Complicações
– Desnutrição
– Hipovolemia
Sindrome Nefrótico
• Hiperlipidemia e Lipiduria
– Aumento da produção em resposta a perdas
proteicas
– Aumento da excreção de lipides
Sindrome Nefrótico
• Fisiopatologia
– Proteinuria
– Hipoalbuminemia
– Edema
– Hiperlipidemia
– Lipiduria

• Complicações
–
–
–
–

Desnutrição
Hipovolemia
IRA
Tromboembolismo
Sindrome Nefrótico

O que fazer??
Sindrome Nefrótico
• Biópsia Renal
Sindrome Nefrótico
• Biópsia Renal
Sindrome Nefrótico
• Biópsia Renal
Sindrome Nefrótico
Sindrome Nefrótico
Sindrome Nefrótico
• Tratamento
– Proteinuria
– Edema
– Hiperlipidemia
– Hipercoagulabilidade
– Tratamentos específicos para doença
• Lesões mínimas
– Muito comum na infância
– Principal causa de síndrome nefrótico em crianças
– Poucas vezes se realiza biópsia
– Adultos etiologia < 25%
– Crianças (1 a 6a)  80 a 95% dos casos
• Lesões Mínimas (cont.)
– Etiologia
Secundária

Primária

Drogas (penicilamina,
ampicilina, mercurio, AINES...)

Sem Atopia

Alergênicos

Com atopia + HLA B12

Doenças neoplásicas
Infecções
Virais
Esquistossomose
• Lesões Mínimas (cont.)
– Quadro Clínico
• Síndrome nefrótico
• Raramente  HEMATURIA
Resposta terapêutica

Ausência de proteinuria por 3 dias

Recidiva

Retorno da proteinuria 1 semana após
remissão

Recidivas frequentes

2 recidivas em 6meses ou 5 em 18 meses

Córtico-sensibilidade

Resposta terapêutica com prednisona
em até 8 semanas após início do tto

Córtico-resistência

Ausência de Remissão após 4 semanas
de Prednisona (cças) 16 semanas (adult.)

Córtico-dependência

2 recidivas consecutivas durante a
retirada do corticóide (até 2 semanas
após)
• Lesões Mínimas (cont.)
– Exames Laboratoriais
•
•
•
•
•
•
•
•

Urina I
Proteinúria de 24h
Relação proteina/creatinina urinária
Albumina plasmática
Lipidograma
Creatinina e TFG
Complementos
Eletrólitos
• Lesões Mínimas (cont.)
– Tratamento
• Inespecíficos
–
–
–
–

Restrição de sal
Controle da ingesta protéica  1g/kg/dia
Inibidores da ECA ou BRA
Controle da dislipidemia

• Específicos
– CORTICÓIDES ( 1 a 1,6mg/kg/dia)
– Ciclofosfamida (2mg/kg/dia)
– Clorambucil (0,15mg/kg/dia)
• GESF (Glomerulosclerose Segmentar e Focal)
– Lesão glomerular caracterizada por colapso
vascular e esclerose mesangial sem envolver o
glomérulo como um todo (Segmentar), e apenas
uma parte dos glomérulos existentes (Focal)
– Principal causa em Adultos
– Entre 32 a 40% dos casos biopsiados são GESF
(Registro Paulista de Glomerulopatias)
– Homens > mulheres, negros
– Idade 25 a 35 anos
• GESF (cont.)
– Etiologia
Primária ou Idiopática
Secundária

Pré-eclâmpsia

Formas Familiares ou genéticas

HAS

Drogas

Obesidade Mórbida

Infecções virais (HIV, Parvovirus B19)

Neoplasias

Adaptação funcional
Nefropatia refluxo
Agenesia renal unilateral
Doença policistica do adulto
Pielonefrite crônica
Nefrectomias parciais
Hipoplasia segmentar
Anemia Falciforme

Glomerulopatias
Henoch-Schonlein
Berger
Síndrome de Alport
GNDA pós streptocóccica

Doenças neoplásicas
• GESF (cont.)
– Quadro clínico e alterações laboratoriais
•
•
•
•
•

Proteinúria (nefrótica ou não )
Hematúria
Alteração de TFG
Hipertensão arterial
Complementos
Criancas(%)

Adultos (%)

Síndrome nefrótica

90

70

Hipertensão arterial

30

45

Hematuria Microscóp.

55

45

Insuficiência Renal

20

30
• GESF (cont.)
– Tratamento
•
•
•
•
•

CORTICÓIDES (1 mg/kg/dia) por 16 semanas
Ciclofosfamida (2mg/kg/dia) – 8 a 12 semanas
Ciclosporina (4 a 5mg/kg/dia) – 6 meses
Tacrolimus ( 0,1mg/kg/dia ) – 6 a 12 meses
Micofenolato Mofetil (20mg/kg/dia) - ???
• Glomerulonefrite Membranosa
– Causa importante de Snd Nefrótico em Adultos
– Doença caracterizada pelo espessamento difuso
da Membrana Basal Glomerular por depósitos de
imunocomplexos
• Glomerulonefrite Membranosa (cont.)
– Etiologia
Primária ou Idiopatica
Secundária
Lupus Eritematoso Sistêmico

Artrite Reumatóide

Doenças Tireóide (Graves/Hashimoto)

Doenças mistas do tecido conjuntivo

Espondilite Anquilosante

Síndrome de Sjogren

Infeções
Hepatite B
Hepatite C
Sífilis
Hanseniase
Endocardites por enterococo
Brucelose
Malária

Neoplasias
Trombose de veia renal
Drogas
• Glomerulonefrite Membranosa (cont.)
– Quadro Clínico e alterações laboratoriais
•
•
•
•
•

Proteinúria
Síndrome nefrótico ( 70 a 80% dos pacientes)
Hematuria Microscópica
Hipertensão arterial
Alteração TFG

Indicadores de Prognóstico
Idade
Hipertensão arterial
Intensidade da proteinúria
Creatinina plasmática inicial
• Glomerulonefrite Membranosa (cont.)
– Tratamento
•
•
•
•
•

CORTICÓIDES
Ciclofosfamida
Clorambucil
Azatioprina
Ciclosporina
• Glomerulopatia Membranoproliferativa
– “mesangiocapilar”
– Associada a doenças infecciosas com grande
frequência
– Adultos jovens e crianças
• Glomerulonefrite Membranoproliferativa
– Etiologia
Doenças sistêmicas
Lupus Eritematoso Sistêmico
Sindrome de Sjogren
Crioglobulinemia
Púrpura de Henoch-Schonlein
Imunodeficiências primarias
Neoplasias

Doenças Infecciosas
Endocardites
Virus
Hepatite B
Hepatite C
HIV
Infecção por Mycoplasma
Doenças hepaticas crônicas

Deficiencia de alfa1 antitripsina

Anemia falciforme

Drogas

Síndrome hemolítico-urêmica
• Glomerulonefrite Membranoproliferativa
– Quadro Clínico e Laboratorial
• Síndrome nefrótico / Nefrítico
• Hematuria microscópica
• Complementos
Tipo I  ativação da via clássica do complemento
Tipo II  ativação da via alternativa
• Sorologias para vírus
• Fatores de Prognóstico Pior
–
–
–
–

Proteinuria
Creatinina
Crescentes
Fibroses intersticiais
• Glomerulonefrite Membranoproliferativa
– Tratamento
•
•
•
•
•
•
•

CORTICÓIDES
Ciclofosfamida
Clorambucil
Azatioprina
Ciclosporina
Anticoagulantes e antitrombóticos
Plasmaférese
• Glomerulonefrite Membranosa (cont.)
– Tratamento
•
•
•
•
•

CORTICÓIDES
Ciclofosfamida
Clorambucil
Azatioprina
Ciclosporina

Glomerulopatias - para alunos medicina

  • 1.
    Glomerulopatias Luiz Fernando Kunii Docentedo Departamento de Clínica Médica Disciplina de Nefrologia
  • 2.
    Caso Clínico Um rapazde 23 anos, branco,1,82 cm de altura/83 Kg, previamente hígido, é encaminhado ao nefrologista porque num check-up de rotina evidenciou-se creatinina de 3,26 mg/dL (repetição: 3,22 mg/dL). Nada havia de antecedentes mórbidos relevantes e o exame físico do paciente, exceto pela pressão arterial de 142/94 mmHg era normal. A investigação diagnóstica mostrou urina I com densidade de 1020, hematúria (20.000; 275.000/mL) e ++/+++ de proteinúria. Proteinúria de 24 horas: 3,97 g/dia, Albumina de 3,0 g/dL, Colesterol total de 350 mg/dL (LDL:292 mg/dL), Ht:39%/Hb:13,2 g/dL, frações do Complemento normais, Ultra-som com Rim D de 10 cm e Rim E de 11 cm, com afilamento do parênquima e diferenciação cortico-medular prejudicada. Sorologias para HIV, HCV e HBV negativas.
  • 3.
    Caso Clínico Uma garotade 21 anos reclama que vem edemaciando muito nos últimos 3-4 meses (edema facial matutino; de mmii vespertino) e que sua urina anda muito espumosa. Além disto, na semana passada foi visto na Unidade Básica de Saúde (UBS) que a sua Pressão Arterial, que sempre fora baixa, estava em 160/100 mmHg. Naquela ocasião feito exame de urina, que documentou 95.000 hemácia/mL e +++ de proteína, e de creatinina cujo resultado foi 1,65 mg/dL. Na consulta com nefrologista, a paciente referia que neste mesmo período vinha tendo febre baixa quase todos os dias e a se alimentando muito mal por falta de apetite e por aftas na boca (caiu de 67 para 61 Kg). Além disto, seus cabelos estavam caindo muito e as juntas das mãos e seus cotovelos viviam inchando, doendo e ficando vermelhas.
  • 4.
    Hipócrates – 460a 370 a.C. “Pai da Nefrologia” Aforismos : “Urina incolor é ruim” “Bolhas na superfície da urina indicam doenças dos rins e sofrimento prolongado” “Doenças dos rins e da bexiga são de difícil cura em idosos”
  • 5.
    • História – Aristóteles(384 – 322 a.C)  rins eram “adjuvantes” na formação de urina – Galeno (121 – 201 d.C.)  Rins formavam urina através da “coagem” – Arataeus  descreveu a litíase renal, as cólicas, e as “Glomerulonefrites” (urina contendo sangue, periodicamente, em indivíduos pálidos, sem apetite com olhar lento e edemaciado, alguns afetados por melancolia e paralisia”)
  • 6.
    • Marco histórico– invenção do microscópico por Galileu Galilei • 1666  Malpighi descreveu o Glomérulo “o rim é formado por pequenos corpúsculos arredondados como ninhos de pequenos vermes, ligados aos túbulos proximais. Esses corpúsculos são unidos como maçãs aos vasos sanguíneos, formando uma estrutura semelhante à de uma árvore”
  • 7.
    • 1937 –Original Papers of Richard Bright on Renal Disease, Londres  primeira descrição de associação entre albuminuria, edema e doença renal.
  • 8.
  • 9.
    • Em condiçõesnormais: URINA I • ≤ 10.000 CÉLS EPITELIAIS/mL • ≤ 5.000 LEUCÓCITOS/mL • ≤ 7.000 HEMÁCIAS/mL • PROTEÍNA AUSENTE • HEMOGLOBINA AUSENTE • CILINDROS AUSENTES
  • 11.
    • Barreiras àfiltração
  • 12.
    • Classificação – Etiológica –Forma de Apresentação – Complemento – Histopatológica Primárias Lesões mínimas GESF Membranosa MembranoProliferativa Nefropatia por IgA Secundárias Doenças metabólicas Doenças auto-imunes Infecçoes Vasculites Doenças neoplásicas Drogas
  • 13.
    • Classificação – Etiológica –Forma de Apresentação – Complemento – Histopatológica •ANORMALIDADE URINÁRIA ASSINTOMÁTICA: •PROTEINÚRIA NÃO NEFRÓTICA E/OU HEMATÚRIA MICROSCÓPICA •SÍNDROME NEFRÍTICA •SÍNDROME NEFRÓTICA •SÍNDROME NEFRÍTICA/NEFRÓTICA •GLOMERULONEFRITE RAPIDAMENTE PROGRESSIVA •GLOMERULONEFRITE CRÔNICA
  • 14.
    • Classificação • Normal –Etiológica – Forma de Apresentação – Complemento – Histopatológica • • • • • • • PAN WEGENER PÚRPURA HS GOODPASTURE BERGER GNRP PAUCI-IMUNE GNRP ANTI-GBM • Baixo • • • • • • LES CRIOGLOBULINEMIA NEFRITE DO SHUNT GNDAPS GNMP ENDOCARDITES BACTERIANA
  • 15.
    • GLOMERULONEFRITE DOENÇA CARACTERIZADAPOR INFLAMAÇÃO INTRA-GLOMERULAR E PROLIFERAÇÃO CELULAR ASSOCIADAS À HEMATÚRIA
  • 16.
    Hemácias dismórficas :sedimento urinário de paciente com síndrome nefrítica
  • 18.
    • Síndrome nefrítico –PÓS-INFECCIOSA – GLOMERULONEFRITE POR IGA – VASCULITE RENAL • Síndrome Nefrótico – NEFROPATIA DIABÉTICA – LESÕES MÍNIMAS – GLOMERULOSCLEROSE FOCAL – NEFROPATIA MEMBRANOSA • Síndrome nefrítico/nefrótico •GLOMERULOESCLEROSE FOCAL •MEMBRANOPROLIFERATIVA •GLOMERULONEFRITE POR IGA
  • 19.
    Distribuição de GNPrimárias na FMUSP (1979 – 1999; n = 943 pacientes) 300 250 200 150 100 50 0 GESF G Memb GNMP I N IgA Bahiense-Oliveira M, Saldanha LB, Mota EL, Penna DO, Barros RT, RomãoJúnior JE. Clin Nephrol 61:90-7, 2004
  • 20.
  • 21.
    Síndrome Nefrítico • Definição Hematúria Hipertensãoarterial Oligúria Déficit de função renal Edema • Etiologia – Primária – Secundária Nefrologia Janeiro/10 – – – – –
  • 22.
  • 23.
    SÍNDROME NEFRÍTICO • Nefrologia Janeiro/10 GNDApós streptocóccica – Causa mais comum de Nefrite Aguda – Ocorre mais em crianças • Pico – entre 5 e 12 anos • Raramente ocorre em menores 3 anos – Adultos < 10% dos casos – Após infecçoes por Streptococcus Beta Hemoliticos do grupo A – Doença clinicamente detectável • I.V.A.S – 5 a 10% dos casos • Infecções cutâneas – 25% dos casos – História Natural da doença • Tempo entre infecção e início dos sintomas
  • 24.
    Síndrome Nefrítico Nefrologia Janeiro/10 EstreptococosB-Hemolítico ( Grupos A e C) Staphylococcus aureus Staphyloccus epidermidis Streptococcus viridans Streptococcus fecalis Streptococcus mutans Streptococcus pneumoniae Neisseria meningitidis Klebsiella pneumoniae Mycoplasma pneumoniae Pseudomonas aureuginosa Escherichia coli Salmonella typhi Mycobacterium leprae Treponema pallidum Yersinia enterocolitica Legionella pneumophila Propionibacteriu acnes
  • 25.
    Síndrome Nefrítico – Cepasnefritogênicas: • Proteína M da parede celular Nefrologia Janeiro/10 – Mais de 80 s – Sorotipos: 12, 4, 1, 3, 25, 49. - IVAS. – Sorotipos: 57, 60. - Impetigo.
  • 26.
  • 27.
    Síndrome Nefrítico • Laboratório –Hematúria – Complementos – Sorologias • • • • • Anti-streptolysin (ASO) Anti-hyaluronidase (AHase) ** Anti-streptokinase (ASKase) Anti-nicotinamide-adenine dinucleotidase (anti-NAD) Anti-DNAse B antibodies ** Nefrologia Janeiro/10 • C3 e CH 50  diminuídos com retorno ao normal em 4 a 8 semanas • C4  pode estar normal
  • 28.
  • 29.
  • 30.
  • 31.
  • 32.
    Síndrome Nefrítico • Tratamento NefrologiaJaneiro/10 – Controle do edema – Controle de Pressão Arterial – Antibióticoterapia – Corticóides ???
  • 33.
    Síndrome Nefrítico • DiagnósticoDiferencial Nefrologia Janeiro/10
  • 34.
  • 35.
    Síndrome Nefrítico • Lupus –Entre 16 e 39% dos pacientes tem nefropatia – Fisiopatologia – Classificação – Classes: • • • • I – Mesangial mínima II – Mesangial proliferativa III – Focal IV – Difusa Nefrologia Janeiro/10 • Deposição de imunocomplexo • AntiDNAds x DNA • Outros fatores
  • 36.
    Síndrome Nefrítico • Lupus –Diagnóstico Diferencial História Exames Laboratoriais Sorologias Histopatologia • GN Anticorpo Anti-MBG – Diagnóstico Diferencial • História Nefrologia Janeiro/10 • • • •
  • 37.
    Síndrome Nefrítico • Nefropatiapor IgA – Diagnóstico Diferencial História Exames Laboratoriais Sorologias Histopatologia • GN MembranoProliferativa – Diagnóstico Diferencial • História Nefrologia Janeiro/10 • • • •
  • 38.
    Síndrome Nefrítico • GNassociada a Endocardite – Diagnóstico Diferencial História Exames Laboratoriais Sorologias Histopatologia • GN associada a vasculites – Diagnóstico Diferencial • História Nefrologia Janeiro/10 • • • •
  • 39.
  • 40.
  • 41.
  • 42.
    Sindrome Nefrótico • Definição –Proteinuria > 3,0 g /24h (albuminuria) – Hipoalbuminemia < 3,0g/dl – Edema Periférico • Tipos de proteinuria – Glomerular  albumina – Tubular  proteinas de baixo peso (Bence Jones, p.ex) – Overflow  proteinas baixo peso ( MM, rabdomiolise, ...)
  • 43.
  • 44.
  • 45.
    Sindrome Nefrótico • Etiologia –Em crianças  90% nos menores que 10 anos é por Doença de Lesões Mínimas,  50% nos maiores que 10 anos. – Adultos  30% são secundários a doenças como DM, amiloidose, LES.  70% são devido a glomerulopatias : - 33% GESF (em pacientes negros > 50%) - 33% Membranosa - 15% Lesões mínimas
  • 46.
    Sindrome Nefrótico • Fisiopatologia –Proteinuria – Hipoalbuminemia – Edema – Hiperlipidemia – Lipiduria • Complicações – Desnutrição – Hipovolemia
  • 47.
    Sindrome Nefrótico • Fisiopatologia –Proteinuria –Hipoalbuminemia – Edema – Hiperlipidemia – Lipiduria • Complicações – Desnutrição – Hipovolemia
  • 49.
    Sindrome Nefrótico • Fisiopatologia –Proteinuria –Hipoalbuminemia –Edema – Hiperlipidemia – Lipiduria • Complicações – Desnutrição – Hipovolemia
  • 50.
    Sindrome Nefrótico • Hipoalbuminemia –Perdas - > 3g /24h – Produção hepática ??? – Porque não fica equilibrado o valor da albumina sérica?? • Edema
  • 51.
    Sindrome Nefrótico • Fisiopatologia –Proteinuria – Hipoalbuminemia – Edema –Hiperlipidemia –Lipiduria • Complicações – Desnutrição – Hipovolemia
  • 52.
    Sindrome Nefrótico • Hiperlipidemiae Lipiduria – Aumento da produção em resposta a perdas proteicas – Aumento da excreção de lipides
  • 53.
    Sindrome Nefrótico • Fisiopatologia –Proteinuria – Hipoalbuminemia – Edema – Hiperlipidemia – Lipiduria • Complicações – – – – Desnutrição Hipovolemia IRA Tromboembolismo
  • 54.
  • 55.
  • 56.
  • 57.
  • 58.
  • 59.
  • 60.
    Sindrome Nefrótico • Tratamento –Proteinuria – Edema – Hiperlipidemia – Hipercoagulabilidade – Tratamentos específicos para doença
  • 61.
    • Lesões mínimas –Muito comum na infância – Principal causa de síndrome nefrótico em crianças – Poucas vezes se realiza biópsia – Adultos etiologia < 25% – Crianças (1 a 6a)  80 a 95% dos casos
  • 62.
    • Lesões Mínimas(cont.) – Etiologia Secundária Primária Drogas (penicilamina, ampicilina, mercurio, AINES...) Sem Atopia Alergênicos Com atopia + HLA B12 Doenças neoplásicas Infecções Virais Esquistossomose
  • 63.
    • Lesões Mínimas(cont.) – Quadro Clínico • Síndrome nefrótico • Raramente  HEMATURIA Resposta terapêutica Ausência de proteinuria por 3 dias Recidiva Retorno da proteinuria 1 semana após remissão Recidivas frequentes 2 recidivas em 6meses ou 5 em 18 meses Córtico-sensibilidade Resposta terapêutica com prednisona em até 8 semanas após início do tto Córtico-resistência Ausência de Remissão após 4 semanas de Prednisona (cças) 16 semanas (adult.) Córtico-dependência 2 recidivas consecutivas durante a retirada do corticóide (até 2 semanas após)
  • 64.
    • Lesões Mínimas(cont.) – Exames Laboratoriais • • • • • • • • Urina I Proteinúria de 24h Relação proteina/creatinina urinária Albumina plasmática Lipidograma Creatinina e TFG Complementos Eletrólitos
  • 65.
    • Lesões Mínimas(cont.) – Tratamento • Inespecíficos – – – – Restrição de sal Controle da ingesta protéica  1g/kg/dia Inibidores da ECA ou BRA Controle da dislipidemia • Específicos – CORTICÓIDES ( 1 a 1,6mg/kg/dia) – Ciclofosfamida (2mg/kg/dia) – Clorambucil (0,15mg/kg/dia)
  • 66.
    • GESF (GlomeruloscleroseSegmentar e Focal) – Lesão glomerular caracterizada por colapso vascular e esclerose mesangial sem envolver o glomérulo como um todo (Segmentar), e apenas uma parte dos glomérulos existentes (Focal) – Principal causa em Adultos – Entre 32 a 40% dos casos biopsiados são GESF (Registro Paulista de Glomerulopatias) – Homens > mulheres, negros – Idade 25 a 35 anos
  • 68.
    • GESF (cont.) –Etiologia Primária ou Idiopática Secundária Pré-eclâmpsia Formas Familiares ou genéticas HAS Drogas Obesidade Mórbida Infecções virais (HIV, Parvovirus B19) Neoplasias Adaptação funcional Nefropatia refluxo Agenesia renal unilateral Doença policistica do adulto Pielonefrite crônica Nefrectomias parciais Hipoplasia segmentar Anemia Falciforme Glomerulopatias Henoch-Schonlein Berger Síndrome de Alport GNDA pós streptocóccica Doenças neoplásicas
  • 69.
    • GESF (cont.) –Quadro clínico e alterações laboratoriais • • • • • Proteinúria (nefrótica ou não ) Hematúria Alteração de TFG Hipertensão arterial Complementos Criancas(%) Adultos (%) Síndrome nefrótica 90 70 Hipertensão arterial 30 45 Hematuria Microscóp. 55 45 Insuficiência Renal 20 30
  • 70.
    • GESF (cont.) –Tratamento • • • • • CORTICÓIDES (1 mg/kg/dia) por 16 semanas Ciclofosfamida (2mg/kg/dia) – 8 a 12 semanas Ciclosporina (4 a 5mg/kg/dia) – 6 meses Tacrolimus ( 0,1mg/kg/dia ) – 6 a 12 meses Micofenolato Mofetil (20mg/kg/dia) - ???
  • 71.
    • Glomerulonefrite Membranosa –Causa importante de Snd Nefrótico em Adultos – Doença caracterizada pelo espessamento difuso da Membrana Basal Glomerular por depósitos de imunocomplexos
  • 72.
    • Glomerulonefrite Membranosa(cont.) – Etiologia Primária ou Idiopatica Secundária Lupus Eritematoso Sistêmico Artrite Reumatóide Doenças Tireóide (Graves/Hashimoto) Doenças mistas do tecido conjuntivo Espondilite Anquilosante Síndrome de Sjogren Infeções Hepatite B Hepatite C Sífilis Hanseniase Endocardites por enterococo Brucelose Malária Neoplasias Trombose de veia renal Drogas
  • 73.
    • Glomerulonefrite Membranosa(cont.) – Quadro Clínico e alterações laboratoriais • • • • • Proteinúria Síndrome nefrótico ( 70 a 80% dos pacientes) Hematuria Microscópica Hipertensão arterial Alteração TFG Indicadores de Prognóstico Idade Hipertensão arterial Intensidade da proteinúria Creatinina plasmática inicial
  • 74.
    • Glomerulonefrite Membranosa(cont.) – Tratamento • • • • • CORTICÓIDES Ciclofosfamida Clorambucil Azatioprina Ciclosporina
  • 75.
    • Glomerulopatia Membranoproliferativa –“mesangiocapilar” – Associada a doenças infecciosas com grande frequência – Adultos jovens e crianças
  • 76.
    • Glomerulonefrite Membranoproliferativa –Etiologia Doenças sistêmicas Lupus Eritematoso Sistêmico Sindrome de Sjogren Crioglobulinemia Púrpura de Henoch-Schonlein Imunodeficiências primarias Neoplasias Doenças Infecciosas Endocardites Virus Hepatite B Hepatite C HIV Infecção por Mycoplasma Doenças hepaticas crônicas Deficiencia de alfa1 antitripsina Anemia falciforme Drogas Síndrome hemolítico-urêmica
  • 77.
    • Glomerulonefrite Membranoproliferativa –Quadro Clínico e Laboratorial • Síndrome nefrótico / Nefrítico • Hematuria microscópica • Complementos Tipo I  ativação da via clássica do complemento Tipo II  ativação da via alternativa • Sorologias para vírus • Fatores de Prognóstico Pior – – – – Proteinuria Creatinina Crescentes Fibroses intersticiais
  • 78.
    • Glomerulonefrite Membranoproliferativa –Tratamento • • • • • • • CORTICÓIDES Ciclofosfamida Clorambucil Azatioprina Ciclosporina Anticoagulantes e antitrombóticos Plasmaférese
  • 79.
    • Glomerulonefrite Membranosa(cont.) – Tratamento • • • • • CORTICÓIDES Ciclofosfamida Clorambucil Azatioprina Ciclosporina

Notas do Editor

  • #24 Pele – entre 15 a 28 dias IVAS – entre 7 e 14 dias
  • #28 Serve como ajuda no diagnostico diferencial com LES  ambas as vias estão ativadas e não apenas alternativa. ( C3 baixo e C4 normal)
  • #39 Endocardite Consumo de complemento - prolongado Wegener Joints (myalgias, arthralgias, arthritis) Eyes (conjunctivitis, episcleritis, uveitis) Skin (vesicular, purpuric, and hemorrhagic lesions, subcutaneous nodules) Nervous system (mononeuritis multiplex, cranial nerve abnormalities, external ophthalmoplegia, tinnitus, hearing loss) Heart (pericarditis, myocarditis, conduction system abnormalities) Less commonly, the gastrointestinal tract, subglottis or trachea, lower genitourinary tract (including the prostate or ureter), parotid glands, thyroid, liver, or breast
  • #51 25 gramas por dia
  • #54 Dieta – ptn 0,6 a 0,8g/kg/dia Aumento dos fatores VIII e reducao da anti-trombina III Aumento da adesao plaquetaria – alteracao da membrana que favorecem adesao
  • #63 40% Glomerulopatias associadas a neoplasias são GLM 60% GLM são precedidos de IVAS