Componentes da Equipe
 Helena do Amaral de Lima
 Letícia Araújo Fernandes
 Luana Antoniuk
 Marriê Cavalli
Conceito
 Embolia é a obstrução súbita de um vaso (artérias,
veias ou de vasos linfáticos) por um corpo estranho na
corrente sanguínea.
 Este corpo é denominado êmbolo, que pode ter
origem diversificada.
 Principal consequência: necrose do tecido dependente
ou infarto.
Classificação
 As embolias são classificadas conforme a natureza dos
êmbolos:
 Tromboembolismo;
 Embolia bacteriana;
 Embolia celular;
 Embolia gasosa;
 Embolia gordurosa;
 Embolia de medula óssea;
 Embolia parasitária.
 O tromboembolismo é a forma
mais comum de embolia
pulmonar.
Pulmão. Tromboembolismo. (Disponível em:
http://www.uftm.edu.br/patge/index.php?option=com_content&view=article
&id=93:mac-0120&catid=43:macroscopia-1-patologia-celula-c . Acesso
01/10/2013).
Embolia Parasitária
Embolia Gasosa
 Embolia Gasosa: Ocorre pela introdução de ar no
sangue;
 O ar tem acesso ao sistema vascular por ruptura de
grandes veias ou por injeção intravenosa.
Artigo
EMBOLIA GASOSA PULMONAR
EM COELHO CAUSADA POR
PERÓXIDO DE HIDROGÊNIO –
RELATO DE CASO.
OLIVEIRA et al. ARS VETERINARIA, Jaboticabal, SP, v.28, n.4, 255-259, 2012.
 Embolia gasosa venosa massiva provocada pelo
peróxido de hidrogênio (água oxigenada), em coelho
durante a limpeza e desinfecção de um abscesso no
masseter utilizando H2O2 a 3%.
EMBOLIA GASOSA PULMONAR EM COELHO CAUSADA POR
PERÓXIDO DE HIDROGÊNIO – RELATO DE CASO.
EMBOLIA GASOSA PULMONAR EM COELHO CAUSADA POR
PERÓXIDO DE HIDROGÊNIO – RELATO DE CASO.
 Coelho utilizado no experimento: Adulto, peso: 1,1 Kg.
 Anestesiado para punção diagnóstica do local para
avaliar o conteúdo da lesão;
 Comprovada presença de material caseoso;
 Drenagem do conteúdo do abscesso.
 Após retirada de excesso de pus iniciou-se a
administração de peróxido de hidrogênio (15 ml) através
de incisão com seringa;
 Ultima aplicação (5 ml) sob pressão;
EMBOLIA GASOSA PULMONAR EM COELHO CAUSADA POR
PERÓXIDO DE HIDROGÊNIO – RELATO DE CASO.
 Após última aplicação observou-se aumento do volume
do abscesso devido a formação de espuma –
característica da oxidação da água oxigenada.
 Imediatamente o animal teve parada cardiorrespiratória e
veio a óbito.
EMBOLIA GASOSA PULMONAR EM COELHO CAUSADA POR
PERÓXIDO DE HIDROGÊNIO – RELATO DE CASO.
 O peróxido de hidrogênio é oxidado quando em contato
com as enzimas presentes no sangue e leva a formação
de uma espuma densa devido a liberação de H2O e O2;
 Quando utilizado no tecido subcutâneo (limpeza de
ferimentos), pode ser absorvido e liberar O2 no leito
vascular;
EMBOLIA GASOSA PULMONAR EM COELHO CAUSADA POR
PERÓXIDO DE HIDROGÊNIO – RELATO DE CASO.
 Quando o volume de gás formado no leito vascular
excede a capacidade de solubilização sanguínea ocorre
a formação de bolhas de oxigênio – Embolia Gasosa;
 Os êmbolos formados nas veias invadem o ventrículo
direito e causam obstrução do tronco pulmonar
causando a embolia gasosa venosa massiva.
EMBOLIA GASOSA PULMONAR EM COELHO CAUSADA POR
PERÓXIDO DE HIDROGÊNIO – RELATO DE CASO.
 O animal foi encaminhado ao laboratório de patologia
para necropsia e exame histopatológico;
EMBOLIA GASOSA PULMONAR EM COELHO CAUSADA POR
PERÓXIDO DE HIDROGÊNIO – RELATO DE CASO.
A: Numerosas bolhas de ar na veia cava caudal. B: bolhas no tronco pulmonar. C: Enfisema pulmonar. D: Atelectasia.
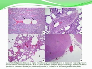
A. corte histológico de abscesso na região massetérica apresentando bolhas de ar (setas) em vaso sanguíneo em
meio à infiltrado inflamatório. B. Bolha de ar no lúmem de artéria pulmonar (seta). C. hemorragia intersticial multifocal
(asteriscos) e enfisema (estrelas) no parênquima pulmonar. D. congestão de leptomeninges e encéfalo (setas).
 O emprego do peróxido de hidrogênio em cavidades
fechadas ou semifechadas vascularizadas e sob pressão
pode favorecer a ocorrência de embolia gasosa;
 A substância gerou alta pressão sobre os tecidos
adjacentes ao abscesso devido a liberação de grande
quantidade de oxigênio em espaço restrito (1ml de H2O2
libera 9,8 ml de oxigênio).
EMBOLIA GASOSA PULMONAR EM COELHO CAUSADA POR
PERÓXIDO DE HIDROGÊNIO – RELATO DE CASO.
 Embolia gasosa venosa pulmonar – caracteriza-se pela
obstrução microvascular causada por pequenas bolhas
na luz do vaso;
 Bolhas de ar podem ter sido formadas pela passagem
de H2O2 através dos espaços interepiteliais e do
endotélio capilar ou pela absorção do O2 liberado na
reação.
EMBOLIA GASOSA PULMONAR EM COELHO CAUSADA POR
PERÓXIDO DE HIDROGÊNIO – RELATO DE CASO.
 Quando há a existência de grande quantidade de bolhas
ocorre sobrecarga do ventrículo direito e insuficiência
cardíaca congestiva aguda;
 Ocorre aumento da pressão da artéria pulmonar, da
pressão venosa central e redução do débito cardíaco
além de sinais de choque circulatório.
EMBOLIA GASOSA PULMONAR EM COELHO CAUSADA POR
PERÓXIDO DE HIDROGÊNIO – RELATO DE CASO.
EMBOLIA GASOSA PULMONAR EM COELHO CAUSADA POR
PERÓXIDO DE HIDROGÊNIO – RELATO DE CASO.
 O aumento do tônus vagal ocasionado pelo peróxido de
hidrogênio em quimiorreceptores e mecanorreceptores
vasculares e em terminações vagais pode ter ocorrido
com o embolismo massivo na causa mortis.
 Em humanos o peróxido de hidrogênio tem uso restrito
devido a alta incidência de casos de embolia gasosa;
 Na Veterinária ainda é utilizado para limpeza e
desinfecção de ferimentos e também na indução de
vômitos;
EMBOLIA GASOSA PULMONAR EM COELHO CAUSADA POR
PERÓXIDO DE HIDROGÊNIO – RELATO DE CASO.
EMBOLIA GASOSA PULMONAR EM COELHO CAUSADA POR
PERÓXIDO DE HIDROGÊNIO – RELATO DE CASO.
 Diante das considerações descritas neste relato e em
agravos já comprovados em humanos, o peróxido de
hidrogênio deve ser utilizado com cautela em processos
de limpeza e desinfecção, além de se evitar o uso do
mesmo em condições que possam determinar seu
acúmulo em cavidades.
Embolia

Embolia

  • 2.
    Componentes da Equipe Helena do Amaral de Lima  Letícia Araújo Fernandes  Luana Antoniuk  Marriê Cavalli
  • 3.
    Conceito  Embolia éa obstrução súbita de um vaso (artérias, veias ou de vasos linfáticos) por um corpo estranho na corrente sanguínea.  Este corpo é denominado êmbolo, que pode ter origem diversificada.  Principal consequência: necrose do tecido dependente ou infarto.
  • 4.
    Classificação  As emboliassão classificadas conforme a natureza dos êmbolos:  Tromboembolismo;  Embolia bacteriana;  Embolia celular;  Embolia gasosa;  Embolia gordurosa;  Embolia de medula óssea;  Embolia parasitária.
  • 5.
     O tromboembolismoé a forma mais comum de embolia pulmonar. Pulmão. Tromboembolismo. (Disponível em: http://www.uftm.edu.br/patge/index.php?option=com_content&view=article &id=93:mac-0120&catid=43:macroscopia-1-patologia-celula-c . Acesso 01/10/2013). Embolia Parasitária
  • 6.
    Embolia Gasosa  EmboliaGasosa: Ocorre pela introdução de ar no sangue;  O ar tem acesso ao sistema vascular por ruptura de grandes veias ou por injeção intravenosa.
  • 7.
    Artigo EMBOLIA GASOSA PULMONAR EMCOELHO CAUSADA POR PERÓXIDO DE HIDROGÊNIO – RELATO DE CASO. OLIVEIRA et al. ARS VETERINARIA, Jaboticabal, SP, v.28, n.4, 255-259, 2012.
  • 8.
     Embolia gasosavenosa massiva provocada pelo peróxido de hidrogênio (água oxigenada), em coelho durante a limpeza e desinfecção de um abscesso no masseter utilizando H2O2 a 3%. EMBOLIA GASOSA PULMONAR EM COELHO CAUSADA POR PERÓXIDO DE HIDROGÊNIO – RELATO DE CASO.
  • 9.
    EMBOLIA GASOSA PULMONAREM COELHO CAUSADA POR PERÓXIDO DE HIDROGÊNIO – RELATO DE CASO.  Coelho utilizado no experimento: Adulto, peso: 1,1 Kg.  Anestesiado para punção diagnóstica do local para avaliar o conteúdo da lesão;  Comprovada presença de material caseoso;  Drenagem do conteúdo do abscesso.
  • 10.
     Após retiradade excesso de pus iniciou-se a administração de peróxido de hidrogênio (15 ml) através de incisão com seringa;  Ultima aplicação (5 ml) sob pressão; EMBOLIA GASOSA PULMONAR EM COELHO CAUSADA POR PERÓXIDO DE HIDROGÊNIO – RELATO DE CASO.
  • 11.
     Após últimaaplicação observou-se aumento do volume do abscesso devido a formação de espuma – característica da oxidação da água oxigenada.  Imediatamente o animal teve parada cardiorrespiratória e veio a óbito. EMBOLIA GASOSA PULMONAR EM COELHO CAUSADA POR PERÓXIDO DE HIDROGÊNIO – RELATO DE CASO.
  • 12.
     O peróxidode hidrogênio é oxidado quando em contato com as enzimas presentes no sangue e leva a formação de uma espuma densa devido a liberação de H2O e O2;  Quando utilizado no tecido subcutâneo (limpeza de ferimentos), pode ser absorvido e liberar O2 no leito vascular; EMBOLIA GASOSA PULMONAR EM COELHO CAUSADA POR PERÓXIDO DE HIDROGÊNIO – RELATO DE CASO.
  • 13.
     Quando ovolume de gás formado no leito vascular excede a capacidade de solubilização sanguínea ocorre a formação de bolhas de oxigênio – Embolia Gasosa;  Os êmbolos formados nas veias invadem o ventrículo direito e causam obstrução do tronco pulmonar causando a embolia gasosa venosa massiva. EMBOLIA GASOSA PULMONAR EM COELHO CAUSADA POR PERÓXIDO DE HIDROGÊNIO – RELATO DE CASO.
  • 14.
     O animalfoi encaminhado ao laboratório de patologia para necropsia e exame histopatológico; EMBOLIA GASOSA PULMONAR EM COELHO CAUSADA POR PERÓXIDO DE HIDROGÊNIO – RELATO DE CASO.
  • 15.
    A: Numerosas bolhasde ar na veia cava caudal. B: bolhas no tronco pulmonar. C: Enfisema pulmonar. D: Atelectasia.
  • 16.
    A. corte histológicode abscesso na região massetérica apresentando bolhas de ar (setas) em vaso sanguíneo em meio à infiltrado inflamatório. B. Bolha de ar no lúmem de artéria pulmonar (seta). C. hemorragia intersticial multifocal (asteriscos) e enfisema (estrelas) no parênquima pulmonar. D. congestão de leptomeninges e encéfalo (setas).
  • 17.
     O empregodo peróxido de hidrogênio em cavidades fechadas ou semifechadas vascularizadas e sob pressão pode favorecer a ocorrência de embolia gasosa;  A substância gerou alta pressão sobre os tecidos adjacentes ao abscesso devido a liberação de grande quantidade de oxigênio em espaço restrito (1ml de H2O2 libera 9,8 ml de oxigênio). EMBOLIA GASOSA PULMONAR EM COELHO CAUSADA POR PERÓXIDO DE HIDROGÊNIO – RELATO DE CASO.
  • 18.
     Embolia gasosavenosa pulmonar – caracteriza-se pela obstrução microvascular causada por pequenas bolhas na luz do vaso;  Bolhas de ar podem ter sido formadas pela passagem de H2O2 através dos espaços interepiteliais e do endotélio capilar ou pela absorção do O2 liberado na reação. EMBOLIA GASOSA PULMONAR EM COELHO CAUSADA POR PERÓXIDO DE HIDROGÊNIO – RELATO DE CASO.
  • 19.
     Quando háa existência de grande quantidade de bolhas ocorre sobrecarga do ventrículo direito e insuficiência cardíaca congestiva aguda;  Ocorre aumento da pressão da artéria pulmonar, da pressão venosa central e redução do débito cardíaco além de sinais de choque circulatório. EMBOLIA GASOSA PULMONAR EM COELHO CAUSADA POR PERÓXIDO DE HIDROGÊNIO – RELATO DE CASO.
  • 20.
    EMBOLIA GASOSA PULMONAREM COELHO CAUSADA POR PERÓXIDO DE HIDROGÊNIO – RELATO DE CASO.  O aumento do tônus vagal ocasionado pelo peróxido de hidrogênio em quimiorreceptores e mecanorreceptores vasculares e em terminações vagais pode ter ocorrido com o embolismo massivo na causa mortis.
  • 21.
     Em humanoso peróxido de hidrogênio tem uso restrito devido a alta incidência de casos de embolia gasosa;  Na Veterinária ainda é utilizado para limpeza e desinfecção de ferimentos e também na indução de vômitos; EMBOLIA GASOSA PULMONAR EM COELHO CAUSADA POR PERÓXIDO DE HIDROGÊNIO – RELATO DE CASO.
  • 22.
    EMBOLIA GASOSA PULMONAREM COELHO CAUSADA POR PERÓXIDO DE HIDROGÊNIO – RELATO DE CASO.  Diante das considerações descritas neste relato e em agravos já comprovados em humanos, o peróxido de hidrogênio deve ser utilizado com cautela em processos de limpeza e desinfecção, além de se evitar o uso do mesmo em condições que possam determinar seu acúmulo em cavidades.