DERRAME PLEURAL
Componentes:
 Gabriel Maciel de
Freitas;
 Karine da Silva Bento;
 Lariza Leão de
Oliveira;
 Luiz Felipe de
DERRAME PLEURAL
Diminuição da pressão
do espaço pleural
Bloqueio da drenagem
linfática
Passagem de liquido
a partir do espaço
peritoneal
acúmulo de líquido
Espaç
o
Pleur
al
Dificult
a
Trabalh
o do
Pulmão
QUADRO CLINICO
Dispnei
a
Dor No
Peito
Cansaço
Soluço
Persisten
te Tosse
Seca
Macice
z
Torácic
a
FATORES DE RISCO
• DOENÇAS AUTO- IMUNE
• OBESIDADE
• TABAGISMO
• INSUFICIÊNCIA CARDÍACA
• HIPERTENSÃO
• ALCOOLISMO
1,5 Milhões de
casos Por Ano
nos ESTADOS
UNIDOS.
DIAGNOSTICO
Anamnese
Exame Físico
Radiografia De
Tórax
Tomografia
Ultrassom
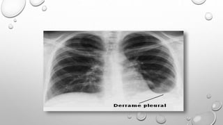
Sinais No
Raio- x
Setas indicando Sinal de Menisco.
Típico em derrame Pleural
Tratamento
Fisioterapêutico Clinico
• Drenagem
postural
Dreno torácico
Inserção de um tubo no
peito para remover ar,
fluidos ou pus da região
pulmonar.
Remoção de líquido entre
os pulmões e o peito
Inserção de uma agulha no
peito para remover o
excesso de ar ou de fluido
na região dos pulmões
Controle/
Conscientização
Diafragmática
Posicionamento no
Leito / Controle
Postural
Direciona de fluxo /
ventilação seletiva

Derrame pleural