Sistema digestivo
Sistema digestivo Constituição   Trato alimentar  – esôfago ao anus   Glândulas anexas  – glândulas salivares, fígado e pâncreas Cavidade oral
Sistema digestivo Funções das camadas de revestimento Transporte, digestão e absorção dos alimentos Proteção contra invasão microbiana Nódulos linfóides – mucosa e submucosa Macrófagos na lamina propria
TUBO DIGESTIVO Esôfago Estômago Intestino delgado - duodeno, jejuno e íleo Intestino grosso - ceco, apêndice, colo Reto, canal anal e anus  Camadas histológicas Mucosa. Submucosa. Muscular externa. Serosa ou Adventícia.
Tubo digestivo Estrutura   Lúmen – luz – circundado por 4 camadas: Mucosa   Epitélio  Lamina própria – TC frouxo com glândulas, vasos linfáticos, nódulo linfóide (MALT) e macrófagos Muscular da mucosa – interna circular e externa longitudinal Submucosa TC denso com vasos sanguíneos, linfáticos e gânglios linfóides  Glândulas ausentes, exceto no esôfago e duodeno Plexo nervoso submucoso de Meissner – motilidade da mucosa e secreção glandular
 
Tubo digestivo Muscular externa Células musculares lisas – interna circular e externa longitudinal Plexo nervoso mioentérico de Auerbach - peristaltimo Serosa e adventícia  TC frouxo rico em vasos e tecido adiposo Mesotélio ou peritôneo – epitélio simples pavimentoso, reveste a serosa Adventícia –  órgão retroperitoneal ou mediastinal (esôfago), ausência de mesotélio Peritônio visceral  – reveste as vísceras do abdome Peritônio parietal  – reveste a  cavidade abdominal Mesentério  – membrana conjuntiva revestida por mesotélio de ambos lados, suportam os intestinos
 
 
Tubo digestivo  - Inervação Parasimpática Estimula a peristalse Estimula a atividade secretora glandular Inibe os músculos dos esfíncteres Simpática Inibe a peristalse Estimula os músculos dos esfíncteres
ESÔFAGO Lúmen com pregas longitudinais – canal virtual
Mucosa Epitélio estratificado pavimentoso não-queratinizado Lâmina própria: glândulas cárdicas superior (faringe) inferior (estomago) – muco para lubrificação  Muscular da mucosa: camada única longitudinal Submucosa Glândulas esofagianas propriamente ditas  Células mucosas – muco Células serosas - pepsinogênio e  lisosima
ESÔFAGO Muscular Terço superior: músculo esquelético. Terço médio: músculo liso e esquelético. Terço inferior: músculo liso. Serosa e adventícia Adventícia – ate o diafragma. Serosa – após o diafragma.
ESÔFAGO ESFINCTER Faringoesofágico  (superior) Evita o refluxo do esôfago para a faringe Gastroesofágico  (inferior)  Evita o refluxo do estômago para o esôfago Esfíncteres fisiológicos
Anatomia   Pequena (côncava) e grande (convexa) curvatura Cárdia : na região gastroesofágica Fundo : forma de cúpula, à esquerda da cárdia Corpo : responsável pela formação do quimo Piloro :  forma de funil, contém o esfíncter pilórico - controla a liberação do quimo para o duodeno Quimo : fluido viscoso resultado do processamento do bolo alimentar  ESTÔMAGO
ESTÔMAGO Fundo e corpo - histologia idêntica Rugas Pregas longitudinais da mucosa e SM desaparecem com a distensão do órgão Criptas (fovéolas ou fossetas) gástricas Invaginações do epitélio em direção a LP que aumentam a área de superfície de revestimento Epitélio cilíndrico simples  – coberta por uma camada espessa de muco alcalino Lâmina própria: TC frouxo vascularizado
Glândulas gástricas (fúndicas ou oxínticas) Vai da mucosa até a base da cripta Três regiões: istmo, colo e base Formado por seis tipos de células Células superficiais de revestimento Secretam muco Células parietais (oxínticas ) Localizadas na metade superior das glândulas Células principais (zimogênicas) Localizadas na base das glândulas
Células de reserva (fonte)   Em pequeno número Origina as células do epitélio (exceto as células neuroendócrinas)
Células mucosas do colo Células neuroendócrinas ( argentafins, argirófilas ou enteroendócrinas) APUD =  a mine  p recursor  u ptake and  d escarboxylation  DNES =  d iffuse  n euro e ndócrine  s ystem   Secretarem hormônios - efeito parácrino ou endócrino  Gastrina, histamina, serotonina e somatostatina
Células principais (zimogênicas) Grânulos secretores apicais  Pepsinogênio -  pepsina e lípase gástrica Exocitose do pepsionogênio  Estimulação neural vagal – principal Estimulação hormonal – secretina
Células parietais (oxínticas ) Invaginações do plasmalema apical revestidos por microvilosidades Canalículos intracelulares Vesículas redondas e tubulares no citoplasma  Sistema tubulovesicular Produz   Acido hidroclorídrico (HCl) e fator intrínseco (FI)
Células parietais apresentam receptores para gastrina, histamina e acetilcolina
Célula parietal ativada  Fusão do sistema tubulovesicular formando microvilos Célula parietal em repouso
ESTÔMAGO MUSCULAR DA MUCOSA 3 camadas  Circular interna Longitudinal externa Longitudinal mais externa. SUBMUCOSA TC denso não-modelado, com rica rede vascular e linfática  Linfócitos e macrófagos
MUSCULAR - t rês camadas de músculo liso Obliqua interna. Circular média - na região pilórica forma o  esfíncter pilórico. Longitudinal externa. Plexo mioentérico - entre circular média e longitudinal. SEROSA (peritônio) Recobre o estomago.
INTESTINO DELGADO Duodeno, jejuno e íleo – 5 a 7 m de comprimento. Digere e absorve os produtos finais do processo digestivo. Modificações da superfície luminal: aumenta a área absortiva em 400 – 600 vezes.  Pregas circulares  (válvulas de Kerckring) Vílos ou vilosidades Microvilosidades Criptas de Lieberküh  (glândulas intestinais)
INTESTINO DELGADO Pregas circulares  (válvulas de Kerckring) Dobras transversais circular ou em espiral da mucosa e submucosa.  Mais desenvolvidas no jejuno.
Vilos ou Vilosidades Protusões digitiformes da lâmina própria, cobertas por epitélio. Aparência aveludada do intestino.  No interior contém  Alças capilares Quilífero central - canal linfático em fundo cego
Vilos ou Vilosidades No interior contém:  Alças capilares Quilífero central - canal linfático em fundo cego
 
Microvilos ou Microvilosidades Modificações do plasmalema apical das células epiteliais que cobrem as vilosidades intestinais
Criptas de Lieberküh (glândulas intestinais)  Invaginações do epitélio para a lâmina própria entre as vilosidades intestinais.
Epitélio   Cilíndrico simples – reveste os vilos Células absortivas superficiais  Células caliciformes Células enteroendócrinas  Células M MUCOSA INTESTINAL
MUCOSA INTESTINAL Células absortivas superficiais (enterócitos) Mais numerosas. Colunar altas, núcleo oval e basal. Superfície apical com microvilosidades borda em escova Microvilos contém glicocálix  Proteção contra a autodigestão  Produção de enzimas para digestão de dipeptídeos e dissacarídeos Função  Digestão e absorção de H2O e nutrientes e transporta para a LP.
 
Células caliciformes Produzem mucinogênio componente do muco  Proteção da luz.
MUCOSA INTESTINAL Células M (células com microbregas) São pavimentosas em vez de cilíndricas.  Sistema mononuclear fagocitário Recobrem a placa de Peyer no íleo. Capturam – endocita – transporta Ag do lumen para linfócitos e macrofágos na LP.
Células enteroendócrinas
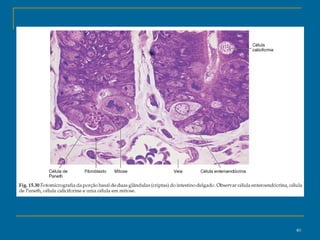
Criptas de Lieberkühn Glândulas simples, tubulares. Abrem-se nos espaços intervilosos.  Constituídas por: Metade superior - células absortivas e caliciformes. Metade basal - células de regenerativas, células enteroendócrinas e células de Paneth.
 
Criptas de Lieberkühn Células de Paneth Grandes grânulos secretores apicais.  Produzem:  Lisosima, TNF-alfa, defencinas. Lisosima Controle da flora intestinal
Criptas de Lieberkühn Células de regenerativas Células tronco. Divisão mitótica elevadas.  Ciclo celular de 24h. Chega ate o topo do vilo em 3 a 6 dias
Lamina própria  TC frouxo – forma o eixo das vilosidades. Bem vascularizada.  Contém nódulos linfóides – proteção a invasão de microorganismos.  Muscular da mucosa Constituída de camada de células musculares lisas, circular interna e longitudinal externa.
Glândulas duodenais de Brunner  Tubulosas ramificadas. Ducto excretor desemboca na cripta de Lierberkuhn.  Fluido mucoso HCO3 – neutraliza a acidez do quimo. Urogastrona (fator de crescimento epidérmico humano) – inibe a produção de HCL e estimula a divisão das células epiteliais. SUBMUCOSA
Muscular Plexo mioentérico de Auerbach  Adventícia e Serosa 2ª e 3ª porções do duodeno –  adventícia . Todo o resto do ID –  serosa .
Drenagem linfática Capilares linfáticos de fundo cego - no eixo das vilosidades    plexo linfático na lamina própria    ducto torácico    junção da veia jugular interna e subclávia D. Drenagem vascular Capilares adjacentes aos canais lactíferos    vasos sangüíneos do plexo submucoso   veia porta    fígado Suprimento linfático e vascular do ID
INTESTINO GROSSO Colo, ceco e reto não possui diferenças histológicas Função  Absorver água e ELT do quimo e compactá-lo em fezes.
Mucosa Ausência de vilosidades Criptas de Lieberkühn sem células de Paneth  Renovação celular a cada 7 dias INTESTINO GROSSO
INTESTINO GROSSO Células absortivas numerosas  Número de células caliciformes aumenta do ceco para sigmóide
Lâmina própria,  muscular da mucosa e submucosa Semelhantes às do intestino delgado LP – abundantes nódulos linfóides
Muscular Circular interna  Longitudinal externa – mais delgada exceto por 3 espessamentos  tênias do colo O tônus mantido pelas tênias do colo pregueia o intestino grosso em sacos  haustra coli  (saculações) Serosa Bolsas cheias de gordura -  apêndices epiplóicos
Canal anal Continuação mais estreita do reto 3 a 4 cm de comprimento Mucosa com pregas longitudinais  Colunas anais de Morgagni  Evaginações em forma de bolsa  Válvas anais As válvulas anais ajudam o ânus a sustentar a coluna de fezes RETO e CANAL ANAL
Epitélio   Simples cúbico - do reto a linha pectínea   Estratificado pavimentoso não-queratinizado - da  linha pectínea ao orifício anal externo Estratificado pavimentoso queratinizado (epiderme) - no ânus.  Lâmina própria TC fibroelástico Glândulas anais  na junção reto-anal Glândulas circumanais  no canal anal distal.  RETO e CANAL ANAL
Submucosa  e muscular externa TC fibroelástico Abriga dois plexos venosos:  hemorroidário interno , acima da linha pectínea e  hemorroidário externo , na junção do canal anal com o orifício externo -  ânus.  Muscular  Circular interna e longitudinal externa.  Circular interna forma o  esfíncter interno do ânus  ao nível da linha pectínea . Músculos esqueléticos do assoalho da pelve formam o  esfíncter muscular anal externo -  está sob controle voluntário e mostra um tônus constante. RETO e CANAL ANAL
APÊNDICE VERMIFORME Divertículo do ceco, com 5 a 6 cm de comprimento, com luz em forma de estrela. Histologia semelhante ao colo, exceto por: Elementos linfóides abundantes. Mais células do SNED nas criptas de Lieberkuh. Ausência de tênias.
 

Tubo Digestvo

  • 1.
  • 2.
    Sistema digestivo Constituição Trato alimentar – esôfago ao anus Glândulas anexas – glândulas salivares, fígado e pâncreas Cavidade oral
  • 3.
    Sistema digestivo Funçõesdas camadas de revestimento Transporte, digestão e absorção dos alimentos Proteção contra invasão microbiana Nódulos linfóides – mucosa e submucosa Macrófagos na lamina propria
  • 4.
    TUBO DIGESTIVO EsôfagoEstômago Intestino delgado - duodeno, jejuno e íleo Intestino grosso - ceco, apêndice, colo Reto, canal anal e anus Camadas histológicas Mucosa. Submucosa. Muscular externa. Serosa ou Adventícia.
  • 5.
    Tubo digestivo Estrutura Lúmen – luz – circundado por 4 camadas: Mucosa Epitélio Lamina própria – TC frouxo com glândulas, vasos linfáticos, nódulo linfóide (MALT) e macrófagos Muscular da mucosa – interna circular e externa longitudinal Submucosa TC denso com vasos sanguíneos, linfáticos e gânglios linfóides Glândulas ausentes, exceto no esôfago e duodeno Plexo nervoso submucoso de Meissner – motilidade da mucosa e secreção glandular
  • 6.
  • 7.
    Tubo digestivo Muscularexterna Células musculares lisas – interna circular e externa longitudinal Plexo nervoso mioentérico de Auerbach - peristaltimo Serosa e adventícia TC frouxo rico em vasos e tecido adiposo Mesotélio ou peritôneo – epitélio simples pavimentoso, reveste a serosa Adventícia – órgão retroperitoneal ou mediastinal (esôfago), ausência de mesotélio Peritônio visceral – reveste as vísceras do abdome Peritônio parietal – reveste a cavidade abdominal Mesentério – membrana conjuntiva revestida por mesotélio de ambos lados, suportam os intestinos
  • 8.
  • 9.
  • 10.
    Tubo digestivo - Inervação Parasimpática Estimula a peristalse Estimula a atividade secretora glandular Inibe os músculos dos esfíncteres Simpática Inibe a peristalse Estimula os músculos dos esfíncteres
  • 11.
    ESÔFAGO Lúmen compregas longitudinais – canal virtual
  • 12.
    Mucosa Epitélio estratificadopavimentoso não-queratinizado Lâmina própria: glândulas cárdicas superior (faringe) inferior (estomago) – muco para lubrificação Muscular da mucosa: camada única longitudinal Submucosa Glândulas esofagianas propriamente ditas Células mucosas – muco Células serosas - pepsinogênio e lisosima
  • 13.
    ESÔFAGO Muscular Terçosuperior: músculo esquelético. Terço médio: músculo liso e esquelético. Terço inferior: músculo liso. Serosa e adventícia Adventícia – ate o diafragma. Serosa – após o diafragma.
  • 14.
    ESÔFAGO ESFINCTER Faringoesofágico (superior) Evita o refluxo do esôfago para a faringe Gastroesofágico (inferior) Evita o refluxo do estômago para o esôfago Esfíncteres fisiológicos
  • 15.
    Anatomia Pequena (côncava) e grande (convexa) curvatura Cárdia : na região gastroesofágica Fundo : forma de cúpula, à esquerda da cárdia Corpo : responsável pela formação do quimo Piloro : forma de funil, contém o esfíncter pilórico - controla a liberação do quimo para o duodeno Quimo : fluido viscoso resultado do processamento do bolo alimentar ESTÔMAGO
  • 16.
    ESTÔMAGO Fundo ecorpo - histologia idêntica Rugas Pregas longitudinais da mucosa e SM desaparecem com a distensão do órgão Criptas (fovéolas ou fossetas) gástricas Invaginações do epitélio em direção a LP que aumentam a área de superfície de revestimento Epitélio cilíndrico simples – coberta por uma camada espessa de muco alcalino Lâmina própria: TC frouxo vascularizado
  • 17.
    Glândulas gástricas (fúndicasou oxínticas) Vai da mucosa até a base da cripta Três regiões: istmo, colo e base Formado por seis tipos de células Células superficiais de revestimento Secretam muco Células parietais (oxínticas ) Localizadas na metade superior das glândulas Células principais (zimogênicas) Localizadas na base das glândulas
  • 18.
    Células de reserva(fonte) Em pequeno número Origina as células do epitélio (exceto as células neuroendócrinas)
  • 19.
    Células mucosas docolo Células neuroendócrinas ( argentafins, argirófilas ou enteroendócrinas) APUD = a mine p recursor u ptake and d escarboxylation DNES = d iffuse n euro e ndócrine s ystem Secretarem hormônios - efeito parácrino ou endócrino Gastrina, histamina, serotonina e somatostatina
  • 20.
    Células principais (zimogênicas)Grânulos secretores apicais Pepsinogênio - pepsina e lípase gástrica Exocitose do pepsionogênio Estimulação neural vagal – principal Estimulação hormonal – secretina
  • 21.
    Células parietais (oxínticas) Invaginações do plasmalema apical revestidos por microvilosidades Canalículos intracelulares Vesículas redondas e tubulares no citoplasma Sistema tubulovesicular Produz Acido hidroclorídrico (HCl) e fator intrínseco (FI)
  • 22.
    Células parietais apresentamreceptores para gastrina, histamina e acetilcolina
  • 23.
    Célula parietal ativada Fusão do sistema tubulovesicular formando microvilos Célula parietal em repouso
  • 24.
    ESTÔMAGO MUSCULAR DAMUCOSA 3 camadas Circular interna Longitudinal externa Longitudinal mais externa. SUBMUCOSA TC denso não-modelado, com rica rede vascular e linfática Linfócitos e macrófagos
  • 25.
    MUSCULAR - três camadas de músculo liso Obliqua interna. Circular média - na região pilórica forma o esfíncter pilórico. Longitudinal externa. Plexo mioentérico - entre circular média e longitudinal. SEROSA (peritônio) Recobre o estomago.
  • 26.
    INTESTINO DELGADO Duodeno,jejuno e íleo – 5 a 7 m de comprimento. Digere e absorve os produtos finais do processo digestivo. Modificações da superfície luminal: aumenta a área absortiva em 400 – 600 vezes. Pregas circulares (válvulas de Kerckring) Vílos ou vilosidades Microvilosidades Criptas de Lieberküh (glândulas intestinais)
  • 27.
    INTESTINO DELGADO Pregascirculares (válvulas de Kerckring) Dobras transversais circular ou em espiral da mucosa e submucosa. Mais desenvolvidas no jejuno.
  • 28.
    Vilos ou VilosidadesProtusões digitiformes da lâmina própria, cobertas por epitélio. Aparência aveludada do intestino. No interior contém Alças capilares Quilífero central - canal linfático em fundo cego
  • 29.
    Vilos ou VilosidadesNo interior contém: Alças capilares Quilífero central - canal linfático em fundo cego
  • 30.
  • 31.
    Microvilos ou MicrovilosidadesModificações do plasmalema apical das células epiteliais que cobrem as vilosidades intestinais
  • 32.
    Criptas de Lieberküh(glândulas intestinais) Invaginações do epitélio para a lâmina própria entre as vilosidades intestinais.
  • 33.
    Epitélio Cilíndrico simples – reveste os vilos Células absortivas superficiais Células caliciformes Células enteroendócrinas Células M MUCOSA INTESTINAL
  • 34.
    MUCOSA INTESTINAL Célulasabsortivas superficiais (enterócitos) Mais numerosas. Colunar altas, núcleo oval e basal. Superfície apical com microvilosidades borda em escova Microvilos contém glicocálix Proteção contra a autodigestão Produção de enzimas para digestão de dipeptídeos e dissacarídeos Função Digestão e absorção de H2O e nutrientes e transporta para a LP.
  • 35.
  • 36.
    Células caliciformes Produzemmucinogênio componente do muco Proteção da luz.
  • 37.
    MUCOSA INTESTINAL CélulasM (células com microbregas) São pavimentosas em vez de cilíndricas. Sistema mononuclear fagocitário Recobrem a placa de Peyer no íleo. Capturam – endocita – transporta Ag do lumen para linfócitos e macrofágos na LP.
  • 38.
  • 39.
    Criptas de LieberkühnGlândulas simples, tubulares. Abrem-se nos espaços intervilosos. Constituídas por: Metade superior - células absortivas e caliciformes. Metade basal - células de regenerativas, células enteroendócrinas e células de Paneth.
  • 40.
  • 41.
    Criptas de LieberkühnCélulas de Paneth Grandes grânulos secretores apicais. Produzem: Lisosima, TNF-alfa, defencinas. Lisosima Controle da flora intestinal
  • 42.
    Criptas de LieberkühnCélulas de regenerativas Células tronco. Divisão mitótica elevadas. Ciclo celular de 24h. Chega ate o topo do vilo em 3 a 6 dias
  • 43.
    Lamina própria TC frouxo – forma o eixo das vilosidades. Bem vascularizada. Contém nódulos linfóides – proteção a invasão de microorganismos. Muscular da mucosa Constituída de camada de células musculares lisas, circular interna e longitudinal externa.
  • 44.
    Glândulas duodenais deBrunner Tubulosas ramificadas. Ducto excretor desemboca na cripta de Lierberkuhn. Fluido mucoso HCO3 – neutraliza a acidez do quimo. Urogastrona (fator de crescimento epidérmico humano) – inibe a produção de HCL e estimula a divisão das células epiteliais. SUBMUCOSA
  • 45.
    Muscular Plexo mioentéricode Auerbach Adventícia e Serosa 2ª e 3ª porções do duodeno – adventícia . Todo o resto do ID – serosa .
  • 46.
    Drenagem linfática Capilareslinfáticos de fundo cego - no eixo das vilosidades  plexo linfático na lamina própria  ducto torácico  junção da veia jugular interna e subclávia D. Drenagem vascular Capilares adjacentes aos canais lactíferos  vasos sangüíneos do plexo submucoso  veia porta  fígado Suprimento linfático e vascular do ID
  • 47.
    INTESTINO GROSSO Colo,ceco e reto não possui diferenças histológicas Função Absorver água e ELT do quimo e compactá-lo em fezes.
  • 48.
    Mucosa Ausência devilosidades Criptas de Lieberkühn sem células de Paneth Renovação celular a cada 7 dias INTESTINO GROSSO
  • 49.
    INTESTINO GROSSO Célulasabsortivas numerosas Número de células caliciformes aumenta do ceco para sigmóide
  • 50.
    Lâmina própria, muscular da mucosa e submucosa Semelhantes às do intestino delgado LP – abundantes nódulos linfóides
  • 51.
    Muscular Circular interna Longitudinal externa – mais delgada exceto por 3 espessamentos tênias do colo O tônus mantido pelas tênias do colo pregueia o intestino grosso em sacos haustra coli (saculações) Serosa Bolsas cheias de gordura - apêndices epiplóicos
  • 52.
    Canal anal Continuaçãomais estreita do reto 3 a 4 cm de comprimento Mucosa com pregas longitudinais Colunas anais de Morgagni Evaginações em forma de bolsa Válvas anais As válvulas anais ajudam o ânus a sustentar a coluna de fezes RETO e CANAL ANAL
  • 53.
    Epitélio Simples cúbico - do reto a linha pectínea Estratificado pavimentoso não-queratinizado - da linha pectínea ao orifício anal externo Estratificado pavimentoso queratinizado (epiderme) - no ânus. Lâmina própria TC fibroelástico Glândulas anais na junção reto-anal Glândulas circumanais no canal anal distal. RETO e CANAL ANAL
  • 54.
    Submucosa emuscular externa TC fibroelástico Abriga dois plexos venosos: hemorroidário interno , acima da linha pectínea e hemorroidário externo , na junção do canal anal com o orifício externo - ânus. Muscular Circular interna e longitudinal externa. Circular interna forma o esfíncter interno do ânus ao nível da linha pectínea . Músculos esqueléticos do assoalho da pelve formam o esfíncter muscular anal externo - está sob controle voluntário e mostra um tônus constante. RETO e CANAL ANAL
  • 55.
    APÊNDICE VERMIFORME Divertículodo ceco, com 5 a 6 cm de comprimento, com luz em forma de estrela. Histologia semelhante ao colo, exceto por: Elementos linfóides abundantes. Mais células do SNED nas criptas de Lieberkuh. Ausência de tênias.
  • 56.