Universidade do Vale do Sapucaí 
Tecido Conjuntivo 
Trabalho apresentado 
a Profª Marilda 
Laraia, na disciplina 
Prática de Ensino, 
pelos alunos: 
Bianca Oliveira 
Márcia Aparecida 
Thalita Maciel 
Thiago Aparecido 
POUSO ALEGRE – Mg 
Novembro/2013
Cada um de nós é fisicamente único, desde a forma de nossa pele até o tamanho e o formato dos nossos 
órgãos. 
O que temos em comum é um milagroso conjunto de sistema internos, cada qual com sua própria e precisa 
regra de funcionamento 
Níveis de Organização
O que é um Tecido? 
Um Conjunto de Células integradas que 
desenvolvem uma determinada função. 
Tipos: 
 Tecido Epitelial 
 Tecido Conjuntivo 
 Tecido Muscular 
 Tecido Nervoso
Estrutura do Tecido Conjuntivo 
1. Células; 
2. Fibras; 
3. SFA. 
Matriz 
Extracelular
1 - As Células do Conjuntivo 
Fibroblasto 
 Sua função é formar a substância Fundamental Amorfa; 
 Contém longos e finos prolongamentos citoplasmáticos e núcleos grandes; 
 Sintetiza o Colágeno; 
 Também responsáveis pela regeneração.
1- As Células do Conjuntivo 
Macrófago 
 Células de grande dimensão, ovóide, longos prolongamentos 
citoplasmáticos e muitos lisossomos; 
 Responsável pela fagocitose e pinocitose; 
 Remove restos celulares e combate organismos invasores.
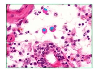
1 - As Células do Conjuntivo 
Mastócito 
 Contém em seu interior grande quantidade de grânulos cheios de 
histamina e heparina. 
 Sua principal função é de desencadear a reação alérgica. 
 Também possui papel de proteção, estando presentes no saramento de 
feridas e defesa de organismos patogênicos.
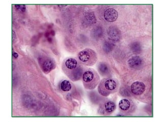
As Células do Conjuntivo 
Plasmócito 
 Aspecto Ovóide; 
 Núcleo proeminente; 
 Sua função é produzir anticorpos contra sustâncias e organismos 
estranhos que invadem o tecido conjuntivo; 
 Mais comum em locais sujeitos a penetração de bactérias, como no 
intestino e a pele.
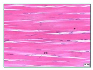
2 - As Fibras do Conjuntivo 
Colágenas 
 São compostas pela proteína colágeno; 
 Formam feixes de fibras brancas; 
 São grossas e resistentes e se distende pouco quando tensionadas; 
 Localizam-se em tendões e em volta de músculos ou nervos; 
 Presente na derme para conferir resistência.
2 - As Fibras do Conjuntivo 
Elásticas 
 São longos fios de uma proteínas chamada Elastina; 
 Conferem elasticidade ao tecido conjuntivo frouxo; 
 Completa a resistência das fibras colágenas; 
 O Envelhecimento.
2 - As Fibras do Conjuntivo 
Reticulares 
 São ramificadas e formam um trançado firme que liga o tecido conjuntivo 
aos tecidos vizinhos; 
 São contituídas por um tipo especial de colágeno e formam fibras mais 
finas.
3 - A Substância Fundamental Amorfa 
 Circunda as células e as fibras do tecido conjuntivo. 
 É um complexo viscoso e altamente hidrofílico;
Divisão do Tecido Conjuntivo
O Tecido Conjuntivo Propriamente dito 
Frouxo 
Funções: 
 Preenchimento e proteção a atritos; 
 Imunológica; 
 Nutrição; 
 Envolve nervos e vasos sanguíneos; 
 Maior distribuição no corpo humano; 
 Fibroplasia
O Tecido Conjuntivo Propriamente dito 
Denso Modelado 
 Predomínio de Fibroblastos e Colágeno; 
 Fibras organizadas de maneira paralela; 
 Formam os tendões e ligamentos; 
 A Tendinite; 
 A Vitamina C.
O Tecido Conjuntivo Propriamente dito 
Denso Não- Modelado 
 Predomínio de Fibroblastos e Colágeno; 
 Fibras distribuídas de forma não organizada; 
 Formam a Derme; 
 As estrias.
O Tecido Conjuntivo Propriamente dito 
Adiposo 
 Os Adipócitos; 
 Reserva de energia na forma de energia; 
 Proteção contra choques; 
 Isolamento Térmico.
O Tecido Conjuntivo de Sustentação 
Cartilaginoso 
• Consistência Rígida, não tanto quanto o ósseo,possuindo uma certa 
flexibilidade; 
• A importância no crescimento dos ossos; 
• Amortecimento; 
• Reveste as articulações; 
• Ausência de vasos sanguíneos; 
• Principal constituinte dos ossos no feto e no recém-nascido, 
futuramente se diferenciando em tecido ósseo; 
• Onde são encontrados; 
• A doença na cartilagem.
Tecido Conjuntivo de Sustentação 
Ósseo 
 Tecido mais resistente do nosso organismo; 
 Responsável pela formação do esqueleto; 
 Sustentação muscular; 
 Alavancagem;o movimento; 
 Proteção; 
 A vitamina D; 
 A Osteoporose no homem moderno; 
 A Coca-Cola e a descalcificação dos ossos.
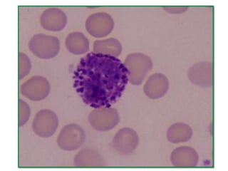
Tecido Conjuntivo de Transporte 
Sanguíneo 
 Parte Sólida; 
 Parte Líquida: Plasma; 
 Cerca de 5 Litros de sangue no organismo 
 Sua função é de transportar substâncias e defender o organismo; 
 Hemácias, Leucócitos e Plaquetas; 
 A Proteína Hemoglobina; 
 A Medula óssea; 
 A Leucemia e a Anemia falciforme.
Exercícios 
O esquema abaixo mostra alguns dos componentes do tecido conjuntivo frouxo: 
Assinale a alternativa correta em relação ao tecido conjuntivo frouxo. 
a) Nele não ocorre vascularização. 
b) Ele apresenta distribuição corporal restrita 
c) A célula marcada com a seta 1 é um fibroblasto. 
d) A célula marcada com a seta 2 é uma hemácia. 
e) As fibras assinaladas com as setas 3 são de actina e miosina.
Exercícios 
 Qual é o Tecido responsável pelo preenchimento entre os órgãos? 
Tecido Conjuntivo Frouxo 
 Qual a fibra do tecido conjuntivo que é composta pela proteína de maior 
abundância no reino animal? 
Fibra Colágena 
 Quais são os dois tipos de tecido conjuntivo de sustentação? 
Tecido Conjuntivo Cartilaginoso e Ósseo
Exercícios 
• Qual o tecido conjuntivo que forma os tendões? 
Tecido Conjuntivo Denso Modelado 
• Que tipo de tecido conjuntivo é importante para reserva de energia e 
isolamento térmico? 
Tecido Conjuntivo Adiposo 
• Qual a principal função do tecido conjuntivo sanguíneo? 
Transportar substâncias

Tecido conjuntivo

  • 1.
    Universidade do Valedo Sapucaí Tecido Conjuntivo Trabalho apresentado a Profª Marilda Laraia, na disciplina Prática de Ensino, pelos alunos: Bianca Oliveira Márcia Aparecida Thalita Maciel Thiago Aparecido POUSO ALEGRE – Mg Novembro/2013
  • 2.
    Cada um denós é fisicamente único, desde a forma de nossa pele até o tamanho e o formato dos nossos órgãos. O que temos em comum é um milagroso conjunto de sistema internos, cada qual com sua própria e precisa regra de funcionamento Níveis de Organização
  • 3.
    O que éum Tecido? Um Conjunto de Células integradas que desenvolvem uma determinada função. Tipos:  Tecido Epitelial  Tecido Conjuntivo  Tecido Muscular  Tecido Nervoso
  • 4.
    Estrutura do TecidoConjuntivo 1. Células; 2. Fibras; 3. SFA. Matriz Extracelular
  • 5.
    1 - AsCélulas do Conjuntivo Fibroblasto  Sua função é formar a substância Fundamental Amorfa;  Contém longos e finos prolongamentos citoplasmáticos e núcleos grandes;  Sintetiza o Colágeno;  Também responsáveis pela regeneração.
  • 7.
    1- As Célulasdo Conjuntivo Macrófago  Células de grande dimensão, ovóide, longos prolongamentos citoplasmáticos e muitos lisossomos;  Responsável pela fagocitose e pinocitose;  Remove restos celulares e combate organismos invasores.
  • 9.
    1 - AsCélulas do Conjuntivo Mastócito  Contém em seu interior grande quantidade de grânulos cheios de histamina e heparina.  Sua principal função é de desencadear a reação alérgica.  Também possui papel de proteção, estando presentes no saramento de feridas e defesa de organismos patogênicos.
  • 11.
    As Células doConjuntivo Plasmócito  Aspecto Ovóide;  Núcleo proeminente;  Sua função é produzir anticorpos contra sustâncias e organismos estranhos que invadem o tecido conjuntivo;  Mais comum em locais sujeitos a penetração de bactérias, como no intestino e a pele.
  • 13.
    2 - AsFibras do Conjuntivo Colágenas  São compostas pela proteína colágeno;  Formam feixes de fibras brancas;  São grossas e resistentes e se distende pouco quando tensionadas;  Localizam-se em tendões e em volta de músculos ou nervos;  Presente na derme para conferir resistência.
  • 14.
    2 - AsFibras do Conjuntivo Elásticas  São longos fios de uma proteínas chamada Elastina;  Conferem elasticidade ao tecido conjuntivo frouxo;  Completa a resistência das fibras colágenas;  O Envelhecimento.
  • 15.
    2 - AsFibras do Conjuntivo Reticulares  São ramificadas e formam um trançado firme que liga o tecido conjuntivo aos tecidos vizinhos;  São contituídas por um tipo especial de colágeno e formam fibras mais finas.
  • 17.
    3 - ASubstância Fundamental Amorfa  Circunda as células e as fibras do tecido conjuntivo.  É um complexo viscoso e altamente hidrofílico;
  • 18.
  • 19.
    O Tecido ConjuntivoPropriamente dito Frouxo Funções:  Preenchimento e proteção a atritos;  Imunológica;  Nutrição;  Envolve nervos e vasos sanguíneos;  Maior distribuição no corpo humano;  Fibroplasia
  • 20.
    O Tecido ConjuntivoPropriamente dito Denso Modelado  Predomínio de Fibroblastos e Colágeno;  Fibras organizadas de maneira paralela;  Formam os tendões e ligamentos;  A Tendinite;  A Vitamina C.
  • 22.
    O Tecido ConjuntivoPropriamente dito Denso Não- Modelado  Predomínio de Fibroblastos e Colágeno;  Fibras distribuídas de forma não organizada;  Formam a Derme;  As estrias.
  • 24.
    O Tecido ConjuntivoPropriamente dito Adiposo  Os Adipócitos;  Reserva de energia na forma de energia;  Proteção contra choques;  Isolamento Térmico.
  • 26.
    O Tecido Conjuntivode Sustentação Cartilaginoso • Consistência Rígida, não tanto quanto o ósseo,possuindo uma certa flexibilidade; • A importância no crescimento dos ossos; • Amortecimento; • Reveste as articulações; • Ausência de vasos sanguíneos; • Principal constituinte dos ossos no feto e no recém-nascido, futuramente se diferenciando em tecido ósseo; • Onde são encontrados; • A doença na cartilagem.
  • 28.
    Tecido Conjuntivo deSustentação Ósseo  Tecido mais resistente do nosso organismo;  Responsável pela formação do esqueleto;  Sustentação muscular;  Alavancagem;o movimento;  Proteção;  A vitamina D;  A Osteoporose no homem moderno;  A Coca-Cola e a descalcificação dos ossos.
  • 29.
    Tecido Conjuntivo deTransporte Sanguíneo  Parte Sólida;  Parte Líquida: Plasma;  Cerca de 5 Litros de sangue no organismo  Sua função é de transportar substâncias e defender o organismo;  Hemácias, Leucócitos e Plaquetas;  A Proteína Hemoglobina;  A Medula óssea;  A Leucemia e a Anemia falciforme.
  • 30.
    Exercícios O esquemaabaixo mostra alguns dos componentes do tecido conjuntivo frouxo: Assinale a alternativa correta em relação ao tecido conjuntivo frouxo. a) Nele não ocorre vascularização. b) Ele apresenta distribuição corporal restrita c) A célula marcada com a seta 1 é um fibroblasto. d) A célula marcada com a seta 2 é uma hemácia. e) As fibras assinaladas com as setas 3 são de actina e miosina.
  • 31.
    Exercícios  Qualé o Tecido responsável pelo preenchimento entre os órgãos? Tecido Conjuntivo Frouxo  Qual a fibra do tecido conjuntivo que é composta pela proteína de maior abundância no reino animal? Fibra Colágena  Quais são os dois tipos de tecido conjuntivo de sustentação? Tecido Conjuntivo Cartilaginoso e Ósseo
  • 32.
    Exercícios • Qualo tecido conjuntivo que forma os tendões? Tecido Conjuntivo Denso Modelado • Que tipo de tecido conjuntivo é importante para reserva de energia e isolamento térmico? Tecido Conjuntivo Adiposo • Qual a principal função do tecido conjuntivo sanguíneo? Transportar substâncias