Histologia Animal Professor Rodrigo Nogueira
 
TECIDOS ANIMAIS
 
Principais funções dos tecidos epiteliais Revestimento  – ex: epiderme. Absorção  – ex: túbulos renais. Secreção  –ex: glândulas.
Características gerais dos epitélios Justaposição das células e pouca matriz extracelular; ausência de vasos sanguíneos; Funções: revestimento, absorção e secreção; Origem diversificada: Ectoderma – epiderme. Mesoderma – epitélio urogenital. Endoderma – epitélio respiratório.
TIPOS DE EPITÉLIOS DE REVESTIMENTO
Tecido Epitelial
EPITÉLIOS GLANDULARES
NUTRIÇÃO DAS CÉLULAS EPITELIAIS Entre o epitélio e o tecido conjuntivo existe uma camada acelular, constituída por colágeno e glicoproteínas. Trata-se da  lâmina basal , essa membrana serve de suporte e permite a passagem de nutrientes.
Junções Celulares Principais estruturas de adesão:
Junções comunicantes tipo gap (fenda)
DIFERENCIAÇÕES DA MEMBRANA PLASMÁTICA DE CÉLULAS EPITELIAIS Microvilosidades  – função de aumentar a superfície. Epitélio de revestimento interno do intestino delgado. Cílios  – função de deslocamento de partículas. Epitélio da traquéia. Zônula  de oclusão, zônula de adesão, desmossomo e junções tipo gap – função de reforçar união entre células adjacentes.
Pele Humana
Pêlos e glândulas sebáceas – anexos epiteliais
Epitélio da bexiga
Epitélio da traquéia
Tipos de glândulas Exócrina  – porção secretora associada a ductos que eliminam a secreção fora do corpo ou dentro de cavidades. Ex: sebáceas, sudoríparas, lacrimais, salivares e mamárias; Endócrina  – não possui ductos de eliminação e, sua secreção  é eliminada para vasos sanguíneos. Ex: hipófise, tireóide, ovários; Mista  – apresenta regiões endócrinas e exócrinas ao mesmo tempo. Ex: pâncreas.
GLÂNDULAS EXÓCRINAS: secreção fora da circulação Sudoríparas Sebáceas Salivares Lacrimais Gástricas e etc.
GLÂNDULAS ENDÓCRINAS: secreção diretamente na circulação HIPÓFISE TIREÓIDE PÂNCREAS SUPRA-RENAIS TESTÍCULOS OVÁRIOS
Glândula salivar - multicelular
Glândula caliciforme do intestino - unicelular
 
Merócrinas   Holócrinas   Apócrinas
HISTOLOGIA ANIMAL – TECIDOS CONJUNTIVOS (origem mesodérmica)
CARACTERÍSTICAS GERAIS   Apresentam uma grande variedade de células; São vascularizados e possuem alta capacidade de regeneração; Formados por substancias  amorfas + fibras.
CARACTERÍSTICAS GERAIS S ubstâncias amorfas Fibras água, polissacarídeos e proteínas colágenas  (colágeno) alta resistência à tração e a mais abundante;  elásticas  (elastina) cedem á tração pela elasticidade;  reticulares  (reticulina) constituem órgãos hematopoiéticos.
FUNÇÕES Sustentação, conexão, preenchimento, transporte e nutrição, armazenamento e defesa.
CONSTITUIÇÃO CELULAR DOS TECIDOS CONJUNTIVOS células mesenquimatosas : fornecem tipos celulares específicos (exceto macrófagos e plasmócitos) de acordo com a necessidade do organismo. fibroblastos : síntese de proteínas necessárias à organização e manutenção da substância intercelular. macrófagos : protege o tecido de agentes externos (fagocitose e pinocitose). mastócitos : produzem heparina (anticoagulante) e histamina (vasodilatador). plasmócitos : produzem anticorpos. adiposas : armazenamento de lipídios.
CLASSIFICAÇÃO DOS TECIDOS CONJUNTIVOS: TECIDOS CONJUNTIVOS PROPRIAMENTE DITOS TECIDOS CONJUNTIVOS DE TRANSPORTE TECIDOS CONJUNTIVOS DE SUSTENTAÇÃO 1  FROUXO 2  DENSO 3  ADIPOSO 4  HEMATOCITO -  POIÉTICO 5  SANG U ÍNEO 6  LINFÁTICO 7  ÓSSEO 8  CARTILAGI - NO S O
TECIDOS CONJUNTIVOS PROPRIAMENTE DITOS
TECIDO CONJUNTIVO PROPRIAMENTE DITO FROUXO   Substância intercelular e amorfa abundantes, com poucas fibras frouxamente distribuídas. Nesse tecido estão presentes todos os tipos celulares típicos do tecido conjuntivo. Funções: preenchimento entre os órgãos viscerais; envolvimento de nervos e vasos sanguíneos e linfáticos;   cicatrização de tecidos lesados.
TECIDO CONJUNTIVO PROPRIAMENTE DITO DENSO É pobre em substância intercelular e amorfa, porém relativamente rico em fibras,  principalmente colágenas . A célula mais freqüente são os fibroblastos. CLASSIFICAÇÃO: não-modelado  (fibras colágenas difusas): derme, periósteo, pericôndrio e nas cápsulas que revestem órgãos como rins e o fígado. modelado  (fibras colágenas ordenadas formam feixes compactos e paralelos): tendões e derme.
TECIDO CONJUNTIVO   PROPRIAMENTE DITO  DENSO
TECIDO CONJUNTIVO PROPRIAMENTE DITO ADIPOSO Rico em  adipócitos , tem a função de armazenar lipídios. Em aves e mamíferos, formam uma tela subcutânea (hipoderme). Atua, também, como isolante térmico.
TECIDO CONJUNTIVO PROPRIAMENTE DITO HEMATOPOIÉTICO Produz células típicas do sangue e da linfa. CLASSIFICAÇÃO: mielóide : encontra-se na medula óssea vermelha e produz hemácias, certos leucócitos e plaquetas. linfóide : encontra-se em órgãos linfáticos e em órgãos como os das vias respiratórias e do aparelho digestivo. Produz monócitos e linfócitos.
TECIDO CONJUNTIVO PROPRIAMENTE DITO HEMATOPOIÉTICO
TECIDOS CONJUNTIVOS DE TRANSPORTE
Tecido Sanguíneo Sangu e Plasma 55% Constituintes celulares 45% 90% água  10% substâncias dissolvidas leucócitos hemácias trombócitos
Plasma sanguíneo   É constituído por água (95%), nutrientes e gases (O 2  e CO 2 ). O plasma, para além de transportar estas substâncias, transporta as células sanguíneas.
Glóbulos vermelhos  ( eritrócitos  ou  hemácias )   U nidades morfológicas do sangue, constituídas basicamente por globulina e hemoglobina e a sua função é transportar o  oxigênio  (principalmente) e o gás carbônico (em menor quantidade) aos tecidos.  V ivem  cerca de  120 dias.
L eucócitos   (do gr. l euco  =   “branco” e cito  =  “célula” )   S ão as células de defesa do organismo  ( sistema imunológico )  que destroem os agentes estranhos, por exemplo, as bactérias, os vírus e as substâncias tóxicas que atacam o nosso organismo e causam infecções ou outras doenças . No sangue, há de vários tipos, de diferentes formatos, tamanhos e formas de núcleo.  Eles são:  neutrófilos, monócitos, basófilos, eusinófilos, linfócitos .
L eucócitos   (d e 4.000 a 11.000 glóbulos brancos por mm 3 ) GRANUL Ó CITOS : Eosinófilos - aumentam seu número e se ativam   na presença de certas infecções e alergias; Basófilos - segregam substâncias como a heparina, de propriedades anticoagulantes, e a histamina; Neutrófilos - Que fagocitam e destroem bactérias; AGRANUL Ó CITOS: Linfócitos - desempenham um papel importante na produção de anticorpos e na imunidade celular; Monócitos - digerem substâncias estranhas  e restos de células do corpo .
Leucócitos – Glóbulos Brancos Neutrófilos: São os mais numerosos, cerca de 55 a 65% do total  de leucócitos. Eosinófilos:   Participam de reações alérgicas
Leucócito Granulócito Basófilos: Relacionado a processos alérgicos  e inflamatórios. Libera heparina (anti-coagulante).
Leucócitos Agranulócitos Linfócitos (T e B):   Sua função é garantir imunidade aos organismos. São responsáveis pelas respostas  de base celulares, relacionadas à  rejeição de enxertos
Leucócitos Agranulócitos Monócitos:  Ativamente móveis, os monócitos saem da circulação sanguínea para chegar ao tecido conjuntivo, tornando-se  macrófagos . São ativos na fagocitose de microorganismos patogênicos.
L eucócitos  -  DIAPEDESE Passagem dos leucócitos dos capilares sanguíneos para o tecido conjuntivo. Faz-se por atravessamento da parede do capilar. Este processo geralmente ocorre quando uma área é danificada e o processo de inflamação é necessário.
Plaquetas ( tromb ó citos) F ragmentos celulares ,  bem menores que as células sanguíneas,  que  atuam na coagulação do sangue.
Plaquetas –  C oagulação  sanguínea
Tecido linf á tico A linfa é um líquido contido  nos  vasos especiais denominados linfáticos e só circula no sentido periferia para o coração.   Sistema Linfático ,  paralelo ao circulatório,  é  constituído por uma vasta rede de linfáticos, que se distribuem por todo o corpo e recolhem o líquido tissular que não retornou aos capilares sang u íneos, filtrando-o e reconduzindo-o à circulação sang u ínea. É constituído pela linfa, vasos e órgãos linfáticos  (timo, baço e linfonodos –  inguas ) .
Tecido  linf á tico D renar o excesso de líquido intersticial (líquido onde as células) afim de devolvê-lo ao sangue e assim manter o equilíbrio dos fluidos no corpo.  R ealização de respostas imunes, ele impede que a linfa lance microorganismos na corrente sanguínea através da retenção e destruição destes dentro de seus linfonodos.
TECIDOS CONJUNTIVOS DE SUSTENTAÇ ÃO
TECIDO CARTILAGINOSO Matriz sólida e firme com alguma flexibilidade. Avascularizado, sem nervos e vasos linfáticos. Metabolismo baixo. Funções:  Suporte dos tecidos moles. Revestimento das superfícies articulares. Age na formação e crescimento dos ossos longos.  
TECIDO CARTILAGINOSO Elementos integrantes C A R T I L A G E M CÉLULAS Condroblastos (cél. jovens) Condrócitos (cél. adultas) MATRIZ Colágeno Elastina Substancias amorfas
TIPOS DE CARTILAGEM: Tipo de cartilagem Tipo de fibra Ocorrencia  Hialina (+ comum) 40% colagena (moderada) Nariz, laringe, tra-quéia, brônquios, costelas e ossos longos. Abundante em fetos. Elastica (resistente a tensao) Elastica (abundante) e colagena Epiglote, orelha externa, tubas auditivas e laringe. Fibrosa (+ resistente) Colagena (abundante) Discos intervertebrais, articulações, partes dos tendões que se inserem na cartilagem.
Cartilagem Hialina  (gr.  vidro )
Cartilagem elástica
Cartilagem Fibrosa RER
Pericôndrio Condroblastos Condrócitos no interior de condroplastos
TECIDO ÓSSEO Proteção.  Sustentação.  Sistema de alavancas.  Produção de células sangüíneas.  Armazenamento de íons cátions.
TECIDO ÓSSEO Osteoblastos:  Células jovens (funcional  – produz fibras ) Osteócitos:  Células adultas (formação  – constitui o tecido )  Osteoclastos:  Remoção do tecido ósseo  Osteoplastos:  Membrana que envolve os osteócitos. Os canais encontrados nos ossos são :  HORIZONTAL:  CANAIS DE VOLKMANN VERTICAL:  CANAIS DE HAVERS
ESTRUTURA DO OSSO Conduzir vasos sanguíneos
TECIDO ÓSSEO Célula osteoprogenitora (desenvolve-se em osteoblasto) Osteoblasto   (forma o tecido ósseo) Osteócito Osteoclasto
Tecido Conjuntivo Ósseo É composto pela  matriz óssea , por  células , pelo  periósteo  e pelo  endósteo .  Matriz óssea: Orgânica e Inorgânica
Tecido Conjuntivo Ósseo O  endósteo  é formado por fibras reticulares e osteoblastos.  O  periósteo  é composto pela camada fibrosa, mais interna, e pela camada osteogênica, mais externa. Ele se encontra aderido à superfície externa da diáfise do osso.
Ossificação Endocondral
Ossificação Endocondral
 
 
 
OSTEOPOROSE
Tecido Muscular Tipos de fibras musculares: Disco intercalar
 
Tecido Muscular
Fibra muscular (miofibrilas)
Histologia Animal Estrutura de uma Miofibrila: Feixes protéicos sobrepostos de  Actina  e  Miosina . Unidade estrutural:  Sarcômero . Teoria dos Filamentos Deslizantes  (Huxley)  para a Contração Muscular: deslizamento das fibras de Actina sobre as de Miosina  (com gasto de energia e de sais minerais como Ca ++ , Mg ++  e K + ) .
Figura: Contração Muscular.
Histologia Animal Energia para a Contração Muscular: Fonte primária de energia:  ATP  (Respiração Celular ou Fermentação Láctica) . Reposição imediata do ATP:  Creatina-Fosfato  ou  CP . Reserva energética primária: Glicogênio  (polissacarídeo de reserva animal encontrado nos músculos) . Reserva energética secundária: Lipídios  (Gorduras) .
 
A função muscular Capacidade oxidativa; Mitocôndrias – produção aeróbia de ATP. Capilarização – fornecimento de oxigênio. Mioglobina – carreador de oxigênio. Tipo de ATPase De acordo com a velocidade de degradação do ATP.
 
 
Adaptações Musculares HIPERTROFIA MUSCULAR Pré-treino Pós-treino
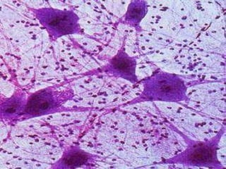
Tecido N ervoso Célula nervosa = neurônio
Neuróglias Astrócitos   (for,a estrelada): nutrição e sustentação dos neurônios. Micróglia: defesa e limpesa dos neurônios. Oligodendrócitos  (poucas ramificações):  produzem a bainha de mielina dos neurônios.
(SNP)
 
 
 
Células   da Neuróglia – Sistema Nervoso Central ASTRÓCIOTO Capilar OLIGODENDRÓCITO Bainha de mielina Microgliócitos Céls. ependimárias
Histologia Animal Impulso Nervoso:  Propagação de uma  “ onda ”  de despolarização ao longo da membrana plasmática de um neurônio devido ao transporte ativo de íons  (com gasto de ATP) . Sentido do Impulso Nervoso: Dendrito   Corpo Celular   Axônio
Figura à Esquerda: Sentido de Condução do Impulso Nervoso Figura à Direita: Detalhe da Bainha de Mielina ao redor de um Axônio.
Figura: Liberação de Neurotransmissores em uma Sinapse.
 
Foto: Corte Longitudinal do Córtex Cerebral
 
Histologia Animal Tipos de Neurônios: Sensoriais ou aferentes : conduzem impulsos dos receptores de estímulos ambientais ou internos para o sistema nervoso central  (cérebro, medula) . Efetuadores, motores ou eferentes : conduzem impulsos do sistema nervoso central aos órgãos efetuadores de respostas, tais como músculos ou glândulas. Associativos   (ou interneurônios) : estabelecem a ligação entre os dois tipos precedentes  (não são obrigatórios; em certos casos a conexão é direta) .
Histologia Animal Nervo: feixe de prolongamentos de neurônios  (axônios, dendritos ou ambos) , como fios reunidos num cabo elétrico, localizado fora das partes centrais do sistema nervoso. Gânglio Nervoso: dilatação que contém corpos celulares de neurônios, situada em um nervo, fora das partes centrais do sistema nervoso.
Figura: Estrutura de um Nervo e de Gânglios Nervosos.

Histologia Animal

  • 1.
  • 2.
  • 3.
  • 4.
  • 5.
    Principais funções dostecidos epiteliais Revestimento – ex: epiderme. Absorção – ex: túbulos renais. Secreção –ex: glândulas.
  • 6.
    Características gerais dosepitélios Justaposição das células e pouca matriz extracelular; ausência de vasos sanguíneos; Funções: revestimento, absorção e secreção; Origem diversificada: Ectoderma – epiderme. Mesoderma – epitélio urogenital. Endoderma – epitélio respiratório.
  • 7.
    TIPOS DE EPITÉLIOSDE REVESTIMENTO
  • 8.
  • 9.
  • 10.
    NUTRIÇÃO DAS CÉLULASEPITELIAIS Entre o epitélio e o tecido conjuntivo existe uma camada acelular, constituída por colágeno e glicoproteínas. Trata-se da lâmina basal , essa membrana serve de suporte e permite a passagem de nutrientes.
  • 11.
    Junções Celulares Principaisestruturas de adesão:
  • 12.
  • 13.
    DIFERENCIAÇÕES DA MEMBRANAPLASMÁTICA DE CÉLULAS EPITELIAIS Microvilosidades – função de aumentar a superfície. Epitélio de revestimento interno do intestino delgado. Cílios – função de deslocamento de partículas. Epitélio da traquéia. Zônula de oclusão, zônula de adesão, desmossomo e junções tipo gap – função de reforçar união entre células adjacentes.
  • 14.
  • 15.
    Pêlos e glândulassebáceas – anexos epiteliais
  • 16.
  • 17.
  • 18.
    Tipos de glândulasExócrina – porção secretora associada a ductos que eliminam a secreção fora do corpo ou dentro de cavidades. Ex: sebáceas, sudoríparas, lacrimais, salivares e mamárias; Endócrina – não possui ductos de eliminação e, sua secreção é eliminada para vasos sanguíneos. Ex: hipófise, tireóide, ovários; Mista – apresenta regiões endócrinas e exócrinas ao mesmo tempo. Ex: pâncreas.
  • 19.
    GLÂNDULAS EXÓCRINAS: secreçãofora da circulação Sudoríparas Sebáceas Salivares Lacrimais Gástricas e etc.
  • 20.
    GLÂNDULAS ENDÓCRINAS: secreçãodiretamente na circulação HIPÓFISE TIREÓIDE PÂNCREAS SUPRA-RENAIS TESTÍCULOS OVÁRIOS
  • 21.
    Glândula salivar -multicelular
  • 22.
    Glândula caliciforme dointestino - unicelular
  • 23.
  • 24.
    Merócrinas Holócrinas Apócrinas
  • 25.
    HISTOLOGIA ANIMAL –TECIDOS CONJUNTIVOS (origem mesodérmica)
  • 26.
    CARACTERÍSTICAS GERAIS  Apresentam uma grande variedade de células; São vascularizados e possuem alta capacidade de regeneração; Formados por substancias amorfas + fibras.
  • 27.
    CARACTERÍSTICAS GERAIS Substâncias amorfas Fibras água, polissacarídeos e proteínas colágenas (colágeno) alta resistência à tração e a mais abundante; elásticas (elastina) cedem á tração pela elasticidade; reticulares (reticulina) constituem órgãos hematopoiéticos.
  • 28.
    FUNÇÕES Sustentação, conexão,preenchimento, transporte e nutrição, armazenamento e defesa.
  • 29.
    CONSTITUIÇÃO CELULAR DOSTECIDOS CONJUNTIVOS células mesenquimatosas : fornecem tipos celulares específicos (exceto macrófagos e plasmócitos) de acordo com a necessidade do organismo. fibroblastos : síntese de proteínas necessárias à organização e manutenção da substância intercelular. macrófagos : protege o tecido de agentes externos (fagocitose e pinocitose). mastócitos : produzem heparina (anticoagulante) e histamina (vasodilatador). plasmócitos : produzem anticorpos. adiposas : armazenamento de lipídios.
  • 30.
    CLASSIFICAÇÃO DOS TECIDOSCONJUNTIVOS: TECIDOS CONJUNTIVOS PROPRIAMENTE DITOS TECIDOS CONJUNTIVOS DE TRANSPORTE TECIDOS CONJUNTIVOS DE SUSTENTAÇÃO 1 FROUXO 2 DENSO 3 ADIPOSO 4 HEMATOCITO - POIÉTICO 5 SANG U ÍNEO 6 LINFÁTICO 7 ÓSSEO 8 CARTILAGI - NO S O
  • 31.
  • 32.
    TECIDO CONJUNTIVO PROPRIAMENTEDITO FROUXO   Substância intercelular e amorfa abundantes, com poucas fibras frouxamente distribuídas. Nesse tecido estão presentes todos os tipos celulares típicos do tecido conjuntivo. Funções: preenchimento entre os órgãos viscerais; envolvimento de nervos e vasos sanguíneos e linfáticos; cicatrização de tecidos lesados.
  • 33.
    TECIDO CONJUNTIVO PROPRIAMENTEDITO DENSO É pobre em substância intercelular e amorfa, porém relativamente rico em fibras, principalmente colágenas . A célula mais freqüente são os fibroblastos. CLASSIFICAÇÃO: não-modelado (fibras colágenas difusas): derme, periósteo, pericôndrio e nas cápsulas que revestem órgãos como rins e o fígado. modelado (fibras colágenas ordenadas formam feixes compactos e paralelos): tendões e derme.
  • 34.
    TECIDO CONJUNTIVO PROPRIAMENTE DITO DENSO
  • 35.
    TECIDO CONJUNTIVO PROPRIAMENTEDITO ADIPOSO Rico em adipócitos , tem a função de armazenar lipídios. Em aves e mamíferos, formam uma tela subcutânea (hipoderme). Atua, também, como isolante térmico.
  • 36.
    TECIDO CONJUNTIVO PROPRIAMENTEDITO HEMATOPOIÉTICO Produz células típicas do sangue e da linfa. CLASSIFICAÇÃO: mielóide : encontra-se na medula óssea vermelha e produz hemácias, certos leucócitos e plaquetas. linfóide : encontra-se em órgãos linfáticos e em órgãos como os das vias respiratórias e do aparelho digestivo. Produz monócitos e linfócitos.
  • 37.
    TECIDO CONJUNTIVO PROPRIAMENTEDITO HEMATOPOIÉTICO
  • 38.
  • 39.
    Tecido Sanguíneo Sangue Plasma 55% Constituintes celulares 45% 90% água 10% substâncias dissolvidas leucócitos hemácias trombócitos
  • 40.
    Plasma sanguíneo  É constituído por água (95%), nutrientes e gases (O 2 e CO 2 ). O plasma, para além de transportar estas substâncias, transporta as células sanguíneas.
  • 41.
    Glóbulos vermelhos ( eritrócitos ou hemácias )   U nidades morfológicas do sangue, constituídas basicamente por globulina e hemoglobina e a sua função é transportar o oxigênio (principalmente) e o gás carbônico (em menor quantidade) aos tecidos. V ivem cerca de 120 dias.
  • 42.
    L eucócitos (do gr. l euco = “branco” e cito = “célula” ) S ão as células de defesa do organismo ( sistema imunológico ) que destroem os agentes estranhos, por exemplo, as bactérias, os vírus e as substâncias tóxicas que atacam o nosso organismo e causam infecções ou outras doenças . No sangue, há de vários tipos, de diferentes formatos, tamanhos e formas de núcleo.  Eles são: neutrófilos, monócitos, basófilos, eusinófilos, linfócitos .
  • 43.
    L eucócitos (d e 4.000 a 11.000 glóbulos brancos por mm 3 ) GRANUL Ó CITOS : Eosinófilos - aumentam seu número e se ativam na presença de certas infecções e alergias; Basófilos - segregam substâncias como a heparina, de propriedades anticoagulantes, e a histamina; Neutrófilos - Que fagocitam e destroem bactérias; AGRANUL Ó CITOS: Linfócitos - desempenham um papel importante na produção de anticorpos e na imunidade celular; Monócitos - digerem substâncias estranhas e restos de células do corpo .
  • 44.
    Leucócitos – GlóbulosBrancos Neutrófilos: São os mais numerosos, cerca de 55 a 65% do total de leucócitos. Eosinófilos: Participam de reações alérgicas
  • 45.
    Leucócito Granulócito Basófilos:Relacionado a processos alérgicos e inflamatórios. Libera heparina (anti-coagulante).
  • 46.
    Leucócitos Agranulócitos Linfócitos(T e B): Sua função é garantir imunidade aos organismos. São responsáveis pelas respostas de base celulares, relacionadas à rejeição de enxertos
  • 47.
    Leucócitos Agranulócitos Monócitos: Ativamente móveis, os monócitos saem da circulação sanguínea para chegar ao tecido conjuntivo, tornando-se macrófagos . São ativos na fagocitose de microorganismos patogênicos.
  • 48.
    L eucócitos - DIAPEDESE Passagem dos leucócitos dos capilares sanguíneos para o tecido conjuntivo. Faz-se por atravessamento da parede do capilar. Este processo geralmente ocorre quando uma área é danificada e o processo de inflamação é necessário.
  • 49.
    Plaquetas ( trombó citos) F ragmentos celulares , bem menores que as células sanguíneas, que atuam na coagulação do sangue.
  • 50.
    Plaquetas – C oagulação sanguínea
  • 51.
    Tecido linf ático A linfa é um líquido contido nos vasos especiais denominados linfáticos e só circula no sentido periferia para o coração. Sistema Linfático , paralelo ao circulatório, é constituído por uma vasta rede de linfáticos, que se distribuem por todo o corpo e recolhem o líquido tissular que não retornou aos capilares sang u íneos, filtrando-o e reconduzindo-o à circulação sang u ínea. É constituído pela linfa, vasos e órgãos linfáticos (timo, baço e linfonodos – inguas ) .
  • 52.
    Tecido linfá tico D renar o excesso de líquido intersticial (líquido onde as células) afim de devolvê-lo ao sangue e assim manter o equilíbrio dos fluidos no corpo. R ealização de respostas imunes, ele impede que a linfa lance microorganismos na corrente sanguínea através da retenção e destruição destes dentro de seus linfonodos.
  • 53.
    TECIDOS CONJUNTIVOS DESUSTENTAÇ ÃO
  • 54.
    TECIDO CARTILAGINOSO Matrizsólida e firme com alguma flexibilidade. Avascularizado, sem nervos e vasos linfáticos. Metabolismo baixo. Funções: Suporte dos tecidos moles. Revestimento das superfícies articulares. Age na formação e crescimento dos ossos longos.  
  • 55.
    TECIDO CARTILAGINOSO Elementosintegrantes C A R T I L A G E M CÉLULAS Condroblastos (cél. jovens) Condrócitos (cél. adultas) MATRIZ Colágeno Elastina Substancias amorfas
  • 56.
    TIPOS DE CARTILAGEM:Tipo de cartilagem Tipo de fibra Ocorrencia Hialina (+ comum) 40% colagena (moderada) Nariz, laringe, tra-quéia, brônquios, costelas e ossos longos. Abundante em fetos. Elastica (resistente a tensao) Elastica (abundante) e colagena Epiglote, orelha externa, tubas auditivas e laringe. Fibrosa (+ resistente) Colagena (abundante) Discos intervertebrais, articulações, partes dos tendões que se inserem na cartilagem.
  • 57.
    Cartilagem Hialina (gr. vidro )
  • 58.
  • 59.
  • 60.
    Pericôndrio Condroblastos Condrócitosno interior de condroplastos
  • 61.
    TECIDO ÓSSEO Proteção. Sustentação. Sistema de alavancas. Produção de células sangüíneas. Armazenamento de íons cátions.
  • 62.
    TECIDO ÓSSEO Osteoblastos: Células jovens (funcional – produz fibras ) Osteócitos: Células adultas (formação – constitui o tecido ) Osteoclastos: Remoção do tecido ósseo Osteoplastos: Membrana que envolve os osteócitos. Os canais encontrados nos ossos são : HORIZONTAL: CANAIS DE VOLKMANN VERTICAL: CANAIS DE HAVERS
  • 63.
    ESTRUTURA DO OSSOConduzir vasos sanguíneos
  • 64.
    TECIDO ÓSSEO Célulaosteoprogenitora (desenvolve-se em osteoblasto) Osteoblasto (forma o tecido ósseo) Osteócito Osteoclasto
  • 65.
    Tecido Conjuntivo ÓsseoÉ composto pela matriz óssea , por células , pelo periósteo e pelo endósteo . Matriz óssea: Orgânica e Inorgânica
  • 66.
    Tecido Conjuntivo ÓsseoO endósteo é formado por fibras reticulares e osteoblastos. O periósteo é composto pela camada fibrosa, mais interna, e pela camada osteogênica, mais externa. Ele se encontra aderido à superfície externa da diáfise do osso.
  • 67.
  • 68.
  • 69.
  • 70.
  • 71.
  • 72.
  • 73.
    Tecido Muscular Tiposde fibras musculares: Disco intercalar
  • 74.
  • 75.
  • 76.
  • 77.
    Histologia Animal Estruturade uma Miofibrila: Feixes protéicos sobrepostos de Actina e Miosina . Unidade estrutural: Sarcômero . Teoria dos Filamentos Deslizantes (Huxley) para a Contração Muscular: deslizamento das fibras de Actina sobre as de Miosina (com gasto de energia e de sais minerais como Ca ++ , Mg ++ e K + ) .
  • 78.
  • 79.
    Histologia Animal Energiapara a Contração Muscular: Fonte primária de energia: ATP (Respiração Celular ou Fermentação Láctica) . Reposição imediata do ATP: Creatina-Fosfato ou CP . Reserva energética primária: Glicogênio (polissacarídeo de reserva animal encontrado nos músculos) . Reserva energética secundária: Lipídios (Gorduras) .
  • 80.
  • 81.
    A função muscularCapacidade oxidativa; Mitocôndrias – produção aeróbia de ATP. Capilarização – fornecimento de oxigênio. Mioglobina – carreador de oxigênio. Tipo de ATPase De acordo com a velocidade de degradação do ATP.
  • 82.
  • 83.
  • 84.
    Adaptações Musculares HIPERTROFIAMUSCULAR Pré-treino Pós-treino
  • 85.
    Tecido N ervosoCélula nervosa = neurônio
  • 86.
    Neuróglias Astrócitos (for,a estrelada): nutrição e sustentação dos neurônios. Micróglia: defesa e limpesa dos neurônios. Oligodendrócitos (poucas ramificações): produzem a bainha de mielina dos neurônios.
  • 87.
  • 88.
  • 89.
  • 90.
  • 91.
    Células da Neuróglia – Sistema Nervoso Central ASTRÓCIOTO Capilar OLIGODENDRÓCITO Bainha de mielina Microgliócitos Céls. ependimárias
  • 92.
    Histologia Animal ImpulsoNervoso: Propagação de uma “ onda ” de despolarização ao longo da membrana plasmática de um neurônio devido ao transporte ativo de íons (com gasto de ATP) . Sentido do Impulso Nervoso: Dendrito Corpo Celular Axônio
  • 93.
    Figura à Esquerda:Sentido de Condução do Impulso Nervoso Figura à Direita: Detalhe da Bainha de Mielina ao redor de um Axônio.
  • 94.
    Figura: Liberação deNeurotransmissores em uma Sinapse.
  • 95.
  • 96.
    Foto: Corte Longitudinaldo Córtex Cerebral
  • 97.
  • 98.
    Histologia Animal Tiposde Neurônios: Sensoriais ou aferentes : conduzem impulsos dos receptores de estímulos ambientais ou internos para o sistema nervoso central (cérebro, medula) . Efetuadores, motores ou eferentes : conduzem impulsos do sistema nervoso central aos órgãos efetuadores de respostas, tais como músculos ou glândulas. Associativos (ou interneurônios) : estabelecem a ligação entre os dois tipos precedentes (não são obrigatórios; em certos casos a conexão é direta) .
  • 99.
    Histologia Animal Nervo:feixe de prolongamentos de neurônios (axônios, dendritos ou ambos) , como fios reunidos num cabo elétrico, localizado fora das partes centrais do sistema nervoso. Gânglio Nervoso: dilatação que contém corpos celulares de neurônios, situada em um nervo, fora das partes centrais do sistema nervoso.
  • 100.
    Figura: Estrutura deum Nervo e de Gânglios Nervosos.