ANATOMIA SECCIONAL
DO ABDOME E PELVE



            Prof. Victor Ferreira Freitas
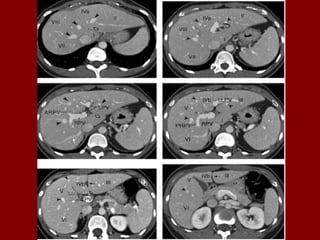
Ac    Colo ascendente
AP    Nível de ar fluido do estômago
Ao    Aorta
Az    Veia ázigo
CA    Tronco celíaco
cc    Cartilagem costa!
CD    Dueto cístico
CHA   Artéria hepática comum
CHD   Dueto comum
CL    Lobo caudado fígado
D     Diafragma
DBM   Músculos profundos do
De    Colo descendente
D2    Parte descendente do duodeno
D3     Parte horizontal do duodeno
E     Esôfago
FL    Ligamento falciforme
GB    Vesícula biliar
HA    Artéria hepática
Hz    Veia
IMV   Divisão da veia mesentérica inf.                                A
IVC   Veia cava inferior
LC    Ramo esq. do diafragma
LG    Glândula supra-renal esq.
LHV   Veia hepática esquerda
LIL   Lobo inf. Esq. do pulmão       LRV Veia renal esquerda
LK    Rim esquerdo                   LU  Ureter esquerdo
LL    Lobo esquerdo do fígado        MHV Veia hepática média
                                     P   Pâncreas
                                     PA  Antro pilórico do estômago
Ac    Colo ascendente
AP    Nível de ar fluido do estômago
Ao    Aorta
Az    Veia ázigo
CA    Tronco celíaco
cc    Cartilagem costa!
CD    Dueto cístico
CHA   Artéria hepática comum
CHD   Dueto comum
CL    Lobo caudado fígado
D     Diafragma
DBM   Músculos profundos do
De    Colo descendente
D2    Parte descendente do duodeno
D3     Parte horizontal do duodeno
E     Esôfago
FL    Ligamento falciforme
GB    Vesícula biliar
HA    Artéria hepática
Hz    Veia
IMV   Divisão da veia mesentérica inf.
IVC   Veia cava inferior                                              B
LC    Ramo esq. do diafragma
LG    Glândula supra-renal esq.
LHV   Veia hepática esquerda
LIL   Lobo inf. Esq. do pulmão       LRV Veia renal esquerda
LK    Rim esquerdo                   LU  Ureter esquerdo
LL    Lobo esquerdo do fígado        MHV Veia hepática média
                                     P   Pâncreas
                                     PA  Antro pilórico do estômago
Ac    Colo ascendente
AP    Nível de ar fluido do estômago
Ao    Aorta
Az    Veia ázigo
CA    Tronco celíaco
cc    Cartilagem costa!
CD    Ducto cístico
CHA   Artéria hepática comum
CHD   Ducto comum
CL    Lobo caudado fígado
D     Diafragma
DBM   Músculos para vertebrais
De    Colo descendente
D2    Parte descendente do duodeno
D3     Parte horizontal do duodeno
E     Esôfago
FL    Ligamento falciforme
GB    Vesícula biliar
HA    Artéria hepática
Hz    Veia
IMV   Divisão da veia mesentérica inf.                                C
IVC   Veia cava inferior
LC    Ramo esq. do diafragma
LG    Glândula supra-renal esq.
LHV   Veia hepática esquerda
LIL   Lobo inf. Esq. do pulmão       LRV Veia renal esquerda
LK    Rim esquerdo                   LU  Ureter esquerdo
LL    Lobo esquerdo do fígado        MHV Veia hepática média
                                     P   Pâncreas
                                     PA  Antro pilórico do estômago
Ac    Colo ascendente
AP    Nível de ar fluido do estômago
Ao    Aorta
Az    Veia ázigo
CA    Tronco celíaco
cc    Cartilagem costa!
CD    Dueto cístico
CHA   Artéria hepática comum
CHD   Dueto comum
CL    Lobo caudado fígado
D     Diafragma
DBM   Músculos profundos do
De    Colo descendente
D2    Parte descendente do duodeno
D3     Parte horizontal do duodeno
E     Esôfago
FL    Ligamento falciforme
GB    Vesícula biliar
HA    Artéria hepática
Hz    Veia
IMV   Divisão da veia mesentérica inf.                                D
IVC   Veia cava inferior
LC    Ramo esq. do diafragma
LG    Glândula supra-renal esq.
LHV   Veia hepática esquerda
LIL   Lobo inf. Esq. do pulmão       LRV Veia renal esquerda
LK    Rim esquerdo                   LU  Ureter esquerdo
LL    Lobo esquerdo do fígado        MHV Veia hepática média
                                     P   Pâncreas
                                     PA  Antro pilórico do estômago
PB    Corpo do pâncreas
PC    Confluência portal
PF    Gordura perirrenal
PH    Cabeça do pâncreas
PS    Músculo psoas
PT    Cauda do pâncreas
PU    Processo uncinado do pâncreas
PV(R) Ramo direito da veia porta
QL    Músculo quadrado do lombo
R     Costela
RA    Músculo reto do abdome
RC    Pilar direito do diafragma
RF    Gordura retroperitoneal
RG Glândula supra-renal dir.
RHV Veia hepática direita
RIL Lobo inf. do pulmão dir.
RK    Rim direito
RL    Lobo direito do fígado
RP    Pelve renal
RPV Veia porta
RRA Artéria renal direita             E
RRV Veia renal direita
RU    Ureter direito
S     Processo espinhoso
SA    Artéria esplênica
SC    Medula espinal               Sp     Baço
SF    Flexura esq. do colo         St     Estômago
SI    Intestino delgado            SV     Veia esplênica
SMA Artéria mesentérica sup.       Tc     Coto transverso
SMV Veia mesentérica sup.          TVP    Processo transverso
                                   Xp     Processo xifóide
PB    Corpo do pâncreas
PC    Confluência portal
PF    Gordura perirrenal
PH    Cabeça do pâncreas
PS    Músculo psoas
PT    Cauda do pâncreas
PU    Processo uncinado do pâncreas
PV(R) Ramo direito da veia porta
QL    Músculo quadrado do lombo
R     Costela
RA    Músculo reto do abdome
RC    Pilar direito do diafragma
RF    Gordura retroperitoneal
RG Glândula supra-renal dir.
RHV Veia hepática direita
RIL Lobo inf. do pulmão dir.
RK    Rim direito
RL    Lobo direito do fígado
RP    Pelve renal
RPV Veia porta
RRA Artéria renal direita             F
RRV Veia renal direita
RU    Ureter direito
S     Processo espinhoso
SA    Artéria esplênica
SC    Medula espinal               Sp     Baço
SF    Flexura esq. do colo         St     Estômago
SI    Intestino delgado            SV     Veia esplênica
SMA Artéria mesentérica sup.       Tc     Coto transverso
SMV Veia mesentérica sup.          TVP    Processo transverso
                                   Xp     Processo xifóide
G                                                                                                   H

PB    Corpo do pâncreas               R         Costela                      RP    Pelve renal
PC    Confluência portal              RA        Músculo reto do abdome       RPV   Veia porta
PF    Gordura perirrenal              RC        Pilar direito do diafragma   RRA   Artéria renal direita
PH    Cabeça do pâncreas              RF        Gordura retroperitoneal      RRV   Veia renal direita
PS    Músculo psoas                   RG        Glândula supra-renal dir.    RU    Ureter direito
PT    Cauda do pâncreas               RHV       Veia hepática direita        S     Processo espinhoso
PU    Processo uncinado do pâncreas   RIL       Lobo inf. do pulmão dir.     SA    Artéria esplênica
PV(R) Ramo direito da veia porta      RK        Rim direito                  SC    Medula espinal
QL    Músculo quadrado do lombo       RL        Lobo direito do fígado       SF    Flexura esq. do colo
               SI    Intestino delgado                   SV     Veia esplênica
               SMA   Artéria mesentérica sup.            Tc     Coto transverso
               SMV   Veia mesentérica sup.               TVP    Processo transverso
               Sp    Baço                                Xp     Processo xifóide
               St    Estômago
A
B
C
A
B
A
B
C
D
E
REVISÃO ANATOMIA
   SECCIONAL
ABDOME
ABDOME
ABDOME
ABDOME
ABDOME
ABDOME
ABDOME
Anatomia
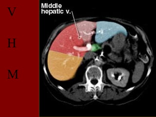
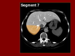
INCISÃO SOBRA A VEIA HEPÁTICA DIREITA
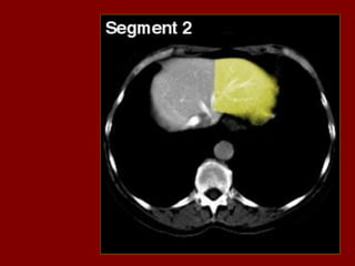
INCISÃO SOBRE A VEIA HEPÁTICA MÉDIA.
INCISÃO SOBRE A VEIA HEPÁTICA ESQUERDA.
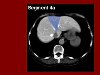
Cissura transversa(horizontal)
Cissura vertical
Fossa da
Vesícula
biliar
Ligamento
venoso
Ramo
Portal
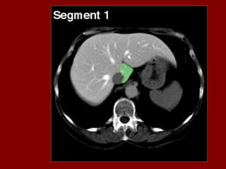
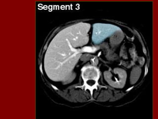
segmento 3
Ramo
portal
principal
direito
Drenagen
Venosa
do segmento1
V
H
M

e

V
H
D
V

H

D
V
H
M

e

V
H
E
V

H

M
BORA-BORA- POLINÉSIA FRANCESA
Pirâmide da Aprendizagem




                       Palestras   5%
                                     10%
                   Leitura             20%
             Audiovisual                 30%
                                            50%
        Demonstrações                         75%
  Grupos de Discussão                           80%
   Praticar fazendo
Ensinar aos outros /
      Uso imediato

Imagenologia abdome 03_2012- 2º aula

  • 1.
    ANATOMIA SECCIONAL DO ABDOMEE PELVE Prof. Victor Ferreira Freitas
  • 2.
    Ac Colo ascendente AP Nível de ar fluido do estômago Ao Aorta Az Veia ázigo CA Tronco celíaco cc Cartilagem costa! CD Dueto cístico CHA Artéria hepática comum CHD Dueto comum CL Lobo caudado fígado D Diafragma DBM Músculos profundos do De Colo descendente D2 Parte descendente do duodeno D3 Parte horizontal do duodeno E Esôfago FL Ligamento falciforme GB Vesícula biliar HA Artéria hepática Hz Veia IMV Divisão da veia mesentérica inf. A IVC Veia cava inferior LC Ramo esq. do diafragma LG Glândula supra-renal esq. LHV Veia hepática esquerda LIL Lobo inf. Esq. do pulmão LRV Veia renal esquerda LK Rim esquerdo LU Ureter esquerdo LL Lobo esquerdo do fígado MHV Veia hepática média P Pâncreas PA Antro pilórico do estômago
  • 3.
    Ac Colo ascendente AP Nível de ar fluido do estômago Ao Aorta Az Veia ázigo CA Tronco celíaco cc Cartilagem costa! CD Dueto cístico CHA Artéria hepática comum CHD Dueto comum CL Lobo caudado fígado D Diafragma DBM Músculos profundos do De Colo descendente D2 Parte descendente do duodeno D3 Parte horizontal do duodeno E Esôfago FL Ligamento falciforme GB Vesícula biliar HA Artéria hepática Hz Veia IMV Divisão da veia mesentérica inf. IVC Veia cava inferior B LC Ramo esq. do diafragma LG Glândula supra-renal esq. LHV Veia hepática esquerda LIL Lobo inf. Esq. do pulmão LRV Veia renal esquerda LK Rim esquerdo LU Ureter esquerdo LL Lobo esquerdo do fígado MHV Veia hepática média P Pâncreas PA Antro pilórico do estômago
  • 4.
    Ac Colo ascendente AP Nível de ar fluido do estômago Ao Aorta Az Veia ázigo CA Tronco celíaco cc Cartilagem costa! CD Ducto cístico CHA Artéria hepática comum CHD Ducto comum CL Lobo caudado fígado D Diafragma DBM Músculos para vertebrais De Colo descendente D2 Parte descendente do duodeno D3 Parte horizontal do duodeno E Esôfago FL Ligamento falciforme GB Vesícula biliar HA Artéria hepática Hz Veia IMV Divisão da veia mesentérica inf. C IVC Veia cava inferior LC Ramo esq. do diafragma LG Glândula supra-renal esq. LHV Veia hepática esquerda LIL Lobo inf. Esq. do pulmão LRV Veia renal esquerda LK Rim esquerdo LU Ureter esquerdo LL Lobo esquerdo do fígado MHV Veia hepática média P Pâncreas PA Antro pilórico do estômago
  • 5.
    Ac Colo ascendente AP Nível de ar fluido do estômago Ao Aorta Az Veia ázigo CA Tronco celíaco cc Cartilagem costa! CD Dueto cístico CHA Artéria hepática comum CHD Dueto comum CL Lobo caudado fígado D Diafragma DBM Músculos profundos do De Colo descendente D2 Parte descendente do duodeno D3 Parte horizontal do duodeno E Esôfago FL Ligamento falciforme GB Vesícula biliar HA Artéria hepática Hz Veia IMV Divisão da veia mesentérica inf. D IVC Veia cava inferior LC Ramo esq. do diafragma LG Glândula supra-renal esq. LHV Veia hepática esquerda LIL Lobo inf. Esq. do pulmão LRV Veia renal esquerda LK Rim esquerdo LU Ureter esquerdo LL Lobo esquerdo do fígado MHV Veia hepática média P Pâncreas PA Antro pilórico do estômago
  • 6.
    PB Corpo do pâncreas PC Confluência portal PF Gordura perirrenal PH Cabeça do pâncreas PS Músculo psoas PT Cauda do pâncreas PU Processo uncinado do pâncreas PV(R) Ramo direito da veia porta QL Músculo quadrado do lombo R Costela RA Músculo reto do abdome RC Pilar direito do diafragma RF Gordura retroperitoneal RG Glândula supra-renal dir. RHV Veia hepática direita RIL Lobo inf. do pulmão dir. RK Rim direito RL Lobo direito do fígado RP Pelve renal RPV Veia porta RRA Artéria renal direita E RRV Veia renal direita RU Ureter direito S Processo espinhoso SA Artéria esplênica SC Medula espinal Sp Baço SF Flexura esq. do colo St Estômago SI Intestino delgado SV Veia esplênica SMA Artéria mesentérica sup. Tc Coto transverso SMV Veia mesentérica sup. TVP Processo transverso Xp Processo xifóide
  • 7.
    PB Corpo do pâncreas PC Confluência portal PF Gordura perirrenal PH Cabeça do pâncreas PS Músculo psoas PT Cauda do pâncreas PU Processo uncinado do pâncreas PV(R) Ramo direito da veia porta QL Músculo quadrado do lombo R Costela RA Músculo reto do abdome RC Pilar direito do diafragma RF Gordura retroperitoneal RG Glândula supra-renal dir. RHV Veia hepática direita RIL Lobo inf. do pulmão dir. RK Rim direito RL Lobo direito do fígado RP Pelve renal RPV Veia porta RRA Artéria renal direita F RRV Veia renal direita RU Ureter direito S Processo espinhoso SA Artéria esplênica SC Medula espinal Sp Baço SF Flexura esq. do colo St Estômago SI Intestino delgado SV Veia esplênica SMA Artéria mesentérica sup. Tc Coto transverso SMV Veia mesentérica sup. TVP Processo transverso Xp Processo xifóide
  • 8.
    G H PB Corpo do pâncreas R Costela RP Pelve renal PC Confluência portal RA Músculo reto do abdome RPV Veia porta PF Gordura perirrenal RC Pilar direito do diafragma RRA Artéria renal direita PH Cabeça do pâncreas RF Gordura retroperitoneal RRV Veia renal direita PS Músculo psoas RG Glândula supra-renal dir. RU Ureter direito PT Cauda do pâncreas RHV Veia hepática direita S Processo espinhoso PU Processo uncinado do pâncreas RIL Lobo inf. do pulmão dir. SA Artéria esplênica PV(R) Ramo direito da veia porta RK Rim direito SC Medula espinal QL Músculo quadrado do lombo RL Lobo direito do fígado SF Flexura esq. do colo SI Intestino delgado SV Veia esplênica SMA Artéria mesentérica sup. Tc Coto transverso SMV Veia mesentérica sup. TVP Processo transverso Sp Baço Xp Processo xifóide St Estômago
  • 10.
  • 12.
  • 13.
  • 14.
  • 15.
  • 16.
  • 17.
  • 18.
  • 19.
  • 20.
  • 22.
  • 23.
  • 24.
  • 25.
  • 26.
  • 27.
  • 28.
  • 29.
  • 34.
  • 40.
    INCISÃO SOBRA AVEIA HEPÁTICA DIREITA
  • 41.
    INCISÃO SOBRE AVEIA HEPÁTICA MÉDIA.
  • 42.
    INCISÃO SOBRE AVEIA HEPÁTICA ESQUERDA.
  • 45.
  • 46.
  • 47.
  • 48.
  • 49.
  • 57.
  • 58.
  • 68.
  • 69.
  • 70.
  • 71.
  • 73.
  • 74.
    Pirâmide da Aprendizagem Palestras 5% 10% Leitura 20% Audiovisual 30% 50% Demonstrações 75% Grupos de Discussão 80% Praticar fazendo Ensinar aos outros / Uso imediato