Colégio Modelo Luís Eduardo Magalhães
Estagiária: Juliana Schmidt




 Divisão Celular
     Mitose
Divisão celular
• Zigoto: célula origem
  – Células somáticas: manutenção da vida
  – Células germinativas: perpetuação da
    espécies
O ciclo celular

Dividido em:
- Intérfase
- Divisão Celular
             1. Mitose
             2. Meiose
Intérfase
•   Fases:
-   G1 – síntese de proteínas
-   S – duplicação do DNA
-   G2 – síntese de proteínas e DNA
    duplicado
Síntese
      Protéica

                     G2




                               Síntese
                               Protéica
                          G1
Duplicação       S
do DNA
É o processo pelo qual uma célula se divide
       em duas outras novas células.
Mitose


2 células-filhas         Duplicação
idênticas a célula       do DNA
       mãe.

                      Divisão Celular
Por que a      mitose     é
importante?

• Crescimento dos
organismos multicelulares

• Regeneração de tecidos
do corpo.

• Reprodução assexuada.
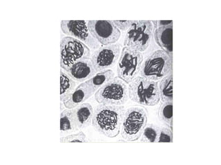
MITOSE

 Prófase
Metáfase
Anáfase
Telófase
Prófase
• Início da condensação do DNA;
• Desaparecimento da carioteca e do
  nucléolo;
• Duplicação e migração dos centríolos
  para os pólos da célula;
• Formação do fuso mitótico
Metáfase
• Cromossomos: nível máximo de
  condensação;

• Duplicação dos centrômeros.
Anáfase
• Migração das cromátides irmãs para os
  pólos da célula.
  – Encurtamento dos fusos mitóticos
Telófase
• Descondensação dos cromossomos;
• Reaparecimento do nucléolo e carioteca;
• Desaparecimento do fuso mitótico.
No final...
• Cariocinese :divisão nuclear
• Citocinese: separação do citoplasma
Célula animal   Célula Vegetal
Centríolo      Cêntrica       Acêntrica
  Áster         Astral         Anastral
Citocinese    Centripeta      Centrifuga
Citocinese em célula
animal
Câncer...

Aula mitose