ANATOMIA DO S. N. C.




     Dr. Victor F. Freitas
Divisão anatômica cerebral
 5 lobos --      ( 2 hemisférios )

  - Frontal,
  - Parietal,
  - Temporal,
  - Occipital,
  - Ínsula.
Divisão anatômica cerebral
• 2 hemisférios - separados       fissura longitudinal.
• Cada hemisfério       3 superfícies ,

  ( supero lateral , medial e inferior ).
• Sulcos e giros que separam as circunvoluções .
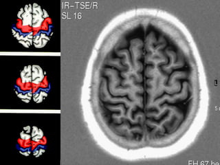
Superfície supero lateral



• Fissura Sylviana ( lateral )       curto trajeto
    entre a superfície orbitária do lobo frontal
    e lobo temporal.
• 3 divisões : ramo anterior , ascendente e posterior.
• Ramo anterior e ascendente         2,5 cm .
• Ramo posterior          7,5 cm .
•   Ramo posterior termina na cissura supra marginal.
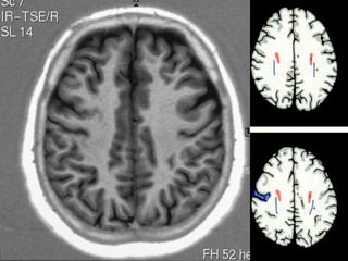
Divisão anatômica cerebral
         Superfície supero lateral
• Fissura central ( de Rolando )   se estende
  obliquamente para baixo e anteriormente .
• É sinuosa e termina na metade do ramo posterior
  da fissura
   Sylviana.
Divisão anatômica cerebral
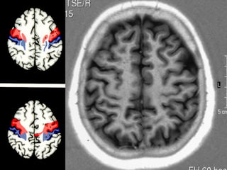
       Superfície supero lateral
• Fissura parieto - occipital   encontra-se
   principalmente na superfície medial cerebral ,
   mas apresenta um curto trajeto nesta
   superfície , á aproximadamente 5 cm,
   anterior ao polo occipital.
Divisão anatômica cerebral
         Superfície supero lateral
• Divisões dos hemisférios cerebrais ( fissuras ) ;

                   Lobo frontal

• Anterior a fissura central ( de Rolando ),
• Antero superior a fissura Sylviana.
Divisão anatômica cerebral
        Superfície supero lateral
                   Lobo frontal

• 3 sulcos / 4 giros .
• Sulcos pré central , frontal superior e inferior .
• Giros frontal superior , médio e inferior e
   giro frontal ascendente ( pré central )       principal

       área somato motora cortical
LOBO FRONTAL


Giro
Reto




  Giro
Orbitário
LOBO FRONTAL


  Giro
 Frontal
 Superior




 Giro
Frontal
Médio




  Giro
Frontal
Inferior
Divisão anatômica cerebral
          Superfície supero lateral
• Divisões dos hemisférios cerebrais ( fissuras ) ;

                    Lobo parietal

• Posterior a fissura central ( de Rolando ),
• Postero superior a fissura Sylviana.
• Anterior a uma linha imaginária entre
  fissura parieto occipital e sulco pré occipital.
Divisão anatômica cerebral
Superfície supero lateral
      Lobo parietal
• 2 sulcos / 3 giros .
• Sulcos pós central( paralelo cissura de Rolando )
    e intra parietal .
• Giros parietal superior e inferior ( separados pelo
     sulco intra parietal )
  giro parietal ascendente ( pós central )     principal
       área somato sensitiva cortical
LOBO PARIETAL


 Giro
Parietal
Superior




 Giro
Angular
LOBO PARIETAL




     Giro
Supra marginal
Giro
Angular
Divisão anatômica cerebral
          Superfície supero lateral
• Divisões dos hemisférios cerebrais ( fissuras ) ;
                    Lobo occipital
• Posterior a uma linha imaginária entre
  fissura parieto occipital e sulco pré occipital.
Divisão anatômica cerebral
       Superfície supero lateral


        Lobo occipital

  • 2 sulcos          occipital transverso
                      semilunar( área visual
                           sensorial e psíquica )
  • cissura calcarina
LOBO OCCIPITAL


  Giro
Occipital
superior




Cuneus




 Giro
Lingual
Divisão anatômica cerebral
         Superfície supero lateral
• Divisões dos hemisférios cerebrais ( fissuras ) ;

                  Lobo temporal

• Inferior a parte posterior da fissura Sylviana e
   limitado posteriormente pela linha imaginária.
Divisão anatômica cerebral
        Superfície supero lateral


   Lobo temporal
  • 2 sulcos / 3 giros .
  • • Sulcos temporal superior e inferior .
  • Giros temporal superior, médio e inferior .
  • 2 sulcos geralmente são paralelos a fissura
      Sylviana( posterior e superior ) .
  • Sulco superior termina no giro angular

     área auditiva sensorial e psíquica .
LOBO TEMPORAL


   Giro
 Temporal
 Superior




  Giro
Temporal
 Médio
LOBO TEMPORAL


   Giro
Temporal
 Inferior




  Ínsula
LOBO TEMPORAL




     Giro
Parahipocampal




  Giro
Fusiforme
Divisão anatômica cerebral
        Superfície supero lateral

                    Ínsula
  • Lobo fundido a córtex recoberto pelo
     opérculo ( lobo de Reil ) .
  • Forma oval ou triangular,
  • Circundada pelo sulco circular .
  • Vértice inferior é a substância branca perfurada
  •   ( limen da ínsula )
  • Sulco central      divide posterior(>) e anterior (<).
  • Parte profunda      Claustro
                        Núcleos lenticulares.
Divisão anatômica cerebral
           Superfície medial

• Separadas pela fissura cerebral longitudinal,
• Unidas em algumas partes pelas comissuras,
    e estruturas que limitam o III ventrículo.
Divisão anatômica cerebral
            Superfície medial
              CORPO CALOSO


• Maior comissura cerebral,
• Principal parte do teto dos ventrículos laterais,
• Joelho , Corpo , Esplênio e Rostrum.
• 10cm de comprimento / 2,5 cm de altura.
Divisão anatômica cerebral
      Superfície medial
CORPO CALOSO




               ESPLÊNIO




                JOELHO
QUAIS SÃO ESTAS ESTRUTURAS?




                              COMISSURA
                               ANTERIOR




                              COMISSURA
                              POSTERIOR
QUAIS SÃO ESTAS ESTRUTURAS?
Divisão anatômica cerebral
           Superfície medial
           TRÍGONO OU FÓRNIX

 • Pilares anteriores , corpo e pilares posteriores.
 • Corpo teto do III ventrículo,
            abaixo       tela coróidea
 • Anterior se curva até os corpos mamilares,
Divisão anatômica cerebral
           Superfície medial
      CISSURA CALOSO MARGINAL

• Paralela ao corpo caloso ,
• Começa abaixo do joelho do corpo caloso e
   termina acima do tronco cerebral.
• Separa o giro frontal médio do corpo caloso e
   na região abaixo do joelho do CC as áreas
   para olfatórias ( sub calosa) e circunvoluções
   paraterminal.
Divisão anatômica cerebral
            Superfície inferior
                  Orbitária

• A superfície inferior é dividida pela parte
   principal da fissura lateral em uma superfície
   Orbitária menor e outra maior Tentorial.
• Orbitária       se localiza no teto das órbitas e
   fossa nasal , delimitada por um sulco em
   forma de H ( sulco orbitário ) e um sulco reto
    (sulco olfatório ).
Divisão anatômica cerebral
            Superfície inferior
                    Tentorial
• Situa-se em parte sobre a fossa cranial média
    e em parte sobre a tenda do cerebelo.
• 2 sulcos Antero posteriores sulco colateral
•                                   sulco occipito temporal
• Sulco colateral anterior            sulco entorrinal
• Giros do hipocampo e lingual estão medial.
• Giro occipito temporal medial situa-se entre
     os sulcos colateral e occipito temporal.
Anatomia cerebral
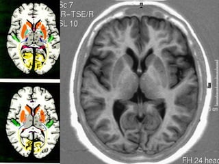
           Gânglios da Base

• Tecido de substância cinzenta sub cortical
  simétrico, localizados nas superfícies inferiores
  dos hemisférios cerebrais.
• Núcleos lenticulares ( putamen e globus pálido),
   núcleo caudado, claustro e amígdala.
Anatomia cerebral
                Gânglios da Base


 Núcleos lenticulares.

• Biconvexo , envolto por substância branca,
• Cápsula externa ( separa do Claustro ),
• Cápsula Extrema ( separa claustro da ínsula ),
• Cápsula interna ( braço anterior , joelho e
    braço posterior ).
• Putamen ( lateral , maior e mais escuro ) / globo pálido.
Anatomia cerebral
       Gânglios da Base



 Núcleo caudado.
• Cabeça , corpo e cauda ,
• Cabeça é a principal parte , situada
adjacente ao corno frontal do VL.
• Separado incompletamente do n.
lenticulares pelo braço anterior da cápsula
interna ( feixes de Probst ).
• Cauda postero externo ao tálamo.
GÂNGLIOS DA BASE

                    NÚCLEO
                   CAUDADO
                     cabeça




                    NÚCLEO
                   CAUDADO
                     corpo
GÂNGLIOS DA BASE


                     NÚCLEO
                   LENTIFORMES
                      putamen




                     NÚCLEO
                   LENTIFORMES
                    Globo pálido
Anatomia cerebral
   Gânglios da Base

Amígdala.


• Pequena expansão da cauda do n. caudado,
• Complexo de vários pequenos núcleos ,
  localizados na parte anterior do teto do corno
  temporal do ventrículo lateral.
Anatomia cerebral
                Diencéfalo
• Epitálamo ( núcleos e comissura habenulares ,

    pineal e comissura posterior ).
• Tálamo ( 80 % do diencéfalo ),

•   Hipotálamo ,
•   Subtálamo
Anatomia cerebral

          Tálamo

• Massas nucleares , grandes e dispostas

  de forma simétrica.
• Substância cinzenta , mede 3,0 x 1,5 cm ,

• Aglomerações de neurônios e núcleos,

• Forma a parede lateral do III ventrículo.
Anatomia cerebral
           Tálamo


• Limite anterior    tubérculo
                        anterior,

• Limite posterior    núcleo pulvinar ,

• Limite superior     estria medular,

• Limite inferior    região tegmal sub talâmica.
DIENCÉFALO




               TÁLAMO




             HIPOTÁLAMO
DIENCÉFALO




              TRATO
              ÓPTICO




              CORPOS
             MAMILARES
Anatomia cerebral
                Tálamo
• 3 zonas de substância cinzenta separadas por
    camadas brancas de fibras mielinizadas
     ( lâminas medulares internas )
• Núcleo externo ( > de todos ),
• Núcleo interno ( medial ) ,
• Núcleo anterior.( < de todos ).
• Núcleos        sub núcleos.
Anatomia cerebral
    Rinencéfalo e sistema límbico
• Estruturas cerebrais filogenéticamente antigas,
• Consideradas antigamente com funções
   olfatórias.
• Bulbo e estrias olfatórias,
• Substância perfurada anterior,
• Gancho e hipocampo,
• Trígono da habênula e Indusium
  griseum,
• Área sub calosa,
• Corpo amigdaliano.
SISTEMA LÍMBICO



 Amigdala




Hipocampo
SISTEMA LÍMBICO



   Fórnix




Giro cíngulo
 posterior




Giro cíngulo
  anterior
Anatomia cerebral
      Rinencéfalo e sistema límbico
               HIPOCAMPO

• Parte posterior do giro denteado, hipocampo
   e indisium griseum     formação hipocampal.
• Indisium griseum( giro do cíngulo)       fina
   camada de substância cinzenta que se
  estende sobre a superfície superior do
   corpo caloso.
Anatomia cerebral
         HIPOCAMPO


•   Um dos elementos mais importante

     do sistema límbico,

•   Córtex contém 3 camadas intermediária

     ( céls. Piramidais ),

•   Corno de Ammon é parte mais epileptogênica

     do cérebro inteiro.

•   Conexões com o hipotálamo.
Anatomia cerebral
          TRÍGONO E FÓRNIX

• Estruturas de substância branca que conduzem
   a maioria das eferências do hipocampo
   ao hipotálamo.
• Transportam fibras da comissura ao hipocampo
  oposto e ao trígono habenular.
FISSURAS / SULCOS CEREBRAIS


                         Sulco
                        Central




                        Sulco
                        Lateral
FISSURAS / SULCOS CEREBRAIS


                       Fissura
                       Parieto-
                       occipital




                         Fissura
                        calcarina
FISSURAS / SULCOS CEREBRAIS


                         Fissura
                         Marginal




                          Fissura
                           Intra-
                          parietal
FISSURAS / SULCOS CEREBRAIS


                          Sulco
                         colateral
CENTRO SEMIOVAL/COROA RADIATA
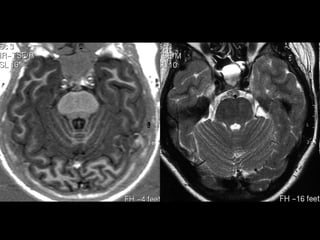
MESENCÉFALO


               COLÍCULOS
              SUPERIORES




               COLÍCULOS
              INFERIORES
• TETO MESENCEFÁLICO (LÂMINA QUADRIGEMINAL)
• PEDÚNCULOS CEREBELARES SUPERIORES E
  INFERIORES
• IV VENTRÍCULO
• CEREBELO - HEMISFÉRIOS
MESENCÉFALO


              SUBSTÂNCIA
                CINZA
                 PERI-
              AQUEDUTAL




              SUBSTÂNCIA
                NIGRA/
               NÚCLEOS
                RUBRO
MESENCÉFALO
PONTE / BULBO
CEREBELO



           VERMIS




           TONSILAS
CEREBELO



            NÚCLEO
           DENTADO




           HEMISFÉRIO
           CEREBELAR
•   FORAME MAGNO
•   MEDULA ESPINHAL CERVICAL
•   ART. VERTEBRAIS
•   TONSILAS CEREBELARES
•   CLIVUS                • VALÉCULA. FORAME DE
•   CANAL DO HIPOGLOSSO     MAGENDIE
                          • CISTERNAS
•   BULBO
                                • MAGNA
•   AMÍGDALAS
                                • PRÉ BULBAR
•   ART. VERTEBRAIS             • CEREBELO-BULBAR
•   BULBO JUGULAR         • PROTUBERÂNCIA OCCIPTAL
• BULBO
       • PIRÂMIDES
       • OLIVAS


• SULCOS
    – PRÉ OLIVAR
    – PÓS OLIVAR
•   AMÍGDALAS CEREBELARES / LOBO BIVENTRAL (+LAT)
•   FORAMES DE LUSCHKA
•   PICA
•   SEIOS SIGMÓIDES
• PONTE
• PEDÚNCULO CEREBELARES MÉDIOS / CORPOS
  MEDULARES        NÓDULO
             VERMIS   ÚVULA
                      PIRÂMIDE

• CEREBELO                 FLÓCULO
             HEMISFÉRIOS
                           SEMILUNAR
• ARTÉRIA BASILAR
• IV VENT.
• CISTERNAS PRÉ-PONTINA
             CEREBELO-PONTINA
• CONDUTOS AUDITIVOS
  INTERNOS
• PONTE - COLÍCULOS FACIAIS
• PEDÚNCULOS CEREBELARES MÉDIOS / CORPOS MEDULARES

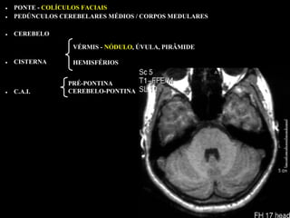
• CEREBELO
                VÉRMIS - NÓDULO, ÚVULA, PIRÂMIDE

• CISTERNA      HEMISFÉRIOS


               PRÉ-PONTINA
• C.A.I.       CEREBELO-PONTINA
• PONTE
• PEDÚNCULOS CEREBELARES SUPERIORES
• CEREBELO - VERMIS (LÍNGULA, LÓBULO CENTRAL,
  CULMEN, DECLIVE)
• MESENCÉFALO
      • PEDÚNCULOS CEREBRAIS
        (SUBST. NIGRA)
      • TETO MESENCEFÁLICO
        (COLÍCULOS INFERIORES)
• CISTERNAS
      • INTERPEDUNCULAR
      • QUADRIGEMINAL
      • PERIMESENCEFÁLICA
•   IV PAR CRANIANO (DECUSSAÇÃO)
•   AQUEDUTO DE SYLVIUS
•   SUBSTÂNCIA CINZENTA PERIAQUEDUTAL
•   ARTÉRIAS CEREBRAIS POSTERIORES
• MESENCÉFALO
    • PEDÚNCULOS
       – NÚCLEOS RUBOS
       – SUBST. NIGRA

    • TETO - COLÍCULOS SUPERIORES

• CISTERNAS
    • INTERPEDUCULAR
    • PERIMESENCÉFALICA
    • QUADRIGEMINAL
    • AMBIENS
CORTE MEDIANO
• MESENCÉFALO
  – TETO
  – PEDÚNCULO

• PONTE
• BULBO (OBEX, CLAVA)
• MEDULA ESPINHAL
• VERMIS CEREBELAR (TODOS OS
  LÓBULOS E FISSURAS)
• IV VENTRÍCULO - VALÉCULA
• CISTERNAS (INTERPEDUNCULAR, PRÉ
  PONTINA, PRÉ BULBAR, MAGNA,
  QUADRIGEMINAL)
• ARTÉRIA BASILAR
• PEDÚNCULOS CEREBELARES
    • SUPERIOR
    • INFERIOR

• HEMISFÉRIOS CEREBELARES
    • LÓBULOS QUADRANGULAR, SEMILUNAR, AMÍGDALAS
• PEDÚNCULO CEREBELAR MÉDIO
• HEMISFÉRIO CEREBELAR
•   HEMISFÉRIOS CEREBELARES (LÓBULOS QUADRANGULAR,
    SEMILUNAR, BIVENTRE, CORPO MEDULAR)
Anatomia cerebral
        VENTRÍCULOS CEREBRAIS

• 4 cavidades que se intercomunicam,
        ( VL D e E , III, IV ),
• Contém plexos coróides ,
• Comunicações entre VL --- III ( forames de Monro),
       III --- IV ( aqueduto de Sylvius ),
       IV ---- espaço subaracnoideo
   ( 2 forames de Luschka e 1 forame de Magendie - central )
Anatomia cerebral
      VENTRÍCULOS LATERAIS

• Cavidades extensas e irregulares dentro
     dos hemisférios cerebrais.
• Limites - superior      corpo caloso
              medial      septo pelúcido
              inferior    parte do tálamo
                núcleos caudados ,trígono.
Anatomia cerebral
     VENTRÍCULOS LATERAIS

• Corno occipital diminui de volume
  até terminar em fundo cego.
• Corno temporal curva para trás e
  inferiormente ao tálamo , vai em
  direção ao lobo temporal e termina
  em fundo cego ( 2,5 cm ponta do temporal).
Anatomia cerebral
             III VENTRÍCULO
• Fenda na linha média que separa
   os tálamos e metade adjacentes dos
    hipotálamos.
• Limites Teto              tela coróide
             Assoalho       quiasma óptico,
         tuber cinereum, infundíbulo
        corpos mamilares.
              Anterior       lâmina terminal
                              comissura anterior
              Posterior       pineal , comissura
                               habenular e posterior.
Anatomia cerebral
              III VENTRÍCULO


• Limites laterais
   tálamo            póstero-superior
   hipotálamo        ântero-inferior
Anatomia cerebral
      CIRCULAÇÃO LIQUÓRICA
• O LCR circula nos ventrículos laterais,
    no canal central da medula e nos espaços
    sub aracnóideos.
• Atua como um liquido tampão que distribui
    e absorve forças externas ou internas que
    poderiam lesar o cérebro e a medula.
• Regulação na variação de volume na
     produção e na absorção.
Anatomia cerebral
       CIRCULAÇÃO LIQUÓRICA

• O LCR desempenha a função do sistema linfático
    nos outros tecidos ( SNC não tem linfa )
• Transfere substância do sangue para os
    tecidos nervosos ( BHE )
• A troca de eletrólitos é mais fácil nos
    ventrículos que nos espaços sub aracnoideos.
• A troca de água é mais rápida nas cisternas
    que nos ventrículos.
Anatomia cerebral
     CIRCULAÇÃO LIQUÓRICA

• Formação do LCR        plexos coróides ,
• Pode-se ter pequena produção do LCR,
   nos espaços sub aracnoideos e peri vascular.
• Formação , circulação e absorção contínua.
    ( 120 a 150 ml - volume total )
• Produção diária de 400 a 500 ml
    ( troca a cada 6 a 7 horas ).
Anatomia cerebral
       CIRCULAÇÃO LIQUÓRICA

•   Os plexos coróides são franjas de
     grupos capilares de pia máter que
     invaginam em delicadas paredes
     ependimárias dos ventrículos.
• Os maiores PC estão nos ventrículos laterais
     ( produzem + LCR ) .
• Pressão do LCR 70 a 120 mmH2O.
Anatomia cerebral
      CIRCULAÇÃO LIQUÓRICA
• O LCR é reabsorvido para o sangue através
    das granulações aracnoídeas e através das
    paredes dos capilares do SNC e pia máter.
• Pequena quantidade de LCR contidos nas
    bainhas dos nervos cranianos e espinhais
    podem ser reabsorvidos para
    vasos linfáticos extra durais.
• Pressão liquórica pode haver reabsorção
    pelo plexo coróide.
TRATO PIRAMIDAL
Aula anatomia snc
Aula anatomia snc
Aula anatomia snc
Aula anatomia snc

Aula anatomia snc

  • 1.
    ANATOMIA DO S.N. C. Dr. Victor F. Freitas
  • 2.
    Divisão anatômica cerebral 5 lobos -- ( 2 hemisférios ) - Frontal, - Parietal, - Temporal, - Occipital, - Ínsula.
  • 4.
    Divisão anatômica cerebral •2 hemisférios - separados fissura longitudinal. • Cada hemisfério 3 superfícies , ( supero lateral , medial e inferior ). • Sulcos e giros que separam as circunvoluções .
  • 5.
    Superfície supero lateral •Fissura Sylviana ( lateral ) curto trajeto entre a superfície orbitária do lobo frontal e lobo temporal. • 3 divisões : ramo anterior , ascendente e posterior. • Ramo anterior e ascendente 2,5 cm . • Ramo posterior 7,5 cm . • Ramo posterior termina na cissura supra marginal.
  • 6.
    Divisão anatômica cerebral Superfície supero lateral • Fissura central ( de Rolando ) se estende obliquamente para baixo e anteriormente . • É sinuosa e termina na metade do ramo posterior da fissura Sylviana.
  • 7.
    Divisão anatômica cerebral Superfície supero lateral • Fissura parieto - occipital encontra-se principalmente na superfície medial cerebral , mas apresenta um curto trajeto nesta superfície , á aproximadamente 5 cm, anterior ao polo occipital.
  • 9.
    Divisão anatômica cerebral Superfície supero lateral • Divisões dos hemisférios cerebrais ( fissuras ) ; Lobo frontal • Anterior a fissura central ( de Rolando ), • Antero superior a fissura Sylviana.
  • 10.
    Divisão anatômica cerebral Superfície supero lateral Lobo frontal • 3 sulcos / 4 giros . • Sulcos pré central , frontal superior e inferior . • Giros frontal superior , médio e inferior e giro frontal ascendente ( pré central ) principal área somato motora cortical
  • 11.
    LOBO FRONTAL Giro Reto Giro Orbitário
  • 12.
    LOBO FRONTAL Giro Frontal Superior Giro Frontal Médio Giro Frontal Inferior
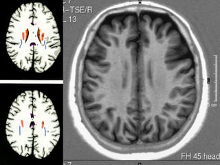
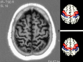
  • 13.
    Divisão anatômica cerebral Superfície supero lateral • Divisões dos hemisférios cerebrais ( fissuras ) ; Lobo parietal • Posterior a fissura central ( de Rolando ), • Postero superior a fissura Sylviana. • Anterior a uma linha imaginária entre fissura parieto occipital e sulco pré occipital.
  • 14.
    Divisão anatômica cerebral Superfíciesupero lateral Lobo parietal • 2 sulcos / 3 giros . • Sulcos pós central( paralelo cissura de Rolando ) e intra parietal . • Giros parietal superior e inferior ( separados pelo sulco intra parietal ) giro parietal ascendente ( pós central ) principal área somato sensitiva cortical
  • 15.
  • 16.
    LOBO PARIETAL Giro Supra marginal
  • 17.
  • 18.
    Divisão anatômica cerebral Superfície supero lateral • Divisões dos hemisférios cerebrais ( fissuras ) ; Lobo occipital • Posterior a uma linha imaginária entre fissura parieto occipital e sulco pré occipital.
  • 20.
    Divisão anatômica cerebral Superfície supero lateral Lobo occipital • 2 sulcos occipital transverso semilunar( área visual sensorial e psíquica ) • cissura calcarina
  • 21.
    LOBO OCCIPITAL Giro Occipital superior Cuneus Giro Lingual
  • 22.
    Divisão anatômica cerebral Superfície supero lateral • Divisões dos hemisférios cerebrais ( fissuras ) ; Lobo temporal • Inferior a parte posterior da fissura Sylviana e limitado posteriormente pela linha imaginária.
  • 23.
    Divisão anatômica cerebral Superfície supero lateral Lobo temporal • 2 sulcos / 3 giros . • • Sulcos temporal superior e inferior . • Giros temporal superior, médio e inferior . • 2 sulcos geralmente são paralelos a fissura Sylviana( posterior e superior ) . • Sulco superior termina no giro angular área auditiva sensorial e psíquica .
  • 24.
    LOBO TEMPORAL Giro Temporal Superior Giro Temporal Médio
  • 25.
    LOBO TEMPORAL Giro Temporal Inferior Ínsula
  • 26.
    LOBO TEMPORAL Giro Parahipocampal Giro Fusiforme
  • 27.
    Divisão anatômica cerebral Superfície supero lateral Ínsula • Lobo fundido a córtex recoberto pelo opérculo ( lobo de Reil ) . • Forma oval ou triangular, • Circundada pelo sulco circular . • Vértice inferior é a substância branca perfurada • ( limen da ínsula ) • Sulco central divide posterior(>) e anterior (<). • Parte profunda Claustro Núcleos lenticulares.
  • 28.
    Divisão anatômica cerebral Superfície medial • Separadas pela fissura cerebral longitudinal, • Unidas em algumas partes pelas comissuras, e estruturas que limitam o III ventrículo.
  • 29.
    Divisão anatômica cerebral Superfície medial CORPO CALOSO • Maior comissura cerebral, • Principal parte do teto dos ventrículos laterais, • Joelho , Corpo , Esplênio e Rostrum. • 10cm de comprimento / 2,5 cm de altura.
  • 30.
  • 31.
    CORPO CALOSO ESPLÊNIO JOELHO
  • 32.
    QUAIS SÃO ESTASESTRUTURAS? COMISSURA ANTERIOR COMISSURA POSTERIOR
  • 33.
    QUAIS SÃO ESTASESTRUTURAS?
  • 34.
    Divisão anatômica cerebral Superfície medial TRÍGONO OU FÓRNIX • Pilares anteriores , corpo e pilares posteriores. • Corpo teto do III ventrículo, abaixo tela coróidea • Anterior se curva até os corpos mamilares,
  • 37.
    Divisão anatômica cerebral Superfície medial CISSURA CALOSO MARGINAL • Paralela ao corpo caloso , • Começa abaixo do joelho do corpo caloso e termina acima do tronco cerebral. • Separa o giro frontal médio do corpo caloso e na região abaixo do joelho do CC as áreas para olfatórias ( sub calosa) e circunvoluções paraterminal.
  • 39.
    Divisão anatômica cerebral Superfície inferior Orbitária • A superfície inferior é dividida pela parte principal da fissura lateral em uma superfície Orbitária menor e outra maior Tentorial. • Orbitária se localiza no teto das órbitas e fossa nasal , delimitada por um sulco em forma de H ( sulco orbitário ) e um sulco reto (sulco olfatório ).
  • 41.
    Divisão anatômica cerebral Superfície inferior Tentorial • Situa-se em parte sobre a fossa cranial média e em parte sobre a tenda do cerebelo. • 2 sulcos Antero posteriores sulco colateral • sulco occipito temporal • Sulco colateral anterior sulco entorrinal • Giros do hipocampo e lingual estão medial. • Giro occipito temporal medial situa-se entre os sulcos colateral e occipito temporal.
  • 43.
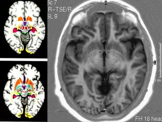
    Anatomia cerebral Gânglios da Base • Tecido de substância cinzenta sub cortical simétrico, localizados nas superfícies inferiores dos hemisférios cerebrais. • Núcleos lenticulares ( putamen e globus pálido), núcleo caudado, claustro e amígdala.
  • 44.
    Anatomia cerebral Gânglios da Base Núcleos lenticulares. • Biconvexo , envolto por substância branca, • Cápsula externa ( separa do Claustro ), • Cápsula Extrema ( separa claustro da ínsula ), • Cápsula interna ( braço anterior , joelho e braço posterior ). • Putamen ( lateral , maior e mais escuro ) / globo pálido.
  • 45.
    Anatomia cerebral Gânglios da Base Núcleo caudado. • Cabeça , corpo e cauda , • Cabeça é a principal parte , situada adjacente ao corno frontal do VL. • Separado incompletamente do n. lenticulares pelo braço anterior da cápsula interna ( feixes de Probst ). • Cauda postero externo ao tálamo.
  • 46.
    GÂNGLIOS DA BASE NÚCLEO CAUDADO cabeça NÚCLEO CAUDADO corpo
  • 47.
    GÂNGLIOS DA BASE NÚCLEO LENTIFORMES putamen NÚCLEO LENTIFORMES Globo pálido
  • 48.
    Anatomia cerebral Gânglios da Base Amígdala. • Pequena expansão da cauda do n. caudado, • Complexo de vários pequenos núcleos , localizados na parte anterior do teto do corno temporal do ventrículo lateral.
  • 49.
    Anatomia cerebral Diencéfalo • Epitálamo ( núcleos e comissura habenulares , pineal e comissura posterior ). • Tálamo ( 80 % do diencéfalo ), • Hipotálamo , • Subtálamo
  • 50.
    Anatomia cerebral Tálamo • Massas nucleares , grandes e dispostas de forma simétrica. • Substância cinzenta , mede 3,0 x 1,5 cm , • Aglomerações de neurônios e núcleos, • Forma a parede lateral do III ventrículo.
  • 51.
    Anatomia cerebral Tálamo • Limite anterior tubérculo anterior, • Limite posterior núcleo pulvinar , • Limite superior estria medular, • Limite inferior região tegmal sub talâmica.
  • 52.
    DIENCÉFALO TÁLAMO HIPOTÁLAMO
  • 53.
    DIENCÉFALO TRATO ÓPTICO CORPOS MAMILARES
  • 54.
    Anatomia cerebral Tálamo • 3 zonas de substância cinzenta separadas por camadas brancas de fibras mielinizadas ( lâminas medulares internas ) • Núcleo externo ( > de todos ), • Núcleo interno ( medial ) , • Núcleo anterior.( < de todos ). • Núcleos sub núcleos.
  • 56.
    Anatomia cerebral Rinencéfalo e sistema límbico • Estruturas cerebrais filogenéticamente antigas, • Consideradas antigamente com funções olfatórias. • Bulbo e estrias olfatórias, • Substância perfurada anterior, • Gancho e hipocampo, • Trígono da habênula e Indusium griseum, • Área sub calosa, • Corpo amigdaliano.
  • 58.
  • 59.
    SISTEMA LÍMBICO Fórnix Giro cíngulo posterior Giro cíngulo anterior
  • 60.
    Anatomia cerebral Rinencéfalo e sistema límbico HIPOCAMPO • Parte posterior do giro denteado, hipocampo e indisium griseum formação hipocampal. • Indisium griseum( giro do cíngulo) fina camada de substância cinzenta que se estende sobre a superfície superior do corpo caloso.
  • 61.
    Anatomia cerebral HIPOCAMPO • Um dos elementos mais importante do sistema límbico, • Córtex contém 3 camadas intermediária ( céls. Piramidais ), • Corno de Ammon é parte mais epileptogênica do cérebro inteiro. • Conexões com o hipotálamo.
  • 63.
    Anatomia cerebral TRÍGONO E FÓRNIX • Estruturas de substância branca que conduzem a maioria das eferências do hipocampo ao hipotálamo. • Transportam fibras da comissura ao hipocampo oposto e ao trígono habenular.
  • 66.
    FISSURAS / SULCOSCEREBRAIS Sulco Central Sulco Lateral
  • 67.
    FISSURAS / SULCOSCEREBRAIS Fissura Parieto- occipital Fissura calcarina
  • 68.
    FISSURAS / SULCOSCEREBRAIS Fissura Marginal Fissura Intra- parietal
  • 69.
    FISSURAS / SULCOSCEREBRAIS Sulco colateral
  • 70.
  • 71.
    MESENCÉFALO COLÍCULOS SUPERIORES COLÍCULOS INFERIORES
  • 72.
    • TETO MESENCEFÁLICO(LÂMINA QUADRIGEMINAL) • PEDÚNCULOS CEREBELARES SUPERIORES E INFERIORES • IV VENTRÍCULO • CEREBELO - HEMISFÉRIOS
  • 73.
    MESENCÉFALO SUBSTÂNCIA CINZA PERI- AQUEDUTAL SUBSTÂNCIA NIGRA/ NÚCLEOS RUBRO
  • 74.
  • 75.
  • 76.
    CEREBELO VERMIS TONSILAS
  • 77.
    CEREBELO NÚCLEO DENTADO HEMISFÉRIO CEREBELAR
  • 78.
    FORAME MAGNO • MEDULA ESPINHAL CERVICAL • ART. VERTEBRAIS • TONSILAS CEREBELARES
  • 79.
    CLIVUS • VALÉCULA. FORAME DE • CANAL DO HIPOGLOSSO MAGENDIE • CISTERNAS • BULBO • MAGNA • AMÍGDALAS • PRÉ BULBAR • ART. VERTEBRAIS • CEREBELO-BULBAR • BULBO JUGULAR • PROTUBERÂNCIA OCCIPTAL
  • 81.
    • BULBO • PIRÂMIDES • OLIVAS • SULCOS – PRÉ OLIVAR – PÓS OLIVAR • AMÍGDALAS CEREBELARES / LOBO BIVENTRAL (+LAT) • FORAMES DE LUSCHKA • PICA • SEIOS SIGMÓIDES
  • 84.
    • PONTE • PEDÚNCULOCEREBELARES MÉDIOS / CORPOS MEDULARES NÓDULO VERMIS ÚVULA PIRÂMIDE • CEREBELO FLÓCULO HEMISFÉRIOS SEMILUNAR • ARTÉRIA BASILAR • IV VENT. • CISTERNAS PRÉ-PONTINA CEREBELO-PONTINA • CONDUTOS AUDITIVOS INTERNOS
  • 86.
    • PONTE -COLÍCULOS FACIAIS • PEDÚNCULOS CEREBELARES MÉDIOS / CORPOS MEDULARES • CEREBELO VÉRMIS - NÓDULO, ÚVULA, PIRÂMIDE • CISTERNA HEMISFÉRIOS PRÉ-PONTINA • C.A.I. CEREBELO-PONTINA
  • 88.
    • PONTE • PEDÚNCULOSCEREBELARES SUPERIORES • CEREBELO - VERMIS (LÍNGULA, LÓBULO CENTRAL, CULMEN, DECLIVE)
  • 90.
    • MESENCÉFALO • PEDÚNCULOS CEREBRAIS (SUBST. NIGRA) • TETO MESENCEFÁLICO (COLÍCULOS INFERIORES) • CISTERNAS • INTERPEDUNCULAR • QUADRIGEMINAL • PERIMESENCEFÁLICA • IV PAR CRANIANO (DECUSSAÇÃO) • AQUEDUTO DE SYLVIUS • SUBSTÂNCIA CINZENTA PERIAQUEDUTAL • ARTÉRIAS CEREBRAIS POSTERIORES
  • 92.
    • MESENCÉFALO • PEDÚNCULOS – NÚCLEOS RUBOS – SUBST. NIGRA • TETO - COLÍCULOS SUPERIORES • CISTERNAS • INTERPEDUCULAR • PERIMESENCÉFALICA • QUADRIGEMINAL • AMBIENS
  • 95.
    CORTE MEDIANO • MESENCÉFALO – TETO – PEDÚNCULO • PONTE • BULBO (OBEX, CLAVA) • MEDULA ESPINHAL • VERMIS CEREBELAR (TODOS OS LÓBULOS E FISSURAS) • IV VENTRÍCULO - VALÉCULA • CISTERNAS (INTERPEDUNCULAR, PRÉ PONTINA, PRÉ BULBAR, MAGNA, QUADRIGEMINAL) • ARTÉRIA BASILAR
  • 96.
    • PEDÚNCULOS CEREBELARES • SUPERIOR • INFERIOR • HEMISFÉRIOS CEREBELARES • LÓBULOS QUADRANGULAR, SEMILUNAR, AMÍGDALAS
  • 97.
    • PEDÚNCULO CEREBELARMÉDIO • HEMISFÉRIO CEREBELAR
  • 98.
    HEMISFÉRIOS CEREBELARES (LÓBULOS QUADRANGULAR, SEMILUNAR, BIVENTRE, CORPO MEDULAR)
  • 99.
    Anatomia cerebral VENTRÍCULOS CEREBRAIS • 4 cavidades que se intercomunicam, ( VL D e E , III, IV ), • Contém plexos coróides , • Comunicações entre VL --- III ( forames de Monro), III --- IV ( aqueduto de Sylvius ), IV ---- espaço subaracnoideo ( 2 forames de Luschka e 1 forame de Magendie - central )
  • 101.
    Anatomia cerebral VENTRÍCULOS LATERAIS • Cavidades extensas e irregulares dentro dos hemisférios cerebrais. • Limites - superior corpo caloso medial septo pelúcido inferior parte do tálamo núcleos caudados ,trígono.
  • 102.
    Anatomia cerebral VENTRÍCULOS LATERAIS • Corno occipital diminui de volume até terminar em fundo cego. • Corno temporal curva para trás e inferiormente ao tálamo , vai em direção ao lobo temporal e termina em fundo cego ( 2,5 cm ponta do temporal).
  • 103.
    Anatomia cerebral III VENTRÍCULO • Fenda na linha média que separa os tálamos e metade adjacentes dos hipotálamos. • Limites Teto tela coróide Assoalho quiasma óptico, tuber cinereum, infundíbulo corpos mamilares. Anterior lâmina terminal comissura anterior Posterior pineal , comissura habenular e posterior.
  • 104.
    Anatomia cerebral III VENTRÍCULO • Limites laterais tálamo póstero-superior hipotálamo ântero-inferior
  • 105.
    Anatomia cerebral CIRCULAÇÃO LIQUÓRICA • O LCR circula nos ventrículos laterais, no canal central da medula e nos espaços sub aracnóideos. • Atua como um liquido tampão que distribui e absorve forças externas ou internas que poderiam lesar o cérebro e a medula. • Regulação na variação de volume na produção e na absorção.
  • 107.
    Anatomia cerebral CIRCULAÇÃO LIQUÓRICA • O LCR desempenha a função do sistema linfático nos outros tecidos ( SNC não tem linfa ) • Transfere substância do sangue para os tecidos nervosos ( BHE ) • A troca de eletrólitos é mais fácil nos ventrículos que nos espaços sub aracnoideos. • A troca de água é mais rápida nas cisternas que nos ventrículos.
  • 108.
    Anatomia cerebral CIRCULAÇÃO LIQUÓRICA • Formação do LCR plexos coróides , • Pode-se ter pequena produção do LCR, nos espaços sub aracnoideos e peri vascular. • Formação , circulação e absorção contínua. ( 120 a 150 ml - volume total ) • Produção diária de 400 a 500 ml ( troca a cada 6 a 7 horas ).
  • 109.
    Anatomia cerebral CIRCULAÇÃO LIQUÓRICA • Os plexos coróides são franjas de grupos capilares de pia máter que invaginam em delicadas paredes ependimárias dos ventrículos. • Os maiores PC estão nos ventrículos laterais ( produzem + LCR ) . • Pressão do LCR 70 a 120 mmH2O.
  • 110.
    Anatomia cerebral CIRCULAÇÃO LIQUÓRICA • O LCR é reabsorvido para o sangue através das granulações aracnoídeas e através das paredes dos capilares do SNC e pia máter. • Pequena quantidade de LCR contidos nas bainhas dos nervos cranianos e espinhais podem ser reabsorvidos para vasos linfáticos extra durais. • Pressão liquórica pode haver reabsorção pelo plexo coróide.
  • 129.