TRAUMATISMO ABDOMINAL E
PÉLVICO
Clínica Cirúrgica II
Prof. Dr. Ajalce Janahú
Discentes: Débora Shibayama Guterres
Eryka Bewerly Rego da Costa
João Jorge Tsunematsu Frazão
Leonardo Paiva Ohashi
Melissa V.K. Guevara Carrera
Micael de Mesquita Paiva
Thaís Pantoja Trindade
Roteiro
1 – Traumatismo de Abdome
1.1. Introdução
1.2. Aberto
1.3. Fechado
2 – Traumatismo de órgãos específicos.
2.1. Esplênico
2.2. Hepático
2.3. Duodeno e Delgado
2.4. Pâncreas
2.5. Cólon e Reto
2.7. Fraturas pélvicas
2.9. Vascular
• Caso 1(SCMSP)
Paciente, 22 anos, masculino, condutor de motocicleta em
via pública, com capacete, sofre colisão frontal contra
objeto fixo em uma velocidade de 75 km/h. Atendido no
local do evento pelo SAMU e trazido ao pronto-socorro em
prancha rígida e colar cervical com intervalo de tempo de
25 minutos. Na sala de emergência, encontra-se com vias
aéreas pérvias e ausculta pulmonar normal bilateral;
PA=110 x 80mmHg; FC= 100 bpm; saturação de 97%;
Glasgow= 14, pupilas isofotorreagentes, sem fraturas ou
outras lesões. Queixa-se de intensa dor em andar superior
do abdome, porém sem sinais de irritação peritoneal.
Realizado ultrassom FAST na sala de emergência que se
mostrou positivo. Em relação ao caso, a conduta e o
provável diagnóstico seriam:
INTRODUÇÃO
• Traumatismo de ADBOME
FECHADO (Contusão abdominal)  Forças de
desaceleração ou transmissão de choque pela
parede abdominal
ABERTO (Penetrante ou Ferida abdominal) 
lesões por Projéteis de Arma de Fogo (PAF) ou
arma branca
• O acometimento de estruturas abdominais pode
determinar:
- Sangramento importante
- Irritação peritoneal
AVALIAÇÃO INICIAL: Existe ou não INDICAÇÃO CIRÚRGICA.
O exame físico pode ser de pouca sensibilidade na
determinação da presença de lesão intra-abdominal.
Necessidade de utilização de recursos propedêuticos
específicos.
INTRODUÇÃO
INTRODUÇÃO
TRAUMA ABERTO (Ferida abdominal)
• Critérios para nortear a decisão cirúrgica:
- Tipo de trauma aberto (PAF ou arma branca)
- Instabilidade hemodinâmica
- Sinais de irritação de peritônio.
Indicação de exploração cirúrgica
Violação da cavidade peritoneal (feridas no
abdome anterior)
Lesão intra-abdominal significativa (mais de 90%
dos casos)
TRAUMA ABERTO
Feridas por ARMA DE FOGO
TRAUMA ABERTO
Feridas por ARMA DE FOGO
Estruturas
vasculares
abdominais
50%
30%
40%
25%
Dependendo da localização da ferida, o tórax pode ser avaliado
na busca de lesões mediastinais ou pleuropulmonares.
• Feridas no FLANCO ou DORSO do abdome
- Estáveis hemodinamicamente  Tomografia
Computadorizada.
- Sinais e sintomas abdominais ou com lesão
claramente penetrante no abdome (lesando
estruturas internas ou estando localizadas
próximas às vísceras)  Cirurgia.
TRAUMA ABERTO
Feridas por ARMA DE FOGO
Menor probabilidade de
causar lesão a vísceras abdominais.
• LAPARATOMIA EXPLORADORA:
- Instabilidade hemodinâmica
- Evisceração
- Sinais de peritonite
TRAUMA ABERTO
Feridas por ARMA BRANCA
20%
30%
15%
40%
SEM indicação imediata de laparotomia
TRAUMA ABERTO
Feridas por ARMA BRANCA
Exploração da ferida
Determinar se
houve ou não
violação da
cavidade
peritoneal
Anestesia local
Exploração da ferida
- NEGATIVA: Alta hospitalar após cuidados locais
com a ferida.
- POSITIVA ou DUVIDOSA: Permanecer no hospital
+ Avaliações periódicas (exames físicos seriados e
dosagem de Hemoglobina a cada 8h)
TRAUMA ABERTO
Feridas por ARMA BRANCA
SEM indicação imediata de laparotomia
TRAUMA ABERTO
Feridas por ARMA BRANCA
Exploração da ferida
Determinar se
houve ou não
violação da
cavidade
peritoneal
Anestesia local
• Se surgirem sinais peritoneais ou instabilidade
hemodinâmica  LAPAROTOMIA IMEDIATA.
• CUIDADO:
Pacientes estáveis hemodinamicamente que
apresentarem queda maior que 3 g/dL na Hb ou
leucocitose  TC de abdome ou Lavado
Peritoneal Diagnóstico  Positividade 
Laparotomia exploradora
TRAUMA ABERTO
Feridas por ARMA BRANCA
• Feridas no FLANCO ou DORSO do abdome
Estáveis hemodinamicamente e sem sinais de peritonite
TC de abdome de triplo contraste (intravenoso, oral e
retal)
- Trauma nesses sítios pode acometer tanto estruturas
retro, quanto intraperitoneais.
- 40% das feridas em flanco podem determinar lesões
intra-abdominais graves.
TRAUMA ABERTO
Feridas por ARMA BRANCA
• FERIDAS EM TRANSIÇÃO TORACOABDOMINAL
- DIAFRAGMA (estrutura mais frequentemente
acometida)  Hérnias traumáticas.
- Expiração  Probabilidade de penetração em cavidade
peritoneal é maior.
- Sintomas e sinais de lesão abdominal  Laparotomia
de imediato.
- Inicialmente assintomáticos  Videolaparoscopia.
TRAUMA ABERTO
TRAUMA FECHADO (Contusão
abdominal)
40 a 55%
35 a 45%
5 a 15%
Hematomas em
retroperitônio também
são observados.
Grande desafio propedêutico.
Estável, sem lesão em outros
sistemas  Exame físico
suficientemente sensível para
diagnóstico de lesão intra-
abdominal grave.
Maiores dificuldades são
determinar na vítima grave,
com queda do nível de
consciência:
- Houve lesão intra-
abdominal?
- É o abdome realmente a
fonte da hemorragia?
Quando indicar o Lavado Peritoneal Diagnóstico
ou a Ultrassonografia do abdome (FAST)?
TRAUMA FECHADO (Contusão
abdominal)
Lavado Peritoneal Diagnóstico
TRAUMA FECHADO (Contusão
abdominal)
POSITIVO
100.000 hemácias/mm³ ou mais,
500 leucócitos/mm³ ou mais,
amilase acima de 175 U/dL ou
pesquisa positiva para bile,
bactérias ou fibras alimentares.
Contraindicações absolutas
Indicação de laparotomia
exploradora, exame físico
confiável e compatível com
peritonite e trauma penetrante
com evisceração.
FAST
TRAUMA FECHADO (Contusão
abdominal)
Identificar líquido livre na
cavidade abdominal.
Espaços hepatorrenal,
esplenorrenal e pelve
(fundo de saco de
Douglas).
Maior sensibilidade com
coleções superiores a 250
mL.
• TC DE ABDOME
Somente em pacientes estáveis
hemodinamicamente, sem sinais de irritação
peritoneal, com LPD ou FAST positivos.
Principal exame para análise detalhada do
traumatismo abdominal.
TRAUMA FECHADO (Contusão
abdominal)
• Caso 1(SCMSP)
Paciente, 22 anos, masculino, condutor de motocicleta
em via pública, com capacete, sofre colisão frontal contra
objeto fixo em uma velocidade de 75 km/h. Atendido no
local do evento pelo SAMU e trazido ao pronto-socorro em
prancha rígida e colar cervical com intervalo de tempo de
25 minutos. Na sala de emergência, encontra-se com vias
aéreas pérvias e ausculta pulmonar normal bilateral;
PA=110 x 80mmHg; FC= 100 bpm; saturação de 97%;
Glasgow= 14, pupilas isofotorregagente, sem fraturas ou
outras lesões. Queixa-se de intensa dor em andar superior
do abdome, porém sem sinais de irritação peritoneal.
Realizado ultrassom FAST na sala de emergência que se
mostrou positivo. Em relação ao caso, a conduta e o
provável diagnóstico seriam:
A) Como FAST positivo, indicar laparotomia
exploradora por provável lesão hepática
B) Apesar da estabilidade hemodinâmica, como
FAST positivo, laparotomia exploradora e lesão
esplênica
C) Complementação diagnóstica com lavado
peritoneal e lesão de alça de delgado
D) Tomografia de abdome total e lesão esplênica
E) Tomografia de abdome total e laparotomia para
lesão esplênica
TRAUMAS
ESPECÍFICOS
TRAUMA
ESPLÊNICO
TRAUMA ESPLÊNICO
• Órgão mais comumente afetado no traumatismo fechado de
abdome. A conduta primordial é a preservação do mesmo
pela sua importância como tecido linfoide do organismo.
• Sempre suspeitar quando trauma abdominal importante, com
fratura dos arcos costais à esquerda ou dor subescapular à
esquerda (sinal de Kehr)
• CONDUTA CONSERVADORA:
- Estabilidade hemodinâmica;
- Exame abdominal negativo para irritação peritoneal;
- Ausência de indicações precisas de laparotomia ou de
lesões associadas que necessitem de intervenção
cirúrgica;
- Ausência de condições clínicas que aumentem o risco
de sangramento;
- Lesões esplênicas graus I a III.
TRAUMA ESPLÊNICO
• Contrast blush  Embolização angiográfica da
lesão sangrante em vez de laparotomia.
TRAUMA ESPLÊNICO
TRAUMA ESPLÊNICO
Conduta não-cirúrgica
UTI por 48-72h/ Repouso absoluto/ Cateter
nasogástrico  Medidas seriadas Ht (se queda,
recomenda-se nova TC de abdome) e Avaliação
clínica (exame abdominal frequente) 
Normalidade: Transferência para Unidade
intermediária/ Caminhar/ Iniciar dieta
Conduta cirúrgica (Laparotomia exploradora)
Estabilidade hemodinâmica com sinais de irritação
peritoneal, instabilidade hemodinâmica com LPD ou
FAST positivos, lesões graus IV e V (AAST) e
coagulopatia.
TRAUMA ESPLÊNICO
• ESPLENECTOMIA – lesões graves
- Imunização para prevenção de infecções
pneumocócicas, meningocócicas e por
Haemophilus influenzae tipo B  Após o 14° dia
de pós-operatório.
TRAUMA ESPLÊNICO
TRAUMA
HEPÁTICO
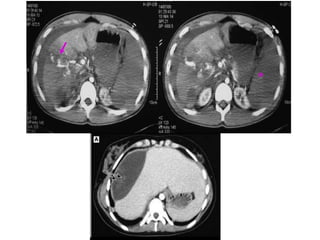
• CASO 2 (USP-RP)
Homem, 57 anos, vítima de colisão moto x carro em rodovia, trazido
pelo SAMU, chega à sala de trauma de um hospital de referência em
25 minutos após o evento, com colar cervical, em prancha longa e
ansioso. Durante o atendimento pré-hospitalar e transporte recebeu 2L
de solução cristaloide. Exame físico: saturação O2= 98%, frequência
respiratória= 20 irpm; frequência cardíaca= 90 bpm; pressão arterial=
110 x 70 mmHg; escala de coma de Glasgow= 14; pupilas
isofotorreagentes, sem fraturas ou outras lesões. Foi submetido à
tomografia computadorizada de corpo todo que evidenciou grande
quantidade de líquido intraperitoneal, lesão hepática Grau IV com
extravasamento de contraste livre para a cavidade abdominal. Logo
após exame de imagem, apresentou rebaixamento do nível de
consciência, frequência cardíaca= 145 bpm e pressão arterial= 60 x 50
mmHg. A melhor conduta é:
TRAUMA HEPÁTICO
• Segundo órgão mais acometido no trauma
fechado de abdome. E, segundo o ATLS, o
terceiro mais identificado em lesões
abdominais penetrantes, principalmente
devido à extensão de seu parênquima.
TRATAMENTO CONSERVADOR
Estáveis hemodinamicamente sem sinais de
peritonite  Repouso absoluto por 5 dias (as
primeiras 48h em UTI)/ Acompanhamento de sinais
vitais/ Medidas de Ht seriadas (Se queda, solicita-se
nova TC de abdome)
Extravasamento de contraste na fase arterial da TC
Tipo 1  Laparotomia
Tipo 2  Angiografia + Embolização
Tipo 3  Angiografia
TRAUMA HEPÁTICO
TRATAMENTO CIRÚRGICO
Várias técnicas, dependendo da localização e
gravidade da laceração  Sutura, aplicação de
clipes cirúrgicos, tamponamento com
compressas, ligadura vascular, cirurgia para
controle de dano, ressecção, etc.
TRAUMA HEPÁTICO
• MANOBRA DE PRINGLE
TRAUMA HEPÁTICO
Em algumas situações, o controle do
sangramento não melhora com essa
manobra ou a área de lesão é muito
extensa  Tamponamento com
compressas - ESTADO GERAL do
paciente. A manutenção das
compressas é feita porque o paciente
não toleraria perder mais sangue e
uma cirurgia prolongada poderia piorar
a hipotermia e acidose metabólica.
CIRURGIA PARA CONTROLE DE DANOS
Compressas deixadas + parede
abdominal não é fechada
(peritoneostomia) + UTI  Corrigir
coagulopatia, hipotermia e acidose 
nova laparotomia (24-48h depois) a fim
de realizar a intervenção definitiva.
• CASO 2 (USP-RP)
Homem, 57 anos, vítima de colisão moto x carro em rodovia, trazido
pelo SAMU, chega à sala de trauma de um hospital de referência em
25 minutos após o evento, com colar cervical, em prancha longa e
ansioso. Durante o atendimento pré-hospitalar e transporte recebeu 2L
de solução cristaloide. Exame físico: saturação O2= 98%, frequência
respiratória= 20 irpm; frequência cardíaca= 90 bpm; pressão arterial=
110 x 70 mmHg; escala de coma de Glasgow= 14; pupilas
isofotorreagentes, sem fraturas ou outras lesões. Foi submetido à
tomografia computadorizada de corpo todo que evidenciou grande
quantidade de líquido intraperitoneal, lesão hepática Grau IV com
extravasamento de contraste livre para a cavidade abdominal. Logo
após exame de imagem, apresentou rebaixamento do nível de
consciência, frequência cardíaca= 145 bpm e pressão arterial= 60 x 50
mmHg. A melhor conduta é:
A) Laparotomia exploradora e tratamento definitivo
das lesões
B) Arteriografia e embolização hepática
C) Laparotomia exploradora com controle de
danos seguido de embolização hepática
D) Iniciar protocolo de transfusão maciça seguido
de embolização hepática

TRAUMATISMO ABDOMINAL E PE_LVICO.pptx

  • 1.
    TRAUMATISMO ABDOMINAL E PÉLVICO ClínicaCirúrgica II Prof. Dr. Ajalce Janahú Discentes: Débora Shibayama Guterres Eryka Bewerly Rego da Costa João Jorge Tsunematsu Frazão Leonardo Paiva Ohashi Melissa V.K. Guevara Carrera Micael de Mesquita Paiva Thaís Pantoja Trindade
  • 2.
    Roteiro 1 – Traumatismode Abdome 1.1. Introdução 1.2. Aberto 1.3. Fechado 2 – Traumatismo de órgãos específicos. 2.1. Esplênico 2.2. Hepático 2.3. Duodeno e Delgado 2.4. Pâncreas 2.5. Cólon e Reto 2.7. Fraturas pélvicas 2.9. Vascular
  • 3.
    • Caso 1(SCMSP) Paciente,22 anos, masculino, condutor de motocicleta em via pública, com capacete, sofre colisão frontal contra objeto fixo em uma velocidade de 75 km/h. Atendido no local do evento pelo SAMU e trazido ao pronto-socorro em prancha rígida e colar cervical com intervalo de tempo de 25 minutos. Na sala de emergência, encontra-se com vias aéreas pérvias e ausculta pulmonar normal bilateral; PA=110 x 80mmHg; FC= 100 bpm; saturação de 97%; Glasgow= 14, pupilas isofotorreagentes, sem fraturas ou outras lesões. Queixa-se de intensa dor em andar superior do abdome, porém sem sinais de irritação peritoneal. Realizado ultrassom FAST na sala de emergência que se mostrou positivo. Em relação ao caso, a conduta e o provável diagnóstico seriam:
  • 4.
    INTRODUÇÃO • Traumatismo deADBOME FECHADO (Contusão abdominal)  Forças de desaceleração ou transmissão de choque pela parede abdominal ABERTO (Penetrante ou Ferida abdominal)  lesões por Projéteis de Arma de Fogo (PAF) ou arma branca
  • 5.
    • O acometimentode estruturas abdominais pode determinar: - Sangramento importante - Irritação peritoneal AVALIAÇÃO INICIAL: Existe ou não INDICAÇÃO CIRÚRGICA. O exame físico pode ser de pouca sensibilidade na determinação da presença de lesão intra-abdominal. Necessidade de utilização de recursos propedêuticos específicos. INTRODUÇÃO
  • 6.
  • 7.
    TRAUMA ABERTO (Feridaabdominal) • Critérios para nortear a decisão cirúrgica: - Tipo de trauma aberto (PAF ou arma branca) - Instabilidade hemodinâmica - Sinais de irritação de peritônio.
  • 8.
    Indicação de exploraçãocirúrgica Violação da cavidade peritoneal (feridas no abdome anterior) Lesão intra-abdominal significativa (mais de 90% dos casos) TRAUMA ABERTO Feridas por ARMA DE FOGO
  • 9.
    TRAUMA ABERTO Feridas porARMA DE FOGO Estruturas vasculares abdominais 50% 30% 40% 25% Dependendo da localização da ferida, o tórax pode ser avaliado na busca de lesões mediastinais ou pleuropulmonares.
  • 10.
    • Feridas noFLANCO ou DORSO do abdome - Estáveis hemodinamicamente  Tomografia Computadorizada. - Sinais e sintomas abdominais ou com lesão claramente penetrante no abdome (lesando estruturas internas ou estando localizadas próximas às vísceras)  Cirurgia. TRAUMA ABERTO Feridas por ARMA DE FOGO
  • 11.
    Menor probabilidade de causarlesão a vísceras abdominais. • LAPARATOMIA EXPLORADORA: - Instabilidade hemodinâmica - Evisceração - Sinais de peritonite TRAUMA ABERTO Feridas por ARMA BRANCA 20% 30% 15% 40%
  • 12.
    SEM indicação imediatade laparotomia TRAUMA ABERTO Feridas por ARMA BRANCA Exploração da ferida Determinar se houve ou não violação da cavidade peritoneal Anestesia local
  • 13.
    Exploração da ferida -NEGATIVA: Alta hospitalar após cuidados locais com a ferida. - POSITIVA ou DUVIDOSA: Permanecer no hospital + Avaliações periódicas (exames físicos seriados e dosagem de Hemoglobina a cada 8h) TRAUMA ABERTO Feridas por ARMA BRANCA
  • 14.
    SEM indicação imediatade laparotomia TRAUMA ABERTO Feridas por ARMA BRANCA Exploração da ferida Determinar se houve ou não violação da cavidade peritoneal Anestesia local
  • 15.
    • Se surgiremsinais peritoneais ou instabilidade hemodinâmica  LAPAROTOMIA IMEDIATA. • CUIDADO: Pacientes estáveis hemodinamicamente que apresentarem queda maior que 3 g/dL na Hb ou leucocitose  TC de abdome ou Lavado Peritoneal Diagnóstico  Positividade  Laparotomia exploradora TRAUMA ABERTO Feridas por ARMA BRANCA
  • 16.
    • Feridas noFLANCO ou DORSO do abdome Estáveis hemodinamicamente e sem sinais de peritonite TC de abdome de triplo contraste (intravenoso, oral e retal) - Trauma nesses sítios pode acometer tanto estruturas retro, quanto intraperitoneais. - 40% das feridas em flanco podem determinar lesões intra-abdominais graves. TRAUMA ABERTO Feridas por ARMA BRANCA
  • 17.
    • FERIDAS EMTRANSIÇÃO TORACOABDOMINAL - DIAFRAGMA (estrutura mais frequentemente acometida)  Hérnias traumáticas. - Expiração  Probabilidade de penetração em cavidade peritoneal é maior. - Sintomas e sinais de lesão abdominal  Laparotomia de imediato. - Inicialmente assintomáticos  Videolaparoscopia. TRAUMA ABERTO
  • 18.
    TRAUMA FECHADO (Contusão abdominal) 40a 55% 35 a 45% 5 a 15% Hematomas em retroperitônio também são observados. Grande desafio propedêutico. Estável, sem lesão em outros sistemas  Exame físico suficientemente sensível para diagnóstico de lesão intra- abdominal grave. Maiores dificuldades são determinar na vítima grave, com queda do nível de consciência: - Houve lesão intra- abdominal? - É o abdome realmente a fonte da hemorragia?
  • 19.
    Quando indicar oLavado Peritoneal Diagnóstico ou a Ultrassonografia do abdome (FAST)? TRAUMA FECHADO (Contusão abdominal)
  • 20.
    Lavado Peritoneal Diagnóstico TRAUMAFECHADO (Contusão abdominal) POSITIVO 100.000 hemácias/mm³ ou mais, 500 leucócitos/mm³ ou mais, amilase acima de 175 U/dL ou pesquisa positiva para bile, bactérias ou fibras alimentares. Contraindicações absolutas Indicação de laparotomia exploradora, exame físico confiável e compatível com peritonite e trauma penetrante com evisceração.
  • 21.
    FAST TRAUMA FECHADO (Contusão abdominal) Identificarlíquido livre na cavidade abdominal. Espaços hepatorrenal, esplenorrenal e pelve (fundo de saco de Douglas). Maior sensibilidade com coleções superiores a 250 mL.
  • 22.
    • TC DEABDOME Somente em pacientes estáveis hemodinamicamente, sem sinais de irritação peritoneal, com LPD ou FAST positivos. Principal exame para análise detalhada do traumatismo abdominal. TRAUMA FECHADO (Contusão abdominal)
  • 23.
    • Caso 1(SCMSP) Paciente,22 anos, masculino, condutor de motocicleta em via pública, com capacete, sofre colisão frontal contra objeto fixo em uma velocidade de 75 km/h. Atendido no local do evento pelo SAMU e trazido ao pronto-socorro em prancha rígida e colar cervical com intervalo de tempo de 25 minutos. Na sala de emergência, encontra-se com vias aéreas pérvias e ausculta pulmonar normal bilateral; PA=110 x 80mmHg; FC= 100 bpm; saturação de 97%; Glasgow= 14, pupilas isofotorregagente, sem fraturas ou outras lesões. Queixa-se de intensa dor em andar superior do abdome, porém sem sinais de irritação peritoneal. Realizado ultrassom FAST na sala de emergência que se mostrou positivo. Em relação ao caso, a conduta e o provável diagnóstico seriam:
  • 24.
    A) Como FASTpositivo, indicar laparotomia exploradora por provável lesão hepática B) Apesar da estabilidade hemodinâmica, como FAST positivo, laparotomia exploradora e lesão esplênica C) Complementação diagnóstica com lavado peritoneal e lesão de alça de delgado D) Tomografia de abdome total e lesão esplênica E) Tomografia de abdome total e laparotomia para lesão esplênica
  • 25.
  • 26.
  • 27.
    TRAUMA ESPLÊNICO • Órgãomais comumente afetado no traumatismo fechado de abdome. A conduta primordial é a preservação do mesmo pela sua importância como tecido linfoide do organismo. • Sempre suspeitar quando trauma abdominal importante, com fratura dos arcos costais à esquerda ou dor subescapular à esquerda (sinal de Kehr)
  • 28.
    • CONDUTA CONSERVADORA: -Estabilidade hemodinâmica; - Exame abdominal negativo para irritação peritoneal; - Ausência de indicações precisas de laparotomia ou de lesões associadas que necessitem de intervenção cirúrgica; - Ausência de condições clínicas que aumentem o risco de sangramento; - Lesões esplênicas graus I a III. TRAUMA ESPLÊNICO
  • 29.
    • Contrast blush Embolização angiográfica da lesão sangrante em vez de laparotomia. TRAUMA ESPLÊNICO
  • 30.
  • 32.
    Conduta não-cirúrgica UTI por48-72h/ Repouso absoluto/ Cateter nasogástrico  Medidas seriadas Ht (se queda, recomenda-se nova TC de abdome) e Avaliação clínica (exame abdominal frequente)  Normalidade: Transferência para Unidade intermediária/ Caminhar/ Iniciar dieta Conduta cirúrgica (Laparotomia exploradora) Estabilidade hemodinâmica com sinais de irritação peritoneal, instabilidade hemodinâmica com LPD ou FAST positivos, lesões graus IV e V (AAST) e coagulopatia. TRAUMA ESPLÊNICO
  • 33.
    • ESPLENECTOMIA –lesões graves - Imunização para prevenção de infecções pneumocócicas, meningocócicas e por Haemophilus influenzae tipo B  Após o 14° dia de pós-operatório. TRAUMA ESPLÊNICO
  • 34.
  • 35.
    • CASO 2(USP-RP) Homem, 57 anos, vítima de colisão moto x carro em rodovia, trazido pelo SAMU, chega à sala de trauma de um hospital de referência em 25 minutos após o evento, com colar cervical, em prancha longa e ansioso. Durante o atendimento pré-hospitalar e transporte recebeu 2L de solução cristaloide. Exame físico: saturação O2= 98%, frequência respiratória= 20 irpm; frequência cardíaca= 90 bpm; pressão arterial= 110 x 70 mmHg; escala de coma de Glasgow= 14; pupilas isofotorreagentes, sem fraturas ou outras lesões. Foi submetido à tomografia computadorizada de corpo todo que evidenciou grande quantidade de líquido intraperitoneal, lesão hepática Grau IV com extravasamento de contraste livre para a cavidade abdominal. Logo após exame de imagem, apresentou rebaixamento do nível de consciência, frequência cardíaca= 145 bpm e pressão arterial= 60 x 50 mmHg. A melhor conduta é:
  • 36.
    TRAUMA HEPÁTICO • Segundoórgão mais acometido no trauma fechado de abdome. E, segundo o ATLS, o terceiro mais identificado em lesões abdominais penetrantes, principalmente devido à extensão de seu parênquima.
  • 40.
    TRATAMENTO CONSERVADOR Estáveis hemodinamicamentesem sinais de peritonite  Repouso absoluto por 5 dias (as primeiras 48h em UTI)/ Acompanhamento de sinais vitais/ Medidas de Ht seriadas (Se queda, solicita-se nova TC de abdome) Extravasamento de contraste na fase arterial da TC Tipo 1  Laparotomia Tipo 2  Angiografia + Embolização Tipo 3  Angiografia TRAUMA HEPÁTICO
  • 41.
    TRATAMENTO CIRÚRGICO Várias técnicas,dependendo da localização e gravidade da laceração  Sutura, aplicação de clipes cirúrgicos, tamponamento com compressas, ligadura vascular, cirurgia para controle de dano, ressecção, etc. TRAUMA HEPÁTICO
  • 42.
    • MANOBRA DEPRINGLE TRAUMA HEPÁTICO Em algumas situações, o controle do sangramento não melhora com essa manobra ou a área de lesão é muito extensa  Tamponamento com compressas - ESTADO GERAL do paciente. A manutenção das compressas é feita porque o paciente não toleraria perder mais sangue e uma cirurgia prolongada poderia piorar a hipotermia e acidose metabólica. CIRURGIA PARA CONTROLE DE DANOS Compressas deixadas + parede abdominal não é fechada (peritoneostomia) + UTI  Corrigir coagulopatia, hipotermia e acidose  nova laparotomia (24-48h depois) a fim de realizar a intervenção definitiva.
  • 43.
    • CASO 2(USP-RP) Homem, 57 anos, vítima de colisão moto x carro em rodovia, trazido pelo SAMU, chega à sala de trauma de um hospital de referência em 25 minutos após o evento, com colar cervical, em prancha longa e ansioso. Durante o atendimento pré-hospitalar e transporte recebeu 2L de solução cristaloide. Exame físico: saturação O2= 98%, frequência respiratória= 20 irpm; frequência cardíaca= 90 bpm; pressão arterial= 110 x 70 mmHg; escala de coma de Glasgow= 14; pupilas isofotorreagentes, sem fraturas ou outras lesões. Foi submetido à tomografia computadorizada de corpo todo que evidenciou grande quantidade de líquido intraperitoneal, lesão hepática Grau IV com extravasamento de contraste livre para a cavidade abdominal. Logo após exame de imagem, apresentou rebaixamento do nível de consciência, frequência cardíaca= 145 bpm e pressão arterial= 60 x 50 mmHg. A melhor conduta é:
  • 44.
    A) Laparotomia exploradorae tratamento definitivo das lesões B) Arteriografia e embolização hepática C) Laparotomia exploradora com controle de danos seguido de embolização hepática D) Iniciar protocolo de transfusão maciça seguido de embolização hepática