8º Curso Internacional
 Básico e Avançado em
  Implantes e Enxertos

   IMPLANTBRAZIL
 SÃO LEOPOLDO MANDIC
Faculdade de Odontologia
Centro de Pós-graduação
Prof. Doutor Alexander D´Alvia Salvoni


                  Especialista em Implantologia (SL Mandic)
                       Mestre em Implantologia (UCCB)
                       Doutor em Patologia Bucal (USP)
                   Coordenador do curso de Atualização em
              Implantologia do Centro de Pesquisas Odontológicas
                                   SL Mandic
                   Professor do curso de Especialização em
              Implantologia do Centro de Pesquisas Odontológicas
                                   SL Mandic
               Professor do curso de Mestrado em Implantologia
                do Centro de Pesquisas Odontológicas SL Mandic
                  Coordenador do curso de Actualização em
                          Implantologia APCD/Jundiaí
                  Coordenador do curso de Actualização em
                           Implantologia APCD/Saúde
BOX 1           BOX 2




        BOX 3




BOX 4           BOX 5
Casos Clínicos
Total de pacientes operados:---------------- 62
      Homens – 24       Mulheres - 38
Total de Implantes Instalados:------------ 138
Cirurgias com Aloenxertos Ósseos:--------- 14
Blocos “Onlay”:------------------------------- 24
Sinus-lift: --------------------------------------23
Cirurgias com Autoenxertos Ósseos:-------- 9
Protocolos:------------------------------------- 9
Implantes Zigomáticos:----------------------- 6
BOX 1
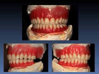
Silvana Ferraz Caetano
Idade – 53 anos
Sexo – Feminino
Raça – Caucasiana
ASA – II
Data- 26-04-2012

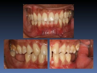
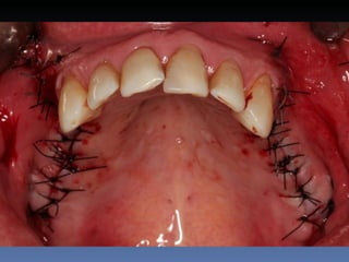
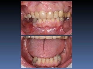
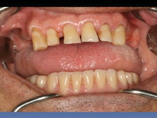
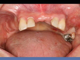
Diagnóstico:Desdentada parcial-maxila



Plano de tratamento:          Reabilitação das áreas
desdentadas com instalação de 6 implantes endo-
ósseos para reabilitação protética fixa.
Área posterior enxertada com
 Aloenxerto Fresco-congelado
BOX 1
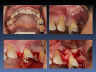
Dominga Maria silva
Idade – 53 anos
Sexo – Feminino
Raça – Caucasiana
ASA – II
Data- 23-04-2012

Diagnóstico:Desdentada parcial maxila

Plano de tratamento:      Reabilitação com 6 blocos
“onlay” provenientes de Úmero fresco-congelado
(FFB); reabertura para instalação de 6 implantes
dentários endo-ósseos e reabilitação protética fixa.
22-09-2011
22-09-2011
20-04-2012




  OPG Pré-op
Mensurações
               Zona    Zona    Zona   Zona    Zona     Zona
                1.6    1.3     1.1     2.1     2.3      2.6

Stage I       2,0mm   1,5mm 1,5mm 2,9mm 1,5mm         1,5mm
Pré-op (mm)
Stage I     6,5mm     7,0mm 7,1mm 5,2mm 6,7mm         7,0mm
Pós-op (mm)

Aument        4,5mm   5,5mm   5,6mm   2,3mm   5,2mm   5,5mm
o
Espessura
(mm)


Reabert       6,4mm   7,0mm   7,0mm 5,1mm     6,6mm   7,0mm
ura
Stage II
(mm)

Reabsor       0,1mm   0,0mm   0,1mm   0,1mm   0,1mm   0,0mm
ção
(mm)
Pós-op 7 dias
BOX 1
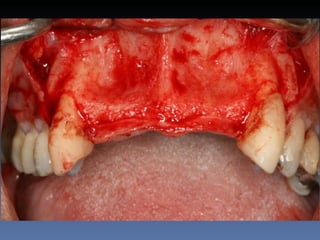
Teresinha Soares Galindo
Idade – 68 anos
Sexo – Feminino
Raça – Caucasiana
ASA – II
Data- 23-04-2012

Diagnóstico:Desdentada total maxila

Plano de tratamento:          Reabilitação com 6 blocos
“onlay” e “sinus-llift” bilateral, provenientes de Úmero
fresco-congelado (FFB); reabertura para instalação
de 6 implantes dentários endo-ósseos e reabilitação
protética fixa.
6 Meses
BOX 1
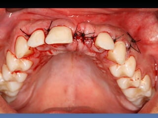
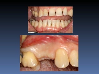
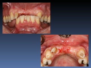
José Luis Bergamim
Idade – 53 anos
Sexo – Masculino
Raça – Caucasiana
ASA – II
Data- 25-04-2012

Diagnóstico:Desdentado parcial maxila
           zona 2.2, defeito horizontal


Plano de tratamento: Reabilitação com 1 bloco “onlay”
autógeno proveniente do Ramo de Mandíbula; para
reabilitação futura com implante endo-ósseo.
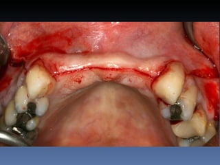
Espessura Residual

     2,5 mm
Defeito Horizontal
Espessura após reabilitação

        8,8 mm
Preenchimento de “Gaps”
 com particulado ósseo
           e
         Sutura
Descorticalização   Fixação do bloco “onlay”
BOX 1
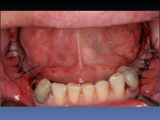
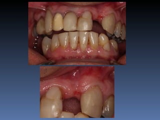
Maura Graça Montereiro
Idade – 59 anos
Sexo – Feminino
Raça – Caucasiana
ASA – II
Data- 27-04-2012

Diagnóstico: Desdentada total maxila
já reabilitada com “All-on-four” híbrido;
periimplantite dos implantes anteriores.
Plano de tratamento:         Remoção dos implantes
anteriores, instalação de dois implantes Zigomáticos
e dois implantes posteriores na tuberosidade.
BOX 1
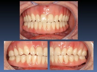
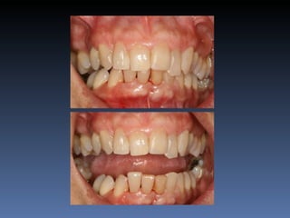
Sônia Elizabete Correa
Idade – 58 anos
Sexo – Feminino
Raça – Caucasiana
ASA – II
Data- 27-04-2012

Diagnóstico: Desdentada total da maxila com
                    atrofia severa


Plano de tratamento: Reabilitação com 4 implantes
   Zigomáticos – “All-on-four Zigoma”.
BOX 2
Sebastião Moreira Souza
Idade – 49 anos
Sexo – Masculino
Raça – Caucasiana
ASA – II
Data- 23-04-2012

Diagnóstico: Desdentado total maxila


Plano de tratamento:          Reabilitação com 6 blocos
“onlay” e “sinus-llift” bilateral, provenientes de Úmero
fresco-congelado (FFB); reabertura para instalação
de 6 implantes dentários endo-ósseos e reabilitação
protética fixa.
21-09-2011
23-04-2012
21-09-2011
              Zona 2.3
              3,5 mm
                          21-09-2011




23-04-2012
Pré reabilitação
 Reabilitação Aloenxerto
Instalação Implantes
BOX 2
Maria Seemagenn Borges
Idade – 49 anos
Sexo – Feminino
Raça – Caucasiana
ASA – II
Data- 24-04-2012

Diagnóstico: Desdentada
             total mandibula


Plano de tratamento: Instalação de 5 implants endo-
ósseos - “Protocolo Branemark”, com carga imediata.
BOX 2
Silvia Maria Cardoso
Idade – 40 anos
Sexo – Feminino
Raça – Caucasiana
ASA – II
Data- 24-04-2012

Diagnóstico: Desdentada pré-maxila


Plano de tratamento:        Reabilitação com 2 blocos
“onlay” provenientes de Ilíaco fresco-congelado
(FFB); e posterior reabilitação protética fixa .
Leito nativo atrófico
Preparação e modelação dos blocos
Descorticalização do leito receptor
Fixação dos blocos “ onlay “
Mensuração pós fixação:

     Pré - 1,0 mm
     Pós – 5,5 mm
Pós-op 7 dias
BOX 2
Maria José Grespam
Idade – 57 anos
Sexo – Feminino
Raça – Caucasiana
ASA – II
Data- 24-04-2012

Diagnóstico: Desdentada parcial maxila

Plano de tratamento:        Reabilitação do defeito
horizontal 2.4 com bloco “onlay”, e do defeito vertical
2.6,2.7.através de “sinus-lift” e bloco “inlay”
estabilizado,   proveniente   de    Fémur     fresco-
congelado (FFB); e posterior reabilitação protética
fixa .
Preparação e fixação do bloco “inlay”
Adaptação e posicionamento do bloco “onlay”
BOX 3
José Luiz Peretti
Idade – 67 anos
Sexo – Masculino
Raça – Caucasiana
ASA – II
Data- 23-04-2012

Diagnóstico: Desdentado parcial maxila


Plano de tratamento: Reabilitação da área desdentada
1.4,.1.5 com instalação de 2 implantes endo-ósseos
para reabilitação protética fixa .
O meu primeiro Implante
BOX 3
Ademir Lopes
Idade – 66 anos
Sexo – Masculino
Raça – Caucasiana
ASA – II
Data- 24-04-2012

Diagnóstico: Desdentado parcial
                 bi-maxilar
Plano de tratamento: Reabilitação das áreas
desdentadas 1.5, 1.6, 4.6 reabilitadas com aloenxertos
ósseos frescos-congelados, para posterior reabilitação
pretética.
Área previamente enxertada
Aumento de volume ósseo vertical
Exposição precoce do bloco “onlay”
BOX 3
Vanda Alves da Silva
Idade – 51 anos
Sexo – Feminino
Raça – Caucasiana
ASA – II
Data- 26-04-2012

Diagnóstico: Desdentada parcial
Bimaxilar, periodontite 3.1
com mobilidade grau 3.

Plano de tratamento: Exodontia 3.1 , seguida de
instalação de implante com função imediata e
reabilitação provisória fixa.
Isolamento da área cirúrgica com luva estéril.
BOX 3
Jersio Rodrigues
Idade – 57 anos
Sexo – Masculino
Raça – Caucasiana
ASA – II
Data- 28-04-2012

Diagnóstico: Desdentado parcial
maxilar, atrofia severa pré-maxila,
atrofia maxilar posterior vertical.

Plano de tratamento: Reabilitação bilateral maxilar
posterior-”Sinus-lift” ; 2 blocos ”onlay” na pré-maxila,
proveniente de Bloco de Fémur Homógeno Fresco-
congelado.
Particulado ósseo obtido       Particulado ósseo obtido pelo
através de particulador “Pilão”     “Bull Bone Mill”- Mondeal
Particulado “Bone Mill”




     Particulado “Pilão”
Particulado “Pilão”




Particulado “Bone Mill”
Mensuração pré-reabilitação :

1.1 ------ 3,0 mm
2.1 ------ 3,0 mm
Mensuração pós-reabilitação :

1.1 ------ 6,2 mm
2.1 ------ 6,3 mm
BOX 3
Kátia Maria Cavicchia
Idade – 43 anos
Sexo – Feminino
Raça – Caucasiana
ASA – II
Data- 29-04-2012

Diagnóstico: Desdentado parcial
bilateral posterior da mandíbula.


Plano de tratamento: Reabilitação bilateral posterior
mandibular com instalação de 6 implantes endo-
ósseos, para reabilitação protética fixa.
Zona 4.4, 4.5, 4.6   Zona 3.5, 3.6, 3.7
BOX 4
Eusébio Moreno
Idade – 73 anos
Sexo – Masculino
Raça – Caucasiana
ASA – II
Data- 23-04-2012

Diagnóstico: Desdentado parcial
bilateral posterior da maxila.

Plano de tratamento: Reabilitação posterior maxilar
esquerda, com instalação de 3 implantes endo-ósseos
(2.4,.2.5.2.6.), para reabilitação protética fixa.
BOX 4
Maurício Zanetti
Idade – 47 anos
Sexo – Masculino
Raça – Caucasiana
ASA – II
Data- 25-04-2012

Diagnóstico: Desdentado parcial
              pré-maxila.

Plano de tratamento: Reabilitação pré-maxila com
instalação de 2 implantes endo-ósseos (1.1,.2.2), para
reabilitação protética fixa.
BOX 4
Maria Balbina Gonçalves
Idade – 52 anos
Sexo – Feminino
Raça – Caucasiana
ASA – II
Data- 27-04-2012

Diagnóstico: Atrofia maxilar vertical
posterior bi-lateral; atrofia da pré-maxlia.

Plano de tratamento: “Sinus-lift” bilateral , reabilitação
da pré-maxila com ROG - regeneração óssea guiada,
osso proveniente de Fêmur -Homógeno Fresco-
congelado,       para instalação de implantes endo-
ósseos, e reabilitação protética fixa.
Bandagem pós-op
BOX 4
Edilson Almeida
Idade – 41 anos
Sexo – Masculino
Raça – Caucasiana
ASA – I
Data- 28-04-2012

Diagnóstico: Desdentado bilateral
Posterior da mandíbula. Regeneração
óssea vertical – zona 4.6, 4.7.
 .
Plano de tratamento: Instalação de implantes endo-
ósseos ( 3.6,3.7,4.6,4.7 ) para reabilitação protética
fixa.
BOX 4
Ville Victorazzo Carmo
Idade – 20 anos
Sexo – Masculino
Raça – Caucasiana
ASA – I
Data- 27-04-2012

Diagnóstico: Desdentado da zona 2.1,
             pré-regenerada.


Plano de tratamento: Instalação de implante endo-
ósseos ( 2.1 ) para reabilitação protética fixa.
BOX 5
Neide Sanches Mansur
Idade – 69 anos
Sexo – Feminino
Raça – Caucasiana
ASA – II
Data- 28-04-2012

Diagnóstico: Desdentada parcial
posterior da mandibula,
zona 4.3,4.4,4.5,4.6.


 Plano de tratamento: Instalação de 4 implantes endo-
 ósseos para reabilitação protética fixa.
BOX 5
 Anaildes do Nascimento
 Idade – 27 anos
 Sexo – Feminino
 Raça – Caucasiana
 ASA – I
 Data- 27-04-2012

 Diagnóstico: Desdentada parcial
 maxilar, zona 1.4,1.5.


Plano de tratamento: Instalação de 2 implantes endo-
ósseos para reabilitação protética fixa.
BOX 5
Rui Freitas Gomes
Idade – 64 anos
Sexo – Masculino
Raça – Caucasiana
ASA – II
Data- 26-04-2012

Diagnóstico: Atrofia vertical
             maxilar posterior.

Plano de tratamento: “Sinus-lift” bilateral , com
aloenxerto ósseo proveniente de diáfise de Tíbia -
Fresco-congelado,       para instalação de implantes
endo-ósseos, e reabilitação protética fixa.
BOX 5
Rute Gomes Mealha
Idade – 70 anos
Sexo – Feminino
Raça – Caucasiana
ASA – I
Data- 24-04-2012

Diagnóstico: Desdentada
    mandibular posterior.

Plano de tratamento: Exondontia de todos os dentes
mandibulares existentes, instalação de 5 implantes
endo-ósseos – Protocolo Branemark, com carga
imediata.
BOX 5
Maria Gomes Moraes
Idade – 53 anos
Sexo – Feminino
Raça – Caucasiana
ASA – II
Data- 23-04-2012

Diagnóstico: Atrofia severa
             da pré-maxila.

Plano de tratamento: Aumento de volume horizontal
com blocos ósseos autógenos “onlay” provenientes do
Ramus da Mandíbula.
sutura nylon 4-0
Pós-operatório -5 dias
8º Curso Implantbrazil - Abril 2012
Desculpem-nos e muito obrigado !!!

Implante Brasil Cursos

  • 1.
    8º Curso Internacional Básico e Avançado em Implantes e Enxertos IMPLANTBRAZIL SÃO LEOPOLDO MANDIC Faculdade de Odontologia Centro de Pós-graduação
  • 2.
    Prof. Doutor AlexanderD´Alvia Salvoni Especialista em Implantologia (SL Mandic) Mestre em Implantologia (UCCB) Doutor em Patologia Bucal (USP) Coordenador do curso de Atualização em Implantologia do Centro de Pesquisas Odontológicas SL Mandic Professor do curso de Especialização em Implantologia do Centro de Pesquisas Odontológicas SL Mandic Professor do curso de Mestrado em Implantologia do Centro de Pesquisas Odontológicas SL Mandic Coordenador do curso de Actualização em Implantologia APCD/Jundiaí Coordenador do curso de Actualização em Implantologia APCD/Saúde
  • 4.
    BOX 1 BOX 2 BOX 3 BOX 4 BOX 5
  • 5.
    Casos Clínicos Total depacientes operados:---------------- 62 Homens – 24 Mulheres - 38 Total de Implantes Instalados:------------ 138 Cirurgias com Aloenxertos Ósseos:--------- 14 Blocos “Onlay”:------------------------------- 24 Sinus-lift: --------------------------------------23 Cirurgias com Autoenxertos Ósseos:-------- 9 Protocolos:------------------------------------- 9 Implantes Zigomáticos:----------------------- 6
  • 6.
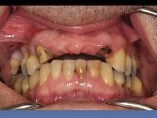
    BOX 1 Silvana FerrazCaetano Idade – 53 anos Sexo – Feminino Raça – Caucasiana ASA – II Data- 26-04-2012 Diagnóstico:Desdentada parcial-maxila Plano de tratamento: Reabilitação das áreas desdentadas com instalação de 6 implantes endo- ósseos para reabilitação protética fixa.
  • 8.
    Área posterior enxertadacom Aloenxerto Fresco-congelado
  • 14.
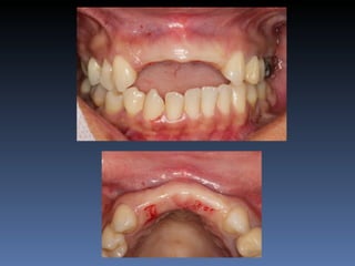
    BOX 1 Dominga Mariasilva Idade – 53 anos Sexo – Feminino Raça – Caucasiana ASA – II Data- 23-04-2012 Diagnóstico:Desdentada parcial maxila Plano de tratamento: Reabilitação com 6 blocos “onlay” provenientes de Úmero fresco-congelado (FFB); reabertura para instalação de 6 implantes dentários endo-ósseos e reabilitação protética fixa.
  • 15.
  • 16.
  • 17.
  • 19.
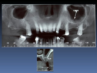
    Mensurações Zona Zona Zona Zona Zona Zona 1.6 1.3 1.1 2.1 2.3 2.6 Stage I 2,0mm 1,5mm 1,5mm 2,9mm 1,5mm 1,5mm Pré-op (mm) Stage I 6,5mm 7,0mm 7,1mm 5,2mm 6,7mm 7,0mm Pós-op (mm) Aument 4,5mm 5,5mm 5,6mm 2,3mm 5,2mm 5,5mm o Espessura (mm) Reabert 6,4mm 7,0mm 7,0mm 5,1mm 6,6mm 7,0mm ura Stage II (mm) Reabsor 0,1mm 0,0mm 0,1mm 0,1mm 0,1mm 0,0mm ção (mm)
  • 23.
  • 25.
    BOX 1 Teresinha SoaresGalindo Idade – 68 anos Sexo – Feminino Raça – Caucasiana ASA – II Data- 23-04-2012 Diagnóstico:Desdentada total maxila Plano de tratamento: Reabilitação com 6 blocos “onlay” e “sinus-llift” bilateral, provenientes de Úmero fresco-congelado (FFB); reabertura para instalação de 6 implantes dentários endo-ósseos e reabilitação protética fixa.
  • 26.
  • 32.
    BOX 1 José LuisBergamim Idade – 53 anos Sexo – Masculino Raça – Caucasiana ASA – II Data- 25-04-2012 Diagnóstico:Desdentado parcial maxila zona 2.2, defeito horizontal Plano de tratamento: Reabilitação com 1 bloco “onlay” autógeno proveniente do Ramo de Mandíbula; para reabilitação futura com implante endo-ósseo.
  • 35.
  • 36.
  • 37.
  • 38.
    Preenchimento de “Gaps” com particulado ósseo e Sutura
  • 39.
    Descorticalização Fixação do bloco “onlay”
  • 40.
    BOX 1 Maura GraçaMontereiro Idade – 59 anos Sexo – Feminino Raça – Caucasiana ASA – II Data- 27-04-2012 Diagnóstico: Desdentada total maxila já reabilitada com “All-on-four” híbrido; periimplantite dos implantes anteriores. Plano de tratamento: Remoção dos implantes anteriores, instalação de dois implantes Zigomáticos e dois implantes posteriores na tuberosidade.
  • 50.
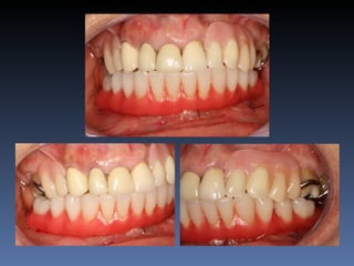
    BOX 1 Sônia ElizabeteCorrea Idade – 58 anos Sexo – Feminino Raça – Caucasiana ASA – II Data- 27-04-2012 Diagnóstico: Desdentada total da maxila com atrofia severa Plano de tratamento: Reabilitação com 4 implantes Zigomáticos – “All-on-four Zigoma”.
  • 60.
    BOX 2 Sebastião MoreiraSouza Idade – 49 anos Sexo – Masculino Raça – Caucasiana ASA – II Data- 23-04-2012 Diagnóstico: Desdentado total maxila Plano de tratamento: Reabilitação com 6 blocos “onlay” e “sinus-llift” bilateral, provenientes de Úmero fresco-congelado (FFB); reabertura para instalação de 6 implantes dentários endo-ósseos e reabilitação protética fixa.
  • 61.
  • 62.
  • 65.
    21-09-2011 Zona 2.3 3,5 mm 21-09-2011 23-04-2012
  • 71.
    Pré reabilitação ReabilitaçãoAloenxerto Instalação Implantes
  • 72.
    BOX 2 Maria SeemagennBorges Idade – 49 anos Sexo – Feminino Raça – Caucasiana ASA – II Data- 24-04-2012 Diagnóstico: Desdentada total mandibula Plano de tratamento: Instalação de 5 implants endo- ósseos - “Protocolo Branemark”, com carga imediata.
  • 85.
    BOX 2 Silvia MariaCardoso Idade – 40 anos Sexo – Feminino Raça – Caucasiana ASA – II Data- 24-04-2012 Diagnóstico: Desdentada pré-maxila Plano de tratamento: Reabilitação com 2 blocos “onlay” provenientes de Ilíaco fresco-congelado (FFB); e posterior reabilitação protética fixa .
  • 91.
  • 92.
  • 93.
  • 95.
    Fixação dos blocos“ onlay “
  • 96.
    Mensuração pós fixação: Pré - 1,0 mm Pós – 5,5 mm
  • 99.
  • 100.
    BOX 2 Maria JoséGrespam Idade – 57 anos Sexo – Feminino Raça – Caucasiana ASA – II Data- 24-04-2012 Diagnóstico: Desdentada parcial maxila Plano de tratamento: Reabilitação do defeito horizontal 2.4 com bloco “onlay”, e do defeito vertical 2.6,2.7.através de “sinus-lift” e bloco “inlay” estabilizado, proveniente de Fémur fresco- congelado (FFB); e posterior reabilitação protética fixa .
  • 106.
    Preparação e fixaçãodo bloco “inlay”
  • 110.
    Adaptação e posicionamentodo bloco “onlay”
  • 113.
    BOX 3 José LuizPeretti Idade – 67 anos Sexo – Masculino Raça – Caucasiana ASA – II Data- 23-04-2012 Diagnóstico: Desdentado parcial maxila Plano de tratamento: Reabilitação da área desdentada 1.4,.1.5 com instalação de 2 implantes endo-ósseos para reabilitação protética fixa .
  • 118.
  • 119.
    BOX 3 Ademir Lopes Idade– 66 anos Sexo – Masculino Raça – Caucasiana ASA – II Data- 24-04-2012 Diagnóstico: Desdentado parcial bi-maxilar Plano de tratamento: Reabilitação das áreas desdentadas 1.5, 1.6, 4.6 reabilitadas com aloenxertos ósseos frescos-congelados, para posterior reabilitação pretética.
  • 120.
  • 123.
    Aumento de volumeósseo vertical
  • 124.
    Exposição precoce dobloco “onlay”
  • 127.
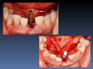
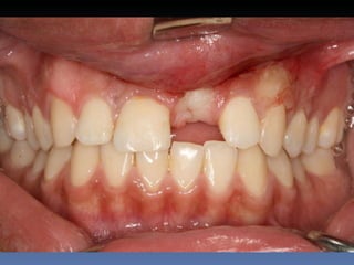
    BOX 3 Vanda Alvesda Silva Idade – 51 anos Sexo – Feminino Raça – Caucasiana ASA – II Data- 26-04-2012 Diagnóstico: Desdentada parcial Bimaxilar, periodontite 3.1 com mobilidade grau 3. Plano de tratamento: Exodontia 3.1 , seguida de instalação de implante com função imediata e reabilitação provisória fixa.
  • 133.
    Isolamento da áreacirúrgica com luva estéril.
  • 137.
    BOX 3 Jersio Rodrigues Idade– 57 anos Sexo – Masculino Raça – Caucasiana ASA – II Data- 28-04-2012 Diagnóstico: Desdentado parcial maxilar, atrofia severa pré-maxila, atrofia maxilar posterior vertical. Plano de tratamento: Reabilitação bilateral maxilar posterior-”Sinus-lift” ; 2 blocos ”onlay” na pré-maxila, proveniente de Bloco de Fémur Homógeno Fresco- congelado.
  • 141.
    Particulado ósseo obtido Particulado ósseo obtido pelo através de particulador “Pilão” “Bull Bone Mill”- Mondeal
  • 143.
    Particulado “Bone Mill” Particulado “Pilão”
  • 147.
  • 150.
    Mensuração pré-reabilitação : 1.1------ 3,0 mm 2.1 ------ 3,0 mm
  • 153.
    Mensuração pós-reabilitação : 1.1------ 6,2 mm 2.1 ------ 6,3 mm
  • 156.
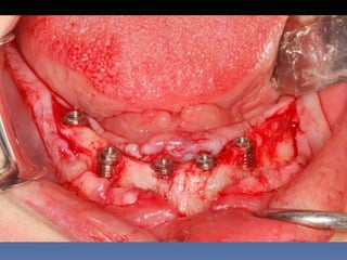
    BOX 3 Kátia MariaCavicchia Idade – 43 anos Sexo – Feminino Raça – Caucasiana ASA – II Data- 29-04-2012 Diagnóstico: Desdentado parcial bilateral posterior da mandíbula. Plano de tratamento: Reabilitação bilateral posterior mandibular com instalação de 6 implantes endo- ósseos, para reabilitação protética fixa.
  • 158.
    Zona 4.4, 4.5,4.6 Zona 3.5, 3.6, 3.7
  • 164.
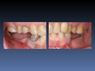
    BOX 4 Eusébio Moreno Idade– 73 anos Sexo – Masculino Raça – Caucasiana ASA – II Data- 23-04-2012 Diagnóstico: Desdentado parcial bilateral posterior da maxila. Plano de tratamento: Reabilitação posterior maxilar esquerda, com instalação de 3 implantes endo-ósseos (2.4,.2.5.2.6.), para reabilitação protética fixa.
  • 170.
    BOX 4 Maurício Zanetti Idade– 47 anos Sexo – Masculino Raça – Caucasiana ASA – II Data- 25-04-2012 Diagnóstico: Desdentado parcial pré-maxila. Plano de tratamento: Reabilitação pré-maxila com instalação de 2 implantes endo-ósseos (1.1,.2.2), para reabilitação protética fixa.
  • 177.
    BOX 4 Maria BalbinaGonçalves Idade – 52 anos Sexo – Feminino Raça – Caucasiana ASA – II Data- 27-04-2012 Diagnóstico: Atrofia maxilar vertical posterior bi-lateral; atrofia da pré-maxlia. Plano de tratamento: “Sinus-lift” bilateral , reabilitação da pré-maxila com ROG - regeneração óssea guiada, osso proveniente de Fêmur -Homógeno Fresco- congelado, para instalação de implantes endo- ósseos, e reabilitação protética fixa.
  • 193.
  • 194.
    BOX 4 Edilson Almeida Idade– 41 anos Sexo – Masculino Raça – Caucasiana ASA – I Data- 28-04-2012 Diagnóstico: Desdentado bilateral Posterior da mandíbula. Regeneração óssea vertical – zona 4.6, 4.7. . Plano de tratamento: Instalação de implantes endo- ósseos ( 3.6,3.7,4.6,4.7 ) para reabilitação protética fixa.
  • 201.
    BOX 4 Ville VictorazzoCarmo Idade – 20 anos Sexo – Masculino Raça – Caucasiana ASA – I Data- 27-04-2012 Diagnóstico: Desdentado da zona 2.1, pré-regenerada. Plano de tratamento: Instalação de implante endo- ósseos ( 2.1 ) para reabilitação protética fixa.
  • 209.
    BOX 5 Neide SanchesMansur Idade – 69 anos Sexo – Feminino Raça – Caucasiana ASA – II Data- 28-04-2012 Diagnóstico: Desdentada parcial posterior da mandibula, zona 4.3,4.4,4.5,4.6. Plano de tratamento: Instalação de 4 implantes endo- ósseos para reabilitação protética fixa.
  • 214.
    BOX 5 Anaildesdo Nascimento Idade – 27 anos Sexo – Feminino Raça – Caucasiana ASA – I Data- 27-04-2012 Diagnóstico: Desdentada parcial maxilar, zona 1.4,1.5. Plano de tratamento: Instalação de 2 implantes endo- ósseos para reabilitação protética fixa.
  • 220.
    BOX 5 Rui FreitasGomes Idade – 64 anos Sexo – Masculino Raça – Caucasiana ASA – II Data- 26-04-2012 Diagnóstico: Atrofia vertical maxilar posterior. Plano de tratamento: “Sinus-lift” bilateral , com aloenxerto ósseo proveniente de diáfise de Tíbia - Fresco-congelado, para instalação de implantes endo-ósseos, e reabilitação protética fixa.
  • 232.
    BOX 5 Rute GomesMealha Idade – 70 anos Sexo – Feminino Raça – Caucasiana ASA – I Data- 24-04-2012 Diagnóstico: Desdentada mandibular posterior. Plano de tratamento: Exondontia de todos os dentes mandibulares existentes, instalação de 5 implantes endo-ósseos – Protocolo Branemark, com carga imediata.
  • 242.
    BOX 5 Maria GomesMoraes Idade – 53 anos Sexo – Feminino Raça – Caucasiana ASA – II Data- 23-04-2012 Diagnóstico: Atrofia severa da pré-maxila. Plano de tratamento: Aumento de volume horizontal com blocos ósseos autógenos “onlay” provenientes do Ramus da Mandíbula.
  • 252.
  • 253.
  • 255.
  • 282.